All About Multiparametric MRI Evaluation in Biliary Tree Complications After Liver Transplant
Abstract
1. Introduction
2. Materials and Methods
3. Results
3.1. Pre-Existing Liver Disease
3.2. Liver Transplant Surgical Technique
3.3. Biliary Complications After LT
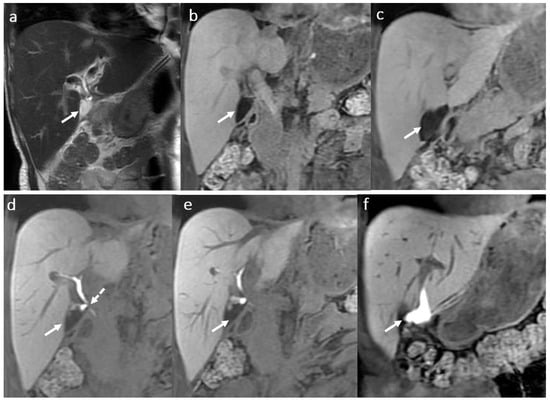
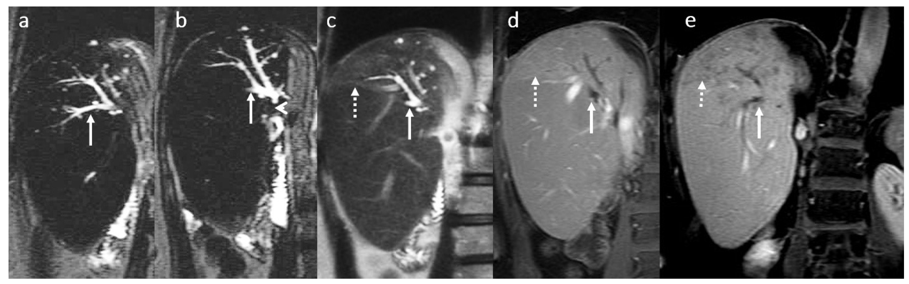
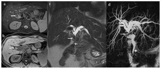
3.4. Biliary Anastomotic Stricture
