Abstract
Leptospira was investigated in kidneys (n = 305) from slaughtered livestock in the Gauteng Province abattoirs, South Africa, using a culture medium to isolate Leptospira, followed by the LipL32 qPCR to detect Leptospira DNA. The SecY gene region was amplified, sequenced, and analyzed for LipL32 qPCR-positive samples or Leptospira isolates. The overall frequency of isolation of Leptospira spp. was 3.9% (12/305), comprising 4.8% (9/186), 4.1% (3/74), and 0% (0/45) from cattle, pigs, and sheep, respectively (p > 0.05). However, with LipL32 qPCR, the overall frequency of Leptospira DNA was 27.5%, consisting of 26.9%, 20.3%, and 42.2% for cattle, pigs, and sheep, respectively (p = 0.03). Based on 22 SecY sequences, the phylogenetic tree identified the L. interrogans cluster with serovar Icterohaemorrhagiae and the L. borgpetersenii cluster with serovar Hardjo bovis strain Lely 607. This study is the first molecular characterization of Leptospira spp. from livestock in South Africa. The reference laboratory uses an eight-serovar microscopic agglutination test panel for leptospirosis diagnosis, of which L. borgpetersenii serovar Hardjo bovis is not part. Our data show that pathogenic L. interrogans and L. borgpetersenii are circulating in the livestock population. Diagnostic use of molecular methods will eliminate or reduce the under-reporting of leptospirosis in livestock, particularly sheep, in South Africa.
Keywords:
isolation; molecular characterization; Leptospira spp.; livestock; abattoirs; South Africa 1. Introduction
Pathogenic Leptospira spp. are the cause of leptospirosis in humans and animals worldwide. The disease is transmitted through exposure to the urine of an infected animal host or reservoir host containing the pathogenic leptospires. It can also be contracted from the environment [1]. A systemic infection due to the pathogen can affect an animal’s vital organs [2]. This disease could cause significant economic loss, especially to the livestock industry, and a threat to the human livelihood, as these livestock serve as a source of income and food [3,4].
Leptospirosis is caused by infection with the pathogenic Leptospira spp. [5]. In the past, all pathogenic strains were classified as Leptospira interrogans, and all non-pathogenic organisms (saprophytes) were placed under Leptospira biflex [6]. In recent times, L. interrogans, L. borgpetersenii. L. alexanderi, L. alstonii, L. kirschneri, L. noguchi, L. santarosai, L. weilii, and L. wolffii have been detected in clinical cases [7]. However, there has been an increase in the species of Leptospira resulting from the use of several molecular methods, including DNA–DNA hybridization, 16S rRNA analysis, multilocus sequence typing (MLST), and comparative genomics [Delgado et al. [8]. With the availability of inexpensive whole genome sequencing coupled with increased interest in metagenomics studies on environmental samples, the number of species of Leptospira has jumped from 22 in 2018 to 64 in 2019 [9].
The transmission of leptospirosis is attributed to many environmental factors [8,10]. This is through the excretion of leptospires in the urine of infected reservoir animals, where the pathogens are in close contact with domestic animals and rodents [1]. The pathogenesis of leptospirosis is not yet fully understood, but it has been reported that the pathogenic Leptospira spp. can result in different clinical manifestations in an infected host, ranging from subclinical infection to undifferentiated febrile illness [11,12]. The clinical signs of leptospirosis in animals include low milk production, abortion, stillbirth, infertility, decrease in meat production, and death [3,13]. The clinical signs and symptoms in humans include lethargy/depression, vomiting, fever, weight loss, polyuria/polydipsia, abdominal or lumbar pain, stiffness/arthralgia, renomegaly, diarrhea, icterus, oculonasal discharge, petechiae, weakness and dyspnea/cough [6]. Clinical signs and symptoms cannot confirm leptospirosis in animals and humans [1,7], but in animals, drop in milk production, abortions and reproductive failures. Since the signs may vary in other species, there is less concern on production-related symptoms. Therefore, the definitive diagnosis of the disease involves the use of specific and recommended diagnostic tools, such as bacteriological, serological (microscopic agglutination test, MAT), and molecular methods, which are considered mandatory in detecting the causative agent, pathogenic Leptospira spp. [4,14].
The type of samples processed for detecting Leptospira spp. is important [7]. Some diagnostic methods, such as bacteriological culture, are cumbersome, time-consuming, and easily contaminated, and require skilled personnel. More importantly, the isolation rate is frequently low and not sensitive [7]. These limitations pose a problem in obtaining data on leptospires circulating in animals, humans, and the environment in different regions. However, the advantage of the isolation method is that it is a standard technique for confirming infecting serovars from individual animals or humans [15,16].
The use of molecular diagnostic methods for leptospirosis is highly recommended [4] to reduce the problem of under-diagnosis of the disease. The methods include the qPCR detection of the pathogenic Leptospira spp. The major outer membrane LipL32 partial gene region for screening [17] and the secY partial gene region, with its alternating conserved and variable regions, make it appropriate for heterogeneity interpretation of Leptospira spp. phylogeny [18]. In addition, the amplified secY partial gene region using the G1G2 internal primers [19], followed by sequence analysis, has allowed the identification of some serotypes or serovars [20,21], as well as the identification of pathogenic leptospires [18]. The advantages of the qPCR detection method, compared to the conventional methods, are that it is fast, it reduces the chances of contamination, it is specific and sensitive, especially with hydrolysis probes, and it has a high throughput [17,22]. The qPCR assay has been found to detect as low as 102 and 103 bacteria/mL of pure culture, whole blood, plasma, and serum samples targeting the LipL32 and SecY gene regions [23]. Three independent experiments found a slightly higher sensitivity of qPCR in plasma than in whole blood and serum. However, the disadvantages of the qPCR method include its expensiveness, its requirement of good skills, and its inability to identify leptospires to serovars level [7].
Bacteriological isolation, serological assays, and PCR have been used singly or in combination to diagnose leptospirosis in animals and humans to increase the sensitivity and specificity of the diagnostic strategy [4,7]. The frequency of isolation of Leptospira spp. from the kidneys or urine of slaughtered livestock is variable: e.g., 0% in Brazil [24], 0.8% in Columbia [25], 10.4% in Zimbabwe [26], and 46.2% in another study in Brazil [27]. In a comparative study using three diagnostic methods, Rajeev et al. [28], in an abattoir survey of slaughtered cattle in Georgia, USA, reported a frequency of 78%, 29.7%, and 8.1% using fluorescent antibody staining, PCR, and culture, respectively. In Thailand, the use of both bacteriological assay and PCR revealed an overall frequency of detection of Leptospira of 12.21% (16/131), compared with an isolation rate of 0.76% (1/131) [29]. This variation could be due to the higher sensitivity of molecular methods, such as the qPCR, than conventional methods for isolating Leptospira spp. Furthermore, several studies have documented that the frequency of Leptospira DNA in kidney tissues is consistently higher than the rate of isolation of the organism from the same kidney tissues [24,28,29].
In South Africa, the last reported isolation of leptospires was documented in 1987 [30], where 25% (3/12) of bovine tissues cultured for Leptospira spp. were positive, but the isolates were not serotyped. Over the past two decades, no studies on livestock on farms or at abattoirs investigated the prevalence of leptospirosis. Therefore, the objectives of this study were to determine the frequency of isolation of Leptospira spp. from the kidneys of slaughtered cattle, pigs, and sheep at abattoirs in Gauteng Province, South Africa, and to detect pathogenic Leptospira spp. using the Leptospira qPCR assay targeting the LipL32 gene region from which the pathogenic Leptospira spp. were characterized using SecY partial gene region sequences in the kidneys collected from slaughtered livestock and abattoir effluents.
2. Materials and Methods
2.1. Study Area
The study was conducted in South Africa, located in the southern tip region of Africa, with a population of approximately 57.78 million people as of 2018. Gauteng Province, the study area, is in the Highveld and is the smallest province in South Africa, accounting for only 1.5% of the land area (18.178 km2) of the country’s total area of 1220.813 km2. The province has the highest number of abattoirs in the country, comprising high throughput (HT) and low throughput (LT) abattoirs that slaughter animals from Gauteng Province and other provinces. Therefore, the slaughtered animals sampled at the abattoirs in Gauteng Province in the current study may be representative of slaughtered animals throughout the country, as they originated from provinces across South Africa. The population of livestock per million in 2014/2015 in Gauteng Province was reported to be 13.7, 11, and 1.5 for cattle, sheep, and pigs, respectively [31], and included the livestock species sampled in the current study.
