Ultrasonographic Applications of Novel Technologies and Artificial Intelligence in Critically Ill Patients
Abstract
1. Introduction
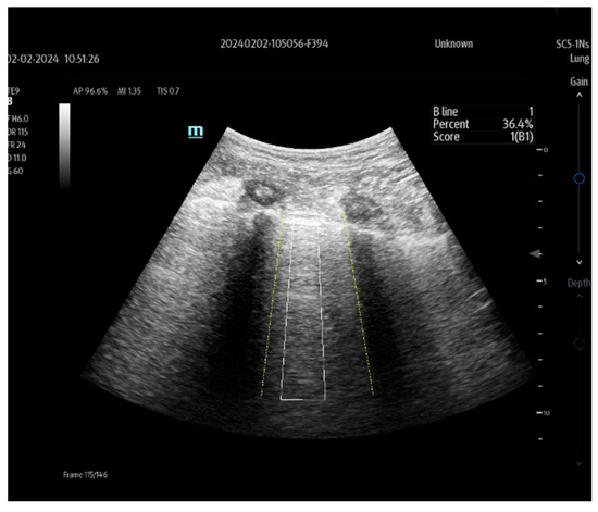
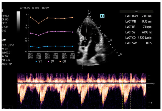
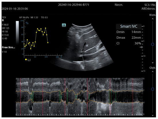
2. Selected Innovative AI-Based US Technologies and Solutions Intended for Critically Ill Patients
- Facilitation of the learning process for ultrasound (59%);
- Streamlined capture of images (47%);
- Enhanced accuracy scanning (42%);
- Quicker diagnosis for accelerated treatment (40%);
- Higher efficiency in workflow (38%).
3. Conclusions
Author Contributions
Funding
Data Availability Statement
Conflicts of Interest
References
- Pham, F.M. Artificial Intelligence-Supported Systems in Anesthesiology and Its Standpoint to Date—A Review. Open J. Anesthesiol. 2023, 13, 140–168. [Google Scholar] [CrossRef]
- Kuroda, Y.; Kaneko, T.; Yoshikawa, H.; Uchiyama, S.; Nagata, Y.; Matsushita, Y.; Hiki, M.; Minamino, T.; Takahashi, K.; Daida, H.; et al. Artificial intelligence-based point-of-care lung ultrasound for screening COVID-19 pneumoniae: Comparison with CT scans. PLoS ONE 2023, 18, e0281127. [Google Scholar] [CrossRef] [PubMed]
- Suissa, N.; Jeffries, S.D.; Song, K.; Botros, S.; Hemmerling, T.M. Utilizing Deep Learning to Identify an Ultrasound-Guided Nerve Block Target Zone. Available online: https://arinex.com.au/EMBC/pdf/full-paper_26.pdf (accessed on 1 January 2024).
