Surveillance of Amoebic Keratitis-Causing Acanthamoebae for Potential Bacterial Endosymbionts in Ontario, Canada
Abstract
1. Introduction
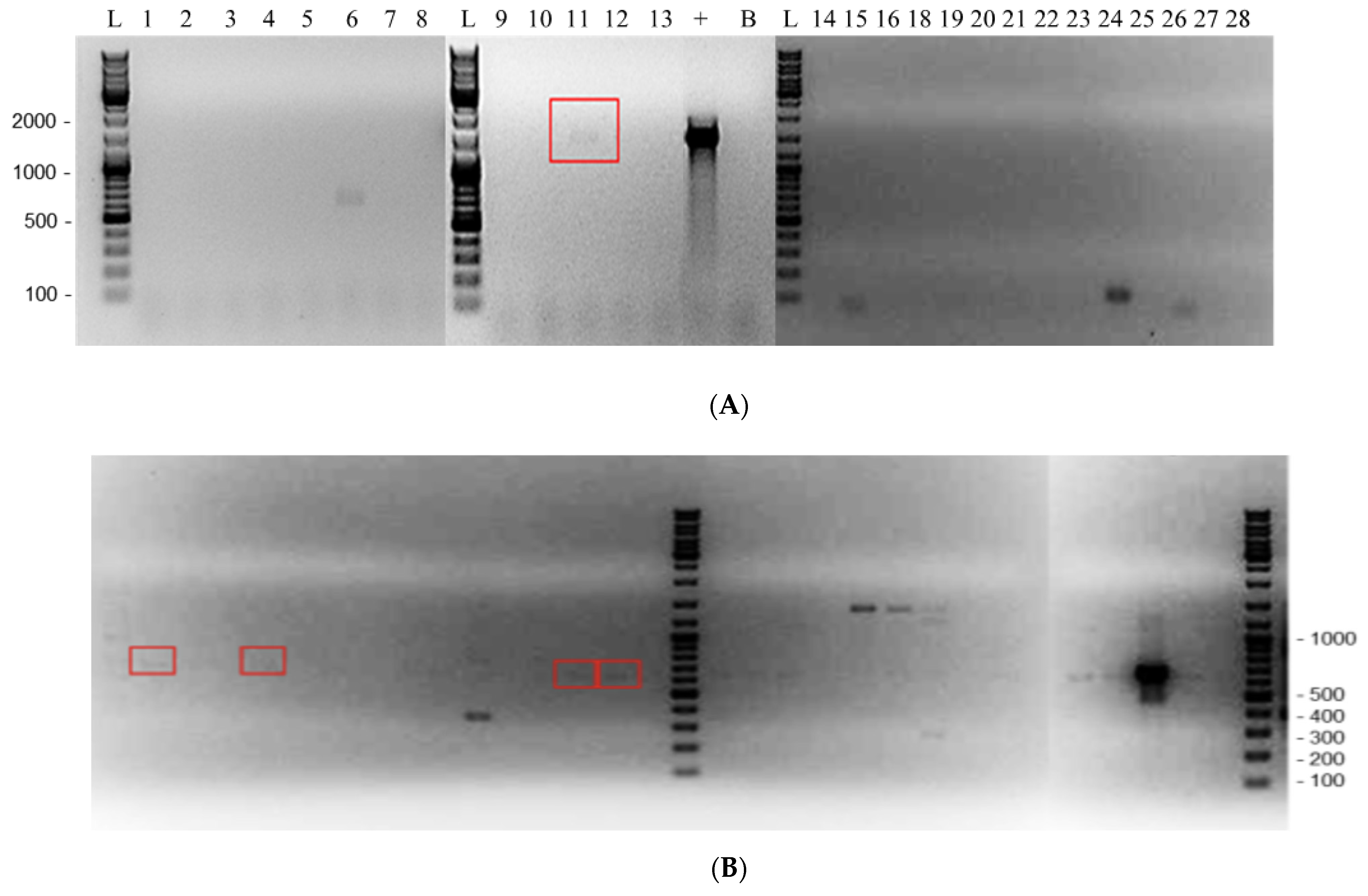
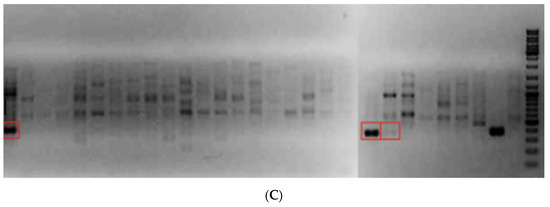
2. Results
3. Discussion
4. Materials and Methods
Author Contributions
Funding
Institutional Review Board Statement
Informed Consent Statement
Data Availability Statement
Conflicts of Interest
Appendix A
| Detection | Primer Name | Sequence | Annealing Temp | Reference |
|---|---|---|---|---|
| Acanthamoeba 18S (qPCR) | TaqAcF1 TaqAcR1 TaqAcP1 | 5′ CGACCAGCGATTAGGAGACG 3′ 5′ CCGACGCCAAGGACGAC 3′ 5′FAM-TGAATACAAAACACCACCATCGGCGC-TAMRA 3′ | 60 °C | [29] |
| Acanthamoeba 18S (qPCR) | AcantF900 AcantR1100 AcantP1000 | 5′ CCCAGATCGTTTACCGTGAA 3′ 5′ TAAATATTA ATGCCCCCAACT ATCC 3′ 5′-FAM GCCACCGAATACATTAGCATGG-BHQ3′ | 55 °C | [30] |
| Acanthamoeba 18S (end point PCR) | Nelson primer set | 5′ GTTTGAGGCAATAACAGGT 3′ 5′ GAATTCCTCGTTGAAGAT 3′ | 57 °C | [16] |
| Acanthamoeba 18S (end point PCR) | JDP1 JDP2 | 5′ GGCCCAGATCGTTTACCGTGAA 3′ 5′ TCTCACAAGCTGCTAGGGAGTCA 3′ | 57 °C | [17] |
| Acanthamoeba 18S (end point PCR, novel) | 5′ CCTACCATGGTCGTAACGGG 3′ 5′ AGGGCAGGGACGTAATCAAC 3′ | 62 °C | Novel | |
| Legionellales (end point PCR) | Leg225 Leg858 | 5′ AAGATTAGCCTGCGTCCGA T 3′ 5′ GTCAACTTATC GCGTTTGCT 3′ | 56 °C | [25] |
| Rickettsiales (end point PCR) | Rp977p Rp1258n | 5′ GGGGGCCTGCTCACGGCGG 3′ 5′ ATTGCAAAAAGTACAGTGAACA 3′ | 56 °C | [26] |
| Chlamydiales (end point PCR) | EHR165R EHR165D | 5′ CGTGGATGAGGCATGCRAGTC G 3′ 5′ GTCATCRGCCYYACCTTVSRC RYYTCT 3′ | 65 °C | [27] |
| Pan16S (end point PCR) | 8FPL 806R | 5′ AGAGTTTGATCCTGGCTCAG 3′ 5′ GGACTACHVGGGTWTCTAAT 3′ | 55 °C | [28] |
Appendix B
| Accession Number | Species |
|---|---|
| AF005995 | A. lugdunensis |
| AF019052 | A. polyphaga |
| AF019056 | A. polyphaga |
| AF019057 | A. culbertsoni |
| AF019062 | A. polyphaga |
| AF114438 | A. castellanii |
| AF132135 | A. polyphaga |
| AF251938 | A. castellanii |
| AF251939 | A. hatchetti |
| AF260718 | A. lugdunensis |
| AF260719 | A. palestinensis |
| AF260720 | A. rhysodes |