2.2. Location of Abattoirs
A list of functional red meat abattoirs (mono- and multi-species) in Gauteng Province was provided by Gauteng Department of Agriculture and Rural Development (GDARD). Overall, 14 abattoirs comprising seven HT and seven LT were randomly selected from abattoirs whose owners approved the conduct of the study at their facilities. The distribution of abattoirs in Gauteng Province from which livestock were sampled and of livestock that were positive for Leptospira spp. by isolation is shown in Figure 1A,B. Geographic information system (GIS) data were collected using the Garmin Nüvi® GPS navigator (Garmin Ltd., Lenexa, KS, USA.). The readings were entered into the Arc GIS program version 13.0 (Environmental Systems Research Institute, Redlands, CA, USA), and the data were used to plot figures and produce maps.
Figure 1.
(A) The map shows the location of Gauteng Province in South Africa, and the main map displays the locations of the 14 abattoirs in Gauteng Province from which samples were collected. (B) The distribution of livestock that were positive for Leptospira spp. by isolation in abattoirs in the Gauteng Province shows the number of Leptospira spp. recovered by abattoirs.
2.3. Type of Study and Sampling
This cross-sectional study consisted of convenient sampling at 14 red-meat abattoirs from slaughtered livestock in Gauteng Province in South Africa, sampled between September 2016 and April 2017. The animals slaughtered at Gauteng abattoirs were not exclusively from farms in the province, as this province allows movement from other provinces. The abattoir owners or managers provided consented to facilitate the study.
2.4. Demographic Data and Risk Factors for Livestock Sampled at the Abattoirs
The demographic data obtained from the abattoirs included the type of abattoir (HT or LT) and the location of abattoirs using the Global Positing System (GPS) within Gauteng Province. Animal-level risk factors were obtained to investigate their potential effects on the detection frequency of Leptospira spp. and included the animal species (cattle, pigs, and sheep), sex (male and female), age (adult and young), and breed.
2.5. Samples Collected
The animals sampled in this cross-sectional study were cattle, pigs, and sheep. The kidneys of slaughtered livestock (n = 305) were collected (one kidney per animal) from 186, 74, 45, and 14 cattle, pigs, sheep, and abattoir effluents, respectively. The kidney samples were aseptically removed from each randomly selected carcass into individual sterile Ziploc bags. Abattoir effluent samples were also aseptically collected in three different locations at random within the abattoirs, and each abattoir sample was pooled in a 50 mL plastic cup and labeled. All collected samples were transported on ice to the laboratory within 2–4 h of collection. Each kidney sample from the 305 animals was processed using both bacteriological culture (isolation of Leptospira spp.) assay and molecular methods (detection of Leptospira DNA) assay. Pooled abattoir effluent samples from each of the abattoirs (n = 14) were centrifuged into pellets for DNA extraction.
2.6. Isolation of Leptospira spp.
Ellinghausen–McCullough–Johnson–Harris (EMJH) semi-solid medium (Difco™ BD Leptospira Enrichment EMJH, USA) was prepared by adding 1% agar to the basal broth media, and EMJH liquid medium was used for the purification of leptospiral cultures for further typing and characterization. The isolation of Leptospira spp. from the kidney samples (n = 305) was conducted at the Agricultural Research Centre-Onderstepoort Veterinary Research laboratory, Onderstepoort Gauteng Province, South Africa. Kidney tissues (50 mg) containing the cortex and medulla portion were aseptically cut using sterile scalpel blades in a class II biohazard cabinet (BSL 2) and added to a sterile 5 mL syringe plunger containing 3 mL of liquid EMJH medium to macerate the tissues. Approximately 2 mL of the macerated kidney contents were transferred aseptically for homogenization using the Precellys® 24 lysis homogenizer at 4500 rpm for 2 min. After that, 200 µL of the supernatant was aseptically inoculated into 5 mL of semi-solid EMJH medium [32] containing 200 μg/mL 5-fluorouracil in a labeled 10 mL sterile tube. The inoculated EMJH media tubes were incubated at 29 °C and observed weekly for 3–6 months using dark-field microscopy (Nikon Labophot® Japan; model number: 277602) for the presence or absence of leptospires. Samples without leptospiral growth by the end of the six-month incubation were classified as negative for Leptospira spp. (Supplementary data: Figure S1). Isolates positive for Leptospira spp. were identified under the dark-field microscope.
2.7. Detection of Leptospira spp. by Real-Time PCR (qPCR) Using the Pathogenic LipL32 Gene Region
The pelleted abattoir effluents were resuspended with 2 mL PBS. DNA was extracted using the ISOLATE II Genomic DNA (Bioline) kit as described by the manufacturers, with minor modifications—specifically, the use of 50 mg of tissue and 2 h of incubation instead of 25 mg of tissue and 3 h of incubation of the sample, with the addition of pre-lysis buffer and proteinase K. These extractions were carried out at the Department of Veterinary Tropical Diseases Laboratory, Faculty of Veterinary Science, University of Pretoria, South Africa.
Extracted DNA from the Leptospira spp. isolates and the kidney tissues were tested at the Yale University School of Public Health, USA, using the TaqMan Cador®Leptospira qPCR commercial kit on the Rotor Gene® Q (Whitehead Scientific, Germany®) to hybridize with the LipL32 gene region of pathogenic Leptospira spp., following the manufacturer’s instructions.
A LipL32 qPCR assay, as described by Wunder et al. [17], was conducted at the Yale University School of Public Health, USA, using a standard stock positive control genomic DNA (Leptospira interrogans serovar Copenhageni strain Fiocruz L1-130 isolated by Nascimento et al. [33]. A standard curve calibration of the genomic DNA was constructed using the serial dilution of positive control DNA starting at Log101 to Log107 genomic equivalents per gram (GEq/mL). The extracted DNA kidney and abattoir effluent samples were tested in duplicate alongside each standard curve dilution. A non-template negative control was also tested with all samples, using the genomic equivalents per mg of kidney DNA to express the results [34]. After the standardization of the standard curve, the Leptospira DNA extracts were subjected to LipL32 gene qPCR targeting to screen for pathogenic Leptospira spp. [17]. The PCR assays consisted of a 25 µL final volume containing 1x Platinum Quantitative PCR Supermix Rox-UDG (Invitrogen®), 10 µM of each primer (LipL32-45F and LipL32-286R), 5 µM TaqMan probe (LipL32-189P), and 5 µL of extracted DNA. The cycling conditions were as previously described, with a holding stage of 95 °C for 10 min, 45 cycles of 95 °C for 15 s, and 60 °C for 1 min using a TaqMan-based quantitative PCR assay in ABI 7500 system (Thermo Fisher Scientific, real-time PCR ABI 7500). The Ct-value ≤ 40 was regarded as positive, while a Ct-value ≥ 40 was regarded as negative. Excel software determined the standard curve correlation efficiency (R2). The LipL32 commercial qPCR and the LipL32 qPCR described by Wunder et al. [17] have the same target and are reported as LipL32 qPCR results.
2.8. Detection and Characterization of Leptospira spp. SecY Gene Region PCR and Sequencing
Ten pure isolates of Leptospira spp. were subjected to the pathogenic SecY gene PCR [18]. The pathogenic SecY PCR assay to discriminate the pathogenic Leptospira spp. [18] was amplified from LipL32 qPCR positive kidney DNA with concentrations over Log10gc/g 4.23, as determined with a standard curve (Supplementary Figure S2) followed by sequencing. The pathogenic SecY partial gene region was amplified using the SecYII and SecYIV primer sets: SecYII (5′-GAATTTCTCTTTTGATCTTCG-3′) and Sec IV (5′-GAATTTCTCTTTTGATCTTCG-3′) for the first step PCR with a final volume of 25 µL containing 1× buffer, 200 µM dNTPs, 400 µM primer pair SecYII and SecYIV each, 0.2 µg bovine serum albumin (BSA) (Ambion), 1.25U Taq polymerase, (Thermo Scientific), and 3 µL extracted DNA template [16]. The nested PCR was performed using the G1G2 pair of primer sets for pathogenic Leptospira spp., with a total volume of 25 µL containing 1x buffer, 200 µM dNTPs, 400 µM of each primer SecYII and SecYIV, 0.2 µg bovine serum albumin (BSA), (Ambion), 1.25 U Taq polymerase (Thermo Scientific), and 3 µL of the first PCR amplicon [18]. The PCR reactions for the first and nested SecY partial gene amplification consisted of 94 °C for 5 min (1 cycle), 94 °C for 30 s, 55 °C for 45 s (35 cycles), and 72 °C for 60 s (1 cycle) in a My Cycler™ Thermal Cycler (BioRad). The positive control used for the amplification was L. interrogans, serovar Copenhageni strain Fiocruz L1-130 [33], and ultra-pure water (Thermo Scientific) was used as the negative control. The agarose gel electrophoresis was run using 3 µL of amplicons in 1.5% agarose gels in TBE buffer for 35 min at 110 V, using ethidium bromide (10 mg/µL). Images were captured using the Bio-Rad-Chemi-Doc-XRS. The Qiaquick PCR purification kit was used per the manufacturer’s specifications to purify the nested SecY PCR products (285 bp). The generated amplicons were then sent to Eurofins Genomic (Bayern, Germany), for Sanger sequencing.
