Alveolar Echinococcosis—A Challenging Task for the Hepatobiliary Surgeon
Abstract
:1. Introduction
2. Results
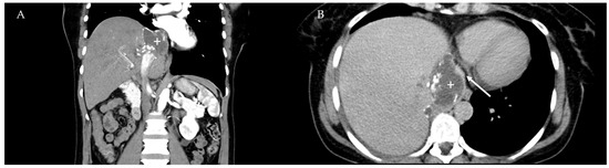
2.1. Diagnosis
2.2. Pretreatment
2.3. Extent of Liver Resection
2.4. Histopathological Results
2.5. Postoperative Course
2.6. Intraoperative “Surprises”
3. Discussion
4. Materials and Methods
4.1. Data Acquisition
4.2. Clinical Definitions
4.3. Histopathology
4.4. Medical Treatment
4.5. Statistics
5. Conclusions
Author Contributions
Funding
Institutional Review Board Statement
Informed Consent Statement
Data Availability Statement
Acknowledgments
Conflicts of Interest
Abbreviations
| AE | Alveolar Echinococcosis |
| ABZ | Albendazole |
| ASA | American Society of Anesthesia |
| BMZ | Benzimidazole |
| CE | Cystic Echinococcosis |
| CRC | Colorectal Carcinoma |
| CRLM | Colorectal Liver Metastasis |
| EMA | European Medicines Agency |
| FDA | Food and Drug Administration |
| HE | Hematoxylin-Eosin |
| iCCA | Intrahepatic Cholangiocarcinoma |
| IVC | Inferior Vena Cava |
| PHLF | Posthepatectomy Liver Failure |
| SD | Standard Deviation |
References
- Deplazes, P.; Rinaldi, L.; Alvarez Rojas, C.A.; Torgerson, P.R.; Harandi, M.F.; Romig, T.; Antolová, D.; Schurer, J.M.; Lahmar, S.; Cringoli, G.; et al. Global Distribution of Alveolar and Cystic Echinococcosis. Adv. Parasitol. 2017, 95, 315–493. [Google Scholar]
- Wilson, J.F.; Rausch, R.L.; McMahon, B.J.; Schantz, P.M. Parasiticidal Effect of Chemotherapy in Alveolar Hydatid Disease: Review of Experience with Mebendazole and Albendazole in Alaskan Eskimos. Clin. Infect. Dis. 1992, 15, 234–249. [Google Scholar] [CrossRef]
- Ammann, R.W.; Eckert, J. Cestodes. Echinococcus. Gastroenterol. Clin. N. Am. 1996, 25, 655–689. [Google Scholar] [CrossRef]
- Ammann, R.W.; Hoffmann, A.F.; Eckert, J. Swiss study of chemotherapy of alveolar echinococcosis--review of a 20-year clinical research project. Schweiz. Med. Wochenschr. 1999, 129, 323–332. [Google Scholar]
- Eckert, J.; Thompson, R. Historical Aspects of Echinococcosis. Adv. Parasitol. 2017, 95, 1–64. [Google Scholar] [CrossRef] [Green Version]
- Torgerson, P.; Schweiger, A.; Deplazes, P.; Pohar, M.; Reichen, J.; Ammann, R.W.; Tarr, P.E.; Halkik, N.; Müllhaupt, B. Alveolar echinococcosis: From a deadly disease to a well-controlled infection. Relative survival and economic analysis in Switzerland over the last 35 years. J. Hepatol. 2008, 49, 72–77. [Google Scholar] [CrossRef] [PubMed]
- Grüner, B.; Kern, P.; Mayer, B.; Gräter, T.; Hillenbrand, A.; Barth, T.E.F.; Muche, R.; Henne-Bruns, D.; Kratzer, W.; Kern, P. Comprehensive diagnosis and treatment of alveolar echinococcosis: A single-center, long-term observational study of 312 patients in Germany. GMS Infect. Dis. 2017, 5, Doc01. [Google Scholar] [CrossRef] [PubMed]
- Kern, P.; da Silva, A.M.; Akhan, O.; Müllhaupt, B.; Vizcaychipi, K.A.; Budke, C.; Vuitton, D.A. The Echinococcoses: Diagnosis, Clinical Management and Burden of Disease. Adv. Parasitol. 2017, 96, 259–369. [Google Scholar] [CrossRef] [PubMed]
- Schmidberger, J.; Echinococcosis Working Group; Kratzer, W.; Stark, K.; Grüner, B. Alveolar echinococcosis in Germany, 1992–2016. An update based on the newly established national AE database. Infection 2018, 46, 197–206. [Google Scholar] [CrossRef] [PubMed]
