Different Pathways of Skin Aging: Objective Instrumental Evaluation
Abstract
1. Introduction
2. Materials and Methods
2.1. Study Subjects
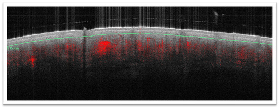
2.2. Imaging Check-Up Procedure
2.3. Study Aims and Protocol
- High UV spots and low red areas (Group PIGM [= ”pigmented”]).
- Low UV spots and high red areas (Group RED).
- Low UV spots and low red areas (Group CONTROL).
- High UV spots and high red areas (Group PIGM + RED).
- High UV spots ≥ 30,000; low UV spots < 30,000
- High Red areas ≥ 25,000; low red areas < 25,000
2.4. Image and Statistical Analysis
3. Results
3.1. VISIA® Evaluation
3.2. D-OCT Evaluation
3.3. Subgroup Cross-Analysis
- Wrinkle count: RED < CONTROL < PIGM < PIGM + RED
- a.
- The wrinkle count was lowest in the groups that had the lowest UV spot count.
- Attenuation coefficient: PIGM + RED < PIGM < RED < CONTROL
- a.
- The attenuation coefficient was highest in subjects with a low UV spot count.
- Dermal density: PIGM + RED < PIGM < CONTROL < RED
- a.
- The dermal density was highest in subjects with a low UV spot count.
- Vascular density at 300 µm: CONTROL/PIGM < PIGM + RED < RED
- a.
- The vascular density was highest in subjects with the highest red area count.
4. Discussion
Author Contributions
Funding
Institutional Review Board Statement
Informed Consent Statement
Data Availability Statement
Conflicts of Interest
References
- Ho, C.Y.; Dreesen, O. Faces of cellular senescence in skin aging. Mech. Ageing Dev. 2021, 198, 111525. [Google Scholar] [CrossRef] [PubMed]
- Farage, M.A.; Miller, K.W.; Elsner, P.; Maibach, H.I. Characteristics of the Aging Skin. Adv. Wound Care 2013, 2, 5–10. [Google Scholar] [CrossRef] [PubMed]
- Swift, A.; Liew, S.; Weinkle, S.; Garcia, J.K.; Silberberg, M.B. The Facial Aging Process From the “Inside Out”. Aesthet. Surg. J. 2021, 41, 1107–1119. [Google Scholar] [CrossRef]
- Hudson, C.; Brissett, A.; Carniol, P. Analysis and Assessment of Facial Aging. Curr. Otorhinolaryngol. Rep. 2021, 9, 415–421. [Google Scholar] [CrossRef]
- La Padula, S.; Hersant, B.; Bompy, L.; Meningaud, J.P. In search of a universal and objective method to assess facial aging: The new face objective photo-numerical assessment scale. J. Craniomaxillofac. Surg. 2019, 47, 1209–1215. [Google Scholar] [CrossRef]
- Sachs, D.L.; Varani, J.; Chubb, H.; Fligiel, S.E.; Cui, Y.; Calderone, K.; Helfrich, Y.; Fisher, G.J.; Voorhees, J.J. Atrophic and hypertrophic photoaging: Clinical, histologic, and molecular features of 2 distinct phenotypes of photoaged skin. J. Am. Acad. Dermatol. 2019, 81, 480–488. [Google Scholar] [CrossRef]
- Langton, A.; Ayer, J.; Griffiths, T.; Rashdan, E.; Naidoo, K.; Caley, M.; Birch-Machin, M.; O’Toole, E.; Watson, R.; Griffiths, C. Distinctive clinical and histological characteristics of atrophic and hypertrophic facial photoageing. J. Eur. Acad. Dermatol. Venereol. 2021, 35, 762–768. [Google Scholar] [CrossRef]
- Brooke, R.C.; Newbold, S.A.; Telfer, N.R.; Griffiths, C.E. Discordance between facial wrinkling and the presence of basal cell carcinoma. Arch. Dermatol. 2001, 137, 751–754. [Google Scholar]
- Langton, A.K.; Ali, Z.; Hann, M.; Ayer, J.; Watson, R.E.B.; Griffiths, C.E.M. Prevalence of Atrophic and Hypertrophic Skin Ageing Phenotypes: A UK-based Observational Study. Acta Derm. Venereol. 2020, 100, adv00347. [Google Scholar] [CrossRef]
- Goldsberry, A.; Hanke, C.W.; Hanke, K.E. VISIA system: A possible tool in the cosmetic practice. J. Drugs Dermatol. JDD 2014, 13, 1312–1314. [Google Scholar]
- Pan, Y.; Jia, K.; Yan, S.; Jiang, X. Effectiveness of VISIA system in evaluating the severity of rosacea. Skin. Res. Technol. 2022, 28, 740–748. [Google Scholar] [CrossRef]
