Determinants of Disease Progression in Autosomal Dominant Polycystic Kidney Disease
Abstract
1. Introduction
2. Materials and Methods
3. Results
3.1. General Characteristics of the Study Group
3.2. Demographic Characteristics of the Study Group
3.3. Clinical Profile of Patients with ADPKD
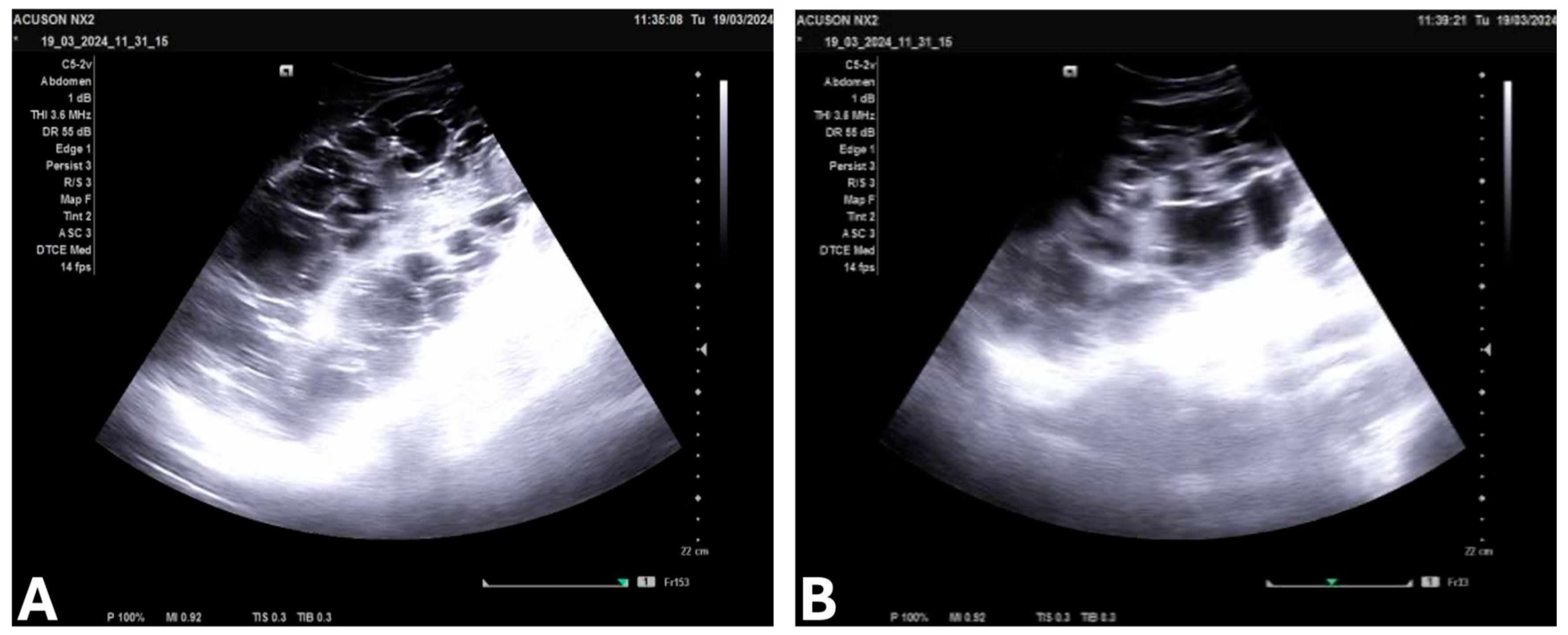
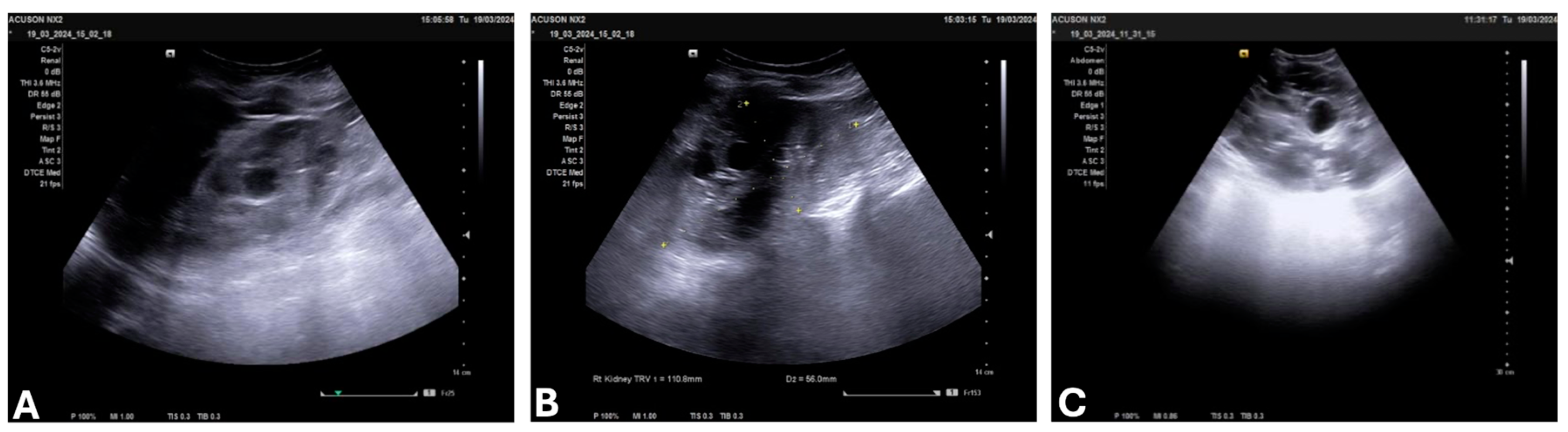
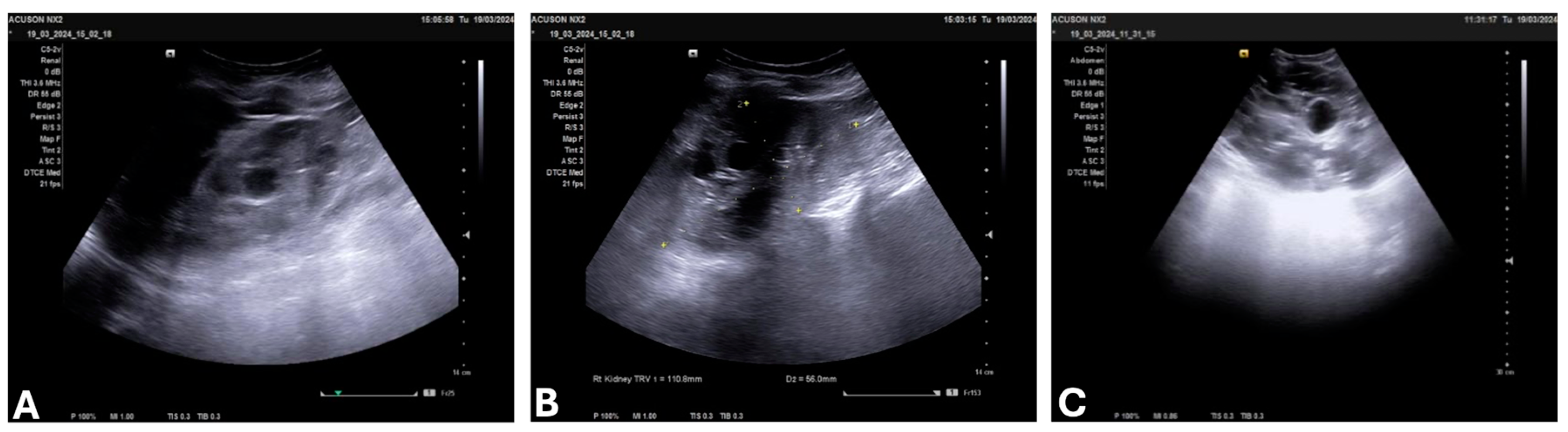
3.4. Laboratory Findings, Imaging, and Stage of ADPKD
3.5. Surgical Intervention, Outcome of ADPKD Patients, and Renal Replacement Therapy
3.6. Comparison of Clinical, Imaging, and Laboratory Characteristics between Males and Females
3.7. Determinant Factors Associated with Disease Progression
4. Discussion
5. Conclusions
Author Contributions
Funding
Institutional Review Board Statement
Informed Consent Statement
Data Availability Statement
Acknowledgments
Conflicts of Interest
References
- Chapman, A.B.; Devuyst, O.; Eckardt, K.-U.; Gansevoort, R.T.; Harris, T.; Horie, S.; Kasiske, B.L.; Odland, D.; Pei, Y.; Perrone, R.D.; et al. Autosomal-dominant polycystic kidney disease (ADPKD): Executive summary from a Kidney Disease: Improving Global Outcomes (KDIGO) Controversies Conference. Kidney Int. 2015, 88, 17–27. [Google Scholar] [CrossRef]
- Torres, V.E.; Harris, P.C. Autosomal dominant polycystic kidney disease: The last 3 years. Kidney Int. 2009, 76, 149–168. [Google Scholar] [CrossRef] [PubMed]
- Cordido, A.; Vizoso-Gonzalez, M.; Garcia-Gonzalez, M.A. Molecular Pathophysiology of Autosomal Recessive Polycystic Kidney Disease. Int. J. Mol. Sci. 2021, 22, 6523. [Google Scholar] [CrossRef] [PubMed] [PubMed Central]
- Hogan, M.C.; Norby, S.M. Evaluation and management of pain in autosomal dominant polycystic kidney disease. Adv. Chronic Kidney Dis. 2010, 17, e1–e16. [Google Scholar] [CrossRef]
- Jdiaa, S.S.; Husainat, N.M.; Mansour, R.; Kalot, M.A.; McGreal, K.; Chebib, F.T.; Perrone, R.D.; Yu, A.; Mustafa, R.A. A Systematic Review of Reported Outcomes in ADPKD Studies. Kidney Int. Rep. 2022, 7, 1964–1979. [Google Scholar] [CrossRef] [PubMed] [PubMed Central]
