Sign in to use this feature.

Years

Between: -

Subjects

remove_circle_outline
remove_circle_outline
remove_circle_outline
remove_circle_outline
remove_circle_outline
remove_circle_outline

Journals

Article Types

Countries / Regions

Search Results (29)

Search Parameters:
Keywords = hydatidosis

Order results
Result details
Results per page
Select all
Export citation of selected articles as:
19 pages, 4717 KB  
Article
Use of Computed Tomography in the Clinical Diagnosis of Lower Respiratory Tract Diseases in Sheep
by Enrique Castells, Pablo Quílez, Delia Lacasta, Aurora Ortín, Sergio Villanueva-Saz, María Climent, Lluís Luján, David Guallar, Carlos Alfonso Hedman, Héctor Ruiz and Marta Ruiz de Arcaute
Vet. Sci. 2025, 12(11), 1070; https://doi.org/10.3390/vetsci12111070 - 7 Nov 2025
Viewed by 796
Abstract
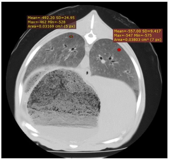
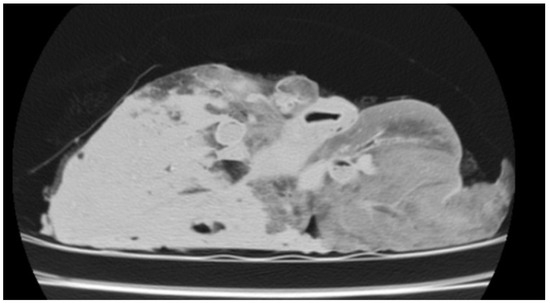
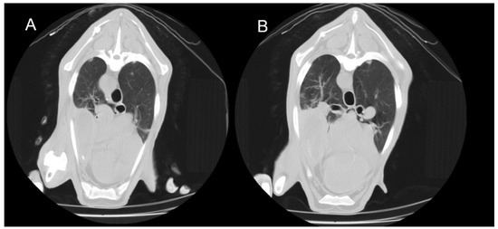
Lower airway diseases are a major health concern in sheep, often presenting with overlapping clinical signs that hinder accurate diagnosis. This study evaluated the diagnostic value of computed tomography (CT) in 58 adult sheep examined in northeastern Spain between 2017 and 2024. All [...] Read more.
Lower airway diseases are a major health concern in sheep, often presenting with overlapping clinical signs that hinder accurate diagnosis. This study evaluated the diagnostic value of computed tomography (CT) in 58 adult sheep examined in northeastern Spain between 2017 and 2024. All animals underwent full clinical examination, CT under general anaesthesia, and post-mortem investigation. CT identified 82 pulmonary lesions, including interstitial pneumonia, respiratory complex, gangrenous pneumonia, caseous lymphadenitis, parasitic pneumonia, pulmonary adenocarcinoma, and pulmonary hydatidosis. Tissue density measurements provided additional information regarding disease stage and severity. The level of agreement between CT findings and definitive diagnoses consistently exceeded that of clinical evaluation, reaching almost perfect concordance for several conditions. Moreover, CT revealed concomitant respiratory pathologies within the same animal, many of which were not detected by conventional diagnostic methods. Although thorough individual clinical examination remains essential for the correct interpretation of imaging findings and the accurate diagnosis of respiratory disorders in the field, these results demonstrate that CT provides superior diagnostic accuracy compared with standard approaches and yields valuable insights for both clinical practice and research. Despite its practical limitations, CT could represent a major advance in improving health, welfare, and productivity in sheep farming. Full article
(This article belongs to the Section Veterinary Internal Medicine)
Show Figures

