Recurrent Echinococcosis Exhibiting Hydatoptysis: A Rare Case with Imaging Insights
Abstract
1. Introduction
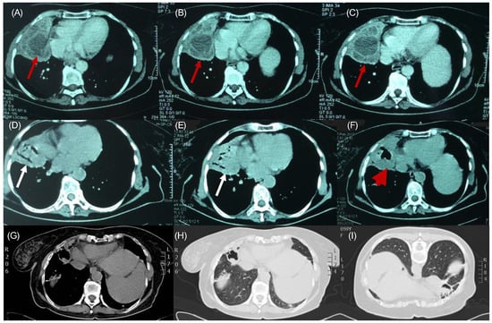
2. Case Presentation
3. Discussion
4. Conclusions
Author Contributions
Funding
Institutional Review Board Statement
Informed Consent Statement
Data Availability Statement
Conflicts of Interest
References
- Vuitton, D.A.; McManus, D.P.; Rogan, M.T.; Romig, T.; Gottstein, B.; Naidich, A.; Tuxun, T.; Wen, H.; da Silva, A.M. International consensus on terminology to be used in the field of echinococcoses. Parasite 2020, 27, 41. [Google Scholar] [CrossRef]
- Eckert, J.; Deplazes, P. Biological, epidemiological, and clinical aspects of echinococcosis, a zoonosis of increasing concern. Clin. Microbiol. Rev. 2004, 17, 107–135. [Google Scholar] [CrossRef]
- Morar, R.; Feldman, C. Pulmonary echinococcosis. Eur. Respir. J. 2003, 21, 1069–1077. [Google Scholar] [CrossRef]
- Sarkar, M.; Maji, A.; Chowdhury, S.; Bhaumik, S.; Mallick, S. Cystic pulmonary hydatidosis. Lung India 2016, 33, 179–191. [Google Scholar] [CrossRef] [PubMed]
- Kuzucu, A.; Ulutas, H.; Reha Celik, M.; Cangir, A.K.; Enon, S.; Kocer, N.E. Complicated hydatid cysts of the lung: Clinical and therapeutic issues. Ann. Thorac. Surg. 2004, 77, 1200–1204. [Google Scholar] [CrossRef] [PubMed]
- Wen, H.; Vuitton, L.; Tuxun, T.; Li, J.; Vuitton, D.A.; Zhang, W.; McManus, D.P. Echinococcosis: Advances in the 21st century. Clin. Microbiol. Rev. 2019, 32, 10–1128. [Google Scholar] [CrossRef]
- Lupia, T.; Corcione, S.; Guerrera, F.; Bonavia, A.; Scabini, S.; Rovegno, F.; Chiarle, R.; Di Perri, G.; De Rosa, F.G. Pulmonary echinococcosis or lung hydatidosis: A narrative review. Surg. Infect. 2021, 22, 485–495. [Google Scholar] [CrossRef]
- Velasco-Tirado, V.; Alonso-Sardón, M.; Lopez-Bernus, A.; Romero-Alegria, Á.; Burguillo, F.J.; Muro, A.; Muñoz Bellido, J.L.; Pardo-Lledias, J.; Cordero-Sánchez, M. Recurrence of cystic echinococcosis in an endemic area: A retrospective study. BMC Infect. Dis. 2017, 17, 455. [Google Scholar] [CrossRef] [PubMed]
- Geraci, G.; Pisello, F.; Arnone, E.; Modica, G.; Sciumè, C.; Cajozzo, M.; Latteri, M.A. Bilateral lung and liver hydatid cysts. Case report. G. Chir.-J. Ital. Surg. Assoc. 2012, 33, 229–233. [Google Scholar]
- Velasco-Tirado, V.; Alonso-Sardón, M.; Lopez-Bernus, A.; Romero-Alegria, Á.; Burguillo, F.J.; Muro, A.; Muñoz Bellido, J.L.; Pardo-Lledias, J.; Cordero-Sánchez, M. Medical treatment of cystic echinococcosis: Systematic review and meta-analysis. BMC Infect. Dis. 2018, 18, 306. [Google Scholar] [CrossRef] [PubMed]
- Junghanss, T.; da Silva, A.M.; Horton, J.; Chiodini, P.L.; Brunetti, E. Clinical management of cystic echinococcosis: State of the art, problems, and perspectives. Am. J. Trop. Med. Hyg. 2008, 79, 301–311. [Google Scholar] [CrossRef]
- Wu, M.; Zhang, W.; Zhang, Z.; Liu, Y.; Pan, X.; Qiu, Z. Surgical treatment for thoracic hydatidosis: Review of 1230 cases. Chin. Med. J. 2005, 118, 1665–1667. [Google Scholar] [CrossRef]
- Qian, Z.X. Thoracic hydatid cysts: A report of 842 cases treated over a thirty-year period. Ann. Thorac. Surg. 1988, 46, 342–346. [Google Scholar] [CrossRef]
