Diagnostic Value and Interobserver Reproducibility of Histopathological Features in Fumarate Hydratase-Deficient Uterine Leiomyomas
Abstract
1. Introduction
2. Materials and Methods
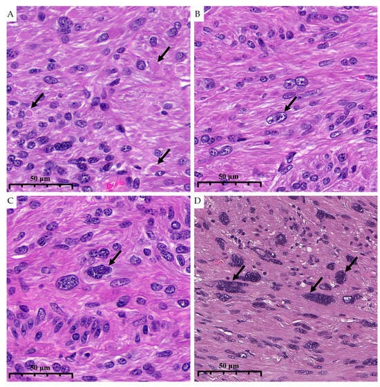
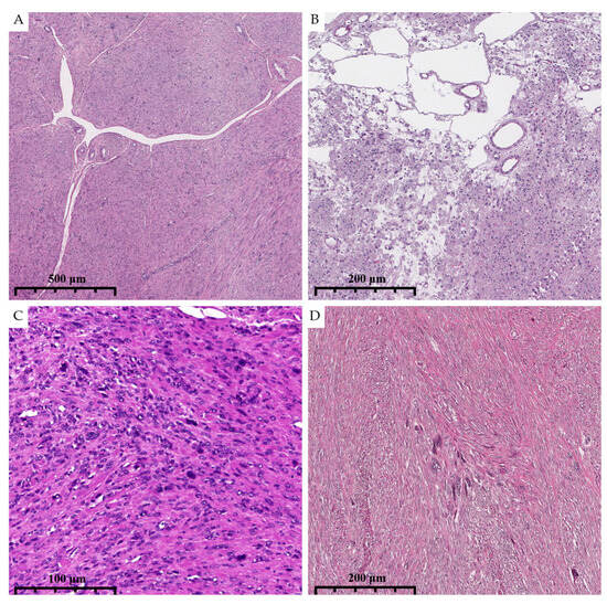
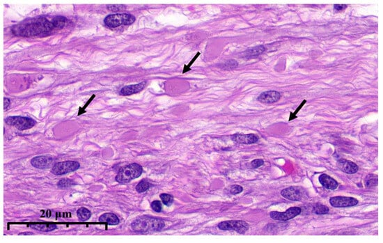
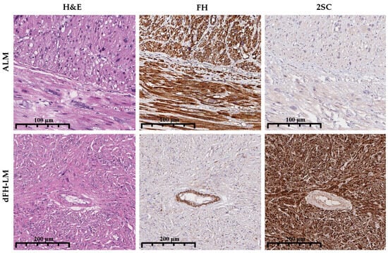
3. Results
4. Discussion
5. Conclusions
Author Contributions
Funding
Institutional Review Board Statement
Informed Consent Statement
Data Availability Statement
Conflicts of Interest
Correction Statement
Abbreviations
| dFH-LM | Fumarate hydratase-deficient leiomyoma |
| FH | Fumarate hydratase |
| HLRCC | Hereditary leiomyomatosis and renal cell carcinoma |
| USMTs | Uterine smooth muscle tumors |
| MRI | Magnetic Resonance Imaging |
| ALM | Atypical leiomyoma |
| H&E | Hematoxylin and eosin |
| FFPE | Formalin-fixed, paraffin-embedded |
| IHC | Immunohistochemistry |
| 2SC | S-(2-succino) cysteine |
| PPV | Positive predictive value |
| NPV | Negative predictive value |
| CI | Confidence interval |
Appendix A
| Case No. | FH | 2SC | Pathologist 1 | Pathologist 2 | Pathologist 3 |
|---|---|---|---|---|---|
| 1 | negative | positive | 1 | 1 | 1 |
| 2 | negative | positive | 1 | 1 | 1 |
| 3 | negative | positive | 1 | 1 | 1 |
| 4 | negative | positive | 1 | 1 | 0 |
| 5 | positive | negative | 0 | 0 | 0 |
| 6 | negative | positive | 1 | 0 | 1 |
| 7 | negative | positive | 1 | 1 | 1 |
| 8 | negative | positive | 1 | 1 | 0 |
| 9 | positive | negative | 0 | 0 | 0 |
| 10 | negative | positive | 1 | 1 | 1 |
| 11 | positive | negative | 1 | 1 | 0 |
| 12 | positive | negative | 0 | 1 | 0 |
| 13 | positive | negative | 0 | 0 | 0 |
| 14 | negative | positive | 1 | 1 | 1 |
| 15 | negative | positive | 0 | 0 | 0 |
| 16 | negative | positive | 1 | 1 | 1 |
| 17 | positive | negative | 1 | 0 | 0 |
| 18 | positive | negative | 1 | 0 | 0 |
| 19 | positive | negative | 0 | 0 | 0 |
| 20 | positive | negative | 0 | 1 | 0 |
| 21 | negative | positive | 1 | 1 | 1 |
| 22 | negative | positive | 0 | 1 | 0 |
| 23 | negative | positive | 1 | 1 | 1 |
| 24 | positive | negative | 0 | 0 | 0 |
| 25 | negative | positive | 1 | 1 | 0 |
| 26 | negative | positive | 1 | 1 | 1 |
| 27 | positive | negative | 0 | 0 | 0 |
| 28 | negative | positive | 1 | 1 | 1 |
| 29 | negative | positive | 1 | 1 | 1 |
| 30 | positive | negative | 0 | 0 | 0 |
| 31 | positive | negative | 1 | 0 | 1 |
| 32 | negative | positive | 1 | 1 | 1 |
| 33 | positive | negative | 0 | 0 | 0 |
| 34 | positive | negative | 0 | 0 | 0 |
