The Use of Cardiac Stereotactic Radiation Therapy (SBRT) to Manage Ventricular Tachycardia: A Case Report, Review of the Literature and Technical Notes
Abstract
1. Introduction
2. Case Presentation
3. Target Volume Definition and Imaging Management
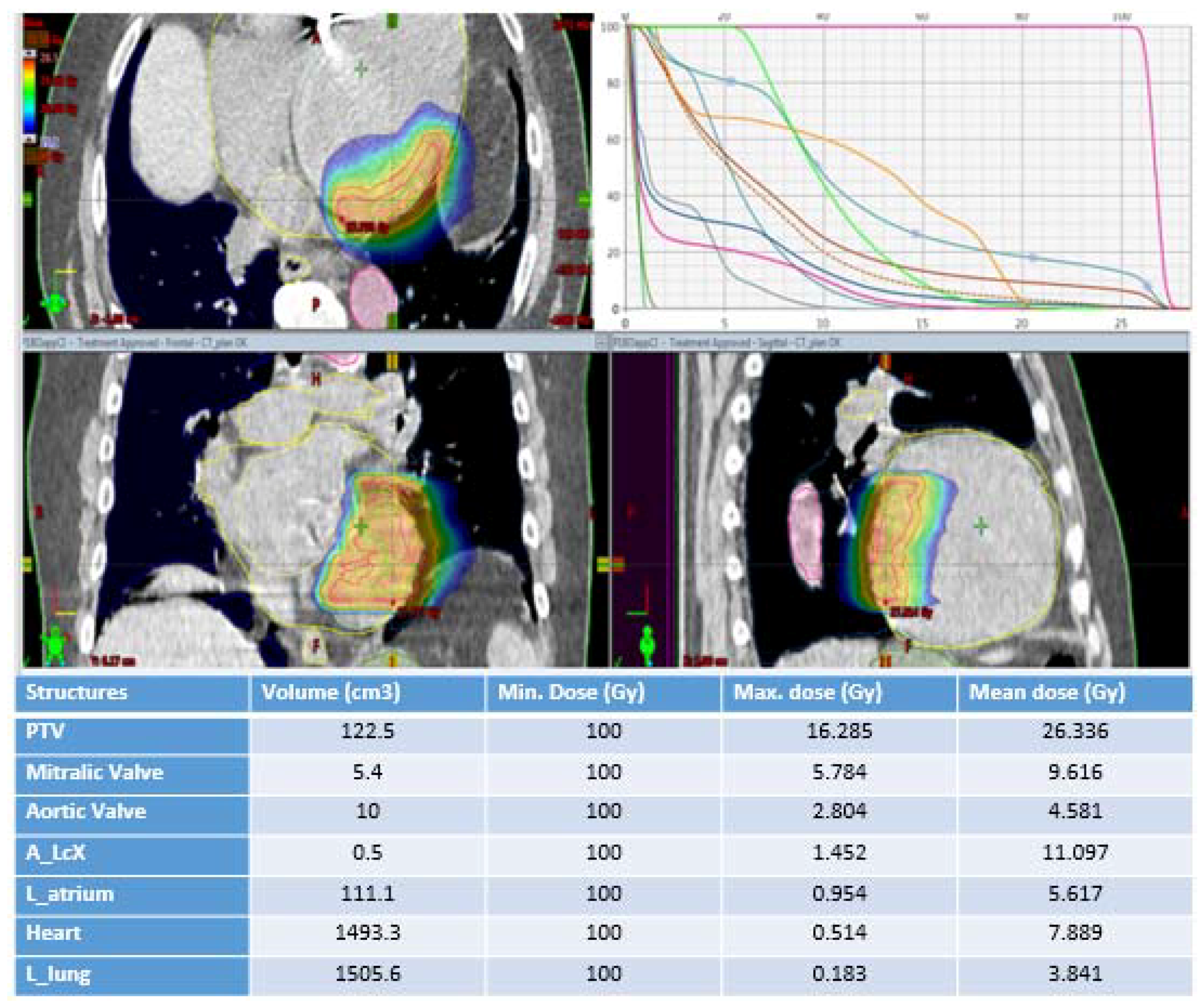
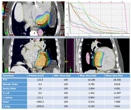
4. Treatment Planning and Treatment Delivery
5. Clinical Experiences: Outcomes and Safety
6. Discussion
7. Conclusions
Author Contributions
Funding
Institutional Review Board Statement
Informed Consent Statement
Data Availability Statement
Conflicts of Interest
References
- Khurshid, S.; Choi, S.H.; Weng, L.C.; Wang, E.Y.; Trinquart, L.; Benjamin, E.J.; Ellinor, P.T.; Lubitz, S.A. Frequency of cardiac rhythm abnormalities in a half million adults. Circ. Arrhythm. Electrophysiol. 2018, 11, e006273. [Google Scholar] [CrossRef] [PubMed]
- Motté, G.; Laine, J.F.; Slama, M.; Sebag, C.; Davy, J.M. Physiopathology of ventricular tachyarrhythmias. Pacing Clin. Electrophysiol. 1984, 7, 1129–1136. [Google Scholar] [PubMed]
- Siedow, M.; Brownstein, J.; Prasad, R.N.; Loccoh, E.; Harfi, T.T.; Okabe, T.; Tong, M.S.; Afzal, M.R.; Williams, T. Cardiac radioablation in the treatment of ventricular tachycardia. Clin. Transl. Radiat. Oncol. 2021, 31, 71–79. [Google Scholar] [CrossRef] [PubMed]
- Sapp, J.L.; Wells, G.A.; Parkash, R.; Stevenson, W.G.; Blier, L.; Sarrazin, J.F.; Thibault, B.; Rivard, L.; Gula, L.; Leong-Sit, P.; et al. Ventricular tachycardia ablation versus escalation of antiarrhythmic drugs. N. Engl. J. Med. 2016, 375, 111–121. [Google Scholar] [CrossRef] [PubMed]
- Kuck, K.H.; Schaumann, A.; Eckardt, L.; Willems, S.; Ventura, R.; Delacrétaz, E.; Pitschner, H.F.; Kautzner, J.; Schumacher, B.; Hansen, P.S.; et al. Catheter ablation of stable ventricular tachycardia before defibrillator implantation in patients with coronary heart disease (VTACH): A multicentre randomised controlled trial. Lancet 2010, 375, 31–40. [Google Scholar] [CrossRef]
- Kumar, S.; Romero, J.; Mehta, N.K.; Fujii, A.; Kapur, S.; Baldinger, S.; Barbhaiya, C.; Koplan, B.A.; John, R.M.; Epstein, L.; et al. Long-term outcomes after catheter ablation of ventricular tachycardia in patients with and without structural heart disease. Heart Rhythm 2016, 13, 1957–1963. [Google Scholar] [CrossRef]
- Santangeli, P.; Muser, D.; Maeda, S.; Filtz, A.; Zado, E.S.; Frankel, D.S.; Dixit, S.; Epstein, A.E.; Callans, D.J.; Marchlinski, F.E. Comparative effectiveness of antiarrhythmic drugs and catheter ablation for the prevention of recurrent ventricular tachycardia in patients with implantable cardioverter-defibrillators: A systematic review and meta-analysis of randomized controlled trials. Heart Rhythm 2016, 13, 1552–1559. [Google Scholar] [CrossRef]