Figure 1

32 pages, 1447 KB  
Article
Haplotypes of Echinococcus granulosus sensu stricto in Chile and Their Comparison Through Sequences of the Mitochondrial cox1 Gene with Haplotypes from South America and Other Continents
by Nicole Urriola-Urriola, Gabriela Rossi-Vargas and Yenny Nilo-Bustios
Parasitologia 2025, 5(3), 40; https://doi.org/10.3390/parasitologia5030040 - 1 Aug 2025
Cited by 1 | Viewed by 955
Abstract
Cystic echinococcosis is a zoonosis caused by the cestode Echinococcus granulosus sensu stricto. Population genetic studies and phylogeographic patterns are essential to understanding the transmission dynamics of this parasite under varying environmental conditions. In this study, the genetic diversity of E. granulosus [...] Read more.
Cystic echinococcosis is a zoonosis caused by the cestode Echinococcus granulosus sensu stricto. Population genetic studies and phylogeographic patterns are essential to understanding the transmission dynamics of this parasite under varying environmental conditions. In this study, the genetic diversity of E. granulosus s.s. was evaluated using 46 hydatid cyst samples obtained from sheep, goats, cattle, and humans across three regions of Chile: Coquimbo, La Araucanía, and Magallanes. Mitochondrial cox1 gene sequences were analyzed and compared with reference sequences reported from South America, Europe, Africa, Asia, and Oceania. In Chile, the EG01 haplotype was the predominant haplotype. A total of four haplotypes were identified, with low haplotype diversity (Hd = 0.461 ± 0.00637) and low nucleotide diversity (π = 0.00181 ± 0.00036). The haplotype network displayed a star-like configuration, with the EG01 genotype at the center, suggesting a potentially ancestral or widely distributed lineage. In Coquimbo (Tajima’s D = −0.93302, p = 0.061; Fu’s Fs = −0.003, p = 0.502) and Magallanes (Tajima’s D = −0.17406, p = 0.386; Fu’s Fs = −0.121, p = 0.414), both neutrality tests were non-significant, indicating no strong evidence for recent population expansion or selection. Star-like haplotype network patterns were also observed in populations from Europe, the Middle East, Asia, Africa, and Oceania, with the EG01 genotype occupying the central position. The population genetic structure of Echinococcus granulosus s.s. in Chile demonstrates considerable complexity, with EG01 as the predominant haplotype. Further comprehensive studies are required to assess the intraspecific genetic variability of E. granulosus s.s. throughout Chile and to determine whether this variability influences the key biological traits of the parasite. This structure may prove even more complex when longer fragments are analyzed, which could allow for the detection of finer-scale microdiversity among isolates from different hosts. We recommended that future cystic echinococcosis control programs take into account the genetic variability of E. granulosus s.s. strains circulating in each endemic region, to better understand their epidemiological, immunological, and possibly pathological differences. Full article
Show Figures

Figure 1

24 pages, 2183 KB  
Article
Breaking the Cycle of Echinococcosis: A Mathematical Modeling Approach
by Richard Lagos, Juan Pablo Gutiérrez-Jara, Beatriz Cancino-Faure, Leidy Yissedt Lara-Díaz, Ignacio Barradas and Andrei González-Galeano
Trop. Med. Infect. Dis. 2025, 10(4), 101; https://doi.org/10.3390/tropicalmed10040101 - 9 Apr 2025
Cited by 1 | Viewed by 1050
Abstract
This study presents a mathematical model of the transmission and spread of the Echinococcus granulosus parasite. The model incorporates host mobility, laws governing the dynamics of Echinococcosis transmission between hosts, and control and prevention measures. The basic reproductive number of the proposed model [...] Read more.
This study presents a mathematical model of the transmission and spread of the Echinococcus granulosus parasite. The model incorporates host mobility, laws governing the dynamics of Echinococcosis transmission between hosts, and control and prevention measures. The basic reproductive number of the proposed model is calculated, and a sensitivity analysis is performed to identify the parameters that most influence the dynamics of transmission and spread of the disease among its hosts. The study evaluates two control strategies—dog deworming and sheep vaccination—based on their respective target reproductive numbers. The impact of these control and prevention measures is investigated through numerical simulations, which reveal that the dog deworming strategy consistently reduces infections in humans. In contrast, the sheep vaccination strategy demonstrates a more favorable scenario for disease eradication in both hosts. In addition, simulations show a close relationship between the early detection of the disease and the recovery of the patient. Full article
Show Figures

Figure 1

3 pages, 930 KB  
Interesting Images
Isolated Hydatid Cyst: A Misleading Diagnosis
by Achraf Chatar, Abdelaziz Amoch, Mohamed Amine Lakmichi, Zakaria Dahami and Ismail Sarf
Soc. Int. Urol. J. 2024, 5(4), 263-265; https://doi.org/10.3390/siuj5040041 - 19 Aug 2024
Viewed by 1189
Abstract
Cystic hydatid disease is an endemic disease caused by the larval form of Echinococcus granulosis. It is especially evident in the liver, lungs, and kidney. Testicular hydatidosis is extremely rare. A case of a hydatid cyst of the testis is reported that was [...] Read more.
Cystic hydatid disease is an endemic disease caused by the larval form of Echinococcus granulosis. It is especially evident in the liver, lungs, and kidney. Testicular hydatidosis is extremely rare. A case of a hydatid cyst of the testis is reported that was misdiagnosed clinically as a testicular hydrocele. Echinococcosis should be considered in the differential diagnosis of testicular masses especially in endemic countries. Treatment is mainly surgical and, with proper diagnosis and treatment, the prognosis is good. Full article
Show Figures