- Combes, B.; Comte, S.; Raton, V.; Raoul, F.; Boué, F.; Umhang, G.; Favier, S.; Dunoyer, C.; Woronoff, N.; Giraudoux, P. Westward Spread of Echinococcus multilocularis in Foxes, France, 2005–2010. Emerg. Infect. Dis. 2012, 18, 2059–2062. [Google Scholar] [CrossRef]
- Schweiger, A.; Ammann, R.W.; Candinas, D.; Clavien, P.-A.; Eckert, J.; Gottstein, B.; Halkic, N.; Muellhaupt, B.; Prinz, B.M.; Reichen, J.; et al. Human Alveolar Echinococcosis after Fox Population Increase, Switzerland. Emerg. Infect. Dis. 2007, 13, 878–882. [Google Scholar] [CrossRef]
- Stojkovic, M.; Mickan, C.; Weber, T.F.; Junghanss, T. Pitfalls in diagnosis and treatment of alveolar echinococcosis: A sentinel case series. BMJ Open Gastroenterol. 2015, 2, e000036. [Google Scholar] [CrossRef]
- Strohäker, J.; Nadalin, S. Diagnostik und Management der intraabdominellen Echinococcus-Manifestation. Der Chir. 2019, 90, 823–832. [Google Scholar] [CrossRef]
- Peters, L.; Burkert, S.; Grüner, B. Parasites of the liver—Epidemiology, diagnosis and clinical management in the European context. J. Hepatol. 2021, 75, 202–218. [Google Scholar] [CrossRef]
- Chouhan, M.; Wiley, E.; Chiodini, P.; Amin, Z. Hepatic alveolar hydatid disease (Echinococcus multilocularis), a mimic of liver malignancy: A review for the radiologist in non-endemic areas. Clin. Radiol. 2019, 74, 247–256. [Google Scholar] [CrossRef]
- Horton, J. Echinococcosis and Albendazole: A Case for Suitable Treatment. Am. J. Trop. Med. Hyg. 2018, 99, 811–812. [Google Scholar] [CrossRef] [PubMed] [Green Version]
- Gupta, A.K.; Kanhere, H.A.; Maddern, G.J.; Trochsler, M.I. Liver resection in octogenarians: Are the outcomes worth the risk? ANZ J. Surg. 2018, 88, E756–E760. [Google Scholar] [CrossRef]
- Brunetti, E.; Kern, P.; Vuitton, D.A.; Writing Panel for the Who-Iwge. Expert consensus for the diagnosis and treatment of cystic and alveolar echinococcosis in humans. Acta Trop. 2010, 114, 1–16. [Google Scholar] [CrossRef] [PubMed]
- Kern, P.; Wen, H.; Sato, N.; Vuitton, D.A.; Gruener, B.; Shao, Y.; Delabrousse, E.; Kratzer, W.; Bresson-Hadni, S. WHO classification of alveolar echinococcosis: Principles and application. Parasitol. Int. 2006, 55, S283–S287. [Google Scholar] [CrossRef] [PubMed]
- Horton, J. Albendazole: A review of anthelmintic efficacy and safety in humans. Parasitology 2000, 121, S113–S132. [Google Scholar] [CrossRef]
- Hillenbrand, A.; Beck, A.; Kratzer, W.; Graeter, T.; Barth, T.F.E.; Schmidberger, J.; Möller, P.; Henne-Bruns, R.; Gruener, B. Impact of affected lymph nodes on long-term outcome after surgical therapy of alveolar echinococcosis. Langenbeck’s Arch. Surg. 2018, 403, 655–662. [Google Scholar] [CrossRef]
- Grimm, J.; Nell, J.; Hillenbrand, A.; Henne-Bruns, D.; Schmidberger, J.; Kratzer, W.; Gruener, B.; Graeter, T.; Reinehr, M.; Weber, A.; et al. Immunohistological detection of small particles of Echinococcus multilocularis and Echinococcus granulosus in lymph nodes is associated with enlarged lymph nodes in alveolar and cystic echinococcosis. PLoS Neglected Trop. Dis. 2020, 14, e0008921. [Google Scholar] [CrossRef]