- Schron, E.B.; Exner, D.V.; Yao, Q.; Jenkins, L.S.; Steinberg, J.S.; Cook, J.R.; Kutalek, S.P.; Friedman, P.L.; Bubien, R.S.; Page, R.L.; et al. Quality of life in the antiarrhythmics versus implantable defibrillators trial: Impact of therapy and influence of adverse symptoms and defibrillator shocks. Circulation 2002, 105, 589–594. [Google Scholar] [CrossRef] [PubMed]
- Perini, A.P.; Kutyifa, V.; Veazie, P.; Daubert, J.P.; Schuger, C.; Zareba, W.; McNitt, S.; Rosero, S.; Tompkins, C.; Padeletti, L.; et al. Effects of implantable cardioverter/defibrillator shock and antitachycardia pacing on anxiety and quality of life: A MADIT-RIT substudy. Am. Heart J. 2017, 189, 75–84. [Google Scholar] [CrossRef]
- Bazoukis, G.; Tse, G.; Korantzopoulos, P.; Liu, T.; Letsas, K.P.; Stavrakis, S.; Naka, K.K. Impact of implantable cardioverter-defibrillator interventions on all-cause mortality in heart failure patients: A meta-analysis. Cardiol. Rev. 2019, 27, 160–166. [Google Scholar] [CrossRef]
- Poole, J.E.; Johnson, G.W.; Hellkamp, A.S.; Anderson, J.; Callans, D.J.; Raitt, M.H.; Reddy, R.K.; Marchlinski, F.E.; Yee, R.; Guarnieri, T.; et al. Prognostic importance of defibrillator shocks in patients with heart failure. N. Engl. J. Med. 2008, 359, 1009–1017. [Google Scholar] [CrossRef]
- Paoletti, L.; Ceccarelli, C.; Menichelli, C.; Aristei, C.; Borghesi, S.; Tucci, E.; Bastiani, P.; Cozzi, S. Special stereotactic radiotherapy techniques: Procedures and equipment for treatment simulation and dose delivery. Rep. Pract. Oncol. Radiother. 2022, 27, 1–9. [Google Scholar] [CrossRef] [PubMed]
- Cozzi, S.; Alì, E.; Bardoscia, L.; Najafi, M.; Botti, A.; Blandino, G.; Giaccherini, L.; Ruggieri, M.P.; Augugliaro, M.; Iori, F.; et al. Stereotactic Body Radiation Therapy (SBRT) for Oligorecurrent/Oligoprogressive Mediastinal and Hilar Lymph Node Metastasis: A Systematic Review. Cancers 2022, 14, 2680. [Google Scholar] [CrossRef]
- Cozzi, S.; Botti, A.; Timon, G.; Blandino, G. Prognostic factors, efficacy, and toxicity of involved-node stereotactic body radiation therapy for lymph node oligorecurrent prostate cancer: An investigation of 117 pelvic lymph nodes. Strahlenther Onkol. 2022, 198, 700–709. [Google Scholar] [CrossRef] [PubMed]
- Maddalo, M.; D’Angelo, E.; Fiorica, F.; Argenone, A.; Scricciolo, M.; Cozzi, S. Thoracic re-irradiation with 3D-conformal or more advanced techniques: A systematic review of treatment safety by the Re-irradiation Study Group of the Italian Association of Radiation and Oncology AIRO. Crit. Rev. Oncol. Hematol. 2021, 167, 103500. [Google Scholar] [CrossRef]
