Fluoroscopic-Guided vs. Multislice Computed Tomography (CT) Biopsy Mode-Guided Percutaneous Radiologic Gastrostomy (PRG)—Comparison of Interventional Parameters and Billing
Abstract
1. Introduction
2. Materials and Methods
2.1. Study Population
2.2. Baseline Evaluation and Preparation
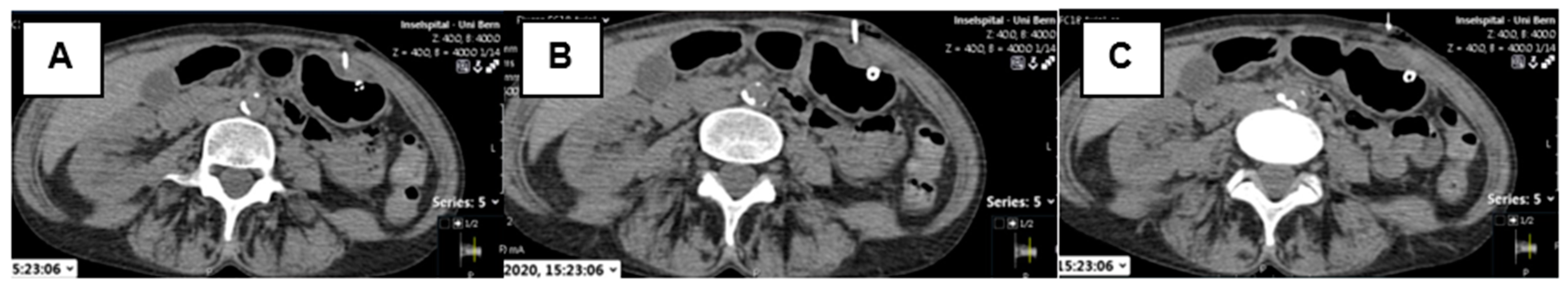
2.3. CT-Guided PRG Technique
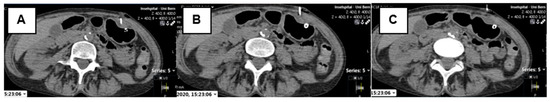
2.4. Fluoroscopy-Guided PRG (FPRG) Technique
2.5. Follow-Up
2.6. Data Evaluation
2.7. Billing Comparison
2.8. Statistical Analysis
3. Results
3.1. Study Population
3.2. Complications
3.3. Interventional Parameters and Follow-Up
3.4. Billing Comparison
4. Discussion
5. Conclusions
Author Contributions
Funding
Institutional Review Board Statement
Informed Consent Statement
Data Availability Statement
Conflicts of Interest
References
- Pironi, L.; Boeykens, K.; Bozzetti, F.; Joly, F.; Klek, S.; Lal, S.; Lichota, M.; Mühlebach, S.; Van Gossum, A.; Wanten, G. ESPEN guideline on home parenteral nutrition. Clin. Nutr. 2020, 39, 1645–1666. [Google Scholar] [CrossRef] [PubMed]
- Mildenberger, P.; Oberholzer, K.; Kauczor, H.; Düber, C.; Kurz, S.; Schild, H.; Thelen, M. Radiologically assisted percutaneous gastro-/enterostomy—A retrospective analysis of 90 procedures. Rofo Fortschritte Geb. Rontgenstrahlen Nukl. 1996, 165, 74–79. [Google Scholar] [CrossRef] [PubMed]
- Ho, C.-S.; Yee, A.C.; McPherson, R. Complications of surgical and percutaneous nonendoscopic gastrostomy: Review of 233 patients. Gastroenterology 1988, 95, 1206–1210. [Google Scholar] [CrossRef] [PubMed]
- Carlson, S.K.; Bender, C.E.; Classic, K.L.; Zink, F.E.; Quam, J.P.; Ward, E.M.; Oberg, A.L. Benefits and safety of CT fluoroscopy in interventional radiologic procedures. Radiology 2001, 219, 515–520. [Google Scholar] [CrossRef] [PubMed]
- Tamura, A.; Kato, K.; Suzuki, M.; Sone, M.; Tanaka, R.; Nakasato, T.; Ehara, S. CT-guided percutaneous radiologic gastrostomy for patients with head and neck cancer: A retrospective evaluation in 177 patients. Cardiovasc. Interv. Radiol. 2016, 39, 271–278. [Google Scholar] [CrossRef] [PubMed]
- Hu, H.-T.; Yuan, H.; Guo, C.-Y.; Yao, Q.-J.; Geng, X.; Cheng, H.-T.; Ma, J.-L.; Zhao, Y.; Jiang, L.; Zhao, Y.-Q. Radiological gastrostomy: A comparative analysis of different image-guided methods. Int. J. Gastrointest. Interv. 2021, 10, 67–71. [Google Scholar] [CrossRef]
- Deurloo, E.; Kool, L.S.; Kröger, R.; Van Coevorden, F.; Balm, A. Percutaneous radiological gastrostomy in patients with head and neck cancer. Eur. J. Surg. Oncol. 2001, 27, 94–97. [Google Scholar] [CrossRef] [PubMed]
- Brönnimann, M.P.; Christe, A.; Heverhagen, J.T.; Gebauer, B.; Auer, T.A.; Schnapauff, D.; Collettini, F.; Schroeder, C.; Dorn, P.; Ebner, L. Pneumothorax risk reduction during CT-guided lung biopsy–Effect of fluid application to the pleura before lung puncture and the gravitational effect of pleural pressure. Eur. J. Radiol. 2024, 176, 111529. [Google Scholar] [CrossRef] [PubMed]
