A Pre-Trained Model Customization Framework for Accelerated PET/MR Segmentation of Abdominal Fat in Obstructive Sleep Apnea
Abstract
1. Introduction
2. Materials and Methods
2.1. Patient Population
2.2. Image Acquisition Protocol
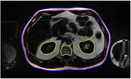
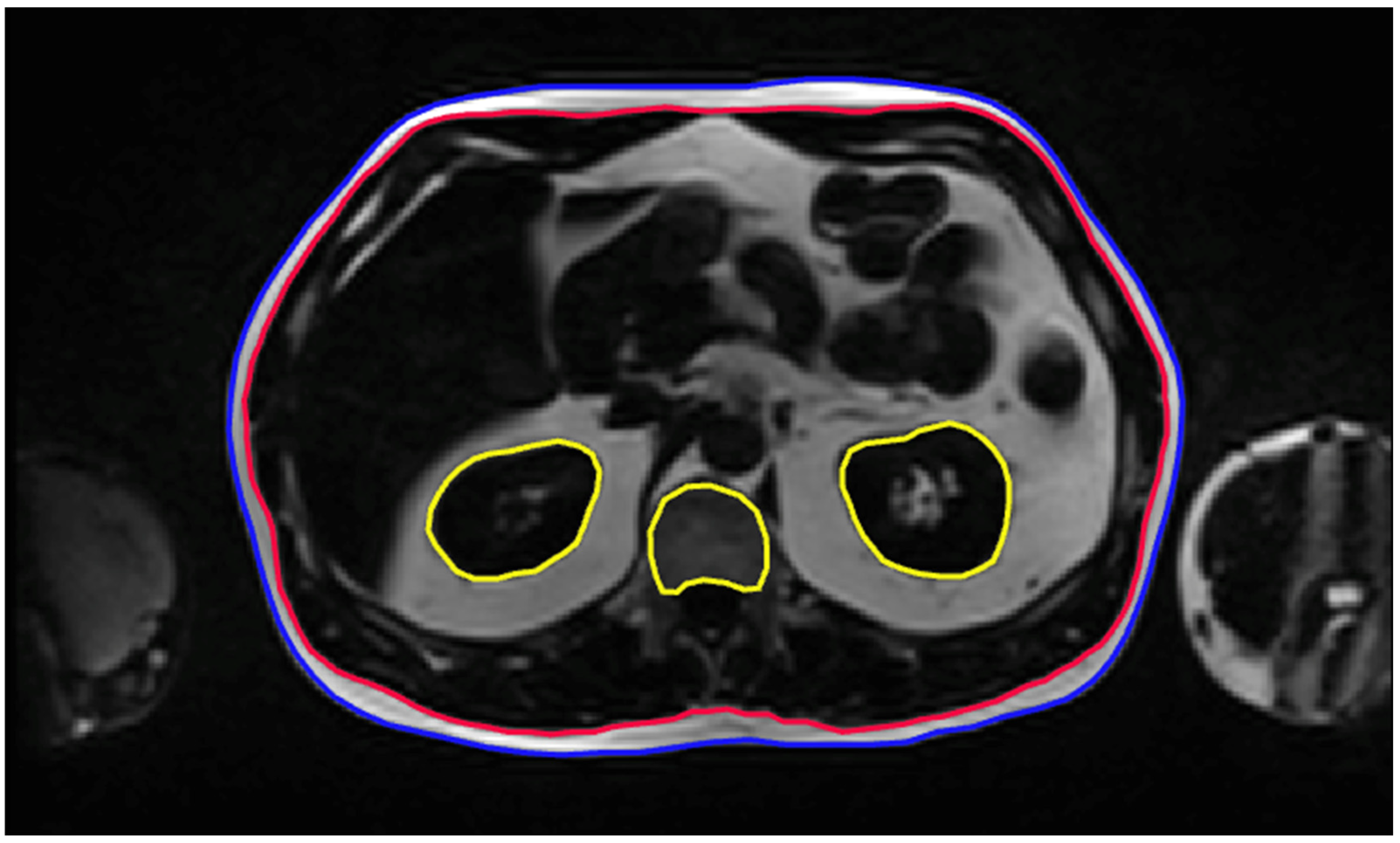
2.3. Manual Annotation Task for Deep Learning Model Training
2.4. Volumetric and Metabolic Quantification of Adipose Tissue
2.5. Discovery Viewer Platform
2.6. Model Development and Continuous Annotation Workflow
2.7. Model Performance Metrics
2.8. Statistical Analysis: Efficiency, Segmentation Accuracy, and Validation of Volumetric and Metabolic Measures
3. Results
3.1. Time Analysis
3.2. Segmentation Performance
3.3. Validation of Volumetric and Metabolic Measures
4. Discussion
5. Limitations
6. Conclusions
Author Contributions
Funding
Institutional Review Board Statement
Informed Consent Statement
Data Availability Statement
Conflicts of Interest
Abbreviations
| 18F-FDG | [18F]-Fluoro-2-deoxy-D-glucose |
| BMI | Body mass index |
| CVD | Cardiovascular disease |
| DSC | Dice Similarity Coefficient |
| DV | Discovery Viewer |
| EXC | Exclusion areas |
| EXT | External abdominal contour |
| ICC | Intraclass correlation coefficient |
| INT | Internal abdominal contour |
| OSA | Obstructive Sleep Apnea |
| RIN | RadImageNet |
| ROI | Region of interest |
| SAT | Subcutaneous adipose tissue |
| SUV | Standardized uptake value |
| VAT | Visceral adipose tissue |
References
- GBD 2021 Adult BMI Collaborators. Global, regional, and national prevalence of adult overweight and obesity, 1990–2021, with forecasts to 2050: A forecasting study for the Global Burden of Disease Study 2021. Lancet 2025, 405, 813–838, Erratum in Lancet 2025, 406, 810. https://doi.org/10.1016/S0140-6736(25)01722-2. [Google Scholar] [CrossRef] [PubMed] [PubMed Central]
- Ward, Z.J.; Bleich, S.N.; Cradock, A.L.; Barrett, J.L.; Giles, C.M.; Flax, C.; Long, M.W.; Gortmaker, S.L. Projected U.S. State-Level Prevalence of Adult Obesity and Severe Obesity. N. Engl. J. Med. 2019, 381, 2440–2450. [Google Scholar] [CrossRef] [PubMed]
- Yao, Z.; Tchang, B.G.; Albert, M.; Blumenthal, R.S.; Nasir, K.; Blaha, M.J. Associations between Class I, II, or III Obesity and Health Outcomes. NEJM Evid. 2025, 4, EVIDoa2400229. [Google Scholar] [CrossRef] [PubMed]
- Young, T.; Peppard, P.E.; Taheri, S. Excess weight and sleep-disordered breathing. J. Appl. Physiol. 2005, 99, 1592–1599. [Google Scholar] [CrossRef] [PubMed]
