Manganese Intoxication Induced by Total Parenteral Nutrition in the Intensive Care Unit: A Case Report
Abstract
1. Introduction
2. Case Report
2.1. Personal Background
2.2. Current Disease
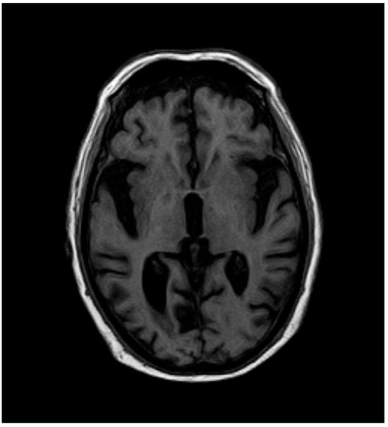
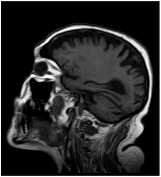
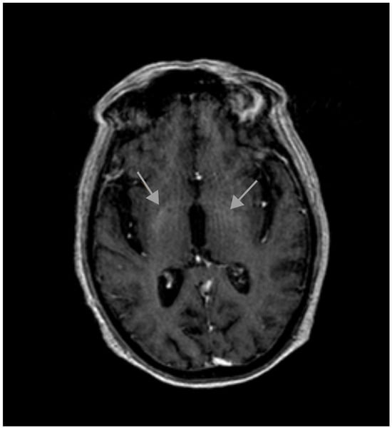
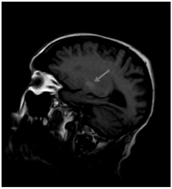
2.3. Additional Tests
3. Discussion
4. Conclusions
Author Contributions
Funding
Institutional Review Board Statement
Informed Consent Statement
Data Availability Statement
Conflicts of Interest
Abbreviations
| ALP | Alkaline phosphatase |
| CNs | Cranial nerves |
| CT | Computed tomography |
| DMT-1 | Divalent metal transporter type-1 |
| DTR | Deep tendon reflex |
| EDTA | CaNa2 ethylene diamine tetracetic acid |
| EOMs | Extraocular movements |
| FO | Fundus oculi |
| GFAAS | Graphite furnace atomic absorption spectrometry |
| GGT | γ-glutamyl transpeptidase |
| ICP MS | Inductively coupled plasma mass spectrometry |
| ICU | Intensive care unit |
| MRI | Magnetic resonance imaging |
| OR | Oculomotor reflex |
| PD | Parkinson’s disease |
| PAS | Para-amino salicylic acid |
| PN | Parenteral nutrition |
| PVC | Polyvinyl chloride |
| WB-Mn | Whole-blood manganese |
References
- Erikson, K.M.; Thompson, K.; Aschner, M. Manganese neurotoxicity: A focus on the neonate. Pharmacol. Ther. 2007, 113, 369–377. [Google Scholar] [CrossRef] [PubMed]
- González-Reyes, R.E.; Gutiérrez-Álvarez, A.M.; Moreno, C.G. Mn and epilepsy: A systematic review of the literarure. Brain Res. Rev. 2007, 53, 332–336. [Google Scholar] [CrossRef] [PubMed]
- Doisy, E.A. Effects of deficiency in manganeses upon plasma levels of clotting proteins and cholesterol in man. In Trace Elements Metabolism in Animals; Hoekstra, W.G., Suttie, J.W., Ganther, H.E., Mertz, W., Eds.; University Park Press: Baltimore, MD, USA, 1974; pp. 668–670. [Google Scholar]
- Friedman, B.J.; Freeland-Graves, J.H.; Bales, C.W. Manganese balance and clinical observation in young men fed a manganese-deficient diet. J. Nutr. 1987, 117, 133–143. [Google Scholar] [CrossRef]
- Holley, A.K.; Dhar, S.K.; Xu, Y.; St Clair, D.K. Manganese superoxide dismutase: Beyond life and death. Amino Acids 2012, 42, 139–158. [Google Scholar] [CrossRef]
- Tuschl, K.; Meyer, E.; Valdivia, L.E.; Zhao, N.; Dadswell, C.; Abdul-Sada, A.; Hung, C.Y.; Simpson, M.A.; Chong, W.K.; Jacques, T.S.; et al. Mutations in SCL39A14 disrupt manganese homeostasis and cause chilhood-onset parkinsonism-dystonia. Nat. Commun. 2016, 7, 11601. [Google Scholar] [CrossRef]
- Quadri, M.; Kamate, M.; Sharma, S.; Olgiati, S.; Graafland, J.; Breedveld, G.J.; Kori, I.; Hattiholi, V.; Jain, P.; Aneja, S.; et al. Manganese transport disorder: Novel SCL30A10 mutationes and early phenotypes. Mov. Disord. 2015, 30, 996–1001. [Google Scholar] [CrossRef]
- Guillarte, T.R. Manganese and Parkinson’s disease: A critical observation in young men fed a manganese-deficient diet. Cien Saude Colet. 2010, 16, 4549–4566. [Google Scholar]
- Shilnikova, N.; Karyakina, N.; Farhat, N.; Ramoju, S.; Cline, B.; Momoli, F.; Krewski, D. Biomarkers of environmental manganese exposure. Crit. Rev. Toxicol. 2022, 52, 325–343. [Google Scholar] [CrossRef]