- Brönnimann, M.P.; Hirzberger, L.; Keller, P.M.; Gsell-Albert, M. Antibacterial Effects of X-ray and MRI Contrast Media: An In Vitro Pilot Study. Int. J. Mol. Sci. 2023, 24, 3470. [Google Scholar] [CrossRef] [PubMed]
- Lorentzen, T.; Nolsøe, C.; Adamsen, S. Percutaneous radiologic gastrostomy with a simplified gastropexy technique under ultrasonographic and fluoroscopic guidance: Experience in 154 patients. Acta Radiol. 2007, 48, 13–19. [Google Scholar] [CrossRef] [PubMed]
- Wollman, B.; d’Agostino, H. Percutaneous radiologic and endoscopic gastrostomy: A 3-year institutional analysis of procedure performance. Am. J. Roentgenol. 1997, 169, 1551–1553. [Google Scholar] [CrossRef] [PubMed]
- Yang, Y.; Schneider, J.; Düber, C.; Pitton, M. Comparison of fluoroscopy-guided Pull-type percutaneous radiological gastrostomy (Pull-type-PRG) with conventional percutaneous radiological gastrostomy (Push-type-PRG): Clinical results in 253 patients. Eur. Radiol. 2011, 21, 2354–2361. [Google Scholar] [CrossRef] [PubMed]
- Prosch, H.; Stadler, A.; Schilling, M.; Bürklin, S.; Eisenhuber, E.; Schober, E.; Mostbeck, G. CT fluoroscopy-guided vs. multislice CT biopsy mode-guided lung biopsies: Accuracy, complications and radiation dose. Eur. J. Radiol. 2012, 81, 1029–1033. [Google Scholar] [CrossRef] [PubMed]
- Nett, B. Simple Calculator for Effective Dose in CT (DLP -> Eff Dose): Radiologic Technologist’s Guide to Effective Dose (mSv) in CT from Dose Length Product (mGy cm). Available online: https://howradiologyworks.com/dlp-calculator/ (accessed on 4 April 2024).
- Wall, B.F.; Haylock, R.G.E.; Jansen, J.T.M.; Hillier, M.C.; Hart, D.; Shrimpton, P.C. Radiation Risks from Medical X-ray Examinations as a Function of the Age and Sex of the Patient; Health Protection Agency: Didcot, UK, 2011. [Google Scholar]
- Kandarpa, K.; Machan, L. Handbook of Interventional Radiologic Procedures; Lippincott Williams & Wilkins: New York, NY, USA, 2011. [Google Scholar]
- Viering, T.; Loog, M. The shape of learning curves: A review. IEEE Trans. Pattern Anal. Mach. Intell. 2022, 45, 7799–7819. [Google Scholar] [CrossRef] [PubMed]
- Lang, E.K.; Allaei, A.; Abbey-Mensah, G.; Zinn, H.; Walsh, J.; Derbes, A.; Bizzell, C.; Scalfani, T.; Nguyen, Q.; Raissi, D. Percutaneous radiologic gastrostomy: Results and analysis of factors contributing to complications. J. La. State Med. Soc. 2013, 165, 254–260. [Google Scholar] [PubMed]
- De Baere, T.; Chapot, R.; Kuoch, V.; Chevallier, P.; Delille, J.P.; Domenge, C.; Schwaab, G.; Roche, A. Percutaneous gastrostomy with fluoroscopic guidance: Single-center experience in 500 consecutive cancer patients. Radiology 1999, 210, 651–654. [Google Scholar] [CrossRef] [PubMed]
- FOPH, F.O.o.P.H. Dose Limits for Occupationally Exposed Persons. Available online: https://www.bag.admin.ch/bag/de/home/gesund-leben/umwelt-und-gesundheit/strahlung-radioaktivitaet-schall/dosimetrie-berufliche-strahlenexposition/dosisgrenzwerte.html (accessed on 12 April 2024).
