Parcellation-Based Connectivity Model of the Judgement Core
Abstract
:1. Introduction
2. Method
2.1. Literature Retrieval and Study Categorisation
2.2. Activation Likelihood Estimation
2.3. Matching of ALE Clusters to HCP Parcellations
2.4. Matching of Parcellations to Functional Networks
2.5. Contrast Analysis
2.6. BrainMap Behavioral Analysis
3. Results
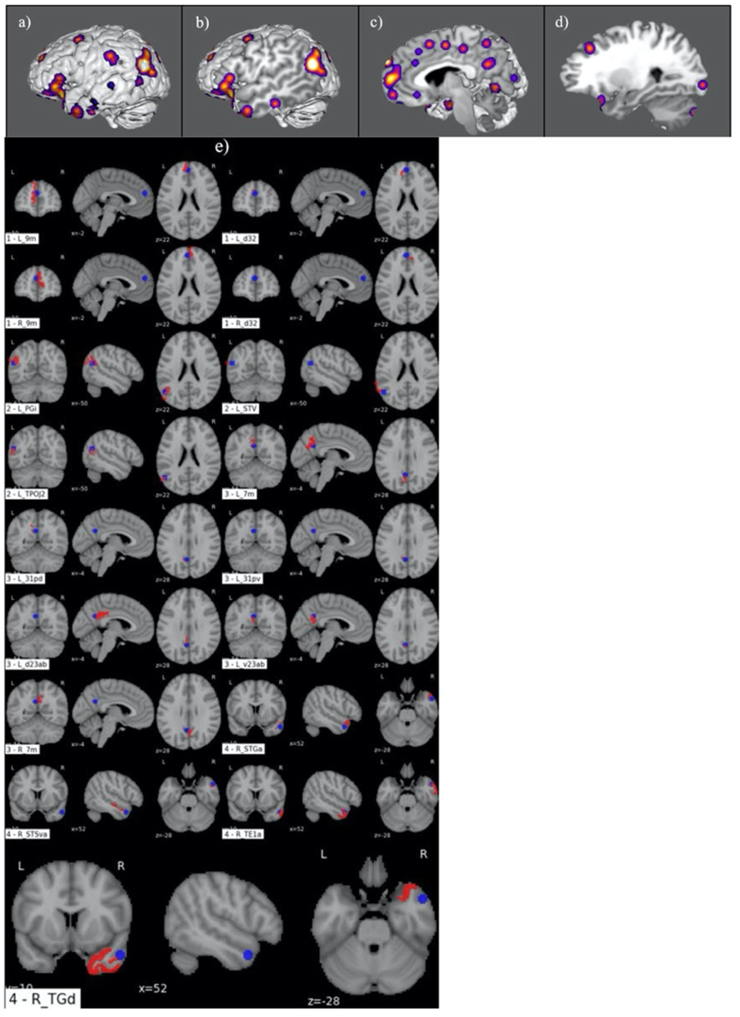
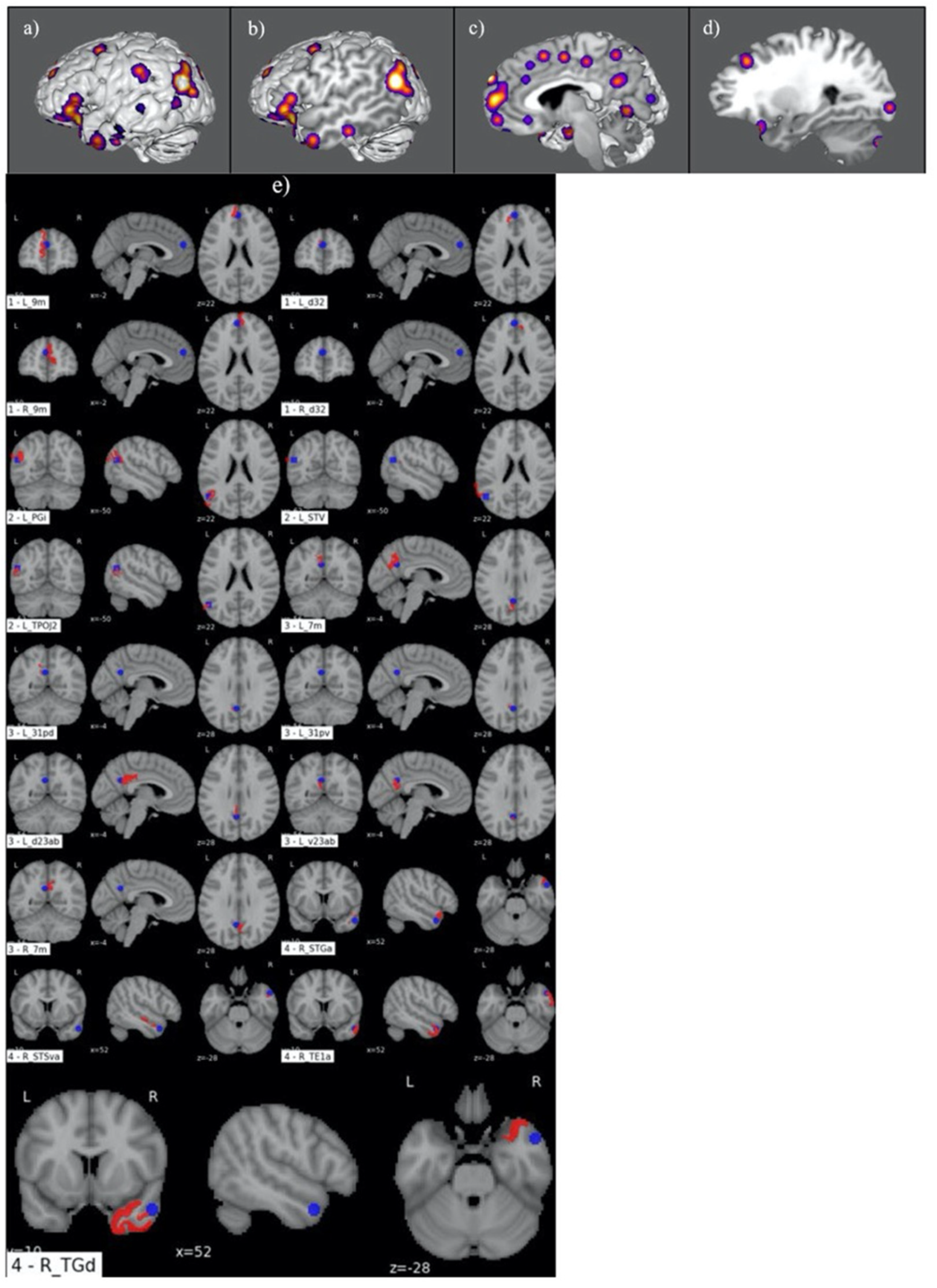
3.1. Judgement Activation Maps
3.2. Parcellation-Based Comparative Analysis
3.3. Judgement Literature Behavioral Analysis
4. Discussion
4.1. Network Evidence for Two Judgement Systems
4.2. DMN Judgement
4.3. CEN Judgement
4.4. A Neurodevelopmental Perspective of the Two Judgement Systems
4.5. Significance of Findings and Future Directions
Neurosurgical Conservation of Judgement Function
4.6. Targeted Therapy for the Restoration of Judgement Function
4.7. Study Limitations
5. Conclusions
Supplementary Materials
Author Contributions
Funding
Data Availability Statement
Conflicts of Interest
References
- Fischhoff, B.; Broomell, S.B. Judgment and decision making. Annu. Rev. Psychol. 2020, 7, 331–355. [Google Scholar] [CrossRef] [PubMed]
- Rabin, L.A.; Borgos, M.J.; Saykin, A.J. A survey of neuropsychologists’ practices and perspectives regarding the assessment of judgment ability. Appl. Neuropsychol. 2008, 15, 264–273. [Google Scholar] [CrossRef] [PubMed]
- Glöckner, A.; Witteman, C. Beyond dual-process models: A categorisation of processes underlying intuitive judgement and decision making. Think. Reason. 2010, 16, 1–25. [Google Scholar] [CrossRef]
- Capucho, P.H.F.V.; Brucki, S.M.D. Judgment in mild cognitive impairment and Alzheimer’s disease. Dement. Neuropsychol. 2011, 5, 297–302. [Google Scholar] [CrossRef]
- Hastie, R. Problems for judgment and decision making. Annu. Rev. Psychol. 2001, 52, 653–683. [Google Scholar] [CrossRef]
- Behrens, T.E.; Sporns, O. Human connectomics. Curr. Opin. Neurobiol. 2012, 22, 144–153. [Google Scholar] [CrossRef]
- Mohanty, R.; Sethares, W.A.; Nair, V.A.; Prabhakaran, V. Rethinking Measures of Functional Connectivity via Feature Extraction. Sci. Rep. 2020, 10, 1298. [Google Scholar] [CrossRef]
- Duffau, H. The death of localizationism: The concepts of functional connectome and neuroplasticity deciphered by awake mapping, and their implications for best care of brain-damaged patients. Rev. Neurol. 2021, 177, 1093–1103. [Google Scholar] [CrossRef]
- Moher, D.; Shamseer, L.; Clarke, M.; Ghersi, D.; Liberati, A.; Petticrew, M.; Shekelle, P.; Stewart, L.A. Preferred reporting items for systematic review and meta-analysis protocols (PRISMA-P) 2015 statement. Syst. Rev. 2015, 4, 1–9. [Google Scholar] [CrossRef]
