Visceral Dissemination of Mucocutaneous Leishmaniasis in a Kidney Transplant Recipient
Abstract
1. Introduction
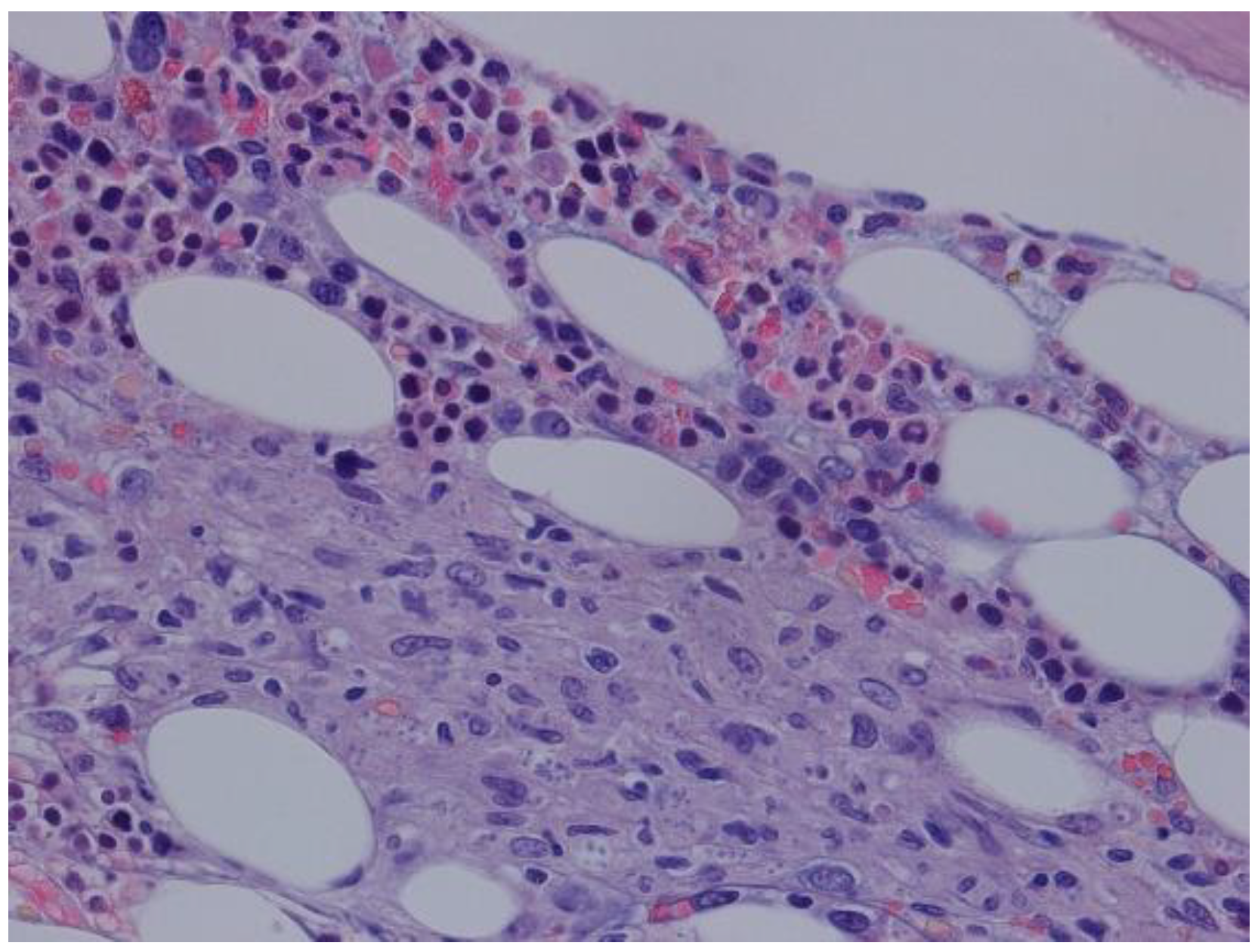
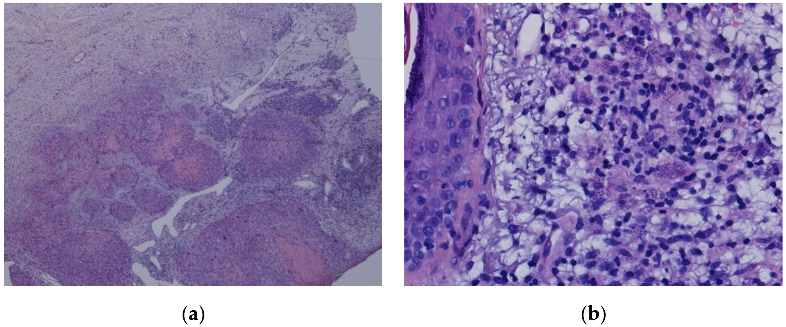
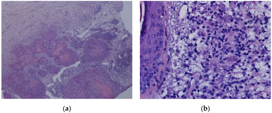
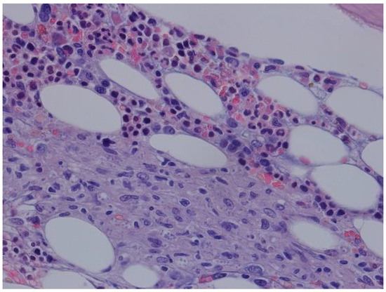
2. Case Presentation
3. Discussion
Author Contributions
Funding
Institutional Review Board Statement
Informed Consent Statement
Data Availability Statement
Conflicts of Interest
References
- La Hoz, R.M.; Morris, M.I. Tissue and blood protozoa including toxoplasmosis, Chagas disease, leishmaniasis, Babesia, Acanthamoeba, Balamuthia, and Naegleria in solid organ transplant recipients—Guidelines from the American Society of Transplantation Infectious Diseases Community. Clin. Transplant. 2019, 33. [Google Scholar] [CrossRef]
- Sánchez, F.C.; Sánchez, T.V.; Díaz, M.C.; Moyano, V.S.; Gallego, C.J.; Marrero, D.H. Visceral Leishmaniasis in Renal Transplant Recipients: Report of 2 Cases. Transplant. Proc. 2018, 50, 581–582. [Google Scholar] [CrossRef] [PubMed]
- Clemente, W.T.; Mourão, P.H.O.; Aguado, J.M. Current approaches to visceral leishmaniasis treatment in solid organ transplant recipients. Expert Rev. Anti-Infect. Ther. 2018, 16, 391–397. [Google Scholar] [CrossRef] [PubMed]
- Clemente, W.T.; Mourão, P.H.O.; López-Medrano, F.; Schwartz, B.S.; García-Donoso, C.; Torre-Cisneros, J. Visceral and Cutaneous Leishmaniasis Recommendations for Solid Organ Transplant Recipients and Donors. Transplantation 2018, 102, S8–S15. [Google Scholar] [CrossRef] [PubMed]
- Pagliano, P.; Ascione, T.; Di Flumeri, G.; Boccia, G.; De Caro, F. Visceral leishmaniasis in immunocompromised: Diagnostic and therapeutic approach and evaluation of the recently released IDSA guidelines. Le Infez. Med. Riv. Period. Eziologia Epidemiol. Diagn. Clin. Ter. delle Patol. Infett. 2016, 24, 265–271. [Google Scholar]
- Darcis, G.; Van Der Auwera, G.; Giot, J.-B.; Hayette, M.-P.; Triffaux, J.; Arrese, J.E.; Cnops, L.; Moutschen, M.; De Leval, L.; Leonard, P. Recurrence of visceral and muco-cutaneous leishmaniasis in a patient under immunosuppressive therapy. BMC Infect. Dis. 2017, 17, 478. [Google Scholar] [CrossRef]
- Horrillo, L.; Castro, A.; Matía, B.; Molina, L.; García-Martínez, J.; Aroca, J.J.; García-Arata, I.; Carrillo, E.; Moreno, J.; Ruiz-Giardin, J.M.; et al. Clinical aspects of visceral leishmaniasis caused by L. infantum in adults. Ten years of experience of the largest outbreak in Europe: What have we learned? Parasites Vectors 2019, 12, 359. [Google Scholar] [CrossRef]
