Ultrastructural Analysis of Johnston’s Organ and Brain Organization in Philaenus spumarius (Hemiptera: Aphrophoridae)
Simple Summary
Abstract
1. Introduction
2. Materials and Methods
2.1. Scanning Electron Microscopy
2.2. Light and Transmission Electron Microscopy
2.3. Histology and Immunocytochemistry
2.4. Antennal Backfills
2.5. Single Sensillum Backfills
2.6. Confocal Laser Scanning Microscopy
2.7. Micro Computed Tomography (Micro-CT)
3. Results
3.1. Antenna General Morphology
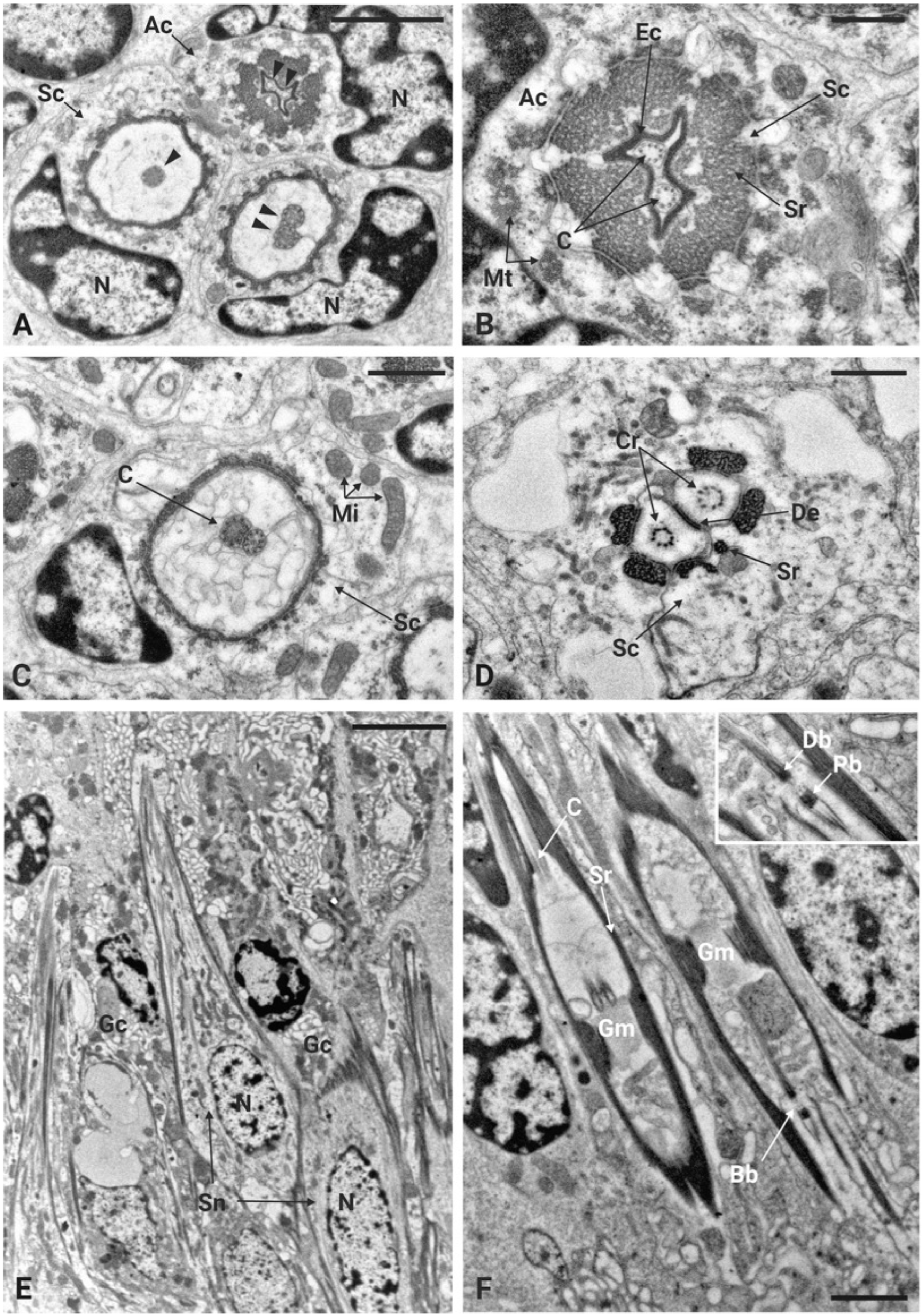
3.2. Johnston’s Organ Organization
3.3. General Brain Anatomy
4. Discussion
5. Conclusions
Author Contributions
Funding
Data Availability Statement
Acknowledgments
Conflicts of Interest
References
- Cocroft, R.B.; Rodríguez, R.L. The Behavioral Ecology of Insect Vibrational Communication. BioScience 2005, 55, 323–334. [Google Scholar] [CrossRef]
- Goubaulr, M.; Batchelor, T.P.; Romani, R.; Linforth, R.S.T.; Fritzsche, M.; Francke, W.; Hardy, I.C.W. Volatile Chemical Release by Bethylid Wasps: Identity, Phylogeny, Anatomy and Behaviour. Biol. J. Linn. Soc. 2008, 94, 837–852. [Google Scholar] [CrossRef][Green Version]
- Ai, H.; Kai, K.; Kumaraswamy, A.; Ikeno, H.; Wachtler, T. Interneurons in the Honeybee Primary Auditory Center Responding to Waggle Dance-like Vibration Pulses. J. Neurosci. 2017, 37, 10624–10635. [Google Scholar] [CrossRef]
- Saitta, V.; Rebora, M.; Piersanti, S.; Salerno, G. Visual and Chemical Cues in the Host Plant Selection of the Melon Ladybird Chnootriba elaterii (Coleoptera: Coccinellidae). Arthropod-Plant Interact. 2024, 18, 637–649. [Google Scholar] [CrossRef]
- Zacharuk, R.Y. Antennae and Sensilla. In Comprehensive Insect Physiology, Chemistry and Pharmacology; Kerkut, G.A., Gilbert, L.I., Eds.; Pergamon Press: Oxford, UK, 1985. [Google Scholar]
- Keil, T.A. Morphology and Development of the Peripheral Olfactory Organs. In Insect Olfaction; Hansson, B.S., Ed.; Springer: Berlin, Germany, 1999; pp. 5–47. [Google Scholar]
- Romani, R.; Isidoro, N.; Bin, F. Antennal Structures Used in Communication by Egg Parasitoids. In Egg Parasitoids in Agroecosystems with Emphasis on Trichogramma; Springer: Dordrecht, The Netherlands, 2010; pp. 57–96. ISBN 978-1-4020-9109-4. [Google Scholar]
- Dippel, S.; Kollmann, M.; Oberhofer, G.; Montino, A.; Knoll, C.; Krala, M.; Rexer, K.-H.; Frank, S.; Kumpf, R.; Schachtner, J.; et al. Morphological and Transcriptomic Analysis of a Beetle Chemosensory System Reveals a Gnathal Olfactory Center. BMC Biol. 2016, 14, 90. [Google Scholar] [CrossRef]
- Galizia, C.G.; Rössler, W. Parallel Olfactory Systems in Insects: Anatomy and Function. Annu. Rev. Entomol. 2010, 55, 399–420. [Google Scholar] [CrossRef] [PubMed]
- Masse, N.Y.; Turner, G.C.; Jefferis, G.S.X.E. Olfactory Information Processing in Drosophila. Curr. Biol. 2009, 19, R700–R713. [Google Scholar] [CrossRef] [PubMed]