- Hutton, B.; Salanti, G.; Caldwell, D.M.; Chaimani, A.; Schmid, C.H.; Cameron, C.; Ioannidis, J.P.; Straus, S.; Thorlund, K.; Jansen, J.P.; et al. The PRISMA extension statement for reporting of systematic reviews incorporating network meta-analyses of health care interventions: Checklist and explanations. Ann. Intern. Med. 2015, 162, 777–784. [Google Scholar] [CrossRef]
- Müller, V.I.; Cieslik, E.C.; Laird, A.R.; Fox, P.T.; Radua, J.; Mataix-Cols, D.; Tench, C.R.; Yarkoni, T.; Nichols, T.E.; Turkeltaub, P.E.; et al. Ten simple rules for neuroimaging meta-analysis. Neurosci. Biobehav. Rev. 2018, 84, 151–161. [Google Scholar] [CrossRef] [PubMed]
- Eickhoff, S.B.; Laird, A.R.; Grefkes, C.; Wang, L.E.; Zilles, K.; Fox, P.T. Coordinate-based activation likelihood estimation meta-analysis of neuroimaging data: A random-effects approach based on empirical estimates of spatial uncertainty. Hum. Brain Mapp. 2009, 30, 2907–2926. [Google Scholar] [CrossRef]
- Turkeltaub, P.E.; Eickhoff, S.B.; Laird, A.R.; Fox, M.; Wiener, M.; Fox, P. Minimizing within-experiment and within-group effects in activation likelihood estimation meta-analyses. Hum. Brain Mapp. 2012, 33, 1–13. [Google Scholar] [CrossRef] [PubMed]
- Eickhoff, S.B.; Bzdok, D.; Laird, A.R.; Kurth, F.; Fox, P.T. Activation likelihood estimation meta-analysis revisited. Neuroimage 2012, 59, 2349–2361. [Google Scholar] [CrossRef]
- Yeo, B.T.; Krienen, F.M.; Sepulcre, J.; Sabuncu, M.R.; Lashkari, D.; Hollinshead, M.; Roffman, J.L.; Smoller, J.W.; Zöllei, L.; Polimeni, J.R.; et al. The organization of the human cerebral cortex estimated by intrinsic functional connectivity. J. Neurophysiol. 2011, 106, 1125–1165. [Google Scholar] [PubMed]
- Strough, J.; Parker, A.M.; de Bruin, W.B. Understanding Life-Span Developmental Changes in Decision-Making Competence. In Aging and Decision Making; Elsevier: Amsterdam, The Netherlands, 2015; pp. 235–257. [Google Scholar]
- Matthews, P.M.; Hampshire, A. Clinical concepts emerging from fMRI functional connectomics. Neuron 2016, 91, 511–528. [Google Scholar] [CrossRef]
- Menon, V. Large-scale brain networks and psychopathology: A unifying triple network model. Trends Cogn. Sci. 2011, 15, 483–506. [Google Scholar] [CrossRef]
- Li, S.; Hu, N.; Zhang, W.; Tao, B.; Dai, J.; Gong, Y.; Tan, Y.; Cai, D.; Lui, S. Dysconnectivity of multiple brain networks in schizophrenia: A meta-analysis of resting-state functional connectivity. Front. Psychiatry 2019, 10, 482. [Google Scholar] [CrossRef]
- Saris, I.M.; Penninx, B.W.; Dinga, R.; van Tol, M.J.; Veltman, D.J.; van der Wee, N.J.; Aghajani, M. Default mode network connectivity and social dysfunction in major depressive disorder. Sci. Rep. 2020, 10, 194. [Google Scholar] [CrossRef]