- Campino, L.; Maia, C. Epidemiologia das leishmanioses em Portugal. Acta Med. Port. 2010, 23, 859–864. [Google Scholar] [CrossRef]
- Serrada, E.G. A Leishmaniose Visceral em Portugal Continental (1999–2009). Ph.D. Thesis, Escola Nacional de Saúde Pública, Universidade Nova de Lisboa, Lisbon, Portugal, 2010; p. 140. [Google Scholar]
- Gaspar, C.C.; Augusto, G.F.; Albuquerque, M.J.; Nascimento, M.R.; Vicêncio, P.O.; Nogueira, P. Doenças de Declaração Obrigatória 2013–2016. DGS 2017, 2, 118–120. [Google Scholar]
- Pagliano, P.; Esposito, S. Visceral leishmaniosis in immunocompromised host: An update and literature review. J. Chemother. 2017, 29, 261–266. [Google Scholar] [CrossRef]
- Clemente, W.T.; Vidal, E.; Girao, E.; Ramos, A.; Govedic, F.; Merino, E.; Muñoz, P.; Sabé, N.; Cervera, C.; Cota, G.; et al. Risk factors, clinical features and outcomes of visceral leishmaniasis in solid-organ transplant recipients: A retrospective multicenter case–control study. Clin. Microbiol. Infect. 2015, 21, 89–95. [Google Scholar] [CrossRef] [PubMed]
- Akuffo, H.; Costa, C.H.N.; Van Griensven, J.; Burza, S.; Moreno, J.; Herrero, M. New insights into leishmaniasis in the immunosuppressed. PLoS Negl. Trop. Dis. 2018, 12, e0006375. [Google Scholar] [CrossRef] [PubMed]
- Maggi, P.; Gaudiano, V.; Valente, M.; Latorraca, A.; Cavaliere, R.L.; Marroni, M.; LaRocca, A.M.V.; Stagni, G.; Lopez, T.; Pastore, G. Leishmaniasis in patients with chronic renal failure: A diagnostic and therapeutic challenge for the clinician. J. Nephrol. 2004, 17, 296–301. [Google Scholar] [PubMed]
- Souza, R.; De Oliveira, I.B.M.D.; Paiva, V.C.D.S.; De Lima, K.C.; Dos Santos, R.P.; De Almeida, J.B.; Luz, K.G. Presence of antibodies against Leishmania chagasi in haemodialysed patients. Trans. R. Soc. Trop. Med. Hyg. 2009, 103, 749–751. [Google Scholar] [CrossRef] [PubMed]
- Ramos, J.M.; Montero, M.; Portilla, J.; Blanes, M.; Merino, E.; Boix, V.; Aljibe, A.; Reus, S.; León, R.; Salavert, M. Is Visceral Leishmaniasis Different in Immunocompromised Patients Without Human Immunodeficiency Virus? A Comparative, Multicenter Retrospective Cohort Analysis. Am. J. Trop. Med. Hyg. 2017, 97, 1127–1133. [Google Scholar] [CrossRef] [PubMed]
- Antinori, S.; Cascio, A.; Parravicini, C.; Bianchi, R.; Corbellino, M. Leishmaniasis among organ transplant recipients. Lancet Infect. Dis. 2008, 8, 191–199. [Google Scholar] [CrossRef]
- Wiseman, A.C. Immunosuppressive Medications. Clin. J. Am. Soc. Nephrol. 2016, 11, 332–343. [Google Scholar] [CrossRef]