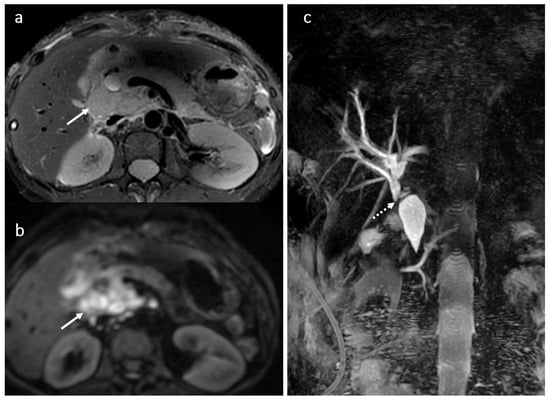
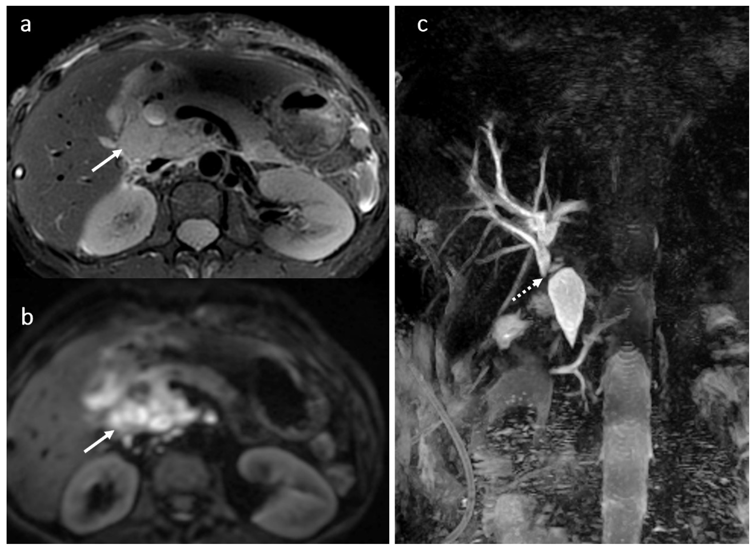
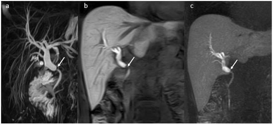
3.5. Biloma and Bile Leaks
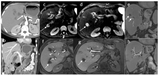
3.6. Secondary Cholangitis
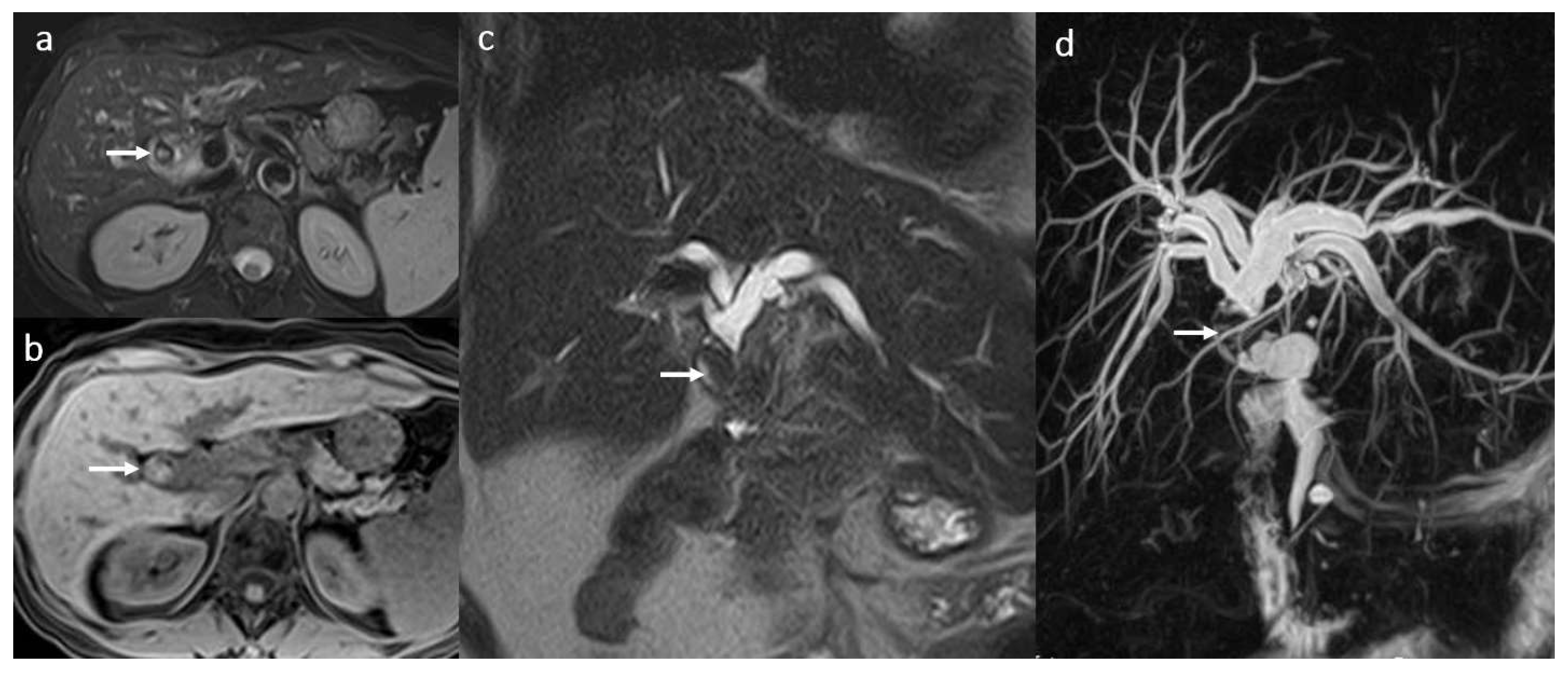
3.7. BT Lithiasis
3.8. Primary Sclerosing Cholangitis
3.9. Other Changes
4. Discussion
- -
- Indication: the clinical suspicion of the BT complication.
