High Intensity Focused Ultrasound Ablation for Juvenile Cystic Adenomyosis: Two Case Reports and Literature Review
Abstract
1. Introduction
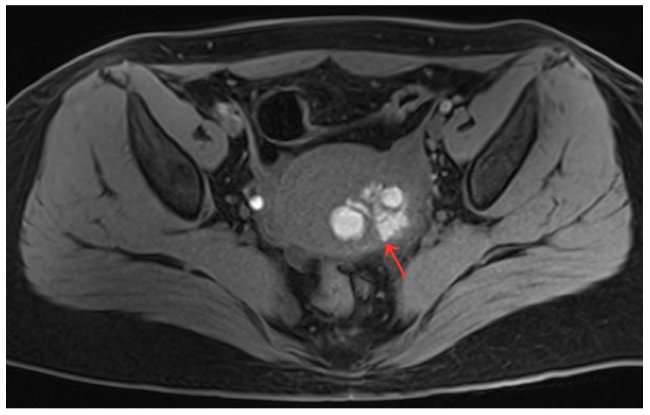
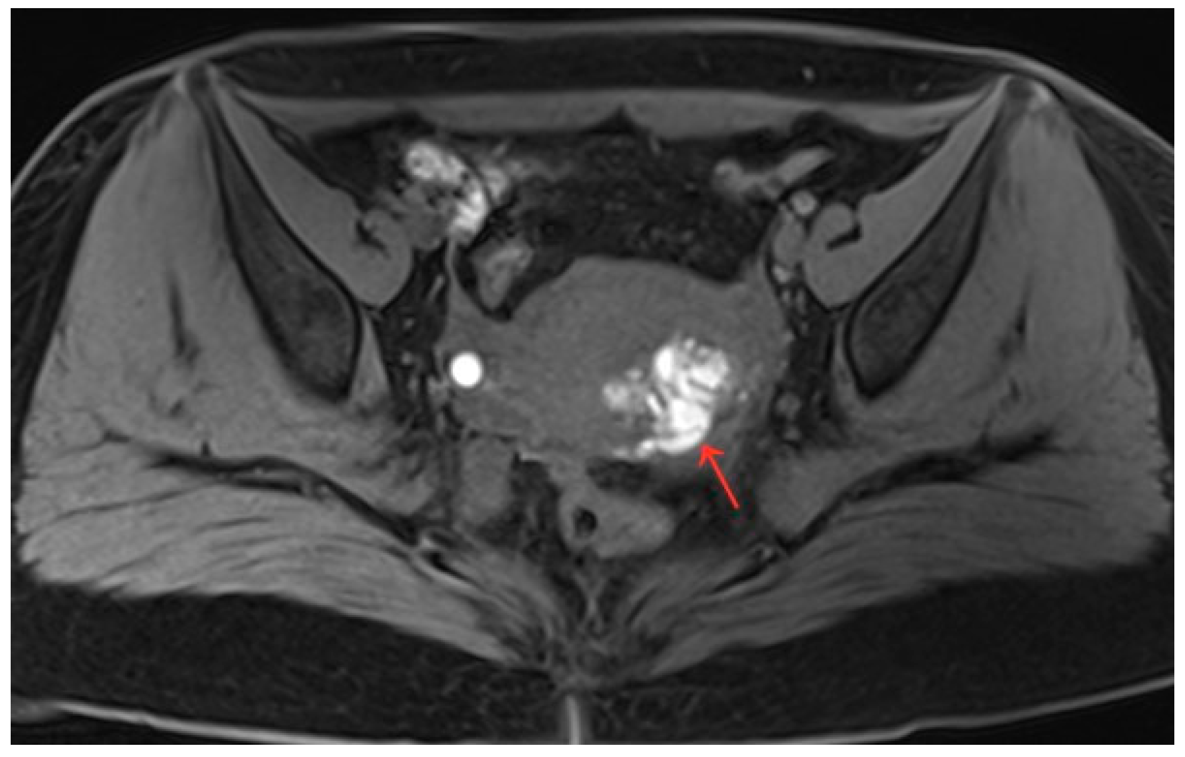
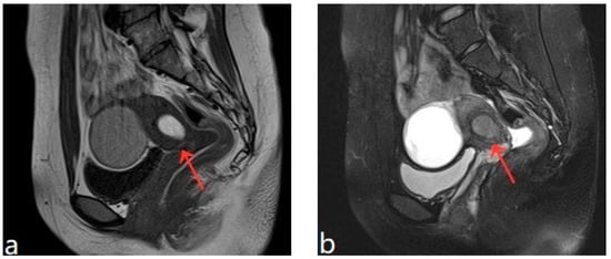
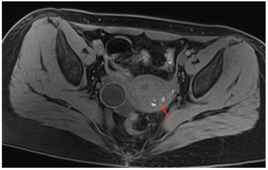
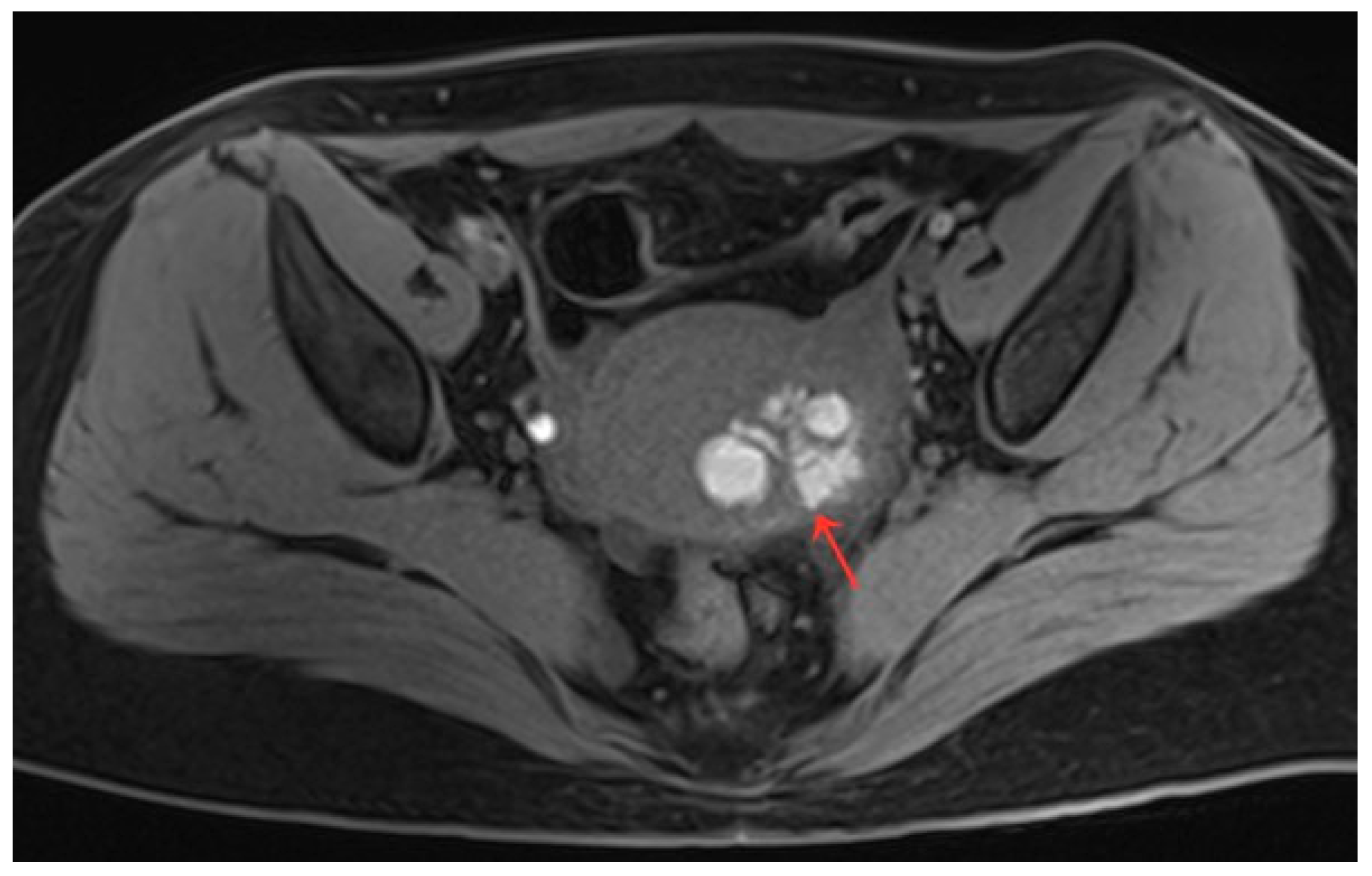
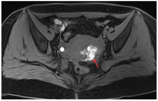
1.1. Case 1
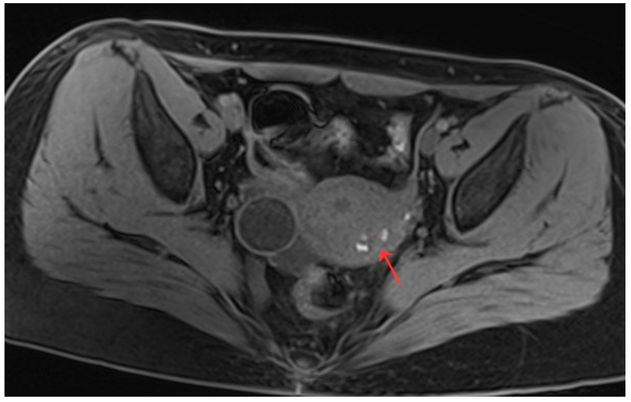
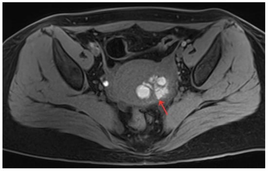
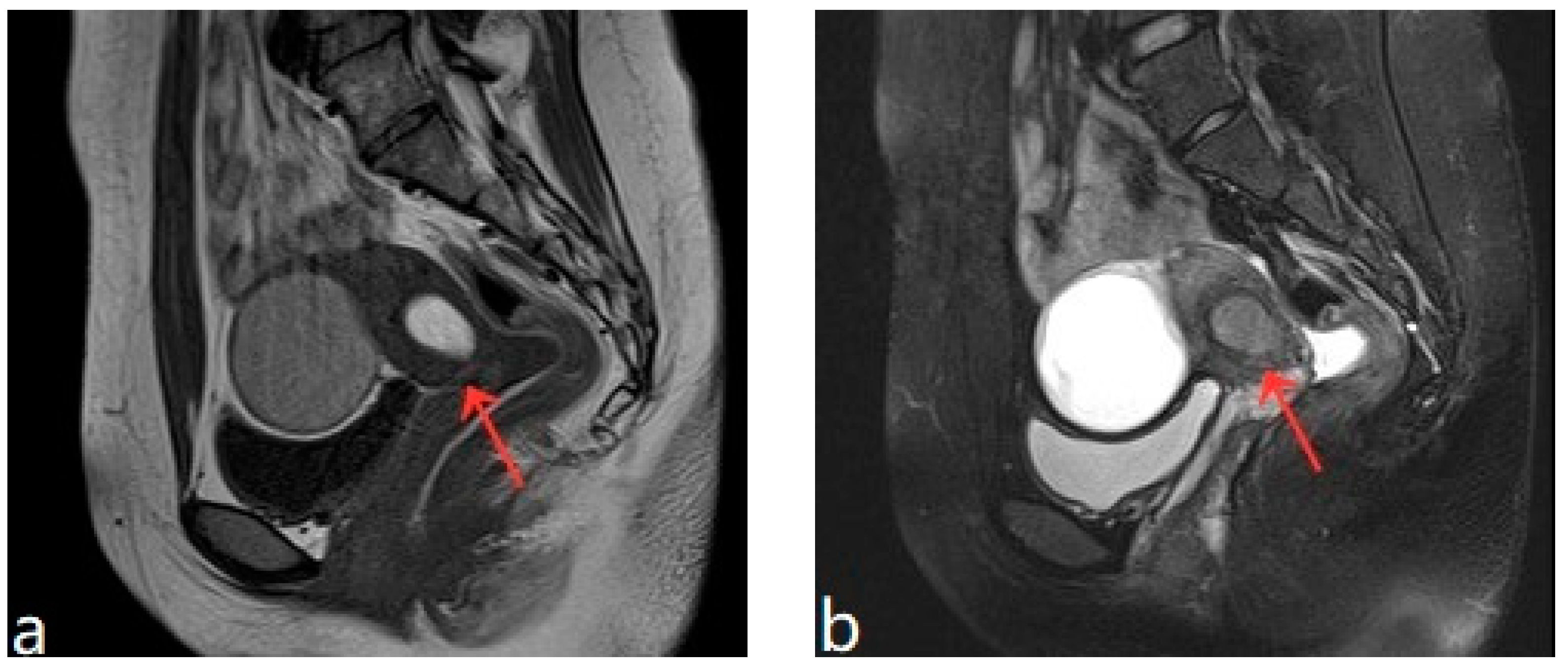
1.2. Case 2
2. Discussion
3. Conclusions
Author Contributions
Funding
Institutional Review Board Statement
Informed Consent Statement
Data Availability Statement
Conflicts of Interest
Appendix A
| References | Age (years) | Age of Onset | Imagine | Lesion Size (cm) | Menstrual Cycle | Symptoms | SerumCA125 (<35 U/mL) | Treatment | Pathological Diagnosis | Combination | Outcome | Note |
|---|---|---|---|---|---|---|---|---|---|---|---|---|
| Sushila Arya et al. [25] | 18 | 14 | US, MRI | 3 × 3 cm2 | Regular | Severe dysmenorrhea, Chronic pelvic pain | Not mentioned | Laparoscopic excision of the mass | Cystic uterine adenomyosis | Postoperative oral contraceptive | Recovery | unicornuate uterus, Follow up for 3 years |
| Sushila Arya et al. [25] | 16 | 14 | US, CT | 5.1 × 3.6 × 4.8 cm3 | Regular | Severe dysmenorrhea, Chronic pelvic pain | Not mentioned | Laparoscopic excision of the mass | Cystic uterine adenomyosis | Postoperative oral contraceptive | Recovery | |
| Maryjo Marques Branquinho et al. [26] | 17 | 15 | US, MRI | 3.3 × 3.2 × 2.9 cm3 | Regular | Severe dysmenorrhea, Chronic pelvic pain | Not mentioned | oral contraceptive | - | - | Recovery | One-year follow-up lesion reduction to 1.5 cm |