- Gabow, P.A.; Duley, I.; Anp, R.N.; Ms, A.M.J. Clinical Profiles of Gross Hematuria in Autosomal Dominant Polycystic Kidney Disease. Am. J. Kidney Dis. 2002, 20, 140–143. [Google Scholar] [CrossRef] [PubMed]
- Bae, K.T.; Zhu, F.; Chapman, A.B.; Torres, V.E.; Grantham, J.J.; Guay-Woodford, L.M.; Lisa, M.; Baumgarten, D.A.; King, B.F., Jr.; Wetzel, L.H.; et al. Magnetic Resonance Imaging Evaluation of Hepatic Cysts in Early Autosomal-Dominant Polycystic Kidney Disease: The Consortium for Radiologic Imaging Studies of Polycystic Kidney Disease Cohort. Clin. J. Am. Soc. Nephrol. 2006, 1, 64–69. [Google Scholar] [CrossRef] [PubMed]
- Herstha, R.O.S.; Inley, C.A.M.C.K.; Uss, P.A.U.L.R.; Cherzinger, A.N.N.S.; Ronner, T.E.B.; Howalter, R.A.S. Postmenopausal Estrogen Therapy Selectively Stimulates Hepatic Enlargement in Women With Autosomal Dominant Polycystic Kidney Disease. Hepatology 1997, 26, 1282–1286. [Google Scholar]
- Bergmann, C.; Guay-Woodford, L.M.; Harris, P.C.; Horie, S.; Peters, D.J.M.; Torres, V.E. Polycystic kidney disease. Nat. Rev. Dis. Primers 2018, 4, 50. [Google Scholar] [CrossRef] [PubMed] [PubMed Central]
- Dicks, E.; Parfrey, P.; Cramer, B.; Coto, E.; Torra, R. Unified Criteria for Ultrasonographic Diagnosis of ADPKD. J. Am. Soc. Nephrol. 2009, 20, 205–212. [Google Scholar]
- Pei, Y.; Hwang, Y.-H.; Conklin, J.; Sundsbak, J.L.; Heyer, C.M.; Chan, W.; Wang, K.; He, N.; Rattansingh, A.; Atri, M.; et al. Imaging-Based Diagnosis of Autosomal Dominant Polycystic Kidney Disease. J. Am. Soc. Nephrol. 2015, 26, 746–753. [Google Scholar] [CrossRef]
- Pippias, M.; Kramer, A.; Noordzij, M.; Afentakis, N.; Alonso de la Torre, R.; Ambühl, P.M.; Aparicio Madre, M.I.; Arribas Monzón, F.; Åsberg, A.; Bonthuis, M.; et al. The European Renal Association—European Dialysis and Transplant Association Registry Annual Report 2014: A summary. Clin. Kidney J. 2017, 10, 154–169. [Google Scholar] [CrossRef]
- Willey, C.J.; Blais, J.D.; Hall, A.K.; Krasa, H.B.; Makin, A.J.; Czerwiec, F.S. Prevalence of autosomal dominant polycystic kidney disease in the European Union. Nephrol. Dial. Transplant. 2016, 32, 1356–1363. [Google Scholar] [CrossRef] [PubMed]