- Esmaeili, N.; Gell, L.; Imler, T.; Hajipour, M.; Taranto-Montemurro, L.; Messineo, L.; Stone, K.L.; Sands, S.A.; Ayas, N.; Yee, J.; et al. The relationship between obesity and obstructive sleep apnea in four community-based cohorts: An individual participant data meta-analysis of 12,860 adults. eClinicalMedicine 2025, 83, 103221. [Google Scholar] [CrossRef] [PubMed] [PubMed Central]
- Benjafield, A.V.; Ayas, N.T.; Eastwood, P.R.; Heinzer, R.; Ip, M.S.M.; Morrell, M.J.; Nunez, C.M.; Patel, S.R.; Penzel, T.; Pépin, J.-L.; et al. Estimation of the global prevalence and burden of obstructive sleep apnoea: A literature-based analysis. Lancet Respir. Med. 2019, 7, 687–698. [Google Scholar] [CrossRef]
- Javaheri, S.; Javaheri, S.; Somers, V.K.; Gozal, D.; Mokhlesi, B.; Mehra, R.; McNicholas, W.T.; Zee, P.C.; Campos-Rodriguez, F.; Martinez-Garcia, M.A.; et al. Interactions of Obstructive Sleep Apnea With the Pathophysiology of Cardiovascular Disease, Part 1: JACC State-of-the-Art Review. J. Am. Coll. Cardiol. 2024, 84, 1208–1223. [Google Scholar] [CrossRef]
- Young, T.; Palta, M.; Dempsey, J.; Skatrud, J.; Weber, S.; Badr, S. The occurrence of sleep-disordered breathing among middle-aged adults. N. Engl. J. Med. 1993, 328, 1230–1235. [Google Scholar] [CrossRef]
- Young, T.; Palta, M.; Dempsey, J.; Skatrud, J.; Weber, S.; Badr, S. Abdominal compression increases upper airway collapsibility during sleep in obese male obstructive sleep apnea patients. Sleep 2009, 32, 1579–1587. [Google Scholar] [CrossRef]
- Neeland, I.J.; Ayers, C.R.; Rohatgi, A.K.; Turer, A.T.; Berry, J.D.; Das, S.R.; Vega, G.L.; Khera, A.; McGuire, D.K.; Grundy, S.M.; et al. Associations of visceral and abdominal subcutaneous adipose tissue with markers of cardiac and metabolic risk in obese adults. Obesity 2013, 21, E439–E447. [Google Scholar] [CrossRef]
- McGown, C.; Birerdinc, A.; Younossi, Z.M. Adipose tissue as an endocrine organ. Clin. Liver Dis. 2014, 18, 41–58. [Google Scholar] [CrossRef] [PubMed]
- Elffers, T.W.; De Mutsert, R.; Lamb, H.J.; De Roos, A.; Van Dijk, K.W.; Rosendaal, F.R.; Jukema, J.W.; Trompet, S. Body fat distribution, in particular visceral fat, is associated with cardiometabolic risk factors in obese women. PLoS ONE 2017, 12, e0185403. [Google Scholar] [CrossRef] [PubMed]
- Fox, C.S.; Massaro, J.M.; Hoffmann, U.; Pou, K.M.; Maurovich-Horvat, P.; Liu, C.Y.; Vasan, R.S.; Murabito, J.M.; Meigs, J.B.; Cupples, L.A.; et al. Abdominal visceral and subcutaneous adipose tissue compartments: Association with metabolic risk factors in the Framingham Heart Study. Circulation 2007, 116, 39–48. [Google Scholar] [CrossRef] [PubMed]
- Shah, R.V.; Murthy, V.L.; Abbasi, S.A.; Blankstein, R.; Kwong, R.Y.; Goldfine, A.B.; Jerosch-Herold, M.; Lima, J.A.; Ding, J.; Allison, M.A. Visceral adiposity and the risk of metabolic syndrome across body mass index: The MESA Study. JACC Cardiovasc. Imaging 2014, 7, 1221–1235. [Google Scholar] [CrossRef]