| Athanasios Protopapas et al. [27] | 14 | 13 | MRI | 3.8 × 3.4 × 3.1 cm3 | Regular | Severe dysmenorrhea | Not mentioned | Laparoscopic excision of the mass | Cystic uterine adenomyosis | - | Recovery | One year follow-up |
| F.Minelli et al. [28] | 19 | 18 | MRI | 2.6 × 2.5 × 2.7 cm3 | Regular | Severe dysmenorrhea | Not mentioned | Ethanol injection sclerotherapy | Cystic uterine adenomyosis | Postoperative oral contraceptive | Unrelieved | Lesion reduced to 1.1 cm after 5 months of follow-up |
| Mihajlo Strelec et al. [29] | 14 | 11 | US | 2 cm | Regular | Severe dysmenorrhea | Not mentioned | Laparoscopic excision of the mass | Cystic uterine adenomyosis | - | Recovery | - |
| Lieselot Deblaere et al. [30] | 16 | 14 | US, MRI | 1.9 × 1.7 × 2.0 cm3 | Regular | Severe dysmenorrhea, Chronic pelvic pain | Not mentioned | Laparoscopic excision of the mass | Cystic uterine adenomyosis | -- | Recovery | Ethanol injection sclerotherapy and oral progesterone are ineffective; 3 months follow-up |
| Annemieke Wilcox et al. [31] | 18 | 13 | US, MRI | 1.8 × 2.0 cm2 | Regular | Severe dysmenorrhea, Chronic pelvic pain | Not mentioned | Laparoscopic excision of the mass | Cystic uterine adenomyosis | - | Recovery | Oral contraceptives and IUDs are ineffective; 6 months follow-up |
| Annemieke Wilcox et al. [31] | 18 | 18 | US, MRI | 3.5 × 3.6 cm2 | Regular | Chronic pelvic pain | Not mentioned | Laparoscopic excision of the mass | Cystic uterine adenomyosis | - | Recovery | Oral contraceptives are ineffective |
| Gaspare Cucinella et al. [32] | 25 | 12 | US, MRI | 3.2 × 4.5 × 4.1 cm3 | Regular | Severe dysmenorrhea | 38U/mL | Laparoscopic excision of the mass | Cystic uterine adenomyosis | Postoperative GnRH-a for 3 months | Recovery | Medication is ineffective |