- Wang, X.; Shu, X.; Li, Z.; Huo, W.; Zou, L.; Tang, Y.; Li, L. Comparison of two kinds of skin imaging analysis software: VISIA® from Canfield and IPP® from Media Cybernetics. Skin. Res. Technol. 2018, 24, 379–385. [Google Scholar] [CrossRef] [PubMed]
- Prendergast, P.M. Skin Imaging in Aesthetic Medicine; Springer: Berlin/Heidelberg, Germany, 2012. [Google Scholar]
- Vergilio, M.M.; Vasques, L.I.; Leonardi, G.R. Characterization of skin aging through high-frequency ultrasound imaging as a technique for evaluating the effectiveness of anti-aging products and procedures: A review. Skin. Res. Technol. 2021, 27, 966–973. [Google Scholar] [CrossRef]
- Grant-Kels, J.M.; Pellacani, G.; Longo, C. Reflectance Confocal Microscopy Clinical Applications: The Skin from Inside. Dermatol. Clin. 2016, 34, xiii–xiv. [Google Scholar] [CrossRef]
- Psomadakis, C.E.; Marghoob, N.; Bleicher, B.; Markowitz, O. Optical coherence tomography. Clin. Dermatol. 2021, 39, 624–634. [Google Scholar] [CrossRef] [PubMed]
- Trojahn, C.; Dobos, G.; Richter, C.; Blume-Peytavi, U.; Kottner, J. Measuring skin aging using optical coherence tomography in vivo: A validation study. J. Biomed. Opt. 2015, 20, 045003. [Google Scholar] [CrossRef] [PubMed]
- Pezzini, C.; Ciardo, S.; Guida, S.; Kaleci, S.; Chester, J.; Casari, A.; Manfredini, M.; Longo, C.; Farnetani, F.; Brugués, A.O.; et al. Skin ageing: Clinical aspects and in vivo microscopic patterns observed with reflectance confocal microscopy and optical coherence tomography. Exp. Dermatol. 2023, 32, 348–358. [Google Scholar] [CrossRef] [PubMed]
- Belbasis, L.; Stefanaki, I.; Stratigos, A.J.; Evangelou, E. Non-genetic risk factors for cutaneous melanoma and keratinocyte skin cancers: An umbrella review of meta-analyses. J. Dermatol. Sci. 2016, 84, 330–339. [Google Scholar] [CrossRef]
- Zink, A. Trends in the treatment and prevention of keratinocyte carcinoma (non-melanoma skin cancer). Curr. Opin. Pharmacol. 2019, 46, 19–23. [Google Scholar] [CrossRef]
- Perez, M.; Abisaad, J.A.; Rojas, K.D.; Marchetti, M.A.; Jaimes, N. Skin cancer: Primary, secondary, and tertiary prevention. Part I. J. Am. Acad. Dermatol. 2022, 87, 255–268. [Google Scholar] [CrossRef]
- Fenske, N.A.; Lober, C.W. Structural and functional changes of normal aging skin. J. Am. Acad. Dermatol. 1986, 15 Pt 1, 571–585. [Google Scholar] [CrossRef] [PubMed]
- D’arino, A.; Caputo, S.; Eibenschutz, L.; Piemonte, P.; Buccini, P.; Frascione, P.; Bellei, B. Skin Cancer Microenvironment: What We Can Learn from Skin Aging? Int. J. Mol. Sci. 2023, 24, 14043. [Google Scholar] [CrossRef] [PubMed]
- Ayer, J. A Comparison of Atrophic and Hypertrophic Facial Photoageing; The University of Manchester: Manchester, UK, 2016. [Google Scholar]
- Griffiths, C.E.; Wang, T.S.; Hamilton, T.A.; Voorhees, J.J.; Ellis, C.N. A photonumeric scale for the assessment of cutaneous photodamage. Arch. Dermatol. 1992, 128, 347–351. [Google Scholar] [CrossRef] [PubMed]
- Ayer, J.; Ahmed, A.; Duncan-Parry, E.; Beck, P.; Griffiths, T.; Watson, R.; Griffiths, C. A photonumeric scale for the assessment of atrophic facial photodamage. Br. J. Dermatol. 2018, 178, 1190–1195. [Google Scholar] [CrossRef]
- Pardo, L.; Hamer, M.; Liu, F.; Velthuis, P.; Kayser, M.; Gunn, D.; Nijsten, T. Principal component analysis of seven skin-ageing features identifies three main types of skin ageing. Br. J. Dermatol. 2020, 182, 1379–1387. [Google Scholar] [CrossRef]
- Henseler, H. Assessment of the reproducibility and accuracy of the Visia® Complexion Analysis Camera System for objective skin analysis of facial wrinkles and skin age. GMS Interdiscip. Plast. Reconstr. Surg. DGPW 2023, 12, Doc07. [Google Scholar] [CrossRef] [PubMed]
