Clinical Application of Ultra-High-Frequency Ultrasound
Abstract
1. Introduction
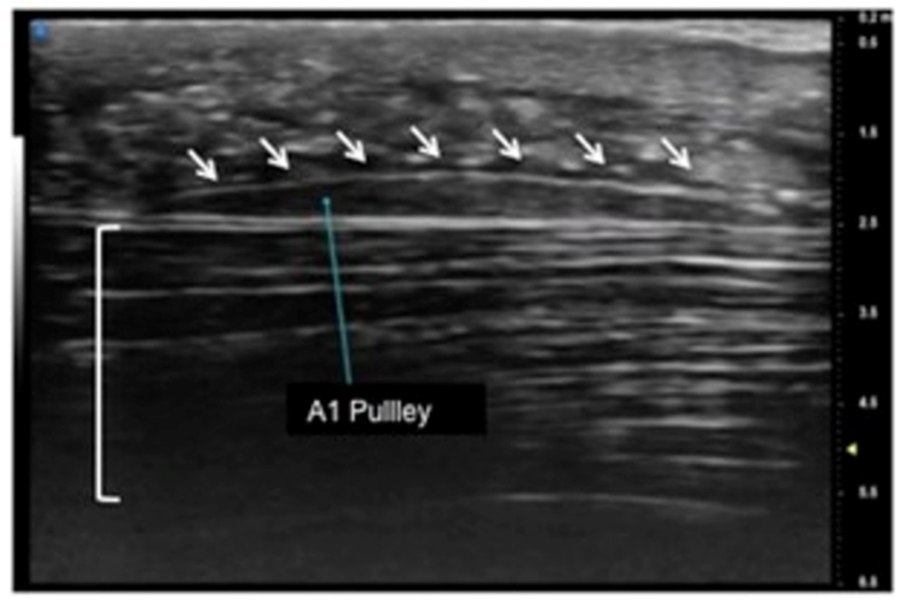
2. Tendons
3. Small Joints
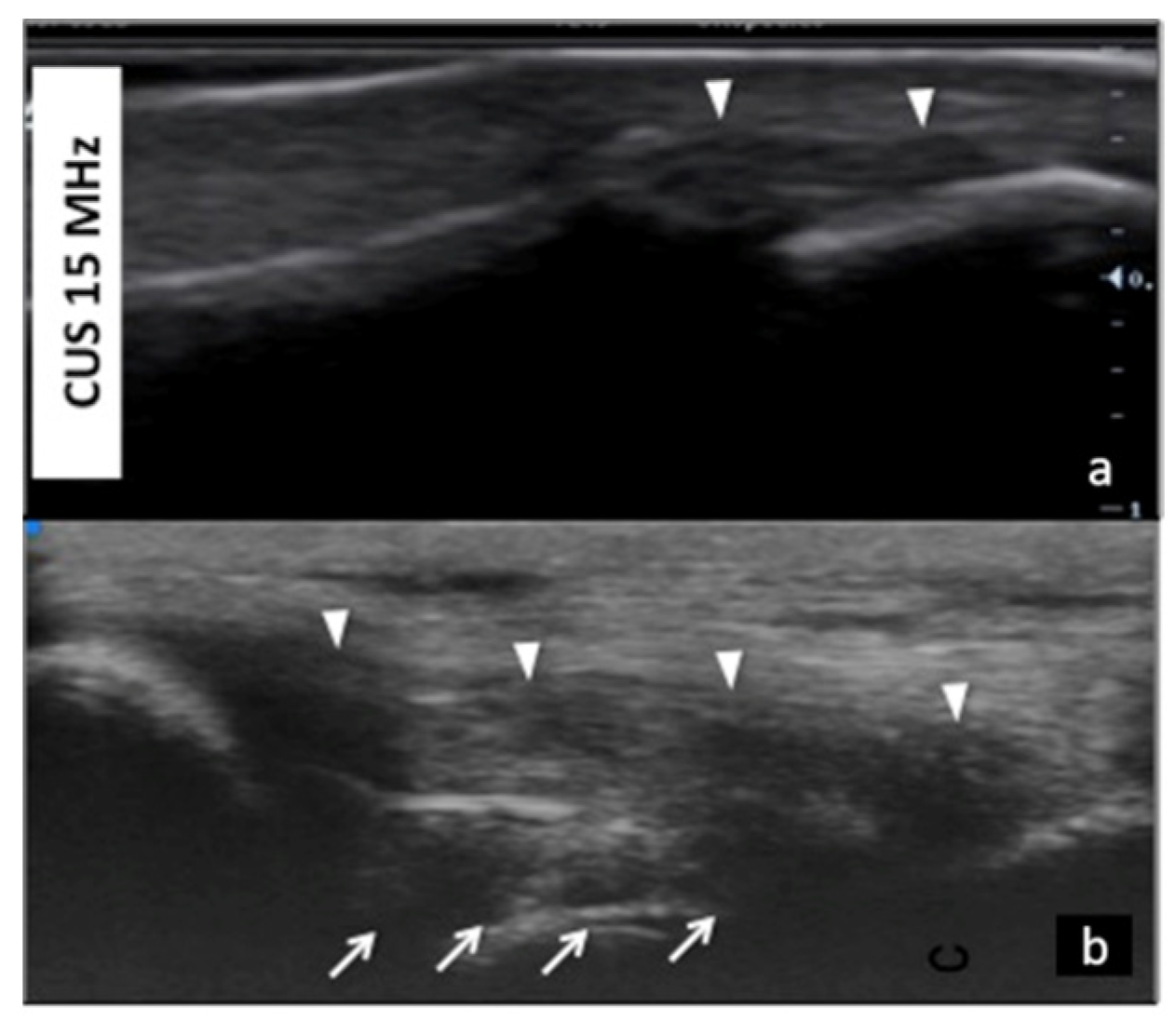
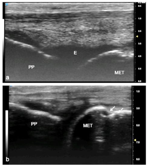
Collateral Digital Ligaments
4. Nerves
5. Soft-Tissue Masses
6. Conclusions
Author Contributions
Funding
Institutional Review Board Statement
Informed Consent Statement
Data Availability Statement
Conflicts of Interest
References
- Izzetti, R.; Vitali, S.; Aringhieri, G.; Nisi, M.; Oranges, T.; Dini, V.; Ferro, F.; Baldini, C.; Romanelli, M.; Caramella, D.; et al. Ultra-High Frequency Ultrasound, A Promising Diagnostic Technique: Review of the Literature and Single-Center Experience. Can. Assoc. Radiol. J. 2020, 72, 418–431. [Google Scholar] [CrossRef] [PubMed]
- Pierfelice, T.J.; Gaiano, N. Ultrasound-Guided Microinjection into the Mouse Forebrain In Utero at E9.5. J. Vis. Exp. 2010, 45, e2047. [Google Scholar] [CrossRef] [PubMed]
- Foster, F.S. Micro-ultrasound for precli- nical imaging. Interface Focus 2011, 1, 576–601. [Google Scholar] [CrossRef] [PubMed]
- Vogt, M.; Knüttel, A.; Hoffmann, K.; Altmeyer, P.; Ermert, H. Comparison of High Frequency Ultrasound and Optical Coherence Tomography as Modalities for High Resolution and Non Invasive Skin Imaging. Vergleich von hochfrequentem Ultraschall und optischer Kohärenztomographie als Modalitäten für die hochauflösende und nichtinvasive Abbildung der Haut. Biomed. Eng./Biomed. Tech. 2003, 48, 116–121. [Google Scholar] [CrossRef]
- Vogt, M.; Ermert, H. In Vivo Ultrasound Biomicroscopy of Skin: Spectral System Characteristics and Inverse Filtering Optimization. IEEE Trans. Ultrason. Ferroelectr. Freq. Control 2007, 54, 1551–1559. [Google Scholar] [CrossRef] [PubMed]
- Alexander, H.; Miller, D.L. Determining Skin Thickness with Pulsed Ultra Sound. J. Investig. Dermatol. 1979, 72, 17–19. [Google Scholar] [CrossRef] [PubMed]
- Visconti, G.; Bianchi, A.; Hayashi, A.; Salgarello, M. Ultra-high frequency ultrasound preoperative planning of the rerouting method for lymphaticovenular anastomosis in incisions devoid of vein. Microsurgery 2020, 40, 717–718. [Google Scholar] [CrossRef]
- Hwang, M.; Piskunowicz, M.; Darge, K. Advanced Ultrasound Techniques for Pediatric Imaging. Pediatrics 2019, 143. [Google Scholar] [CrossRef] [PubMed]
- Bhatta, A.K. Application of high frequency ultra- sound in dermatology. Discov. Med. 2018, 26, 237–242. [Google Scholar] [PubMed]