- Maheshwarappa, H.M.; Mishra, S.; Kulkarni, A.V.; Gunaseelan, V.; Kanchi, M. Use of Handheld Ultrasound Device with Artificial Intelligence for Evaluation of Cardiorespiratory System in COVID-19. Indian J. Crit. Care Med. 2021, 25, 524–527. [Google Scholar] [CrossRef] [PubMed]
- Ying, F.; Chen, S.; Pan, G.; He, Z. Artificial Intelligence Pulse Coupled Neural Network Algorithm in the Diagnosis and Treatment of Severe Sepsis Complicated with Acute Kidney Injury under Ultrasound Image. J. Healthc. Eng. 2021, 2021, 6761364. [Google Scholar] [CrossRef] [PubMed]
- Xu, L.; Wang, X.; Pu, P.; Li, S.; Shao, Y.; Li, Y. Ultrasonic Image Features under the Intelligent Algorithm in the Diagnosis of Severe Sepsis Complicated with Renal Injury. Comput. Math. Methods Med. 2022, 2022, 2310014, Retraction in: Comput. Math. Methods Med. 2023, 2023, 9843757. [Google Scholar] [CrossRef]
- Greenstein, Y.Y.; Guevarra, K. Point-of-Care Ultrasound in the Intensive Care Unit Applications, Limitations, and the Evolution of Clinical Practice. Clin. Chest Med. 2022, 43, 373–384. [Google Scholar] [CrossRef] [PubMed]
- Nhat, P.T.H.; Van Hao, N.; Tho, P.V.; Kerdegari, H.; Pisani, L.; Thu, L.N.M.; Phuong, L.T.; Duong, H.T.H.; Thuy, D.B.; McBride, A.; et al. Clinical benefit of AI-assisted lung ultrasound in a resource-limited intensive care unit. Crit. Care 2023, 27, 257. [Google Scholar] [CrossRef] [PubMed]
- Cheema, B.S.; Walter, J.; Narang, A.; Thomas, J.D. Artificial Intelligence-Enabled POCUS in the COVID-19 ICU: A New Spin on Cardiac Ultrasound. JACC Case Rep. 2021, 3, 258–263. [Google Scholar] [CrossRef] [PubMed]
- Zhai, S.; Wang, H.; Sun, L.; Zhang, B.; Huo, F.; Qiu, S.; Wu, X.; Ma, J.; Wu, Y.; Duan, J. Artificial intelligence (AI) versus expert: A comparison of left ventricular outflow tract velocity time integral (LVOT-VTI) assessment between ICU doctors and an AI tool. J. Appl. Clin. Med. Phys. 2022, 23, e13724. [Google Scholar] [CrossRef]
- Stewart, J.E.; Goudie, A.; Mukherjee, A.; Dwivedi, G. Artificial intelligence-enhanced echocardiography in the emergency department. Emerg. Med. Australas. 2021, 33, 1117–1120. [Google Scholar] [CrossRef]
- Yıldız Potter, İ.; Leo, M.M.; Vaziri, A.; Feldman, J.A. Automated detection and localization of pericardial effusion from point-of-care cardiac ultrasound examination. Med. Biol. Eng. Comput. 2023, 61, 1947–1959. [Google Scholar] [CrossRef] [PubMed]
- Nti, B.; Lehmann, A.S.; Haddad, A.; Kennedy, S.K.; Russell, F.M. Artificial Intelligence-Augmented Pediatric Lung POCUS: A Pilot Study of Novice Learners. J. Ultrasound Med. 2022, 41, 2965–2972. [Google Scholar] [CrossRef] [PubMed]
- Bottomley, T.; Gadsden, J.; West, S. The failed peripheral nerve block. BJA Educ. 2023, 23, 92–100. [Google Scholar] [CrossRef]
- Czym jest Deep Learning? Available online: https://thestory.is/pl/journal/co-to-jest-deep-learning/ (accessed on 1 January 2024).
- Gohar, E.; Herling, A.; Mazuz, M.; Tsaban, G.; Gat, T.; Kobal, S.; Fuchs, L. Artificial Intelligence (AI) versus POCUS Expert: A Validation Study of Three Automatic AI-Based, Real-Time, Hemodynamic Echocardiographic Assessment Tools. J. Clin. Med. 2023, 12, 1352. [Google Scholar] [CrossRef]
- Shaikh, F.; Kenny, J.E.; Awan, O.; Markovic, D.; Friedman, O.; He, T.; Singh, S.; Yan, P.; Qadir, N.; Barjaktarevic, I. Measuring the accuracy of cardiac output using POCUS: The introduction of artificial intelligence into routine care. Ultrasound J. 2022, 14, 47. [Google Scholar] [CrossRef]
- Shiran, C.; Barjaktarevic, I. VenueTM Family, Auto Tool for Measuring VTI. GE Healthcare, White Paper 2021. Available online: https://www.pocushub.net/data/venue-family_auto-vti_whitepaper_pocus__glob_jb02194xx.pdf (accessed on 1 January 2024).