- Vosshall, L.B.; Stocker, R.F. Molecular Architecture of Smell and Taste in Drosophila. Annu. Rev. Neurosci. 2007, 30, 505–533. [Google Scholar] [CrossRef]
- Yack, J.E. The Structure and Function of Auditory Chordotonal Organs in Insects. Microsc. Res. Tech. 2004, 63, 315–337. [Google Scholar] [CrossRef]
- Field, L.H.; Matheson, T. Chordotonal Organs of Insects. Adv. Insect Phys. 1998, 27, 1–56. [Google Scholar] [CrossRef]
- Kavlie, R.G.; Albert, J.T. Chordotonal Organs. Curr. Biol. 2013, 23, R334–R335. [Google Scholar] [CrossRef] [PubMed]
- Göpfert, M.C.; Robert, D. Nanometre-Range Acoustic Sensitivity in Male and Female Mosquitoes. Proc. R. Soc. B Biol. Sci. 2000, 267, 453–457. [Google Scholar] [CrossRef] [PubMed]
- Krishnan, A.; Sane, S.P. Antennal Mechanosensors and Their Evolutionary Antecedents. In Advances in Insect Physiology; Elsevier Ltd.: Amsterdam, The Netherlands, 2015; Volume 49, pp. 59–99. [Google Scholar]
- Matsuo, E.; Kamikouchi, A. Neuronal Encoding of Sound, Gravity, and Wind in the Fruit Fly. J. Comp. Physiol. A Neuroethol. Sens. Neural Behav. Physiol. 2013, 199, 253–262. [Google Scholar] [CrossRef]
- Sun, Y.; Liu, L.; Ben-Shahar, Y.; Jacobs, J.S.; Eberl, D.F.; Welsh, M.J. TRPA Channels Distinguish Gravity Sensing from Hearing in Johnston’s Organ. Proc. Natl. Acad. Sci. USA 2009, 106, 13606–13611. [Google Scholar] [CrossRef]
- Anton, S.; Homberg, U. Antennal Lobe Structure. In Insect Olfaction; Springer: Berlin/Heidelberg, Germany, 1999; pp. 97–124. [Google Scholar]
- Grabe, V.; Baschwitz, A.; Dweck, H.K.M.; Lavista-Llanos, S.; Hansson, B.S.; Sachse, S. Elucidating the Neuronal Architecture of Olfactory Glomeruli in the Drosophila Antennal Lobe. Cell Rep. 2016, 16, 3401–3413. [Google Scholar] [CrossRef]
- Strausfeld, N.J. Arthropod Brains: Evolution, Functional Elegance, and Historical Significance, 1st ed.; Harward University Press: Cambridge, MA, USA, 2012; ISBN 0674046331. [Google Scholar]
- Dekker, T.; Ibba, I.; Siju, K.P.; Stensmyr, M.C.; Hansson, B.S. Olfactory Shifts Parallel Superspecialism for Toxic Fruit in Drosophila melanogaster Sibling, D. sechellia. Curr. Biol. 2006, 16, 101–109. [Google Scholar] [CrossRef]
- Ibba, I.; Angioy, A.M.; Hansson, B.S.; Dekker, T. Macroglomeruli for Fruit Odors Change Blend Preference in Drosophila. Naturwissenschaften 2010, 97, 1059–1066. [Google Scholar] [CrossRef]
- Bressel, O.C.; Khan, M.; Mombaerts, P. Linear Correlation between the Number of Olfactory Sensory Neurons Expressing a given Mouse Odorant Receptor Gene and the Total Volume of the Corresponding Glomeruli in the Olfactory Bulb. J. Comp. Neurol. 2016, 524, 199–209. [Google Scholar] [CrossRef] [PubMed]