- -
- MRI technique and, if necessary, the type and dose of the contrast material used.
- -
- MRI findings:
- ◦
- Bile ducts.
- ▪
- Intrahepatic bile ducts dilatation: yes/no and degree of dilatation: mild/moderate/severe.
- •
- Diffuse.
- •
- Focal.
- ▪
- Aspect and number of strictures: short/ long, unique/multiple.
- ▪
- Aspects of the bd content (homogenous/ heterogenous, diffuse/focal) presence of lacunar images suggestive for lithiasis.
- ▪
- Aspects of the walls (thickening: yes/no, uniform/asymmetric, regular, irregular), presence of enhancement (acute inflammation).
- ◦
- Biliary anastomotic stricture: yes/no and aspect: symmetrical /asymmetrical thickening.
- ◦
- Biliary fistula: yes/no.
- ▪
- Location of the fistula.
- ◦
- Liver parenchymal aspects.
- ▪
- Steatosis/ hemochromatosis/ fibrosis.
- ▪
- Focal liver lesion(s).
- •
- Tumoral.
- •
- Inflammatory.
- •
- Vascular.
- ◦
- Functional liver data in HBP.
- ◦
- Other findings:
- ▪
- Free fluid in the abdominal cavity.
- ▪
- Adenopathies.
- ▪
- Other intraabdominal lesions.
- -
- Conclusion: Type of biliary complication and recommendation for future management.
5. Conclusions
Author Contributions
Funding
Institutional Review Board Statement
Informed Consent Statement
Data Availability Statement
Conflicts of Interest
Abbreviations
| LT | Liver transplant |
| BT | Biliary tree |
| PSC | Primary sclerosing cholangitis |
| MRI | Magnetic resonance imaging |
| MPMRI | Multiparametric magnetic resonance imaging |
| ERCP | Endoscopic retrograde cholangiopancreatography |
| MRCP | Magnetic resonance cholangiopancreatography |
| DWI | Diffusion weighted imaging |
| HPB | Hepatobiliary phase |
| HSCM | Hepatospecific contrast material |
| PTLD | Posttransplant lymphoproliferative disorders |
| OLT | orthotopic liver transplant |
| LDLT | living donor liver transplant |
| GD-EOB-DTPA | Gadoxetic acid |
| Gd-BOPTA | Gadobenate dimeglumine |
References
- Vernuccio, F.; Mercante, I.; Tong, X.X.; Crimì, F.; Cillo, U.; Quaia, E. Biliary complications after liver transplantation: A computed tomography and magnetic resonance imaging pictorial review. World J. Gastroenterol. 2023, 29, 3257–3268. [Google Scholar] [CrossRef] [PubMed]
- Daniel, K.; Said, A. Early Biliary complications after liver transplantation. Clin. Liver Dis. 2017, 10, 63. [Google Scholar] [CrossRef] [PubMed]
- Rönning, J.; Berglund, E.; Arnelo, U.; Ericzon, B.G.; Nowak, G. Long-term Outcome of Endoscopic and Percutaneous Transhepatic Approaches for Biliary Complications in Liver Transplant Recipients. Transplant. Direct 2019, 5, e432. [Google Scholar] [CrossRef] [PubMed]
- Lemmers, A.; Pezzullo, M.; Hadefi, A.; Dept, S.; Germanova, D.; Gustot, T.; Degré, D.; Boon, N.; Moreno, C.; Blero, D.; et al. Biliary cast syndrome after liver transplantation: A cholangiographic evolution study. J. Gastroenterol. Hepatol. 2021, 36, 1366–1377. [Google Scholar] [CrossRef]
- Di Martino, M.; Rossi, M.; Mennini, G.; Melandro, F.; Anzidei, M.; De Vizio, S.; Koryukova, K.; Catalano, C. Imaging follow-up after liver transplantation. Br. J. Radiol. 2016, 89, 20151025. [Google Scholar] [CrossRef]