- Neeland, I.J.; Ross, R.; Després, J.-P.; Matsuzawa, Y.; Yamashita, S.; Shai, I.; Seidell, J.; Magni, P.; Santos, R.D.; Arsenault, B.; et al. Visceral and ectopic fat, atherosclerosis, and cardiometabolic disease: A position statement. Lancet Diabetes Endocrinol. 2019, 7, 715–725. [Google Scholar] [CrossRef]
- Bagyura, Z.; Kiss, L.; Lux, Á.; Csobay-Novák, C.; Jermendy, Á.L.; Polgár, L.; Szelid, Z.; Soós, P.; Merkely, B. Association between coronary atherosclerosis and visceral adiposity index. Nutr. Metab. Cardiovasc. Dis. 2020, 30, 796–803. [Google Scholar] [CrossRef]
- Randrianarisoa, E.; Lehn-Stefan, A.; Hieronimus, A.; Rietig, R.; Fritsche, A.; Machann, J.; Balletshofer, B.; Häring, H.-U.; Stefan, N.; Rittig, K. Visceral Adiposity Index as an Independent Marker of Subclinical Atherosclerosis in Individuals Prone to Diabetes Mellitus. J. Atheroscler. Thromb. 2019, 26, 821–834. [Google Scholar] [CrossRef]
- Figueroa, A.L.; Takx, R.A.; MacNabb, M.H.; Abdelbaky, A.; Lavender, Z.R.; Kaplan, R.S.; Truong, Q.A.; Lo, J.; Ghoshhajra, B.B.; Grinspoon, S.K.; et al. Relationship Between Measures of Adiposity, Arterial Inflammation, and Subsequent Cardiovascular Events. Circ. Cardiovasc. Imaging 2016, 9, e004043. [Google Scholar] [CrossRef]
- Hui, S.C.N.; Zhang, T.; Shi, L.; Wang, D.; Ip, C.B.; Chu, W.C.W. Automated segmentation of abdominal subcutaneous adipose tissue and visceral adipose tissue in obese adolescent in MRI. Magn. Reson. Imaging. 2018, 45, 97–104. [Google Scholar] [CrossRef] [PubMed]
- Winder, C.; Clark, M.; Frood, R.; Smith, L.; Bulpitt, A.; Cook, G.; Scarsbrook, A. Automated extraction of body composition metrics from abdominal CT or MR imaging: A scoping review. Eur. J. Radiol. 2024, 181, 111764. [Google Scholar] [CrossRef] [PubMed]
- Linder, A.; Eggebrecht, T.; Linder, N.; Stange, R.; Schaudinn, A.; Blüher, M.; Denecke, T.; Busse, H. Stand-alone MRI tool for semiautomatic volumetry of abdominal adipose compartments in patients with obesity. Sci. Rep. 2025, 15, 9354. [Google Scholar] [CrossRef] [PubMed] [PubMed Central]
- Ulbrich, E.J.; Nanz, D.; Leinhard, O.D.; Marcon, M.; Fischer, M.A. Whole-body adipose tissue and lean muscle volumes and their distribution across gender and age: MR-derived normative values in a normal-weight Swiss population. Magn. Reson. Med. 2018, 79, 449–458. [Google Scholar] [CrossRef] [PubMed]