- Cloutier, M.; Manceur, A.M.; Guerin, A.; Aigbogun, M.S.; Oberdhan, D. The societal economic burden of autosomal dominant polycystic kidney disease in the United States. BMC Health Serv. Res. 2020, 4, 1–10. [Google Scholar] [CrossRef]
- Ndongo, M.; Nehemie, L.M.; Coundoul, B.; Diouara, A.A.M.; Seck, S.M. Prevalence and outcomes of polycystic kidney disease in African populations: A systematic review. World J. Nephrol. 2024, 13, 90402. [Google Scholar] [CrossRef] [PubMed] [PubMed Central]
- Okyere, P.; Okyere, I.; Ephraim, R.K.D.; Attakorah, J.; Osafo, C.; Arhin, B.; Bachelle, S.; Abaka-Yawson, A. Spectrum and Clinical Characteristics of Renal Diseases in Ghanaian Adults: A 13-Year Retrospective Study. Int. J. Nephrol. 2020, 2020, 8967258. [Google Scholar] [CrossRef]
- Akinari, S.; Sumi, H.; Tomofumi, M.; Yasuto, S.; Keiji, S.; Eiji, I.; Kiyotaka, U.; Hiroshi, K.; Haruna, K.; Mahiro, K.; et al. Cystic Kidney Diseases That Require a Differential Diagnosis from Autosomal Dominant Polycystic Kidney Disease (ADPKD). J. Clin. Med. 2022, 11, 6528. [Google Scholar] [CrossRef]
- Jilg, C.; Bacher, J.; Nabulsi, Z.; Malinoc, A.; Hummel, B.; Hoffmann, M.M.; Ortiz-Bruechle, N.; Glasker, S.; Pisarski, P.; Neeff, H.; et al. Original Articles Epidemiology of autosomal-dominant polycystic kidney disease: An in-depth clinical study for south-western Germany. Nephrol. Dial. Transplant. 2013, 28, 1472–1487. [Google Scholar]
- Nunes, A.C.; Milani, V.; Porsch, D.B.; Rossato, L.B.; Mattos, C.B.; Roisenberg, I.; Barros, E.J. Frequency and clinical profile of patients with polycystic kidney disease in southern Brazil. Ren. Fail. 2008, 30, 169–173. [Google Scholar] [CrossRef] [PubMed][Green Version]
- Cissé, M.M.; Dieng, A.; Ndongo, M.; Ba, M.A.; Ndiaye, B.; Sy, A.; Keita, N.; Ba, B.; Diagne, S.; Diawara, M.S.; et al. Epidemiological and Clinical Profile of Patients with Autosomal Dominant Polycystic Kidney Disease in a Dakar Single Centre. Arch. Nephrol. 2021, 4, 3–8. [Google Scholar]
- Li, A.; Fan, S.; Shen, X.; Ma, D. Clinical Features of 167 Inpatients with Autosomal Dominant Polycystic Kidney Disease at a Single Center in China. Med. Sci. Monit. 2018, 24, 6498–6505. [Google Scholar]
