Case Report: A Rare Manifestation of Pulmonary Arterial Hypertension in Ankylosing Spondylitis
Abstract
1. Background
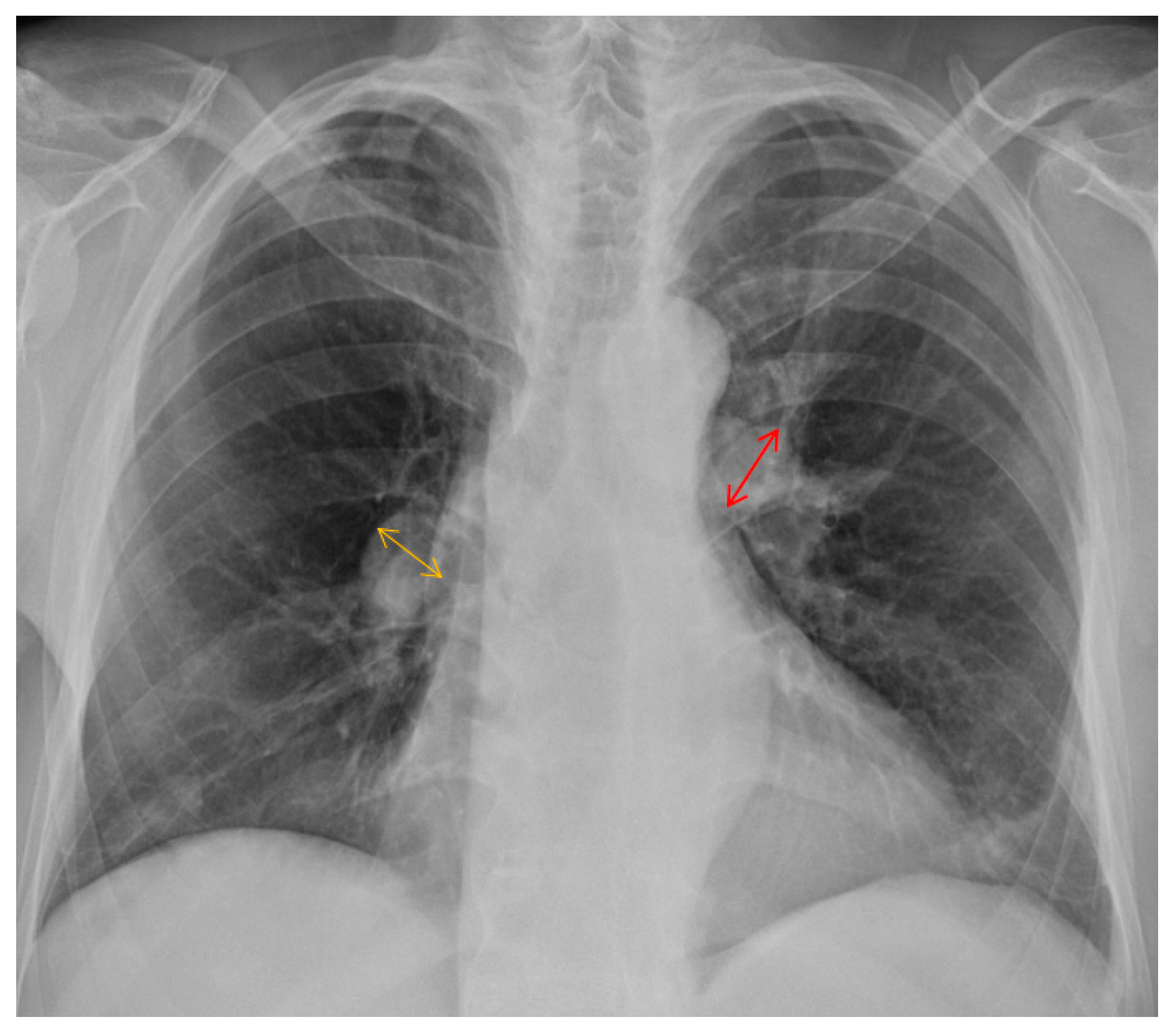
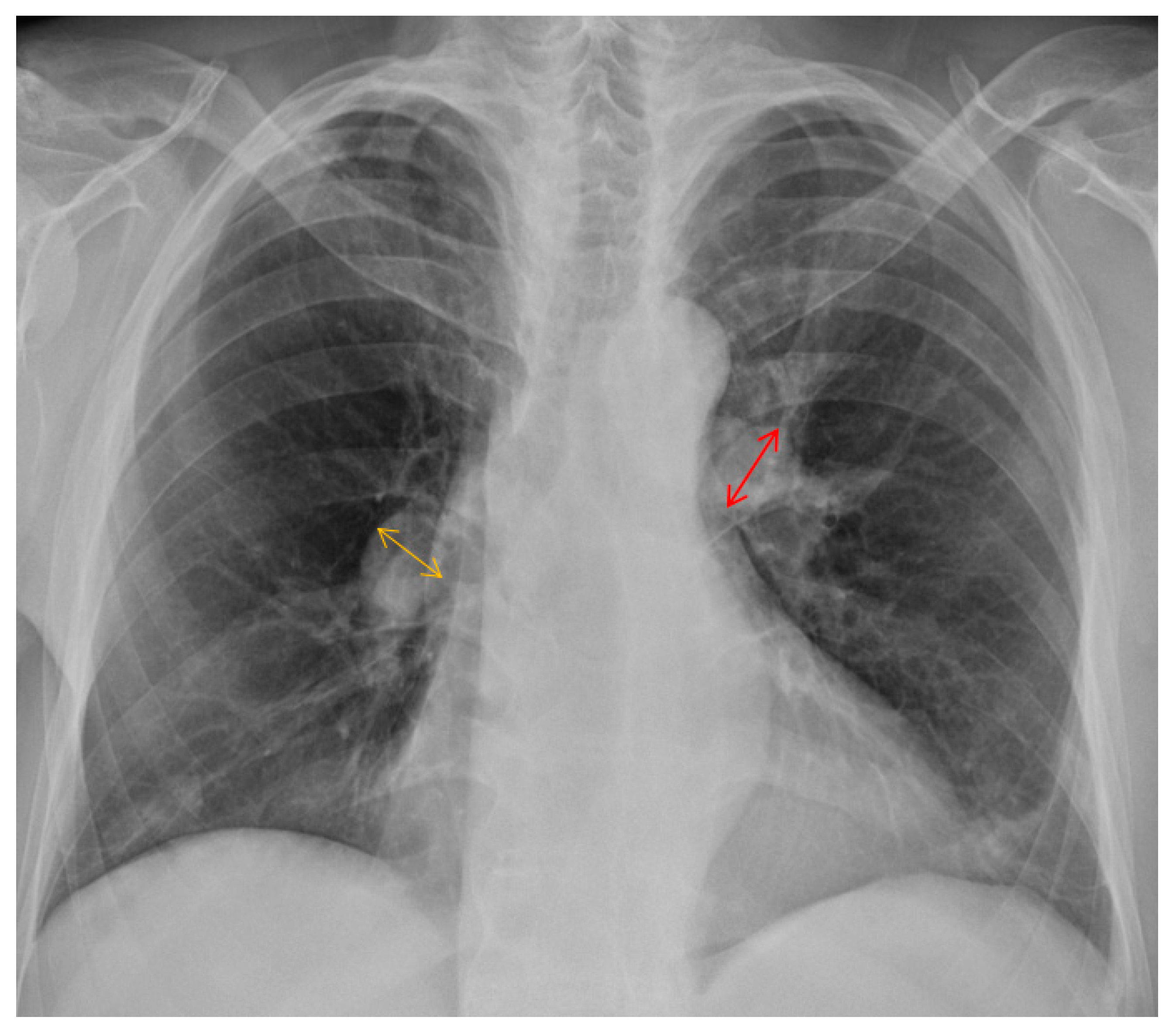
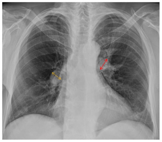
2. Case Presentation
3. Discussion
Author Contributions
Funding
Institutional Review Board Statement
Informed Consent Statement
Data Availability Statement
Conflicts of Interest
References
- Stolwijk, C.; van Tubergen, A.; Castillo-Ortiz, J.D.; Boonen, A. Prevalence of extra-articular manifestations in patients with ankylosing spondylitis: A systematic review and meta-analysis. Ann. Rheum. Dis. 2015, 74, 65–73. [Google Scholar] [CrossRef] [PubMed]
- Ward, M.M. Lifetime risks of valvular heart disease and pacemaker use in patients with ankylosing spondylitis. J. Am. Heart Assoc. 2018, 7, e010016. [Google Scholar] [CrossRef] [PubMed]
- Kanathur, N.; Lee-Chiong, T. Pulmonary manifestations of ankylosing spondylitis. Clin. Chest Med. 2010, 31, 547–554. [Google Scholar] [CrossRef] [PubMed]
- Maron, B.A.; Abman, S.H.; Elliott, C.G.; Frantz, R.P.; Hopper, R.K.; Horn, E.M.; Nicolls, M.R.; Shlobin, O.A.; Shah, S.J.; Kovacs, G.; et al. Pulmonary arterial hypertension: Diagnosis, treatment, and novel advances. Am. J. Respir. Crit. Care Med. 2021, 203, 1472–1487. [Google Scholar] [CrossRef] [PubMed]
- Palazzi, C.; Salvarani, C.; D’Angelo, S.; Olivieri, I. Aortitis and periaortitis in ankylosing spondylitis. Jt. Bone Spine 2011, 78, 451–455. [Google Scholar] [CrossRef] [PubMed]
- Galiè, N.; Humbert, M.; Vachiery, J.L.; Gibbs, S.; Lang, I.; Torbicki, A.; Simonneau, G.; Peacock, A.; Vonk Noordegraaf, A.; Beghetti, M.; et al. 2015 ESC/ERS Guidelines for the diagnosis and treatment of pulmonary hypertension: The Joint Task Force for the Diagnosis and Treatment of Pulmonary Hypertension of the European Society of Cardiology (ESC) and the European Respiratory Society (ERS): Endorsed by: Association for European Paediatric and Congenital Cardiology (AEPC), International Society for Heart and Lung Transplantation (ISHLT). Eur. Heart J. 2016, 37, 67–119. [Google Scholar] [CrossRef] [PubMed]