- Acebes, A.; Ferrús, A. Increasing the Number of Synapses Modifies Olfactory Perception in Drosophila. J. Neurosci. 2001, 21, 6264–6273. [Google Scholar] [CrossRef]
- Galizia, C.G.; McIlwrath, S.L.; Menzel, R. A Digital Three-Dimensional Atlas of the Honeybee Antennal Lobe Based on Optical Sections Acquired by Confocal Microscopy. Cell Tissue Res. 1999, 295, 383–394. [Google Scholar] [CrossRef]
- Groothuis, J.; Pfeiffer, K.; el Jundi, B.; Smid, H.M. The Jewel Wasp Standard Brain: Average Shape Atlas and Morphology of the Female Nasonia vitripennis Brain. Arthropod Struct. Dev. 2019, 51, 41–51. [Google Scholar] [CrossRef]
- Laissue, P.P.; Reiter, C.; Hiesinger, P.R.; Halter, S.; Fischbach, K.F.; Stocker, R.F. Three-Dimensional Reconstruction of the Antennal Lobe in Drosophila melanogaster. J. Comp. Neurol. 1999, 405, 543–552. [Google Scholar] [CrossRef]
- Solari, P.; Corda, V.; Sollai, G.; Kreissl, S.; Galizia, C.G.; Crnjar, R. Morphological Characterization of the Antennal Lobes in the Mediterranean Fruit Fly Ceratitis capitata. J. Comp. Physiol. A Neuroethol. Sens. Neural Behav. Physiol. 2016, 202, 131–146. [Google Scholar] [CrossRef]
- Xie, G.Y.; Ma, B.W.; Liu, X.L.; Chang, Y.J.; Chen, W.B.; Li, G.P.; Feng, H.Q.; Zhang, Y.J.; Berg, B.G.; Zhao, X.C. Brain Organization of Apolygus lucorum: A Hemipteran Species with Prominent Antennal Lobes. Front. Neuroanat. 2019, 13, 70. [Google Scholar] [CrossRef]
- Ignell, R.; Anton, S.; Hansson, B.S. The Antennal Lobe of Orthoptera—Anatomy and Evolution. Brain Behav. Evol. 2001, 57, 1–17. [Google Scholar] [CrossRef]
- Schachtner, J.; Schmidt, M.; Homberg, U. Organization and Evolutionary Trends of Primary Olfactory Brain Centers in Tetraconata (Crustacea+Hexapoda). Arthropod Struct. Dev. 2005, 34, 257–299. [Google Scholar] [CrossRef]
- Kollmann, M.; Minoli, S.; Bonhomme, J.; Homberg, U.; Schachtner, J.; Tagu, D.; Anton, S. Revisiting the Anatomy of the Central Nervous System of a Hemimetabolous Model Insect Species: The Pea Aphid Acyrthosiphon pisum. Cell Tissue Res. 2011, 343, 343–355. [Google Scholar] [CrossRef] [PubMed]
- Kristoffersen, L.; Hansson, B.S.; Anderbrant, O.; Larsson, M.C. Aglomerular Hemipteran Antennal Lobes—Basic Neuroanatomy of a Small Nose. Chem. Senses 2008, 33, 771–778. [Google Scholar] [CrossRef] [PubMed]
- Rebora, M.; Piersanti, S.; Salerno, G.; Gorb, S. The Antenna of a Burrowing Dragonfly Larva, Onychogomphus forcipatus (Anisoptera, Gomphidae). Arthropod Struct. Dev. 2015, 44, 595–603. [Google Scholar] [CrossRef] [PubMed]
- Rossi Stacconi, M.V.; Hansson, B.S.; Rybak, J.; Romani, R. Comparative Neuroanatomy of the Antennal Lobes of 2 Homopteran Species. Chem. Senses 2014, 39, 283–294. [Google Scholar] [CrossRef]
- Brandt, R.; Rohlfing, T.; Rybak, J.; Krofczik, S.; Maye, A.; Westerhoff, M.; Hege, H.C.; Menzel, R. Three-Dimensional Average-Shape Atlas of the Honeybee Brain and Its Applications. J. Comp. Neurol. 2005, 492, 1–19. [Google Scholar] [CrossRef]