- Kip, A.E.; Balasegaram, M.; Beijnen, J.H.; Schellens, J.H.M.; De Vries, P.J.; Dorlo, T.P. Systematic Review of Biomarkers To Monitor Therapeutic Response in Leishmaniasis. Antimicrob. Agents Chemother. 2015, 59, 1–14. [Google Scholar] [CrossRef]
- Santarem, N.; Silvestre, R.; Cardoso, L.; Schallig, H.; Reed, S.G.; Cordeiro-Da-Silva, A. Application of an Improved Enzyme-Linked Immunosorbent Assay Method for Serological Diagnosis of Canine Leishmaniasis. J. Clin. Microbiol. 2010, 48, 1866–1874. [Google Scholar] [CrossRef]
- Lima, C.; Santarem, N.; Nieto, J.; Moreno, J.; Carrillo, E.; Bartholomeu, D.C.; Bueno, L.L.; Fujiwara, R.; Amorim, C.; Cordeiro-Da-Silva, A. The Use of Specific Serological Biomarkers to Detect CaniLeish Vaccination in Dogs. Front. Vet. Sci. 2019, 6, 373. [Google Scholar] [CrossRef]
- Santarem, N.; Tomás, A.M.; Ouaissi, A.; Tavares, J.; Ferreira, N.; Manso, A.; Campino, L.; Correia, J.M.; Cordeiro-Da-Silva, A. Antibodies against a Leishmania infantum peroxiredoxin as a possible marker for diagnosis of visceral leishmaniasis and for monitoring the efficacy of treatment. Immunol. Lett. 2005, 101, 18–23. [Google Scholar] [CrossRef] [PubMed]
- Deniau, M.; Cañavate, C.; Faraut-Gambarelli, F.; Marty, P. The biological diagnosis of leishmaniasis in HIV-infected patients. Ann. Trop. Med. Parasitol. 2003, 97, 115–133. [Google Scholar] [CrossRef] [PubMed]
- Pattabhi, S.; Whittle, J.; Mohamath, R.; El-Safi, S.; Moulton, G.G.; Guderian, J.A.; Colombara, D.V.; Abdoon, A.O.; Mukhtar, M.M.; Mondal, D.; et al. Design, Development and Evaluation of rK28-Based Point-of-Care Tests for Improving Rapid Diagnosis of Visceral Leishmaniasis. PLoS Negl. Trop. Dis. 2010, 4, e822. [Google Scholar] [CrossRef] [PubMed]
- Howard, R.F.; Mukhtar, M.; Abdoun, A.O.; Ghalib, H.; Boelaert, M.; Menten, J.; Peeling, R.; Mohamath, R.; Duthie, M.S.; Mondal, D.; et al. Tools for improved management of visceral leishmaniasis: Clinical evaluation of the rk28 rapid diagnostic test and assessment of an antigen-detection test of cure. Am. J. Trop. Med. Hyg. 2015, 93, 533. [Google Scholar]
- Vallur, A.C.; Hailu, A.; Mondal, D.; Reinhart, C.; Wondimu, H.; Tutterrow, Y.; Ghalib, H.W.; Reed, S.G.; Duthie, M.S. Specific antibody responses as indicators of treatment efficacy for visceral leishmaniasis. Eur. J. Clin. Microbiol. Infect. Dis. 2014, 34, 679–686. [Google Scholar] [CrossRef] [PubMed]
- Ibarra-Meneses, A.V.; Moreno, J.; Carrillo, E. New Strategies and Biomarkers for the Control of Visceral Leishmaniasis. Trends Parasitol. 2020, 36, 29–38. [Google Scholar] [CrossRef] [PubMed]