| AF260721 | A. castellanii |
| AF260722 | A. hatchetti |
| AF260723 | A. hatchetti |
| AF260724 | A. castellanii |
| AF260725 | A. polyphaga |
| AF285277 | sp. K099 |
| AF333607 | sp. PN15 |
| AF333609 | sp. PN13 |
| AF346662 | A. triangularis |
| AY026242 | A. astronyxis |
| AY026243 | A. polyphaga |
| AY026244 | A. polyphaga |
| AY026245 | sp. U/H-C1 |
| AY026246 | sp. U/E6 |
| AT026247 | sp. U/E7 |
| AY026248 | sp. U/E8X |
| AY026249 | sp. U/E8R |
| AY026250 | sp. U/E3 |
| AY026251 | sp. U/E5 |
| AY026747 | sp. U/E10 |
| AY026748 | A. comandonia operculata |
| AY026749 | A. rhysodes |
| AY033896 | A. quina |
| AY351644 | A. castellanii |
| AY703023 | A. polyphaga |
| EF554328 | A. lenticulata |
| GU320583 | A. griffini |
| JX043488 | A. castellanii |
| KF010846 | A. polyphaga |
| KF318462 | A. castellanii |
| L09599 | A. castellanii |
| S81337 | A. rhysodes |
| U07401 | A. polyphaga |
| U07402 | A. griffini |
| U07403 | A. castellanii |
| U07405 | A. castellanii |
| U07406 | A. polyphaga |
| U07407 | A. castellanii |
| U07412 | A. lenticulata |
| U07413 | A. lenticulata |
| U07414 | A. lenticulata |
| U07415 | A. lenticulata |
| U07416 | A. lenticulata |
| U94730 | A. lenticulata |
| U94731 | A. lenticulata |
| U94733 | A. lenticulata |
| U94734 | A. lenticulata |
| U94735 | A. lenticulata |
| U94736 | A. lenticulata |
| U94737 | A. lenticulata |
| U94738 | A. lenticulata |
| U94739 | A. lenticulata |
| U94740 | A. lenticulata |
| U94741 | A. lenticulata |
References
- Clarke, D.W.; Niederkorn, J.Y. The pathophysiology of Acanthamoeba keratitis. Trends Parasitol. 2006, 22, 175–180. Available online: http://www.ncbi.nlm.nih.gov/pubmed/16500148 (accessed on 28 May 2022).
- Horn, M.; Wagner, M. Bacterial endosymbionts of free-living amoebae. J. Eukaryot. Microbiol. 2004, 51, 509–514. Available online: http://www.ncbi.nlm.nih.gov/pubmed/15537084 (accessed on 28 May 2022).
- Newsome, A.L.; Scott, T.M.; Benson, R.F.; Fields, B.S. Isolation of an Amoeba naturally harboring a distinctive Legionella species. Appl. Environ. Microbiol. 1998, 64, 1688–1693. [Google Scholar] [CrossRef] [PubMed]