| Jun Kumakiri et al. [33] | 20 | 15 | US, MRI | 3 cm | Regular | Severe dysmenorrhea | Not mentioned | Laparoscopic excision of the mass | Cystic uterine adenomyosis | - | Recovery | Dysmenorrhea becomes amenorrhea after taking oral denogestrel, and the symptoms persist |
| Zhou et al. [20] | 29 | 17 | US, MRI | 2.5 × 2.0 × 2.2 cm3 | Not mentioned | Severe dysmenorrhea | Not mentioned | HIFU | - | - | Recovery | 6 months follow-up |
| Zhou et al. [20] | 20 | 15 | US, MRI | 3.6 × 4.0 × 3.0 cm3 | Not mentioned | Severe dysmenorrhea | Not mentioned | HIFU | - | - | Recovery | 6 months follow-up |
| Zhou et al. [20] | 22 | 13 | US, MRI | 2.0 × 2.0 × 2.0 cm3 | Not mentioned | Severe dysmenorrhea | Not mentioned | HIFU | - | - | Recovery | 6 months follow-up |
References
- Harmsen, M.J.; Van den Bosch, T.; De Leeuw, R.A.; Dueholm, M.; Exacoustos, C.; Valentin, L.; Hehenkamp, W.J.K.; Groenman, F.; De Bruyn, C.; Rasmussen, C.; et al. Consensus on revised definitions of Morphological Uterus Sonographic Assessment (MUSA) features of adenomyosis: Results of modified Delphi procedure. Ultrasound Obstet. Gynecol. 2022, 60, 118–131. [Google Scholar] [CrossRef]
- Krentel, H.; Keckstein, J.; Füger, T.; Hornung, D.; Theben, J.; Salehin, D.; Buchweitz, O.; Mueller, A.; Schaefer, S.D.; Sillem, M.; et al. Accuracy of ultrasound signs in two-dimensional transvaginal ultrasound for the prediction of adenomyosis: Prospective multicenter study. Ultrasound Obstet. Gynecol. 2023. [Google Scholar] [CrossRef] [PubMed]
- Brosens, I.; Gordts, S.; Habiba, M.; Benagiano, G. Uterine Cystic Adenomyosis: A Disease of Younger Women. J. Pediatr. Adolesc. Gynecol. 2015, 28, 420–426. [Google Scholar] [CrossRef] [PubMed]