| 35 | negative | positive | 0 | 0 | 0 |
| 36 | positive | negative | 0 | 0 | 0 |
| 37 | positive | negative | 1 | 1 | 1 |
| 38 | negative | positive | 1 | 1 | 1 |
| 39 | negative | positive | 1 | 1 | 1 |
| 40 | negative | positive | 1 | 1 | 1 |
| 41 | positive | negative | 0 | 0 | 0 |
| 42 | positive | negative | 0 | 0 | 0 |
| 43 | negative | positive | 1 | 1 | 1 |
| 44 | positive | negative | 0 | 0 | 0 |
| 45 | negative | positive | 1 | 1 | 1 |
References
- Popp, B.; Erber, R.; Kraus, C.; Vasileiou, G.; Hoyer, J.; Burghaus, S.; Hartmann, A.; Beckmann, M.W.; Reis, A.; Agaimy, A. Targeted sequencing of FH-deficient uterine leiomyomas reveals biallelic inactivating somatic fumarase variants and allows characterization of missense variants. Mod. Pathol. 2020, 33, 2341–2353. [Google Scholar] [CrossRef]
- Miettinen, M.; Felisiak-Golabek, A.; Wasag, B.; Chmara, M.; Wang, Z.; Butzow, R.; Lasota, J. Fumarase-deficient Uterine Leiomyomas: An Immunohistochemical, Molecular Genetic, and Clinicopathologic Study of 86 Cases. Am. J. Surg. Pathol. 2016, 40, 1661–1669. [Google Scholar] [CrossRef]
- Chapel, D.B.; Sharma, A.; Maccio, L.; Bragantini, E.; Zannoni, G.F.; Yuan, L.; Quade, B.J.; Parra-Herran, C.; Nucci, M.R. Fumarate hydratase and S-(2-Succinyl)-cysteine immunohistochemistry shows evidence of fumarate hydratase deficiency in 2% of uterine leiomyosarcomas: A cohort study of 348 tumors. Int. J. Gynecol. Pathol. 2023, 42, 120–135. [Google Scholar] [CrossRef]
- Siegler, L.; Erber, R.; Burghaus, S.; Brodkorb, T.; Wachter, D.; Wilkinson, N.; Bolton, J.; Stringfellow, H.; Haller, F.; Beckmann, M.W.; et al. Fumarate hydratase (FH) deficiency in uterine leiomyomas: Recognition by histological features versus blind immunoscreening. Virchows Arch. 2018, 472, 789–796. [Google Scholar] [CrossRef] [PubMed]
- Nguyen, X.L.; Huynh, Q.H.; Nguyen, P.N. Assessing the Clinical Characteristics and the Role of Imaging Modalities in Uterine Sarcoma: A Single-Center Retrospective Study From Vietnam. J. Clin. Ultrasound 2025, 53, 1527–1537. [Google Scholar] [CrossRef]
- Harrison, W.J.; Andrici, J.; Maclean, F.; Madadi-Ghahan, R.; Farzin, M.; Sioson, L.; Toon, C.W.; Clarkson, A.; Watson, N.; Pickett, J.; et al. Fumarate Hydratase–deficient Uterine Leiomyomas Occur in Both the Syndromic and Sporadic Settings. Am. J. Surg. Pathol. 2016, 40, 599–607. [Google Scholar] [CrossRef] [PubMed]