- Li, C.; Li, Y.; Zheng, L.; Zhu, X.; Shao, B.; Fan, G.; Liu, T.; Wang, J. Abnormal brain network connectivity in a triple-network model of Alzheimer’s disease. J. Alzheimer’s Dis. 2019, 69, 237–252. [Google Scholar] [CrossRef]
- Di Martino, A.; Ross, K.; Uddin, L.Q.; Sklar, A.B.; Castellanos, F.X.; Milham, M.P. Functional brain correlates of social and nonsocial processes in autism spectrum disorders: An activation likelihood estimation meta-analysis. Biol. Psychiatry 2009, 65, 63–74. [Google Scholar] [CrossRef] [PubMed]
- Menon, V.; Uddin, L.Q. Saliency, switching, attention and control: A network model of insula function. Brain Struct. Funct. 2010, 214, 655–667. [Google Scholar] [CrossRef] [PubMed]
- Sandhu, Z.; Tanglay, O.; Young, I.M.; Briggs, R.G.; Bai, M.Y.; Larsen, M.L.; Conner, A.K.; Dhanaraj, V.; Lin, Y.H.; Hormovas, J.; et al. Parcellation-based anatomic modeling of the default mode network. Brain Behav. 2021, 11, e01976. [Google Scholar] [CrossRef] [PubMed]
- Han, H. Neural correlates of moral sensitivity and moral judgment associated with brain circuitries of selfhood: A meta-analysis. J. Moral Educ. 2017, 46, 97–113. [Google Scholar] [CrossRef]
- Spreng, R.N.; Grady, C.L. Patterns of brain activity supporting autobiographical memory, prospection, and theory of mind, and their relationship to the default mode network. J. Cogn. Neurosci. 2010, 22, 1112–1123. [Google Scholar] [CrossRef]
- Li, W.; Mai, X.; Liu, C. The default mode network and social understanding of others: What do brain connectivity studies tell us. Front. Hum. Neurosci. 2014, 8, 74. [Google Scholar] [CrossRef]
- Davey, C.G.; Pujol, J.; Harrison, B.J. Mapping the self in the brain’s default mode network. Neuroimage 2016, 132, 390–397. [Google Scholar] [CrossRef]
- Jung, W.H.; Prehn, K.; Fang, Z.; Korczykowski, M.; Kable, J.W.; Rao, H.; Robertson, D.C. Moral competence and brain connectivity: A resting-state fMRI study. Neuroimage 2016, 141, 408–415. [Google Scholar] [CrossRef]
- Pujol, J.; Batalla, I.; Contreras-Rodríguez, O.; Harrison, B.J.; Pera, V.; Hernández-Ribas, R.; Real, E.; Bosa, L.; Soriano-Mas, C.; Deus, J.; et al. Breakdown in the brain network subserving moral judgment in criminal psychopathy. Soc. Cogn. Affect. Neurosci. 2012, 7, 917–923. [Google Scholar] [CrossRef]
- Chiong, W.; Wilson, S.M.; D’Esposito, M.; Kayser, A.S.; Grossman, S.N.; Poorzand, P.; Seeley, W.W.; Miller, B.L.; Rankin, K.P. The salience network causally influences default mode network activity during moral reasoning. Brain 2013, 136, 1929–1941. [Google Scholar] [CrossRef]