- Im, H.J.; Paeng, J.C.; Cheon, G.J.; Kim, E.E.; Lee, J.S.; Goo, J.M.; Kang, K.W.; Chung, J.K.; Lee, D.S. Feasibility of simultaneous 18F-FDG PET/MRI for the quantitative volumetric and metabolic measurements of abdominal fat tissues using fat segmentation. Nucl. Med. Commun. 2016, 37, 616–622. [Google Scholar] [CrossRef] [PubMed]
- Varra, F.; Varras, M.; Varra, V.; Theodosis-Nobelos, P. Molecular and pathophysiological relationship between obesity and chronic inflammation in the manifestation of metabolic dysfunctions and their inflammation-mediating treatment options (Review). Mol. Med. Rep. 2024, 29, 95. [Google Scholar] [CrossRef] [PubMed]
- Unnikrishnan, D.; Jun, J.; Polotsky, V. Inflammation in sleep apnea: An update. Rev. Endocr. Metab. Disord. 2015, 16, 25–34. [Google Scholar] [CrossRef]
- Kundel, V.; Lehane, D.; Ramachandran, S.; Fayad, Z.; Robson, P.; Shah, N.; Mani, V. Measuring Visceral Adipose Tissue Metabolic Activity in Sleep Apnea Utilizing Hybrid 18F-FDG PET/MRI: A Pilot Study. Nat. Sci. Sleep 2021, 13, 1943–1953. [Google Scholar] [CrossRef] [PubMed] [PubMed Central]
- Maislin, G.; Ahmed, M.M.; Gooneratne, N.; Thorne-Fitzgerald, M.; Kim, C.; Teff, K.; Arnardottir, E.S.; Benediktsdottir, B.; Einarsdottir, H.; Juliusson, S.; et al. Single slice vs. volumetric MR assessment of visceral adipose tissue: Reliability and validity among the overweight and obese. Obesity 2012, 20, 2124–2132. [Google Scholar] [CrossRef]
- Poonawalla, A.H.; Sjoberg, B.P.; Rehm, J.L.; Hernando, D.; Hines, C.D.; Irarrazaval, P.; Reeder, S.B. Adipose tissue MRI for quantitative measurement of central obesity. J. Magn. Reson. Imaging 2013, 37, 707–716. [Google Scholar] [CrossRef]
- Sivam, S.; Phillips, C.L.; Trenell, M.I.; Yee, B.J.; Liu, P.Y.; Wong, K.K.; Grunstein, R.R. Effects of 8 weeks of continuous positive airway pressure on abdominal adiposity in obstructive sleep apnoea. Eur. Respir. J. 2012, 40, 913–918. [Google Scholar] [CrossRef]
- Fauveau, V.; Sun, S.; Liu, Z.; Mei, X.; Grant, J.; Sullivan, M.; Greenspan, H.; Feng, L.; Fayad, Z.A. Discovery Viewer (DV): Web-Based Medical AI Model Development Platform and Deployment Hub. Bioengineering 2023, 10, 1396. [Google Scholar] [CrossRef]
- Ronneberger, O.; Fischer, P.; Brox, T. U-Net: Convolutional Networks for Biomedical Image Segmentation. arXiv 2015, arXiv:1505.04597. [Google Scholar] [CrossRef]
- He, K.; Zhang, X.; Ren, S.; Sun, J. Deep Residual Learning for Image Recognition. In Proceedings of the 2016 IEEE Conference on Computer Vision and Pattern Recognition (CVPR), Las Vegas, NV, USA, 27–30 June 2016; pp. 770–778. [Google Scholar] [CrossRef]
- Mei, X.; Liu, Z.; Robson, P.M.; Marinelli, B.; Huang, M.; Doshi, A.; Jacobi, A.; Cao, C.; Link, K.E.; Yang, T.; et al. RadImageNet: An Open Radiologic Deep Learning Research Dataset for Effective Transfer Learning. Radiol. Artif. Intell. 2022, 4, e210315. [Google Scholar] [CrossRef] [PubMed] [PubMed Central]
