Challenges in Toxocariasis Diagnosis: From Pericarditis, through Hepatic Tumor, to the Detection of Brain Aneurysms: Case Report
Abstract
1. Introduction
2. Materials and Methods
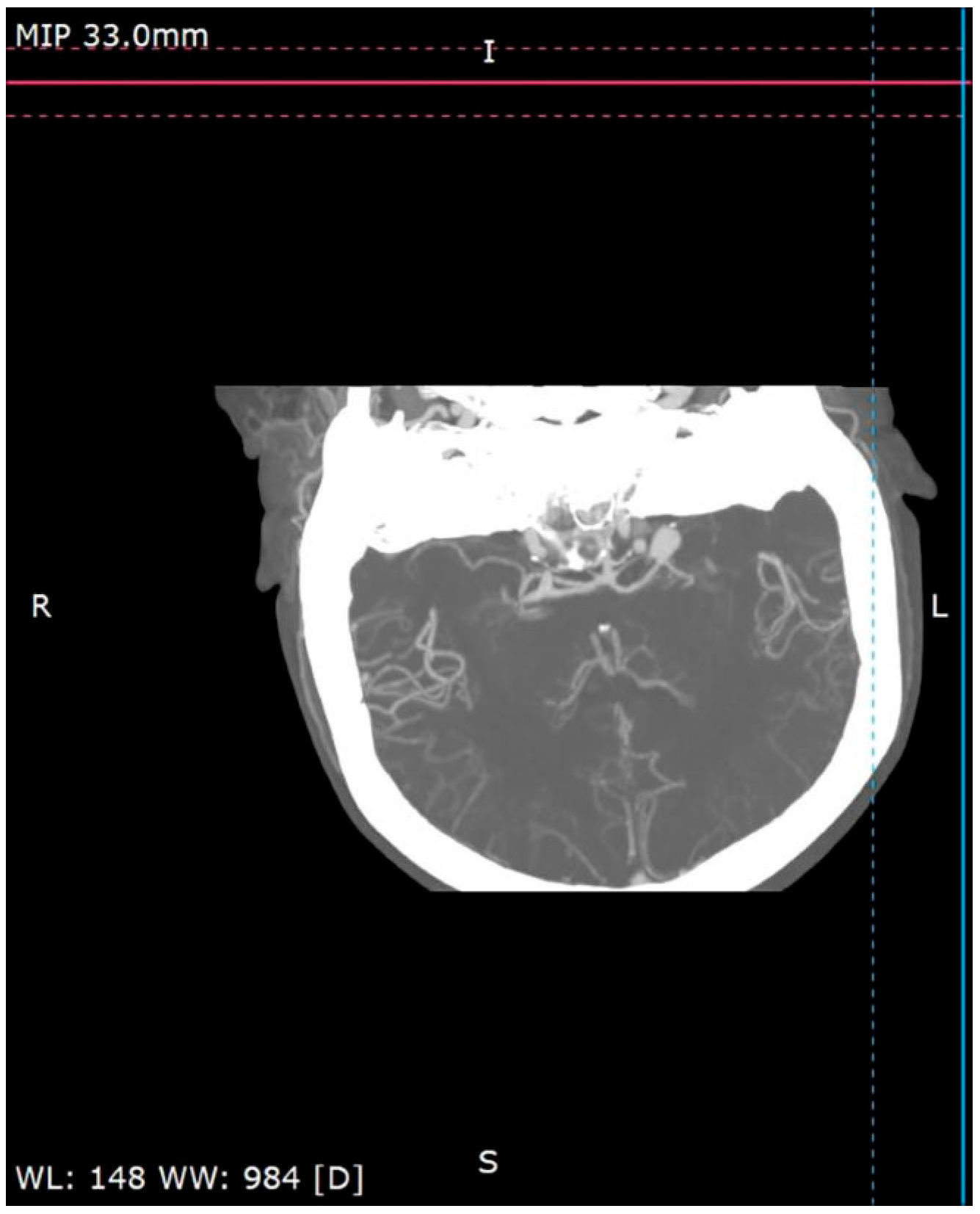
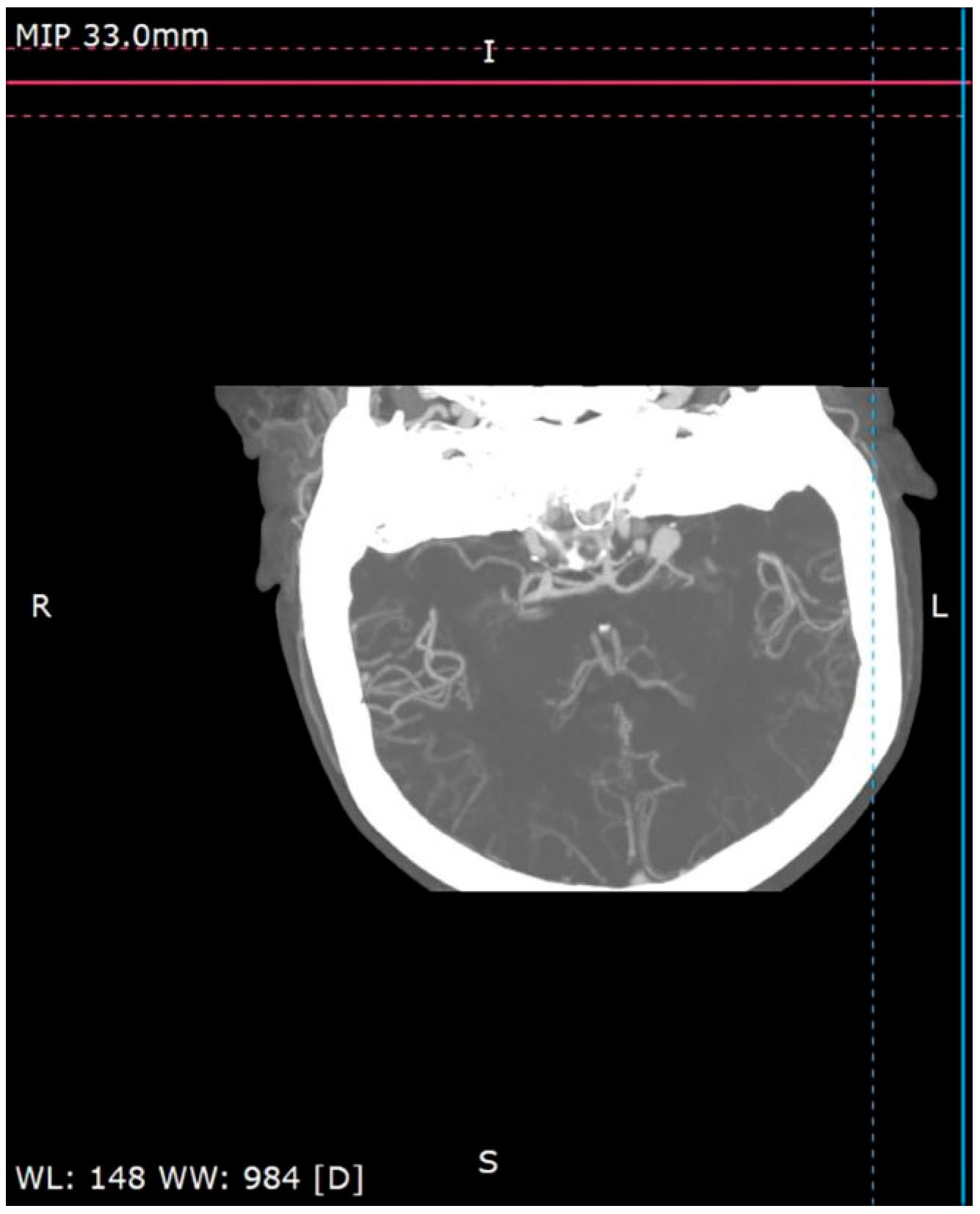
3. Description of Case
4. Discussion
5. Limitations
6. Conclusions
Author Contributions
Funding
Institutional Review Board Statement
Informed Consent Statement
Data Availability Statement
Conflicts of Interest
References
- Weller, P.F.; Leder, K. Toxocariasis: Visceral and Ocular Larva Migrans. Available online: https://www.uptodate.com/contents/toxocariasis-visceral-and-ocular-larva-migrans (accessed on 5 April 2023).