- Dosenbach, N.U.; Fair, D.A.; Miezin, F.M.; Cohen, A.L.; Wenger, K.K.; Dosenbach, R.A.; Fox, M.D.; Snyder, A.Z.; Vincent, J.L.; Raichle, M.E.; et al. Distinct brain networks for adaptive and stable task control in humans. Proc. Natl. Acad. Sci. USA 2007, 104, 11073–11078. [Google Scholar] [CrossRef] [PubMed]
- Bilevicius, E.; Kolesar, T.A.; Smith, S.D.; Trapnell, P.D.; Kornelsen, J. Trait emotional empathy and resting state functional connectivity in default mode, salience, and central executive networks. Brain Sci. 2018, 8, 128. [Google Scholar] [CrossRef] [PubMed]
- Bush, G.; Luu, P.; Posner, M.I. Cognitive and emotional influences in anterior cingulate cortex. Trends Cogn. Sci. 2000, 4, 215–222. [Google Scholar] [CrossRef] [PubMed]
- Bush, G.; Vogt, B.A.; Holmes, J.; Dale, A.M.; Greve, D.; Jenike, M.A.; Rosen, B.R. Dorsal anterior cingulate cortex: A role in reward-based decision making. Proc. Natl. Acad. Sci. USA 2002, 99, 523–528. [Google Scholar] [CrossRef] [PubMed]
- Wu, S.; Chang, T.; Majid, A.; Caspers, S.; Eickhoff, S.B.; Menon, V. Functional heterogeneity of inferior parietal cortex during mathematical cognition assessed with cytoarchitectonic probability maps. Cereb. Cortex 2009, 19, 2930–2945. [Google Scholar] [CrossRef]
- Glasser, M.F.; Coalson, T.S.; Robinson, E.C.; Hacker, C.D.; Harwell, J.; Yacoub, E.; Ugurbil, K.; Andersson, J.; Beckmann, C.F.; Jenkinson, M.; et al. A multi-modal parcellation of human cerebral cortex. Nature 2016, 536, 171–178. [Google Scholar] [CrossRef]
- Droutman, V.; Bechara, A.; Read, S.J. Roles of the different sub-regions of the insular cortex in various phases of the decision-making process. Front. Behav. Neurosci. 2015, 9, 309. [Google Scholar] [CrossRef]
- Weller, J.A.; Levin, I.P.; Shiv, B.; Bechara, A. The effects of insula damage on decision-making for risky gains and losses. Soc. Neurosci. 2009, 4, 347–358. [Google Scholar] [CrossRef]
- Fan, Y.; Shi, F.; Smith, J.K.; Lin, W.; Gilmore, J.H.; Shen, D. Brain anatomical networks in early human brain development. Neuroimage 2011, 54, 1862–1871. [Google Scholar] [CrossRef]
- Wang, L.; Su, L.; Shen, H.; Hu, W. Decoding lifespan changes of the human brain using resting-state functional connectivity MRI. PLoS ONE 2012, 7, e44530. [Google Scholar]
- Menon, V. Developmental pathways to functional brain networks: Emerging principles. Trends Cogn. Sci. 2013, 17, 627–640. [Google Scholar] [CrossRef] [PubMed]
- Sato, J.R.; Salum, G.A.; Gadelha, A.; Picon, F.A.; Pan, P.M.; Vieira, G.; Zugman, A.; Hoexter, M.Q.; Anés, M.; Moura, L.M.; et al. Age effects on the default mode and control networks in typically developing children. J. Psychiatr. Res. 2014, 58, 89–95. [Google Scholar] [CrossRef] [PubMed]