- Pellerito, J.S.; Polak, J.F. Introduction to Vascular Ultrasonography E-Book; Elsevier Health Sciences; Elsevier: Amsterdam, The Netherlands, 2019; p. 883. [Google Scholar]
- García-Criado, Á.; Gilabert, R.; Berzigotti, A.; Brú, C. Doppler Ultrasound Findings in the Hepatic Artery Shortly After Liver Transplantation. Am. J. Roentgenol. 2009, 193, 128–135. [Google Scholar] [CrossRef]
- Kimura, Y.; Tapia Sosa, R.; Soto-Trujillo, D.; Kimura Sandoval, Y.; Casian, C. Liver Transplant Complications Radiologist Can’t Miss. Cureus 2020, 12, e8465. [Google Scholar] [CrossRef]
- Singh, A.K.; Nachiappan, A.C.; Verma, H.A.; Uppot, R.N.; Blake, M.A.; Saini, S.; Boland, G.W. Postoperative Imaging in Liver Transplantation: What Radiologists Should Know. RadioGraphics 2010, 30, 339–351. [Google Scholar] [CrossRef]
- Caiado, A.H.M.; Blasbalg, R.; Marcelino, A.S.Z.; da Cunha Pinho, M.; Chammas, M.C.; da Costa Leite, C.; Cerri, G.G.; de Oliveira, A.C.; Bacchella, T.; Machado, M.C.C. Complications of Liver Transplantation: Multimodality Imaging Approach. RadioGraphics 2007, 27, 1401–1417. [Google Scholar] [CrossRef]
- Lisotti, A.; Fusaroli, P.; Caletti, G. Role of endoscopy in the conservative management of biliary complications after deceased donor liver transplantation. World J. Hepatol. 2015, 7, 2927–2932. [Google Scholar] [CrossRef]
- Law, W.; Swensson, J.; Mayhew, M.; Zaydfudim, V.; Khot, R. Imaging and management of complications post biliary-enteric anastomosis. Abdom. Radiol. 2025, 50, 3036–3048. [Google Scholar] [CrossRef]
- Lim, C.J.; Hong, K.; Lee, J.M.; Han, E.; Hong, S.; Choi, Y.; Yi, N.-J.; Lee, K.-W.; Suh, K.-S. Clinical usefulness of T1-weighted MR cholangiography with Gd-EOB-DTPA for the evaluation of biliary complication after liver transplantation. Ann. Hepato-Biliary-Pancreat. Surg. 2021, 25, 39–45. [Google Scholar] [CrossRef]
- Bofill, A.; Cárdenas, A. A practical approach to the endoscopic management of biliary strictures after liver transplantation. Ann. Hepatol. 2024, 29, 101186. [Google Scholar] [CrossRef] [PubMed]
- Magro, B.; Tacelli, M.; Mazzola, A.; Conti, F.; Celsa, C. Biliary complications after liver transplantation: Current perspectives and future strategies. Hepatobiliary Surg. Nutr. 2021, 10, 762–792. [Google Scholar] [CrossRef] [PubMed]
- Boraschi, P.; Donati, F.; Gigoni, R.; Volpi, A.; Salemi, S.; Filipponi, F.; Falaschi, F. MR cholangiography in orthotopic liver transplantation: Sensitivity and specificity in detecting biliary complications. Clin. Transplant. 2010, 24, E82–E87. [Google Scholar] [CrossRef] [PubMed]
- Boraschi, P.; Donati, F.; Pacciardi, F.; Ghinolfi, D.; Falaschi, F. Biliary complications after liver transplantation: Assessment with MR cholangiopancreatography and MR imaging at 3T device. Eur. J. Radiol. 2018, 106, 46–55. [Google Scholar] [CrossRef]
- Wang, C.K.; Cheng, Y.F.; Chen, C.L.; Ou, H.Y. Imaging Diagnosis of Biliary Complications of ABO Incompatibility in Living Donor Liver Transplantation. Transplant. Proc. 2020, 52, 1833–1837. [Google Scholar] [CrossRef]