- Nie, J.C.; Liu, X.S. Precautions in diagnosis and treatment of adolescent adenomyosis. Chin. J. Fam. Plan. Gynecotokology 2019, 11, 21–23, 44. [Google Scholar]
- Parulekar, S.V. Cystic degeneration in an adenomyoma (a case report). J. Postgrad. Med. 1990, 36, 46–47. [Google Scholar]
- Tamura, M.; Fukaya, T.; Takaya, R.; Ip, C.W.; Yajima, A. Juvenile adenomyotic cyst of the corpus uteri with dysmenorrhea. Tohoku J. Exp. Med. 1996, 178, 339–344. [Google Scholar] [CrossRef]
- Liu, X.; Liu, H.Y.; Shi, H.H.; Fan, Q.B.; Yu, X. Advances in diagnosis treatment of cystic adenomyosis. J. Reprod. Med. 2015, 24, 873–876. [Google Scholar]
- Takeuchi, H.; Kitade, M.; Kikuchi, I.; Kumakiri, J.; Kuroda, K.; Jinushi, M. Diagnosis, laparoscopic management, and histopathologic findings of juvenile cystic adenomyoma: A review of nine cases. Fertil. Steril. 2010, 94, 862–868. [Google Scholar] [CrossRef]
- Li, D.L.; Liang, W.T. Diagnosis and treatment of the special types and malignant transformation of adenomyosis. Chin. J. Pract. Gynecol. Obstet. 2017, 33, 160–163. [Google Scholar]
- Ryan, G.L.; Stolpen, A.; Van Voorhis, B.J. An Unusual Cause of Adolescent Dysmenorrhea. Obstet. Gynecol. 2006, 108, 1017–1022. [Google Scholar]
- Kriplani, A.; Mahey, R.; Agarwal, N.; Bhatla, N.; Yadav, R.; Singh, M.K. Laparoscopic Management of Juvenile Cystic Adenomyoma: Four Cases. J. Minim. Invasive Gynecol. 2011, 18, 343–348. [Google Scholar] [CrossRef] [PubMed]
- Chun, S.S.; Hong, D.G.; Seong, W.J.; Choi, M.H.; Lee, T.H. Juvenile Cystic Adenomyoma in a 19-Year-Old Woman: A Case Report with a Proposal for New Diagnostic Criteria. J. Laparoendosc. Adv. Surg. Tech. 2011, 21, 771–774. [Google Scholar] [CrossRef]