- Fritsche, T.R.; Horn, M.; Seyedirashti, S.; Gautom, R.K.; Schleifer, K.H.; Wagner, M. In situ detection of novel bacterial endosymbionts of Acanthamoeba spp. phylogenetically related to members of the order Rickettsiales. Appl. Environ. Microbiol. 1999, 65, 206–212. [Google Scholar] [PubMed]
- Horn, M.; Fritsche, T.R.; Linner, T.; Gautom, R.K.; Harzenetter, M.D.; Wagner, M. Obligate bacterial endosymbionts of Acanthamoeba spp. related to the -Proteobacteria: Proposal of “Candidatus Procabacter acanthamoebae” gen. nov., sp. nov. Int. J. Syst. Evol. Microbiol. 2002, 52, 599–605. [Google Scholar] [CrossRef] [PubMed]
- Amann, R.; Springer, N.; Schönhuber, W.; Ludwig, W.; Schmid, E.N.; Müller, K.D.; Michel, R. Obligate intracellular bacterial parasites of acanthamoebae related to Chlamydia spp. Appl. Environ. Microbiol. 1997, 63, 115–121. [Google Scholar] [CrossRef] [PubMed]
- Molmeret, M.; Horn, M.; Wagner, M.; Santic, M. Amoebae as Training Grounds for Intracellular Bacterial Pathogens MINIREVIEW Amoebae as Training Grounds for Intracellular Bacterial Pathogens. Appl. Environ. Microbiol. 2005, 71, 20–28. [Google Scholar] [CrossRef] [PubMed]
- Fritsche, T.R.; Sobek, D.; Gautom, R.K. Enhancement of in vitro cytopathogenicity by Acanthamoeba spp. following acquisition of bacterial endosymbionts. FEMS Microbiol. Lett. 1998, 166, 231–236. [Google Scholar] [CrossRef] [PubMed]
- Iovieno, A.; Ledee, D.R.; Miller, D.; Eduardo, C. Detection of Bacterial Endosymbionts in Clinical Acanthamoeba Isolates. Ophthalmology 2011, 117, 445–452. [Google Scholar] [CrossRef]
- Purssell, A.; Lau, R.; Boggild, A.K. Azithromycin and Doxycycline Attenuation of Acanthamoeba Virulence in a Human Corneal Tissue Model. J. Infect. Dis. 2017, 215, 1303–1311. Available online: http://www.ncbi.nlm.nih.gov/pubmed/27578848 (accessed on 28 May 2022). [CrossRef]
- Carnt, N.; Hoffman, J.J.; Verma, S.; Hau, S.; Radford, C.F.; Minassian, D.C.; Dart, J.K. Acanthamoeba keratitis: Confirmation of the UK outbreak and a prospective case-control study identifying contributing risk factors. Br. J. Ophthalmol. 2018, 102, 1621–1628. [Google Scholar] [CrossRef] [PubMed]