- Hillenbrand, A.; Gruener, B.; Kratzer, W.; Kern, P.; Graeter, T.; Barth, T.F.; Buttenschoen, K.; Henne-Bruns, D. Impact of Safe Distance on Long-Term Outcome After Surgical Therapy of Alveolar Echinococcosis. World J. Surg. 2016, 41, 1012–1018. [Google Scholar] [CrossRef]
- Kawamura, N.; Kamiyama, T.; Sato, N.; Nakanishi, K.; Yokoo, H.; Kamachi, H.; Tahara, M.; Yamaga, S.; Matsushita, M.; Todo, S. Long-Term Results of Hepatectomy for Patients with Alveolar Echinococcosis: A Single-Center Experience. J. Am. Coll. Surg. 2011, 212, 804–812. [Google Scholar] [CrossRef]
- Strasberg, S.; Belghiti, J.; Clavien, P.-A.; Gadzijev, E.; Garden, J.; Lau, W.-Y.; Makuuchi, M.; Strong, R. The Brisbane 2000 Terminology of Liver Anatomy and Resections. HPB 2000, 2, 333–339. [Google Scholar] [CrossRef]
- Rahbari, N.N.; Garden, O.J.; Padbury, R.; Brooke-Smith, M.; Crawford, M.; Adam, R.; Koch, M.; Makuuchi, M.; Dematteo, R.P.; Christophi, C.; et al. Posthepatectomy liver failure: A definition and grading by the International Study Group of Liver Surgery (ISGLS). Surgery 2011, 149, 713–724. [Google Scholar] [CrossRef] [PubMed]
- Li, J.; Moustafa, M.; Linecker, M.; Lurje, G.; Capobianco, I.; Baumgart, J.; Ratti, F.; Rauchfuss, F.; Balci, D.; Fernandes, E.; et al. ALPPS for Locally Advanced Intrahepatic Cholangiocarcinoma: Did Aggressive Surgery Lead to the Oncological Benefit? An International Multi-Center Study. Ann. Surg. Oncol. 2020, 27, 1372–1384. [Google Scholar] [CrossRef] [PubMed] [Green Version]
- Capobianco, I.; Rolinger, J.; Nadalin, S. Resection for Klatskin tumors: Technical complexities and results. Transl. Gastroenterol. Hepatol. 2018, 3, 69. [Google Scholar] [CrossRef] [PubMed]
- Bartholomot, G.; Wang, Y.H.; MacPherson, C.N.L.; Vuitton, M.A.; Harraga, S.; Giraudoux, P.; Craig, P.S.; Barnish, G.; Shi, D.Z. Combined ultrasound and serologic screening for hepatic alveolar echinococcosis in central China. Am. J. Trop. Med. Hyg. 2002, 66, 23–29. [Google Scholar] [CrossRef] [PubMed] [Green Version]
- Sato, N.; Namieno, T.; Furuya, K.; Takahashi, H.; Yamashita, K.; Uchino, J.; Suzuki, K. Contribution of mass screening system to resectability of hepatic lesions involving Echinococcus multilocularis. J. Gastroenterol. 1997, 32, 351–354. [Google Scholar] [CrossRef] [PubMed]
- Bresson-Hadni, S.; Vuitton, D.A.; Bartholomot, B.; Heyd, B.; Godart, D.; Meyer, J.P.; Hrusovsky, S.; Becker, M.C.; Mantion, G.; Lenys, D.; et al. A twenty-year history of alveolar echinococcosis: Analysis of a series of 117 patients from eastern France. Eur. J. Gastroenterol. Hepatol. 2000, 12, 327–336. [Google Scholar] [CrossRef]
- Eckert, J. Guidelines for treatment of cystic and alveolar echinococcosis in humans. Bull. World Health Organ. 1996, 74, 231–242. [Google Scholar]
- Reuter, S.; Buck, A.; Manfras, B.; Kratzer, W.; Seitz, H.M.; Darge, K.; Reske, S.N.; Kern, P. Structured treatment interruption in patients with alveolar echinococcosis. Hepatology 2004, 39, 509–517. [Google Scholar] [CrossRef]
- Tamarozzi, F.; Horton, J.; Muhtarov, M.; Ramharter, M.; Siles-Lucas, M.; Gruener, B.; Vuitton, D.A.; Bresson-Hadni, S.; Manciulli, T.; Brunetti, E. A case for adoption of continuous albendazole treatment regimen for human echinococcal infections. PLoS Negl. Trop. Dis. 2020, 14, e0008566. [Google Scholar] [CrossRef]
