A Role for Mast Cell-Mediated Antibodies in the Formation of Cholesteatoma and Cholesteatoma-Induced Bone Erosion
Abstract
1. Introduction
2. Materials and Methods
2.1. Immunohistochemical Assessment
2.2. The Assessment of Temporal Bone and Ossicular Erosion
2.3. Statistical Assessment
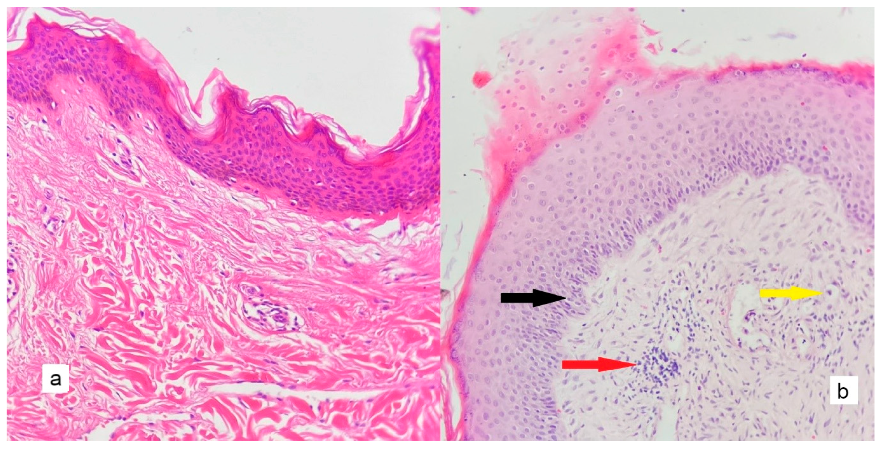
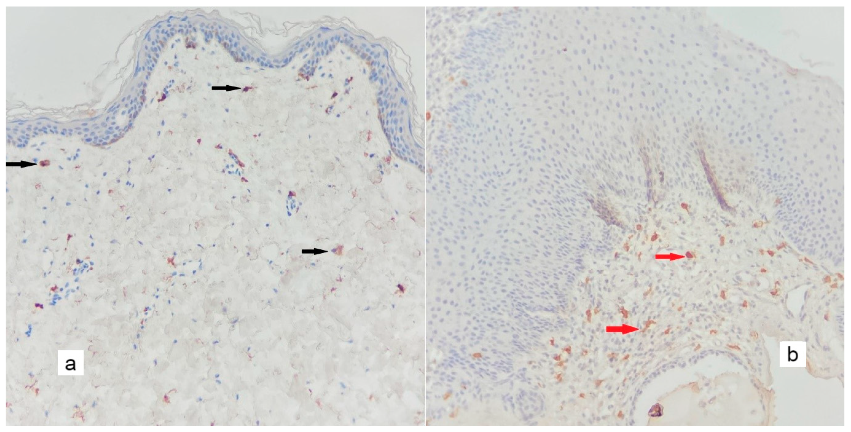
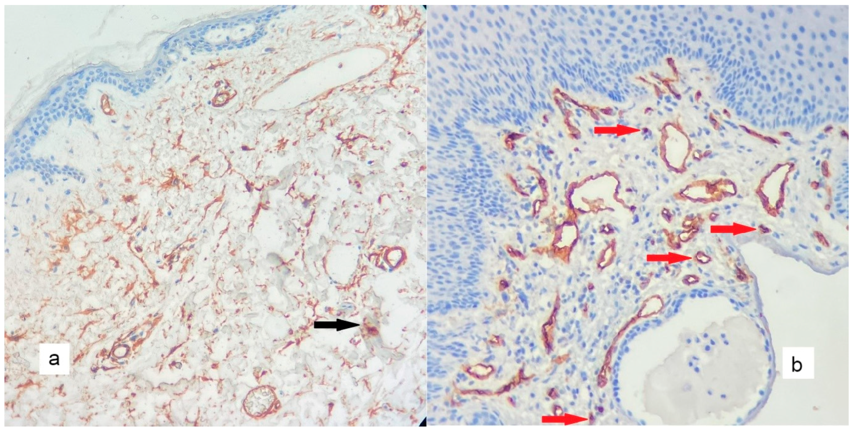
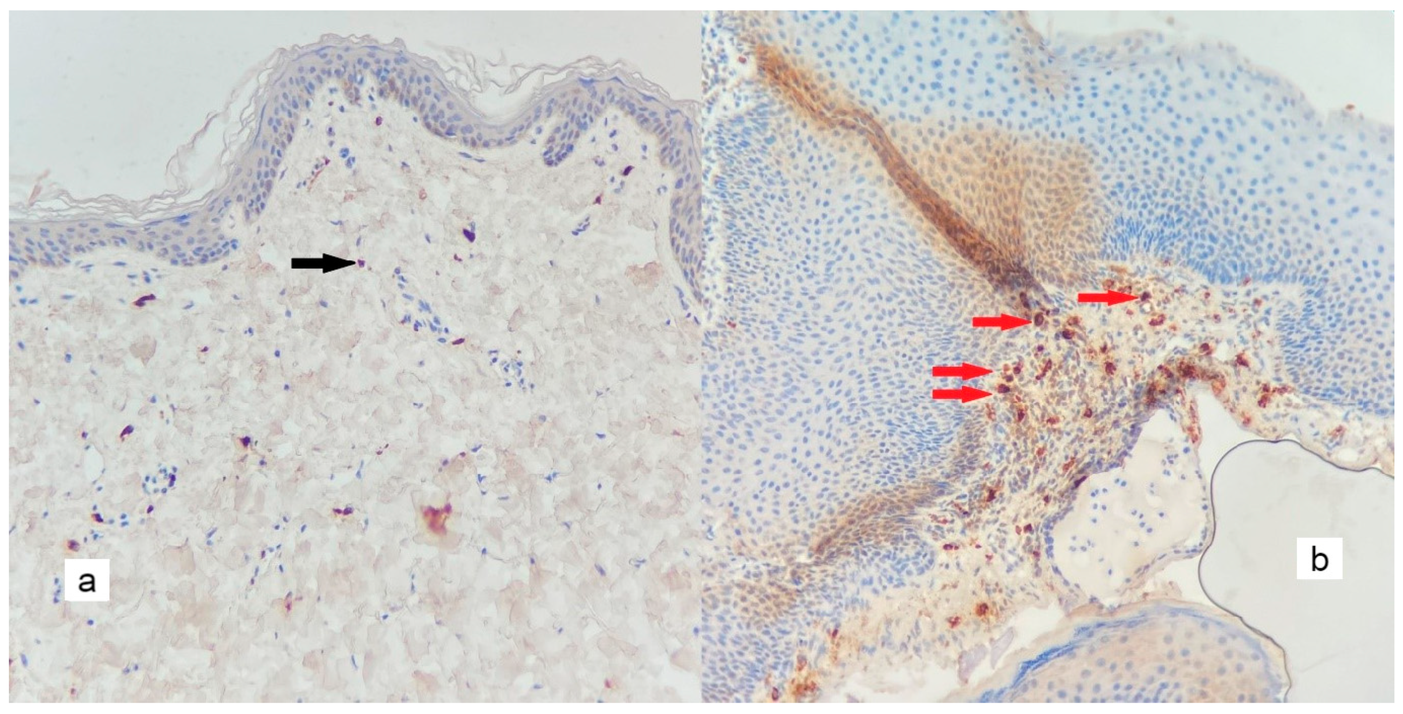
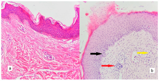
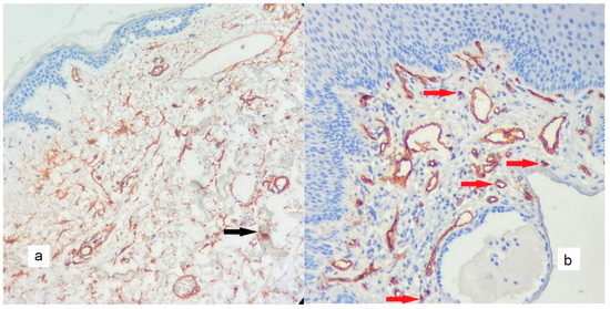
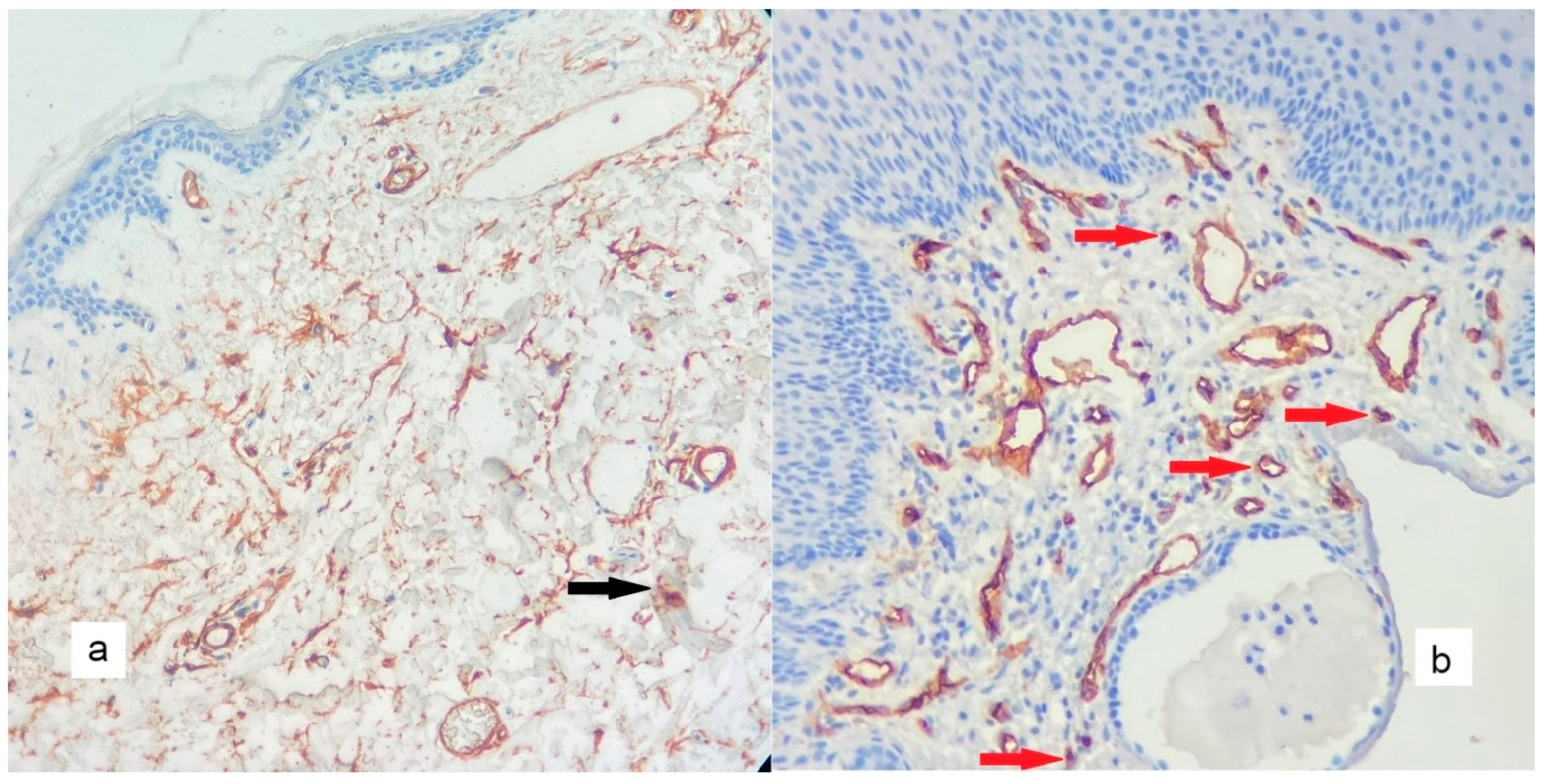
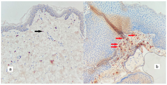
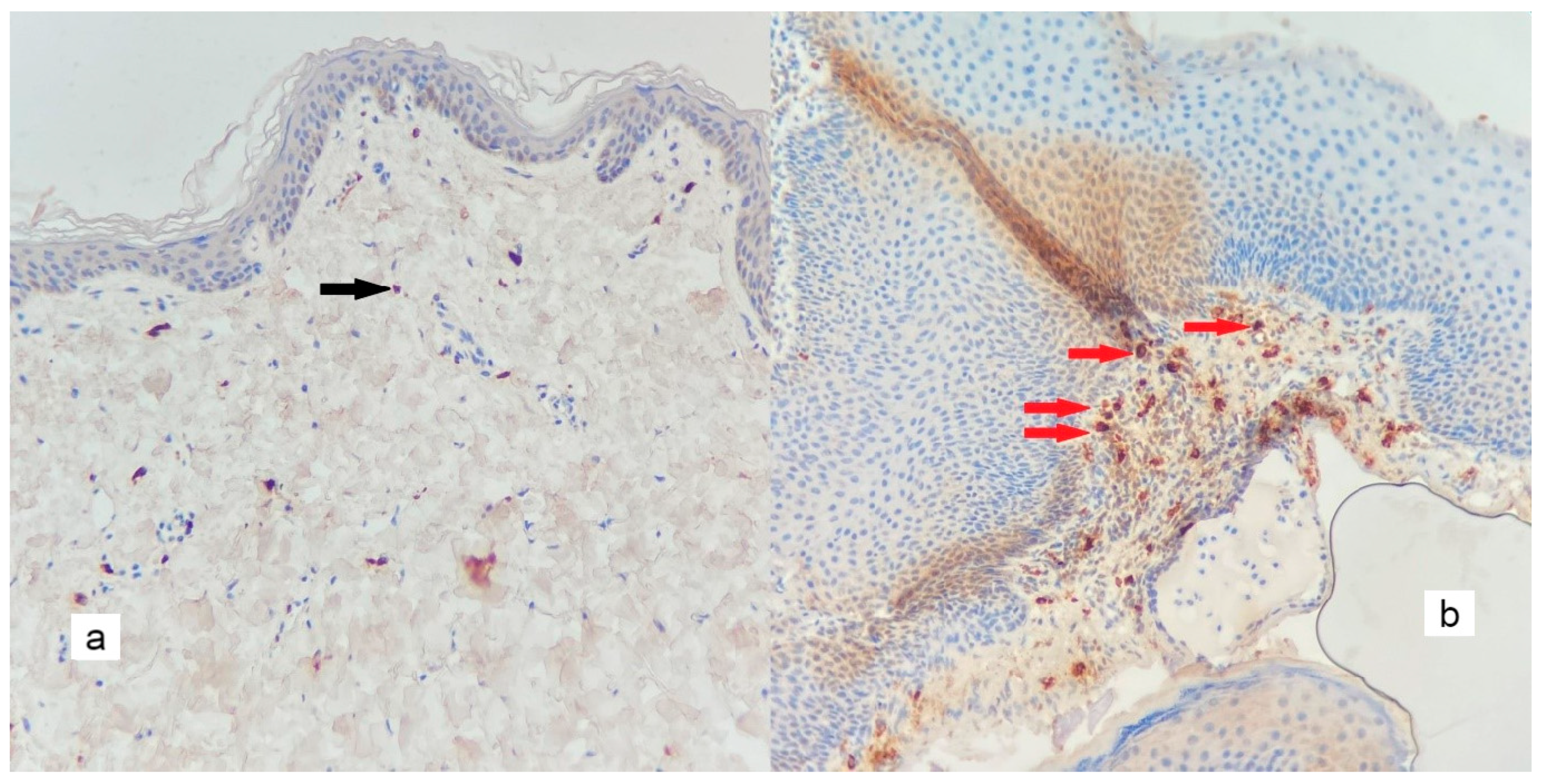
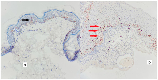
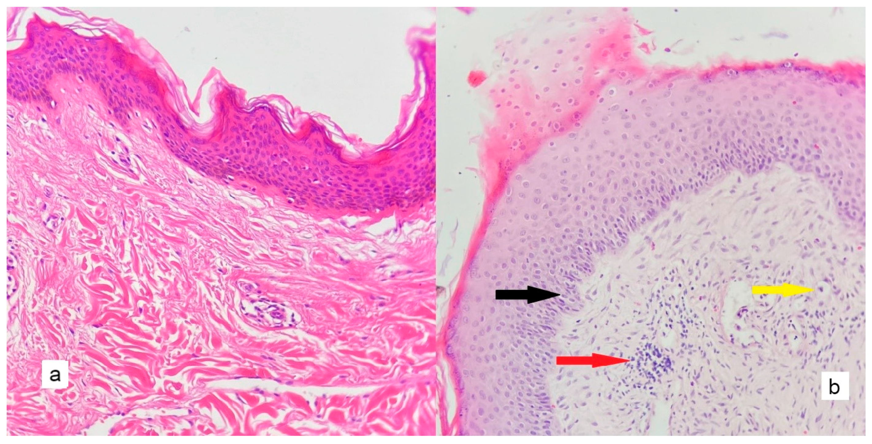
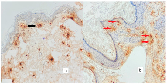
3. Results
4. Discussion
The Strength of the Study
5. Conclusions
Author Contributions
Funding
Institutional Review Board Statement
Informed Consent Statement
Data Availability Statement
Acknowledgments
Conflicts of Interest
References
- Persaud, R.; Hajioff, D.; Trinidade, A.; Khemani, S.; Bhattacharyya, M.; Papadimitriou, N.; Kalan, A.; Bhattacharyya, A. Evidence-based review of aetiopathogenic theories of congenital and acquired cholesteatoma. J. Laryngol. Otol. 2007, 121, 1013–1019. [Google Scholar] [CrossRef]