- Uddin, L.Q.; Supekar, K.S.; Ryali, S.; Menon, V. Dynamic reconfiguration of structural and functional connectivity across core neurocognitive brain networks with development. J. Neurosci. 2011, 31, 18578–18589. [Google Scholar] [CrossRef] [PubMed]
- Washington, S.D.; VanMeter, J.W. Anterior-posterior connectivity within the default mode network increases during maturation. Int. J. Med. Biol. Front. 2015, 21, 207. [Google Scholar]
- Nelson, E.E.; Leibenluft, E.; McClure, E.B.; Pine, D.S. The social re-orientation of adolescence: A neuroscience perspective on the process and its relation to psychopathology. Psychol. Med. 2005, 35, 163–174. [Google Scholar] [CrossRef] [PubMed]
- Supekar, K.; Menon, V. Developmental maturation of dynamic causal control signals in higher-order cognition: A neurocognitive network model. PLoS Comput. Biol. 2012, 8, e1002374. [Google Scholar] [CrossRef]
- Lebel, C.; Beaulieu, C. Longitudinal development of human brain wiring continues from childhood into adulthood. J. Neurosci. 2011, 31, 10937–10947. [Google Scholar] [CrossRef]
- Ferguson, H.J.; Brunsdon, V.E.; Bradford, E.E. The developmental trajectories of executive function from adolescence to old age. Sci. Rep. 2021, 11, 1382. [Google Scholar] [CrossRef]
- Dadario, N.B.; Brahimaj, B.; Yeung, J.; Sughrue, M.E. Reducing the cognitive footprint of brain tumor surgery. Front. Neurol. 2021, 12, 1342. [Google Scholar] [CrossRef]
- Dadario, N.B.; Sughrue, M.E. Should Neurosurgeons Try to Preserve Non-Traditional Brain Networks? A Systematic Review of the Neuroscientific Evidence. J. Pers. Med. 2022, 12, 587. [Google Scholar] [CrossRef]
- Zarabi, H.; Roy, A.; Jha, A.; Pradilla, G. Refining surgical corridors with whole brain tractography: A case series. Cureus 2017, 9, 1672. [Google Scholar] [CrossRef] [PubMed]
- Dubey, A.; Kataria, R.; Sinha, V. Role of diffusion tensor imaging in brain tumor surgery. Asian J. Neurosurg. 2018, 13, 302–306. [Google Scholar] [CrossRef] [PubMed]
- Mahon, B.Z.; Miozzo, M.; Pilcher, W.H. Direct electrical stimulation mapping of cognitive functions in the human brain. Cogn. Neuropsychol. 2019, 36, 97–102. [Google Scholar] [CrossRef] [PubMed]
- Hart, M.G.; Ypma, R.J.; Romero-Garcia, R.; Price, S.J.; Suckling, J. Graph theory analysis of complex brain networks: New concepts in brain mapping applied to neurosurgery. J. Neurosurg. 2016, 124, 1665–1678. [Google Scholar] [CrossRef]
- Lang, S. Cognitive eloquence in neurosurgery: Insight from graph theoretical analysis of complex brain networks. Med. Hypotheses 2017, 98, 49–56. [Google Scholar] [CrossRef] [PubMed]
