Abstract
The rapid spread of coronavirus disease 2019 (COVID-19) has posed enormous challenges to the global public health system. To deal with the COVID-19 pandemic crisis, the more accurate and convenient diagnosis of patients needs to be developed. This paper proposes a deep-learning-based COVID-19 detection method and evaluates its performance on embedded edge-computing devices. By adding an attention module and mixed loss into the original VGG19 model, the method can effectively reduce the parameters of the model and increase the classification accuracy. The improved model was first trained and tested on the PC X86 GPU platform using a large dataset (COVIDx CT-2A) and a medium dataset (integrated CT scan); the weight parameters of the model were reduced by around six times compared to the original model, but it still approximately achieved 98.80%and 97.84% accuracy, outperforming most existing methods. The trained model was subsequently transferred to embedded NVIDIA Jetson devices (TX2, Nano), where it achieved 97% accuracy at a 0.6−1 FPS inference speed using the NVIDIA TensorRT engine. The experimental results demonstrate that the proposed method is practicable and convenient; it can be used on a low-cost medical edge-computing terminal. The source code is available on GitHub for researchers.
1. Introduction
Multiple instances of pneumonia of unknown origin were originally found in Wuhan, Hubei Province, China, in December 2019, and were later proven to be caused by a coronavirus known as Severe Acute Respiratory Syndrome Coronavirus 2 (SARS-CoV-2). The World Health Organization (WHO) then announced the name of the novel lung disease caused by the coronavirus as COVID-19 [1]. Early symptoms of illness caused by the virus include fever, cough, fatigue, and, in some patients, headache, hemoptysis, and diarrhea [2]. Since the transmission route of COVID-19 is via droplets, aerosols, close contact, etc., the virus is highly contagious and can easily cause infection in a wide range of people. As of 7 June 2022, 530 million confirmed cases have been reported to the World Health Organization globally, with 6.3 million deaths [3]. Facing such a severe situation, the early diagnosis and classification of suspected cases are particularly important.
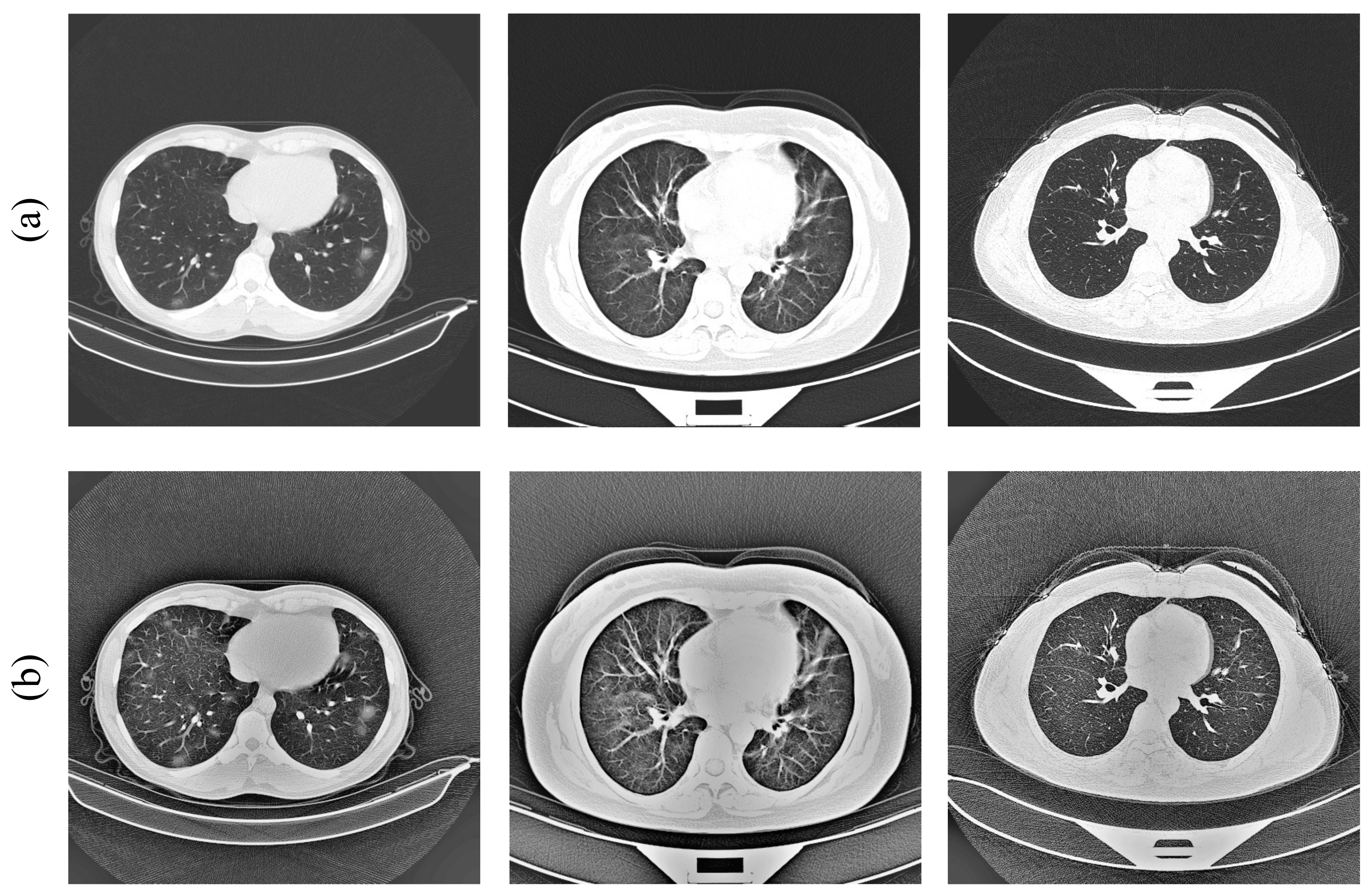
The most commonly used method for detecting SARS-CoV-2 is real-time reverse transcription polymerase chain reaction (RT-PCR). It is regarded as the gold standard for the diagnosis of SARS-CoV-2 due to its high sensitivity and high specificity [4,5], which is achieved by collecting samples from the upper respiratory tract (e.g., nasopharynx or oropharynx). However, this method is time-consuming and requires medical personnel with specialized skills, as well as a specific laboratory [6]. In addition, the RT-PCR method depends on the collected samples, and if the samples are not collected, transported, and stored appropriately, it could lead to false-negative results [7,8]. Another way to detect the disease is by computed tomography (CT) and X-ray, which is achieved by consolidation or ground glass opacity (GGO) in the lungs [9], as indicated by the red rectangular box in Figure 1. While both can be used for the diagnosis of COVID-19, chest CT images can show detailed information about the infected area. Some researchers found that the 98% sensitivity of chest CT is higher than the 71% sensitivity of RT-PCR by comparing CT images and RT-PCR tests at the initial patient visit [10]. This indicates that CT images of the lungs are more useful for the early diagnosis of patients.
Figure 1.
The lung CT image of a COVID-19 patient. (a–c) are ground glass images. The original image comes from the COVIDx CT-2A dataset [11,12].