- Zahid, R.; Akram, M.; Rafique, E. Prevalence, risk factors and disease knowledge of polycystic kidney disease in Pakistan. Int. J. Immunopathol. Pharmacol. 2020, 34, 2058738420966083. [Google Scholar] [CrossRef] [PubMed] [PubMed Central]
- Ogiator, M.; Ijachi, O.; Ukpabi, D.; Ojobi, J. Clinical Characteristics and Outcome of Patients with Autosomal Dominant Polycystic Kidney Disease at a Teaching Hospital in North Central, Nigeria: Eight Year Review. West. J. Med. Biomed. Sci. 2021, 2, 87–92. [Google Scholar]
- Rumeyza, K.; Tevfik, E.; Lutfullah, A.; Mehmet, R.A.; Serhan, T.; Abdullah, U.; Caner, C.; Sabahat, A.E.; Bulent, T.N.; Duman, A.; et al. Demographic and Clinical Characteristics of Patients with Autosomal Dominant Polycystic Kidney Disease: A Multicenter Experience. Nephron Clin. Pract. 2011, 117, 270–275. [Google Scholar]
- Ozkok, A.; Akpinar, T.S.; Tufan, F.; Kanitez, N.A.; Uysal, M.; Guzel, M.; Caliskan, Y.; Alisir, S.; Yazici, H.; Ecder, T. Clinical characteristics and predictors of progression of chronic kidney disease in autosomal dominant polycystic kidney disease: A single-center experience. Clin. Exp. Nephrol. 2013, 17, 345–351. [Google Scholar] [CrossRef] [PubMed]
- Sorić Hosman, I.; Cvitković Roić, A.; Fištrek Prlić, M.; Vuković Brinar, I.; Lamot, L. Predicting autosomal dominant polycystic kidney disease progression: Review of promising Serum and urine biomarkers. Front. Pediatr. 2023, 11, 1274435. [Google Scholar] [CrossRef] [PubMed] [PubMed Central]
- Habte, B.; Abraha, A. Adult polycystic kidney disease in Ethiopians. Ethiop. Med. J. 1983, 21, 193–196. [Google Scholar] [PubMed]
- Chapman, A.B.; Torres, V.E.; Perrone, R.D.; Steinman, T.I.; Bae, K.T.; Miller, J.P.; Miskulin, D.C.; Rahbari Oskoui, F.; Masoumi, A.; Hogan, M.C.; et al. The HALT polycystic kidney disease trials: Design and implementation. Clin. J. Am. Soc. Nephrol. 2010, 5, 102–109. [Google Scholar] [CrossRef] [PubMed] [PubMed Central]
- Rastogi, A.; Ameen, K.M.; Al-Baghdadi, M.; Shaffer, K.; Nobakht, N.; Kamgar, M.; Lerma, E.V. Autosomal dominant polycystic kidney disease: Updated perspectives. Ther. Clin. Risk Manag. 2019, 15, 1041–1052. [Google Scholar] [CrossRef] [PubMed] [PubMed Central]