- Dudrick, S.J.; Wilmore, D.W.V.H.; Rhoads, J.E. Long-term total parenteral nutrition with growth, development and positive nitrogen balance. Surgery 1968, 64, 134–142. [Google Scholar]
- Mehta, R.; Reilly, J.J. Manganese levels in a jaundice log-term total parenteral nutrition patient: Potentiation of haloperidol toxicity? Case report and literature review. J. Parenter. Enter. Nutr. 1990, 14, 428–430. [Google Scholar] [CrossRef]
- Hsieh, C.T.; Liang, J.S.; Peng, S.S.; Lee, W.T. Seizure associated with total parenteral nutrition-related hypermanganesemia. Pediatr. Neurol. 2007, 36, 181–183. [Google Scholar] [CrossRef] [PubMed]
- Iinuma, Y.; Kubota, M.; Uchiyama, M.; Yagi, M.; Kanada, S.; Yamazaki, S.; Murata, H.; Okamoto, K.; Suzuki, M.; Nitta, K.; et al. Whole-blood manganese levels and brain manganese accumulation in children receiving long-term home parenteral nutrition. Pediatr. Surg. Int. 2003, 19, 268–272. [Google Scholar] [CrossRef] [PubMed]
- Alves, G.; Thiebot, J.; Tracqui, A.; Delangre, T.; Guedon, C.; Lerebours, E. Neurologic disorders due to brain manganese deposition in a jaundiced patient receiving long-term parenteral nutrition. J. Parenter. Enter. Nutr. 1997, 21, 41–45. [Google Scholar] [CrossRef]
- Bertinet, D.B.; Tinivella, M.; Balzola, F.A.; de Francesco, A.; Davini, O.; Rizzo, L.; Massarenti, P.; Leonardi, M.A.; Balzola, F. Brain manganeses deposition and blood levels in patients undergoing home parenteral nutritionJ. Parent. Ent Nutr. 2000, 24, 223–227. [Google Scholar] [CrossRef]
- Ejima, A.; Imamura, T.; Nakamura, S.; Saito, H.; Matsumoto, K.; Momono, S. Manganese intoxication during total parenteral nutrition. Lancet 1992, 339, 426. [Google Scholar] [CrossRef]
- Fitzgerald, K.; Mikalunas, V.; Rubin, H.; McCarthey, R.; Vanagunas, A.; Craig, R.M. Hypermanganesemia in patients receiving total parenteral nutrition. J. Parenter. Enter. Nutr. 1999, 23, 333–336. [Google Scholar] [CrossRef]
- Mirowitz, S.A.; Westrich, T.J. Basal ganglial signal intensity alterations: Reversal after discontinuation of parenteral manganese administration. Radiology 1992, 185, 535–536. [Google Scholar] [CrossRef]
- Mirowitz, S.A.; Westrich, T.J.; Hirsch, J.D. Hyperintense basal ganglia on T1-weighted MR images in patients receiving parenteral nutrition. Radiology 1991, 181, 117–120. [Google Scholar] [CrossRef]
- Nagatomo, S.; Umehara, F.; Hanada, K.; Nobuhara NTakenaga, S.; Arimura, K.; Osame, M. Manganese intoxication during total parenteral nutrition: Report of two cases and review of literature. J. Neurol. Sci. 1999, 162, 102–105. [Google Scholar] [CrossRef]
- Hambidge, K.M.; Sokol, R.J.; Fidanza, S.J.; Goodall, M.A. Plasma manganese concentrations in infants and children receiving parenteral nutrition. J. Parenter. Enter. Nutr. 1989, 13, 168–171. [Google Scholar] [CrossRef]
- Khan, A.; Hingre, J.; Dhamoon, A.S. Manganese Neurotoxicity as a Complication of Chronic Total Parenteral Nutrition. Case Rep. Neurol. Med. 2020, 2020, 1–6. [Google Scholar] [CrossRef] [PubMed]