- Cruz, I.; Millet, A.; Carrillo, E.; Chenik, M.; Salotra, P.; Verma, S.; Veland, N.; Jara, M.; Adaui, V.; Castrillón, C.; et al. An approach for interlaboratory comparison of conventional and real-time PCR assays for diagnosis of human leishmaniasis. Exp. Parasitol. 2013, 134, 281–289. [Google Scholar] [CrossRef]
- Salloum, T.; Khalifeh, I.; Tokajian, S. Detection, molecular typing and phylogenetic analysis of Leishmania isolated from cases of leishmaniasis among Syrian refugees in Lebanon. Parasite Epidemiol. Control. 2016, 1, 159–168. [Google Scholar] [CrossRef]
- Bouchekoua, M.; Trabelsi, S.; Ben Abdallah, T.; Khaled, S. Visceral leishmaniasis after kidney transplantation: Report of a new case and a review of the literature. Transplant. Rev. 2014, 28, 32–35. [Google Scholar] [CrossRef]
- Elmahallawy, E.; Cuadros-Moronta, E.; Liébana-Martos, M.; Rodriguez-Granger, J.; Sampedro-Martínez, A.; Agil, A.; Navarro-Mari, J.; Bravo-Soto, J.; Gutierrez-Fernández, J. Seroprevalence of Leishmaniainfection among asymptomatic renal transplant recipients from southern Spain. Transpl. Infect. Dis. 2015, 17, 795–799. [Google Scholar] [CrossRef]
- Yaich, S.; Charfeddine, K.; Masmoudi, A.; Masmoudi, M.; Zaghdhane, S.; Turki, H.; Hachicha, J. Atypical presentation of cutaneous leishmaniasis in a renal transplant recipient successfully treated with allopurinol and fluconazole. Ann. Saudi Med. 2013, 33, 187–191. [Google Scholar] [CrossRef] [PubMed]
- De Silva, A.A.; Filho Álvaro, P.E.S.; Sesso, R.D.C.C.; Esmeraldo, R.D.M.; De Oliveira, C.M.C.; Fernandes, P.F.C.B.C.; De Oliveira, R.A.; De Silva, L.S.V.; De Carvalho, V.P.; Costa, C.H.N.; et al. Epidemiologic, clinical, diagnostic and therapeutic aspects of visceral leishmaniasis in renal transplant recipients: Experience from thirty cases. BMC Infect. Dis. 2015, 15, 96. [Google Scholar] [CrossRef]
- Zandieh, A.; Zandieh, B.; Dastgheib, L. Dissemination of localized cutaneous leishmaniasis in an organ transplant recipient: Case report and literature review. Int. J. Dermatol. 2012, 52, 59–62. [Google Scholar] [CrossRef] [PubMed]
- Özcan, D.; Seçkin, D.; Allahverdiyev, A.M.; Weina, P.J.; Aydin, H.; Özçay, F.; Haberal, M. Liver transplant recipient with concomitant cutaneous and visceral leishmaniasis. Pediatric Transplant. 2007, 11, 228–232. [Google Scholar] [CrossRef]
- Van Griensven, J.; Carrillo, E.; López-Vélez, R.; Lynen, L.; Moreno, J. Leishmaniasis in immunosuppressed individuals. Clin. Microbiol. Infect. 2014, 20, 286–299. [Google Scholar] [CrossRef] [PubMed]