- Saponari, M.; Boscia, D.; Nigro, F.; Martelli, G.P. Identification of DNA Sequences Related to Xylella fastidiosa in Oleander, Almond and Olive Trees Exhibiting Leaf Scorch Symptoms in Apulia (Southern Italy). J. Plant Pathol. 2013, 95, 668. [Google Scholar] [CrossRef]
- Ranieri, E.; Ruschioni, S.; Riolo, P.; Isidoro, N.; Romani, R. Fine Structure of Antennal Sensilla of the Spittlebug Philaenus spumarius L. (Insecta: Hemiptera: Aphrophoridae). I. Chemoreceptors and Thermo-/Hygroreceptors. Arthropod Struct. Dev. 2016, 45, 432–439. [Google Scholar] [CrossRef]
- Anastasaki, E.; Psoma, A.; Partsinevelos, G.; Papachristos, D.; Milonas, P. Electrophysiological Responses of Philaenus spumarius and Neophilaenus campestris Females to Plant Volatiles. Phytochemistry 2021, 189, 112848. [Google Scholar] [CrossRef]
- Cascone, P.; Quarto, R.; Iodice, L.; Cencetti, G.; Formisano, G.; Spiezia, G.; Giorgini, M.; Michelozzi, M.; Guerrieri, E. Behavioural Response of the Main Vector of Xylella fastidiosa towards Olive VOCs. Entomol. Gen. 2022, 42, 35–44. [Google Scholar] [CrossRef]
- Ganassi, S.; Cascone, P.; Di Domenico, C.; Pistillo, M.; Formisano, G.; Giorgini, M.; Grazioso, P.; Germinara, G.S.; De Cristofaro, A.; Guerrieri, E. Electrophysiological and Behavioural Response of Philaenus spumarius to Essential Oils and Aromatic Plants. Sci. Rep. 2020, 10, 3114. [Google Scholar] [CrossRef]
- Sevarika, M.; Rondoni, G.; Ganassi, S.; Pistillo, O.M.; Germinara, G.S.; De Cristofaro, A.; Romani, R.; Conti, E. Behavioural and Electrophysiological Responses of Philaenus spumarius to Odours from Conspecifics. Sci. Rep. 2022, 12, 8402. [Google Scholar] [CrossRef]
- Sevarika, M.; Di Giulio, A.; Rondoni, G.; Conti, E.; Romani, R. Morpho-Functional Analysis of the Head Glands in Three Auchenorrhyncha Species and Their Possible Biological Significance. Microsc. Microanal. 2022, 28, 2177–2187. [Google Scholar] [CrossRef] [PubMed]
- Avosani, S.; Daher, E.; Franceschi, P.; Ciolli, M.; Verrastro, V.; Mazzoni, V. Vibrational Communication and Mating Behavior of the Meadow Spittlebug Philaenus spumarius. Entomol. Gen. 2020, 40, 307–321. [Google Scholar] [CrossRef]
- Keil, T.A. Functional Morphology of Insect Mechanoreceptors. Microsc. Res. Tech. 1997, 39, 506–531. [Google Scholar] [CrossRef]
- McIver, S.B. Mechanoreception. In Comprehensive Insect Physiology, Biochemistry and Phramacology; Pergamon Press: Oxford, UK, 1985; Volume 6, pp. 71–132. [Google Scholar]
- Boo, K.S.; Richards, A.G. Fine Structure of the Scolopidia in the Johnston’s Organ of Male Aedes aegypti (L.) (Diptera: Culicidae). Int. J. Insect Morphol. Embryol. 1975, 4, 549–566. [Google Scholar] [CrossRef]