- Yung, M.; Tono, T.; Olszewska, E.; Yamamoto, Y.; Sudhoff, H.; Sakagami, M.; Mulder, J.; Kojima, H.; İncesulu, A.; Trabalzini, F.; et al. EAONO/JOS Joint Consensus Statements on the Definitions, Classification and Staging of Middle Ear Cholesteatoma. J. Int. Adv. Otol. 2017, 13, 1–8. [Google Scholar] [CrossRef]
- Dornelles, C.; Meurer, L.; Selaimen da Costa, S.; Schweiger, C. Histologic description of acquired cholesteatomas: Comparison between children and adults. Braz. J. Otorhinolaryngol. 2006, 72, 641–648. [Google Scholar] [CrossRef] [PubMed]
- Hamed, M.A.; Sayed, R.H.; Shiogama, K.; Eltaher, M.A.; Suzuki, K.; Nakata, S. Localisation of basic fibroblast growth factor in cholesteatoma matrix: An immunochemical study. J. Laryngol. Otol. 2019, 133, 183–186. [Google Scholar] [CrossRef] [PubMed]
- Xie, S.; Xiang, Y.; Wang, X.; Ren, H.; Yin, T.; Ren, J.; Liu, W. Acquired cholesteatoma epithelial hyperproliferation: Roles of cell proliferation signal pathways. Laryngoscope 2016, 126, 1923–1930. [Google Scholar] [CrossRef] [PubMed]
- Yamamoto-Fukuda, T.; Akiyama, N. Keratinocyte growth factor signaling promotes stem/progenitor cell proliferation under p63 expression during middle ear cholesteatoma formation. Curr. Opin. Otolaryngol. Head Neck Surg. 2020, 28, 291–295. [Google Scholar] [CrossRef]