- Lisanby, S.H.; Kinnunen, L.H.; Crupain, M.J. Applications of TMS to therapy in psychiatry. J. Clin. Neurophysiol. 2002, 19, 344–360. [Google Scholar] [CrossRef]
- Jung, J.; Bungert, A.; Bowtell, R.; Jackson, S.R. Modulating brain networks with transcranial magnetic stimulation over the primary motor cortex: A concurrent TMS/fMRI study. Front. Hum. Neurosci. 2020, 14, 31. [Google Scholar] [CrossRef]
- Kozyrev, V.; Staadt, R.; Eysel, U.T.; Jancke, D. TMS-induced neuronal plasticity enables targeted remodeling of visual cortical maps. Proc. Natl. Acad. Sci. USA 2018, 115, 6476–6481. [Google Scholar] [CrossRef]
- Tao, Y.; Rapp, B. Investigating the network consequences of focal brain lesions through comparisons of real and simulated lesions. Sci. Rep. 2021, 11, 2213. [Google Scholar] [CrossRef]
- Liston, C.; Chen, A.C.; Zebley, B.D.; Drysdale, A.T.; Gordon, R.; Leuchter, B.; Voss, H.U.; Casey, B.J.; Etkin, A.; Dubin, M.J. Default mode network mechanisms of transcranial magnetic stimulation in depression. Biol. Psychiatry 2014, 76, 517–526. [Google Scholar] [CrossRef]
- Poologaindran, A.; Profyris, C.; Young, I.M.; Dadario, N.B.; Ahsan, S.A.; Chendeb, K.; Briggs, R.G.; Teo, C.; Romero-Garcia, R.; Suckling, J.; et al. Interventional neurorehabilitation for promoting functional recovery post-craniotomy: A proof-of-concept. Sci. Rep. 2022, 12, 3039. [Google Scholar] [CrossRef] [PubMed]
- Yeung, J.T.; Young, I.M.; Doyen, S.; Teo, C.; Sughrue, M.E. Changes in the Brain Connectome Following Repetitive Transcranial Magnetic Stimulation for Stroke Rehabilitation. Cureus 2021, 13, e19105. [Google Scholar] [CrossRef] [PubMed]
- Eickhoff, S.B.; Nichols, T.E.; Laird, A.R.; Hoffstaedter, F.; Amunts, K.; Fox, P.T.; Bzdok, D.; Eickhoff, C.R. Behavior, sensitivity, and power of activation likelihood estimation characterized by massive empirical simulation. Neuroimage 2016, 137, 70–85. [Google Scholar] [CrossRef]
- Chen, Y.; Qi, D.; Qin, T.; Chen, K.; Ai, M.; Li, X.; Li, H.; Zhang, J.; Mao, H.; Yang, Y.; et al. Brain network connectivity mediates education-related cognitive performance in healthy elderly adults. Curr. Alzheimer Res. 2019, 16, 19–28. [Google Scholar] [CrossRef] [PubMed]
- Zhang, X.; Liang, M.; Qin, W.; Wan, B.; Yu, C.; Ming, D. Gender differences are encoded differently in the structure and function of the human brain revealed by multimodal MRI. Front. Hum. Neurosci. 2020, 14, 244. [Google Scholar] [CrossRef] [PubMed]
- Fan, X.; Wu, Y.; Cai, L.; Ma, J.; Pan, N.; Xu, X.; Sun, T.; Jing, J.; Li, X. The differences in the whole-brain functional network between cantonese-mandarin bilinguals and mandarin monolinguals. Brain Sci. 2021, 11, 310. [Google Scholar] [CrossRef] [PubMed]