2.9. Sequence Analyses of SecY Partial Gene Region of Leptospira Isolates and Kidney Tissue Samples and Phylogeny
The resulting sequences obtained from PCR products obtained from Leptospira spp. isolates and kidney samples were edited using the CLC Genomics Workbench, version 7.5.1. Reference sequences were blasted using the basic local alignment search tool (BLAST) (http://www.ncbi.nih.gov, accessed on 15 March 2020). The sequenced SecY Leptospira and Leptospira reference sequences retrieved from GenBank were aligned using MAFFT version 7 (https://mafft.cbrc.jp/alignment/server/, accessed on 24 March 2020) and trimmed using the BioEdit (http://www.mbio.ncsu.edu/BioEdit/page2.html, accessed on 14 May 2020). A phylogenetic tree was constructed using the maximum likelihood method in MEGA 7.0.2 with a 1000 bootstraps value.
2.10. Statistical Analyses of Risk Factors
Univariate analysis of associations was conducted using the isolation frequency of the animal as a binary outcome (positive or negative). The predictor variables were the abattoir (14 abattoirs), the type of abattoir (multi-species and mono-species), the throughput of the abattoir (LT and HT), the animal species (cattle, sheep, and pigs), sex (male, female), and age (adult and young). Each predictor variable was tested for significant associations with the serological status using the chi-square test of association. The prevalence ratio for each animal-level potential risk factor was obtained and 95% confidence intervals were estimated using the quantiles formation of the normal distribution (qnorm) with the MASS package in R [35].
Significant variables (p < 0.05) in the univariate analysis were assessed for collinearity using the chi-square statistic; variables were considered collinear if p < 0.05. When a pair of variables was found to be collinear, only the more biologically plausible variable was kept for further analysis in the binary logistic regression. The analysis considered the isolation frequency as determined by the isolation of Leptospira spp. and the detection of Leptospira DNA by PCR for individual animals as a binary outcome. Of the three statistically significant variables (abattoir, breed, species) from the univariate analysis, the pairs breed and species, abattoir and breed, and abattoir and species were found to be collinear and, therefore, only species and abattoir were retained in the final model.
Given the likelihood that some animals slaughtered in the same abattoir may have originated from the same farm/herd/flock, leading to dependence, intra-cluster correlation within abattoirs was tested at the beginning of the regression process. To test if seropositivity for antibodies to Leptospira spp. by the MAT were clustered in abattoirs, a log ratio test between a model with the “abattoir” as a random effect and a null model was performed. The p-value from the log ratio test was less than 0.05, meaning that the results of Leptospira spp. were clustered inside the abattoir.
A mixed-effect logistic regression model was used in the multivariable analysis, with the species as the “fixed effect” and the abattoir as the “random effect.” Hosmer–Lemeshow χ2 was used as a goodness-of-fit test. Statistical analysis was performed using R Console version 3.2.1 [36] at a 5% significance level. For the cleaning of data and frequency determination of the predictor variables of the livestock slaughtered, Microsoft Excel 2010 was used for descriptive statistics to plot the bar chart and to determine the frequency of all the variables used, as mentioned in the risk factors analyses.
2.11. Ethical Approvals
Animal ethics approvals were obtained from the animal ethics committee of the University of Pretoria, Faculty of Veterinary Science (Number: v084-1 the ARC-OVR (Number: AEC12-16). Section 20 approval from the Department of Agriculture, Land Reform and Development (DALRD), was also obtained.
3. Results
3.1. Isolation of Leptospires from Livestock Kidneys by Isolation and Risk Factors
The overall frequency for the isolation of leptospires from slaughtered livestock kidneys in 14 Gauteng abattoirs was 3.9% (12/305). The Dingers ring zone was observed 3 to 8 weeks post-inoculation in EMJH media inoculated with kidney samples with leptospiral growth (Supplementary data: Figure S1). Of the 12 isolates identified as possible Leptospira spp. from kidney tissues using dark-field microscopy, four isolates tested negative for the pathogenetic LipL32 qPCR. Two of the remaining eight Leptospira spp. isolates were contaminated, resulting in six pure pathogenic Leptospira spp. isolates.
For the throughput of abattoirs, the frequency of isolation of Leptospira spp. was 50% (6/12) and 50% (6/12) from HT and LT abattoirs, respectively. The frequency of isolation by animal species was 4.8% (9/186), 4.1% (3/74), and 0.0% (0/45) in cattle, pigs, and sheep, respectively, but the differences were not statistically significant (p > 0.05). Of the 12 Leptospira spp., nine (75%), three (25%), and 0 (0%) originated from cattle, pigs, and sheep, respectively. For cattle, the frequency of isolation of Leptospira spp. was 5.3% (9/170) and 0% (0/16) for adult and young animals, respectively, but the difference was not statistically significant (p > 0.05). For pigs, the frequency of isolation of Leptospira spp. was 2.3% (1/43) and 6.5% (2/31) for adult and young animals, respectively (p > 0.05).
For cattle, the overall frequency of isolation of Leptospira spp. was 1.8% (2/110) and 9.2% (7/76) for male and female cattle, respectively (p = 0.0209). Thus, of the nine isolates recovered from cattle, the majority, 77.8% (7/9), were from females and the minority, 22.2% (2/9) from males. For pigs, the frequency of isolation of Leptospira spp. was 2.0% (1/50) and 8.3% (2/24) for male and female pigs, respectively p > 0.05). Of the three isolates recovered from pigs, 33.3% (1/3) were males and 66.7% (2/3) were females.
For cattle, the frequency of isolation of Leptospira spp. was 13.3% (4/30) and 3.9% (5/129) from Nguni and Bonsmara cattle, respectively (p = 0.28), with 55.6% (5/9) of the isolates from the Nguni breed and 44.4% (4/9) from the Bonsmara breed. For pigs, the frequency of isolation of Leptospira spp. was 4.1% (3/74), but all the pigs slaughtered and sampled were of the large white breed.
3.2. Detection of Leptospira spp. in Kidneys of Livestock and Abattoir Effluents by qPCR and Risk Factors
The overall frequency of pathogenic Leptospira spp. detected with LipL32 gene qPCR in kidney tissues of livestock (cattle, pigs, and sheep) was 27.5% (84/305) for the kidney tissues samples analyzed, but all 14 abattoir effluent samples were negative. Supplementary data: Figure S2 show the standardized qPCR curve used to quantify the concentrations of a standard stock positive control genomic DNA (Leptospira interrogans, serovar Copengageni strain Fiocruz L1-130). The frequency pathogenic Leptospira spp. detected with LipL32 gene qPCR in cattle kidney tissues was 6.9% (50/186) (Supplementary data: Figure S3). The frequency of pathogenic Leptospira spp. detected with LipL32 gene qPCR of pigs was found to be 20.3% (15/74) (Supplementary data: Figure S4).
Of the three animal species tested, sheep had the highest frequency of pathogenic Leptospira spp. Detected, with LipL32 gene qPCR at 42.2% (19/45) (Supplementary data: Figure S5). The isolation rate of Leptospira spp. was significantly lower than the detection rate for Leptospira DNA in kidney tissues in cattle (4.8% versus 26.9%, p < 0.0001), pigs (4.1% versus 20.3%, p = 0.0025), and sheep (0% versus 42.2%, p < 0.001).