- Boo, K.S.; Richards, A.G. Fine Structure of Scolopidia in Johnston’s Organ of Female Aedes aegypti Compared with That of the Male. J. Insect Physiol. 1975, 21, 1129–1139. [Google Scholar] [CrossRef]
- Bromley, A.K.; Dunn, J.A.; Anderson, M. Ultrastructure of the Antennal Sensilla of Aphids. Cell Tissue Res. 1980, 205, 493–511. [Google Scholar] [CrossRef]
- Jeram, S.; Pabst, M.A. Johnston’s Organ and Central Organ in Nezara viridula (L.) (Heteroptera, Pentatomidae). Tissue Cell 1996, 28, 227–235. [Google Scholar] [CrossRef]
- Rossi Stacconi, M.V.; Romani, R. The Johnston’s Organ of Three Homopteran Species: A Comparative Ultrastructural Study. Arthropod Struct. Dev. 2013, 42, 219–228. [Google Scholar] [CrossRef]
- Kamikouchi, A.; Shimada, T.; Ito, K. Comprehensive Classification of the Auditory Sensory Projections in the Brain of the Fruit Fly Drosophila melanogaster. J. Comp. Neurol. 2006, 499, 317–356. [Google Scholar] [CrossRef] [PubMed]
- Toh, Y. Fine Structure of Sense Organs on the Antennal Pedicel and Scape of the Male Cockroach, Periplaneta americana. J. Ultrasruct. Res. 1981, 77, 119–132. [Google Scholar] [CrossRef]
- Ishikawa, Y.; Fujiwara, M.; Wong, J.; Ura, A.; Kamikouchi, A. Stereotyped Combination of Hearing and Wind/Gravity-Sensing Neurons in the Johnston’s Organ of Drosophila. Front. Physiol. 2020, 10, 1552. [Google Scholar] [CrossRef]
- Foelix, R.F.; Stocker, R.F.; Steinbrecht, R.A. Fine Structure of a Sensory Organ in the Arista of Drosophila melanogaster and Some Other Dipterans. Cell Tissue Res. 1989, 258, 277–287. [Google Scholar] [CrossRef]
- Eberl, D.F. Feeling the Vibes: Chordotonal Mechanisms in Insect Hearing. Curr. Opin. Neurobiol. 1999, 9, 389–393. [Google Scholar] [CrossRef] [PubMed]
- Göpfert, M.C.; Robert, D. The Mechanical Basis of Drosophila Audition. J. Exp. Biol. 2002, 205, 1199–1208. [Google Scholar] [CrossRef] [PubMed]
- Todi, S.V.; Sharma, Y.; Eberl, D.F. Anatomical and Molecular Design of the Drosophila Antenna as a Flagellar Auditory Organ. Microsc. Res. Tech. 2004, 63, 388–399. [Google Scholar] [CrossRef] [PubMed]
- Pézier, A.; Blagburn, J.M. Auditory Responses of Engrailed and Invected-Expressing Johnston’s Organ Neurons in Drosophila Melanogaster. PLoS ONE 2013, 8, e71419. [Google Scholar] [CrossRef] [PubMed][Green Version]
- Rother, L.; Kraft, N.; Smith, D.B.; el Jundi, B.; Gill, R.J.; Pfeiffer, K. A Micro-CT-Based Standard Brain Atlas of the Bumblebee. Cell Tissue Res. 2021, 386, 29–45. [Google Scholar] [CrossRef]
- Rein, K.; Zöckler, M.; Mader, M.T.; Grübel, C.; Heisenberg, M. The Drosophila Standard Brain. Curr. Biol. 2002, 12, 227–231. [Google Scholar] [CrossRef]
- Shao, H.C.; Wu, C.C.; Chen, G.Y.; Chang, H.M.; Chiang, A.S.; Chen, Y.C. Developing a Stereotypical Drosophila Brain Atlas. IEEE Trans. Biomed. Eng. 2014, 61, 2848–2858. [Google Scholar] [CrossRef]
