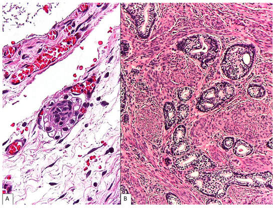
Clear-Cell Mesothelioma of Uterine Corpus: Diagnostic Challenges in Intraoperative Frozen Sections
Abstract
| Clinico-Pathological Features | Pleural Mesothelioma | Peritoneal Mesothelioma | Peritoneal Clear-Cell Mesothelioma |
| Estimated incidence (per 100,000 population) | 0.6–0.9 | 0.1 | Extremely rare |
| Male | 1.1–1.9 | 0.1 | |
| Female | 0.2–0.3 | 0.1 | |
| Male: Female ratio | 3.9:1 | 1.3:1 | Female |
| Median age (years) | 65–70 | 49–69 (49 in female) a | Limited data |
| Association with asbestos exposure | 70% | 33% (5–23% in female) a | Limited data |
| Association with germline cancer susceptibility mutations | 7% | 25% | Limited data |
| Histologic patterns | Epithelioid (55%) Biphasic (20%) Sarcomatoid (10%) | Epithelioid (82%) Biphasic (13%) Sarcomatoid (5%) | Epithelioid (limited data) |
| Loss of BAP1 immunoexpression b | 80%a (especially epithelioid type) | 57% a | Limited data |
| Median overall survival time (months) | 17–20 | 53 | Limited data |





Author Contributions
Funding
Institutional Review Board Statement
Informed Consent Statement
Data Availability Statement
Conflicts of Interest
References
- Pavlisko, E.N.; Liu, B.; Green, C.; Sporn, T.A.; Roggli, V.L. Malignant Diffuse Mesothelioma in Women: A Study of 354 Cases. Am. J. Surg. Pathol. 2020, 44, 293–304. [Google Scholar] [CrossRef] [PubMed]
- Malpica, A.; Euscher, E.D.; Marques-Piubelli, M.L.; Ferrufino-Schmidt, M.C.; Miranda, R.N.; Sams, R.; Royal, R.E.; Raghav, K.P.S.; Fournier, K.F.; Ramalingam, P. Malignant Mesothelioma of the Peritoneum in Women: A Clinicopathologic Study of 164 Cases. Am. J. Surg. Pathol. 2021, 45, 45–58. [Google Scholar] [CrossRef] [PubMed]
- Husain, A.N.; Colby, T.V.; Ordonez, N.G.; Allen, T.C.; Attanoos, R.L.; Beasley, M.B.; Butnor, K.J.; Chirieac, L.R.; Churg, A.M.; Dacic, S.; et al. Guidelines for Pathologic Diagnosis of Malignant Mesothelioma 2017 Update of the Consensus Statement from the International Mesothelioma Interest Group. Arch. Pathol. Lab. Med. 2018, 142, 89–108. [Google Scholar] [CrossRef] [PubMed]
- Chapel, D.B.; Schulte, J.J.; Absenger, G.; Attanoos, R.; Brcic, L.; Butnor, K.J.; Chirieac, L.; Churg, A.; Galateau-Salle, F.; Hiroshima, K.; et al. Malignant peritoneal mesothelioma: Prognostic significance of clinical and pathologic parameters and validation of a nuclear-grading system in a multi-institutional series of 225 cases. Mod. Pathol. 2021, 34, 380–395. [Google Scholar] [CrossRef] [PubMed]
- Smith-Hannah, A.; Naous, R. Primary peritoneal epithelioid mesothelioma of clear cell type with a novel VHL gene mutation: A case report. Hum. Pathol. 2019, 83, 199–203. [Google Scholar] [CrossRef] [PubMed]
- Malpica, A.; Euscher, E.D.; Marques-Piubelli, M.L.; Miranda, R.N.; Raghav, K.P.; Fournier, K.F.; Ramalingam, P. Localized Malignant Peritoneal Mesothelioma (LMPeM) in Women: A Clinicopathologic Study of 18 Cases. Am. J. Surg. Pathol. 2022, 46, 1352–1363. [Google Scholar] [CrossRef] [PubMed]
- Singhi, A.D.; Krasinskas, A.M.; Choudry, H.A.; Bartlett, D.L.; Pingpank, J.F.; Zeh, H.J.; Luvison, A.; Fuhrer, K.; Bahary, N.; Seethala, R.R.; et al. The prognostic significance of BAP1, NF2, and CDKN2A in malignant peritoneal mesothelioma. Mod. Pathol. 2016, 29, 14–24. [Google Scholar] [CrossRef] [PubMed]
- National Comprehensive Cancer Network Mesothelioma: Peritoneal (Version:1.2023). Available online: https://www.nccn.org/professionals/physician_gls/pdf/meso_peritoneal.pdf (accessed on 21 February 2023).
- National Comprehensive Cancer Network. Mesothelioma: Pleural (Version: 1.2023). Available online: https://www.nccn.org/professionals/physician_gls/pdf/meso_pleural.pdf (accessed on 21 February 2023).