- Moore, C.; Bell, D. Dice Similarity Coefficient. Reference Article. Available online: https://radiopaedia.org/articles/dice-similarity-coefficient?lang=us (accessed on 24 April 2025).
- Küstner, T.; Hepp, T.; Fischer, M.; Schwartz, M.; Fritsche, A.; Häring, H.U.; Nikolaou, K.; Bamberg, F.; Yang, B.; Schick, F.; et al. Fully Automated and Standardized Segmentation of Adipose Tissue Compartments via Deep Learning in 3D Whole-Body MRI of Epidemiologic Cohort Studies. Radiol. Artif. Intell. 2020, 2, e200010. [Google Scholar] [CrossRef] [PubMed] [PubMed Central]
- Guglielmo, P.; Ekström, S.; Strand, R.; Visvanathar, R.; Malmberg, F.; Johansson, E.; Pereira, M.J.; Skrtic, S.; Carlsson, B.C.L.; Eriksson, J.W.; et al. Validation of automated whole-body analysis of metabolic and morphological parameters from an integrated FDG-PET/MRI acquisition. Sci. Rep. 2020, 10, 5331. [Google Scholar] [CrossRef]






| Parameters\Model Version | V1 | V2 | V3 |
|---|---|---|---|
| Imaging Specification | High-Resolution MRI | High-Resolution MRI | High-Resolution MRI |
| Architecture | UNet-ResNet50 | UNet-ResNet50 | UNet-ResNet50 |
| Weight Initialization | RadImageNet | V1 | V2 |
| Number of Training Scans | 59 | 157 | 328 |
| Input Dimension | 224 × 224 | 224 × 224 | 224 × 224 |
| Normalization Method | Z-Score | Z-Score | Z-Score |
| Loss Function | Binary Cross entropy | Binary Cross entropy | Binary Cross entropy |
| Manual Annotations vs. | V1 | V2 | V3 | |||
|---|---|---|---|---|---|---|
| Mask | Contour | Mask | Contour | Mask | Contour | |
| INT | 0.98 | 0.41 | 0.98 | 0.43 | 0.98 | 0.45 |
| EXT | 0.98 | 0.55 | 0.98 | 0.53 | 0.99 | 0.55 |
| EXC | 0.82 | 0.35 | 0.85 | 0.34 | 0.83 | 0.37 |
| Outcome | Manual vs. AI Model Outcome Values | Intraclass Correlation Coefficient (ICC) | |||||
|---|---|---|---|---|---|---|---|
| Mean (SD) | V1 | V2 | V3 | Manual | V1 vs. Manual | V2 vs. Manual | V3 vs. Manual |
| Total SAT Volume (cm3) | 5540 (2805) | 5610 (2864) | 5574 (2822) | 5513 (2971) | 0.99 | 0.99 | 0.99 |
| Total VAT Volume (cm3) | 3281 (1456) | 3295 (1520) | 3290 (1520) | 3138 (1572) | 0.99 | 0.99 | 0.99 |
| Average SAT SUVmean | 0.24 (0.08) | 0.24 (0.08) | 0.24 (0.08) | 0.242 (0.08) | 0.96 | 0.94 | 0.98 |
| Average VAT SUVmean | 0.71 (0.26) | 0.71 (0.25) | 0.71 (0.25) | 0.746 (0.26) | 0.99 | 0.99 | 0.99 |
| VAT/SAT Ratio | 0.74 (0.46) | 0.75 (0.5) | 0.75 (0.48) | 0.728 (0.49) | 0.97 | 0.98 | 0.99 |
| Variable | AI Model | Mean Bias ± SD | 95% Limits of Agreement (Lower, Upper) |
|---|---|---|---|