In practical applications, deep learning has found wide application across diverse fields, such as autonomous driving, speech recognition, image classification, and fault diagnosis. Deep learning models are capable of adaptively updating themselves based on changes in data without the need for manual intervention. In comparison to traditional machine learning methods, deep learning methods exhibit higher accuracy due to their ability to automatically extract more features. In recent years, deep learning algorithms, and in particular Convolutional Neural Networks (CNN), have demonstrated remarkable capabilities in various medical tasks, such as medical image segmentation, recognition, and classification. Such algorithms have been utilized in computer-aided medical systems to effectively assist doctors in their diagnoses. Notably, several studies have applied these methods to COVID-19 lesion detection, such as transfer-learning-based methods [13,14], improved model-based methods [15,16,17], and integrated model-based methods [18], among others. Additionally, deep learning has been applied in many real-life scenarios, such as autonomous driving and smart homes. Hasani et al. [19] designed software for COVID-19 detection, where users obtain diagnosis results by inputting images. The transplantation of deep learning methods into embedded devices is a novel field, which can also be used for diagnosing COVID-19 disease on portable devices. Some studies have applied deep learning to android apps, where users input an image, and the pre-trained model extracts features, displaying the results on the user interface [20,21]. Furthermore, some studies also have analyzed and tested the performance of CNN models on different types of NVIDIA Jetson modules, and experimental results have demonstrated the potential of executing CNN models on NVIDIA Jetson modules, particularly Jetson TX2, which performs best in image recognition [22,23].
The aforementioned methods demonstrate the potential of deep learning in enhancing the COVID-19 detection efficiency and its practical value for embedded edge-computing devices. However, these research approaches have notable limitations. Researchers have used self-designed simple CNN models instead of established CNN frameworks, resulting in a lack of comparability and persuasive evidence, while neglecting the impact of inadequate training data on detection accuracy. Furthermore, studies on embedded devices have not devised COVID-19-specific networks but instead utilized pre-trained models. To address these issues, this paper proposes an improved VGG19 method. This proposed method effectively distinguishes similarities in lung diseases, improves model accuracy, reduces model parameters, and can be applied to NVIDIA Jetson devices. This study classifies diseases on two different-sized datasets and sorts the images into three categories: normal, pneumonia, and COVID-19. The main contributions of this paper are as follows:
- We propose an improved VGGNet to increase the detection accuracy by adding a channel attention mechanism;
- We use a mixed loss function of center loss and cross-entropy loss to train the model to better distinguish different classes of pneumonia;
- We apply the algorithm to an NVIDIA Jetson (TX2, Nano) to validate the feasibility of the algorithm on the embedded edge-computing platform.
The rest of the paper is described as follows. Section 2 explains some of the relevant work in this area. Section 3 describes in detail the dataset and the methodology. Section 4 analyzes the experimental details as well as the results. Finally, Section 5 concludes the research and lists future works.
2. Related Works
Most of the existing deep-learning-based COVID-19 detection methods are based on chest X-ray images or CT images; this paper introduces some state-of-the-art algorithms according to the categories of image datasets.
2.1. X-ray Image-Based Methods
Mijwil [24] used machine learning techniques to classify normal, pneumonia, and COVID-19 cases. Machine learning techniques included random forest, logistic regression, naïve Bayes, and support vector machine. The experimental results showed that the support vector machine technique had the best effect and was able to obtain 91.8% accuracy. Ezzoddin et al. [25] utilized the pre-trained DenseNet network in conjunction with the analysis of variance (ANOVA) feature selection method to identify relevant features, which were subsequently input into the light gradient boosting machine (LightGBM) algorithm for COVID-19 case classification. Performance evaluation was conducted on both multi-class and binary classification tasks, resulting in achieved accuracies of 94.22% and 99.20%, respectively. Nasiri et al. [26] leveraged the MobileNet and DenseNet169 network models for COVID-19 diagnosis. The two models were first pre-trained independently and subsequently subjected to the univariate feature selection algorithm to identify optimal features. The light gradient boosting machine (LightGBM) was then deployed for disease classification. Experiments showed that the proposed method achieved accuracies of 98.40% and 91.11% for binary and tri-classification tasks, respectively. Nayak et al. [27] proposed a lightweight CNN model named LW-CORONet to diagnose COVID-19 infection. Compared with existing CNN models, the proposed model requires very few parameters, which is beneficial to reduce computational costs; the model was verified on two datasets, and the multi-classification and binary classification reached 98.67% and 99.00% accuracy on Dataset-1, respectively, and 95.67% and 96.25% accuracy on Dataset-2, respectively. Rahman et al. [28] used several pre-trained Convolutional Neural Networks (CNN) (ResNet18, ResNet50, ResNet101 [29], InceptionV3 [30], DenseNet201 [31], and ChexNet [32]) and UNet segmentation techniques for COVID-19 detection using five different image enhancement techniques, namely histogram equalization (HE), contrast-limited adaptive histogram equalization (CLAHE), image complement, gamma correction, and the balance contrast enhancement technique (BCET), to investigate the effects of image enhancement techniques on COVID-19 detection. The experimental results showed that the accuracy, precision, and recall were 96.29%, 96.28%, and 96.28%, respectively. Khan et al. [17] used two migration-learning-based classification methods for COVID-19 detection and used dropout and regularization techniques to improve the classification performance, and their classification results showed that the proposed method achieved accuracy of 96.13%. Chakraborty et al. [33] used the ResNet18 pre-training model, preprocessing technology, and image segmentation method to predict COVID-19. The accuracy, sensitivity, and specificity obtained on the dataset of X-ray images were 96.43%, 93.68%, and 99%, respectively. Hasani et al. [19] designed software for the automatic detection of COVID-19 using X-ray images, named COV-ADSX, which uses the DenseNet169 network and XGBoost algorithm for detection, and utilizes the Grad-CAM algorithm to show the decision area on a heatmap, which is then presented to the user. The software achieved an accuracy rate of 98.23%, and its portability and visualization aid radiologists in clinical diagnosis. Mahapatra et al. [34] deployed a Deep Convolutional Neural Network in a web application for the detection of chest images. This method tested ResNet50, Inception V3, Xception, and VGG16, and the results showed that Inception V3 was the most accurate in detecting COVID-19, with nearly 99% accuracy in positive cases and 93% accuracy in negative cases.