- Bhargav, K.M.; Kumar, B.S.; Mohan, A.; Aramadhaka, L.R.; Prajwal, B.M.; Kumar, D.P. Clinical manifestations, imaging findings, and laboratory abnormalities in 51 patients with autosomal dominant polycystic kidney disease: Experience at Tirupati, South India. J. Clin. Sci. Res. 2018, 7, 165–169. [Google Scholar] [CrossRef]
- Woon, C.; Bielinski-Bradbury, A.; Reilly, K.O.; Robinson, P. A systematic review of the predictors of disease progression in patients with autosomal dominant polycystic kidney disease. BMC Nephrol. [Internet]. 2015, 16, 140. [Google Scholar] [CrossRef] [PubMed]
- Hogan, M.C.; Simmons, K.; Ullman, L., Jr.; Gondal, M.; Dahl, N.K. Beyond Loss of Kidney Function: Patient Care in Autosomal Dominant Polycystic Kidney Disease. Kidney360 2023, 4, 1806–1815. [Google Scholar] [CrossRef] [PubMed] [PubMed Central]
- Johnson, A.M.; Gabow, P.A. Identification of patients with autosomal dominant polycystic kidney disease at highest risk for end-stage renal disease. J. Am. Soc. Nephrol. 1997, 8, 1560–1567. [Google Scholar] [CrossRef] [PubMed]
- Zhu, J.; Liu, F.; Mao, J. Clinical findings, underlying pathogenetic processes and treatment of vascular dysfunction in autosomal dominant polycystic kidney disease. Ren. Fail. 2023, 45, 2282027. [Google Scholar] [CrossRef] [PubMed] [PubMed Central]
- Nobakht, N.; Hanna, R.M.; Al-Baghdadi, M.; Ameen, K.M.; Arman, F.; Nobahkt, E.; Kamgar, M.; Rastogi, A. Advances in Autosomal Dominant Polycystic Kidney Disease: A Clinical Review. Kidney Med. 2020, 2, 196–208. [Google Scholar] [CrossRef] [PubMed] [PubMed Central]
- Ryu, H.; Park, H.C.; Oh, Y.K.; Sangadi, I.; Wong, A.; Mei, C.; Ecder, T.; Wang, A.Y.; Kao, T.W.; Huang, J.W.; et al. RAPID-ADPKD Retrospective epidemiological study of Asia-Pacific patients with rapId Disease progression of Autosomal Dominant Polycystic Kidney Disease): Study protocol for a multinational, retrospective cohort study. BMJ Open 2020, 10, e034103. [Google Scholar] [CrossRef] [PubMed] [PubMed Central]
- Bais, T.; Gansevoort, R.T.; Meijer, E. Drugs in Clinical Development to Treat Autosomal Dominant Polycystic Kidney Disease. Drugs 2022, 82, 1095–1115. [Google Scholar] [CrossRef] [PubMed] [PubMed Central]