- Nyarko-Danguah, I.; Pajarillo, E.; Digman, A.; Soliman, K.F.A.; Aschner, M.; Lee, E. Manganese accumulation in the brain in patientes receiving home parenteral nutrition. Molecules 2020, 25, 5880. [Google Scholar]
- Wilson, D.C.; Tubman, T.R.; Halliday, H.L.; Mcmaster, D. Plasma manganese levels in the very low birth weight infant are high in early life. Bio. Neonate 1992, 61, 42–46. [Google Scholar] [CrossRef] [PubMed]
- Abdalian, R.; Saqui, O.; Fernandes, G.; Allard, J.P. Effects of manganese from a commercial multi-trace mineral supplement in a population sample of Canadian patients on long-term parenteral nutrition. J. Parenter. Enter. Nutr. 2013, 37, 538–543. [Google Scholar] [CrossRef]
- Santos, D.; Batoreu, C.; Mateus, L.; Marreilha dos Santos, A.P.; Aschner, M. Manganese in Human Parenteral Nutrition: Considerations for Toxicity and Biomonitoring. Neurotoxicology 2013, 43, 36–45. [Google Scholar] [CrossRef]
- Murad, M.H.; Sultan, S.; Haffar, S.; Bazerbachi, F. Methodological quality and synthesis of case series and case reports. BMJ Evid. Bases Med. 2018, 23, 60–63. [Google Scholar] [CrossRef]
- Mirtallo, M.H.; Canada, T.; Johnson, D.; Kump, V.; Petersen, C.; Sacks, G.; Seres, D.; Guenter, P.; Seres, D.; Task Force for the Revision of Safe Practices for Parenteral Nutrition; et al. Safe practices for parenteral nutrition. J. Parenter. Enter. Nutr. 2004, 28, 539–570. [Google Scholar] [CrossRef]
- Vanek, V.W.; Borum, P.; Buchman, A.; Fessler, T.A.; Howard, L.; Jeejeebhoy, K.; Kochevar, M.; Shenkin, A.; Valentine, C.J.; Novel Nutrient Task Force, Parenteral Multi-Vitamin and Multi–Trace Element Working Group; et al. A.S.P.E.N. position paper: Recommendations for changes in commercially available parenteral multivitamin and multi-trace element products. Nutr. Clin. Pr. 2012, 27, 440–491. [Google Scholar] [CrossRef]
- Reimund, J.M.; Dietemann, J.L.; Warter, J.M.; Baumann, R.; Duclos, B. Factors associated to hypermanganesemia in patients receiving home parenteral nutrition. Clin. Nutr. 2000, 19, 343–348. [Google Scholar] [CrossRef]
- Erikson, K.M.; John, C.E.; Jones, S.R.; Aschner, M. Manganese accumulation in striatum of mice exposed to toxic doses is dependent upon a functional dopamine transporter. Env. Toxicol. Pharmacol. 2005, 20, 390–394. [Google Scholar] [CrossRef]
- Anderson, J.G.; Cooney, P.T.; Erikson, K.M. Inhibition of DAT function attenuates manganese accumulation in the globus pallidus. Env. Toxicol. Pharmacol. 2007, 23, 179–184. [Google Scholar] [CrossRef] [PubMed]
- Anderson, J.G.; Cooney, P.T.; Erikson, K.M. Manganese in Parenteral Nutrition: Who, When, and Why Should We Supplement? Hardy, Gil. Gastroenterology 2009, 137, S29–S35. [Google Scholar]
- Ikeda, S.; Sera, Y.; Yoshida, M.; Ohshiro, H.; Uchiro, S.; Oka, Y.; Lee, K.J.; Kotera, A. Manganese deposits in patients with biliary atresia after hepatic porto-enterostomy. J. Pediatr. Surg. 2000, 35, 450–453. [Google Scholar] [CrossRef]
- Li, S.; Zhua, Y.; Liu, X. Parkinsonism in liver disease or dysfunction. Med. Clin. 2024, 163, 461–468. [Google Scholar] [CrossRef]