- Joseph, N.M.; Solomon, D.A.; Frizzell, N.; Rabban, J.T.; Zaloudek, C.; Garg, K. Morphology and Immunohistochemistry for 2SC and FH Aid in Detection of Fumarate Hydratase Gene Aberrations in Uterine Leiomyomas from Young Patients. Am. J. Surg. Pathol. 2015, 39, 1529–1539. [Google Scholar] [CrossRef]
- Bennett, J.A.; Weigelt, B.; Chiang, S.; Selenica, P.; Chen, Y.B.; Bialik, A.; Bi, R.; Schultheis, A.M.; Lim, R.S.; Ng, C.K.Y.; et al. Leiomyoma with bizarre nuclei: A morphological, immunohistochemical and molecular analysis of 31 cases. Mod. Pathol. 2017, 30, 1476–1488. [Google Scholar] [CrossRef] [PubMed]
- Chan, E.; Rabban, J.T.; Mak, J.; Zaloudek, C.; Garg, K. Detailed Morphologic and Immunohistochemical Characterization of Myomectomy and Hysterectomy Specimens from Women with Hereditary Leiomyomatosis and Renal Cell Carcinoma Syndrome (HLRCC). Am. J. Surg. Pathol. 2019, 43, 1170–1179. [Google Scholar] [CrossRef]
- Ubago, J.M.; Zhang, Q.; Kim, J.J.; Kong, B.; Wei, J.J. Two Subtypes of Atypical Leiomyoma: Clinical, Histologic, and Molecular Analysis. Am. J. Surg. Pathol. 2016, 40, 923–933. [Google Scholar] [CrossRef]
- Franke, K.; Vagher, J.; Boyle, J.; Hall, A.; Smith-Simmer, K. Rare variant in the fumarate hydratase gene found in patients with clinical features of hereditary leiomyomatosis and renal cell cancer (HLRCC): A case series. Clin. Case Rep. 2022, 10, e05513. [Google Scholar] [CrossRef]
- Menko, F.H.; Maher, E.R.; Schmidt, L.S.; Middelton, L.A.; Aittomäki, K.; Tomlinson, I.; Richard, S.; Linehan, W.M. Hereditary leiomyomatosis and renal cell cancer (HLRCC): Renal cancer risk, surveillance and treatment. Fam. Cancer 2014, 13, 637–644. [Google Scholar] [CrossRef]
- Scharnitz, T.; Nakamura, M.; Koeppe, E.; Henry, M.L.; Lowe, L.; Else, T.; Cha, K.B. The spectrum of clinical and genetic findings in hereditary leiomyomatosis and renal cell cancer (HLRCC) with relevance to patient outcomes: A retrospective study from a large academic tertiary referral center. Am. J. Cancer Res. 2023, 13, 236–244. [Google Scholar]
- Kamboj, M.; Chadha, P.; Sharma, A.; Bansal, D.; Gupta, G.; Mehta, A. FH deficient uterine leiomyomas-a case series. Heliyon 2024, 10, e24449. [Google Scholar] [CrossRef]
- Reyes, C.; Karamurzin, Y.; Frizzell, N.; Garg, K.; Nonaka, D.; Chen, Y.B.; Soslow, R.A. Uterine smooth muscle tumors with features suggesting fumarate hydratase aberration: Detailed morphologic analysis and correlation with S-(2-succino)-cysteine immunohistochemistry. Mod. Pathol. 2014, 27, 1020–1027. [Google Scholar] [CrossRef]