2.2. CT-Image-Based Methods
Chest CT has been proven to be a reliable method of detecting COVID-19. CT images not only have much higher resolution than X-ray images but also can visualize multiple angles of the lesion. Fan et al. [35] proposed a dual-branch COVID-19 detection method based on transformer and CNN. The transformer branch extracts global features and the CNN branch extracts local features, thereby improving the classification accuracy and achieving a classification accuracy score of 96.7%. Ter-Sarkisov [36] designed the COVID-CT-Mask-Net network based on the Mask R-CNN model to detect COVID-19 cases, and verified it on the COVIDx CT dataset, achieving overall accuracy of 95.64%. Yang et al. [37] proposed three integrated deep learning architectures (F-EDNC, FC-EDNC, and O-EDNC), and selected three of the 16 pre-trained models to develop the EDNC architecture. The experimental results show that the F-EDNC method has the best effect and can obtain a 97.55% accuracy rate, while FC-EDNC and O-EDNC achieve 97.14% and 96.32%, respectively. Chetoui et al. [38] fine-tuned and used DenseNet-121 and five EfficientNet models (B0, B2, B3, B4, and B5) for COVID-19 disease detection. Experimental results show that fine-tuning EfficientNet-B0 (CovCTx) achieves the highest accuracy rate of 96.37%. Nair et al. [39] improved ResNet50 and proposed the CORNet model, which was then compared with other network models. This method achieved a recall rate of 90% in COVID-19 detection. Chaudhary et al. [40] proposed a two-stage framework to detect diseases, using a fine-tuned DenseNet framework in the first stage and a fine-tuned EfficientNet architecture in the second stage, and ultimately achieved an accuracy rate of 89.3%. Perumal et al. [41] combined deep learning models (VGG-16, ResNet50, InceptionV3, AlexNet) and machine learning classifiers (SVM, random forest, decision tree, naive Bayes, and K-nearest neighbor) for COVID-19 detection, and they showed that the combination model of AlexNet and SVM obtained the best detection effect, with an accuracy rate of 96.69% and sensitivity of 96%. Garg et al. [42] proposed a three-stage method for diagnosing COVID-19, first using a fine-tuned ResNet50 model for feature extraction, then extracting features for training for different classifications, and finally classifying normal, COVID-19, and CAP, achieving classification accuracy of 95.76%. Maftouni et al. [43] used DenseNet-121 and Residual Attention-92 models to detect CAP and COVID-19 in CT images, pre-trained on the ImageNet and CIFAR-10 datasets, respectively, and finally used a fully connected layer and SVM to output the classification results, achieving an accuracy rate of 95.31%. Verma et al. [20] developed an artificial intelligence (AI)-driven android application for detecting COVID-19 from CT images. Firstly, it segments the lungs in the images and then inputs them into an EfficientNet-B0 model for prediction. If the result is positive, a heat map of the image is outputted. The portability and simple user interface of the android application make it highly practical. Basantwani et al. [21] have also developed an android app that uses a pre-trained InceptionV3 model for transfer learning, enabling users to view COVID-19 diagnoses on the android app.
3. Materials and Methods
Figure 2 shows the workflow of the proposed COVID-19 classification method. Firstly, the input images are selected from datasets [11,12,43] and preprocessed using data augmentation and image enhancement. Secondly, the processed images are input into the improved VGG19 to extract image features, and then the classifier is used to classify normal, pneumonia, and COVID-19 cases. Finally, to further illustrate the interpretability of the improved VGG19, the heat map is visualized to highlight the region of interest of the images, which represents the ability of feature extraction for different models.
Figure 2.
Workflow of the proposed COVID-19 classification method.
3.1. Dataset Preprocessing
For the data augmentation part, the collected CT images were first rotated randomly and flipped horizontally or vertically, and then were resized by center cropping so that the cropped image resolution was reduced from 512 × 512 to 224 × 224. In the field of image enhancement for CT image processing, the Retinex theory was successfully applied by Zhang et al. [44]. Thus, we used the Multi-Scale Retinex () enhancement algorithm, which is effective for contrast enhancement and facilitating the observation of details in image lesions [45]. The algorithm performs Gaussian blur on individual scales of the image, subsequently computing the maximum and minimum values through cumulative calculations for each scale, and ultimately linearly quantizing each value. The is calculated as follows:
where is the ith spectral component of the output. N is the number of scales, is the ith component of the nth scale, is the weight associated with the nth scale, * denotes the convolution operation, is the image distribution in the ith spectral band, and is the surround function.
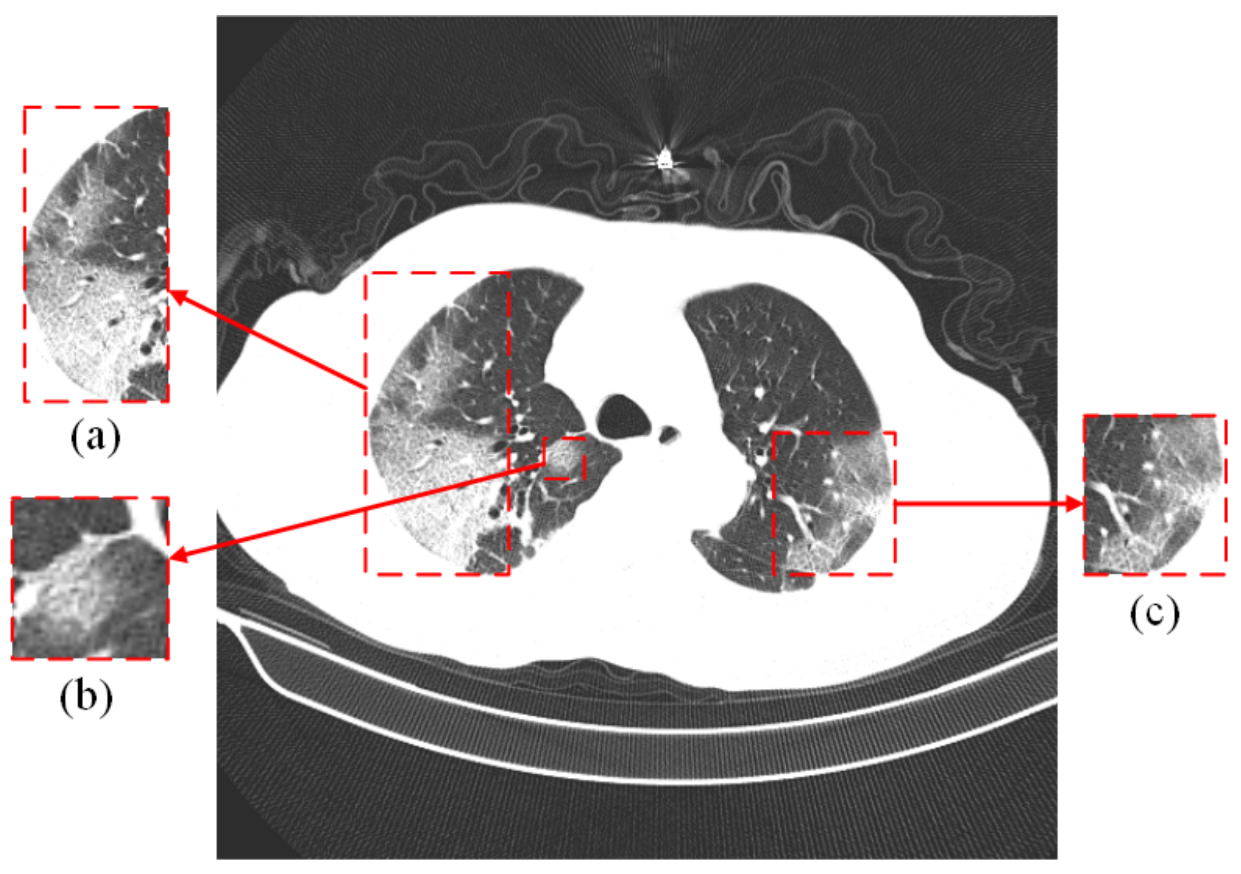
However, because of the disadvantage that MSR often suffers from “halo” artifacts and low contrast, we first converted the CT images from RGB to grayscale to reduce the amount of computation, and then used the CLAHE [46] method to enhance the contrast of the image, as well as to avoid the loss of image details. Compared to the traditional adaptive histogram equalization (AHE) method, CLAHE is more able to overcome the problems of AHE, such as amplified noise regions in the image, and can better extract the lesion areas. The results of the image preprocessing are shown in Figure 3.
