Alveolar Echinococcosis in a Patient with Presumed Autoimmune Hepatitis and Primary Sclerosing Cholangitis: An Unexpected Finding after Liver Transplantation
Abstract
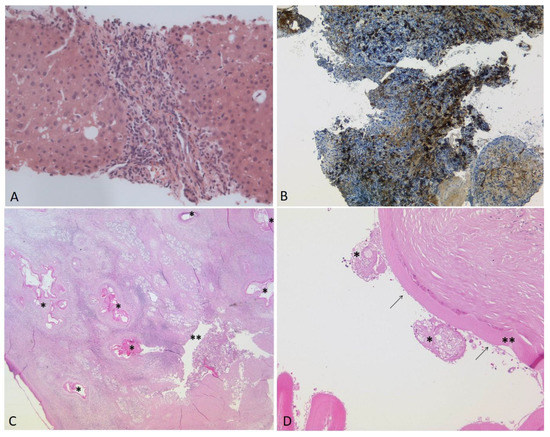
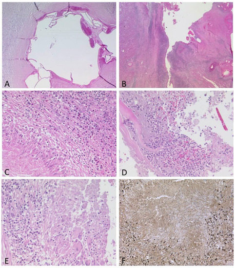
1. Case Report
2. Discussion
3. Conclusions
Author Contributions
Funding
Institutional Review Board Statement
Informed Consent Statement
Conflicts of Interest
Abbreviations
| AE | alveolar echinococcosis |
| AIH | autoimmune hepatitis |
| ANA | anti-nuclear antibodies |
| AP | alkaline phosphatase |
| BMI | body mass index |
| CA19-9 | carbohydrate antigen 19-9 |
| CE | cystic echinococcosis |
| CMV | cytomegalovirus |
| CRP | C-reactive protein |
| CT | computed tomography scan |
| DHC | ductus hepaticus communis |
| EBV | Epstein–Barr virus |
| ERCP | endoscopic retrograde cholangiopancreatography |
| HE | Hematoxlin Eosin |
| HSV | herpes simplex virus |
| IBD | inflammatory bowel disease |
| IgG | immunoglobulin G |
| IgG4 | immunoglobulin G4 |
| pANCA | perinuclear anti-neutrophil cytoplasmic antibodies |
| PET | positron emission tomography; |
| PSC | primary sclerosing cholangitis |
| SE | standard exceptions |
| SLA/LP | soluble liver antigen/liver pancreas antigen |
| SMA | smooth muscle antibody |
| LKM | liver/kidney microsome |
| LTx | liver transplantation |
| MRCP | magnetic resonance cholangiopancreatography |
| VZV | varicella-zoster virus |
| yGT | γ-glutamyltransferase |
References
- Deutsche Gesellschaft für Gastroenterologie, Verdauungs- und Stoffwechselkrankheiten (DGVS) (Federführend); Deutsche Gesellschaft für Innere Medizin (DGIM); Deutsche M. Crohn/Colitis Ulcerosa Vereinigung (DCCV); Deutsche Leberhilfe e.V.; Deutsche Gesellschaft für Ultraschall in der Medizin (DEGUM); Deutsche Gesellschaft für Endoskopie und Bildgebende Verfahren (DGE-BV); Deutsche Gesellschaft für Kinder- und Jugendmedizin (DGKJ); Gesellschaft für Pädiatrische Gastroenterologie (GPGE); Deutsche Gesellschaft für Rheumatologie (DGRh); Deutsche Röntgengesellschaft (DRG); et al. Practice guideline autoimmune liver diseases-AWMF-Reg. No. 021-27. Z Gastroenterol. 2017, 55, 1135–1226. [Google Scholar] [CrossRef] [PubMed]
- Dupont, C.; Grenouillet, F.; Mabrut, J.-Y.; Gay, F.; Persat, F.; Wallon, M.; Mornex, J.-F.; Philit, F.; Dupont, D. Fast-Growing Alveolar Echinococcosis Following Lung Transplantation. Pathogens 2020, 9, 756. [Google Scholar] [CrossRef] [PubMed]
- olManganis, C.D.; Chapman, R.W.; Culver, E.L. Review of primary sclerosing cholangitis with increased IgG4 levels. World J. Gastroenterol. 2020, 26, 3126–3144. [Google Scholar] [CrossRef] [PubMed]
- Zhou, T.; Lenzen, H.; Dold, L.; Bündgens, B.; Wedemeyer, H.; Manns, M.P.; Gonzalez-Carmona, M.A.; Strassburg, C.P.; Weismüller, T.J. Primary sclerosing cholangitis with moderately elevated serum-IgG4 - characterization and outcome of a distinct variant phenotype. Liver Int. 2021, 41, 2924–2933. [Google Scholar] [CrossRef] [PubMed]
- Grimm, F.; Maly, F.E.; Lü, J.; Llano, R. Analysis of Specific Immunoglobulin G Subclass Antibodies for Serological Diagnosis of Echinococcosis by a Standard Enzyme-Linked Immunosorbent Assay. Clin. Diagn. Lab. Immunol. 1998, 5, 613–616. [Google Scholar] [CrossRef] [PubMed]
- Dreweck, C.M.; Luder, C.G.K.; Soboslay, P.T.; Kern, P. Subclass-specific serological reactivity and IgG4-specific antigen recognition in human echinococcosis. Trop. Med. Int. Health 1997, 2, 779–787. [Google Scholar] [CrossRef] [PubMed]
- Wen, H.; Craig, P.S. Immunoglobulin G Subclass Responses in Human Cystic and Alveolar Echinococcosis. Am. J. Trop. Med. Hyg. 1994, 51, 741–748. [Google Scholar] [CrossRef] [PubMed]