- Reuter, S.; Jensen, B.; Buttenschoen, K.; Kratzer, W.; Kern, P. Benzimidazoles in the treatment of alveolar echinococcosis: A comparative study and review of the literature. J. Antimicrob. Chemother. 2000, 46, 451–456. [Google Scholar] [CrossRef] [PubMed] [Green Version]
- Ammann, R.W.; Swiss Echinococcosis Study Group (SESG). Improvement of liver resectional therapy by adjuvant chemotherapy in alveolar hydatid disease. Parasitol. Res. 1991, 77, 290–293. [Google Scholar] [CrossRef]
- Schmidberger, J.; Steinbach, J.; Schlingeloff, P.; Kratzer, W.; Grüner, B. Surgery versus conservative drug therapy in alveolar echinococcosis patients in Germany—A health-related quality of life comparison. Food Waterborne Parasitol. 2019, 16, e00057. [Google Scholar] [CrossRef]
- Buttenschoen, K.; Buttenschoen, D.C.; Gruener, B.; Kern, P.; Beger, H.G.; Henne-Bruns, D.; Reuter, S. Long-term experience on surgical treatment of alveolar echinococcosis. Langenbeck’s Arch. Surg. 2009, 394, 689–698. [Google Scholar] [CrossRef]
- Makridis, G.; Reese, T.; Kantas, A.; Fard-Aghaie, M.H.; Oldhafer, K.J. Liver resection in octogenarians: Are the outcomes worth the risk? The Hamburg Barmbek experience. ANZ J. Surg. 2019, 89, 131–132. [Google Scholar] [CrossRef] [PubMed]
- Mohammad, W.M.; Martel, G.; Mimeault, R.; Fairfull-Smith, R.J.; Auer, R.C.; Balaa, F.K. Evaluating agreement regarding the resectability of colorectal liver metastases: A national case-based survey of hepatic surgeons. HPB 2012, 14, 291–297. [Google Scholar] [CrossRef] [PubMed] [Green Version]
- Aubin, J.-M.; Bressan, A.K.; Grondin, S.C.; Dixon, E.; MacLean, A.R.; Gregg, S.; Tang, P.; Kaplan, G.G.; Martel, G.; Ball, C.G. Assessing resectability of colorectal liver metastases: How do different subspecialties interpret the same data? Can. J. Surg. 2018, 61, 251–256. [Google Scholar] [CrossRef] [PubMed] [Green Version]
- Osterlund, P.; Salminen, T.; Soveri, L.-M.; Kallio, R.; Kellokumpu, I.; Lamminmäki, A.; Halonen, P.; Ristamäki, R.; Lantto, E.; Uutela, A.; et al. Repeated centralized multidisciplinary team assessment of resectability, clinical behavior, and outcomes in 1086 Finnish metastatic colorectal cancer patients (RAXO): A nationwide prospective intervention study. Lancet Reg. Health Eur. 2021, 3, 100049. [Google Scholar] [CrossRef]
- Buttenschoen, K.; Gruener, B.; Buttenschoen, D.C.; Reuter, S.; Henne-Bruns, D.; Kern, P. Palliative operation for the treatment of alveolar echinococcosis. Langenbeck’s Arch. Surg. 2008, 394, 199–204. [Google Scholar] [CrossRef] [PubMed]
- Du, C.; Liu, Z.; Yang, X.; Yan, L.; Li, B.; Wen, T.; Yang, J.; Xu, M.; Chen, Z.; Wang, W. Hepatectomy for patients with alveolar echinococcosis: Long-term follow-up observations of 144 cases. Int. J. Surg. 2016, 35, 147–152. [Google Scholar] [CrossRef] [PubMed]
- Qu, B.; Guo, L.; Sheng, G.; Yu, F.; Chen, G.; Wang, Y.; Shi, Y.; Zhan, H.; Yang, Y.; Du, X. Management of Advanced Hepatic Alveolar Echinococcosis: Report of 42 Cases. Am. J. Trop. Med. Hyg. 2017, 96, 680–685. [Google Scholar] [CrossRef] [Green Version]
- Zeng, X.; Yang, X.; Yang, P.; Luo, H.; Wang, W.; Yan, L. Individualized biliary reconstruction techniques in autotransplantation for end-stage hepatic alveolar echinococcosis. HPB 2020, 22, 578–587. [Google Scholar] [CrossRef]