- Osada, H. Uterine adenomyosis and adenomyoma: The surgical approach. Fertil. Steril. 2018, 109, 406–417. [Google Scholar] [CrossRef] [PubMed]
- Stratopoulou, C.A.; Donnez, J.; Dolmans, M.-M. Conservative Management of Uterine Adenomyosis: Medical vs. Surgical Approach. J. Clin. Med. 2021, 10, 4878. [Google Scholar] [CrossRef]
- Zhao, X.; Yang, Y. Ultrasound-Guided Transvaginal Aspiration and Sclerotherapy for Uterine Cystic Adenomyosis: Case Report and Literature Review. Front. Med. 2022, 9, 764523. [Google Scholar] [CrossRef] [PubMed]
- Ryo, E.; Takeshita, S.; Shiba, M.; Ayabe, T. Radiofrequency ablation for cystic adenomyosis: A case report. J. Reprod. Med. 2006, 51, 427–430. [Google Scholar]
- Wang, Z.L.; Wang, W.J.; Hao, M. New advances in the diagnosis and treatment of cystic adenomyosis. Chin. J. Fam. Plan. Gynecotokology 2019, 11, 24–26. [Google Scholar]
- Wei, Y.R.; Li, K.Q.; Huang, G.H.; Wang, D.P.; Zhou, L.R. Clinical efficacy of high intensity focused ultrasound ablation for uterine fibroids and adenomyosis. Chin. J. Ultrasound Med. 2010, 26, 1133–1136. [Google Scholar]
- Aili, X.Z.; Guo, Z.Y.; Zhang, X.F. Latest research advances of high intensity focused ultrasound treatment for adenomyosis. J. ShanDong Univ. (Health Sci.) 2022, 60, 36–42. [Google Scholar]
- Zhou, X.-J.; Zhao, Z.-M.; Liu, P.; Zhao, C.-Y.; Lin, Y.-J.; Liu, Y.; Wang, M.; Tian, C.; Li, H.-Y.; Hou, C.-X.; et al. Efficacy of high intensity focused ultrasound treatment for cystic adenomyosis: A report of four cases. Ann. Palliat. Med. 2020, 9, 3742–3749. [Google Scholar] [CrossRef]
- Koukoura, O.; Kapsalaki, E.; Daponte, A.; Pistofidis, G. Laparoscopic treatment of a large uterine cystic adenomyosis in a young patient. BMJ Case Rep. 2015, 2015, bcr2015210358. [Google Scholar] [CrossRef] [PubMed]