- Polańska, A.; Dańczak-Pazdrowska, A.; Jałowska, M.; Żaba, R.; Adamski, Z. Current applications of high-frequency ultrasonography in dermatology. Adv. Dermatol. Allergol. 2017, 34, 535–542. [Google Scholar] [CrossRef]
- Shung, K.K. High Frequency Ultrasonic Imaging. J. Med. Ultrasound 2009, 17, 25–30. [Google Scholar] [CrossRef]
- Berritto, D.; Iacobellis, F.; Rossi, C.; Reginelli, A.; Cappabianca, S.; Grassi, R. Ultra high-frequency ultrasound: New capabilities for nail anatomy exploration. J. Dermatol. 2017, 44, 43–46. [Google Scholar] [CrossRef] [PubMed]
- Wortsman, X.; Carreño, L.; Ms, C.F.-W.; Ms, R.P.; Pizarro, K.; Morales, C.; Calderon, P.; Castro, A. Ultrasound Characteristics of the Hair Follicles and Tracts, Sebaceous Glands, Montgomery Glands, Apocrine Glands, and Arrector Pili Muscles. J. Ultrasound Med. 2019, 38, 1995–2004. [Google Scholar] [CrossRef] [PubMed]
- Reginelli, A.; Belfiore, M.P.; Russo, A.; Turriziani, F.; Moscarella, E.; Troiani, T.; Brancaccio, G.; Ronchi, A.; Giunta, E.F.; Sica, A.; et al. A Preliminary Study for Quantitative Assessment with HFUS (High- Frequency Ultrasound) of Nodular Skin Melanoma Breslow Thickness in Adults Before Surgery: Interdisciplinary Team Experience. Curr. Radiopharm. 2020, 13, 48–55. [Google Scholar] [CrossRef] [PubMed]
- Hayashi, A.; Visconti, G. Intraoperative imaging of lymphatic vessel using ultra high-frequency ultrasound. J. Plast. Reconstr. Aesthet. Surg. 2018, 71, 778–780. [Google Scholar] [CrossRef] [PubMed]
- Hayashi, A.; Giacalone, G.; Yamamoto, T.; Belva, F.; Visconti, G.; Hayashi, N.; Handa, M.; Yoshimatsu, H.; Salgarello, M. Ultra High-frequency Ultrasonographic Imaging with 70 MHz Scanner for Visualization of the Lymphatic Vessels. Plast. Reconstr. Surg. Glob. Open 2019, 7, e2086. [Google Scholar] [CrossRef] [PubMed]
- Bobadilla, F. Pre-surgical high resolution ultrasound of facial basal cell carcinoma: Correlation with histology. Cancer Imaging 2008, 8, 163–172. [Google Scholar] [CrossRef] [PubMed]
- Izzetti, R.; Vitali, S.; Aringhieri, G.; Oranges, T.; Dini, V.; Nisi, M.; Graziani, F.; Gabriele, M.; Caramella, D. Discovering a new anatomy: Exploration of oral mucosa with ultra-high frequency ultrasound. Dentomaxillofacial Radiol. 2020, 49, 20190318. [Google Scholar] [CrossRef]
- Izzetti, R.; Vitali, S.; Aringhieri, G.; Caramella, D.; Nisi, M.; Oranges, T.; Dini, V.; Graziani, F.; Gabriele, M. The efficacy of Ultra-High Frequency Ultrasonography in the diagnosis of intraoral lesions. Oral Surg. Oral Med. Oral Pathol. Oral Radiol. 2020, 129, 401–410. [Google Scholar] [CrossRef]