- Heilig, E.; Molina, R.; Donaghey, T.; Brain, J.D.; Wessling-Resnick, M. Pharmacokinetics of pulmonary manganese absorption: Evidence for increased susceptibility to manganese loading in iron-deficient rats. Am. J. Physiol. Lung Cell Mol. Physiol. 2005, 288, L887–L893. [Google Scholar] [CrossRef]
- Aschner, M.; Aschner, J.L. Manganese neurotoxicity:cellular effects and blood-brain transport. Neurosci. Biobehav. Rev. 1991, 15, 333–340. [Google Scholar] [CrossRef]
- Aschner, M.; Vrana, K.E.; Zheng, W. Manganese uptake and distribution in the central nervous system (CNS). Neurotoxicology 1999, 20, 173–180. [Google Scholar]
- Ke, Y.; Chang, Y.Z.; Duan, X.L.; Du, J.R.; Zhu, L.; Wang, K.; Yang, X.D.; Ho, K.P.; Qian, Z.M. Age-dependent and iron-independent expression of two mRNA isoforms of divalent metal transporter 1 in rat brain. Neurobiol. Aging 2005, 26, 739–748. [Google Scholar] [CrossRef]
- Cowan, D.M.; Zheng, W.; Zou, Y.; Shi, X.; Chen, J.; Rosenthal, F.S.; Fan, Q.Y. Manganese exposure among smelting workers: Relationship between blood manganese-iron ratio and early onset neurobehavioral alterations. NeuroToxicology 2009, 30, 1214–1222. [Google Scholar] [CrossRef]
- Martínez-Manzanal, R.; Lozano-Fernández, R.; Seijas-martínez-Echevarría, V. Thesis Reading: Universidad Complutense de Madrid (España). ¿Están los Neonatos en Riesgo de Intoxicación por Manganeso? [En línea] 2015. Available online: https://dialnet.unirioja.es/servlet/tesis?codigo=99784 (accessed on 22 January 2025).
- Smargiassi, A.; Mutti, A. Peripheral biomarkers and exposure to manganese. Neurotoxicology 1999, 20, 401–406. [Google Scholar]
- Apostoli, P.; Lucchini, R.; Alessio, L. Are current biomarkers suitable for the assessment of manganese exposure in individual workers? Am. J. Ind. Med. 2000, 37, 283–290. [Google Scholar] [CrossRef]
- Baj, J.; Flieger, W.; Barbachowska, A.; Kowalska, B.; Flieger, M.; Forma, A.; Teresiński, G.; Portincasa, P.; Buszewicz, G.; Radzikowska-Büchner, E.; et al. Consequences of Disturbing Manganese Homeostasis. Int. J. Mol. Sci. 2023, 24, 14959. [Google Scholar] [CrossRef] [PubMed]
- Freire, C.; Koifman, R.J.; Fujimoto, D.; De Oliveira Souza Ac Barbosa, F.; Koifman, S. Reference values of cadmium, arsenic and manganese in blood and factors associates with exposure levels among adult population of Rio Branco, Acre, Brazil. Chemosphere 2015, 128, 70–80. [Google Scholar] [CrossRef]
- Gil, F.; Hernández, A.F.; Márquez, C.; Femia, P.; Olmedo, P.; López-Guarnido, O.; Pla, A. Biomonitorization of cadmium, chromium, manganese, nickel and lead in whole blood, urine, axillary hair and saliva in an occupationally exposed population. Sci. Total Environ. 2011, 409, 1172–1180. [Google Scholar] [CrossRef]
- (ATDSR)—Agency for Toxic Substances and Disease Registry. Toxicological Profile for Manganese; Centers for Disease Control: Atlanta, GA, USA, 2008. [Google Scholar]
- Takagi, Y.; Okada, A.; Sando, K.; Wasa, M.; Yoshida, H.; Hirabuki, N. Evaluation of indexes in vivo manganese status and the optimal intravenous dose for adult patients undergoing home parenteral nutrition. Am. J. Nutr. 2002, 75, 112–118. [Google Scholar] [CrossRef]