- Bresson-Hadni, S.; Spahr, L.; Chappuis, F. Hepatic Alveolar Echinococcosis. Semin. Liver Dis. 2021, 41, 393–408. [Google Scholar] [CrossRef]


| Gender male (Percentage) | 16 (49%) |
| Median age in years (range) | 54 (19–82) |
| Body mass index (BMI) in kg/m2 (±SD; range) | 22.9 (±3.8; 15.8–34.6) |
| American Soicety of Anesthesia (ASA)-Score ASA 1 ASA 2 ASA 3 | 2 (6%) 29 (88%) 2 (6%) |
| Presumed Diagnosis Alveolar Echinococcis Cystic Echinococcosis Intrahepatic Cholangiocarcinoma Colorectal Liver Metastasis | 21 (64%) 6 (18%) 3 (9%) 3 (9%) |
| PNM Stages P1N0M0 P2N0M0 P2N1M0 P3N0M0 P3N1M0 P4N1M0 P4N1M1 (pulm) | 5 (15%) 4 (15%) 3 (9%) 2 (6%) 11 (33%) 7 (21%) 1 (3%) |
| Preoperative Benzimidazole-Treatment Cyclic dosing (28 days) Continuous dosing Median duration in months (±SD; range) | 22 (67%) 10 (33%) 12 (36%) 1 (0–146) |
| Preoperative Benzimidiazole-Toxicity | 8 (24%) |
| Procedures Atypical Resection Bisegmentectomy Right Hepatectomy Right Trisectionectomy (incl. one Two-stage hepatectomy) Left Hepatectomy Left Trisectionectomy | 5 (15%) 4 (12%) 8 (24%) 12 (36%) 3 (9%) 1 (3%) |
| Additional procedures Lymphadenectomy - Node picking - Radical systematic Portal vein reconstruction Hepatic artery reconstruction Inferior vena cava (IVC) resection - IVC replacement with prosthesis Diaphracmatic resection Extrahepatic bile duct resection >1 Hepatico-Jejunostomy Nephrectomy Lung wedge resection Gastic wedge resection Segmental colectomy Right colectomy Total vascular exclusion Diaphragmatic Argon Plasma Coagulation of parasitic lesion | 21 (61%) 6 (18%) 15 (46%) 4 (12%) 2 (6%) 5 (15%) 1 (3%) 4 (12%) 11 (33%) 1 (3%) 1 (3%) 1 (3%) 1 (3%) 1 (3%) 1 (3%) 2 (6%) 1 (3%) |
| Median operating time in minutes (range) Median length of stay in days (range) | 283 (50–530) 11 (3–34) |
| Pathological Results R0 R1 - R1 (resection margins) - R1 (liver hilum) R2 Hepatic resection margins in mm mean (±SD; median; range) | 17 (52%) 14 (42%) 8 (24%) 9 (27%) 2 (6%) 3.5 (±5.4; 1; 0–20) |
Publisher’s Note: MDPI stays neutral with regard to jurisdictional claims in published maps and institutional affiliations. |
© 2021 by the authors. Licensee MDPI, Basel, Switzerland. This article is an open access article distributed under the terms and conditions of the Creative Commons Attribution (CC BY) license (https://creativecommons.org/licenses/by/4.0/).
Share and Cite
Strohaeker, J.; Sulyok, M.; Koenigsrainer, A.; Nadalin, S. Alveolar Echinococcosis—A Challenging Task for the Hepatobiliary Surgeon. Pathogens 2022, 11, 40. https://doi.org/10.3390/pathogens11010040
Strohaeker J, Sulyok M, Koenigsrainer A, Nadalin S. Alveolar Echinococcosis—A Challenging Task for the Hepatobiliary Surgeon. Pathogens. 2022; 11(1):40. https://doi.org/10.3390/pathogens11010040
Chicago/Turabian StyleStrohaeker, Jens, Mihaly Sulyok, Alfred Koenigsrainer, and Silvio Nadalin. 2022. "Alveolar Echinococcosis—A Challenging Task for the Hepatobiliary Surgeon" Pathogens 11, no. 1: 40. https://doi.org/10.3390/pathogens11010040
APA StyleStrohaeker, J., Sulyok, M., Koenigsrainer, A., & Nadalin, S. (2022). Alveolar Echinococcosis—A Challenging Task for the Hepatobiliary Surgeon. Pathogens, 11(1), 40. https://doi.org/10.3390/pathogens11010040