- Thomaides-Brears, H.; Lepe, R.; Banerjee, R.; Duncker, C. Multiparametric MR mapping in clinical decision-making for diffuse liver disease. Abdom. Radiol. 2020, 45, 3507–3522. [Google Scholar] [CrossRef]
- Miller, C.; Diago Uso, T. The liver transplant operation. Clin. Liver Dis. 2013, 2, 192–196. [Google Scholar] [CrossRef]
- Scatton, O.; Meunier, B.; Cherqui, D.; Boillot, O.; Sauvanet, A.; Boudjema, K.; Launois, B.; Fagniez, P.L.; Belghiti, J.; Wolff, P.; et al. Randomized Trial of Choledochocholedochostomy with or Without a T Tube in Orthotopic Liver Transplantation. Ann. Surg. 2001, 233, 432. [Google Scholar] [CrossRef]
- McElroy, L.M.; Daud, A.; Davis, A.E.; Lapin, B.; Baker, T.; Abecassis, M.M.; Levitsky, J.; Holl, J.L.; Ladner, D.P. A meta-analysis of complications following deceased donor liver transplant. Am. J. Surg. 2014, 208, 605–618. [Google Scholar] [CrossRef] [PubMed]
- Polak, W.G.; Porte, R.J. the Sequence of Revascularization in Liver Transplantation: It Does Make A Difference. Liver Transplant. 2006, 12, 1566. [Google Scholar] [CrossRef] [PubMed]
- Iorio, P.; Vanderbecq, Q.; Mouhadi, S.; Arrivé, L. Imaging of the biliary tract. Curr. Opin. Gastroenterol. 2023, 39, 59–66. [Google Scholar] [CrossRef] [PubMed]
- Li, J.; Yu, Y.; Zhu, L.; Li, Y.; He, Q. Magnetic Resonance Imaging versus Computed Tomography for Biliary Tract Intraductal Papillary Mucinous Neoplasm (BT-IPMN): A Diagnostic Performance Analysis. Med. Sci. Monit. Int. Med. J. Exp. Clin. Res. 2020, 26, e920952-1–e920952-9. [Google Scholar] [CrossRef]
- Donato, H.; França, M.; Candelária, I.; Caseiro-Alves, F. Liver MRI: From basic protocol to advanced techniques. Eur. J. Radiol. 2017, 93, 30–39. [Google Scholar] [CrossRef]
- Palmucci, S.; Roccasalva, F.; Piccoli, M.; Fuccio Sanzà, G.; Foti, P.V.; Ragozzino, A.; Milone, P.; Ettorre, G.C. Contrast-Enhanced Magnetic Resonance Cholangiography: Practical Tips and Clinical Indications for Biliary Disease Management. Gastroenterol. Res. Pr. 2017, 2017, 2403012. [Google Scholar] [CrossRef]
- Dai, H.; Yan, C.; Jia, X.; Xiao, Y.; Liang, X.; Yang, C.; Liu, K.; Zeng, M. Comparative evaluation of non-contrast MRI versus gadoxetic acid-enhanced abbreviated protocols in detecting colorectal liver metastases. Insights Imaging 2025, 16, 3. [Google Scholar] [CrossRef]
- Ronot, M.; Nahon, P.; Rimola, J. Screening of liver cancer with abbreviated MRI. Hepatology 2023, 78, 670–686. [Google Scholar] [CrossRef]
- An, J.Y.; Peña, M.A.; Cunha, G.M.; Booker, M.T.; Taouli, B.; Yokoo, T.; Sirlin, C.B.; Fowler, K.J. Abbreviated MRI for Hepatocellular Carcinoma Screening and Surveillance. Radiographics 2020, 40, 1916–1931. [Google Scholar] [CrossRef]
- Samuel, D.; Martin, E.D.; Berg, T.; Berenguer, M.; Burra, P.; Fondevila, C.; Heimbach, J.K.; Pageaux, G.-P.; Sanchez-Fueyo, A.; Toso, C. EASL Clinical Practice Guidelines on liver transplantation. J. Hepatol. 2024, 81, 1040–1086. [Google Scholar] [CrossRef]