- Centers for Disease Control and Prevention. Incidence of Malignant Mesothelioma, 1999–2018. Available online: https://www.cdc.gov/cancer/uscs/about/data-briefs/no27-incidence-malignant-mesothelioma-1999-2018.htm (accessed on 21 February 2023).
- Mao, W.; Zhang, X.; Guo, Z.; Gao, Z.; Pass, H.I.; Yang, H.; Carbone, M. Association of Asbestos Exposure with Malignant Mesothelioma Incidence in Eastern China. JAMA Oncol. 2017, 3, 562–564. [Google Scholar] [CrossRef] [PubMed]
- Sugarbaker, P.H.; Welch, L.S.; Mohamed, F.; Glehen, O. A review of peritoneal mesothelioma at the Washington Cancer Institute. Surg. Oncol. Clin. N. Am. 2003, 12, 605–621. [Google Scholar] [CrossRef] [PubMed]
- Zhuo, M.; Zheng, Q.; Chi, Y.; Jia, B.; Zhao, J.; Wu, M.; An, T.; Wang, Y.; Li, J.; Zhao, X.; et al. Survival analysis via nomogram of surgical patients with malignant pleural mesothelioma in the Surveillance, Epidemiology, and End Results database. Thorac. Cancer 2019, 10, 1193–1202. [Google Scholar] [CrossRef] [PubMed]
- Chapel, D.B.; Hornick, J.L.; Barlow, J.; Bueno, R.; Sholl, L.M. Clinical and molecular validation of BAP1, MTAP, P53, and Merlin immunohistochemistry in diagnosis of pleural mesothelioma. Mod. Pathol. 2022, 35, 1383–1397. [Google Scholar] [CrossRef] [PubMed]
- Panou, V.; Gadiraju, M.; Wolin, A.; Weipert, C.M.; Skarda, E.; Husain, A.N.; Patel, J.D.; Rose, B.; Zhang, S.R.; Weatherly, M.; et al. Frequency of Germline Mutations in Cancer Susceptibility Genes in Malignant Mesothelioma. J. Clin. Oncol 2018, 36, 2863–2871. [Google Scholar] [CrossRef] [PubMed]
- Weidemann, S.; Bohle, J.L.; Contreras, H.; Luebke, A.M.; Kluth, M.; Buscheck, F.; Hube-Magg, C.; Hoflmayer, D.; Moller, K.; Fraune, C.; et al. Napsin A Expression in Human Tumors and Normal Tissues. Pathol. Oncol. Res. 2021, 27, 613099. [Google Scholar] [CrossRef] [PubMed]
- Gilk, B. WHO Classification of Femal Genital Tumours, 5th ed.; International Agency for Research on Cancer (IARC): Lyon, France, 2020. [Google Scholar]
- Marchevsky, A.M.; Khoor, A.; Walts, A.E.; Nicholson, A.G.; Zhang, Y.Z.; Roggli, V.; Carney, J.; Roden, A.C.; Tazelaar, H.D.; Larsen, B.T.; et al. Localized malignant mesothelioma, an unusual and poorly characterized neoplasm of serosal origin: Best current evidence from the literature and the International Mesothelioma Panel. Mod. Pathol. 2020, 33, 281–296. [Google Scholar] [CrossRef] [PubMed]
Disclaimer/Publisher’s Note: The statements, opinions and data contained in all publications are solely those of the individual author(s) and contributor(s) and not of MDPI and/or the editor(s). MDPI and/or the editor(s) disclaim responsibility for any injury to people or property resulting from any ideas, methods, instructions or products referred to in the content. |
© 2023 by the authors. Licensee MDPI, Basel, Switzerland. This article is an open access article distributed under the terms and conditions of the Creative Commons Attribution (CC BY) license (https://creativecommons.org/licenses/by/4.0/).
Share and Cite
Pongsuvareeyakul, T.; Saipattranusorn, K.; Sukpan, K.; Suprasert, P.; Khunamornpong, S. Clear-Cell Mesothelioma of Uterine Corpus: Diagnostic Challenges in Intraoperative Frozen Sections. Diagnostics 2023, 13, 1119. https://doi.org/10.3390/diagnostics13061119
Pongsuvareeyakul T, Saipattranusorn K, Sukpan K, Suprasert P, Khunamornpong S. Clear-Cell Mesothelioma of Uterine Corpus: Diagnostic Challenges in Intraoperative Frozen Sections. Diagnostics. 2023; 13(6):1119. https://doi.org/10.3390/diagnostics13061119
Chicago/Turabian StylePongsuvareeyakul, Tip, Kanokkan Saipattranusorn, Kornkanok Sukpan, Prapaporn Suprasert, and Surapan Khunamornpong. 2023. "Clear-Cell Mesothelioma of Uterine Corpus: Diagnostic Challenges in Intraoperative Frozen Sections" Diagnostics 13, no. 6: 1119. https://doi.org/10.3390/diagnostics13061119
APA StylePongsuvareeyakul, T., Saipattranusorn, K., Sukpan, K., Suprasert, P., & Khunamornpong, S. (2023). Clear-Cell Mesothelioma of Uterine Corpus: Diagnostic Challenges in Intraoperative Frozen Sections. Diagnostics, 13(6), 1119. https://doi.org/10.3390/diagnostics13061119