- Bertolini, M.; Trojani, V.; Botti, A.; Cucurachi, N.; Galaverni, M.; Cozzi, S.; Borghetti, P.; La Mattina, S.; Pastorello, E.; Avanzo, M.; et al. Novel Harmonization Method for Multi-Centric Radiomic Studies in Non-Small Cell Lung Cancer. Curr. Oncol. 2022, 29, 5179–5194. [Google Scholar] [CrossRef]
- Zhang, D.M.; Szymanski, J.; Bergom, C.; Cuculich, P.S.; Robinson, C.G.; Schwarz, C.G.; Rentschler, S.L. Leveraging Radiobiology for Arrhythmia Management: A New Treatment Paradigm? Clin. Oncol. 2021, 33, 723–734. [Google Scholar] [CrossRef]
- Loo, B.W., Jr.; Soltys, S.G.; Wang, L.; Lo, A.; Fahimian, B.P.; Iagaru, A.; Norton, L.; Shan, X.; Gardner, E.; Fogarty, T.; et al. Stereotactic ablative radiotherapy for the treatment of refractory cardiac ventricular arrhythmia. Circ. Arrhythm. Electrophysiol. 2015, 8, 748–750. [Google Scholar] [CrossRef]
- Neuwirth, R.; Cvek, J.; Knybel, L.; Jiravsky, O.; Molenda, L.; Kodaj, M.; Fiala, M.; Peichl, P.; Feltl, D.; Januška, J.; et al. Stereotactic radiosurgery for ablation of ventricular tachycardia. Europace 2019, 21, 1088–1095. [Google Scholar] [CrossRef] [PubMed]
- Cuculich, P.S.; Schill, M.R.; Kashani, R.; Mutic, S.; Lang, A.; Cooper, D.; Faddis, M.; Gleva, M.; Noheria, A.; Smith, T.W.; et al. Noninvasive cardiac radiation for ablation of ventricular tachycardia. N Engl. J. Med. 2017, 377, 2325–2336. [Google Scholar] [CrossRef]
- Jumeau, R.; Ozsahin, M.; Schwitter, J.; Vallet, V.; Duclos, F.; Zeverino, M.; Moeckli, R.; Pruvot, E.; Bourhis, J. Rescue procedure for an electrical storm using robotic non-invasive cardiac radio-ablation. Radiother. Oncol. 2018, 128, 189–191. [Google Scholar] [CrossRef] [PubMed]
- Robinson, C.G.; Samson, P.P.; Moore, K.M.S.; Hugo, G.D.; Knutson, N.; Mutic, S.; Goddu, S.M.; Lang, A.; Cooper, D.H.; Faddis, M.; et al. Phase I/II trial of electrophysiology-guided noninvasive cardiac radioablation for ventricular tachycardia. Circulation 2019, 139, 313–321. [Google Scholar] [CrossRef] [PubMed]
- Haskova, J.; Peichl, P.; Pirk, J.; Cvek, J.; Neuwirth, R.; Kautzner, J. Stereotactic radiosurgery as a treatment for recurrent ventricular tachycardia associated with cardiac fibroma. Hear. Case Rep. 2019, 5, 44–47. [Google Scholar] [CrossRef] [PubMed]
- Zeng, L.J.; Huang, L.H.; Tan, H.; Zhang, H.C.; Mei, J.; Shi, H.F.; Jiang, C.Y.; Tan, C.; Zheng, J.W.; Liu, X.P. Stereotactic body radiation therapy for refractory ventricular tachycardia secondary to cardiac lipoma: A case report. Pacing Clin. Electrophysiol. 2019, 42, 1276–1279. [Google Scholar] [CrossRef]
- Benedict, S.H.; Yenice, K.M.; Followill, D.; Galvin, J.M.; Hinson, W.; Kavanagh, B.; Keall, P.; Lovelock, M.; Meeks, S.; Papiez, L.; et al. Stereotactic body radiation therapy: The report of AAPM Task Group 101. Med. Phys. 2010, 37, 4078–4101. [Google Scholar] [CrossRef]