Figure 3.
(a) Original images; (b) processed images [11,12].
3.2. Methodology
For simplicity, we choose the classical Convolutional Neural Network architecture VGG19 as the sample and propose an improved VGG19 network backbone model. The entire network model structure is shown in Figure 4, where the model consists of five stages, and each stage contains 2–4 convolution layers and 1 downsampling layer. In our model, the maximum pooling layer (max-pool) used in VGG19 is turned into a downsampling layer, which consists of convolutional layers to alleviate the information loss problem caused by the max-pool layer, and can better learn the image features [47]. Considering that the traditional classification network that uses the ReLU activation function suffers from the problem of gradient disappearance, our improved VGG19 replaces ReLU with GeLU. In addition, we add the Channel Attention Module (CAM) to replace the last three fully connected layers designed in the original VGG19 network with only one layer, and drastically reduce the weight parameters of the model.
Figure 4.
Architecture of the improved VGG19.
3.2.1. Channel Attention Module
In traditional Convolutional Neural Networks, the extracted feature maps usually contain a lot of redundant information. In order to optimize the learning ability of the network to better extract image features, we make use of CAM [48] to adjust the weight of each channel in the feature map. The CAM structure is shown in Figure 5.
Figure 5.
Channel attention module.
The input feature map is firstly subjected to the average-pooling and max-pooling operations, and two-channel attention vectors are obtained by a multi-layer perceptron (MLP), and then two vectors are combined by element-wise summation. After this, the weights are computed through the sigmoid activation operation and multiplied with the input feature map, and, finally, the channel attention map is generated. The channel attention formula is defined as follows:
where F represents the input feature map, denotes the activation function, and represent the weight calculation of the MLP on the feature map, , , and r refers to the reduction rate.
3.2.2. Mixed Loss
The lesion characteristics of COVID-19 and common pneumonia on early CT images of lesions are very similar, which could render the Convolutional Neural Network model unable to classify them. Considering the small distance between categories in the current classification task, the center loss and cross-entropy (CE) loss are used to optimize the model. CE loss is used to calculate the distance between the model predictions and the true labels to guide the model for better classification, but it will not expand the distance between similar classes. Center loss was proposed by Wen et al. [49], and it reduces the intra-class spacing by learning the depth feature centers of each class and optimizing the distance between features and feature centers while increasing the difference between features of different classes. In this paper, multiple loss functions are used to train the model, so that the model can better distinguish between COVID-19 and common pneumonia, thereby improving the screening effect. The formula for each loss function is defined as follows:
where n is the number of training samples, is the true label of the ith sample, is the predicted probability that sample i belongs to category c, is the feature of the ith sample, and denotes the feature center of category y in the multi-classification task.
4. Experiment and Results
The experiment was conducted in a PC platform where the PC is an Intel(R) Xeon(R) Gold 6330 @ 2 GHz CPU, with 48 GB RAM, and an NVIDIA GTX 3090 with 24 G video memory. In the training process, the Adam optimizer is used to minimize the model loss, and its learning rate is 0.0001, is 0.9, and is 0.999. A periodic learning rate decay strategy is also applied, where the decay period is 20 and the decay rate is 0.5. In addition, the batch size is 64 and the epoch is 100.
4.1. Dataset
For the training and testing, we used two datasets, COVIDx CT-2 [11,12] and the integrated CT scan dataset [43]. The COVIDx CT-2 dataset has two diverse, large-scale datasets named COVIDx CT-2A and COVIDx CT-2B, and we chose COVIDx CT-2A. The patient cases collected in COVIDx CT-2A come from various organizations around the world, such as the China National Center for Bioinformation (CNCB), the National Institutes of Health Intramural Targeted Anti-COVID-19 (ITAC) Program, the Negin Radiology Medical Center, etc. The COVIDx CT-2A dataset contains 194,922 CT images (60,083 normal CT images, 40,291 images of patients with pneumonia, and 94,548 images of patients with COVID-19) from 3745 patients, with an image size of 512 × 512. In the integrated CT scan dataset, data are obtained from seven public datasets that contain 7593 COVID-19 images from 466 patients, 6893 normal images from 604 patients, and 2618 CAP images from 60 patients. In Figure 6, three categories of CT scan samples are illustrated, namely normal, COVID-19, and pneumonia. Among them, COVID-19 samples show a large number of GGO in the lungs. We divide the dataset into a training set, validation set, and test set in our experiments. For the COVIDx CT-2A dataset, we use 70% of the total samples for training, 10% of the total samples for validation, and 20% of the total samples for testing. For the integrated CT scan dataset, we use 60% of the total samples for training, 20% of the total samples for validation, and 20% of the total samples for testing. The specific distribution of the numbers is shown in Table 1.
Figure 6.
Dataset sample CT images [11,12]. (a) represents normal CT scan; (b) represents pneumonia CT scan; (c) represents COVID-19 CT scan.
Table 1.
Data distribution of training set, validation set, and test set.
4.2. Evaluation Metrics
A confusion matrix counts the number of predicted and actual results in the test set and is used to evaluate the performance of the classifier models. In our experiment, the 3 × 3 confusion matrix contains three category classes (0 for normal, 1 for pneumonia, and 2 for COVID-19); when one class (row label) is set to a positive sample, another two classes should be regarded as negative samples. Therefore, we can use binary classification to calculate the evaluation metrics of accuracy, precision, recall, and -score through the confusion matrices, and the formula of each evaluation metric is defined as follows:
where true positive () indicates the number of positive samples that the model predicted correctly. True negative () indicates the number of negative samples that the model predicted correctly. False positive () indicates the number of samples that the model predicted to be positive but are actually negative, and false negative () indicates the number of samples that the model predicted to be negative but are actually positive.
4.3. Results
4.3.1. Preprocessing Comparison
In order to further demonstrate the efficacy of preprocessing, a comparative analysis of preprocessing was conducted on two distinct datasets. Table 2 presents the findings, which indicate that the images processed using the CLAHE and MSR methods exhibit favorable comparisons with the original images. As a result of the variation in the density and configuration of the lung tissue, the brightness and contrast of different regions can differ in the CT images of the lungs. The CT images are usually acquired at a low dose of radiation, which can result in problems with noise and have an effect on the results of the diagnostic procedure. The CLAHE method is capable of enhancing the contrast of lung CT images through adaptive histogram equalization based on local information in different regions. This method effectively mitigates the issue of high contrast by imposing limitations on the range of gray levels for enhanced pixels, while also providing some level of noise suppression. The MSR method exhibits notable flexibility, allowing for the adjustment of parameters to cater to different processing needs. Moreover, it enhances the details present in lung CT images, thereby improving the location of lesion areas within the lung. As shown in Table 2, the utilization of the CLAHE and MSR techniques can enhance the accuracy of disease detection on the integrated CT scan dataset. However, on the COVIDx CT-2A dataset, results indicate that the use of only the CLAHE method is no less effective than using both CLAHE and MSR. We think that when the sample volume of the training dataset is sufficient, the model can learn enough meaningful features without suffering from noise, and therefore the preprocessing methods become less necessary.
Table 2.
Comparison of preprocessing results.