- Lau, R.; Cunanan, M.; Jackson, J.; Ali, I.K.M.; Chong-Kit, A.; Gasgas, J.; Tian, J.; Ralevski, F.; Boggild, A.K. Reevaluation of an Acanthamoeba molecular diagnostic algorithm following an atypical case of amoebic keratitis. J. Clin. Microbiol. 2015, 53, 3213–3218. [Google Scholar] [CrossRef] [PubMed]
- Putaporntip, C.; Kuamsab, N.; Nuprasert, W.; Rojrung, R.; Pattanawong, U.; Tia, T.; Yanmanee, S.; Jongwutiwes, S. Analysis of Acanthamoeba genotypes from public freshwater sources in Thailand reveals a new genotype, T23 Acanthamoeba bangkokensis sp. nov. Sci. Rep. 2021, 11, 17290. [Google Scholar] [CrossRef] [PubMed]
- Cope, J.R.; Collier, S.A.; Rao, M.M.; Chalmers, R.; Mitchell, G.L.; Richdale, K.; Wagner, H.; Kinoshita, B.T.; Lam, D.Y.; Sorbara, L.; et al. Contact Lens Wearer Demographics and Risk Behaviors for Contact Lens-Related Eye Infections—United States, 2014. MMWR Morb. Mortal. Wkly. Rep. 2015, 64, 865–870. Available online: http://www.ncbi.nlm.nih.gov/pubmed/26292204 (accessed on 28 May 2022).
- Horn, M.; Wagner, M.; Müller, K.D.; Schmid, E.N.; Fritsche, T.R.; Schleifer, K.H.; Michel, R. Neochlamydia hartmannellae gen. nov., sp. nov. (Parachlamydiaceae), an endoparasite of the amoeba Hartmannella vermiformis. Microbiology 2000, 146, 1231–1239. [Google Scholar] [CrossRef] [PubMed]
- Mathers, W.D.; Nelson, S.E.; Lane, J.L.; Wilson, M.E.; Allen, R.C.; Folberg, R. Confirmation of confocal microscopy diagnosis of Acanthamoeba keratitis using polymerase chain reaction analysis. Arch. Ophthalmol. 2000, 118, 178–183. Available online: http://www.ncbi.nlm.nih.gov/pubmed/10676782 (accessed on 28 May 2022).
- Schroeder, J.M.; Booton, G.C.; Hay, J.; Niszl, I.A.; Seal, D.V.; Markus, M.B.; Fuerst, P.A.; Byers, T.J. Use of subgenic 18S ribosomal DNA PCR and sequencing for genus and genotype identification of acanthamoebae from humans with keratitis and from sewage sludge. J. Clin. Microbiol. 2001, 39, 1903–1911. Available online: http://www.ncbi.nlm.nih.gov/pubmed/11326011 (accessed on 28 May 2022).