- Pardo, J.R.P.; Capitán, M.D.C.F.; Rangel, M.D.L.L.S.; Fernández, F.A. Leishmaniasis visceral y coagulopatía de consumo: Presentación de un caso y revisión de la bibliografía. Med. Clín. 2004, 123, 438–439. [Google Scholar] [CrossRef]
- Ferreira, E.D.S.; Júnior, V.R.D.S.; De Oliveira, J.F.S.; Costa, M.F.H.; Correia, M.D.C.D.B.; De Sá, A.F. Rare association of consumptive coagulopathy in visceral leishmaniasis: A case report. Trop. Dr. 2020. [Google Scholar] [CrossRef]
- Rizos, E.; Dimos, G.; Liberopoulos, E.N.; Elisaf, M.S.; Drosos, A. Cryoglobulinemic purpura in visceral leishmaniasis. Rheumatol. Int. 2005, 25, 469–471. [Google Scholar] [CrossRef]
- Lévêque, M.F.; Lachaud, L.; Simon, L.; Battery, E.; Marty, P.; Pomares, C. Place of Serology in the Diagnosis of Zoonotic Leishmaniases With a Focus on Visceral Leishmaniasis Due to Leishmania infantum. Front. Cell. Infect. Microbiol. 2020, 10, 67. [Google Scholar] [CrossRef]
- Cota, G.F.; de Sousa, M.R.; Demarqui, F.N.; Rabello, A. The diagnostic accuracy of serologic and molecular methods for detecting visceral leishmaniasis in HIV infected patients: Meta-analysis. PLoS Negl. Trop Dis. 2012, 6. [Google Scholar] [CrossRef]
- Özbilgin, A.; Harman, M.; Karakuş, M.; Bart, A.; Töz, S.; Özgür, K.; Çavuş, I.; Polat, E.; Gündüz, C.; Van Gool, T.; et al. Leishmaniasis in Turkey: Visceral and cutaneous leishmaniasis caused by Leishmania donovani in Turkey. Acta Trop. 2017, 173, 90–96. [Google Scholar] [CrossRef]
- Opota, O.; Balmpouzis, Z.; Berutto, C.; Kaiser-Guignard, J.; Greub, G.; Aubert, J.-D.; Prod’Hom, G.; Manuel, O.; Jaton, K. Visceral leishmaniasis in a lung transplant recipient: Usefulness of highly sensitive real-time polymerase chain reaction for preemptive diagnosis. Transpl. Infect. Dis. 2016, 18, 801–804. [Google Scholar] [CrossRef] [PubMed]
- Simon, I.; Wissing, K.; Del Marmol, V.; Antinori, S.; Remmelink, M.; Broeders, E.N.; Nortier, J.; Corbellino, M.; Abramowicz, D.; Cascio, A. Recurrent leishmaniasis in kidney transplant recipients: Report of 2 cases and systematic review of the literature. Transpl. Infect. Dis. 2011, 13, 397–406. [Google Scholar] [CrossRef] [PubMed]
- Aronson, N.; Herwaldt, B.L.; Libman, M.; Pearson, R.; Lopez-Velez, R.; Weina, P.; Carvalho, E.M.; Ephros, M.; Jeronimo, S.; Magill, A. Diagnosis and Treatment of Leishmaniasis: Clinical Practice Guidelines by the Infectious Diseases Society of America (IDSA) and the American Society of Tropical Medicine and Hygiene (ASTMH). Clin. Infect. Dis. 2016, 63, e202–e264. [Google Scholar] [CrossRef] [PubMed]
- Gajurel, K.; Dhakal, R.; Deresinski, S. Leishmaniasis in solid organ and hematopoietic stem cell transplant recipients. Clin. Transplant. 2017, 31, e12867. [Google Scholar] [CrossRef]
