Idiopathic Granulomatous Mastitis or Breast Cancer? A Comparative MRI Study in Patients Presenting with Non-Mass Enhancement
Abstract
1. Introduction
2. Materials and Methods
2.1. Study Design
2.2. MRI
2.3. Image Interpretation
2.4. Statistical Analysis
3. Results
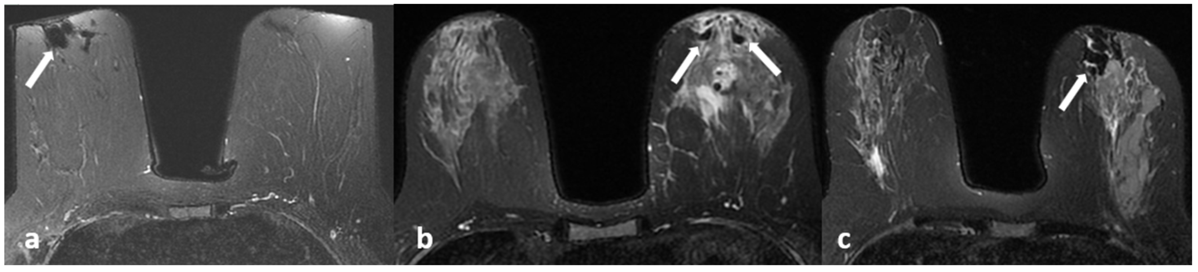
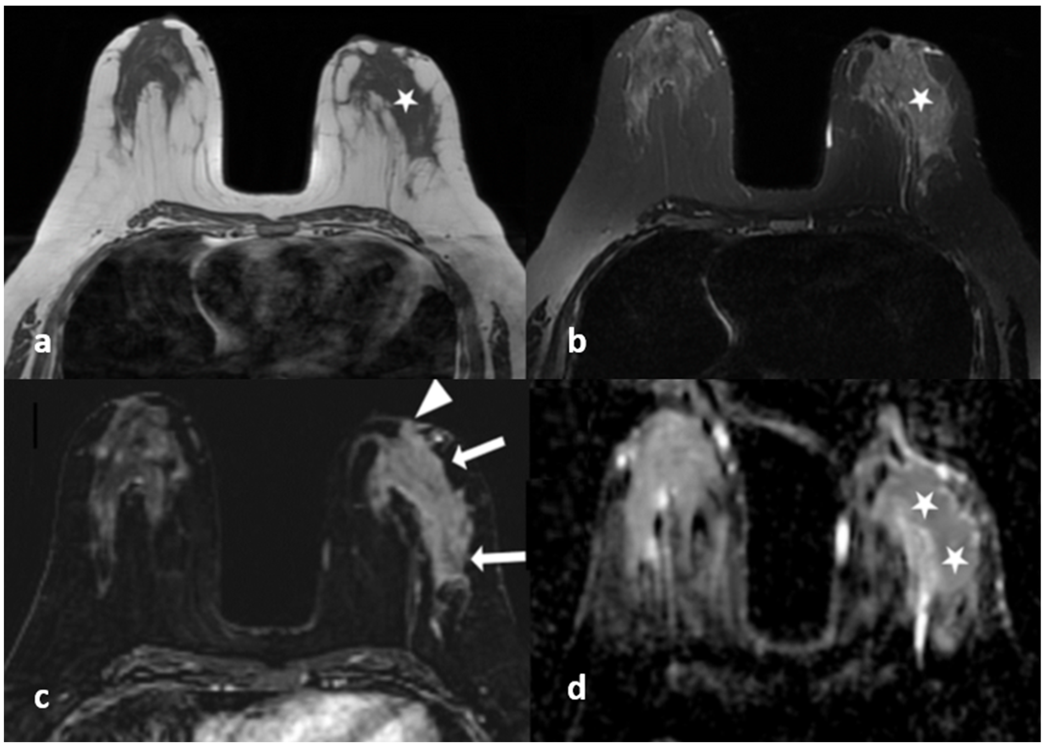
3.1. Non-Enhanced Images
3.2. Contrast-Enhanced Images
3.3. Overall Evaluation
4. Discussion
Author Contributions
Funding
Institutional Review Board Statement
Informed Consent Statement
Data Availability Statement
Conflicts of Interest
References
- Bani-Hani, K.E.; Yaghan, R.J.; Matalka, I.I.; Shatnawi, N.J. Idiopathic granulomatous mastitis: Time to avoid unnecessary mastectomies. Breast J. 2004, 10, 318–322. [Google Scholar] [CrossRef] [PubMed]
- Jorgensen, M.B.; Nielsen, D.M. Diagnosis and treatment of granulomatous mastitis. Am. J. Med. 1992, 93, 97–101. [Google Scholar] [CrossRef] [PubMed]
- Han, B.K.; Choe, Y.H.; Park, J.M.; Moon, W.K.; Ko, Y.H.; Yang, J.H.; Nam, S.J. Granulomatous mastitis: Mammographic and sonographic appearances. AJR Am. J. Roentgenol. 1999, 173, 317–320. [Google Scholar] [CrossRef]
- Barreto, D.S.; Sedgwick, E.L.; Nagi, C.S.; Benveniste, A.P. Granulomatous mastitis: Etiology, imaging, pathology, treatment, and clinical findings. Breast Cancer Res. Treat. 2018, 171, 527–534. [Google Scholar] [CrossRef]
- Al-Khaffaf, B.; Knox, F.; Bundred, N.J. Idiopathic granulomatous mastitis: A 25-year experience. J. Am. Coll. Surg. 2008, 206, 269–273. [Google Scholar] [CrossRef]
- Uysal, E.; Soran, A.; Sezgin, E.; Granulomatous Mastitis Study Group. Factors related to recurrence of idiopathic granulomatous mastitis: What do we learn from a multicentre study? ANZ J. Surg. 2018, 88, 635–639. [Google Scholar] [CrossRef]
- Sripathi, S.; Ayachit, A.; Bala, A.; Kadavigere, R.; Kumar, S. Idiopathic granulomatous mastitis: A diagnostic dilemma for the breast radiologist. Insights Imaging 2016, 7, 523–529. [Google Scholar] [CrossRef]
- Teke, M.; Teke, F.; Alan, B.; Türkoğlu, A.; Hamidi, C.; Göya, C.; Hattapoğlu, S.; Gumus, M. Differential diagnosis of idiopathic granulomatous mastitis and breast cancer using acoustic radiation force impulse imaging. J. Med. Ultrason. 2017, 44, 109–115. [Google Scholar] [CrossRef] [PubMed]
- Oztekin, P.S.; Durhan, G.; Nercis Kosar, P.; Erel, S.; Hucumenoglu, S. Imaging Findings in Patients with Granulomatous Mastitis. Iran. J. Radiol. 2016, 31, e33900. [Google Scholar] [CrossRef]