- Izzetti, R.; Vitali, S.; Oranges, T.; Dini, V.; Romanelli, M.; Caramella, D.; Gabriele, M. Intraoral Ultra-High Frequency Ultrasound study of oral lichen planus: A pictorial review. Ski. Res. Technol. 2020, 26, 200–204. [Google Scholar] [CrossRef]
- Izzetti, R.; Vitali, S.; Gabriele, M.; Caramella, D. Feasibility of a combination of intraoral UHFUS and CBCT in the study of peri-implantitis. Oral Surg. Oral Med. Oral Pathol. Oral Radiol. 2019, 127, e89–e94. [Google Scholar] [CrossRef]
- Chianca, V.; Orlandi, D.; Messina, C.; Albano, D.; Corazza, A.; Rapisarda, S.; Pozzi, G.; Cazzato, R.L.; Mauri, G.; Silvestri, E.; et al. Interventional therapeutic procedures to treat degenerative and inflammatory musculoskeletal conditions: State of the art. La Radiol. Med. 2019, 124, 1112–1120. [Google Scholar] [CrossRef] [PubMed]
- Salerno, S.; Laghi, A.; Cantone, M.-C.; Sartori, P.; Pinto, A.; Frija, G. Overdiagnosis and overimaging: An ethical issue for radiological protection. La Radiol. Med. 2019, 124, 714–720. [Google Scholar] [CrossRef] [PubMed]
- Rossi, F.; Romano, N.; Muda, A.; Martinoli, C.; Tagliafico, A. Wrist and Hand Ultrasound: Reliability of Side-to-Side Comparisons of Very Small (<2-mm) Clinically Relevant Anatomic Structures. J. Ultrasound Med. 2018, 37, 2785–2795. [Google Scholar] [CrossRef]
- Albano, D.; Aringhieri, G.; Messina, C.; De Flaviis, L.; Sconfienza, L.M. High-Frequency and Ultra-High Frequency Ultrasound: Musculoskeletal Imaging up to 70 MHz. Semin. Musculoskelet. Radiol. 2020, 24, 125–134. [Google Scholar] [CrossRef] [PubMed]
- Sconfienza, L.M.; Albano, D.; Allen, G.; Bazzocchi, A.; Bignotti, B.; Chianca, V.; de Castro, F.F.; Drakonaki, E.E.; Gallardo, E.; Gielen, J.; et al. Clinical indications for musculoskeletal ultrasound updated in 2017 by European Society of Musculoskeletal Radiology (ESSR) consensus. Eur. Radiol. 2018, 28, 5338–5351. [Google Scholar] [CrossRef] [PubMed]
- Li, H.; Allen, J.C.; Thumboo, J.; Tan, Y.K. Receiver operating characteristic analysis of ultrasound joint inflammation in relation to structural damage and disease activity in rheumatoid arthritis. La Radiol. Med. 2019, 124, 1037–1042. [Google Scholar] [CrossRef]
- Salaffi, F.; Carotti, M.; Barile, A. Musculoskeletal imaging of the inflammatory and degenerative joints: Current status and perspectives. La Radiol. Med. 2019, 124, 1067–1070. [Google Scholar] [CrossRef] [PubMed]
- Wang, M.-Y.; Wang, X.-B.; Sun, X.-H.; Liu, F.-L.; Huang, S.-C. Diagnostic value of high-frequency ultrasound and magnetic resonance imaging in early rheumatoid arthritis. Exp. Ther. Med. 2016, 12, 3035–3040. [Google Scholar] [CrossRef][Green Version]