- Telzer, E.H.; Masten, C.L.; Berkman, E.T.; Lieberman, M.D.; Fuligni, A.J. Gaining while giving: An fMRI study of the rewards of family assistance among White and Latino youth. Soc. Neurosci. 2010, 5, 508–518. [Google Scholar] [CrossRef]
- Ma, Y.; Bang, D.; Wang, C.; Allen, M.; Frith, C.; Roepstorff, A.; Han, S. Sociocultural patterning of neural activity during self-reflection. Soc. Cogn. Affect. Neurosci. 2014, 9, 73–80. [Google Scholar] [CrossRef]
- Rakesh, D.; Zalesky, A.; Whittle, S. Similar but distinct–Effects of different socioeconomic indicators on resting state functional connectivity: Findings from the Adolescent Brain Cognitive Development (ABCD) Study®. Dev. Cogn. Neurosci. 2021, 51, 101005. [Google Scholar] [CrossRef]
- Van Buuren, M.; Walsh, R.J.; Sijtsma, H.; Hollarek, M.; Lee, N.C.; Bos, P.A.; Krabbendam, L. Neural correlates of self-and other-referential processing in young adolescents and the effects of testosterone and peer similarity. Neuroimage 2020, 219, 117060. [Google Scholar] [CrossRef]






Disclaimer/Publisher’s Note: The statements, opinions and data contained in all publications are solely those of the individual author(s) and contributor(s) and not of MDPI and/or the editor(s). MDPI and/or the editor(s) disclaim responsibility for any injury to people or property resulting from any ideas, methods, instructions or products referred to in the content. |
© 2023 by the authors. Licensee MDPI, Basel, Switzerland. This article is an open access article distributed under the terms and conditions of the Creative Commons Attribution (CC BY) license (https://creativecommons.org/licenses/by/4.0/).
Share and Cite
Hormovas, J.; Dadario, N.B.; Tang, S.J.; Nicholas, P.; Dhanaraj, V.; Young, I.; Doyen, S.; Sughrue, M.E. Parcellation-Based Connectivity Model of the Judgement Core. J. Pers. Med. 2023, 13, 1384. https://doi.org/10.3390/jpm13091384
Hormovas J, Dadario NB, Tang SJ, Nicholas P, Dhanaraj V, Young I, Doyen S, Sughrue ME. Parcellation-Based Connectivity Model of the Judgement Core. Journal of Personalized Medicine. 2023; 13(9):1384. https://doi.org/10.3390/jpm13091384
Chicago/Turabian StyleHormovas, Jorge, Nicholas B. Dadario, Si Jie Tang, Peter Nicholas, Vukshitha Dhanaraj, Isabella Young, Stephane Doyen, and Michael E. Sughrue. 2023. "Parcellation-Based Connectivity Model of the Judgement Core" Journal of Personalized Medicine 13, no. 9: 1384. https://doi.org/10.3390/jpm13091384
APA StyleHormovas, J., Dadario, N. B., Tang, S. J., Nicholas, P., Dhanaraj, V., Young, I., Doyen, S., & Sughrue, M. E. (2023). Parcellation-Based Connectivity Model of the Judgement Core. Journal of Personalized Medicine, 13(9), 1384. https://doi.org/10.3390/jpm13091384