Figure 1

6 pages, 1197 KB  
Case Report
Recurrent Echinococcosis Exhibiting Hydatoptysis: A Rare Case with Imaging Insights
by Maria Konstantinidou, Eleni D. Eleftheriadou, Effimia Kamariotou, Christina Rampiadou, Styliani Papaemmanouil and Diamantis Chloros
J. Pers. Med. 2024, 14(8), 796; https://doi.org/10.3390/jpm14080796 - 27 Jul 2024
Viewed by 1519
Abstract
Echinococcosis presents diverse clinical manifestations, including pulmonary hydatidosis, often asymptomatic but complicated by rare yet dramatic occurrences like hydatoptysis. Here, we report a unique case of recurrent pulmonary and abdominal hydatidosis in a 59-year-old female with bronchial fistulization and hydatoptysis, despite previous surgical [...] Read more.
Echinococcosis presents diverse clinical manifestations, including pulmonary hydatidosis, often asymptomatic but complicated by rare yet dramatic occurrences like hydatoptysis. Here, we report a unique case of recurrent pulmonary and abdominal hydatidosis in a 59-year-old female with bronchial fistulization and hydatoptysis, despite previous surgical interventions. Imaging revealed characteristic features aiding in diagnosis and management decisions. The challenges in managing recurrent echinococcosis underscore the importance of comprehensive follow-up and multidisciplinary care. Surgical intervention remains pivotal, supplemented by medical therapy with careful consideration of risks and benefits. This case also presents rare images, absent in much of the literature, which provide valuable insights into the disease’s presentation and progression. Full article
(This article belongs to the Special Issue Respiratory and Emergency Medicine)
Show Figures

Figure 1

27 pages, 10895 KB  
Article
A Case Series and Literature Review of Alveolar Echinococcosis in Kashmir, India: An Emerging Endemic Zone for Echinococcus multilocularis
by Mohammad Sultan Khuroo, Naira Sultan Khuroo and Ajaz Ahmad Rather
Life 2024, 14(7), 794; https://doi.org/10.3390/life14070794 - 24 Jun 2024
Cited by 5 | Viewed by 4375
Abstract
A prospective study on 110 patients with echinococcosis at Dr. Khuroo’s Medical Clinic, Srinagar, Kashmir, India, from March 2019 to April 2024 identified 12 cases (4 males, 8 females; mean age of 46.58 ± 11.97 years) of Alveolar echinococcosis (AE). Two patients were [...] Read more.
A prospective study on 110 patients with echinococcosis at Dr. Khuroo’s Medical Clinic, Srinagar, Kashmir, India, from March 2019 to April 2024 identified 12 cases (4 males, 8 females; mean age of 46.58 ± 11.97 years) of Alveolar echinococcosis (AE). Two patients were detected through ultrasound examinations carried out for unrelated causes; one presented with features of liver abscess, and nine had pain in the right upper quadrant for a mean period of 2.2 ± 1.79 years. All had the liver as the primary organ involved, with 15 tumor masses of a mean maximum diameter of 9.22 ± 3.21 cm and volume of 426 ± 374.61 cm3. Tumors placed centrally had invaded vessels and the biliary tract in eight patients, and those placed peripherally had invaded the liver capsule and adjacent organs in nine patients. Histologic examination of liver biopsies or resected organs revealed necrotic lesions, calcifications, and granulomatous inflammation with slender, thin-walled vesicles of bizarre configuration that stained strongly eosinophilic with periodic acid Schiff. Two patients had segmental liver resections; one was treated with liver aspiration, while the other nine with advanced disease received chemotherapy with albendazole along with praziquantel. Patients showed clinical improvement on a median follow-up of 12 months (range 1 to 60 months); however, MRI T2-weighted images and 18F-FDG-PET-CECT scans in two patients showed active disease on follow-up at one and five years, respectively. A systematic review detected 146 cases of AE in India from 1980 to April 2024. Twenty cases were from foreign countries, mostly from Central Asian republics, and 118 (93.65%) of the remaining 126 Indian patients were permanent residents of Kashmir Valley. The disease affected a population of 79,197 residing in 22 villages from 5 border districts of the valley. These villages were either high in or adjacent to the Himalayan mountain range. Disease prevalence in the affected population was 146.47/105 (males 131.53/105 and females 163.18/105) and the incidence was 12.41/105/year (males 11.16/105/year and females 13.81/105/year). Possible causes of the emergence of AE are discussed, and future directions for research to face this challenge arebeen identified. Full article
(This article belongs to the Special Issue Trends in Microbiology 2024)
Show Figures