| VAT SUVmean | V1 | −0.018 ± 0.026 | (−0.07, 0.03) |
| V2 | −0.017 ± 0.02 | (−0.05, 0.02) | |
| V3 | −0.013 ± 0.016 | (−0.04, 0.018) | |
| SAT SUVmean | V1 | 0.004 ± 0.004 | (−0.004, 0.01) |
| V2 | 0.013 ± 0.02 | (−0.04, 0.06) | |
| V3 | 0.003 ± 0.003 | (−0.002, 0.009) | |
| VAT Volume (cm3) | V1 | 125 ± 129 | (−128, 379) |
| V2 | 133 ± 82 | (−27, 295) | |
| V3 | 117 ± 75 | (−31, 266) | |
| SAT Volume (cm3) | V1 | 91 ± 223 | (−346, 528) |
| V2 | 203 ± 323 | (−429, 836) | |
| V3 | 93 ± 135 | (−171, 359) | |
| VAT/SAT Volume Ratio | V1 | −0.026 ± 0.088 | (−0.2, 0.146) |
| V2 | −0.007 ± 0.06 | (−0.12, 0.11) | |
| V3 | −0.012 ± 0.05 | (−0.1, 0.08) |
Disclaimer/Publisher’s Note: The statements, opinions and data contained in all publications are solely those of the individual author(s) and contributor(s) and not of MDPI and/or the editor(s). MDPI and/or the editor(s) disclaim responsibility for any injury to people or property resulting from any ideas, methods, instructions or products referred to in the content. |
© 2025 by the authors. Licensee MDPI, Basel, Switzerland. This article is an open access article distributed under the terms and conditions of the Creative Commons Attribution (CC BY) license (https://creativecommons.org/licenses/by/4.0/).
Share and Cite
Fauveau, V.; Patel, H.; Prevot, J.; Xu, B.; Cohen, O.; Khan, S.; Robson, P.M.; Fayad, Z.A.; Lippert, C.; Greenspan, H.; et al. A Pre-Trained Model Customization Framework for Accelerated PET/MR Segmentation of Abdominal Fat in Obstructive Sleep Apnea. Diagnostics 2025, 15, 3243. https://doi.org/10.3390/diagnostics15243243
Fauveau V, Patel H, Prevot J, Xu B, Cohen O, Khan S, Robson PM, Fayad ZA, Lippert C, Greenspan H, et al. A Pre-Trained Model Customization Framework for Accelerated PET/MR Segmentation of Abdominal Fat in Obstructive Sleep Apnea. Diagnostics. 2025; 15(24):3243. https://doi.org/10.3390/diagnostics15243243
Chicago/Turabian StyleFauveau, Valentin, Heli Patel, Jennifer Prevot, Bolong Xu, Oren Cohen, Samira Khan, Philip M. Robson, Zahi A. Fayad, Christoph Lippert, Hayit Greenspan, and et al. 2025. "A Pre-Trained Model Customization Framework for Accelerated PET/MR Segmentation of Abdominal Fat in Obstructive Sleep Apnea" Diagnostics 15, no. 24: 3243. https://doi.org/10.3390/diagnostics15243243
APA StyleFauveau, V., Patel, H., Prevot, J., Xu, B., Cohen, O., Khan, S., Robson, P. M., Fayad, Z. A., Lippert, C., Greenspan, H., Shah, N., & Kundel, V. (2025). A Pre-Trained Model Customization Framework for Accelerated PET/MR Segmentation of Abdominal Fat in Obstructive Sleep Apnea. Diagnostics, 15(24), 3243. https://doi.org/10.3390/diagnostics15243243

