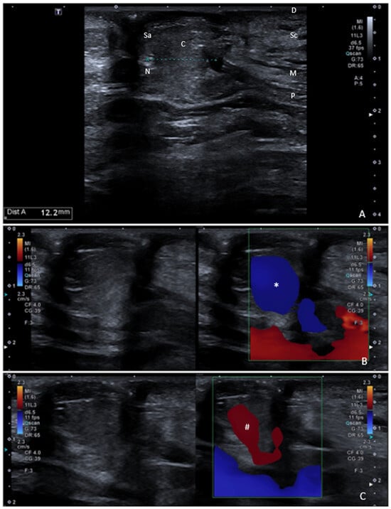
Umbilical Hernia Probe-Induced Cocco Sign: Color Doppler During Pressure and Release in Standing Position
Abstract

Supplementary Materials
Author Contributions
Funding
Institutional Review Board Statement
Informed Consent Statement
Data Availability Statement
Conflicts of Interest
References
- Murphy, K.P.; O’Connor, O.J.; Maher, M.M. Adult abdominal hernias. AJR Am. J. Roentgenol. 2014, 202, W506–W511. [Google Scholar] [CrossRef] [PubMed]
- Safai Zadeh, E.; Görg, C.; Kuttkat, P.; Dietrich, C.F.; Westhoff, C.C.; Rodepeter, F.; Trenker, C.; Görg, M.; Kirschbaum, A.; Alhyari, A. The Value of Contrast-Enhanced Ultrasound (CEUS) in the Detection of Perfusion Disturbances in Abdominal Wall Hernias Compared with Surgical and Histological Assessment. Diagnostics 2022, 12, 370. [Google Scholar] [CrossRef] [PubMed]
- Parikh, K.R.; Al-Hawary, M.; Millet, J.D.; Burney, R.; Finks, J.; Maturen, K. Incisional Hernia Repair: What the Radiologist Needs to Know. AJR Am. J. Roentgenol. 2017, 209, 1239–1246. [Google Scholar] [CrossRef] [PubMed]
- Draghi, F.; Cocco, G.; Richelmi, F.M.; Schiavone, C. Abdominal wall sonography: A pictorial review. J. Ultrasound. 2020, 23, 265–278. [Google Scholar] [CrossRef] [PubMed]
- Herrera Ortiz, A.F.; Del Castillo, V.; Olarte Bermúdez, L.; Montaño Rozo, G.A.; Soler, C.; Borrero, R.; Rivero, O.; Aguirre, D. Abdominal Wall in Cross-Sectional Imaging as an Essential Knowledge for Radiologists: A Pictorial Review. Cureus 2025, 17, e91594. [Google Scholar] [CrossRef] [PubMed]
- Magee, P. Essential notes on the physics of Doppler ultrasound. BJA Educ. 2020, 20, 112–113. [Google Scholar] [CrossRef] [PubMed]
- Meola, M.; Ibeas, J.; Lasalle, G.; Petrucci, I. Basics for performing a high-quality color Doppler sonography of the vascular access. J. Vasc. Access 2021, 22 (Suppl. 1), 18–31. [Google Scholar] [CrossRef] [PubMed]
- Oglat, A.A.; Matjafri, M.Z.; Suardi, N.; Oqlat, M.A.; Abdelrahman, M.A.; Oqlat, A.A. A Review of Medical Doppler Ultrasonography of Blood Flow in General and Especially in Common Carotid Artery. J. Med. Ultrasound. 2018, 26, 3–13. [Google Scholar] [CrossRef] [PubMed]
- Goffi, A.; Al-Amoodi, A.; Buchanan, B. Principles of Doppler Ultrasonography and Basic Applications for the Clinician. Med. Clin. N. Am. 2025, 109, 217–236. [Google Scholar] [CrossRef] [PubMed]
- Cocco, G. Dynamic color Doppler assessment for the detection of small abdominal hernias: The “Cocco Sign”. J. Ultrasound. 2025. [Google Scholar] [CrossRef] [PubMed]
Disclaimer/Publisher’s Note: The statements, opinions and data contained in all publications are solely those of the individual author(s) and contributor(s) and not of MDPI and/or the editor(s). MDPI and/or the editor(s) disclaim responsibility for any injury to people or property resulting from any ideas, methods, instructions or products referred to in the content. |
© 2025 by the authors. Licensee MDPI, Basel, Switzerland. This article is an open access article distributed under the terms and conditions of the Creative Commons Attribution (CC BY) license (https://creativecommons.org/licenses/by/4.0/).
Share and Cite
Tagliati, C.; Fogante, M.; Ventura, C.; Lamja, S.; Esposito, R.; Di Serafino, M.; Corvino, A.; Argalia, G.; Di Cesare, E.; Delli Pizzi, A.; et al. Umbilical Hernia Probe-Induced Cocco Sign: Color Doppler During Pressure and Release in Standing Position. Diagnostics 2025, 15, 2863. https://doi.org/10.3390/diagnostics15222863
Tagliati C, Fogante M, Ventura C, Lamja S, Esposito R, Di Serafino M, Corvino A, Argalia G, Di Cesare E, Delli Pizzi A, et al. Umbilical Hernia Probe-Induced Cocco Sign: Color Doppler During Pressure and Release in Standing Position. Diagnostics. 2025; 15(22):2863. https://doi.org/10.3390/diagnostics15222863
Chicago/Turabian StyleTagliati, Corrado, Marco Fogante, Claudio Ventura, Stefania Lamja, Roberto Esposito, Marco Di Serafino, Antonio Corvino, Giulio Argalia, Ernesto Di Cesare, Andrea Delli Pizzi, and et al. 2025. "Umbilical Hernia Probe-Induced Cocco Sign: Color Doppler During Pressure and Release in Standing Position" Diagnostics 15, no. 22: 2863. https://doi.org/10.3390/diagnostics15222863
APA StyleTagliati, C., Fogante, M., Ventura, C., Lamja, S., Esposito, R., Di Serafino, M., Corvino, A., Argalia, G., Di Cesare, E., Delli Pizzi, A., & Cocco, G. (2025). Umbilical Hernia Probe-Induced Cocco Sign: Color Doppler During Pressure and Release in Standing Position. Diagnostics, 15(22), 2863. https://doi.org/10.3390/diagnostics15222863