- Zhou, C.Y.; Xu, X.J.; He, J. Pregnancy outcomes and symptom improvement of patients with adenomyosis treated with high intensity focused ultrasound ablation. Zhonghua Fu Chan Ke Za Zhi 2016, 51, 845–849. (In Chinese) [Google Scholar]
- Lai, T.H.T.; Seto, M.T.Y.; Cheung, V.Y.T. Intrapartum uterine rupture following ultrasound-guided high-intensity focused ultrasound ablation of uterine fibroid and adenomyosis. Ultrasound Obstet. Gynecol. 2022, 60, 816–817. [Google Scholar] [CrossRef]
- Wu, S.; Liu, J.; Jiang, L.; Yang, L.; Han, Y. Spontaneous rupture of the uterus in the third trimester after high-intensity ultrasound ablation in adenomyosis: A case report. Front. Med. 2022, 9, 966620. [Google Scholar] [CrossRef]
- Arya, S.; Burks, H.R. Juvenile cystic adenomyoma, a rare diagnostic challenge: Case Reports and literature review. F S Rep. 2021, 2, 166–171. [Google Scholar]
- Branquinho, M.M.; Marques, A.L.; Leite, H.B.; Silva, I.S. Juvenile cystic adenomyoma. BMJ Case Rep. 2012, 2012, bcr2012007006. [Google Scholar] [CrossRef] [PubMed]
- Protopapas, A.; Kypriotis, K.; Chatzipapas, I.; Kathopoulis, N.; Sotiropoulou, M.; Michala, L. Juvenile Cystic Adenomyoma vs. Blind Uterine Horn: Challenges in the Diagnosis and Surgical Management. J. Pediatr. Adolesc. Gynecol. 2020, 33, 735–738. [Google Scholar] [CrossRef] [PubMed]
- Minelli, F.; Agostini, A.; Siles, P.; Gnisci, A.; Pivano, A. Treatment of juvenile cystic adenomyoma by sclerotherapy with alcohol instillation: A case report. J. Gynecol. Obstet. Hum. Reprod. 2021, 50, 102081. [Google Scholar] [CrossRef] [PubMed]