- Walpot, J.; Vermeiren, G.; Al Mafragi, A.; Malbrain, L.N.G.M. Comprehensive assessment of the aortic valve in critically ill patients for the non-cardiologist. Part I: Aortic stenosis of the native valve. Anaesthesiol. Intensive Ther. 2021, 53, 37–54. [Google Scholar] [CrossRef]
- Point of Care. Available online: https://www.mindray.com/en/solutions/medical-imaging/point-of-care (accessed on 1 January 2024).
- Enhance Your Echo Lab Workflow. Available online: https://www.dia-analysis.com/lvivoseamless (accessed on 1 January 2024).
- Kosmos Artificial Intelligence. Available online: https://echonous.com/product/kosmos-ai/ (accessed on 1 January 2024).
- Butterfly Education. Available online: https://www.butterflynetwork.com/education (accessed on 1 January 2024).
- Blehar, D.J.; Resop, D.; Chin, B.; Dayno, M.; Gaspari, R. Inferior vena cava displacement during respirophasic ultrasound imaging. Crit. Ultrasound J. 2012, 4, 18. [Google Scholar] [CrossRef] [PubMed]
- Ruge, M.; Marhefka, G.D. IVC measurement for the noninvasive evaluation of central venous pressure. J. Echocardiogr. 2022, 20, 133–143. [Google Scholar] [CrossRef]
- Mitchell, C.; Rahko, P.S.; Blauwet, L.A.; Canaday, B.; Finstuen, J.A.; Foster, M.C.; Horton, K.; Ogunyankin, K.O.; Palma, R.A.; Velazquez, E.J. Guidelines for Performing a Comprehensive Transthoracic Echocardiographic Examination in Adults: Recommendations from the American Society of Echocardiography. J. Am. Soc. Echocardiogr. 2019, 32, 1–64. [Google Scholar] [CrossRef]
- Yildizdas, D.; Aslan, N. Ultrasonographic inferior vena cava collapsibility and distensibility indices for detecting the volume status of critically ill pediatric patients. J. Ultrason. 2020, 20, e205–e209. [Google Scholar] [CrossRef]
- Barbier, C.; Loubières, Y.; Schmit, C.; Hayon, J.; Ricôme, J.L.; Jardin, F.; Vieillard-Baron, A. Respiratory changes in inferior vena cava diameter are helpful in predicting fluid responsiveness in ventilated septic patients. Intensive Care Med. 2004, 30, 1740–1746. [Google Scholar] [CrossRef]
- Vignon, P. Evaluation of fluid responsiveness in ventilated septic patients: Back to venous return. Intensive Care Med. 2004, 30, 1699–1701. [Google Scholar] [CrossRef]
- Moretti, R.; Pizzi, B. Inferior Vena Cava Distensibility as a Predictor of Fluid Responsiveness in Patients with Subarachnoid Hemorrhage. Neurocritical. Care 2010, 13, 3–9. [Google Scholar] [CrossRef]
- Guiotto, G.; Masarone, M.; Paladino, F.; Ruggiero, E.; Scott, S.; Verde, S.; Schiraldi, F. Inferior vena cava collapsibility to guide fluid removal in slow continuous ultrafiltration: A pilot study. Intensive Care Med. 2010, 36, 692–696. [Google Scholar] [CrossRef] [PubMed]
- Duller, A.; Nickson, C. Airway Ultrasound. Available online: https://litfl.com/airway-ultrasound/ (accessed on 1 January 2024).