- Sparić, R.; Andjić, M.; Babović, I.; Nejković, L.; Mitrović, M.; Štulić, J.; Pupovac, M.; Tinelli, A. Molecular Insights in Uterine Leiomyosarcoma: A Systematic Review. Int. J. Mol. Sci. 2022, 23, 9728. [Google Scholar] [CrossRef]
- Yang, Q.; Falahati, A.; Khosh, A.; Mohammed, H.; Kang, W.; Corachán, A.; Bariani, M.V.; Boyer, T.G.; Al-Hendy, A. Targeting Class I Histone Deacetylases in Human Uterine Leiomyosarcoma. Cells 2022, 11, 3801. [Google Scholar] [CrossRef]
- Uimari, O.; Subramaniam, K.S.; Vollenhoven, B.; Tapmeier, T.T. Uterine Fibroids (Leiomyomata) and Heavy Menstrual Bleeding. Front. Reprod. Health 2022, 4, 818243. [Google Scholar] [CrossRef]
- Zhang, C.; Li, L.; Zhang, Y.; Zeng, C. Hereditary Leiomyomatosis and Renal Cell Cancer: Recent Insights Into Mechanisms and Systemic Treatment. Front. Oncol. 2021, 11, 686556. [Google Scholar] [CrossRef]
- Yang, M.; Soga, T.; Pollard, P.J.; Adam, J. The emerging role of fumarate as an oncometabolite. Front. Oncol. 2012, 2, 85. [Google Scholar] [CrossRef]
- Li, P.; Wu, Y.; Wu, H.; Xiong, Q.; Zhao, N.; Chen, G.; Wu, C.; Xiao, H. Functional Characterization of FH Mutation c.557G>A Underlies Uterine Leiomyomas. Int. J. Mol. Sci. 2022, 23, 1452. [Google Scholar] [CrossRef]
- Zyla, R.E.; Hodgson, A. Gene of the month: FH. J. Clin. Pathol. 2021, 74, 615–619. [Google Scholar] [CrossRef]
- Lindner, A.K.; Tulchiner, G.; Seeber, A.; Siska, P.J.; Thurnher, M.; Pichler, R. Targeting strategies in the treatment of fumarate hydratase deficient renal cell carcinoma. Front. Oncol. 2022, 12, 906014. [Google Scholar] [CrossRef]
- Bateman, N.W.; Tarney, C.M.; Abulez, T.; Soltis, A.R.; Zhou, M.; Conrads, K.; Litzi, T.; Oliver, J.; Hood, B.; Driggers, P.; et al. Proteogenomic landscape of uterine leiomyomas from hereditary leiomyomatosis and renal cell cancer patients. Sci. Rep. 2021, 11, 9371. [Google Scholar] [CrossRef]
- Huang, Y.; Zhou, Y.; Chen, X.; Fang, Q.; Cai, H.; Xie, M.; Xing, Y. Uterine leiomyoma with fumarate hydratase deficiency: A case report. Medicine 2021, 100, e28142. [Google Scholar] [CrossRef]
- Fontanges, Q.; Dubos, P.; Lesluyes, T.; Laizet, Y.; Velasco, V.; Meléndez, B.; D’Haene, N.; Oliva, E.; Young, R.H.; Mayeur, L.; et al. Genomic profile analysis of leiomyomas with bizarre nuclei and fumarate hydratase deficient leiomyomas: Strengths, weaknesses, and limitations of array-CGH interpretation. Genes Chromosomes Cancer 2024, 63, e23229. [Google Scholar] [CrossRef]
- Momeni-Boroujeni, A.; Yousefi, E.; Balakrishnan, R.; Riviere, S.; Kertowidjojo, E.; Hensley, M.L.; Ladanyi, M.; Ellenson, L.H.; Chiang, S. Molecular-Based Immunohistochemical Algorithm for Uterine Leiomyosarcoma Diagnosis. Mod. Pathol. 2023, 36, 100084. [Google Scholar] [CrossRef]