- Zhao, Q.; Xie, T.; Fu, C.; Chen, L.; Bai, Q.; Grimm, R.; Peng, W.; Wang, S. Differentiation between idiopathic granulomatous mastitis and invasive breast carcinoma, both presenting with non-mass enhancement without rim-enhanced masses: The value of whole-lesion histogram and texture analysis using apparent diffusion coefficient. Eur. J. Radiol. 2020, 123, 108782. [Google Scholar] [CrossRef]
- Pinker, K.; Helbich, T.H.; Morris, E.A. The potential of multiparametric MRI of the breast. Br. J. Radiol. 2017, 90, 20160715, Erratum in Br. J. Radiol. 2017, 90, 20160715e. [Google Scholar] [CrossRef] [PubMed]
- Qu, N.; Luo, Y.; Yu, T. Differentiation between Clinically Noninflammatory Granulomatous Lobular Mastitis and Noncalcified Ductal Carcinoma in situ Using Dynamic Contrast-Enhanced Magnetic Resonance Imaging. Breast Care 2020, 15, 619–627. [Google Scholar] [CrossRef]
- Wang, L.; Wang, D.; Fei, X.; Ruan, M.; Chai, W.; Xu, L.; Li, X. A rim-enhanced mass with central cystic changes on MR imaging: How to distinguish breast cancer from inflammatory breast diseases? PLoS ONE 2014, 9, e90355. [Google Scholar] [CrossRef]
- Uematsu, T.; Kasami, M. High-spatial-resolution 3-T breast MRI of nonmasslike enhancement lesions: An analysis of their features as significant predictors of malignancy. AJR Am. J. Roentgenol. 2012, 198, 1223–1230. [Google Scholar] [CrossRef]
- Aslan, H.; Pourbagher, A.; Colakoglu, T. Idiopathic granulomatous mastitis: Magnetic resonance imaging findings with diffusion MRI. Acta Radiol. 2016, 57, 796–801. [Google Scholar] [CrossRef] [PubMed]
- Tang, Q.; Li, Q.; Xie, D.; Chu, K.; Liu, L.; Liao, C.; Qin, Y.; Wang, Z.; Su, D. An Apparent Diffusion Coefficient Histogram Method Versus a Traditional 2-Dimensional Measurement Method for Identifying Non-Puerperal Mastitis From Breast Cancer at 30 T. J. Comput. Assist. Tomogr. 2018, 42, 776–783. [Google Scholar] [CrossRef] [PubMed]
- Yilmaz, R.; Demir, A.A.; Kaplan, A.; Sahin, D.; Özkurt, E.; Dursun, M.; Acunas, G. Magnetic resonance imaging features of idiopathic granulomatous mastitis: Is there any contribution of diffusion-weighted imaging in the differential diagnosis? Radiol. Med. 2016, 121, 857–866. [Google Scholar] [CrossRef]
- American College of Radiology. Imaging Reporting and Data System; American College of Radiology: Reston, VA, USA, 2013. [Google Scholar]
- Bartella, L.; Liberman, L.; Morris, E.A.; Dershaw, D.D. Nonpalpable mammographically occult invasive breast cancers detected by MRI. AJR Am. J. Roentgenol. 2006, 186, 865–870. [Google Scholar] [CrossRef]
- Gautier, N.; Lalonde, L.; Tran-Thanh, D.; El Khoury, M.; David, J.; Labelle, M.; Patocskai, E.; Trop, I. Chronic granulomatous mastitis: Imaging, pathology and management. Eur. J. Radiol. 2013, 82, e165–e175. [Google Scholar] [CrossRef]