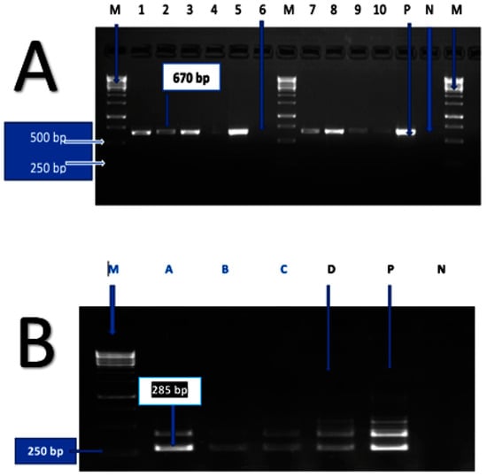
The overall detection of the LipL32 gene region using qPCR present in pathogenic Leptospira spp. was positive in 84 (27.5%) of the 305 kidney samples tested. The positivity rate was 3.3% (10/305) for Leptospira isolates observed under the dark-field microscope (only 10 of the 12 Leptospira isolates were regarded as pure, and two were contaminated and could not be used in this assay). Of the 10 isolates of Leptospira spp. observed under the dark-field microscope, six were identified as pathogenic Leptospira spp. by the LipL32 gene region qPCR assay and the remaining four isolates were unidentified. Furthermore, from the positive genomic DNA quantified, the SecY gene region of Leptospira spp. generated 22 sequences from the 285 bp SecY partial gene region, consisting of the six Leptospira isolates and 16 from the kidney tissues. Figure 2 shows the amplification of the first and nested PCR of the SecY partial gene region using PCR.
Figure 2.
Agarose gel images. (A) First amplification of the 670 bp secY partial gene region using PCR with primers (SecYII and SecYIV). The marker (M) is the O’ Gene Ruler 1Kb DNA Ladder (Thermo Fischer). M = Marker; 1, 2, 3,4, 5, 7, 8, 9, and 10 = samples positive; 6 = sample negative; P = positive control (Leptospira interrogans, serovar Copenhageni strain Fiocruz L1-130) and N = negative control (ultra-pure water). (B) Nested amplification of the 285 bp SecY partial gene region using PCR with primers (G1G2). The O’ Gene Ruler 1Kb DNA Ladder (Thermo Fischer) was used as a marker (M). M = marker; A to D = samples positive for SecY gene region nested PCR; P = positive control (Leptospira interrogans, serovar Copenhageni strain Fiocruz L1-130) and N = negative control (ultra-pure water).
3.3. Phylogeny of SecY Sequences of Leptospira Isolates and Kidneys Samples Tissue
As indicated, 22 sequences from the 285 bp amplified SecY gene region were aligned, comprising sequences from six isolates, and 16 from kidney tissues were identified. The SecY gene region sequences from the six isolates included five from cattle (four L. interrogans and one L. borgpetersenii) and one L. interrogans from a pig. The SecY gene region sequences from the 16 kidney tissue samples included 10 from cattle, of which nine were L. interrogans, and one was L. borgpetersenii. Three SecY gene region sequences from pig kidney samples were identified as L. interrogans, and the three sequences from sheep were identified as two L. interrogans and one L. borgpetersenii.
The phylogenetic tree analysis of SecY Leptospira gene sequences from cattle of L. interrogans and L. borgpetersenii clustered into two clades (clades A and B) according to their serovars (Figure 3). The four SecY L. interrogans sequences (four from isolates indicated by red dots) and nine from kidney samples (in bold without dots) (Figure 3, clade A) were identical to each other and to GenBank sequences of L. interrogans serovar Icterrohaemorrhagiae A 20 (KU219597), L. interrogans Lai 56,601, and L. interrogans serovar Copenhageni (Figure 3, clade A) and clustered with nine identical sequences from kidney samples (in bold without dots) (Figure 3, clade A). The two SecY L. borgpetersenii sequences from cattle samples (one isolate with the red dot and one kidney tissue sample in bold without the dot) were identical to each other and Genbank L. borgpetersenii serovar Hardjo bovis strain Lely 607 (EU365953), L. borgpetersenii serovar Hardjo 105A, and L. borgpetersenii Tunis P 2 25 sequences (Figure 3, clade B).
Figure 3.
Phylogenetic tree of SecY partial gene region of pathogenic Leptospira spp. sequences using the maximum likelihood methods based on the General Time Reversible (GTR+1) model. SecY sequences were obtained from 15 cattle slaughtered at Gauteng abattoirs, indicated in bold, including sequences obtained from Leptospira cultures or isolates indicated by red dots and GenBank reference sequences pathogenic Leptospira species with L. bifexa as an outgroup. The SecY Leptospira gene sequences from cattle clustered into two clades namely clades A consisting of L. interrogans and clade B consisting of L. borgpetersenii sequences. In clade A, SecY sequences of four isolates from cows and nine from kidney samples were identical to each other and to GenBank sequences of L. interrogans serovar Icterrohaemorrhagiae A 20 (KU219597), L. interrogans Lai 56,601, and L. interrogans serovar Copenhageni. In clade B, two SecY L. borgpetersenii sequences from cattle samples were identical to each other and Genbank L. borgpetersenii serovar Hardjo bovis strain Lely 607 (EU365953), L. borgpetersenii serovar Hardjo 105A, and L. borgpetersenii Tunis P 2 25 sequences. A bootstrap of 1000 replicates with values above 75% was considered.
The phylogenetic tree analysis of secY Leptospira gene sequences from pigs identified as L. interrogans clustered into clade C (Figure 4). Sequences SecY SADBB_pig_62 and SADBB_pig_51 from pig kidney samples were identical with L. interrogans serovar Icterrohaemorrhagiae A 20 (KU219597), L. interrogans Lai 56,601, and L. interrogans serovar Copenhageni, while SecY L. interrogans sequences from an isolate (SADBB_pig_iso 290, indicated by two red dots) and SADBB_pig_41 (from pig kidney sample) were identical to each other but differed slightly from different L. interrogans sequences (Figure 4, clade C).
Figure 4.
Phylogenetic tree of SecY partial gene region of pathogenic Leptospira spp. sequences using the maximum likelihood methods based on the General Time Reversible (GTR+1) model. SecY sequences were obtained from four pigs slaughtered at Gauteng abattoirs, indicated by a bold single dot (kidney tissues), including sequences obtained from Leptospira cultures or isolate, indicated by two red dots, GenBank reference sequences of pathogenic Leptospira species with L. bifexa as an outgroup. In clade C, sequences SecY SADBB_pig_62 and SADBB_pig_51 from pig kidney samples were identical with L. interrogans serovar Icterrohaemorrhagiae A 20 (KU219597), L. interrogans Lai 56,601, and L. interrogans serovar Copenhageni, while isolate SADBB_pig_iso 290 sequence and SADBB_pig_41 from pig kidney sample were identical to each other. A bootstrap of 1000 replicates with values above 75% was considered.
The phylogenetic tree analysis of SecY Leptospira gene sequences from sheep consisting of L. interrogans and L. borgpetersenii clustered into two clades (clades D and E) according to the different serovars (Figure 5). The SecY L. interrogans SADBB sheep one sequence from a kidney sample (in bold with one red dot, Figure 5, clade D) was identical to GenBank sequences of L. interrogans serovar Icterohaemorrhagiae A 20 (KU219597), L. interrogans Lai 56,601, and L. interrogans serovar Copenhagen (Figure 5, clade D), which clustered but differed slightly from SecY L. interrogans SADBB sheep 2 sequences from a kidney sample (in bold with one red dot, Figure 5, clade D). The SecY L. borgpetersenii SADBB sheep 3 sequences (in bold with one red dot) from the sheep kidney sample was identical to Genbank L. borgpetersenii serovar Hardjo bovis strain Lely 607 (EU365953), L. borgpetersenii serovar Hardjo 105A, and L. borgpetersenii Tunis P 225 sequences (Figure 5, clade E).
Figure 5.
Phylogenetic tree of SecY partial gene region of pathogenic Leptospira spp. sequences using the maximum likelihood methods based on the General Time Reversible (GTR+1) model. SecY sequences were obtained from 3 slaughtered sheep at Gauteng abattoirs, indicated with one red dot, as GenBank reference sequences of pathogenic Leptospira species with L. bifexa as an outgroup. The gene sequences from sheep clustered with L. interrogans (clade D) and L. borgpetersenii (clade E). In clade D, SecY L. interrogans SADBB sheep 1 sequence from a kidney sample was identical to GenBank sequences of L. interrogans serovar Icterohaemorrhagiae A 20 (KU219597), L. interrogans Lai 56,601, and L. interrogans serovar Copenhageni and differed slightly from SADBB Sheep 2 sequence from sheep kidney. Clade E, the SADBB sheep 3 sequence from sheep kidney was identical to Genbank L. borgpetersenii serovar Hardjo bovis strain Lely 607 (EU365953), L. borgpetersenii serovar Hardjo 105A, and L. borgpetersenii Tunis P 225 sequences. A bootstrap of 1000 replicates with values above 75% was considered.