- Filippucci, E.; Cipolletta, E.; Mirza, R.M.; Carotti, M.; Giovagnoni, A.; Salaffi, F.; Tardella, M.; Di Matteo, A.; Di Carlo, M. Ultrasound imaging in rheumatoid arthritis. La Radiol. Med. 2019, 124, 1087–1100. [Google Scholar] [CrossRef]
- Ohrndorf, S.; Backhaus, M. Musculoskeletal ultrasonography in patients with rheumatoid arthritis. Nat. Rev. Rheumatol. 2013, 9, 433–437. [Google Scholar] [CrossRef] [PubMed]
- Hartung, W.; Backhaus, M. Joint sonography in rheumatology. Z. Rheumatol. 2013, 72, 791–803. [Google Scholar] [CrossRef] [PubMed]
- Arend, C.F. Ultrasonography in rheumatoid arthritis: What rheumatologists should know. Rev. Bras. De Reum. 2013, 53, 88–100. [Google Scholar] [CrossRef]
- Gelse, K.; Olk, A.; Eichhorn, S.; Swoboda, B.; Schoene, M.; Raum, K. Quantitative ultrasound biomicroscopy for the analysis of healthy and repair cartilage tissue. Eur. Cells Mater. 2010, 19, 58–71. [Google Scholar] [CrossRef]
- Kang, T.; Emery, P.; Wakefield, R.J. A brief history of ultrasound in rheumatology: Where we are now. Clin. Exp. Rheumatol. 2014, 32, S7–S11. [Google Scholar]
- Girish, G. Imaging appearances in gout. Arthritis 2013, 2013, 673401. [Google Scholar] [CrossRef]
- Filippou, G.; Adinolfi, A.; A Cimmino, M.; A Scirè, C.; Carta, S.; Lorenzini, S.; Santoro, P.; Sconfienza, L.M.; Bertoldi, I.; Picerno, V.; et al. Diagnostic accuracy of ultrasound, conventional radiography and synovial fluid analysis in the diagnosis of calcium pyrophosphate dihydrate crystal deposition disease. Clin. Exp. Rheumatol. 2016, 34, 254–260. [Google Scholar]
- Filippou, G. Ultrasound in the diagnosis of calcium pyrophosphate dihydrate deposition dis- ease. A systematic literature review and a meta-analysis. Osteoarthr. Cartil. 2016, 24, 973–981. [Google Scholar] [CrossRef]
- Zappia, M.; Maggialetti, N.; Natella, R.; Reginelli, A.; Bruno, F.; Di Pietto, F.; Brunese, L. Diagnostic imaging: Pitfalls in rheumatology. La Radiol. Med. 2019, 124, 1167–1174. [Google Scholar] [CrossRef]
- Cannaò, P.M.; Vinci, V.; Caviggioli, F.; Klinger, M.; Orlandi, D.; Sardanelli, F.; Serafini, G.; Sconfienza, L.M. Technical feasibility of real-time elastography to assess the peri-oral region in patients affected by systemic sclerosis. J. Ultrasound 2014, 17, 265–269. [Google Scholar] [CrossRef]
- Stokvis, A.; Van Neck, J.W.; Van Dijke, C.F.; Van Wamel, A.; Coert, J.H. High-resolution ultrasonography of the cutaneous nerve branches in the hand and wrist. J. Hand Surg. 2009, 34, 766–771. [Google Scholar] [CrossRef] [PubMed]