- Reiterová, J.; Tesař, V. Autosomal Dominant Polycystic Kidney Disease: From Pathophysiology of Cystogenesis to Advances in the Treatment. Int J Mol Sci. 2022, 23, 3317. [Google Scholar] [CrossRef] [PubMed] [PubMed Central]




| Variables | Frequency | Percentage | 95% Confidence Interval | |
|---|---|---|---|---|
| Lower | Upper | |||
| Gender | ||||
| Male | 50 | 43.9 | 34.2 | 53.5 |
| Female | 64 | 56.1 | 46.5 | 65.8 |
| Age group in years | ||||
| 14–29 | 20 | 17.5 | 9.6 | 25.5 |
| 30–44 | 43 | 37.7 | 29.7 | 47.5 |
| 45–59 | 37 | 32.5 | 24.5 | 42.4 |
| >=60 | 14 | 12.3 | 7.0 | 17.7 |
| Family history | ||||
| Yes | 49 | 43.0 | 34.9 | 52.6 |
| No | 20 | 17.5 | 10.5 | 24.7 |
| Unknown | 45 | 39.5 | 28.9 | 48.4 |
| Family history confirmed by ultrasound | ||||
| Yes | 47 | 41.2 | NA | |
| No | 2 | 1.8 | ||
| Unknown | 16 | 14.0 | ||
| Number of families affected | ||||
| One | 29 | 25.4 | NA | |
| Two | 10 | 8.8 | ||
| Three and above | 10 | 8.8 | ||
| Variables | Frequency | Percentage | |
|---|---|---|---|
| Presenting complaints | |||
| Flank pain | 73 | 64.04 | |
| Hematuria | 16 | 14.04 | |
| Urinary frequency | 15 | 13.16 | |
| Urgency | 10 | 8.77 | |
| Dysuria | 10 | 8.77 | |
| Abdominal pain | 10 | 8.77 | |
| Edema | 9 | 7.89 | |
| Incidental | 8 | 7.02 | |
| Other | 8 | 7.02 | |
| Physical findings | |||
| Hypertension | Mean ± SD | 94 | 82.5 |
| SBP (mmHg) | 142.3 ± 17.5 | ||
| DPB (mmHg) | 88.5 ± 12.7 | ||
| Hepatomegaly | 7 | 6.14 | |
| Costovertebral angle tenderness | 6 | 5.26 | |
| Palpable enlarged kidney | 5 | 4.39 | |
| Other | 12 | 10.53 | |
| Extrarenal manifestations | |||
| Liver cyst | 43 | 38 | |
| Pancreatic | 3 | 2.6 | |
| Adnexal | 2 | 1.7 | |
| Left ventricular hypertrophy | 13 | 11 | |
| Aortic regurgitation | 6 | 5.2 | |
| Cardiomyopathy | 3 | 2.6 | |
| Mitral valve regurgitation | 1 | 0.7 | |
| Nephrolithiasis | 32 | 28 | |
| UTI | 43 | 37.7 | |
| Periumbilical hernia | 2 | 1.7 | |
| Comorbidity | |||
| BPH | 9 | 7.9 | |
| T2 DM | 7 | 6.1 | |
| HIV/AIDS | 7 | 6.1 | |
| Arthritis (gouty, rheumatoid and osteoarthritis | 7 | 6.1 | |