- Wilson, J.P.; Massoll, N.; Marshall, J.; Foss, R.M.; Copeland, E.M.; Grobmyer, S.R. Idiopathic granulomatous mastitis: In search of a therapeutic paradigm. Am. Surg. 2007, 73, 798–802. [Google Scholar] [CrossRef]
- Renz, D.M.; Baltzer, P.; Böttcher, J.; Thaher, F.; Gajda, M.; Camara, O.; Runnebaum, I.B.; Kaiser, W.A. Magnetic resonance imaging of inflammatory breast carcinoma and acute mastitis. A comparative study. Eur. Radiol. 2008, 18, 2370–2380. [Google Scholar] [CrossRef]
- Kalli, S.; Freer, P.E.; Rafferty, E.A. Lesions of the skin and superficial tissue at breast MR imaging. Radiographics 2010, 30, 1891–1913. [Google Scholar] [CrossRef]
- Pluguez-Turull, C.W.; Nanyes, J.E.; Quintero, C.J.; Alizai, H.; Mais, D.D.; Kist, K.A.; Dornbluth, N.C. Idiopathic Granulomatous Mastitis: Manifestations at Multimodality Imaging and Pitfalls. Radiographics 2018, 38, 330–356. [Google Scholar] [CrossRef] [PubMed]
- Hovanessian Larsen, L.J.; Peyvandi, B.; Klipfel, N.; Grant, E.; Iyengar, G. Granulomatous lobular mastitis: Imaging, diagnosis, and treatment. AJR Am. J. Roentgenol. 2009, 193, 574–581. [Google Scholar] [CrossRef]
- Altunkeser, A.; Arslan, F.Z.; Eryılmaz, M.A. Magnetic resonance imaging findings of idiopathic granulomatous mastitis: Can it be an indirect sign of treatment success or fail? BMC Med. Imaging 2019, 19, 94. [Google Scholar] [CrossRef]
- Dursun, M.; Yilmaz, S.; Yahyayev, A.; Salmaslioglu, A.; Yavuz, E.; Igci, A.; Acunas, G.; Tunacı, M. Multimodality imaging features of idiopathic granulomatous mastitis: Outcome of 12 years of experience. Radiol. Med. 2012, 117, 529–538. [Google Scholar] [CrossRef]
- De Almeida, J.R.M.; Gomes, A.B.; Barros, T.P.; Fahel, P.E.; de Seixas Rocha, M. Subcategorization of Suspicious Breast Lesions (BI-RADS Category 4) according to MRI Criteria: Role of Dynamic Contrast-Enhanced and Diffusion-Weighted Imaging. AJR Am. J. Roentgenol. 2015, 205, 222–231. [Google Scholar] [CrossRef]
- Liberman, L.; Morris, E.A.; Lee, M.J.-Y.; Kaplan, J.B.; LaTrenta, L.R.; Menell, J.H.; Abramson, A.F.; Dashnaw, S.M.; Ballon, D.J.; Dershaw, D.D. Breast lesions detected on MR imaging: Features and positive predictive value. AJR Am. J. Roentgenol. 2002, 179, 171–178. [Google Scholar] [CrossRef]
- Tozaki, M.; Igarashi, T.; Fukuda, K. Breast MRI using the VIBE sequence: Clustered ring enhancement in the differential diagnosis of lesions showing non-masslike enhancement. AJR Am. J. Roentgenol. 2006, 187, 313–321. [Google Scholar] [CrossRef] [PubMed]