- Franklin, B. Advice to a Young Tradesman; Philadelphia Historical Society Collections: Philadelphia, PA, USA, 1748. [Google Scholar]
- Barkmeier, J.M.; Trerotola, S.O.; Wiebke, E.A.; Sherman, S.; Harris, V.J.; Snidow, J.J.; Johnson, M.S.; Rogers, W.J.; Zhou, X.-H. Percutaneous radiologic, surgical endoscopic, and percutaneous endoscopic gastrostomy/gastrojejunostomy: Comparative study and cost analysis. Cardiovasc. Interv. Radiol. 1998, 21, 324–328. [Google Scholar] [CrossRef] [PubMed]






| TARMED Tariff Comparison | ||||
|---|---|---|---|---|
| FLURO-MFCE | FPRG | MS-CT BM-PRG | CT-MFCE | |
| esophageal passage, OP | CT CAP, OP, CM | |||
| Total TP | 354.25 | 1171.56 | 1024.04 | 945 |
| Paid Min | undef | 123 | 122 | undef |
| IR Time (Mean IR Time + 10 min for PP and Doc | 39 | 51 | ||
| Current Slot Time | 30 | 20 | ||
| Material Costs | included | 498 | 498 | included |
| Invoice Amount in CHF | 294.46 | 1505.54 | 1378.67 | 975.39 |
| Survey of PRG Implantation | |||||||
|---|---|---|---|---|---|---|---|
| Parameter | All (n = 133) | FLURO-Guided (n = 78) | CT-Guided (n = 55) | p Value | |||
| Female | 35 | 26% | 20 | 57% | 15 | 43% | 0.842 |
| Age (y) | 64.59 | ±11.91 | 65.37 | ±12.16 | 63.49 | ±11.59 | 0.365 |
| Effective Dose (mSv) | 4.629 | ±9.05 | 0.169 | ±0.21 | 10.95 | ±11.43 | <0.001 * |
| Intervention Time (m) | 33.85 | ±17.15 | 28.71 | ±16.03 | 41.15 | ±16.14 | <0.001 * |
| Complications | 0.039 * | ||||||
| major | 8 | 6% | 8 | 10% | 0 | 0% | |
| minor | 17 | 13% | 9 | 12% | 8 | 15% | |
| none | 108 | 81% | 61 | 78% | 47 | 85% | |
Disclaimer/Publisher’s Note: The statements, opinions and data contained in all publications are solely those of the individual author(s) and contributor(s) and not of MDPI and/or the editor(s). MDPI and/or the editor(s) disclaim responsibility for any injury to people or property resulting from any ideas, methods, instructions or products referred to in the content. |
© 2024 by the authors. Licensee MDPI, Basel, Switzerland. This article is an open access article distributed under the terms and conditions of the Creative Commons Attribution (CC BY) license (https://creativecommons.org/licenses/by/4.0/).
Share and Cite
Brönnimann, M.P.; Kulagowska, J.; Gebauer, B.; Auer, T.A.; Collettini, F.; Schnapauff, D.; Magyar, C.T.J.; Komarek, A.; Krokidis, M.; Heverhagen, J.T. Fluoroscopic-Guided vs. Multislice Computed Tomography (CT) Biopsy Mode-Guided Percutaneous Radiologic Gastrostomy (PRG)—Comparison of Interventional Parameters and Billing. Diagnostics 2024, 14, 1662. https://doi.org/10.3390/diagnostics14151662
Brönnimann MP, Kulagowska J, Gebauer B, Auer TA, Collettini F, Schnapauff D, Magyar CTJ, Komarek A, Krokidis M, Heverhagen JT. Fluoroscopic-Guided vs. Multislice Computed Tomography (CT) Biopsy Mode-Guided Percutaneous Radiologic Gastrostomy (PRG)—Comparison of Interventional Parameters and Billing. Diagnostics. 2024; 14(15):1662. https://doi.org/10.3390/diagnostics14151662
Chicago/Turabian StyleBrönnimann, Michael P., Jagoda Kulagowska, Bernhard Gebauer, Timo A. Auer, Federico Collettini, Dirk Schnapauff, Christian T. J. Magyar, Alois Komarek, Miltiadis Krokidis, and Johannes T. Heverhagen. 2024. "Fluoroscopic-Guided vs. Multislice Computed Tomography (CT) Biopsy Mode-Guided Percutaneous Radiologic Gastrostomy (PRG)—Comparison of Interventional Parameters and Billing" Diagnostics 14, no. 15: 1662. https://doi.org/10.3390/diagnostics14151662
APA StyleBrönnimann, M. P., Kulagowska, J., Gebauer, B., Auer, T. A., Collettini, F., Schnapauff, D., Magyar, C. T. J., Komarek, A., Krokidis, M., & Heverhagen, J. T. (2024). Fluoroscopic-Guided vs. Multislice Computed Tomography (CT) Biopsy Mode-Guided Percutaneous Radiologic Gastrostomy (PRG)—Comparison of Interventional Parameters and Billing. Diagnostics, 14(15), 1662. https://doi.org/10.3390/diagnostics14151662