- European Association for the Study of the Liver. EASL Clinical Practice Guidelines: Management of hepatocellular carcinoma. J. Hepatol. 2018, 69, 182–236. [Google Scholar] [CrossRef]
- Katz, L.H.; Benjaminov, O.; Belinki, A.; Geler, A.; Braun, M.; Knizhnik, M.; Aizner, S.; Shaharabani, E.; Sulkes, J.; Shabtai, E.; et al. Magnetic resonance cholangiopancreatography for the accurate diagnosis of biliary complications after liver transplantation: Comparison with endoscopic retrograde cholangiography and percutaneous transhepatic cholangiography - long-term follow-up. Clin. Transpl. 2010, 24, E163–E169. [Google Scholar] [CrossRef] [PubMed]
- Ethiraju, V.; Arunachalam, V.K.; Vijayaragavan, P.; Poyyamoli, S.; Kumar, R.; Rajasekaran, S.; Mahadevan, G.S.; Cannane, S.; Arunachalam, P.; Ramasamy, R.; et al. Liver Transplant Complications—A Pictorial Review. Indographics 2023, 2, 1–12. [Google Scholar] [CrossRef]
- Carbone, M.; Della Penna, A.; Mazzarelli, C.; De Martin, E.; Villard, C.; Bergquist, A.; Line, P.D.; Neuberger, J.M.; Al-Shakhshir, S.; Trivedi, P.J.; et al. Liver Transplantation for Primary Sclerosing Cholangitis (PSC) with or Without Inflammatory Bowel Disease (IBD)—A European Society of Organ Transplantation (ESOT) Consensus Statement. Transpl. Int. 2023, 36, 11729. [Google Scholar] [CrossRef] [PubMed]
- Allard, R.; Smith, C.; Zhong, J.; Sheridan, M.; Guthrie, A.; Albazaz, R. Imaging post liver transplantation part II: Biliary complications. Clin. Radiol. 2020, 75, 854–863. [Google Scholar] [CrossRef]
- Esser, H.; de Jong, I.E.M.; Roos, F.M.; Bogensperger, C.; Brunner, S.M.; Cardini, B.; Dutkowski, P.; Eker, H.; Ferreira-Gonzalez, S.; Forbes, S.J.; et al. Consensus classification of biliary complications after liver transplantation: Guidelines from the BileducTx meeting. BJS 2025, 112, znae321. [Google Scholar] [CrossRef]
- Hassouneh, R.; Beran, A.; Rosenheck, M.; Sosio, J.; Olchawa, N.; Kubal, C.; Ghabril, M.; Gromski, M.A. Risk factors for biliary strictures and leaks after living-donor liver transplantation: A systematic review and meta-analysis. J. Gastrointest. Surg. 2024, 28, 1870–1882. [Google Scholar] [CrossRef]
- Liu, B.; Yang, J.; Wu, Y.; Chen, X.; Wu, X. Application of dynamic enhanced scanning with GD-EOB-DTPA MRI based on deep learning algorithm for lesion diagnosis in liver cancer patients. Front. Oncol. 2024, 14, 1423549. [Google Scholar] [CrossRef]
- Cai, L.; Yeh, B.M.; Westphalen, A.C.; Roberts, J.; Wang, Z.J. 3D T2-weighted and Gd-EOB-DTPA-enhanced 3D T1-weighted MR cholangiography for evaluation of biliary anatomy in living liver donors. Abdom. Radiol. 2017, 42, 842–850. [Google Scholar] [CrossRef]
- Frydrychowicz, A.; Lubner, M.G.; Brown, J.J.; Merkle, E.M.; Nagle, S.K.; Rofsky, N.M.; Reeder, S.B. Hepatobiliary MR Imaging with Gadolinium Based Contrast Agents. J. Magn. Reason. Imaging 2012, 35, 492–511. [Google Scholar] [CrossRef]
- Argirò, R.; Sensi, B.; Siragusa, L.; Bellini, L.; Conte, L.E.; Riccetti, C.; Del Vecchio Blanco, G.; Troncone, E.; Floris, R.; Salavracos, M.; et al. Liver-Specific Contrast-Enhanced Magnetic Resonance Cholangio-Pancreatography (Ce-MRCP) in Non-Invasive Diagnosis of Iatrogenic Biliary Leakage. Diagnostics 2023, 13, 1681. [Google Scholar] [CrossRef]