4.3.2. Loss Curve
To fully analyze the performance of the model during the training process, we plot the loss function with the horizontal axis representing the number of iterations and the vertical axis representing the training loss. This is shown in Figure 7, where Figure 7a,b, respectively, represent the loss curves of the improved VGG19 on the COVIDx CT-2A dataset and the integrated CT scan dataset, and Figure 7c,d, respectively, represent the loss curves of the original VGG19 on the COVIDx CT-2A dataset and the integrated CT scan dataset.
Figure 7.
Loss curves of the original VGG19 and the improved VGG19. (a,b), respectively, represent the loss curves of the improved VGG19 on the COVIDx CT-2A and the integrated CT scan dataset. (c,d) represent the loss curves of original VGG19 on the COVIDx CT-2A and the integrated CT scan dataset.
On the COVIDx CT-2A dataset, the loss value of the original VGG19 on the validation set gradually increases after training more than 40 epochs, meaning that the original VGG19 undergoes overfitting and its generalization ability begins to decrease gradually. In contrast, the improved VGG19 gradually converges after 60 epochs of training and the variance present is smaller than that of the original VGG19, which indicates that the improved VGG19 has better feature extraction and generalization ability than the original VGG19. This demonstrates the effectiveness of introducing the attention mechanism and mixed loss function. During the training process, the total training time of the improved VGG19 is around 14 h, which is longer than the 9 h of the original VGG19 because of its increased computational complexity.
On the integrated CT scan dataset, the loss values of the original VGG19 on the validation set are closer to those on the training set, but the improved VGG19 has lower loss values, and therefore it indicates that the improved VGG19 also has better detection performance on small-scale datasets.
4.3.3. Parameters and Complexity
As shown in Table 3, the weight parameters and operational performance of the improved VGG19 are significant differences compared with the original VGG19. In this paper, since we reduce the three fully connected layers in the original VGG19 to one layer, the number of parameters of the improved VGG19 is reduced by around six times compared with the original model, making the model less prone to overfitting and facilitating the embedded porting of the model. However, the attention mechanism slightly increases the complexity of the model and thus the computational performance becomes slightly higher than in the original VGG19. We test the proposed model on the COVIDx CT-2A and the integrated CT scan dataset with the PC platform, which can achieve 421 fps and 282 fps, respectively. To further evaluate the practicability of the proposed method, we develop the model on an NVIDIA Jetson device, and the model is able to achieve nearly full accuracy of the classification and approximately 0.6−1 FPS of inference speed.
Table 3.
Comparison of parameter numbers and complexity of VGG19 and the proposed models.
4.3.4. Confusion Matrix and Classification Performance
To comprehensively evaluate the performance of the improved VGG19 and visualize the classification results, we use the confusion matrix to analyze the three-class classification results obtained in the testing phase. In this paper, the improved VGG19 and the original VGG19 model are tested on the COVIDx CT-2A dataset and the integrated CT scan dataset. Figure 8 represents the confusion matrix visualization classification results of the improved VGG19 and the original VGG19 model tested on the COVIDx CT-2A dataset. Figure 9 represents the confusion matrix visualization classification results for the original VGG19 and the improved VGG19 tested on the integrated CT scan dataset.
Figure 8.
Confusion matrixes of two models tested on the COVIDx CT-2A dataset. (a) represents the improved VGG19; (b) represents the original VGG19.
Figure 9.
Confusion matrixes of two models tested on the integrated CT scan dataset. (a) represents the improved VGG19; (b) represents the original VGG19.
As shown in Figure 8, the improved VGG19 has 307 misclassified images in the test set of 25,658 images, with an error rate (1-accuracy) of 1.20%, while the original VGG19 has 431 misclassified images, with an error rate of 1.68%. The improved VGG19 can achieve 97.37%, 98.71%, and 99.58% accuracy in the COVID-19, pneumonia, and normal categories, which is around 1% higher than the original VGG19. As shown in Figure 9, the improved VGG19 has 34 misclassified images in the test set of 1572 images, and the error rate is only 2.16%, while the original VGG19 has 109 images misclassified, with an error rate of 6.93%. The improved VGG19 can achieve 96.95%, 99.05%, and 97.50% accuracy in the COVID-19, pneumonia, and normal categories, which is around 1–6% higher than the original VGG19. Overall, the improved VGG19 achieves better accuracy than the original VGG19 in all categories.
4.3.5. Lesion Visualization
To further illustrate the interpretability of the improved VGG19, the Grad-CAM [50] technique is used in this work. First, given an image and a target class as input, the feature map and the predicted values of the class are obtained by the CNN. Next, the predicted values of the target class are back-propagated to obtain the target class gradient information on the feature map, and then the feature map is a weighted summation and the heat map is obtained by ReLu. Finally, the heat map is upsampled to the resolution of the original map by bi-linear interpolation, and then superimposed with the original map to obtain the final visualization result. We randomly selected different categories of CT images (normal, pneumonia, and COVID-19) for validation. As shown in Figure 10, the CT images of COVID-19 and pneumonia have distinctive features, which are significantly different from the normal CT images; it demonstrates the applicability of our method in computer-aided medical diagnosis.
Figure 10.
Grad-CAM visualization. (a–c), respectively, represent COVID-19, pneumonia, and normal CT scan; (d–f), respectively, represent heatmap of (a–c).
4.3.6. Comparison with State-of-the-Art Methods
To discuss the effectiveness of the proposed method, we performed a contrastive analysis of the two datasets—the COVIDx CT-2A dataset and the medium-sized dataset. First, we tested the COVIDx CT-2A dataset to obtain evaluation metrics and compared it with VGG19 and the state-of-the-art methods proposed by Fan et al. [35], Ter-Sarkisov [36], Yang et al. [37], Hasija et al. [51], and Chetoui et al. [38]. The experimental results depicted in Table 4 demonstrate that the improved VGG19 model outperforms the original VGG19 model in all metrics. The proposed model exhibits higher accuracy in the detection of COVID-19, as evidenced by the confusion matrix presented in Figure 8. The optimization of the improved VGG19 model using the mixed loss function enables the model to better differentiate between COVID-19 and common pneumonia, thereby reducing misclassification in disease detection. It is worth noting that Yang et al. used an integrated model for COVID-19 detection that combines the strengths of multiple neural network models and diagnoses lesion classes in CT images with a recall rate of 100.0%. However, this approach requires a large memory footprint and is not practical for real-world applications. Moreover, the small dataset used in this experiment may lead to overfitting or underfitting. In terms of recall, our proposed model is second only to Yang et al.’s method, indicating that the improved VGG19 model can effectively screen for both common pneumonia and COVID-19 while maintaining a small number of parameters. This makes it more practical, as it can be deployed on embedded devices for COVID-19 detection.
Table 4.
Comparison of the proposed and state-of-the-art methods on the COVIDx CT-2A dataset.
To demonstrate the improved discriminative performance of the VGG19 model, we conducted training and testing on a moderately large dataset and compared it with the original VGG19, Nair et al. [39], Chaudhary et al. [40], Perumal et al. [41], Garg et al. [42], and Maftouni et al. [43], as shown in Table 5. The results presented in Figure 9 indicate that the improved VGG19 outperforms VGG19 in both CAP and COVID-19 categories, achieving a 4.77% higher recall rate. Maftouni et al. proposed a deep ensemble network, which integrates Residual Attention-92 and DenseNet-121 for COVID-19 detection with the FC layer and SVM as the classifier layer. This method exhibited 0.1% higher precision than the modified VGG19, indicating its effectiveness in detecting positive cases. However, the method only performs a dichotomous classification task, which overlooks the need for general pneumonia detection in the diagnosis of lung diseases. As shown in Table 5, our method tests the classification metrics more comprehensively than some state-of-the-art algorithms in terms of performance evaluation, which makes the method more applicable. Overall, the proposed method has significant improvements in all metrics.