- Morakkabati-Spitz, N.; Leutner, C.; Schild, H.; Traeber, F.; Kuhl, C. Diagnostic usefulness of segmental and linear enhancement in dynamic breast MRI. Eur. Radiol. 2005, 15, 2010–2017. [Google Scholar] [CrossRef] [PubMed]
- Aydin, H. The MRI characteristics of non-mass enhancement lesions of the breast: Associations with malignancy. Br. J. Radiol. 2019, 92, 20180464. [Google Scholar] [CrossRef] [PubMed]
- Fazzio, R.T.; Shah, S.S.; Sandhu, N.P.; Glazebrook, K.N. Idiopathic granulomatous mastitis: Imaging update and review. Insights Imaging 2016, 7, 531–539. [Google Scholar] [CrossRef] [PubMed]






| Nonenhanced Findings | IGM n (%) | BC n (%) | p Value |
|---|---|---|---|
| Amount of fibroglandular tissue | 0.936 | ||
| Tip A | 7 (10.3) | 7 (9.3) | |
| Tip B | 28 (41.2) | 28 (37.3) | |
| Tip C | 29 (42.6) | 36 (48.1) | |
| Tip D | 4 (5.9) | 4 (5.3) | |
| Architectural distortion | 7 (10.3) | 26 (34.7) | 0.001 |
| Hyperintense ducts | 4 (5.9) | 2 (2.7) | 0.424 |
| Fat containing ducts | 11 (16.2) | 4 (5.3) | 0.054 |
| Oedema | 54 (79.4) | 54 (72) | 0.303 |
| Perilesional | 39 (57.4) | 49 (65.3) | 0.327 |
| Subcutaneous | 8 (11.8) | 11 (14.7) | 0.610 |
| Diffuse | 14 (20.6) | 18 (24) | 0.625 |
| Prepectoral | 27(39.7) | 20 (26.7) | 0.097 |
| Presternal | 0 (0) | 1 (1.3) | 0.999 |
| Skin thickening | 50 (73.5) | 41 (54.6) | |
| Focal | 32 (47.1) | 20 (26.7) | 0.011 |
| Diffuse | 3 (4.4) | 11 (14.7) | 0.049 |
| Periareolar | 27 (39.7) | 21 (28) | 0.139 |
| ADC (10−3 mm2/s) | IGM | BC | p |
|---|---|---|---|
| ADC, median (min–max) | 1038 (781–1557) | 1023.5 (704–1523) | 0.397 |
| Standard deviation, median (min–max) | 78.5 (21–740) | 93 (10–397) | 0.110 |
| Distribution | IGM n (%) | BC n (%) | p Value |
| Focal | 2 (2.9) a | 4 (5.3) a | 0.048 |
| Linear | 1 (1.5) a | 4 (5.3) a | |
| Segmental | 30 (44.1) a | 36 (48) a | |
| Regional | 9 (13.2) a | 6 (8) a | |
| Multi-regional | 22 (32.4) a | 12 (16) b | |
| Diffuse | 4 (5.9) a | 13 (17.3) b | |
| Internal Enhancement | IGM | BC | p Value |
| Homogeneous | 1 (1.5) a | 0 (0) a | 0.006 |
| Heterogeneous | 24 (35.3) a | 20 (26.7) a | |
| Clumped | 3 (4.4) a | 17 (22.7) b | |
| Clustered ring | 40 (58.8) a | 38 (50.7) a |
| DCE Parameters | IGM | BC | p |
|---|---|---|---|
| Early phase | |||
| Slow | 18 (26.4) a | 20 (26.6) a | 0.352 |
| Medium | 24 (35.2) a | 34 (45.3) a | |
| Rapid | 26 (38.2) a | 21 (28.0) a | |
| Late phase | |||
| Persistent | 40 (58.8) a | 19 (25.3) b | <0.001 |
| Plateau | 20 (29.4) a | 38 (50.6) b | |
| Washout | 8 (11.7) a | 18 (24.0) b |
| Cystic Lesion Characteristics | IGM | BC | p |
|---|---|---|---|
| Cystic lesion | 50 (73.5) | 19 (25.3) | <0.001 |
| Thin walls | 17 (25) | 6 (8) | 0.012 |