- Tappe, D.; Sako, Y.; Itoh, S.; Frosch, M.; Gruüner, B.; Kern, P.; Ito, A. Immunoglobulin G Subclass Responses to Recombinant Em18 in the Follow-Up of Patients with Alveolar Echinococcosis in Different Clinical Stages. Clin. Vaccine Immunol. 2010, 17, 944–948. [Google Scholar] [CrossRef] [PubMed]
- Ito, A.; Wen, H.; Craig, P.S.; Ma, L.; Nakao, M.; Horii, T.; Pang, X.-L.; Okamoto, M.; Itoh, M.; Osawa, Y.; et al. Antibody Responses Against Em18 And Em16 Serodiagnostic Markers in Alveolar and Cystic Echinococcosis Patients from Northwest China. Jpn. J. Med Sci. Biol. 1997, 50, 19–26. [Google Scholar] [CrossRef] [PubMed][Green Version]
- Sulima, M.; Wołyniec, W.; Oładakowska-Jedynak, U.; Patkowski, W.; Wasielak, N.; Witczak-Malinowska, K.; Borys, S.; Nahorski, W.; Wroczyńska, A.; Szostakowska, B.; et al. Liver Transplantation for Incurable Alveolar Echinococcosis: An Analysis of Patients Hospitalized in Department of Tropical and Parasitic Diseases in Gdynia. Transplant. Proc. 2016, 48, 1708–1712. [Google Scholar] [CrossRef] [PubMed]
- Sade, R.; Polat, G.; Oğul, H.; Kantarci, M. Alveolar Echinococcus, a rare cause of liver transplantation. Equinococosis alveolar: Una causa infrecuente de trasplante hepático. Cirugía Española 2017, 95, 404. [Google Scholar] [CrossRef] [PubMed]




Disclaimer/Publisher’s Note: The statements, opinions and data contained in all publications are solely those of the individual author(s) and contributor(s) and not of MDPI and/or the editor(s). MDPI and/or the editor(s) disclaim responsibility for any injury to people or property resulting from any ideas, methods, instructions or products referred to in the content. |
© 2023 by the authors. Licensee MDPI, Basel, Switzerland. This article is an open access article distributed under the terms and conditions of the Creative Commons Attribution (CC BY) license (https://creativecommons.org/licenses/by/4.0/).
Share and Cite
Fronhoffs, F.; Dold, L.; Parčina, M.; Schneidewind, A.; Willis, M.; Barth, T.F.E.; Weismüller, T.J.; Zhou, T.; Lutz, P.; Luetkens, J.A.; et al. Alveolar Echinococcosis in a Patient with Presumed Autoimmune Hepatitis and Primary Sclerosing Cholangitis: An Unexpected Finding after Liver Transplantation. Pathogens 2023, 12, 73. https://doi.org/10.3390/pathogens12010073
Fronhoffs F, Dold L, Parčina M, Schneidewind A, Willis M, Barth TFE, Weismüller TJ, Zhou T, Lutz P, Luetkens JA, et al. Alveolar Echinococcosis in a Patient with Presumed Autoimmune Hepatitis and Primary Sclerosing Cholangitis: An Unexpected Finding after Liver Transplantation. Pathogens. 2023; 12(1):73. https://doi.org/10.3390/pathogens12010073
Chicago/Turabian StyleFronhoffs, Florian, Leona Dold, Marijo Parčina, Arne Schneidewind, Maria Willis, Thomas F. E. Barth, Tobias J. Weismüller, Taotao Zhou, Philipp Lutz, Julian A. Luetkens, and et al. 2023. "Alveolar Echinococcosis in a Patient with Presumed Autoimmune Hepatitis and Primary Sclerosing Cholangitis: An Unexpected Finding after Liver Transplantation" Pathogens 12, no. 1: 73. https://doi.org/10.3390/pathogens12010073
APA StyleFronhoffs, F., Dold, L., Parčina, M., Schneidewind, A., Willis, M., Barth, T. F. E., Weismüller, T. J., Zhou, T., Lutz, P., Luetkens, J. A., Gerlach, P., Manekeller, S., Kalff, J. C., Vilz, T. O., Strassburg, C. P., & Kristiansen, G. (2023). Alveolar Echinococcosis in a Patient with Presumed Autoimmune Hepatitis and Primary Sclerosing Cholangitis: An Unexpected Finding after Liver Transplantation. Pathogens, 12(1), 73. https://doi.org/10.3390/pathogens12010073