Table 5.
Comparison of the proposed and state-of-the-art methods on the medium-sized dataset.
4.3.7. Implementation on NVIDIA Jetson Device
In the experiment, we also ported the proposed method to the low-cost NVIDIA Jetson device (TX2, Nano) to evaluate the performance of the model. NVIDIA Jetson devices are embedded development boards developed by NVIDIA. Among them, the Jetson Nano features a 128-core Maxwell GPU, quad-core ARM Cortex-A57 CPU, and 4 GB 64-bit LPDDR4 25.6 GB/s memory; the Jetson TX2 features a 256-core Pascal GPU, quad-core ARM Cortex-A57, and dual-core Denver2 CPU, with 8 GB 128 bit LPDDR4 59.7 GB/s memory. We used Ubuntu 18.04, JetPack 4.6, TensorRT, and a python environment for the Jetson device deployment. NVIDIA has developed a deep learning inference engine, called TensorRT, which can be used to perform inference on models in the NVIDIA Jetson device. TensorRT supports major frameworks such as TensorFlow, PyTorch, Caffe, etc., and can accelerate the inference time for deep learning. This paper uses TensorRT to accelerate inference on the improved VGG19. First, we convert the trained model to onnx format, which can be used for TensorRT inference, and the experimental accuracy is set to fp16. The experimental results show that the inference accuracy of the Jetson device is near to that of the PC platform, approximately 97%, but the inference speed is only 0.6−1 FPS, which is much slower than the PC platform due to the limited hardware resources. However, taking into account the highly cost-effective Jetson devices, they can meet the needs of some practical application scenarios, such as portable edge-computing medical terminals.
5. Conclusions
In this paper, a Convolutional Neural Network using VGG19 is proposed as the backbone model for detecting COVID-19 disease in lung CT images. Given the noise and low contrast issues in the original images, we used the CLAHE and MSR methods and conducted experiments that demonstrated the effectiveness of the method in detecting COVID-19 disease. In addition, we used the channel attention module to adjust the channel weights of the feature maps so that the model could focus more on the lesion regions in the CT images to improve model accuracy. The number of model parameters has been lowered by reducing the number of fully connected layers for application to embedded devices. Given the relatively low similarity between disease classes, a mixed loss function was developed to increase the distance between traits in different classes, to minimize the false-positive rate of the model in COVID-19 and pneumonia. Our experiments with both datasets on PC platforms and NVIDIA Jetson devices lead us to conclude that (1) image preprocessing facilitates lung disease classification by the model; (2) increasing the channel attention modulus and mixed loss function can greatly improve the accuracy of the model; (3) model transfer to NVIDIA Jetson devices maintains model accuracy and demonstrates its portability for future development on embedded edge-computing platforms.
However, there are some limitations to this work. In this paper, only three categories of lung CT images were used for classification and detection, and more categories of CT imaging equipment with similar lung diseases should be collected for lung diagnosis in the future. Although the improved VGG19 has fewer parameters than the original VGG19, it is still not lightweight enough to achieve better computing performance. We will consider applying more advance and lightweight deep learning models to accelerate inference on low-cost embedded edge-computing devices.
Author Contributions
Conceptualization, L.L. and H.L.; methodology, L.L. and H.L.; software, H.L.; validation, L.L., H.L. and Z.W.; formal analysis, L.L. and Z.W.; investigation, Z.W.; resources, L.L. and H.L.; data curation, Z.W.; writing—original draft preparation, H.L.; writing—review and editing, H.L.; visualization, H.L.; supervision, L.L. and Z.W.; project administration, L.L. and Z.W.; funding acquisition, L.L. and Z.W. All authors have read and agreed to the published version of the manuscript.
Funding
This research was funded by the Key Science and Technology Plan Project of Haikou (Grant No. 2021-016), Key Research and Development Program of Hainan Province (Grant No. ZDYF2021GXJS017), National Natural Science Foundation of China (Grant No. 82160345), and Natural Science Foundation of Chongqing (Grant No. cstc2021jcyj-msxmX1121).
Institutional Review Board Statement
Not applicable.
Informed Consent Statement
Not applicable.
Data Availability Statement
The datasets used in this research are publicly available with the name “COVIDx CT-2A | Kaggle” on https://www.kaggle.com/datasets/hgunraj/covidxct, (accessed on 7 June 2022) and the name “Large COVID-19 CT scan slice dataset | Kaggle” on https://www.kaggle.com/datasets/maedemaftouni/large-covid19-ct-slice-dataset, (accessed on 7 June 2022). In addition, the source code is freely available on the GitHub page at https://github.com/One2332x/covid19_clssification, (accessed on 25 October 2022).
Conflicts of Interest
The authors declare no conflict of interest.
References
- Wang, L.; Wang, Y.; Ye, D.; Liu, Q. Review of the 2019 novel coronavirus (SARS-CoV-2) based on current evidence. Int. J. Antimicrob. Agents 2020, 55, 105948. [Google Scholar] [CrossRef] [PubMed]
- Huang, C.; Wang, Y.; Li, X.; Ren, L.; Zhao, J.; Hu, Y.; Zhang, L.; Fan, G.; Xu, J.; Gu, X.; et al. Clinical features of patients infected with 2019 novel coronavirus in Wuhan, China. Lancet 2020, 395, 497–506. [Google Scholar] [CrossRef] [PubMed]
- WHO. Coronavirus (COVID-19) Dashboard. Available online: https://covid19.who.int (accessed on 7 June 2022).