- Blanck, O.; Buergy, D.; Vens, M.; Eidinger, L.; Zaman, A.; Krug, D.; Rudic, B.; Boda-Heggemann, J.; Giordano, F.A.; Boldt, L.H.; et al. Radiosurgery for ventricular tachycardia: Preclinical and clinical evidence and study design for a German multi-centre multi-platform feasibility trial (RAVENTA). Clin. Res. Cardiol. 2020, 109, 1319–1332. [Google Scholar] [CrossRef] [PubMed]
- Zecchin, M.; Severgnini, M.; Fiorentino, A.; Malavasi, V.L.; Menegotti, L.; Alongi, F.; Catanzariti, D.; Jereczek-Fossa, B.A.; Stasi, M.; Russi, E.; et al. Management of patients with cardiac implantable electronic devices (CIED) undergoing radiotherapy: A consensus document from Associazione Italiana Aritmologia e Cardiostimolazione (AIAC), Associazione Italiana Radioterapia Oncologica (AIRO), Associazione Italiana Fisica Medica (AIFM). Int. J. Cardiol. 2018, 255, 175–183. [Google Scholar]
- Scholz, E.P.; Seidensaal, K.; Naumann, P.; Andre, F.; Katus, H.A.; Debus, J. Risen from the dead: Cardiac stereotactic ablative radiotherapy as last rescue in a patient with refractory ventricular fibrillation storm. HeartRhythm Case Rep. 2019, 5, 329–332. [Google Scholar] [CrossRef]
- Krug, D.; Blanck, O.; Demming, T.; Dottermusch, M.; Koch, K.; Hirt, M.; Kotzott, L.; Zaman, A.; Eidinger, L.; Siebert, F.A.; et al. Stereotactic body radiotherapy for ventricular tachycardia (cardiac radiosurgery): First-in-patient treatment in Germany. Strahlenther Onkol. 2020, 196, 23–30. [Google Scholar] [CrossRef]
- Marti-Almor, J.; Jimenez-Lopez, J.; Rodriguez de Dios, N.; Tizon, H.; Valles, E.; Algara, M. Noninvasive ablation of ventricular tachycardia with stereotactic radiotherapy in a patient with arrhythmogenic right ventricular cardiomyopathy. Rev. Esp. Cardiol. Engl. Ed. 2020, 73, 97–99. [Google Scholar] [CrossRef]
- Mayinger, M.; Kovacs, B.; Tanadini-Lang, S.; Ehrbar, S.; Wilke, L.; Chamberlain, M.; Moreira, A.; Weitkamp, N.; Brunckhorst, C.; Duru, F.; et al. First magnetic resonance imaging-guided cardiac radioablation of sustained ventricular tachycardia. Radiother. Oncol. 2020, 152, 203–207. [Google Scholar] [CrossRef] [PubMed]
- Lloyd, M.S.; Wight, J.; Schneider, F.; Hoskins, M.; Attia, T.; Escott, C.; Lerakis, S.; Higgins, K.A. Clinical experience of stereotactic body radiation for refractory ventricular tachycardia in advanced heart failure patients. Heart Rhythm 2020, 17, 415–422. [Google Scholar] [CrossRef] [PubMed]
- Gianni, C.; Rivera, D.; Burkhardt, J.D.; Pollard, B.; Gardner, E.; Maguire, P.; Zei, P.C.; Natale, A.; Al-Ahmad, A. Stereotactic arrhythmia radioablation for refractory scar-related ventricular tachycardia. Heart Rhythm 2020, 17, 1241–1248. [Google Scholar] [CrossRef] [PubMed]