- Türkili, S.; Görür, K.; İsmi, O.; Serinsöz Linke, E.; Vayısoğlu, Y.; Özcan, C. Differential Expression of Ki-67 and P27 in Cholesteatoma Compared to Skin Tissue Predicts the Prognosis of Adult Acquired Cholesteatoma. J. Int. Adv. Otol. 2021, 17, 306–312. [Google Scholar] [CrossRef]
- Tarighati, E.; Keivan, H.; Mahani, H. A review of prognostic and predictive biomarkers in breast cancer. Clin. Exp. Med. 2022. Online ahead of print. [Google Scholar] [CrossRef]
- Thakur, B.; Kishore, S.; Dutta, K.; Kaushik, S.; Bhardwaj, A. Role of p53 and Ki-67 immunomarkers in carcinoma of urinary bladder. Indian J. Pathol. Microbiol. 2017, 60, 505–509. [Google Scholar] [CrossRef]
- Raynov, A.M.; Moon, S.K.; Choung, Y.H.; Hong, S.P.; Park, K. Nucleoplasm staining patterns and cell cycle-associated expression of Ki-67 in middle ear cholesteatoma. Am. J. Otolaryngol. 2005, 26, 296–301. [Google Scholar] [CrossRef]
- Olszewska, E.; Chodynicki, S.; Chyczewski, L. Role of angiogenesis in the pathogenesis of cholesteatoma in adults. Otolaryngol. Pol. 2004, 58, 559–563. [Google Scholar]
- Protopsaltis, N.J.; Liang, W.; Nudleman, E.; Ferrara, N. Interleukin-22 promotes tumor angiogenesis. Angiogenesis 2019, 22, 311–323. [Google Scholar] [CrossRef]