- Olsen, J.; Gaetti, G.; Grandahl, K.; Jemec, G.B.E. Optical coherence tomography quantifying photo aging: Skin microvasculature depth, epidermal thickness and UV exposure. Arch. Dermatol. Res. 2022, 314, 469–476. [Google Scholar] [CrossRef] [PubMed]
- Linming, F.; Wei, H.; Anqi, L.; Yuanyu, C.; Heng, X.; Sushmita, P.; Yiming, L.; Li, L. Comparison of two skin imaging analysis instruments: The VISIA® from Canfield vs. the ANTERA 3D® CS from Miravex. Ski. Res. Technol. 2018, 24, 3–8. [Google Scholar] [CrossRef]
- Chen, Y.; Hua, W.; Li, A.; He, H.; Xie, L.; Li, L. Analysis of facial redness by comparing VISIA® from Canfield and CSKIN® from Yanyun Technology. Ski. Res. Technol. 2020, 26, 696–701. [Google Scholar] [CrossRef]




| CONTROL (10 Cases), Mean | PIGM (10 Cases), Mean | RED (10 Cases), Mean | PIGM + RED (10 Cases), Mean | p-Value | |
|---|---|---|---|---|---|
| WRINKLE_ABS | 25,511.89 | 26,297.8 | 13,917.5 | 28,102.71 | 0.031 |
| BROWNSPOT_ABS | 25,318.22 | 27,888.8 | 23,684.62 | 34,007.29 | 0.075 |
| REDSPOT_ABS | 14,537.89 | 18,670.6 | 34,743.88 | 39,387 | <0.001 |
| PORPH_ABS | 10,347.67 | 15,170.5 | 18,701.25 | 22,754.43 | 0.099 |
| PORES_ABS | 16,290.78 | 15,318.8 | 16,589.75 | 19,746.71 | 0.4 |
| UVSPOTS_ABS | 23,621.22 | 38,390.6 | 25,256.5 | 43,414 | <0.001 |
| Epidermal thickness (µm) | 58.41 | 59.41 | 58.61 | 54.85 | 0.32 |
| Roughness (Ra) | 0.01 | 0.012 | 0.01 | 0.001 | 0.22 |
| Vascular density 300 µm (Vivotools) | 0.115 | 0.136 | 0.172 | 0.155 | 0.003 |
| VASC150 µm (ImageJ) | 1789.56 | 3144 | 3972.57 | 4347.86 | 0.05 |
| VASC300 µm (ImageJ) | 15,787.56 | 14,355.9 | 38,454.43 | 23,216.43 | 0.04 |
| VASC500 µm (ImageJ) | 39,380.56 | 35,394.6 | 41,036.43 | 43,642 | 0.054 |
| Attenuation coefficient | 2.36 | 2.046 | 2.18 | 1.9 | 0.04 |
| Dermal density | 0.846 | 0.834 | 0.864 | 0.789 | 0.032 |
| Subgroup | ||||
|---|---|---|---|---|
| CONTROL | RED | PIGM | PIGM + RED | |
| UV spots | ![]() | ![]() | ![]() | ![]() |
| Red areas | ![]() | ![]() | ![]() | ![]() |
| Wrinkles | ![]() | ![]() | ![]() | ![]() |
| Attenuation Coefficient | ![]() | ![]() | ![]() | ![]() |
| Dermal Density | ![]() | ![]() | ![]() | ![]() |
| Vascular Density at 300 µm | ![]() | ![]() | ![]() | ![]() |
Disclaimer/Publisher’s Note: The statements, opinions and data contained in all publications are solely those of the individual author(s) and contributor(s) and not of MDPI and/or the editor(s). MDPI and/or the editor(s) disclaim responsibility for any injury to people or property resulting from any ideas, methods, instructions or products referred to in the content. |
© 2024 by the authors. Licensee MDPI, Basel, Switzerland. This article is an open access article distributed under the terms and conditions of the Creative Commons Attribution (CC BY) license (https://creativecommons.org/licenses/by/4.0/).
Share and Cite
Musolff, N.; Cantisani, C.; Guida, S.; Michelini, S.; Tchack, M.; Rao, B.; Pellacani, G. Different Pathways of Skin Aging: Objective Instrumental Evaluation. Diagnostics 2024, 14, 2381. https://doi.org/10.3390/diagnostics14212381
Musolff N, Cantisani C, Guida S, Michelini S, Tchack M, Rao B, Pellacani G. Different Pathways of Skin Aging: Objective Instrumental Evaluation. Diagnostics. 2024; 14(21):2381. https://doi.org/10.3390/diagnostics14212381
Chicago/Turabian StyleMusolff, Noah, Carmen Cantisani, Stefania Guida, Simone Michelini, Madeline Tchack, Babar Rao, and Giovanni Pellacani. 2024. "Different Pathways of Skin Aging: Objective Instrumental Evaluation" Diagnostics 14, no. 21: 2381. https://doi.org/10.3390/diagnostics14212381
APA StyleMusolff, N., Cantisani, C., Guida, S., Michelini, S., Tchack, M., Rao, B., & Pellacani, G. (2024). Different Pathways of Skin Aging: Objective Instrumental Evaluation. Diagnostics, 14(21), 2381. https://doi.org/10.3390/diagnostics14212381