- Narducci, M.L.; Cellini, F.; Placidi, L.; Boldrini, L.; Perna, F.; Bencardino, G.; Pinnacchio, G.; Bertolini, R.; Cannelli, G.; Frascino, V.; et al. Case Report: A Case Report of Stereotactic Ventricular Arrhythmia Radioablation (STAR) on Large Cardiac Target Volume by Highly Personalized Inter- and Intra-fractional Image Guidance. Front. Cardiovasc. Med. 2020, 7, 565471. [Google Scholar] [CrossRef]
- Chin, R.; Hayase, J.; Hu, P.; Cao, M.; Deng, J.; Ajijola, O.; Do, D.; Vaseghi, M.; Buch, E.; Khakpour, H.; et al. Non-invasive stereotactic body radiation therapy for refractory ventricular arrhythmias: An institutional experience. J. Interv. Cardiol. Electrophysiol. 2021, 61, 535–543. [Google Scholar] [CrossRef]
- Carbucicchio, C.; Andreini, D.; Piperno, G.; Catto, V.; Conte, E.; Cattani, F.; Bonomi, A.; Rondi, E.; Piccolo, C.; Vigorito, S.; et al. Stereotactic radioablation for the treatment of ventricular tachycardia: Preliminary data and insight from the STRA-MI-VT phase Ib/II study. J. Interv. Card Electrophysiol. 2021, 62, 427–439. [Google Scholar] [CrossRef]
- Qian, P.C.; Quadros, K.; Aguilar, M.; Wei, C.; Boeck, M.; Bredfeldt, J.; Cochet, H.; Blankstein, R.; Mak, R.; Sauer, W.H.; et al. Substrate Modification Using Stereotactic Radioablation to Treat Refractory Ventricular Tachycardia in Patients with Ischemic Cardiomyopathy. JACC Clin. Electrophysiol. 2022, 8, 49–58. [Google Scholar] [CrossRef]
- Ho, G.; Atwood, T.F.; Bruggeman, A.R.; Moore, K.L.; McVeigh, E.; Villongco, C.T.; Han, F.T.; Hsu, J.C.; Hoffmayer, K.S.; Raissi, F.; et al. Computational ECG mapping and respiratory gating to optimize stereotactic ablative radiotherapy workflow for refractory ventricular tachycardia. Heart Rhythm 2021, 2, 511–520. [Google Scholar] [CrossRef]
- Kautzner, J.; Jedlickova, K.; Sramko, M.; Peichl, P.; Cvek, J.; Knybel Ing, L.; Neuwirth, R.; Jiravsky, O.; Voska, L.; Kucera, T. Radiation-Induced Changes in Ventricular Myocardium After Stereotactic Body Radiotherapy for Recurrent Ventricular Tachycardia. JACC Clin. Electrophysiol. 2021, 7, 1487–1492. [Google Scholar] [CrossRef]
- Molon, G.; Giaj-Levra, M.; Costa, A.; Bonapace, S.; Cuccia, F.; Marinelli, A.; Tachanas, G.; Sicignano, G.; Alongi, F. Stereotactic ablative radiotherapy in patients with refractory ventricular tachyarrhythmia. Eur. Heart J. Suppl. 2022, 24, C248–C253. [Google Scholar] [CrossRef]
- De la Pinta, C.; Besse, R. Stereotactic ablative body radiotherapy for ventricular tachycardia: An alternative therapy for refractory patients. Anatol. J. Cardiol. 2021, 25, 858–862. [Google Scholar] [CrossRef] [PubMed]