- Strelec, M.; Banović, M.; Banović, V.; Sirovec, A. Juvenile cystic adenomyoma mimicking a Mullerian uterine anomaly successfully treated by laparoscopic excision. Int. J. Gynecol. Obstet. 2019, 146, 265–266. [Google Scholar] [CrossRef]
- Deblaere, L.; Froyman, W.; Bosch, T.V.D.; Van Rompuy, A.; Kaijser, J.; Deprest, J.; Timmerman, D. Juvenile cystic adenomyosis: A case report and review of the literature. Australas. J. Ultrasound Med. 2019, 22, 295–300. [Google Scholar] [CrossRef]
- Wilcox, A.; Schmidt, M.; Luciano, D. Identification of Juvenile Cystic Adenomyoma Using High-Resolution Imaging. Obstet. Gynecol. 2020, 136, 1021–1024. [Google Scholar] [CrossRef] [PubMed]
- Cucinella, G.; Billone, V.; Pitruzzella, I.; Monte, A.I.L.; Palumbo, V.D.; Perino, A. Adenomyotic Cyst in a 25-Year-Old Woman: Case Report. J. Minim. Invasive Gynecol. 2013, 20, 894–898. [Google Scholar] [CrossRef] [PubMed]
- Kumakiri, J.; Kikuchi, I.; Sogawa, Y.; Jinushi, M.; Aoki, Y.; Kitade, M.; Takeda, S. Single-incision laparoscopic surgery using an articulating monopolar for juvenile cystic adenomyoma. Minim. Invasive Ther. Allied Technol. 2013, 22, 312–315. [Google Scholar] [CrossRef] [PubMed]







| Subject | Before HIFU Treatment | After HIFU Treatment | Combined with Drugs | ||||
|---|---|---|---|---|---|---|---|
| Lesion Size | Symptoms | VAS Score | Lesion Size (cm) | Symptoms | VAS Score | ||
| Case 1 | 2.0 cm × 3.1 cm × 2.4 cm | dysmenorrhea | 7 | 1.1 cm × 2.4 cm × 1.0 cm 1 | recovery | 0 | no |
| Case 2 | 5.1 cm × 3.3 cm × 4.7 cm | dysmenorrhea | 8 | 1.2 cm ×1.4 cm × 1.6 cm 2 | recovery | 0 | yes 3 |
| Subject | Treatment Time | Irradiation Time | Treatment Power | Treatment Intensity | Ablation Volume Evaluation |
|---|---|---|---|---|---|
| Case 1 | 49 min | 250 s | 200 W | 306/s | 80% |
| Case 2 | 75 min | 650 s | 300 W | 517/s | 90% |