- Karoli, N.; Rebrov, A. Pulmonary hypertension, involvement of the right and left cardiac parts in patients with ankylosing spondylarthritis. Klin. Med. 2004, 82, 31–34. [Google Scholar]
- Hung, Y.M.; Cheng, C.C.; Wann, S.R.; Lin, S.L. Ankylosing spondylitis associated with pulmonary arterial hypertension. Intern. Med. 2015, 54, 431–434. [Google Scholar] [CrossRef] [PubMed]
- Poddubnyĭ, D.; Rebrov, A. Pulmonary hypertension in patients with ankylosing spondilitis: Main factors of development. Ter. Arkh. 2008, 80, 72–75. [Google Scholar] [PubMed]
- Magne, J.; Pibarot, P.; Sengupta, P.P.; Donal, E.; Rosenhek, R.; Lancellotti, P. Pulmonary hypertension in valvular disease: A comprehensive review on pathophysiology to therapy from the HAVEC Group. JACC Cardiovasc. Imaging. 2015, 8, 83–99. [Google Scholar] [CrossRef] [PubMed]
- Siao, W.Z.; Liu, C.H.; Wang, Y.H.; Wei, J.C.; Jong, G.P. Increased risk of valvular heart disease in patients with ankylosing spondylitis: A nationwide population-based longitudinal cohort study. Ther. Adv. Musculoskelet. Dis. 2021, 13, 1759720X211021676. [Google Scholar] [CrossRef] [PubMed]




| Item | Result |
|---|---|
| White blood cell | Normal |
| Hemoglobin | Normal |
| Platelet | Normal |
| Alanine aminotransferase | Normal |
| Aspartate aminotransferase | Normal |
| Blood urea nitrogen | 27 mg/dL |
| Creatinine | 1.42 mg/dL |
| High-sensitivity troponin I | 48.8 pg/mL |
| N-terminal pro-brain natriuretic peptide | 4528 pg/mL |
| Item | Result |
|---|---|
| Left ventricular ejection fraction | 59.7% |
| Systolic pulmonary artery pressure | 96 mmHg |
| Right ventricle size | 31 mm |
| RV index of myocardial performance | 0.64 |
| RV fractional area change | 21% |