Graphical abstract

18 pages, 22167 KB  
Systematic Review
Laparoscopic Management of Multiple Liver, Omental, Mesenteric, Peritoneal, and Round Ligament Hydatid Cysts—A Rare Report of a Case and a Systematic Literature Review
by Alin Mihetiu, Dan Georgian Bratu, Ciprian Tanasescu, Bogdan Ioan Vintilă, Alexandra Sandu, Mariana Sandu, Dragos Serban, Dan Sabau and Adrian Hasegan
J. Pers. Med. 2024, 14(2), 205; https://doi.org/10.3390/jpm14020205 - 14 Feb 2024
Cited by 12 | Viewed by 3876
Abstract
Hydatid cyst disease is a parasitic ailment with an endemic nature, predominantly affecting geographical areas with a tradition in animal husbandry. The most common localization of hydatid disease is in the liver (60%), followed by the lungs, with other organ localizations comprising less [...] Read more.
Hydatid cyst disease is a parasitic ailment with an endemic nature, predominantly affecting geographical areas with a tradition in animal husbandry. The most common localization of hydatid disease is in the liver (60%), followed by the lungs, with other organ localizations comprising less than 10%. The surgical approach to this condition can be carried out through open surgery or laparoscopy. The coexistence of hepatic and intraperitoneal hydatidosis often leads to the preference for open surgery. We performed a literature review aiming to retrieve data regarding demographic characteristics, clinical features, preoperative management, and surgical approach concerning these unusual localizations of hydatid disease. It was observed that the mesenteric localization frequently presented with acute abdominal pain (p = 0.038) and that the open approach was preferred in 85.71% of cases. Furthermore, an interdependence was identified between the localization of the cysts and the type of surgical approach (p = 0.001), with mesenteric localizations being approached through laparotomy and excision (p = 0.037), while omental localizations, due to the easier approach, benefited from laparoscopy with excision in 14.29% of cases. Overall, the laparoscopic approach was less frequently used, but its utilization resulted in a lower number of complications and faster recovery. Additionally, we present a rare case of hepatic and intra-abdominal hydatidosis, resolved exclusively through a laparoscopic approach, including a review of the literature for these uncommon localizations of hydatid disease. A 45-year-old patient diagnosed with multiple hydatid cysts, both hepatic and intraperitoneal, underwent surgical intervention with exploratory laparoscopy. Laparoscopic excision of peritoneal, epiploic, mesenteric cysts, and round ligament, along with laparoscopic inactivation, evacuation, and pericystectomy of hepatic hydatid cysts, was performed. The patient’s recovery was uneventful, and she was reevaluated at 3 and 9 months without signs of recurrence. The association of hepatic hydatid cysts with multiple intra-abdominal localizations is not commonly encountered. The treatment of choice is surgical and is predominantly conducted through open surgery. The presented case is unique due to the exclusive laparoscopic approach in the management of mixed hepatic and intra-abdominal hydatidosis. Full article
(This article belongs to the Section Personalized Therapy in Clinical Medicine)
Show Figures