- Kuiper, M.W.; Wullings, B.A.; Akkermans, A.D.L.; Beumer, R.R.; van der Kooij, D. Intracellular proliferation of Legionella pneumophila in Hartmannella vermiformis in aquatic biofilms grown on plasticized polyvinyl chloride. Appl. Environ. Microbiol. 2004, 70, 6826–6833. Available online: http://www.ncbi.nlm.nih.gov/pubmed/15528550 (accessed on 28 May 2022). [CrossRef] [PubMed]
- Fritsche, T.R.; Gautom, R.K.; Seyedirashti, S.; Bergeron, D.L.; Lindquist, T.D. Occurrence of bacterial endosymbionts in Acanthamoeba spp. isolated from corneal and environmental specimens and contact lenses. J. Clin. Microbiol. 1993, 31, 1122–1126. [Google Scholar] [CrossRef] [PubMed]
- Walochnik, J.; Obwaller, A.; Aspöck, H. Correlations between morphological, molecular biological, and physiological characteristics in clinical and nonclinical isolates of Acanthamoeba spp. Appl. Environ. Microbiol. 2000, 66, 4408–4413. Available online: http://www.ncbi.nlm.nih.gov/pubmed/11010891 (accessed on 28 May 2022).
- Maciver, S.K.; Asif, M.; Simmen, M.W.; Lorenzo-Morales, J. A systematic analysis of Acanthamoeba genotype frequency correlated with source and pathogenicity: T4 is confirmed as a pathogen-rich genotype. Eur. J. Protistol. 2013, 49, 217–221. [Google Scholar] [CrossRef] [PubMed]
- Garg, P. Fungal, Mycobacterial, and Nocardia infections and the eye: An update. Eye 2012, 26, 245–251. Available online: http://www.ncbi.nlm.nih.gov/pubmed/22173077 (accessed on 28 May 2022).
- Karsenti, N.; Lau, R.; Purssell, A.; Chong-Kit, A.; Cunanan, M.; Gasgas, J.; Tian, J.; Wang, A.; Ralevski, F.; Boggild, K.A. Development and validation of a real-time PCR assay for the detection of clinical acanthamoebae. BMC Res. Notes. 2017, 10, 355. [Google Scholar] [CrossRef] [PubMed][Green Version]
- Tamura, K.; Stecher, G.; Peterson, D.; Filipski, A.; Kumar, S. MEGA6: Molecular Evolutionary Genetics Analysis version 6.0. Mol. Biol. Evol. 2013, 30, 2725–2729. Available online: http://www.ncbi.nlm.nih.gov/pubmed/24132122 (accessed on 22 August 2017).
- Miyamoto, H.; Yamamoto, H.; Arima, K.; Fujii, J.; Maruta, K.; Izu, K.; Shiomori, T.; Yoshida, S. Development of a new seminested PCR method for detection of Legionella species and its application to surveillance of legionellae in hospital cooling tower water. Appl. Environ. Microbiol. 1997, 63, 2489–2494. Available online: http://www.ncbi.nlm.nih.gov/pubmed/9212400 (accessed on 28 May 2022).
- Regnery, R.L.; Spruill, C.L.; Plikaytis, B.D. Genotypic identification of rickettsiae and estimation of intraspecies sequence divergence for portions of two rickettsial genes. J. Bacteriol. 1991, 173, 1576–1589. Available online: http://www.ncbi.nlm.nih.gov/pubmed/1671856 (accessed on 28 May 2022).
- Corsaro, D.; Venditti, D.; Valassina, M. New parachlamydial 16S rDNA phylotypes detected in human clinical samples. Res. Microbiol. 2002, 153, 563–567. Available online: http://www.ncbi.nlm.nih.gov/pubmed/12455703 (accessed on 28 May 2022).
- Takahashi, S.; Tomita, J.; Nishioka, K.; Hisada, T.; Nishijima, M. Development of a Prokaryotic Universal Primer for Simultaneous Analysis of Bacteria and Archaea Using Next-Generation Sequencing. PLoS ONE 2014, 21, e105592. Available online: http://dx.plos.org/10.1371/journal.pone.0105592 (accessed on 28 May 2022). [CrossRef] [PubMed]
- Rivière, D.; Szczebara, F.M.; Berjeaud, J.M.; Frère, J.; Héchard, Y. Development of a real-time PCR assay for quantification of Acanthamoeba trophozoites and cysts. J. Microbiol. Methods. 2006, 64, 78–83. [Google Scholar] [CrossRef] [PubMed]
- Qvarnstrom, Y.; Visvesvara, G.S.; Sriram, R.; da Silva, A.J. Multiplex Real-Time PCR Assay for Simultaneous Detection of Acanthamoeba spp., Balamuthia mandrillaris, and Naegleria fowleri. J. Clin. Microbiol. 2006, 44, 3589–3595. Available online: http://www.ncbi.nlm.nih.gov/pubmed/17021087 (accessed on 28 May 2022).