- Kristoffersen, L.; Hallberg, E.; Wallén, R.; Anderbrant, O. Sparse Sensillar Array on Trioza apicalis (Homoptera, Triozidae) Antennae-an Adaptation to High Stimulus Levels? Arthropod Struct. Dev. 2006, 35, 85–92. [Google Scholar] [CrossRef]
- Ramaekers, A.; Magnenat, E.; Marin, E.C.; Gendre, N.; Jefferis, G.S.X.E.; Luo, L.; Stocker, R.F. Glomerular Maps without Cellular Redundancy at Successive Levels of the Drosophila Larval Olfactory Circuit. Curr. Biol. 2005, 15, 982–992. [Google Scholar] [CrossRef]
- Nishikawa, M.; Nishino, H.; Misaka, Y.; Kubota, M.; Tsuji, E.; Satoji, Y.; Ozaki, M.; Yokohari, F. Sexual Dimorphism in the Antennal Lobe of the Ant Camponotus japonicus. Zool. Sci. 2008, 25, 195–204. [Google Scholar] [CrossRef]
- Stocker, R.F.; Lienhard, M.C.; Borst, A.; Fischbach, K.F. Neuronal Architecture of the Antennal Lobe in Drosophila melanogaster. Cell Tissue Res. 1990, 262, 9–34. [Google Scholar] [CrossRef]
- Van Wijk, M.; Wadman, W.J.; Sabelis, M.W. Morphology of the Olfactory System in the Predatory Mite Phytoseiulus persimilis. Exp. Appl. Acarol. 2006, 40, 217–229. [Google Scholar] [CrossRef]
- Hansson, B.S.; Christensen, T.A.; Hildebrand, J.G. Functionally Distinct Subdivisions of the Macroglomerular Complex in the Antennal Lobe of the Male Sphinx Moth Manduca sexta. J. Comp. Neurol. 1991, 312, 264–278. [Google Scholar] [CrossRef]
- Kanzaki, R.; Soo, K.; Seki, Y.; Wada, S. Projections to Higher Olfactory Centers from Subdivisions of the Antennal Lobe Macroglomerular Complex of the Male Silkmoth. Chem. Senses 2003, 28, 113–130. [Google Scholar] [CrossRef]
- Kleineidam, C.J.; Obermayer, M.; Halbich, W.; Rössler, W. A Macroglomerulus in the Antennal Lobe of Leaf-Cutting Ant Workers and Its Possible Functional Significance. Chem. Senses 2005, 30, 383–392. [Google Scholar] [CrossRef]
- Ruchty, M.; Helmchen, F.; Wehner, R.; Kleineidam, C.J. Representation of Thermal Information in the Antennal Lobe of Leaf-Cutting Ants. Front. Behav. Neurosci. 2010, 4, 174. [Google Scholar] [CrossRef] [PubMed]
- Bicker, G.; Stern, M. Structural and Functional Plasticity in the Regenerating Olfactory System of the Migratory Locust. Front. Physiol. 2020, 11, 608661. [Google Scholar] [CrossRef]
- Grob, R.; Tritscher, C.; Grübel, K.; Stigloher, C.; Groh, C.; Fleischmann, P.N.; Rössler, W. Johnston’s Organ and Its Central Projections in Cataglyphis Desert Ants. J. Comp. Neurol. 2021, 529, 2138–2155. [Google Scholar] [CrossRef] [PubMed]
- Ma, B.W.; Zhao, X.C.; Berg, B.G.; Xie, G.Y.; Tang, Q.B.; Wang, G.R. Central Projections of Antennal and Labial Palp Sensory Neurons in the Migratory Armyworm Mythimna Separata. Front. Cell Neurosci. 2017, 11, 370. [Google Scholar] [CrossRef]
- Patella, P.; Wilson, R.I. Functional Maps of Mechanosensory Features in the Drosophila Brain. Curr. Biol. 2018, 28, 1189–1203.e5. [Google Scholar] [CrossRef] [PubMed]