Figure 1

11 pages, 502 KB  
Article
Cystic Echinococcosis in Hospitalized Children from Western Romania: A 25-Year Retrospective Study
by Ana Alexandra Paduraru, Maria Alina Lupu, Calin Marius Popoiu, Maria Corina Stanciulescu, Livius Tirnea, Eugen Sorin Boia and Tudor Rares Olariu
Biomedicines 2024, 12(2), 281; https://doi.org/10.3390/biomedicines12020281 - 25 Jan 2024
Cited by 6 | Viewed by 2841
Abstract
Cystic echinococcosis (CE) is a cosmopolitan parasitic disease caused by Echinococcus granulosus. We aimed to assess the epidemiological aspects of the disease in hospitalized children from Western Romania, a well-known endemic area for CE. We retrospectively investigated the medical records of children hospitalized [...] Read more.
Cystic echinococcosis (CE) is a cosmopolitan parasitic disease caused by Echinococcus granulosus. We aimed to assess the epidemiological aspects of the disease in hospitalized children from Western Romania, a well-known endemic area for CE. We retrospectively investigated the medical records of children hospitalized between 1998 and 2022. A total of 144 patients were included, and 58.3% were from rural areas. The number of cases increased with age, from 9% in the age group 3–5 years to 59.7% in the age group 11–17 years. The liver was more frequently affected (65.3%), and a significant association between gender and the affected organ was noted; liver cysts were more frequently diagnosed in girls, while lung cysts were recorded mostly in boys. Complications were more frequently reported in patients with pulmonary CE compared to hepatic CE (p = 0.04). Boys had more complications (16/23, 69.6%) compared to girls (7/23, 30.4%) (p = 0.03). A third of the children were hospitalized for more than 14 days, and multiple hospitalizations were recorded in 31.3% of the patients. This paper provides new insights into the epidemiologic features of cystic echinococcosis in children from Western Romania. Our findings indicate that exposure to the parasite starts in childhood, and the rate of hospitalization increases with age. Public health strategies should be implemented and permanently improved in order to lower the prevalence of CE in children. Full article
(This article belongs to the Special Issue Pathogenesis, Prophylaxis and Treatment of Infectious Diseases)
Show Figures

Figure 1

7 pages, 2132 KB  
Case Report
A Case of Foreign Body in the Biliary Tree and the Challenge of Hypereosinophilia
by Emanuele Sinagra, Francesco Vito Mandarino, Francesca Rossi, Rita Alloro, Sergio Testai, Marta Marasà, Serena Cristofalo, Marcello Maida, Daniele Brinch, Giuseppe Conoscenti, Ernesto Fasulo and Dario Raimondo
Gastrointest. Disord. 2023, 5(4), 431-437; https://doi.org/10.3390/gidisord5040035 - 1 Oct 2023
Cited by 2 | Viewed by 2236
Abstract
In all reported cases of foreign body migration or impaction in the biliary tree, there is no mention of the presence of hypereosinophilia among the laboratory findings. This could possibly be attributed to the local tissue reaction caused by the impacted foreign body. [...] Read more.
In all reported cases of foreign body migration or impaction in the biliary tree, there is no mention of the presence of hypereosinophilia among the laboratory findings. This could possibly be attributed to the local tissue reaction caused by the impacted foreign body. Here, we present our experience with the removal of a screw from a surgical retractor that became lodged in the common bile duct (CBD) and migrated in a patient who had previously undergone a left lateral hepatectomy for hepatic hydatidosis. The imaging was not sufficient to make a diagnosis, and the interpretation of hypereosinophilia in such a case could pose a challenge. Full article
Show Figures