- Kipnis, L.M.; Breen, K.M.; Koeller, D.R.; Levine, A.S.; Yang, Z.; Jun, H.; Tayob, N.; Stokes, S.M.; Hayes, C.P.; Ghazani, A.A.; et al. Germline and Somatic Fumarate Hydratase Testing in Atypical Uterine Leiomyomata. Cancer Prev. Res. 2024, 17, 201–208. [Google Scholar] [CrossRef]
- Li, H.; Yang, W.; Tu, X.; Yu, L.; Huang, D.; Cheng, Y.; Chang, B.; Tang, S.; Ge, H.; Bao, L.; et al. Clinicopathological and molecular characteristics of fumarate hydratase–deficient uterine smooth muscle tumors: A single-center study of 52 cases. Hum. Pathol. 2022, 126, 136–145. [Google Scholar] [CrossRef]
- Zhang, Q.; Poropatich, K.; Ubago, J.; Xie, J.; Xu, X.; Frizzell, N.; Kim, J.; Kong, B.; Wei, J.J. Fumarate Hydratase Mutations and Alterations in Leiomyoma with Bizarre Nuclei. Int. J. Gynecol. Pathol. 2018, 37, 421–430. [Google Scholar] [CrossRef]
- Guo, E.; Li, C.; Hu, Y.; Zhao, K.; Zheng, Q.; Wang, L. Leiomyoma with Bizarre Nuclei: A Current Update. Int. J. Womens Health 2022, 14, 1641–1656. [Google Scholar] [CrossRef] [PubMed]
- McHugh, M.L. Interrater reliability: The kappa statistic. Biochem. Med. 2012, 22, 276–282. [Google Scholar] [CrossRef]
- Panicker, N.K.; Buch, A.C.; Patel, A.R. Breast carcinoma with numerous large “thanatosomes”. J. Cancer Res. Ther. 2015, 11, 980–982. [Google Scholar] [CrossRef]
- Omiyale, A.O. Solid pseudopapillary neoplasm of the pancreas. World J. Hepatol. 2021, 13, 896–903. [Google Scholar] [CrossRef]
- Tachibana, M.; Koreyasu, R.; Kamimura, K.; Tsutsumi, Y. Pancreatic Intraductal Papillary Mucinous Neoplasm with Hyaline Globules (Thanatosomes): Report of Two Cases. Int. Med. Case Rep. J. 2021, 14, 393–399. [Google Scholar] [CrossRef] [PubMed]
- Taqi, S.A.; Sami, S.A.; Sami, L.B.; Zaki, S.A. A review of artifacts in histopathology. J. Oral Maxillofac. Pathol. 2018, 22, 279. [Google Scholar] [CrossRef] [PubMed]






| Pathologist 1 | Pathologist 2 | Pathologist 3 | |
|---|---|---|---|
| Pathologist 1 | 0.63 (0.39–0.88) | 0.70 (0.50–0.91) | |
| Pathologist 2 | 0.55 (0.30–0.80) | ||
| IHC results | 0.58 (0.33–0.84) | 0.64 (0.40–0.88) | 0.60 (0.36–0.84) |
| Features | dFH-LM (n = 26) | ALM (n = 19) | p-Value | |
|---|---|---|---|---|
| Age (years) | Median, (Q1–Q3) | 34 (27–39) | 41 (38–44) | 0.03 * |
| Tumor size (cm) | Mean, 95% CI | 6.6 (5.1–8.0) | 6.9 (5.1–8.7) | 0.76 |
| Recurrence | 1 (3.8%) | 1 (5.3%) | 0.99 | |
| Multiplicity | Single | 7 (26.9%) | 7 (36.8%) | 0.53 |