- Crawford, Y.; Kasman, I.; Yu, L.; Zhong, C.; Wu, X.; Modrusan, Z.; Kaminker, J.; Ferrara, N. PDGF-C mediates the angiogenic and tumorigenic properties of fibroblasts associated with tumors refractory to anti-VEGF treatment. Cancer Cell 2009, 15, 21–34. [Google Scholar] [CrossRef] [PubMed]
- Landskron, G.; De la Fuente, M.; Thuwajit, P.; Thuwajit, C.; Hermoso, M.A. Chronic inflammation and cytokines in the tumor microenvironment. J. Immunol. Res. 2014, 2014, 149185. [Google Scholar] [CrossRef] [PubMed]
- Olszewska, E.; Wagner, M.; Bernal-Sprekelsen, M.; Ebmeyer, J.; Dazert, S.; Hildmann, H.; Sudhoff, H. Etiopathogenesis of cholesteatoma. Eur. Arch. Oto-Rhino-Laryngol. Head Neck 2004, 261, 6–24. [Google Scholar] [CrossRef]
- Erbersdobler, A.; Isbarn, H.; Dix, K.; Steiner, I.; Schlomm, T.; Mirlacher, M.; Sauter, G.; Haese, A. Prognostic value of microvessel density in prostate cancer: A tissue microarray study. World J. Urol. 2010, 28, 687–692. [Google Scholar] [CrossRef]
- Stammberger, M.; Bujia, J.; Schuh, P. Correlation of vascular morphology with clinical types in cholesteatoma of the middle ear. Otol. Neurotol. 1994, 15, 380–382. [Google Scholar]
- Jin, B.J.; Min, H.J.; Jeong, J.H.; Park, C.W.; Lee, S.H. Expression of EGFR and microvessel density in middle ear cholesteatoma. Clin. Exp. Otorhinolaryngol. 2011, 4, 67–71. [Google Scholar] [CrossRef] [PubMed]