- Marth, A.A.; Auer, T.A.; Walter-Rittel, T.C.; Nevermann, N.; Krenzien, F.; Schmelzle, M.; Müller, T.; Kolck, J.; Wieners, G.; Geisel, D.; et al. Gd-EOB-DTPA-MRCP to localize bile leakage after liver trauma and surgery: Impact on treatment and outcome. Eur. Radiol. 2023, 33, 5933–5942. [Google Scholar] [CrossRef]
- Bozer, A. Hepatobiliary-Specific MRI Contrast Agent Detection of Subvesical Duct (Luschka’s) Injury Post-Laparoscopic Cholecystectomy: A Case Report. J. Belg. Soc. Radiol. 2024, 108, 21. [Google Scholar] [CrossRef]
- Kim, Y.K.; Kim, C.S.; Lee, J.M.; Ko, S.W.; Chung, G.H.; Lee, S.O.; Han, Y.M.; Lee, S.Y. Value of Adding T1-Weighted Image to MR Cholangiopancreatography for Detecting Intrahepatic Biliary Stones. Am. J. Roentgenol. 2006, 187, W267–W274. [Google Scholar] [CrossRef]
- Romagnuolo, J.; Bardou, M.; Rahme, E.; Joseph, L.; Reinhold, C.; Barkun, A.N. Magnetic resonance cholangiopancreatography: A meta-analysis of test performance in suspected biliary disease. Ann. Intern. Med. 2003, 139, 547–557. [Google Scholar] [CrossRef]
- Familiari, L.T. MRCP Vs ERCP: A Comparative Study in Diagnosis of Common Bile Duct Stones. Gastrointest. Endosc. 2004, 59, P198. [Google Scholar] [CrossRef]
- Kumar, A.; Mohanty, N.R.; Mohanty, M.; Dash, S. Comparison of MRCP and ERCP in the evaluation of common bile duct and pancreatic duct pathologies. Front. Med Technol. 2023, 5, 946555. [Google Scholar] [CrossRef]












| MRI Sequences | Plane | Notes |
|---|---|---|
| Localizer (fast T2) | Axial, coronal and sagittal | For proper positioning. |
| T2-weighted (SSFSE short TE) | Coronal, oblique (thin slices) | General morphology, edema, fluid, ductal dilatation. |
| T2-weighted (SSFSE long TE) | Coronal | High sensitivity for bile ducts, bilomas. |
| 3D respiratory-triggered MRCP | Coronal | Projectional images of biliary anatomy, strictures, or leaks. |
| 2D GRE T1 TE in-phase/out-of-phase | Axial | Fat, graft steatosis iron, hemorrhage. |
| 3D T1 FS dynamic contrast enhanced (native, late arterial, portal, and transitional phase) | Axial | Precontrast baseline. Vascular status, ischemia, focal liver lesions characterization. |
| T2-weighted FS | Axial | Fluid, collections, bilomas, abscesses. |
| DWI/ADC | Axial | Infection, abscess, rejection, ischemia, detection, and characterization of focal liver lesion. |
| T2 GRE | Axial | Hemochromatosis, siderotic nodules, calcifications. |
| 3D T1 FS in hepatobiliary phase—20 min post GD-EOB-DTPA (gadoxetic acid) i.v. injection | Axial, coronal | Biliary excretion, anastomotic patency, detection, and characterization of focal liver lesions. |
| 3D T1 FS in late hepatobiliary phase—60+ min post GD-EOB-DTPA (gadoxetic acid) i.v. injection | Axial, coronal | Biliary obstruction with acute cholangitis, liver disfunction, biliary leaks. |