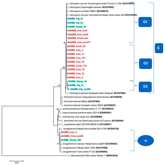
The phylogenetic tree analysis of Leptospira spp. SecY partial gene region sequences from cattle, pigs, and sheep clustered with Genbank partial SecY sequences of L. interrogans and L. borgpetersenii into two clades (G and H) (Figure 6). The SecY partial gene sequences from isolates recovered from cows’ kidneys SADBB_cow_iso4, SADBB_cow_isof5, SADBB_cowb_isot, and SADBB_cow_isof177 (Figure 6, G1 marked with red dots written in red ink boldly), pigs’ kidney tissues samples, SADBB_Pig_62 and SADBB_Pig_51, (G1 in blue ink in Figure 6), and the sheep kidney sample, SADBB_sheep_26 (G1 in green ink in Figure 6) were identical to L. interrogans serovar icterohaemorrhagiae strain A20 (KU219598), L. interrogans Lai strain 56,601 (EU358012), L. interrogans Copenhageni serovar (KU219595), and L. interrogates serovar Copenhageni strain Fiocruz LV 580 (KU219597) (Figure 6, G1). These identical L. interrogans South African sequences (G1) were from pig and sheep kidney tissues and isolates from cattle kidneys. Nine SecY partial sequences from cattle kidney tissue were identical (G2 subclade in Figure 6) and slightly different from sequences in the G1 subclade. The SecY L. interrogans sequences from pig culture (SADBB_Pig_iso290, indicated by the blue arrow and written in blue ink in bold), SADBB_pig_41 and SADBB_Sheep_30 (from pig kidney tissue, blue ink in bold), and sheep kidney tissue (green ink in bold) samples) were identical and clustered together in subclade G3 and differed slightly from G2 subclade (Figure 6). The SecY L. borgpetersenii SADBB_Cow_4, SADBB_Cow_iso245, and SADBB_Sheep_329 sequences (Figure 6, clade H) were identical with Genbank L. borgpetersonii serovar Hardjo bovis Lely607 (EU365953), L. borgpetersonii Hardjo strain 105A (KU219486), and L. borgpetersenii Tunis strain P 225 (EU 358064) sequences.
Figure 6.
Phylogenetic tree of SecY partial gene region of pathogenic Leptospira spp. sequences using the maximum likelihood methods based on the general time reversible (GTR+1) model. SecY sequences were obtained from 22 livestock [cattle (red ink in bold), pigs (blue ink in bold), and sheep (green ink in bold)] slaughtered at Gauteng abattoirs. Cattle isolates sequences are indicated with red dots and red ink in bold, while cattle kidney tissue samples sequences are indicated by red ink in bold without a dot; pigs isolates are indicated by a blue arrow and written in blue ink in bold, while the pigs’ kidney tissue samples sequences are marked with blue written in bold ink without the arrow and the sheep kidney tissues sequences are written in bold green ink. The G1 clade consisted of sequences from isolates from cows’ kidneys SADBB_cow_iso4, SADBB_cow_isof5, SADBB_cowb_isot, and SADBB_cow_isof177, pigs’ kidney tissues samples, SADBB_Pig_62 and SADBB_Pig_51, and the sheep kidney sample, SADBB_sheep_26 that were identical to L. interrogans serovar icterohaemorrhagiae strain A20 (KU219598), L. interrogans Lai strain 56,601 (EU358012), L. interrogans Copenhageni serovar (KU219595), and L. interrogates serovar Copenhageni strain Fiocruz LV 580 (KU219597). In G2 clade, nine sequences from cattle kidney tissue were identical. The SecY L. interrogans sequences from pig culture (SADBB_Pig_iso290, SADBB_pig_41 and SADBB_Sheep_30) were identical and clustered together in subclade G3. In clade H, the SecY L. borgpetersenii SADBB_Cow_4, SADBB_Cow_iso245, and SADBB_Sheep_329 sequences were identical with Genbank L. borgpetersonii serovar Hardjo bovis Lely607 (EU365953), L. borgpetersonii Hardjo strain 105A (KU219486), and L. borgpetersenii Tunis strain P 225 (EU 358064) sequences.The GenBank reference sequences of pathogenic Leptospira species with L. bifexa as an outgroup were used. A bootstrap of 1000 replicates with values above 75% was considered.
4. Discussion
Accurate diagnosis of leptospirosis in livestock is important for the wellbeing of animals, the economy of the country, small stakeholders’ livelihoods, and a healthy environment. Such accuracy is also invaluable for preventing and controlling zoonotic disease spillover to humans, especially veterinarians, abattoir workers, and farmers [1,3,4]. Thus, this work is of vital importance. The overall frequency of isolation of Leptospira spp. (3.9%) from all livestock in our study (cattle, pigs, and sheep) is considerably lower than that reported for slaughtered livestock elsewhere; for instance, the frequency in a Brazilian slaughterhouse was 38.2% (13/34) and in Harare, Zimbabwe, it was 10.4% [26,27]. It was, however, higher than the figure obtained from Nan province, Thailand (0.76%; 1/131) [29]. The difference may be reflective of livestock management and sanitary practices, among other factors [30]. Of diagnostic relevance is the finding that the isolation rate of Leptospira spp. was significantly lower than the detection rate for Leptospira DNA in kidney tissues of cattle (4.8% versus 26.9%, p < 0.0001), pigs (4.1% versus 20.3%, p = 0.0025) and sheep (0% versus 42.2%, p < 0.000001). Furthermore, the overall frequency of isolation of Leptospira spp. from kidney tissues of all livestock tested was 3.9% (12/305), compared with a detection rate of 27.5% (84/305) of Leptospira DNA in kidney tissues (p < 0.00001). Similar patterns have been documented in other studies [24,29]. The implication is that the DNA detection outperformed the isolation procedure; focusing on the latter alone to determine the prevalence of Leptospira spp. in livestock will grossly underestimate the true disease prevalence. Significantly, though, all the sheep kidneys were negative for Leptospira spp. by culture but were positive for Leptospira DNA. Hence, the qPCR assay’s sensitivity, specificity, and accuracy are considerably higher than those of any other diagnostic methods used to diagnose leptospirosis [7,14,37]. However, a qPCR assay cannot differentiate between the existence of live and dead leptospires in kidney tissues, which limits its application for risk assessment for human and animal exposure to pathogen infection and environmental contamination with viable leptospires [7,17]. Freitas et al. [24] reported different isolation rates using different samples, with urine and liver samples outperforming uterus, kidney, and ovarian tissues [38]. Hence, a suitable sample must be combined with the test method to optimize the isolation and characterization of the pathogen.
Abattoir workers have a higher prevalence (serology and isolation) of leptospirosis and other zoonoses than the general population [29]. Human exposure to Leptospira spp. can be through the mucous membranes and skin [1]; this has been documented in South Africa, mainly from 1957 to 1979 [39,40,41,42,43,44,45,46]. At a minimum, serological evidence of L. canicola [40], L. icterohaemorrhagiae, and L. serjoe have been shown [41,46]. Considering that the slaughtered cattle in Gauteng, South Africa, originated from several provinces and that evidence of leptospirosis was shown in this study, it is necessary to investigate this same disease in other provinces and also to consider environmental contamination along the movement route of cattle and in value chain actors from other provinces to Gauteng Province [39,47].
Although serological evaluations typically return a higher prevalence for leptospirosis than isolation or PCR [28,39,48,49,50,51], we concluded that serological evaluations do not accurately estimate active infection or carrier status, and they may not demonstrate pathogen shedding [49,50,51]. Optimizing the isolation protocol for Leptospira spp. will provide increasing diagnostic efficiency for the pathogen using these more robust methods. In the current study, the LipL32 gene region qPCR detected Leptospira DNA in 26.9% (50/186) of kidney tissues in slaughtered cattle, which was similar to reports in New Zealand (21.0%; 30/148) [39]. The qPCR determination of Leptospira DNA prevalence in New Zealand cattle, sheep, and pigs [39] is similar to the one from South Africa, which is perhaps a reflection of similarity in exposure factors for livestock and management practices.