- Harahwa, T.; Yau, T.; Lim-Cooke, M.S.; Al-Haddi, S.; Zeinah, M.; Harky, A. The optimal diagnostic methods for COVID-19. Diagnosis 2020, 7, 349–356. [Google Scholar] [CrossRef] [PubMed]
- Corman, V.; Landt, O.; Kaiser, M.; Molenkamp, R.; Meijer, A.; Chu, D.; Bleicker, T.; Bruenink, S.; Schneider, J.; Schmidt, M.; et al. Detection of 2019 novel coronavirus (2019-nCoV) by real-time RT-PCR. Eurosurveillance 2020, 25, 2000045. [Google Scholar] [CrossRef] [PubMed]
- Dhamad, A.; Abdal Rhida, M. COVID-19: Molecular and serological detection methods. PeerJ 2020, 8, e10180. [Google Scholar] [CrossRef]
- Giri, B.; Pandey, S.; Shrestha, R.; Pokharel, K.; Ligler, F.; Neupane, B. Review of analytical performance of COVID-19 detection methods. Anal. Bioanal. Chem. 2020, 413, 35–48. [Google Scholar] [CrossRef]
- Kubina, R.; Dziedzic, A. Molecular and Serological Tests for COVID-19 a Comparative Review of SARS-CoV-2 Coronavirus Laboratory and Point-of-Care Diagnostics. Diagnostics 2020, 10, 434. [Google Scholar] [CrossRef]
- Li, J.; Long, X.; Wang, X.; Fang, F.; Lv, X.; Zhang, D.; Sun, Y.; Hu, S.; Lin, Z.; Xiong, N. Radiology indispensable for tracking COVID-19. Diagn. Interv. Imaging 2021, 102, 69–75. [Google Scholar] [CrossRef]
- Fang, Y.; Zhang, H.; Xie, J.; Lin, M.; Ying, L.; Pang, P.; Ji, W. Sensitivity of Chest CT for COVID-19: Comparison to RT-PCR. Radiology 2020, 296, 200432. [Google Scholar] [CrossRef]
- Gunraj, H.; Sabri, A.; Koff, D.; Wong, A. COVID-Net CT-2: Enhanced Deep Neural Networks for Detection of COVID-19 From Chest CT Images Through Bigger, More Diverse Learning. Front. Med. 2022, 8, 3126. [Google Scholar] [CrossRef]
- Gunraj, H.; Wang, L.; Wong, A. COVIDNet-CT: A Tailored Deep Convolutional Neural Network Design for Detection of COVID-19 Cases From Chest CT Images. Front. Med. 2020, 7, 1025. [Google Scholar] [CrossRef] [PubMed]
- Arora, V.; Ng, E.Y.K.; Leekha, R.S.; Darshan, M.; Singh, A. Transfer learning-based approach for detecting COVID-19 ailment in lung CT scan. Comput. Biol. Med. 2021, 135, 104575. [Google Scholar] [CrossRef] [PubMed]
- Ahuja, S.; Panigrahi, B.K.; Dey, N.; Rajinikanth, V.; Gandhi, T.K. Deep Transfer Learning-Based Automated Detection of COVID-19 from Lung CT Scan Slices. Appl. Intell. 2021, 51, 571–585. [Google Scholar] [CrossRef] [PubMed]
- Ma, X.; Zheng, B.; Zhu, Y.; Yu, F.; Zhang, R.; Chen, B. COVID-19 lesion discrimination and localization network based on multi-receptive field attention module on CT images. Optik 2021, 241, 167100. [Google Scholar] [CrossRef]
- Wang, S.H.; Fernandes, S.L.; Zhu, Z.; Zhang, Y.D. AVNC: Attention-Based VGG-Style Network for COVID-19 Diagnosis by CBAM. IEEE Sensors J. 2022, 22, 17431–17438. [Google Scholar] [CrossRef]
- Khan, E.; Rehman, M.Z.U.; Ahmed, F.; Alfouzan, F.A.; Alzahrani, N.M.; Ahmad, J. Chest X-ray Classification for the Detection of COVID-19 Using Deep Learning Techniques. Sensors 2022, 22, 1211. [Google Scholar] [CrossRef]
- Zhou, T.; Lu, H.; Yang, Z.; Qiu, S.; Huo, B.; Dong, Y. The ensemble deep learning model for novel COVID-19 on CT images. Appl. Soft Comput. 2021, 98, 106885. [Google Scholar] [CrossRef]
- Hasani, S.; Nasiri, H. COV-ADSX: An Automated Detection System using X-ray Images, Deep Learning, and XGBoost for COVID-19. Softw. Impacts 2022, 11, 100210. [Google Scholar] [CrossRef]
- Verma, A.; Amin, S.B.; Naeem, M.; Saha, M. Detecting COVID-19 from chest computed tomography scans using AI-driven android application. Comput. Biol. Med. 2022, 143, 105298. [Google Scholar] [CrossRef]
- Basantwani, N.; Kumar, A.; Gangwar, S.; Olkha, A.; Prijwal, P.; Mathur, G. COVID-19 detection android app based on chest X-rays & ct scans. INFOCOMP J. Comput. Sci. 2021, 20, 91–100. [Google Scholar]
- Krömer, P.; Nowaková, J. Medical Image Analysis with NVIDIA Jetson GPU Modules. In Proceedings of the 13th International Conference on Intelligent Networking and Collaborative Systems (INCoS-2021)—Advances in Intelligent Networking and Collaborative Systems, Taichung, Taiwan, 1–3 September 2021; pp. 233–242. [Google Scholar] [CrossRef]
- Rungsuptaweekoon, K.; Visoottiviseth, V.; Takano, R. Evaluating the power efficiency of deep learning inference on embedded GPU systems. In Proceedings of the 2017 2nd International Conference on Information Technology (INCIT), Nakhonpathom, Thailand, 2–3 November 2017; pp. 1–5. [Google Scholar] [CrossRef]
- Mijwil, M. Implementation of Machine Learning Techniques for the Classification of Lung X-Ray Images Used to Detect COVID-19 in Humans. Iraqi J. Sci. 2021, 62, 2099–2109. [Google Scholar] [CrossRef]
- Ezzoddin, M.; Nasiri, H.; Dorrigiv, M. Diagnosis of COVID-19 Cases from Chest X-ray Images Using Deep Neural Network and LightGBM. In Proceedings of the 2022 International Conference on Machine Vision and Image Processing (MVIP), Ahvaz, Iran, 23–24 February 2022; pp. 1–7. [Google Scholar] [CrossRef]
- Nasiri, H.; Kheyroddin, G.; Dorrigiv, M.; Esmaeili, M.; Nafchi, A.R.; Ghorbani, M.H.; Zarkesh-Ha, P. Classification of COVID-19 in Chest X-ray Images Using Fusion of Deep Features and LightGBM. In Proceedings of the 2022 IEEE World AI IoT Congress (AIIoT), Seattle, WA, USA, 6–9 June 2022; pp. 201–206. [Google Scholar] [CrossRef]
- Nayak, S.R.; Nayak, D.R.; Sinha, U.; Arora, V.; Pachori, R.B. An Efficient Deep Learning Method for Detection of COVID-19 Infection Using Chest X-ray Images. Diagnostics 2023, 13, 131. [Google Scholar] [CrossRef] [PubMed]
- Rahman, T.; Khandakar, A.; Qiblawey, Y.; Tahir, A.; Kiranyaz, S.; Abul Kashem, S.B.; Islam, M.T.; Al Maadeed, S.; Zughaier, S.M.; Khan, M.S.; et al. Exploring the effect of image enhancement techniques on COVID-19 detection using chest X-ray images. Comput. Biol. Med. 2021, 132, 104319. [Google Scholar] [CrossRef] [PubMed]
- He, K.; Zhang, X.; Ren, S.; Sun, J. Deep Residual Learning for Image Recognition. In Proceedings of the 2016 IEEE Conference on Computer Vision and Pattern Recognition (CVPR), Las Vegas, NV, USA, 27–30 June 2016; pp. 770–778. [Google Scholar] [CrossRef]
- Szegedy, C.; Vanhoucke, V.; Ioffe, S.; Shlens, J.; Wojna, Z. Rethinking the Inception Architecture for Computer Vision. In Proceedings of the 2016 IEEE Conference on Computer Vision and Pattern Recognition (CVPR), Las Vegas, NV, USA, 27–30 June 2016; pp. 2818–2826. [Google Scholar] [CrossRef]