- Rostami, A.; Riahi, S.M.; Holland, C.V.; Taghipour, A.; Khalili-Fomeshi, M.; Fakhri, Y.; Omrani, V.F.; Hotez, P.J.; Gasser, R.B. Seroprevalence estimates for toxocariasis in people worldwide: A systematic review and meta-analysis. PLoS Negl. Trop. Dis. 2019, 13, e0007809. [Google Scholar] [CrossRef] [PubMed]
- Hotez, P.J.; Wilkins, P.P. Toxocariasis: America’s Most Common Neglected Infection of Poverty and a Helminthiasis of Global Importance? PLoS Negl. Trop. Dis. 2009, 3, e400. [Google Scholar] [CrossRef] [PubMed]
- Fan, C.K.; Holland, C.V.; Loxton, K.; Barghouth, U. Cerebral Toxocariasis: Silent progression to neurodegenerative disease? Clin. Microbiol. Rev. 2015, 28, 663–686. [Google Scholar] [CrossRef] [PubMed]
- Dzikowiec, M.; Góralska, K.; Błaszkowska, J. Neuroinvasions caused by parasites. Ann. Parasitol. 2017, 63, 243–253. [Google Scholar] [PubMed]
- Luna, J.; Cicero, C.E.; Rateau, G.; Quattrocchi, G.; Marin, B.; Bruno, E.; Dalmay, F.; Druet-Cabanac, M.; Nicoletti, A.; Preux, P.M. Updated evidence of the association between toxocariasis and epilepsy: Systematic review and meta-analysis. PLoS Negl. Trop. Dis. 2018, 12, e0006665. [Google Scholar] [CrossRef] [PubMed]
- Nicoletti, A. Neurotoxocariasis. Adv. Parasitol. 2020, 109, 219–231. [Google Scholar] [PubMed]
- Gale, S.D.; Hedges, D.W. Neurocognitive and neuropsychiatric effects of toxocariasis. Adv. Parasitol. 2020, 109, 261–272. [Google Scholar] [PubMed]
- Jabbour, R.A.; Kanj, S.S.; Sawaya, R.A.; Awar, G.N.; Hourani, M.H.; Atweh, S.F. Toxocara canis myelitis: Clinical features, magnetic resonance imaging (MRI) findings, and treatment outcome in 17 patients. Medicine 2011, 90, 337–343. [Google Scholar] [CrossRef] [PubMed]
- Hill, I.R.; Denham, D.A.; Scholtz, C.L. Toxocara canis larvae in the brain of a British child. Trans. R. Soc. Trop. Med. Hyg. 1985, 79, 351–354. [Google Scholar] [CrossRef] [PubMed]
- Sandal, S.; Krishnan, G.; Sharma, A.; Ismail, J.; Yadav, J. A rare case of toxocariasis presenting with hypereosinophilic pericardial effusion and mycotic aneurysm. Trop. Doct. 2022, 52, 188–191. [Google Scholar] [CrossRef] [PubMed]



Disclaimer/Publisher’s Note: The statements, opinions and data contained in all publications are solely those of the individual author(s) and contributor(s) and not of MDPI and/or the editor(s). MDPI and/or the editor(s) disclaim responsibility for any injury to people or property resulting from any ideas, methods, instructions or products referred to in the content. |
© 2024 by the authors. Licensee MDPI, Basel, Switzerland. This article is an open access article distributed under the terms and conditions of the Creative Commons Attribution (CC BY) license (https://creativecommons.org/licenses/by/4.0/).
Share and Cite
Biała, M.; Nieleńczuk, J.; Chodorowska, A.; Szetela, B. Challenges in Toxocariasis Diagnosis: From Pericarditis, through Hepatic Tumor, to the Detection of Brain Aneurysms: Case Report. Pathogens 2024, 13, 254. https://doi.org/10.3390/pathogens13030254
Biała M, Nieleńczuk J, Chodorowska A, Szetela B. Challenges in Toxocariasis Diagnosis: From Pericarditis, through Hepatic Tumor, to the Detection of Brain Aneurysms: Case Report. Pathogens. 2024; 13(3):254. https://doi.org/10.3390/pathogens13030254
Chicago/Turabian StyleBiała, Martyna, Joanna Nieleńczuk, Anna Chodorowska, and Bartosz Szetela. 2024. "Challenges in Toxocariasis Diagnosis: From Pericarditis, through Hepatic Tumor, to the Detection of Brain Aneurysms: Case Report" Pathogens 13, no. 3: 254. https://doi.org/10.3390/pathogens13030254
APA StyleBiała, M., Nieleńczuk, J., Chodorowska, A., & Szetela, B. (2024). Challenges in Toxocariasis Diagnosis: From Pericarditis, through Hepatic Tumor, to the Detection of Brain Aneurysms: Case Report. Pathogens, 13(3), 254. https://doi.org/10.3390/pathogens13030254