Herr et al. [52] previously isolated L. interrogans serovar Pomona from cattle in South Africa. L. canicola was isolated from a dog and pigs by van Rensburg [53]. Gummow et al. [30] isolated L. interrogans serovar pomona from cattle urine and from an aborted fetus, as well as from pig kidney. In our study, Leptospira interrogans serovar Icterohaemorrhagiae and L. borgpetersenii serovar Hardjo bovis were determined from isolates and cattle kidneys using SecY region sequences, rather than serovar pomona as found in previous studies [30,52]. As determined in previous studies, risk factors for disease transmission in outbreaks included poor management of pig effluent and unhygienic drinking water [30]. In our study of the evaluated risk factors for the isolation of Leptospira spp., only sex (in cattle) was significant (p = 0.02). Infected livestock could be shedders of the pathogen capable of contaminating the environment (farms and abattoirs), exposing farmers, veterinarians, and abattoir workers to leptospirosis, thereby posing a zoonotic risk [38]. The possible effects of environmental factors such as rodent population, urine contamination, and sanitary practices on farms cannot be ignored [10,54].
In addition, although our study indicated a zero isolation rate in sheep in South Africa, it is not dismissive of the fact that sheep are susceptible. A study in Brazil reported a considerably higher frequency of isolation of Leptospira spp. from 46.2% (6/13) of sheep slaughtered in abattoirs [27,30]. L. borgpetersenii serovar Hardjo bovis identified in sheep and cattle using secY sequences in our study suggest circulation in the livestock population in the country. It is pertinent that, despite demonstrating the presence of L. borgpetersenii serovar Hardjo bovis, serologically and genetically, the central diagnostic laboratory at ARC-OVR uses an eight-antigen panel for MAT, excluding L. borgpetersenii serovar Hardjo bovis, which may suggest inadvertent under-reporting of leptospirosis in South Africa.
It is of potential clinical importance that the detection of the LipL32 and SecY genes’ partial regions in this study indicates the presence of the pathogenic Leptospira virulence genes in the DNAs of the isolates and kidney tissues. Other researchers have used the detection of LipL32 and the SecY genes’ partial region to determine the virulence of leptospires [15,16,21]. Since the prior clinical status of the livestock was not determined pre-slaughter in our study, it will be prudent to assess the clinical significance of the virulence gene-positive isolates of Leptospira spp. in future studies. This is because the possession of virulence genes by leptospires or other pathogens does not always lead to the expression of virulence in susceptible hosts [54,55,56]. Animal models, particularly hamsters, have been demonstrated to be very suitable for determining the virulence of Leptospira spp. [57,58].
5. Conclusions, Limitations, and Recommendations
The isolation of pathogenic Leptospira spp. at a rate of 3.9% (12/305) by bacteriological assay and the detection of pathogenic Leptospira DNA by PCR in 27.5% (84/305) of the kidneys of slaughtered livestock tested are indicative of the level of infection of livestock presented in the Gauteng provincial abattoirs and other provinces in the country. The data presented in this study contribute to a rich deposit of current data on the status of leptospirosis in Gauteng Province and South Africa at large, using bacteriological and molecular methods. This study presented the first documentation of molecular characterization studies on pathogenic Leptospira spp. in livestock in South Africa. Significantly, although sheep kidneys returned zero prevalence by culture for Leptospira spp., the same tissues yielded Leptospira DNA at a 42.2% detection rate (n = 19/45) by qPCR. We concluded that bacteriological assay alone will grossly underestimate the occurrence of Leptospira spp. in sheep.
Future research should consider increasing the sample size to provide ample and representative research information. The sensitization of the public regarding leptospirosis in livestock and humans, using validated risk communication and community engagement (RCCE) strategies, should be implemented in South Africa. In addition, improved technical know-how for diagnosing leptospirosis should be engendered through continuous capacity-building in the areas of bacteriology (culture), serology, and PCR. Finally, the inclusion of L. borgpetersenii serovar Hardjo bovis in the panel of antigens used to serotype the sera of animals for the occurrence of leptospirosis is recommended. It is imperative to conduct further studies of the isolation of Leptospira spp. from sheep in the country, using a larger sample size in abattoirs across the country to confirm the status of Leptospira infection.
Supplementary Materials
The following supporting information can be downloaded at: https://www.mdpi.com/article/10.3390/pathogens12050666/s1.
Author Contributions
Conceptualization, A.A.A., F.O.F., and H.v.H.; methodology, B.B.D., A.D.P., A.C.-M., C.L., H.v.H., A.I.K., E.A.W.J., C.B., and A.A.A.; validation, B.B.D., A.C.-M., A.D.P., C.L., H.v.H., A.I.K., and E.A.W.J.; formal analysis, B.B.D., C.B., F.O.F., and A.A.A.; investigation, B.B.D., A.C.-M. and F.B.K.; resources, H.v.H., A.D.P., and A.I.K.; data curation, B.B.D., A.A.A., F.O.F., and H.v.H.; writing—original draft preparation, B.B.D.; writing—review and editing, A.A.A., H.v.H., A.D.P., F.O.F., and F.B.K.; supervision, A.A.A., H.v.H., F.O.F., and A.D.P.; project administration, H.v.H., F.O.F., and A.D.P. All authors have read and agreed to the published version of the manuscript.
Funding
We thank the Gauteng Department of Agriculture and Rural Development. (GDARD) for providing the project’s initial grant (2015-2017). We also thank the University of Pretoria, Postgraduate Study Abroad Bursary (Outbound) (#UP/PGSABP/SR/2017) for B.B.D.’s visit to the Yale University of School of Public Health, USA (October to November 2017). Finally, we appreciate the support of Professor Albert I. Ko and Dr. Elsio Wunder of the Yale University School of Public Health, for the acquisition of additional knowledge and skills by B.B.D. in the isolation, MAT, PCR, and molecular analysis of Leptospira spp. through the NIAID NIH HHS grant (#R01AI121207).
Institutional Review Board Statement
Before the commencement of the study, approvals were obtained from the following bodies and committees: the Animal Ethics Committee (AEC: V084-16) of the Faculty of Veterinary Science, University of Pretoria, South Africa (AEC: v084-16), Agricultural Research Council-Onderstepoort Veterinary Research (ARC-OVR) (AEC: 12-16), and (under section 20 according to Act 35 of 1984) the Director of Animal Health at the Department of Agriculture, Forestry and Fisheries (DAFF) (Number: FY2015/2016), South Africa.
Informed Consent Statement
The consent of the owners of the abattoirs was obtained before sampling commenced at their facilities.
Data Availability Statement
Data are available in a publicly accessible repository.
Acknowledgments
We acknowledge the support of GDARD for providing us with information on the abattoirs in Gauteng Province and for facilitating access to the managers. We also thank the abattoir owners for access to their facilities. Finally, we acknowledge the support of the National Veterinary Research Institute, Vom, Nigeria, and Onderstepoort Veterinary Research (OVR), South Africa.
Conflicts of Interest
The authors declare no conflict of interest.