- Kumar, S.; Androulakis, A.F.A.; Sellal, J.M.; Maury, P.; Gandjbakhch, E.; Waintraub, X.; Rollin, A.; Richard, P.; Charron, P.; Baldinger, S.H.; et al. Multicenter experience with catheter ablation for ventricular tachycardia in lamin A/C cardiomyopathy. Circ. Arrhythm. Electrophysiol. 2016, 9, e004357. [Google Scholar] [CrossRef] [PubMed]
- Amino, M.; Yoshioka, K.; Tanabe, T.; Tanaka, E.; Mori, H.; Furusawa, Y.; Zareba, W.; Yamazaki, M.; Nakagawa, H.; Honjo, H.; et al. Heavy ion radiation up-regulates Cx43 and ameliorates arrhythmogenic substrates in hearts after myocardial infarction. Cardiovasc. Res. 2006, 72, 412–421. [Google Scholar] [CrossRef] [PubMed]
- Sharma, A.; Wong, D.; Weidlich, G.; Fogarty, T.; Jack, A.; Sumanaweera, T.; Maguire, P. Noninvasive stereotactic radiosurgery (CyberHeart) for creation of ablation lesions in the atrium. Heart Rhythm 2010, 7, 802–810. [Google Scholar] [CrossRef] [PubMed]
- Lehmann, H.I.; Graeff, C.; Simoniello, P.; Constantinescu, A.; Takami, M.; Lugenbiel, P.; Richter, D.; Eichhorn, A.; Prall, M.; Kaderka, R.; et al. Feasibility study on cardiac arrhythmia ablation using high-energy heavy ion beams. Sci Rep. 2016, 6, 38895. [Google Scholar] [CrossRef] [PubMed]
- Zei, P.C.; Wong, D.; Gardner, E.; Fogarty, T.; Maguire, P. Safety and efficacy of stereotactic radioablation targeting pulmonary vein tissues in an experimental model. Heart Rhythm 2018, 15, 1420–1427. [Google Scholar] [CrossRef]
- Bode, F.; Blanck, O.; Gebhard, M.; Hunold, P.; Grossherr, M.; Brandt, S.; Vonthein, R.; Thiele, H.; Dunst, J.; Rades, D. Pulmonary vein isolation by radiosurgery: Implications for non-invasive treatment of atrial fibrillation. Europace 2015, 17, 1868–1874. [Google Scholar] [CrossRef]
- Refaat, M.M.; Ballout, J.A.; Zakka, P.; Hotait, M.; Al Feghali, K.A.; Gheida, I.A.; Saade, C.; Hourani, M.; Geara, F.; Tabbal, M.; et al. Swine atrioventricular node ablation using stereotactic radiosurgery: Methods and in vivo feasibility investigation for catheter-free ablation of cardiac arrhythmias. J. Am. Heart Assoc. 2017, 6, 1–7. [Google Scholar] [CrossRef]
- Amino, M.; Yoshioka, K.; Fujibayashi, D.; Hashida, T.; Furusawa, Y.; Zareba, W.; Ikari, Y.; Tanaka, E.; Mori, H.; Inokuchi, S.; et al. Year-long upregulation of connexin43 in rabbit hearts by heavy ion irradiation. Am. J. Physiol. Heart Circ. Physiol. 2010, 298, H1014–H1021. [Google Scholar] [CrossRef]
- Amino, M.; Yoshioka, K.; Furusawa, Y.; Tanaka, S.; Kawabe, N.; Hashida, T.; Tsukada, T.; Izumi, M.; Inokuchi, S.; Tanabe, T.; et al. Inducibility of ventricular arrhythmia 1 year following treatment with heavy ion irradiation in dogs with myocardial infarction. Pacing Clin. Electrophysiol. 2017, 40, 379–390. [Google Scholar] [CrossRef]