- Huang, G.; Liu, Z.; Van Der Maaten, L.; Weinberger, K.Q. Densely Connected Convolutional Networks. In Proceedings of the 2017 IEEE Conference on Computer Vision and Pattern Recognition (CVPR), Honolulu, HI, USA, 21–26 July 2017; pp. 2261–2269. [Google Scholar] [CrossRef]
- Rajpurkar, P.; Irvin, J.; Zhu, K.; Yang, B.; Mehta, H.; Duan, T.; Ding, D.; Bagul, A.; Langlotz, C.; Shpanskaya, K.; et al. CheXNet: Radiologist-Level Pneumonia Detection on Chest X-Rays with Deep Learning. arXiv 2017, arXiv:1711.05225. [Google Scholar]
- Chakraborty, S.; Murali, B.; Mitra, A.K. An Efficient Deep Learning Model to Detect COVID-19 Using Chest X-ray Images. Int. J. Environ. Res. Public Health 2022, 19, 2013. [Google Scholar] [CrossRef]
- Mahapatra, A.K.; Satyam Oza, R.; Shankar, S. Deploying Deep Transfer Learning Models to a Web-App for Sars-Cov-2 Detection Using Chest Radiography Images. In Proceedings of the 2021 5th International Conference on Electrical, Electronics, Communication, Computer Technologies and Optimization Techniques (ICEECCOT), Mysuru, India, 10–11 December 2021; pp. 137–144. [Google Scholar] [CrossRef]
- Fan, X.; Feng, X.; Dong, Y.; Hou, H. COVID-19 CT image recognition algorithm based on transformer and CNN. Displays 2022, 72, 102150. [Google Scholar] [CrossRef]
- Ter-Sarkisov, A. Detection and segmentation of lesion areas in chest CT scans for the prediction of COVID-19. medRxiv 2020. [Google Scholar] [CrossRef]
- Yang, L.; Wang, S.H.; Zhang, Y.D. EDNC: Ensemble Deep Neural Network for COVID-19 Recognition. Tomography 2022, 8, 869–890. [Google Scholar] [CrossRef] [PubMed]
- Chetoui, M.; Akhloufi, M.A. Efficient Deep Neural Network for an Automated Detection of COVID-19 using CT images. In Proceedings of the 2021 IEEE International Conference on Systems, Man, and Cybernetics (SMC), Melbourne, VIC, Australia, 17–20 October 2021; pp. 1769–1774. [Google Scholar] [CrossRef]
- Nair, R.; Alhudhaif, A.; Koundal, D.; Doewes, R.I.; Sharma, P. Deep learning-based COVID-19 detection system using pulmonary CT scans. Turk. J. Electr. Eng. Comput. Sci. 2021, 29, 2716–2727. [Google Scholar] [CrossRef]
- Chaudhary, S.; Sadbhawna, S.; Jakhetiya, V.; Subudhi, B.N.; Baid, U.; Guntuku, S.C. Detecting COVID-19 and Community Acquired Pneumonia Using Chest CT Scan Images With Deep Learning. In Proceedings of the 2021 IEEE International Conference on Acoustics, Speech and Signal Processing (ICASSP), Toronto, ON, Canada, 6–11 June 2021; pp. 8583–8587. [Google Scholar] [CrossRef]
- Perumal, V.; Narayanan, V.; Rajasekar, S.J.S. Prediction of COVID-19 with Computed Tomography Images using Hybrid Learning Techniques. Dis. Markers 2021, 2021, 5522729. [Google Scholar] [CrossRef]
- Garg, P.; Ranjan, R.; Upadhyay, K.; Agrawal, M.; Deepak, D. Multi-Scale Residual Network for COVID-19 Diagnosis Using Ct-Scans. In Proceedings of the 2021 IEEE International Conference on Acoustics, Speech and Signal Processing (ICASSP), Toronto, ON, Canada, 6–11 June 2021; pp. 8558–8562. [Google Scholar] [CrossRef]
- Maftouni, M.; Law, A.C.C.; Shen, B.; Zhou, Y.; Ayoobi Yazdi, N.; Kong, Z. A Robust Ensemble-Deep Learning Model for COVID-19 Diagnosis based on an Integrated CT Scan Images Database. In Proceedings of the 2021 IISE Annual Conference, Online, 22–25 May 2021. [Google Scholar]
- Zhang, G.; Sun, D.; Yan, P.; Zhao, H.; Li, Z. A LDCT Image Contrast Enhancement Algorithm Based on Single-Scale Retinex Theory. In Proceedings of the 2008 International Conference on Computational Intelligence for Modelling Control & Automation, Vienna, Austria, 10–12 December 2008; pp. 1282–1287. [Google Scholar] [CrossRef]
- Jobson, D.; Rahman, Z.; Woodell, G. A multiscale retinex for bridging the gap between color images and the human observation of scenes. IEEE Trans. Image Process. 1997, 6, 965–976. [Google Scholar] [CrossRef] [PubMed]
- Pizer, S.; Johnston, R.; Ericksen, J.; Yankaskas, B.; Muller, K. Contrast-limited adaptive histogram equalization: Speed and effectiveness. In Proceedings of the First Conference on Visualization in Biomedical Computing, Atlanta, GA, USA, 22–25 May 1990; pp. 337–345. [Google Scholar] [CrossRef]
- Springenberg, J.T.; Dosovitskiy, A.; Brox, T.; Riedmiller, M. Striving for Simplicity: The All Convolutional Net. arXiv 2014, arXiv:1412.6806. [Google Scholar] [CrossRef]
- Woo, S.; Park, J.; Lee, J.Y.; Kweon, I.S. CBAM: Convolutional Block Attention Module. In Proceedings of the Computer Vision—ECCV 2018, Munich, Germany, 8–14 September 2018; Ferrari, V., Hebert, M., Sminchisescu, C., Weiss, Y., Eds.; Springer International Publishing: Cham, Switzerland, 2018; pp. 3–19. [Google Scholar] [CrossRef]
- Wen, Y.; Zhang, K.; Li, Z.; Qiao, Y. A Discriminative Feature Learning Approach for Deep Face Recognition. In Proceedings of the Computer Vision—ECCV 2016, Amsterdam, The Netherlands, 11–14 October 2016; Leibe, B., Matas, J., Sebe, N., Welling, M., Eds.; Springer International Publishing: Cham, Switzerland, 2016; pp. 499–515. [Google Scholar] [CrossRef]
- Selvaraju, R.R.; Cogswell, M.; Das, A.; Vedantam, R.; Parikh, D.; Batra, D. Grad-cam: Visual explanations from deep networks via gradient-based localization. In Proceedings of the IEEE International Conference on Computer Vision, Venice, Italy, 22–29 October 2017; pp. 618–626. [Google Scholar] [CrossRef]
- Hasija, S.; Akash, P.; Bhargav Hemanth, M.; Kumar, A.; Sharma, S. A novel approach for detection of COVID-19 and Pneumonia using only binary classification from chest CT-scans. Neurosci. Informat. 2022, 2, 100069. [Google Scholar] [CrossRef] [PubMed]
Disclaimer/Publisher’s Note: The statements, opinions and data contained in all publications are solely those of the individual author(s) and contributor(s) and not of MDPI and/or the editor(s). MDPI and/or the editor(s) disclaim responsibility for any injury to people or property resulting from any ideas, methods, instructions or products referred to in the content. |
© 2023 by the authors. Licensee MDPI, Basel, Switzerland. This article is an open access article distributed under the terms and conditions of the Creative Commons Attribution (CC BY) license (https://creativecommons.org/licenses/by/4.0/).