| Multiple | 19 (73.1%) | 12 (63.2%) | ||
| Eosinophilic globules | 23 (88.5%) | 3 (15.8%) | 0.001 * | |
| Staghorn-like vessels | 19 (73.1%) | 5 (26.3%) | 0.02 * | |
| Nucleoli | 15 (57.7%) | 8 (42.1%) | 0.67 | |
| “Bizarre” nuclei | 14 (53.9%) | 6 (31.6%) | 0.67 | |
| “Alveolar-type” edema | 16 (61.5%) | 8 (42.1%) | 0.67 | |
| Cellularity | Hypercellular | 6 (23.1%) | 9 (47.4%) | 0.46 |
| Normocellular | 20 (76.9%) | 10 (52.6%) | ||
| Distribution of nuclear atypia | Focal | 4 (15.4%) | 12 (63.2%) | 0.01 * |
| Diffuse | 22 (84.6%) | 7 (36.8%) | ||
| Nuclear atypia | 1+ | 14 (53.8%) | 15 (78.9%) | 0.29 |
| 2+ | 11 (42.3%) | 2 (10.5%) | ||
| 3+ | 1 (3.8%) | 2 (10.5%) |
Disclaimer/Publisher’s Note: The statements, opinions and data contained in all publications are solely those of the individual author(s) and contributor(s) and not of MDPI and/or the editor(s). MDPI and/or the editor(s) disclaim responsibility for any injury to people or property resulting from any ideas, methods, instructions or products referred to in the content. |
© 2025 by the authors. Licensee MDPI, Basel, Switzerland. This article is an open access article distributed under the terms and conditions of the Creative Commons Attribution (CC BY) license (https://creativecommons.org/licenses/by/4.0/).
Share and Cite
Rogozhina, A.; Badlaeva, A.; Tregubova, A.; Asaturova, A.; Kuznetsova, M.; Sukhikh, G. Diagnostic Value and Interobserver Reproducibility of Histopathological Features in Fumarate Hydratase-Deficient Uterine Leiomyomas. Diagnostics 2025, 15, 3006. https://doi.org/10.3390/diagnostics15233006
Rogozhina A, Badlaeva A, Tregubova A, Asaturova A, Kuznetsova M, Sukhikh G. Diagnostic Value and Interobserver Reproducibility of Histopathological Features in Fumarate Hydratase-Deficient Uterine Leiomyomas. Diagnostics. 2025; 15(23):3006. https://doi.org/10.3390/diagnostics15233006
Chicago/Turabian StyleRogozhina, Aleksandra, Alina Badlaeva, Anna Tregubova, Aleksandra Asaturova, Maria Kuznetsova, and Gennady Sukhikh. 2025. "Diagnostic Value and Interobserver Reproducibility of Histopathological Features in Fumarate Hydratase-Deficient Uterine Leiomyomas" Diagnostics 15, no. 23: 3006. https://doi.org/10.3390/diagnostics15233006
APA StyleRogozhina, A., Badlaeva, A., Tregubova, A., Asaturova, A., Kuznetsova, M., & Sukhikh, G. (2025). Diagnostic Value and Interobserver Reproducibility of Histopathological Features in Fumarate Hydratase-Deficient Uterine Leiomyomas. Diagnostics, 15(23), 3006. https://doi.org/10.3390/diagnostics15233006