Figure 1

16 pages, 2131 KB  
Article
A Novel Designed Sandwich ELISA for the Detection of Echinococcus granulosus Antigen in Camels for Diagnosis of Cystic Echinococcosis
by Nagwa I. Toaleb, Dina Aboelsoued, Kadria N. Abdel Megeed and Sahar Hussein Abdalla Hekal
Trop. Med. Infect. Dis. 2023, 8(8), 400; https://doi.org/10.3390/tropicalmed8080400 - 6 Aug 2023
Cited by 10 | Viewed by 4339
Abstract
Echinococcus spp. are important cosmopolitan zoonotic parasitic tapeworms that cause a disease called hydatidosis or cystic echinococcosis (CE), which has remarkable economic losses. The objective of our study was to develop a specific IgG polyclonal antigen-based ELISA (Sandwich ELISA; capture ELISA) method for [...] Read more.
Echinococcus spp. are important cosmopolitan zoonotic parasitic tapeworms that cause a disease called hydatidosis or cystic echinococcosis (CE), which has remarkable economic losses. The objective of our study was to develop a specific IgG polyclonal antigen-based ELISA (Sandwich ELISA; capture ELISA) method for the detection of circulating Echinococcus granulosus (E. granulosus) antigens in camels infected with hydatid cysts before slaughtering and its application in serodiagnosis of CE in animals to assess the positive rate of hydatidosis in camels slaughtered in Giza governorate abattoirs in Egypt. In this study, molecular identification of Echinococcus sp. isolate was performed based on the NADH dehydrogenase subunit 1 (NAD1) gene, revealing the isolate (GenBank: OQ443068.1), which is identical to the G6 E. granulosus sensu lato genotype. The positive rate of hydatid cysts was determined in slaughtered camels’ organs (n = 587). The results revealed that hydatid cysts were found in 46.5% (273/587) of the examined camels. Pulmonary echinococcosis was significantly more prevalent in the slaughtered camels (60%, 164/273) than hepatic echinococcosis (39.9%, 109/273), (p = 0.001, Chi Square = 11.081). Cyst fertility rates were higher in hepatic (90.8%, 99/109) than in pulmonary cysts (83.5%, 137/164) and the most viable protoscoleces were recorded from fertile the hepatic cysts (67.85 ± 12.78). In this study, hydatid cyst germinal layer antigen (GlAg) was isolated and used for the immunization of rabbits to raise IgG polyclonal antibodies (anti-Echinococcus GlAb IgG). These IgG polyclonal antibodies were purified by affinity chromatography using a protein A column, then labeled with horseradish peroxidase. Electrophoretic analysis of IgG polyclonal antibodies and crude GlAg was performed in 10% polyacrylamide gels. The SDS-PAGE revealed four bands at molecular weights of 77 kDa, 65 kDa, 55 kDa, and 25 kDa. The Sandwich ELISA was performed to evaluate the sensitivity and specificity and cross-reactivity of the prepared IgG polyclonal antibodies. The circulating hydatid antigen was found in 270 out of the 273 samples with hydatidosis, with a sensitivity of 98.9% (270/273), a specificity of 94.9% (296/312) and a diagnostic efficacy of 96.8%. Regarding the cross reactivity, anti-Echinococcus GlAb IgG showed a low cross-reactivity with Fasciola gigantica infected camel sera (3/8), and Myiasis (Cephalopina titillator larvae; 3/20). No cross-reactivity was recorded with uninfected camel sera (negative sera for E. granulosus), and no cross-reactivity was found with antigens of Eimeria spp., Toxoplasma gondii, Cryptosporidium sp., and Hyalomma dromedarii (ticks’ infestation). Then, Sandwich ELISA was conducted again to detect E. granulosus antigen in all the collected camel sera, which resulted in a 48.7% (286/587) positive rate of CE compared to 46.5% (273/587) using a postmortem inspection (PM diagnosis) (p = 0.5, Chi Square = 0.302). In conclusion, the Sandwich ELISA technique introduced in this study appears to be a sufficiently sensitive diagnostic assay for the detection of camels’ echinococcosis using anti-Echinococcus GlAb IgG. In addition, it might offer a significant medical and veterinary importance in helping the early detection of hydatidosis, as well as its early treatment. Full article
(This article belongs to the Special Issue Echinococcosis: From Parasite–Host Interaction to Rapid Detection)
Show Figures

Figure 1

9 pages, 1458 KB  
Case Report
Environmental Influence on the Occurrence of Multi-Organ Cystic Echinococcosis Infection in a Patient from Sardinia, Italy
by Cinzia Santucciu, Paolo Albino Ferrari, Giulia Grimaldi, Alessandro Murenu, Sonia Nemolato, Piero Bonelli, Giovanna Masala, Giuseppe Salvatore Porcu and Roberto Cherchi
Diseases 2023, 11(3), 90; https://doi.org/10.3390/diseases11030090 - 27 Jun 2023
Cited by 6 | Viewed by 2047
Abstract
An uncommon clinical case of an adult woman who was referred to the hospital with severe symptoms attributable to cystic echinococcosis (CE) is described in this report. According to a questionnaire, the subject was exposed to a high risk of infection since she [...] Read more.
An uncommon clinical case of an adult woman who was referred to the hospital with severe symptoms attributable to cystic echinococcosis (CE) is described in this report. According to a questionnaire, the subject was exposed to a high risk of infection since she was employed on a farm about 20 years before diagnosis. She lived close to several animal species and handled vegetables in inadequate hygienic conditions. Medical and laboratory investigations confirmed the presence of massive echinococcal cystic lesions in each lung and in the liver. Given the peculiarity of the case, pharmacological and surgical treatments were the only conceivable option. The association of pharmacological treatment, surgery, and interventional radiology procedure represented a reliable and effective way to handle a complex case of human hydatidosis. A multi-disciplinary approach was mandatory, resulting in a clear and conclusive diagnosis of CE caused by the zoonotic parasite E. granulosus sensu stricto of the G1 genotype. Full article
(This article belongs to the Special Issue Infectious Disease Epidemiology 2023)
Show Figures