- Kamikouchi, A.; Inagaki, H.K.; Effertz, T.; Hendrich, O.; Fiala, A.; Göpfert, M.C.; Ito, K. The Neural Basis of Drosophila Gravity-Sensing and Hearing. Nature 2009, 458, 165–171. [Google Scholar] [CrossRef]
- Matsuo, E.; Yamada, D.; Ishikawa, Y.; Asai, T.; Ishimoto, H.; Kamikouchi, A. Identification of Novel Vibration- and Deflection-Sensitive Neuronal Subgroups in Johnston’s Organ of the Fruit Fly. Front. Physiol. 2014, 5, 179. [Google Scholar] [CrossRef]
- Yorozu, S.; Wong, A.; Fischer, B.J.; Dankert, H.; Kernan, M.J.; Kamikouchi, A.; Ito, K.; Anderson, D.J. Distinct Sensory Representations of Wind and Near-Field Sound in the Drosophila Brain. Nature 2009, 458, 201–205. [Google Scholar] [CrossRef] [PubMed]
- Ai, H.; Nishino, H.; Itoh, T. Topographic Organization of Sensory Afferents of Johnston’s Organ in the Honeybee Brain. J. Comp. Neurol. 2007, 502, 1030–1046. [Google Scholar] [CrossRef] [PubMed]
- Matsuo, E.; Seki, H.; Asai, T.; Morimoto, T.; Miyakawa, H.; Ito, K.; Kamikouchi, A. Organization of Projection Neurons and Local Neurons of the Primary Auditory Center in the Fruit Fly Drosophila melanogaster. J. Comp. Neurol. 2016, 524, 1099–1164. [Google Scholar] [CrossRef] [PubMed]








Disclaimer/Publisher’s Note: The statements, opinions and data contained in all publications are solely those of the individual author(s) and contributor(s) and not of MDPI and/or the editor(s). MDPI and/or the editor(s) disclaim responsibility for any injury to people or property resulting from any ideas, methods, instructions or products referred to in the content. |
© 2025 by the authors. Licensee MDPI, Basel, Switzerland. This article is an open access article distributed under the terms and conditions of the Creative Commons Attribution (CC BY) license.
Share and Cite
Sevarika, M.; Kleineidam, C.; Romani, R. Ultrastructural Analysis of Johnston’s Organ and Brain Organization in Philaenus spumarius (Hemiptera: Aphrophoridae). Insects 2026, 17, 15. https://doi.org/10.3390/insects17010015
Sevarika M, Kleineidam C, Romani R. Ultrastructural Analysis of Johnston’s Organ and Brain Organization in Philaenus spumarius (Hemiptera: Aphrophoridae). Insects. 2026; 17(1):15. https://doi.org/10.3390/insects17010015
Chicago/Turabian StyleSevarika, Milos, Christoph Kleineidam, and Roberto Romani. 2026. "Ultrastructural Analysis of Johnston’s Organ and Brain Organization in Philaenus spumarius (Hemiptera: Aphrophoridae)" Insects 17, no. 1: 15. https://doi.org/10.3390/insects17010015
APA StyleSevarika, M., Kleineidam, C., & Romani, R. (2026). Ultrastructural Analysis of Johnston’s Organ and Brain Organization in Philaenus spumarius (Hemiptera: Aphrophoridae). Insects, 17(1), 15. https://doi.org/10.3390/insects17010015