- Grashow r Zhang j Fang, S.C.; Weisskopf, M.G.; Christiani, D.C.; Cavallari, J.M. Toenail metal concentration as a biomarker of occupational welding fume exposure. J. Occup. Environ. Hyg. 2014, 11, 397–405. [Google Scholar] [CrossRef]
- Eastman, R.R.; Jursa, T.P.; Benedetti, C.; Lucchini, R.G.; Smith, D.R. Hair as a biomarker of environmental manganese exposure. Environ. Sci. Technol. 2013, 47, 1629–1637. [Google Scholar] [CrossRef]
- Herrero, E.; Discalzi, G.; Valentini, C.; Venturi, F.; Chiò, A.; Carmellino, C.; Rossi, L.; Sacchetti, A.; Pira, E. Follow-up of patients affected by manganese-induced Parkinsonism after treatment with CaNa2EDTA. Neurotoxicology 2006, 27, 333–339. [Google Scholar] [CrossRef]
- Xie, Y.-H.; Song, H.-X.; Peng, J.-C.; Li, S.-J.; Ou, S.-Y.; Aschner, M.; Jiang, Y.-M. Treatment of manganese and lead poisoning with sodium para-aminosalicylic acid: A contemporary update. Toxicol. Lett. 2024, 398, 69–81. [Google Scholar] [CrossRef]




| Hb (g·dL−1) | Iron (µg·dL−1) | GGT (U·L−1) | Bil (mg·dL−1) | AST (U/L−1) | |
|---|---|---|---|---|---|
| At the beginning of PN | 9.1 | 14 | 173 | 2.5 | 0.6 |
| At the end of PN | 9.6 | 48 | 396 | 0.6 | 69 |
| Reference range | 13–18 | 57–182 | 11–49 | <1.1 | <37 |
Disclaimer/Publisher’s Note: The statements, opinions and data contained in all publications are solely those of the individual author(s) and contributor(s) and not of MDPI and/or the editor(s). MDPI and/or the editor(s) disclaim responsibility for any injury to people or property resulting from any ideas, methods, instructions or products referred to in the content. |
© 2025 by the authors. Licensee MDPI, Basel, Switzerland. This article is an open access article distributed under the terms and conditions of the Creative Commons Attribution (CC BY) license (https://creativecommons.org/licenses/by/4.0/).
Share and Cite
Seijas-Martínez-Echevarría, V.; Martínez-Manzanal, R.; Mena-Pérez, E.; Nuñez-Valentín, P.; Ruiz-Martin, G. Manganese Intoxication Induced by Total Parenteral Nutrition in the Intensive Care Unit: A Case Report. Diagnostics 2025, 15, 1346. https://doi.org/10.3390/diagnostics15111346
Seijas-Martínez-Echevarría V, Martínez-Manzanal R, Mena-Pérez E, Nuñez-Valentín P, Ruiz-Martin G. Manganese Intoxication Induced by Total Parenteral Nutrition in the Intensive Care Unit: A Case Report. Diagnostics. 2025; 15(11):1346. https://doi.org/10.3390/diagnostics15111346
Chicago/Turabian StyleSeijas-Martínez-Echevarría, Victoria, Rita Martínez-Manzanal, Ester Mena-Pérez, Pilar Nuñez-Valentín, and Guadalupe Ruiz-Martin. 2025. "Manganese Intoxication Induced by Total Parenteral Nutrition in the Intensive Care Unit: A Case Report" Diagnostics 15, no. 11: 1346. https://doi.org/10.3390/diagnostics15111346
APA StyleSeijas-Martínez-Echevarría, V., Martínez-Manzanal, R., Mena-Pérez, E., Nuñez-Valentín, P., & Ruiz-Martin, G. (2025). Manganese Intoxication Induced by Total Parenteral Nutrition in the Intensive Care Unit: A Case Report. Diagnostics, 15(11), 1346. https://doi.org/10.3390/diagnostics15111346