References
- Ko, A.I.; Goarant, C.; Picardeau, M. Leptospira: The dawn of the molecular genetics era for an emerging zoonotic pathogen. Nat. Rev. Microbiol. 2009, 7, 736–747. [Google Scholar] [CrossRef]
- Garcia, M.M.; de Diego Damia, A.; Villanueva, R.M.; Hontagas, J.L. Pulmonary Involvement in Leptospirosis. Eur. J. Clin. Microbiol. Infect. Dis. 2000, 19, 471–474. [Google Scholar] [CrossRef]
- OIE. Manual of Diagnostic Tests and Vaccines for Terrestrial Animals: (Mammals, Birds and Bees); OIE: Paris, France, 2004. [Google Scholar]
- WHO. Human Leptospirosis: Guidance for Diagnosis, Surveillance, and Control; World Health Organization: Geneva, Switzerland, 2003. [Google Scholar]
- Mohammed, H.; Nozha, C.; Hakim, K.; Abdelaziz, F.; Rekia, B. Leptospira: Morphology, Classification and Pathogenesis. J. Bacteriol. Parasitol. 2011, 2, 120. [Google Scholar] [CrossRef]
- Faine, S. Guidelines for the Control of Leptospirosis; World Health Organization: Geneva, Switzerland, 1982. [Google Scholar]
- Picardeau, M. Diagnosis and epidemiology of leptospirosis. Méd. Mal. Infect. 2013, 43, 1–9. [Google Scholar] [CrossRef] [PubMed]
- Delgado, M.A.; Cáceres, O.A.; Calderón, J.E.; Balda, L.; Sotil, G.; Céspedes, M.L. New Genetic Variants of Leptospira spp Characterized by MLST from Peruvian Isolates. J. Trop. Med. 2022, 2022, 4184326. [Google Scholar] [CrossRef]
- Picardeau, M. Leptospira and Leptospirosis. Methods Mol. Biol. 2020, 2134, 271–275. [Google Scholar] [CrossRef]
- Petrakovsky, J.; Bianchi, A.; Fisun, H.; Nájera-Aguilar, P.; Pereira, M.M. Animal Leptospirosis in Latin America and the Caribbean Countries: Reported Outbreaks and Literature Review (2002–2014). Int. J. Environ. Res. Public Health 2014, 11, 10770–10789. [Google Scholar] [CrossRef]
- Bharti, A.R.; Nally, J.E.; Ricaldi, J.N.; Matthias, M.A.; Diaz, M.M.; Lovett, M.A.; Levett, P.N.; Gilman, R.H.; Willig, M.R.; Gotuzzo, E.; et al. Leptospirosis: A zoonotic disease of global importance. Lancet Infect. Dis. 2003, 3, 757–771. [Google Scholar] [CrossRef]
- Vinetz, J.M.; Glass, G.E.; Flexner, C.E.; Mueller, P.; Kaslow, D.C. Sporadic Urban Leptospirosis. Ann. Intern. Med. 1996, 125, 794–798. [Google Scholar] [CrossRef] [PubMed]
- Martins, G.; Penna, B.; Hamond, C.; Leite, R.C.-K.; Silva, A.; Ferreira, A.; Brandão, F.; Oliveira, F.; Lilenbaum, W. Leptospirosis as the most frequent infectious disease impairing productivity in small ruminants in Rio de Janeiro, Brazil. Trop. Anim. Health Prod. 2011, 44, 773–777. [Google Scholar] [CrossRef]
- WHO. Leptospirosis: An emerging public health problem. Wkly. Epidemiol. Record. Relev. Épidémiologique Hebd. 2011, 86, 45–50. [Google Scholar]
- WHO. Climatic Factors and the Occurrence of Dengue Fever, Dysentery and Leptospirosis in Sri Lanka 1996–2010: A Retrospective Study; Technical Report; World Health Organization: Geneva, Switzerland, 2014. [Google Scholar]
- WHO. Managing Epidemics: Key Facts about Major Deadly Diseases; World Health Organization: Geneva, Switzerland, 2018. [Google Scholar]
- Wunder, E.A., Jr.; Figueira, C.P.; Santos, G.R.; Lourdault, K.; Matthias, M.A.; Vinetz, J.M.; Ramos, E.; Haake, D.A.; Picardeau, M.; dos Reis, M.G.; et al. Real-Time PCR Reveals Rapid Dissemination of Leptospira interrogans after Intraperitoneal and Conjunctival Inoculation of Hamsters. Infect. Immun. 2016, 84, 2105–2115. [Google Scholar] [CrossRef] [PubMed]
- Victoria, B.; Ahmed, A.; Zuerner, R.L.; Ahmed, N.; Bulach, D.M.; Quinteiro, J.; Hartskeerl, R.A. Conservation of the S10-spc-alpha Locus within Otherwise Highly Plastic Genomes Provides Phylogenetic Insight into the Genus Leptospira. PLoS ONE 2008, 3, e2752. [Google Scholar] [CrossRef] [PubMed]
- Zuerner, R.L.; Hartskeerl, R.A.; Van De Kemp, H.; Bal, A.E. Characterization of theLeptospira interrogansS10-spc-α operon. FEMS Microbiol. Lett. 2000, 182, 303–308. [Google Scholar] [CrossRef]
- Cerqueira, G.M.; McBride, A.; Hartskeerl, R.A.; Ahmed, N.; Dellagostin, O.; Eslabão, M.R.; Nascimento, A.L. Bioinformatics Describes Novel Loci for High Resolution Discrimination of Leptospira Isolates. PLoS ONE 2010, 5, e15335. [Google Scholar] [CrossRef] [PubMed]
- Perez, J.; Goarant, C. Rapid Leptospira identification by direct sequencing of the diagnostic PCR products in New Caledonia. BMC Microbiol. 2010, 10, 325. [Google Scholar] [CrossRef]
- Smythe, L.D.; Tiengrim, S.; Peacock, S.J.; Wuthiekanun, V.; Suputtamongkol, Y.; Day, N.P.; Apiwattanaporn, A.; Chierakul, W.; Slack, A.T.; Chueasuwanchai, S.; et al. The Microscopic Agglutination Test (MAT) Is an Unreliable Predictor of Infecting Leptospira Serovar in Thailand. Am. J. Trop. Med. Hyg. 2009, 81, 695–697. [Google Scholar] [CrossRef]
- Stoddard, R.A.; Gee, J.E.; Wilkins, P.P.; McCaustland, K.; Hoffmaster, A.R. Detection of pathogenic Leptospira spp. through TaqMan polymerase chain reaction targeting the LipL32 gene. Diagn. Microbiol. Infect. Dis. 2009, 64, 247–255. [Google Scholar] [CrossRef]
- De Freitas, J.C.; Da Silva, F.G.; De Oliveira, R.C.; Delbem, Á.C.B.; Müller, E.E.; Alves, L.A.; Teles, P.S. Isolation of Leptospira spp from dogs, bovine and swine naturally infected. Ciência Rural. 2004, 34, 853–856. [Google Scholar] [CrossRef]
- Romero-Vivas, C.M.; Thiry, D.; Rodríguez, V.; Calderón, A.; Arrieta, G.; Máttar, S.; Cuello, M.; Levett, P.N.; Falconar, A.K. Molecular serovar characterization of Leptospira isolates from animals and water in Colombia. Biomédica 2013, 33, 179–184. [Google Scholar]
- Feresu, S. Isolation of Leptospira interrogans from kidneys of Zimbabwe beef cattle. Vet. Rec. 1992, 130, 446–448. [Google Scholar] [CrossRef] [PubMed]
- Da Silva, R.C.; Da Costa, V.M.; Shimabukuro, F.H.; Richini-Pereira, V.B.; Menozzi, B.D.; Langoni, H. Frequency of Leptospira spp. in sheep from Brazilian slaughterhouses and its association with epidemiological variables. Pesqui. Veterinária Bras. 2012, 32, 194–198. [Google Scholar] [CrossRef]
- Rajeev, S.; Ilha, M.; Woldemeskel, M.; Berghaus, R.D.; Pence, M.E. Detection of asymptomatic renal Leptospira infection in abattoir slaughtered cattle in southeastern Georgia, United States. SAGE Open Med. 2014, 2, 2050312114544696. [Google Scholar] [CrossRef] [PubMed]
- Kurilung, A.; Chanchaithong, P.; Lugsomya, K.; Niyomtham, W.; Wuthiekanun, V.; Prapasarakul, N. Molecular detection and isolation of pathogenic Leptospira from asymptomatic humans, domestic animals and water sources in Nan province, a rural area of Thailand. Res. Vet. Sci. 2017, 115, 146–154. [Google Scholar] [CrossRef] [PubMed]
- Gummow, B.; Myburgh, J.; Thompson, P.; Van der Lugt, J.; Spencer, B. Three case studies involving Leptospira interrogans serovar pomona infection in mixed farming units: Case report. J. S. Afr. Vet. Assoc. 1999, 70, 29–34. [Google Scholar] [CrossRef] [PubMed]
- DAFF. Abstract of Agricultural Statistics. Available online: https://www.daff.gov.za/Daffweb3/Portals/0/Statistics (accessed on 23 November 2016).