- Wang, H.; Shikano, K.; Nakajima, T.; Nomura, Y.; Nakaguchi, T. Peripheral Pulmonary Lesions Classification Using Endobronchial Ultrasonography Images Based on Bagging Ensemble Learning and Down-Sampling Technique. Appl. Sci. 2023, 13, 8403. [Google Scholar] [CrossRef]
- Tan, G.F.L.; Du, T.; Liu, J.S.; Chai, C.C.; Nyein, C.M.; Liu, A.Y.L. Automated lung ultrasound image assessment using artifcial intelligence to identify fuid overload in dialysis patients. BMC Nephrol. 2022, 23, 410. [Google Scholar] [CrossRef]
- Damodaran, S.; Kulkarni, A.V.; Gunaseelan, V.; Raj, V.; Kanchi, M. Automated versus manual B-lines counting, left ventricular outflow tract velocity time integral and inferior vena cava collapsibility index in COVID-19 patients. Indian J. Anaesth. 2022, 66, 368–374. [Google Scholar] [PubMed]
- El Khoury, D.; Pardo, E.; Cambriel, A.; Bonnet, F.; Pham, T.; Cholley, B.; Quesnel, C.; Verdonk, F. Gastric Cross-Sectional Area to Predict Gastric Intolerance in Critically Ill Patients: The Sono-ICU Prospective Observational Bicenter Study. Crit. Care Explor. 2023, 5, e0882. [Google Scholar] [CrossRef]
- NEW Clarius PAL HD3 Wireless Dual-Array for Whole-Body Ultrasound! Available online: https://clarius.com/pal-dual-array-ultrasound/ (accessed on 1 January 2024).
- Exo 2023 Survey Report. Unlocking Point-of-Care Ultrasound. Available online: https://www.exo.inc/article/2023-survey-report-unlocking-point-of-care-ultrasound (accessed on 1 January 2024).



