- Hussein, M.R.; Sayed, R.H.; Abu-Dief, E.E. Immune cell profile in invasive cholesteatomas: Preliminary findings. Exp. Mol. Pathol. 2010, 88, 316–323. [Google Scholar] [CrossRef]
- Ammendola, M.; Sacco, R.; Sammarco, G.; Donato, G.; Montemurro, S.; Ruggieri, E.; Patruno, R.; Marech, I.; Cariello, M.; Vacca, A.; et al. Correlation between serum tryptase, mast cells positive to tryptase and microvascular density in colo-rectal cancer patients: Possible biological-clinical significance. PLoS ONE 2014, 9, e99512. [Google Scholar] [CrossRef]
- Ribatti, D. The development of human mast cells. An historical reappraisal. Exp. Cell Res. 2016, 342, 210–215. [Google Scholar] [CrossRef]
- Vukman, K.V.; Försönits, A.; Oszvald, A.; Toth, E.A.; Buzas, E.I. Mast cell secretome: Soluble and vesicular components. Semin. Cell Dev. Biol. 2017, 67, 65–73. [Google Scholar] [CrossRef]
- Ribatti, D.; Crivellato, E. Mast cells, angiogenesis and cancer. In Mast Cell Biology; Springer: Berlin, Germany, 2011; pp. 270–288. [Google Scholar]
- Ribatti, D.; Finato, N.; Crivellato, E.; Guidolin, D.; Longo, V.; Mangieri, D.; Nico, B.; Vacca, A.; Beltrami, C.A. Angiogenesis and mast cells in human breast cancer sentinel lymph nodes with and without micrometastases. Histopathology 2007, 51, 837–842. [Google Scholar] [CrossRef]