| Cardiac disease (DCMP, IHD, HHD) | 7 | 6.1 | |
| Ischemic stroke | 4 | 3.5 | |
| Seizure disorder | 3 | 2.6 | |
| Anemia | 3 | 2.6 | |
| Internal hemorrhoids | 2 | 1.8 | |
| Cholelithiasis | 2 | 1.8 | |
| Asthma | 2 | 1.8 | |
| Decompensated cirrhosis (HBV) | 2 | 1.8 | |
| Variables | ||
|---|---|---|
| Stages of GFR | Number | Percentage |
| Stage I | 39 | 34.2 |
| Stage II | 33 | 28.9 |
| Stage IIIa/b | 24 | 21 |
| Stage IV | 12 | 10.5 |
| Stage V | 6 | 5.3 |
| Total | 114 | 100 |
| Proteinuria | 62 | 54.4% |
| Pyuria | 58 | 50.9 |
| Hematuria | 51 | 44.7 |
| Laboratory and imaging | Mean ± SD | |
| Serum Creatinine (mg/dL) | 1.1(0.8–1.8)a | |
| BUN (mg/dL) | 39.5 ± 28.5 | |
| eGFR (CKD-EPI) (mL/min/1.73 m2) | 72.4 ± 36.2 | |
| Kidney length size (cm) | 14.4 ± 2.3 | |
| Hemoglobin (g/dL) | 13.7 ± 2.4 | |
| Hematocrit | 40.5 ± 7.2 | |
| Kidney size (cm) | 142.3 ± 17.5 | |
| Variables | Frequency | |||
|---|---|---|---|---|
| Male | Female | p-Value | ||
| Yes | 20 | 29 | 0.80 | |
| Family history of ADPKD | No | 10 | 10 | |
| Unknown | 19 | 24 | ||
| Yes | 30 | 43 | 0.28 | |
| Flank pain | ||||
| No | 20 | 21 | ||
| Gross hematuria | Yes | 6 | 10 | 0.78 |
| No | 44 | 54 | ||
| Yes | 47 | 47 | 0.009 * | |
| Hypertension | ||||
| No | 3 | 17 | ||
| Yes | 25 | 18 | 0.017 * | |
| Comorbidity | ||||
| No | 25 | 46 | ||
| Yes | 21 | 30 | 0.60 | |
| Microscopic hematuria | ||||
| No | 29 | 34 | ||
| Yes | 30 | 32 | 0.287 | |
| Proteinuria | ||||
| No | 20 | 32 | ||
| Yes | 26 | 17 | 0.43 | |
| Hepatic cyst | ||||
| No | 33 | 37 | ||
| Yes | 16 | 16 | 0.44 | |
| Nephrolithiasis | ||||
| No | 34 | 47 | ||
| Yes | 18 | 25 | 0.74 | |
| UTI | ||||
| No | 32 | 39 | ||
| Yes | 8 | 7 | 0.36 | |
| Surgery | ||||
| No | 37 | 54 | ||
| Yes | 14 | 8 | 0.053 | |
| ESRD | ||||
| No | 33 | 54 | ||
| Death | Yes | 9 | 3 | 0.018 * |
| Variables | Disease Progression | cOR | p-Value | aOR | 95% CI | p-Value | ||
|---|---|---|---|---|---|---|---|---|
| Fast Progression | Slow Progression | Lower | Upper | |||||
| Gender | ||||||||
| Male | 22 | 10 | 4.2 | 0.006 | 4.5 | 1.30 | 15.95 | 0.017 * |
| Female | 12 | 23 | Ref. | Ref. | ||||