| 1989 | ● Diagnosis of ankylosing spondylitis. Patient started on sulfasalazine. |
| September 2021 | ● The patient was treated with diuretics. |
| October 2021 | ● 62.5 mg of bosentan twice per day was initiated for 7 days, and then the prescription was switched to 20 mg of sildenafil three times per day. |
| November 2021 | ● 10 mg of macitentan every day was added. |
Disclaimer/Publisher’s Note: The statements, opinions and data contained in all publications are solely those of the individual author(s) and contributor(s) and not of MDPI and/or the editor(s). MDPI and/or the editor(s) disclaim responsibility for any injury to people or property resulting from any ideas, methods, instructions or products referred to in the content. |
© 2022 by the authors. Licensee MDPI, Basel, Switzerland. This article is an open access article distributed under the terms and conditions of the Creative Commons Attribution (CC BY) license (https://creativecommons.org/licenses/by/4.0/).
Share and Cite
Yang, T.-Y.; Chen, Y.-H.; Siao, W.-Z.; Jong, G.-P. Case Report: A Rare Manifestation of Pulmonary Arterial Hypertension in Ankylosing Spondylitis. J. Pers. Med. 2023, 13, 62. https://doi.org/10.3390/jpm13010062
Yang T-Y, Chen Y-H, Siao W-Z, Jong G-P. Case Report: A Rare Manifestation of Pulmonary Arterial Hypertension in Ankylosing Spondylitis. Journal of Personalized Medicine. 2023; 13(1):62. https://doi.org/10.3390/jpm13010062
Chicago/Turabian StyleYang, Tsung-Yuan, Yong-Hsin Chen, Wun-Zhih Siao, and Gwo-Ping Jong. 2023. "Case Report: A Rare Manifestation of Pulmonary Arterial Hypertension in Ankylosing Spondylitis" Journal of Personalized Medicine 13, no. 1: 62. https://doi.org/10.3390/jpm13010062
APA StyleYang, T.-Y., Chen, Y.-H., Siao, W.-Z., & Jong, G.-P. (2023). Case Report: A Rare Manifestation of Pulmonary Arterial Hypertension in Ankylosing Spondylitis. Journal of Personalized Medicine, 13(1), 62. https://doi.org/10.3390/jpm13010062