Disclaimer/Publisher’s Note: The statements, opinions and data contained in all publications are solely those of the individual author(s) and contributor(s) and not of MDPI and/or the editor(s). MDPI and/or the editor(s) disclaim responsibility for any injury to people or property resulting from any ideas, methods, instructions or products referred to in the content. |
© 2023 by the authors. Licensee MDPI, Basel, Switzerland. This article is an open access article distributed under the terms and conditions of the Creative Commons Attribution (CC BY) license (https://creativecommons.org/licenses/by/4.0/).
Share and Cite
Liu, X.; Wang, J.; Liu, Y.; Luo, S.; Yan, G.; Yang, H.; Wan, L.; Huang, G. High Intensity Focused Ultrasound Ablation for Juvenile Cystic Adenomyosis: Two Case Reports and Literature Review. Diagnostics 2023, 13, 1608. https://doi.org/10.3390/diagnostics13091608
Liu X, Wang J, Liu Y, Luo S, Yan G, Yang H, Wan L, Huang G. High Intensity Focused Ultrasound Ablation for Juvenile Cystic Adenomyosis: Two Case Reports and Literature Review. Diagnostics. 2023; 13(9):1608. https://doi.org/10.3390/diagnostics13091608
Chicago/Turabian StyleLiu, Xin, Jingxi Wang, Yanglu Liu, Shuang Luo, Gaowu Yan, Huaqi Yang, Lili Wan, and Guohua Huang. 2023. "High Intensity Focused Ultrasound Ablation for Juvenile Cystic Adenomyosis: Two Case Reports and Literature Review" Diagnostics 13, no. 9: 1608. https://doi.org/10.3390/diagnostics13091608
APA StyleLiu, X., Wang, J., Liu, Y., Luo, S., Yan, G., Yang, H., Wan, L., & Huang, G. (2023). High Intensity Focused Ultrasound Ablation for Juvenile Cystic Adenomyosis: Two Case Reports and Literature Review. Diagnostics, 13(9), 1608. https://doi.org/10.3390/diagnostics13091608