| AI Technology | Manufacturer | Short Description | Range of Ultrasound Exam |
|---|---|---|---|
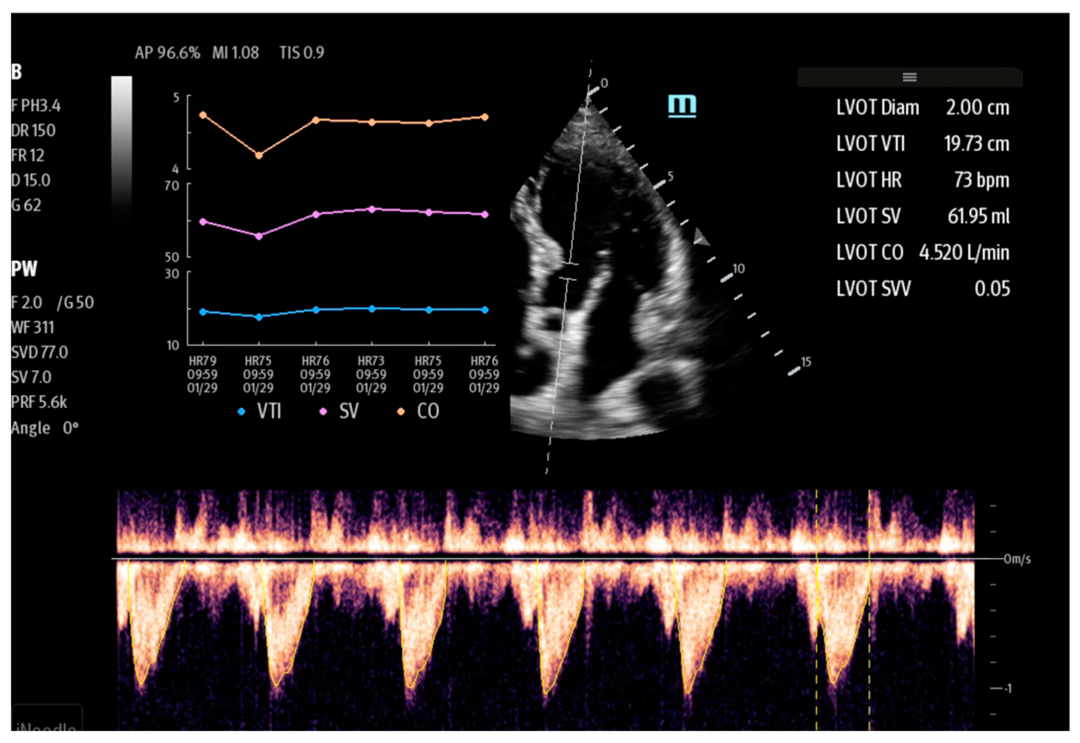
| Lvivo | Philips | automatic measurement of stroke volume (SV) and cardiac output (CO) | Ultrasonographic assessment of cardiac function |
| AutoVTI | GE | ||
| US2.AI | EchoNous | ||
| SmartVTI | Mindray | ||
| SmartEchoVue | Mindray | assessment of views | Whole body |
| Us2.ai and AI TRO | EchoNous | ||
| Butterfly ScanLab | Butterfly Network | ||
| LVivo Seamless | Philips | ||
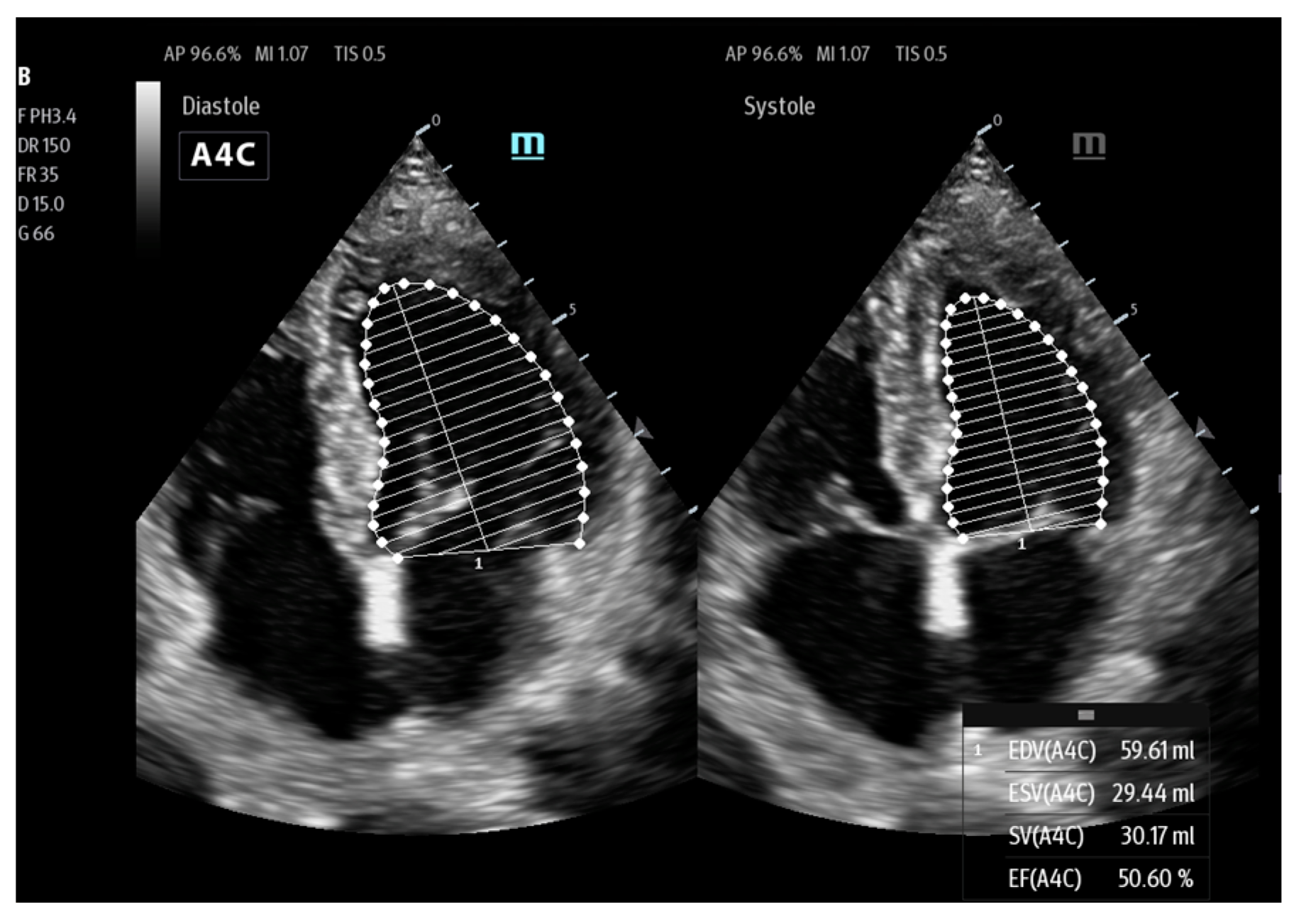
| AutoEF | Mindray | calculation of ejection fraction (EF) | Ultrasonographic assessment of cardiac function |
| RealTimeEF | GE | ||
| US2.AI | EchoNous | ||
| LvivoEF | Philips | ||
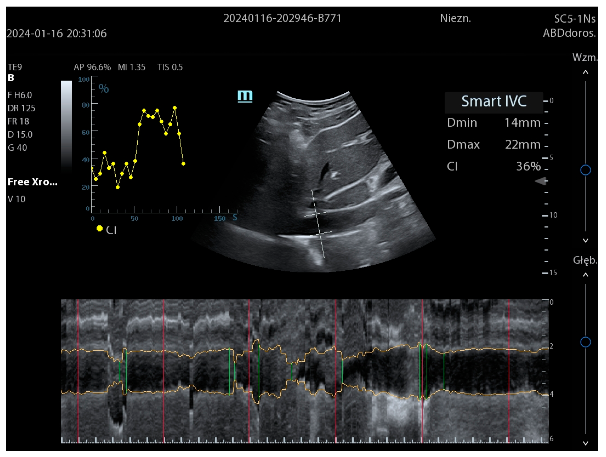
| SmartIVC | Mindray | automatic measurement of the inferior vena cava (IVC) | Internal Vena Cava examination |
| AutoIVC | GE | ||
| Smart B-line | Mindray | automatic identification of the artifacts | Lung examination |
| Butterfly ScanLab | Butterfly Network | ||
| Auto B-line | GE | ||
| Auto Gastric Antrum | Mindray | automatic measurement of gastric contents | Gastric examination |
| Clarius PAL HD3 | Clarius Mobile Health | 1 probe for each examination | Whole body |
Disclaimer/Publisher’s Note: The statements, opinions and data contained in all publications are solely those of the individual author(s) and contributor(s) and not of MDPI and/or the editor(s). MDPI and/or the editor(s) disclaim responsibility for any injury to people or property resulting from any ideas, methods, instructions or products referred to in the content. |