Figure 1

12 pages, 1950 KB  
Article
Green Synthesis, Characterization, and Antiparasitic Effects of Gold Nanoparticles against Echinococcus granulosus Protoscoleces
by Yosra Raziani, Pegah Shakib, Marzieh Rashidipour, Koroush Cheraghipour, Javad Ghasemian Yadegari and Hossein Mahmoudvand
Trop. Med. Infect. Dis. 2023, 8(6), 313; https://doi.org/10.3390/tropicalmed8060313 - 9 Jun 2023
Cited by 12 | Viewed by 2903
Abstract
Echinococcosis, or hydatidosis, is one of the most important zoonotic diseases, which is initiated by the larval stage in the clasts of Echinococcus granulosus. For the treatment of hydatidosis, surgery is still the preferred method and the first line of treatment for [...] Read more.
Echinococcosis, or hydatidosis, is one of the most important zoonotic diseases, which is initiated by the larval stage in the clasts of Echinococcus granulosus. For the treatment of hydatidosis, surgery is still the preferred method and the first line of treatment for symptomatic patients. Unfortunately, most of the scolicidal agents that are injected inside cysts during hydatid cyst surgery have side effects, including leaking out of the cyst and adverse effects on the living tissue of the host, such as necrosis of liver cells, which limits their use. This work was carried out to study the lethal effect of green synthesized gold nanoparticles (Au-NCs) against hydatid cyst protoscoleces. Au-NCs were green synthesized using the Saturja khuzestanica extract. Au-NCs were characterized by UV-visible absorbance assay, electron microscopy analysis, X-ray diffraction (XRD), and Fourier transform infrared (FTIR) spectroscopy. Scolicidal properties of Au-NCs (1–5 mg/mL) were studied against protoscoleces for 10–60 min. The effect of Au-NCs on the expression level of the caspase-3 gene as well as the ultrastructural examination was studied by real-time PCR and scanning electron microscopy (SEM). The cytotoxicity of Au-NCs on hepatocellular carcinoma (HepG2) and normal embryonic kidney (HEK293) cell lines was also studied by the cell viability assay. The obtained Au-NCs are cubes and have an average size of 20–30 nm. The highest scolicidal efficacy was observed at 5 mg/mL with 100% mortality after 20 min of treatment for hydatid cyst protoscoleces. In ex vivo, Au-NCs required more incubation time, indicating more protoscolicidal effects. Au-NCs markedly upregulated the gene level of caspase-3 in protoscoleces; whereas they changed the ultra-structure of protoscoleces by weakening and disintegrating the cell wall, wrinkles, and protrusions due to the formation of blebs. We showed the effective in vitro and ex vivo scolicidal effects of Au-NCs against hydatid cyst protoscoleces by provoking the apoptosis process of caspase-3 activation and changing the ultrastructure of protoscoleces with no significant cytotoxicity against human normal cells. However, additional studies should be conducted to determine the possible harmful side effects and accurate efficacy. Full article
(This article belongs to the Special Issue Drug Discovery in the Treatment of Microbial and Parasitic Diseases)
Show Figures

Figure 1

13 pages, 2142 KB  
Article
Effect of Temperature and Ionic Substitutions on the Tegumental Potentials of Protoscoleces of Echinococcus granulosus
by Mónica Patricia Antonella Carabajal, María José Fernández Salom, Santiago Olivera and Horacio F. Cantiello
Trop. Med. Infect. Dis. 2023, 8(6), 303; https://doi.org/10.3390/tropicalmed8060303 - 2 Jun 2023
Cited by 1 | Viewed by 2303
Abstract
The protoscolex (PSC) is generated by asexual reproduction at the larval stage of taeniid Echinococcus granulosus that causes cystic echinococcosis or hydatidosis, a worldwide zoonosis. The PSC is enveloped by a complex cellular syncytial tegument responsible for ionic movements and the hydroelectrolytic balance [...] Read more.
The protoscolex (PSC) is generated by asexual reproduction at the larval stage of taeniid Echinococcus granulosus that causes cystic echinococcosis or hydatidosis, a worldwide zoonosis. The PSC is enveloped by a complex cellular syncytial tegument responsible for ionic movements and the hydroelectrolytic balance of the parasite. We recently reported on two electrical potentials in bovine lung protoscoleces (PSCs) that reflect differences in ionic movements between the parasite’s invaginated and evaginated developmental stages. Here, we explored the effect of temperature and ionic substitutions on the tegumental potentials of bovine lung PSCs of Echinococcus granulosus by microelectrode impalements. We observed that the transient peak potential was temperature-dependent, consistent with an active transport component in the invaginated state only. Further changes in the electrical potentials by high K+ depolarization, low external Ca2+, and addition of the diuretic amiloride are in agreement with the presence of a Ca2+-sensitive cation-selective electrodiffusional pathway in the outer surface of the parasite. Variations in electrical potential differences through the tegument provide an accessible and valuable parameter for studying ionic transport mechanisms and, therefore, potential targets for developing novel antiparasitic drugs. Full article
Show Figures