| Number of samples tested for Acanthamoeba, N = 739 Positive: 86 (11.6%) Negative: 653 (88.4%) |
| Number of individuals tested for Acanthamoeba, N = 642 Positive: 50 (7.8%) Negative: 592 (92.2%) |
| Sex of individuals tested for Acanthamoeba Female: 332 (51.7%) Male: 306 (47.6%) Unknown: 4 (0.6%) |
| Age (years) of individuals tested for Acanthamoeba Mean: 50.4 +/− 22.74 Median: 51 (4 d–94 yr) |
| Sample type collected for Acanthamoeba testing Corneal Scrapings: 676 (91.5%) Contact Lens Solutions: 47 (6.4%) Culture Plate: 1 (0.1%) Unknown: 15 (2%) |
| Total Tests Requested (# of Patients) | Tests Positive (# of Patients) | Infection Rate Per 100 Patient Submissions | |
|---|---|---|---|
| 2009 (starting July) | 45 | 1 | 2.2 |
| 2010 | 75 | 2 | 2.7 |
| 2011 | 49 | 0 | 0 |
| 2012 | 98 | 3 | 3.1 |
| 2013 | 83 | 5 | 6.2 |
| 2014 | 124 | 10 | 8.1 |
| 2015 | 113 | 22 | 19.5 |
| 2016 (ending July) | 55 | 7 | 12.7 |
| Variable | AK Positive | AK Negative | % Positive | Effect Measure | 95% CI | p-Value |
|---|---|---|---|---|---|---|
| Sex Male Female | 19 30 | 287 302 | 6.2% 9.0% | Odds Ratio 0.66 | 0.36 to 1.19 | 0.1803 |
| Age (mean, median, and range) | Mean: 44.5 +/− 20.26 Median: 46 Range: 4 years–92 years | Mean: 51.3 +/− 22.97 Median: 53 Range: 4 days–94 years | N/A | Mean Difference 6.63 | 0.051 to 13.22 | 0.0482 |
| Variable | A. castellanii | Other Species | % A. castellanii | Effect Measure | 95% CI | p-Value |
|---|---|---|---|---|---|---|
| Sex Male Female | 1 3 | 5 3 | 16.7% 50.0% | Odds Ratio 0.2 | 0.013 to 2.18 | 0.5455 |
| Age (mean, median, range) | Mean:39.5 +/− 24.09 Median: 38.5 years Range: 12 years–69 years | Mean: 48.6 +/− 15.27 Median: 47 years Range 23 years–70 years | N/A | Mean Difference 9.13 | −15.93 to 34.18 | 0.4360 |
| Variable | Endosymbiont | No Endosymbiont | Endo | Effect Measure | 95% CI | p-Value |
|---|---|---|---|---|---|---|
| Sex Male Female | 4 4 | 5 12 | 44.4%% 25.0% | Odds Ratio 2.4 | 0.49 to 12.63 | 0.3942 |
| Age (mean, median, range) | Mean: 42.1 +/− 24.70 Median: 46 years Range: 4 years–69 years | Mean: 45.9 +/− 22.54 Median: 46 years, Range: 2 years–80 years | N/A | Mean Difference 3.82 | −16.78 to 24.41 | 0.7050 |
| Sample | Sex | Age | Sample Type | Acanthamoeba sp. | Endosymbiont Genus and/or Species |
|---|---|---|---|---|---|
| A1 * | F | 31 | Unknown | A. castellanii | Rickettsia, Pseudomonas genticulata |
| A2 | F | 61 | Corn. Scrap. | Legionella | |
| A3 | F | 63 | Corn. Scrap. | ||
| A5 *^ | M | 69 | Corn. Scrap. | Legionella | |
| A6 * | F | 46 | Corn. Scrap. | A. hatchetti | |
| A7 | F | 2 | Unknown | ||
| A8 | F | 46 | Corn. Scrap. | A. castellanii | |
| A9 * | F | 29 | Corn. Scrap. | ||
| A10 * | F | 80 | Corn. Scrap. | ||
| A12 * | M | 69 | Corn. Scrap. | A. castellanii | |
| A13 | M | 69 | Corn. Scrap. | A. quina | |
| A11 * | M | 68 | Contact lens | Neochlamydiae hartmanellae | |