- Edling, C.E.; Hallberg, B. c-Kit--a hematopoietic cell essential receptor tyrosine kinase. Int. J. Biochem. Cell Biol. 2007, 39, 1995–1998. [Google Scholar] [CrossRef] [PubMed]
- Hamed, M.A.; Nakata, S.; Shiogama, K.; Suzuki, K.; Sayed, R.H.; Nishimura, Y.; Iwata, N.; Sakurai, K.; Badawy, B.S.; Inada, K.I.; et al. Cytokeratin 13, Cytokeratin 17, and Ki-67 Expression in Human Acquired Cholesteatoma and Their Correlation With Its Destructive Capacity. Clin. Exp. Otorhinolaryngol. 2017, 10, 213–220. [Google Scholar] [CrossRef] [PubMed]
- Sharma, B.; Sriram, G.; Saraswathi, T.R.; Sivapathasundharam, B. Immunohistochemical evaluation of mast cells and angiogenesis in oral squamous cell carcinoma. Indian J. Dent. Res. 2010, 21, 260–265. [Google Scholar] [CrossRef] [PubMed]
- Sikka, K.; Sharma, S.C.; Thakar, A.; Dattagupta, S. Evaluation of epithelial proliferation in paediatric and adult cholesteatomas using the Ki-67 proliferation marker. J. Laryngol. Otol. 2012, 126, 460–463. [Google Scholar] [CrossRef] [PubMed]
- Takahashi, M.; Yamamoto-Fukuda, T.; Akiyama, N.; Motegi, M.; Yamamoto, K.; Tanaka, Y.; Yamamoto, Y.; Kojima, H. Partial Epithelial-Mesenchymal Transition Was Observed Under p63 Expression in Acquired Middle Ear Cholesteatoma and Congenital Cholesteatoma. Otol. Neurotol. 2019, 40, e803–e811. [Google Scholar] [CrossRef]