| Thick walls | 24 (35.3) | 8 (10.7) | 0.001 |
| Irregular walls | 9 (13.2) | 9 (12) | 0.805 |
| Multiple cystic lesions | 41 (60.3) | 8 (10.7) | <0.001 |
| Cyst draining to the skin Fistula | 21 (30.9) 14 (20.6) | 3 (4) 5 (6.7) | <0.001 0.014 |
| Variables | OR (95% CI) | p |
|---|---|---|
| Age | 1.150 (1.073–1.233) | <0.001 |
| Cystic lesion | 0.238 (0.060–0.943) | 0.041 |
| Multiple cystic lesion | 0.088 (0.017–0.448) | 0.003 |
| Diffuse skin thickening | 10.294 (1.342–78.981) | 0.025 |
| Central location | 0.147 (0.029–0.744) | 0.021 |
| DCE Kinetic curves | ||
| Persistent | Reference | - |
| Plateau | 14.497 (3.698–56.838) | <0.001 |
| Washout | 16.226 (2.632–100.029) | 0.003 |
| Sensitivity | Specificity | Accuracy | PPV | NPV | |
|---|---|---|---|---|---|
| Model 1 1 | 88% | 67.65% | 78.32% | 75% | 83.64% |
| Model 2 2 | 97.33% | 55.88% | 79.87% | 70.87% | 95% |
Disclaimer/Publisher’s Note: The statements, opinions and data contained in all publications are solely those of the individual author(s) and contributor(s) and not of MDPI and/or the editor(s). MDPI and/or the editor(s) disclaim responsibility for any injury to people or property resulting from any ideas, methods, instructions or products referred to in the content. |
© 2023 by the authors. Licensee MDPI, Basel, Switzerland. This article is an open access article distributed under the terms and conditions of the Creative Commons Attribution (CC BY) license (https://creativecommons.org/licenses/by/4.0/).
Share and Cite
Soylu Boy, F.N.; Esen Icten, G.; Kayadibi, Y.; Tasdelen, I.; Alver, D. Idiopathic Granulomatous Mastitis or Breast Cancer? A Comparative MRI Study in Patients Presenting with Non-Mass Enhancement. Diagnostics 2023, 13, 1475. https://doi.org/10.3390/diagnostics13081475
Soylu Boy FN, Esen Icten G, Kayadibi Y, Tasdelen I, Alver D. Idiopathic Granulomatous Mastitis or Breast Cancer? A Comparative MRI Study in Patients Presenting with Non-Mass Enhancement. Diagnostics. 2023; 13(8):1475. https://doi.org/10.3390/diagnostics13081475
Chicago/Turabian StyleSoylu Boy, Fatma Nur, Gul Esen Icten, Yasemin Kayadibi, Iksan Tasdelen, and Dolunay Alver. 2023. "Idiopathic Granulomatous Mastitis or Breast Cancer? A Comparative MRI Study in Patients Presenting with Non-Mass Enhancement" Diagnostics 13, no. 8: 1475. https://doi.org/10.3390/diagnostics13081475
APA StyleSoylu Boy, F. N., Esen Icten, G., Kayadibi, Y., Tasdelen, I., & Alver, D. (2023). Idiopathic Granulomatous Mastitis or Breast Cancer? A Comparative MRI Study in Patients Presenting with Non-Mass Enhancement. Diagnostics, 13(8), 1475. https://doi.org/10.3390/diagnostics13081475