Figure 1

3 pages, 201 KB  
Proceeding Paper
Main Reasons for the Seizure of Meat and Offal in Slaughterhouses in the Region of Adrar (Algeria)
by Meriem Bouzenzana and Naima Hadjab
Biol. Life Sci. Forum 2023, 22(1), 12; https://doi.org/10.3390/blsf2023022012 - 4 Apr 2023
Viewed by 2124
Abstract
The main of this study is to determine the nature and frequency of the different reasons for the seizure of mean and offal in the camel compared to the other ruminants slaughtered under the same conditions. This study is a synthesis of the [...] Read more.
The main of this study is to determine the nature and frequency of the different reasons for the seizure of mean and offal in the camel compared to the other ruminants slaughtered under the same conditions. This study is a synthesis of the slaughterhouse records that are part of the activity of the veterinary inspection office of the agricultural services of the wilaya of Adrar during 2017. Camels accounted for 10.4% of the total meat produced at the slaughterhouse in 2017, after the sheep, with 77.8%. The percentage of seizures for meat in camel is 3.12%. The highest weight of seized meat is observed in sheep, with 3665 kg, then camel, with 150 kg. Traumatized meat is the predominant reason for seizures, with 3.12% (150 kg) and 81.81% (115 kg) for camel and sheep, respectively. The dromedary is in the second class for the seizure of red offal after sheep, with an estimated loss of 316.3 kg, of which 88.88% of seizures are represented by lung lesions. Pneumonia is the greatest reason for offal seizure at 1.1%, followed by pulmonary hydatidosis at 0.36%. The dominant cases lead to considerable losses of animal protein. The loss of protein in a country that lacks sufficient sources shows how worrying seizures are. Full article
12 pages, 2214 KB  
Case Report
Stroke-Associating Acute Limb Ischemia Due to the Rupture of a Hydatid Cyst
by Mihaela Lungu, Violeta Diana Oprea, Andrei Lucian Zaharia, Bianca Stan, Laura Rebegea, Dan Iulian Mocanu, Eva Maria Elkan, Elena Niculet and Ana Croitoru
Curr. Issues Mol. Biol. 2023, 45(3), 2597-2608; https://doi.org/10.3390/cimb45030170 - 22 Mar 2023
Cited by 1 | Viewed by 2984
Abstract
(1) Background: Hydatidosis, or human cystic echinococcosis, is a zoonotic disease. Endemic in some areas, recently it has an increasing incidence in wider regions, determined by population migration. Clinical features depend on the localization and level of infection: asymptomatic or with signs related [...] Read more.
(1) Background: Hydatidosis, or human cystic echinococcosis, is a zoonotic disease. Endemic in some areas, recently it has an increasing incidence in wider regions, determined by population migration. Clinical features depend on the localization and level of infection: asymptomatic or with signs related to hypersensitivity, organic functional deficiencies, expanding mass effects, cyst infection and sudden death. In rare cases, the rupture of a hydatid cyst causes emboli formation by the residual laminated membrane. (2) Methods: We performed an extensive literature review, starting from the case of a 25-year-old patient presenting with neurologic symptoms relevant for acute stroke, associating right upper limb ischemia. (3) Results: Imaging investigations revealed the source of the emboli as the rupture of a hydatid cyst, the patient presenting multiple pericardial and mediastinal localizations. Cerebral imaging confirmed an acute left occipital ischemic lesion, with complete recovery of the neurological deficit after therapy, while surgery for acute brachial artery ischemia had a favorable postoperative evolution. Specific anthelmintic therapy was initiated. An extensive literature review using available databases revealed the scarcity of data on embolism as a consequence of cyst rupture, highlighting the significant risk of clinicians overlooking this possible etiology. (4) Conclusions: An associated allergic reaction should raise the hypothesis of a hydatid cyst rupture as a cause of any level acute ischemic lesion. Full article
(This article belongs to the Special Issue Pathophysiology and Molecular Mechanisms of Acute Stroke)
Show Figures

Figure 1

Back to TopTop