© 2024 by the authors. Licensee MDPI, Basel, Switzerland. This article is an open access article distributed under the terms and conditions of the Creative Commons Attribution (CC BY) license (https://creativecommons.org/licenses/by/4.0/).
Share and Cite
Mika, S.; Gola, W.; Gil-Mika, M.; Wilk, M.; Misiolłek, H. Ultrasonographic Applications of Novel Technologies and Artificial Intelligence in Critically Ill Patients. J. Pers. Med. 2024, 14, 286. https://doi.org/10.3390/jpm14030286
Mika S, Gola W, Gil-Mika M, Wilk M, Misiolłek H. Ultrasonographic Applications of Novel Technologies and Artificial Intelligence in Critically Ill Patients. Journal of Personalized Medicine. 2024; 14(3):286. https://doi.org/10.3390/jpm14030286
Chicago/Turabian StyleMika, Sławomir, Wojciech Gola, Monika Gil-Mika, Mateusz Wilk, and Hanna Misiolłek. 2024. "Ultrasonographic Applications of Novel Technologies and Artificial Intelligence in Critically Ill Patients" Journal of Personalized Medicine 14, no. 3: 286. https://doi.org/10.3390/jpm14030286
APA StyleMika, S., Gola, W., Gil-Mika, M., Wilk, M., & Misiolłek, H. (2024). Ultrasonographic Applications of Novel Technologies and Artificial Intelligence in Critically Ill Patients. Journal of Personalized Medicine, 14(3), 286. https://doi.org/10.3390/jpm14030286