| 3D T1 FS in late hepatobiliary phase—2 h or more post Gd-BOPTA (gadobenate dimeglumine) i.v. injection | Axial coronal | Biliary obstruction with acute cholangitis, liver disfunction, biliary leaks, characterization of focal liver lesions. |
| MRI Sequences | Plane | Notes |
|---|---|---|
| Localizer (fast T2) | Axial, coronal and sagittal | For proper positioning. |
| T2-weighted (short TE) | Coronal ± oblique | General morphology, edema, fluid, ductal dilatation. |
| 3D respiratory-triggered MRCP | Coronal | Projectional images of biliary anatomy, strictures. |
| T2-weighted FS | Axial | Fluid, collections, bilomas, abscesses. |
| DWI/ADC | Axial | Infection, abscess, rejection, ischemia, detection, and characterization of focal liver lesions. |
| 3D T1-weighted GRE FS in hepatobiliary phase | Axial and coronal | Biliary excretion, anastomotic patency, biliary leaks. |
| BT Complications | Percentage of Patients (%) |
|---|---|
| Anastomotic biliary stenosis | 74% |
| Biloma/bile leaks | 18% |
| Secondary cholangitis | 29% |
| Hepatic abscess | 7% |
| Lithiasis | 8.5% |
| PSC recurrence | 0.5% |
| Neoplasms (recurrence) | 7.5% |
| Extrinsic compression | 0.3% |
| Biliary Complications | Number of Patients (%) with OLT | Number of Patients (%) with LDLT |
|---|---|---|
| Anastomotic biliary stenosis | 74% | 66% |
| Biloma/bile leaks | 15% | 19.5% |
| Secondary cholangitis | 25.5% | 17% |
| Hepatic abscess | 6% | 7% |
| Stones | 9% | 5% |
| PSC recurrence | 0.4% | 2.5% |
Disclaimer/Publisher’s Note: The statements, opinions and data contained in all publications are solely those of the individual author(s) and contributor(s) and not of MDPI and/or the editor(s). MDPI and/or the editor(s) disclaim responsibility for any injury to people or property resulting from any ideas, methods, instructions or products referred to in the content. |
© 2025 by the authors. Licensee MDPI, Basel, Switzerland. This article is an open access article distributed under the terms and conditions of the Creative Commons Attribution (CC BY) license.
Share and Cite
Dijmărescu, A.D.; Dumitrescu, C.; Nicolae, C.A.; Enache, R.M.; Lupescu, I.G. All About Multiparametric MRI Evaluation in Biliary Tree Complications After Liver Transplant. Diagnostics 2026, 16, 93. https://doi.org/10.3390/diagnostics16010093
Dijmărescu AD, Dumitrescu C, Nicolae CA, Enache RM, Lupescu IG. All About Multiparametric MRI Evaluation in Biliary Tree Complications After Liver Transplant. Diagnostics. 2026; 16(1):93. https://doi.org/10.3390/diagnostics16010093
Chicago/Turabian StyleDijmărescu, Adrian Dumitru, Cristina Dumitrescu, Cristina Alexandra Nicolae, Robert Mihai Enache, and Ioana Gabriela Lupescu. 2026. "All About Multiparametric MRI Evaluation in Biliary Tree Complications After Liver Transplant" Diagnostics 16, no. 1: 93. https://doi.org/10.3390/diagnostics16010093
APA StyleDijmărescu, A. D., Dumitrescu, C., Nicolae, C. A., Enache, R. M., & Lupescu, I. G. (2026). All About Multiparametric MRI Evaluation in Biliary Tree Complications After Liver Transplant. Diagnostics, 16(1), 93. https://doi.org/10.3390/diagnostics16010093