- Johnson, R.C.; Harris, V.G. Differentiation of Pathogenic and Saprophytic Leptospires I. Growth at Low Temperatures. J. Bacteriol. 1967, 94, 27–31. [Google Scholar] [CrossRef]
- Nascimento, A.L.T.O.; Ko, A.I.; Martins, E.A.L.; Monteiro-Vitorello, C.B.; Ho, P.L.; Haake, D.A.; Verjovski-Almeida, S.; Hartskeerl, R.A.; Marques, M.V.; Oliveira, M.C.; et al. Comparative Genomics of Two Leptospira interrogans Serovars Reveals Novel Insights into Physiology and Pathogenesis. J. Bacteriol. 2004, 186, 2164–2172. [Google Scholar] [CrossRef]
- Lourdault, K.; Aviat, F.; Picardeau, M. Use of quantitative real-time PCR for studying the dissemination of Leptospira interrogans in the guinea pig infection model of leptospirosis. J. Med. Microbiol. 2009, 58, 648–655. [Google Scholar] [CrossRef]
- Venables, W.N.; Ripley, B.D. Data Manipulation, Chapter 2. In Modern Applied Statistics with S, 4th ed.; 29 April 2002; pp. 13–39. Available online: http://staff.ustc.edu.cn/~houbo/course/Modern%20Applied%20Statistics%20with%20Splus%20(Fourth%20edition).pdf (accessed on 26 April 2023).
- R Core Tem. R: A Language and Environment for Statistical Computing; R Foundation for Statistical Computing: Vienna, Austria, 2017; p. 35. Available online: https://www.R-project.org (accessed on 23 April 2017).
- Bourhy, P.; Collet, L.; Lernout, T.; Zinini, F.; Hartskeerl, R.A.; van der Linden, H.; Thiberge, J.M.; Diancourt, L.; Brisse, S.; Giry, C.; et al. Human Leptospira Isolates Circulating in Mayotte (Indian Ocean) Have Unique Serological and Molecular Features. J. Clin. Microbiol. 2012, 50, 307–311. [Google Scholar] [CrossRef]
- Barbante, P.; Shimabukuro, F.H.; Langoni, H.; Richini-Pereira, V.B.; Lucheis, S.B. Leptospira spp. infection in sheep herds in southeast Brazil. J. Venom. Anim. Toxins Incl. Trop. Dis. 2014, 20, 20. [Google Scholar] [CrossRef]
- Fang, F.; Collins-Emerson, J.M.; Cullum, A.; Heuer, C.; Wilson, P.R.; Benschop, J. Shedding and Seroprevalence of Pathogenic Leptospira spp. in Sheep and Cattle at a New Zealand Abattoir. Zoonoses Public Health 2015, 62, 258–268. [Google Scholar] [CrossRef] [PubMed]
- Gear, J.; Wolstenholme, B.; Jackson, A.; Chesler, E.; Brueckner, R.M. Leptospirosis in South Africa: Thccurrence of cases of leptospiral meningo-encephalitis on the Witwatersrand. S. Afr. Med. J. 1958, 32, 94–100. [Google Scholar] [PubMed]
- Newman, R.C.; and Core, H.L. Weil’s disease in Cape Town: A case report. S. Afr. Med. J. 1962, 36, 851–853. [Google Scholar] [PubMed]
- Maze, S.S.; Kirsch, R.E. Leptospirosis experience at Groote Schuur Hospital, 1969–1979. S. Afr. Med. J. 1981, 59, 33–36. [Google Scholar] [PubMed]
- Samson, R.T.; Pillay, D.T.S. Leptospirosis in Cape Town. S. Afr. Med. J. 1966, 40, 1010–1011. [Google Scholar]
- Zaltzman, M.; Kallenbach, J.M.; Goss, G.D.; Lewis, M.; Zwi, S.; Gear, J.H. Adult respiratory distress syndrome in Leptospira canicola infection. BMJ 1981, 283, 519–520. [Google Scholar] [CrossRef]
- De Vries, S.G.; Visser, B.J.; Nagel, I.M.; Goris, M.G.A.; Hartskeerl, R.A.; Grobusch, M.P. Leptospirosis in Sub-Saharan Africa: A systematic review. Int. J. Infect. Dis. 2014, 28, 47–64. [Google Scholar] [CrossRef]
- Naidoo, K.; Moseley, M.; McCarthy, K.; Chingonzoh, R.; Lawrence, C.; Setshedi, G.M.; Frean, J.; Rossouw, J. Fatal Rodentborne Leptospirosis in Prison Inmates, South Africa, 2015. Emerg. Infect. Dis. 2020, 26, 1033–1035. [Google Scholar] [CrossRef]
- Thibeaux, R.; Geroult, S.; Benezech, C.; Chabaud, S.; Soupé-Gilbert, M.-E.; Girault, D.; Bierque, E.; Goarant, C. Seeking the environmental source of Leptospirosis reveals durable bacterial viability in river soils. PLOS Negl. Trop. Dis. 2017, 11, e0005414. [Google Scholar] [CrossRef]
- Dogonyaro, B.B.; van Heerden, H.; Potts, A.D.; Kolo, B.F.; Lotter, C.; Katsande, C.; Fasina, F.O.; Ko, A.I.; Wunder, E.A., Jr.; Adesiyun, A.A. Seroepidemiology of Leptospira infection in slaughtered cattle in Gauteng province, South Africa. Trop. Anim. Health Prod. 2020, 52, 3789–3798. [Google Scholar] [CrossRef]
- Lilenbaum, W.; Martins, G. Leptospirosis in Cattle: A Challenging Scenario for the Understanding of the Epidemiology. Transbound. Emerg. Dis. 2014, 61, 63–68. [Google Scholar] [CrossRef] [PubMed]
- Sohm, C.; Steiner, J.; Jöbstl, J.; Wittek, T.; Firth, C.; Steinparzer, R.; Desvars-Larrive, A. A systematic review on leptospirosis in cattle: A European perspective. bioRxiv 2023, 2023, 531463. [Google Scholar] [CrossRef]
- Rajeev, S.; Spirochetes, V. Veterinary Microbiology; Wiley: Hoboken, NJ, USA, 2022; pp. 225–230. [Google Scholar] [CrossRef]
- Herr, S.; Riley, A.E.; Neser, J.A.; Roux, D.; De Lange, J.F. Leptospira interrogans serovar Pomona associated with abortion in cattle: Isolation methods and laboratory animal histopathology. Onderstepoort J. Vet. Res. 1982, 49, 57–62. [Google Scholar] [PubMed]
- Van Rensburg, W.J.J. Isofasie van Leptospira canicola by varke en honde in Suid-Afrika. Journal of the South African Veterinary Association. J. S. Afr. Vet. Assoc. 1973, 44, 435–436. [Google Scholar] [PubMed]
- Johnson, M.A.; Smith, H.; Joseph, P.; Gilman, R.H.; Bautista, C.; Campos, K.J.; Cespedes, M.; Klatsky, P.; Al, M.A.J.E.; Terry, H.; et al. Environmental Exposure and Leptospirosis, Peru. Emerg. Infect. Dis. 2004, 10, 1016–1022. [Google Scholar] [CrossRef]
- Garcia, L.E.; de Araújo Junior, E.C.; Melo, L.M.; Bragato, J.P.; Peiró, J.R.; De Lima, V.M.F.; Márcia Marinho, M.; Arnold, D.R.; Flavia Lombardi Lopes, F.L. Characterization of the micro-transcriptome of macrophages infected with virulent, Attenuated and saprophyte strains of Leptospira spp. PLoS Negl. Trop. Dis. 2018, 12, e0006621. [Google Scholar] [CrossRef] [PubMed]
- de Araújo Junior, E.C.; Garcia, L.E.; Araújo, M.J.; Oliveira-Junior, I.S.; Arnold, D.R.; Lopes, F.L.; Marinho, M. Gene expression is associated with virulence in murine macrophages infected with Leptospira spp. PLoS ONE 2019, 14, e0225272. [Google Scholar] [CrossRef]
- Agudelo-Flórez, P.; Murillo, V.E.; Londoño, A.F.; Rodas, J.D. Histopathological kidney alterations in rats naturally infected with Leptospira. Biomédica 2013, 33, 82–88. [Google Scholar]
- Suepaul, S.M.; Carrington, C.V.F.; Campbell, M.; Borde, G.; Adesiyun, A.A. Serovars of Leptospira isolated from dogs and rodents. Epidemiol. Infect. 2009, 138, 1059–1070. [Google Scholar] [CrossRef]
Disclaimer/Publisher’s Note: The statements, opinions and data contained in all publications are solely those of the individual author(s) and contributor(s) and not of MDPI and/or the editor(s). MDPI and/or the editor(s) disclaim responsibility for any injury to people or property resulting from any ideas, methods, instructions or products referred to in the content. |
© 2023 by the authors. Licensee MDPI, Basel, Switzerland. This article is an open access article distributed under the terms and conditions of the Creative Commons Attribution (CC BY) license (https://creativecommons.org/licenses/by/4.0/).