- Kovacs, B.; Mayinger, M.; Schindler, M.; Steffel, J.; Andratschke, N.; Saguner, A.M. Stereotactic radioablation of ventricular arrhythmias in patients with structural heart disease—A systematic review. Radiother. Oncol. 2021, 162, 132–139. [Google Scholar] [CrossRef] [PubMed]
- Van der Ree, M.H.; Blanck, O.; Limpens, J.; Lee, C.H.; Balgobind, B.V.; Dieleman, E.M.T.; Wilde, A.A.M.; Zei, P.C.; de Groot, J.R.; Slotman, B.J.; et al. Cardiac radioablation-A systematic review. Heart Rhythm 2020, 17, 1381–1392. [Google Scholar] [CrossRef] [PubMed]
- Monroy, E.; Azpiri, J.; De La Peña, C.; Cardona, C.; Hinojosa, M.; Zamarripa, R.; Assad, J. Late gadolinium enhancement cardiac magnetic resonance imaging post-robotic radiosurgical pulmonary vein isolation (RRPVI): First case in the world. Cureus 2016, 8, e738. [Google Scholar] [CrossRef] [PubMed]
- Di Monaco, A.; Gregucci, F.; Bonaparte, I.; Troisi, F.; Surgo, A.; Di Molfetta, D.; Vitulano, N.; Quadrini, F.; Carbonara, R.; Martinelli, G.; et al. Paroxysmal atrial fibrillation in elderly: Worldwide preliminary data of LINAC-based stereotactic arrhythmia radioablation prospective phase II trial. Front. Cardivasc. Med. 2022, 9, 832446. [Google Scholar] [CrossRef] [PubMed]



| Study | Type | N of Patients | Sex | Mean Age | Dose | PTV Volume | Follow-Up (m) | Delay for Efficacy | Toxicity |
|---|---|---|---|---|---|---|---|---|---|
| Loo et al., 2015 [18] | R | 1 | M | 71 | 25 | n.r. | 9 | 2 m | Died from COPD |
| Cuculich et al., 2017 [20] | R | 5 | 4:M 1:F | 66 | 25 | 49 | 12 | 6 w | 1 fatal stroke 3 weeks after treatment |
| Jumeau et al., 2018 [21] | R | 1 | M | 75 | 25 | 21 | 4 | immediate | none |
| Haskova et al., 2018 [23] | R | 1 | M | 34 | 25 | n.r | 8 | 8 m | Not reported |
| Neuwirth et al., 2019 [19] | R | 10 | 9:M 1:F | 66 | 25 | 22.2 | 28 | progressive | Three died of non-arrhythmic causes; progression of mitral valve regurgitation at 17 months |
| Robinson et al., 2019 [22] | phase I/II study | 19 | 17:M 1:F | 66 | 25 | 98.9 | 13 | within 6 w | Pericarditis; heart failure exacerbation at 2 months |
| Scholz et al., 2019 [28] | R | 1 | M | 53 | 30 | 82.4 | 2 | 2 w | none |
| Zeng et al., 2019 [24] | R | 1 | M | 29 | 24 | 71 | 4 | 1 m | none |
| Krug et al., 2019 [29] | R | 1 | M | 78 | 25 | 42.2 | n.r. | immediate | Cardiac failure after 57 days |
| Martì-Almon et al., 2020 [30] | R | 1 | M | 64 | 25 | n.r. | 4 | immediate | none |
| Magyinger et al., 2020 [31] | R | 1 | M | 71 | 25 | 115.1 | 3 | immediate | none |
| Lloyd et al., 2020 [32] | R | 10 | 7:M 3:F | 62 | 25 | 81.4 | 6 | within 2 w | 2 pts: Mild pneumonitis |
| Gianni et al., 2020 [33] | P | 5 | 5:M | 63 | 25 | 143 | 12 | within 6 m | Two died of heart failure |