| Age at diagnosis | NA | 0.96 | 0.038 | 0.92 | 0.87 | 0.98 | 0.007 * | |
| Comorbidity | ||||||||
| Yes | 20 | 12 | 2.5 | 0.068 | 3.95 | 1.10 | 14.33 | 0.037 |
| No | 14 | 21 | Ref. | Ref. | ||||
| Proteinuria | ||||||||
| Yes | 24 | 16 | 2.55 | 0.068 | 2.13 | 0.61 | 7.45 | 0.235 |
| No | 10 | 17 | Ref. | |||||
| Baseline SBP | NA | 1.04 | 0.023 | 1.05 | 1.01 | 1.10 | 0.026 * | |
Disclaimer/Publisher’s Note: The statements, opinions and data contained in all publications are solely those of the individual author(s) and contributor(s) and not of MDPI and/or the editor(s). MDPI and/or the editor(s) disclaim responsibility for any injury to people or property resulting from any ideas, methods, instructions or products referred to in the content. |
© 2024 by the authors. Licensee MDPI, Basel, Switzerland. This article is an open access article distributed under the terms and conditions of the Creative Commons Attribution (CC BY) license (https://creativecommons.org/licenses/by/4.0/).
Share and Cite
Kebede, M.A.; Mengistu, Y.T.; Loge, B.Y.; Eshetu, M.A.; Shash, E.P.; Wirtu, A.T.; Gemechu, J.M. Determinants of Disease Progression in Autosomal Dominant Polycystic Kidney Disease. J. Pers. Med. 2024, 14, 936. https://doi.org/10.3390/jpm14090936
Kebede MA, Mengistu YT, Loge BY, Eshetu MA, Shash EP, Wirtu AT, Gemechu JM. Determinants of Disease Progression in Autosomal Dominant Polycystic Kidney Disease. Journal of Personalized Medicine. 2024; 14(9):936. https://doi.org/10.3390/jpm14090936
Chicago/Turabian StyleKebede, Molla Asnake, Yewondwosen Tadesse Mengistu, Biruk Yacob Loge, Misikr Alemu Eshetu, Erkihun Pawlos Shash, Amenu Tolera Wirtu, and Jickssa Mulissa Gemechu. 2024. "Determinants of Disease Progression in Autosomal Dominant Polycystic Kidney Disease" Journal of Personalized Medicine 14, no. 9: 936. https://doi.org/10.3390/jpm14090936
APA StyleKebede, M. A., Mengistu, Y. T., Loge, B. Y., Eshetu, M. A., Shash, E. P., Wirtu, A. T., & Gemechu, J. M. (2024). Determinants of Disease Progression in Autosomal Dominant Polycystic Kidney Disease. Journal of Personalized Medicine, 14(9), 936. https://doi.org/10.3390/jpm14090936