| A15 | M | 48 | Corn. Scrap. | A. polyphaga | Legionella |
| A16 * | M | 70 | Corn. Scrap. | ||
| A18* | M | 70 | Corn. Scrap. | A. lenticulata | |
| A14* | F | 4 | Corn. Scrap. | Legionella, Bacillus | |
| A19 * | M | 40 | Corn. Scrap. | A. griffini | |
| A21 * | F | 12 | Corn. Scrap. | ||
| A22 *^ | F | 12 | Contact lens | A. castellanii | Rickettsia |
| A23 *^ | F | 12 | Contact lens | A. castellanii | Rickettsia |
| A24 * | F | 38 | Corn. Scrap. | ||
| A25 | F | 49 | Plate | A. lenticulata | |
| A26 * | F | 50 | Corn. Scrap. | ||
| A28 | F | 23 | Corn. Scrap. | A. hatchetti | |
| A27 * | M | 44 | Corn. Scrap. | A. polyphaga | Legionella |
| A20 * | F | 25 | Corn. Scrap. |
| Genotype | Associated Species |
|---|---|
| T1 | A. castellanii |
| T2 | A. palestinensis A. polyphaga Unknown species |
| T3 | A. griffini |
| T4 | A. castellanii A. rhysodes A. polyphaga A. triangularis Unknown species |
| T5 | A. lenticulata |
| T6 | A. palestinensis |
| T7 | A. astronyxis |
| T8 | A. tubiashi |
| T9 | A. comandoni |
| T10 | A. culbertsoni |
| T11 | A. hatchetti |
| T12 | A. healyi |
| T13 | Unknown species |
| T14 | Unknown species |
| T15 | A. jacobsi |
| T16 | Unknown species |
| T17 | Unknown species |
| T18 | A. tubiashi |
| T19 | Unknown species |
| T20 | Unknown species |
| T21 | A. pyriformis |
| T22 | A. royreba |
| T23 | A. bangkokensis |
Publisher’s Note: MDPI stays neutral with regard to jurisdictional claims in published maps and institutional affiliations. |
© 2022 by the authors. Licensee MDPI, Basel, Switzerland. This article is an open access article distributed under the terms and conditions of the Creative Commons Attribution (CC BY) license (https://creativecommons.org/licenses/by/4.0/).
Share and Cite
Karsenti, N.; Purssell, A.; Lau, R.; Ralevski, F.; Bhasker, S.; Raheel, H.; Boggild, A.K. Surveillance of Amoebic Keratitis-Causing Acanthamoebae for Potential Bacterial Endosymbionts in Ontario, Canada. Pathogens 2022, 11, 661. https://doi.org/10.3390/pathogens11060661
Karsenti N, Purssell A, Lau R, Ralevski F, Bhasker S, Raheel H, Boggild AK. Surveillance of Amoebic Keratitis-Causing Acanthamoebae for Potential Bacterial Endosymbionts in Ontario, Canada. Pathogens. 2022; 11(6):661. https://doi.org/10.3390/pathogens11060661
Chicago/Turabian StyleKarsenti, Nessika, Andrew Purssell, Rachel Lau, Filip Ralevski, Shveta Bhasker, Hira Raheel, and Andrea K. Boggild. 2022. "Surveillance of Amoebic Keratitis-Causing Acanthamoebae for Potential Bacterial Endosymbionts in Ontario, Canada" Pathogens 11, no. 6: 661. https://doi.org/10.3390/pathogens11060661
APA StyleKarsenti, N., Purssell, A., Lau, R., Ralevski, F., Bhasker, S., Raheel, H., & Boggild, A. K. (2022). Surveillance of Amoebic Keratitis-Causing Acanthamoebae for Potential Bacterial Endosymbionts in Ontario, Canada. Pathogens, 11(6), 661. https://doi.org/10.3390/pathogens11060661