| Nauducci et al., 2020 [34] | R | 1 | M | 60 | 25 | 303 | 3 | immediate | none |
| Chin et al., 2021 [35] | R | 8 | 8:M | 75 | 22.2 | 121.4 | 8 | 3 m | none |
| Carbucicchio et al., 2021 [36] | phase Ib/II study | 7 | 7:M | 70 | 25 | 183 | 8 | 3 m | none |
| Quian et al., 2021 [37] | R | 6 | 6:M | 72 | 25 | 319 | 7.7 | 6 m | 3 patients died of heart failure |
| Ho et al., 2021 [38] | R | 6 | 6:M | 74 | 25 | 120.3 | 6 | n.r. | 1 pt: pericardial effusion 1 y later |
| Kautzner et al., 2021 [39] | R | 3 | M | 58 | 25 | 61.3 | 3 | immediate | 1 pt: myocardial infarction 1 pt: severe bleeding |
| Molon et al., 2021 [40] | Phase I study | 6 | 5:M 1:F | 75 | 25 | n.r. | 2–12 m | immediate | 2 pt: VT recurrence 1 pt: died of heart failure |
| Present study | R | 1 | M | 81 | 25 | 122.5 | 6 | immediate | none |
Publisher’s Note: MDPI stays neutral with regard to jurisdictional claims in published maps and institutional affiliations. |
© 2022 by the authors. Licensee MDPI, Basel, Switzerland. This article is an open access article distributed under the terms and conditions of the Creative Commons Attribution (CC BY) license (https://creativecommons.org/licenses/by/4.0/).
Share and Cite
Cozzi, S.; Bottoni, N.; Botti, A.; Trojani, V.; Alì, E.; Finocchi Ghersi, S.; Cremaschi, F.; Iori, F.; Ciammella, P.; Iori, M.; et al. The Use of Cardiac Stereotactic Radiation Therapy (SBRT) to Manage Ventricular Tachycardia: A Case Report, Review of the Literature and Technical Notes. J. Pers. Med. 2022, 12, 1783. https://doi.org/10.3390/jpm12111783
Cozzi S, Bottoni N, Botti A, Trojani V, Alì E, Finocchi Ghersi S, Cremaschi F, Iori F, Ciammella P, Iori M, et al. The Use of Cardiac Stereotactic Radiation Therapy (SBRT) to Manage Ventricular Tachycardia: A Case Report, Review of the Literature and Technical Notes. Journal of Personalized Medicine. 2022; 12(11):1783. https://doi.org/10.3390/jpm12111783
Chicago/Turabian StyleCozzi, Salvatore, Nicola Bottoni, Andrea Botti, Valeria Trojani, Emanuele Alì, Sebastiano Finocchi Ghersi, Federica Cremaschi, Federico Iori, Patrizia Ciammella, Mauro Iori, and et al. 2022. "The Use of Cardiac Stereotactic Radiation Therapy (SBRT) to Manage Ventricular Tachycardia: A Case Report, Review of the Literature and Technical Notes" Journal of Personalized Medicine 12, no. 11: 1783. https://doi.org/10.3390/jpm12111783
APA StyleCozzi, S., Bottoni, N., Botti, A., Trojani, V., Alì, E., Finocchi Ghersi, S., Cremaschi, F., Iori, F., Ciammella, P., Iori, M., & Iotti, C. (2022). The Use of Cardiac Stereotactic Radiation Therapy (SBRT) to Manage Ventricular Tachycardia: A Case Report, Review of the Literature and Technical Notes. Journal of Personalized Medicine, 12(11), 1783. https://doi.org/10.3390/jpm12111783