- Cartwright, M.S.; Baute, V.; Caress, J.B.; Walker, F.O. Ultrahigh-frequency ultrasound of fascicles in the median nerve at the wrist. Muscle Nerve 2017, 56, 819–822. [Google Scholar] [CrossRef] [PubMed]
- Forte, A.J.; Boczar, D. Ultra-high- frequency ultrasound to assess nerve fascicles in median nerve traumatic neuroma. Cureus 2019, 11, e4871. [Google Scholar] [CrossRef] [PubMed]
- Yuk, J.I.; Walker, F.O.; Cartwright, M.S. Ultrasonography of peripheral nerves. Curr. Neurol. Neurosci. Rep. 2013, 13, 328. [Google Scholar]
- Tagliafico, A.S. Peripheral nerve imaging: Not only cross-sectional area. World J. Radiol. 2016, 8, 726–728. [Google Scholar] [CrossRef]
- Martinoli, C.; Schenone, A.; Bianchi, S.; Mandich, P.; Caponetto, C.; Abbruzzese, M.; Derchi, L.E. Sonography of the Median Nerve in Charcot-Marie-Tooth Disease. Am. J. Roentgenol. 2002, 178, 1553–1556. [Google Scholar] [CrossRef]
- Regensburger, A.P.; Wagner, A.L.; Hanslik, G.; Schüssler, S.C.; Fahlbusch, F.B.; Woelfle, J.; Jüngert, J.; Trollmann, R.; Knieling, F. Ultra–high-frequency ultrasound in patients with spinal muscular atrophy: A retrospective feasibility study. Muscle Nerve 2020, 61, E18–E21. [Google Scholar] [CrossRef] [PubMed]
- Puma, A.; Azulay, N.; Grecu, N.; Suply, C.; Panicucci, E.; Cambieri, C.; Villa, L.; Raffaelli, C.; Sacconi, S. Comparison of high-frequency and ultrahigh-frequency probes in chronic inflammatory demyelinating polyneuropathy. J. Neurol. 2019, 266, 2277–2285. [Google Scholar] [CrossRef] [PubMed]
- Piccolo, C.L.; Galluzzo, M.; Ianniello, S.; Trinci, M.; Russo, A.; Rossi, E.; Zeccolini, M.; Laporta, A.; Guglielmi, G.; Miele, V. Pediatric musculoskeletal injuries: Role of ultrasound and magnetic resonance imaging. Musculoskelet. Surg. 2017, 101, 85–102. [Google Scholar] [CrossRef]
- Aringhieri, G.; Vitali, S.; Rossi, P.; Caramella, D. The new frontier of imaging: The micron. Clin. Exp. Rheumatol. 2018, 36, 169. [Google Scholar]
- Viviano, S.L.; Chandler, L.K.; Keith, J.D. Ultrahigh Frequency Ultrasound Imaging of the Hand: A New Diagnostic Tool for Hand Surgery. Hand 2018, 13, 720–725. [Google Scholar] [CrossRef] [PubMed]
- Boczar, D.; Forte, A.J.; Serrano, L.P.; Trigg, S.D.; Clendenen, S.R. Use of Ultra-high-frequency Ultrasound on Diagnosis and Management of Lipofibromatous Hamartoma: A Technical Report. Cureus 2019, 11, e5808. [Google Scholar] [CrossRef] [PubMed]
- Smeraglia, F.; Berritto, D.; Basso, M.A.; Mosillo, G.; Grassi, R.; Mariconda, M. Percutaneous Radiofrequency Ablation of the Posterior and Anterior Interosseous Nerves for Chronic Wrist Pain. Tech. Hand Up. Extrem. Surg. 2020. [Google Scholar] [CrossRef] [PubMed]