- Carnielli, J.B.; Monti-Rocha, R.; Costa, D.L.; Sesana, A.M.; Pansini, L.N.N.; Segatto, M.; Mottram, J.C.; Costa, C.H.N.; De Carvalho, S.F.G.; Dietze, R. Natural Resistance of Leishmania infantum to Miltefosine Contributes to the Low Efficacy in the Treatment of Visceral Leishmaniasis in Brazil. Am. J. Trop. Med. Hyg. 2019, 101, 789–794. [Google Scholar] [CrossRef]





| SPLA | Rk28 | |
|---|---|---|
| Patient | 0.313 | 0.466 |
| Positive Control | 0.724 | 1.015 |
| Cut-off | ≥0.092 | ≥0.096 |
| (L. infantum) MHOM/MA/6 7/ITMAP-263 | (L. infantum) MHOM/PT/00 /ITM260 | (L. donovani) MHOM/CN/58 /Sman | (L. major) MHOM/AT/16 /AS16 | (L. tropica) MHOM/KE/84 /NLB297 | |
|---|---|---|---|---|---|
| Patient | 100% | 100% | 99% | 89% | 91% |
Publisher’s Note: MDPI stays neutral with regard to jurisdictional claims in published maps and institutional affiliations. |
© 2020 by the authors. Licensee MDPI, Basel, Switzerland. This article is an open access article distributed under the terms and conditions of the Creative Commons Attribution (CC BY) license (http://creativecommons.org/licenses/by/4.0/).
Share and Cite
Marques, N.; Bustorff, M.; Cordeiro Da Silva, A.; Pinto, A.I.; Santarém, N.; Ferreira, F.; Nunes, A.; Cerqueira, A.; Rocha, A.; Ferreira, I.; et al. Visceral Dissemination of Mucocutaneous Leishmaniasis in a Kidney Transplant Recipient. Pathogens 2021, 10, 18. https://doi.org/10.3390/pathogens10010018
Marques N, Bustorff M, Cordeiro Da Silva A, Pinto AI, Santarém N, Ferreira F, Nunes A, Cerqueira A, Rocha A, Ferreira I, et al. Visceral Dissemination of Mucocutaneous Leishmaniasis in a Kidney Transplant Recipient. Pathogens. 2021; 10(1):18. https://doi.org/10.3390/pathogens10010018
Chicago/Turabian StyleMarques, Nídia, Manuela Bustorff, Anabela Cordeiro Da Silva, Ana Isabel Pinto, Nuno Santarém, Filipa Ferreira, Ana Nunes, Ana Cerqueira, Ana Rocha, Inês Ferreira, and et al. 2021. "Visceral Dissemination of Mucocutaneous Leishmaniasis in a Kidney Transplant Recipient" Pathogens 10, no. 1: 18. https://doi.org/10.3390/pathogens10010018
APA StyleMarques, N., Bustorff, M., Cordeiro Da Silva, A., Pinto, A. I., Santarém, N., Ferreira, F., Nunes, A., Cerqueira, A., Rocha, A., Ferreira, I., Tavares, I., Santos, J., Fonseca, E., Moura, C., Cerejeira, A., Vide, J., Cancela, J., Sobrinho Simões, J., & Sampaio, S. (2021). Visceral Dissemination of Mucocutaneous Leishmaniasis in a Kidney Transplant Recipient. Pathogens, 10(1), 18. https://doi.org/10.3390/pathogens10010018