- Bagheri, R.; Haghi, S.Z.; Amini, M.; Fattahi Masoom, S.H.; Noorshafiee, S.; Sadrizadeh, A.; Khajeh Jahromi, S. Pulmonary hydatid cyst: Analysis of 1024 cases. Tehran Univ. Med. J. 2010, 68, 188. [Google Scholar] [CrossRef]
- Prousalidis, J.; Tzardinoglou, E.; Sgouradis, L.; Katsohis, C.; Aletras, H. Postoperative recurrence of cystic hydatidosis. Can. J. Surg. 2012, 55, 15. [Google Scholar] [CrossRef]
- Reinehr, M.; Micheloud, C.; Grimm, F.; Kronenberg, P.A.; Grimm, J.; Beck, A.; Nell, J.; Zu Schwabedissen, C.M.; Furrer, E.; Müllhaupt, B.; et al. Pathology of echinococcosis: A morphologic and immunohistochemical study on 138 specimens with focus on the differential diagnosis between cystic and alveolar echinococcosis. Am. J. Surg. Pathol. 2020, 44, 43–54. [Google Scholar] [CrossRef]
- Horton, R.J. Albendazole in treatment of human cystic echinococcosis: 12 years of experience. Acta Trop. 1997, 64, 79–93. [Google Scholar] [CrossRef] [PubMed]
- Todorov, T.; Vutova, K.; Mechkov, G.; Lazarova, D.; Petkov, D.; Tonchev, Z. The types and timing of the degenerative changes seen in the cysts during and after benzimidazole treatment of cystic echinococcosis. Ann. Trop. Med. Parasitol. 2005, 99, 649–659. [Google Scholar] [CrossRef] [PubMed]


Disclaimer/Publisher’s Note: The statements, opinions and data contained in all publications are solely those of the individual author(s) and contributor(s) and not of MDPI and/or the editor(s). MDPI and/or the editor(s) disclaim responsibility for any injury to people or property resulting from any ideas, methods, instructions or products referred to in the content. |
© 2024 by the authors. Licensee MDPI, Basel, Switzerland. This article is an open access article distributed under the terms and conditions of the Creative Commons Attribution (CC BY) license (https://creativecommons.org/licenses/by/4.0/).
Share and Cite
Konstantinidou, M.; Eleftheriadou, E.D.; Kamariotou, E.; Rampiadou, C.; Papaemmanouil, S.; Chloros, D. Recurrent Echinococcosis Exhibiting Hydatoptysis: A Rare Case with Imaging Insights. J. Pers. Med. 2024, 14, 796. https://doi.org/10.3390/jpm14080796
Konstantinidou M, Eleftheriadou ED, Kamariotou E, Rampiadou C, Papaemmanouil S, Chloros D. Recurrent Echinococcosis Exhibiting Hydatoptysis: A Rare Case with Imaging Insights. Journal of Personalized Medicine. 2024; 14(8):796. https://doi.org/10.3390/jpm14080796
Chicago/Turabian StyleKonstantinidou, Maria, Eleni D. Eleftheriadou, Effimia Kamariotou, Christina Rampiadou, Styliani Papaemmanouil, and Diamantis Chloros. 2024. "Recurrent Echinococcosis Exhibiting Hydatoptysis: A Rare Case with Imaging Insights" Journal of Personalized Medicine 14, no. 8: 796. https://doi.org/10.3390/jpm14080796
APA StyleKonstantinidou, M., Eleftheriadou, E. D., Kamariotou, E., Rampiadou, C., Papaemmanouil, S., & Chloros, D. (2024). Recurrent Echinococcosis Exhibiting Hydatoptysis: A Rare Case with Imaging Insights. Journal of Personalized Medicine, 14(8), 796. https://doi.org/10.3390/jpm14080796