- Sconfienza, L.M.; Adriaensen, M.; Albano, D.; Gómez, M.P.A.; Bazzocchi, A.; Beggs, I.; Bignotti, B.; Chianca, V.; Corazza, A.; Dalili, D.; et al. Clinical indications for image-guided interventional procedures in the musculoskeletal system: A Delphi-based consensus paper from the European Society of Musculoskeletal Radiology (ESSR)—Part II, elbow and wrist. Eur. Radiol. 2019, 30, 2220–2230. [Google Scholar] [CrossRef]
- Arrigoni, F.; Bruno, F.; Zugaro, L.; Splendiani, A.; Di Cesare, E.; Barile, A.; Masciocchi, C. Role of interventional radiology in the management of musculoskeletal soft-tissue lesions. La Radiol. Med. 2019, 124, 253–258. [Google Scholar] [CrossRef] [PubMed]
- Vandhuick, O.; Forlodou, P.; Quintin, I.; Le Nen, D.; Guias, B.; Bressollette, L. Tumeur glomique du DOIGT. J. Des Mal. Vasc. 2005, 30, 235–236. [Google Scholar] [CrossRef]












Publisher’s Note: MDPI stays neutral with regard to jurisdictional claims in published maps and institutional affiliations. |
© 2022 by the authors. Licensee MDPI, Basel, Switzerland. This article is an open access article distributed under the terms and conditions of the Creative Commons Attribution (CC BY) license (https://creativecommons.org/licenses/by/4.0/).
Share and Cite
Russo, A.; Reginelli, A.; Lacasella, G.V.; Grassi, E.; Karaboue, M.A.A.; Quarto, T.; Busetto, G.M.; Aliprandi, A.; Grassi, R.; Berritto, D. Clinical Application of Ultra-High-Frequency Ultrasound. J. Pers. Med. 2022, 12, 1733. https://doi.org/10.3390/jpm12101733
Russo A, Reginelli A, Lacasella GV, Grassi E, Karaboue MAA, Quarto T, Busetto GM, Aliprandi A, Grassi R, Berritto D. Clinical Application of Ultra-High-Frequency Ultrasound. Journal of Personalized Medicine. 2022; 12(10):1733. https://doi.org/10.3390/jpm12101733
Chicago/Turabian StyleRusso, Anna, Alfonso Reginelli, Giorgia Viola Lacasella, Enrico Grassi, Michele Ahmed Antonio Karaboue, Tiziana Quarto, Gian Maria Busetto, Alberto Aliprandi, Roberta Grassi, and Daniela Berritto. 2022. "Clinical Application of Ultra-High-Frequency Ultrasound" Journal of Personalized Medicine 12, no. 10: 1733. https://doi.org/10.3390/jpm12101733
APA StyleRusso, A., Reginelli, A., Lacasella, G. V., Grassi, E., Karaboue, M. A. A., Quarto, T., Busetto, G. M., Aliprandi, A., Grassi, R., & Berritto, D. (2022). Clinical Application of Ultra-High-Frequency Ultrasound. Journal of Personalized Medicine, 12(10), 1733. https://doi.org/10.3390/jpm12101733