- Artuc, M.; Steckelings, U.M.; Henz, B.M. Mast cell-fibroblast interactions: Human mast cells as source and inducers of fibroblast and epithelial growth factors. J. Investig. Dermatol. 2002, 118, 391–395. [Google Scholar] [CrossRef] [PubMed]
- Calli, A.O.; Sari, A.; Cakalagaoglu, F.; Altinboga, A.A.; Calli, C.; Oncel, S. Mast cells positive for cluster of differentiation 117 protein: Are they players or conductor in the orchestra of cholesteatoma? J. Laryngol. Otol. 2012, 126, 775–779. [Google Scholar] [CrossRef]
- Ribatti, D.; Ranieri, G. Tryptase, a novel angiogenic factor stored in mast cell granules. Exp. Cell Res. 2015, 332, 157–162. [Google Scholar] [CrossRef] [PubMed]
- Blair, R.; Meng, H.; Marchese, M.; Ren, S.; Schwartz, L.; Tonnesen, M.; Gruber, B. Human mast cells stimulate vascular tube formation. Tryptase is a novel, potent angiogenic factor. J. Clin. Investig. 1997, 99, 2691–2700. [Google Scholar] [CrossRef]
- Compton, S.; Cairns, J.; Holgate, S.; Walls, A. Human mast cell tryptase stimulates the release of an IL-8-dependent neutrophil chemotactic activity from human umbilical vein endothelial cells (HUVEC). Clin. Exp. Immunol. 2000, 121, 31–36. [Google Scholar] [CrossRef] [PubMed]
- Johnson, J.L.; Jackson, C.L.; Angelini, G.D.; George, S.J. Activation of matrix-degrading metalloproteinases by mast cell proteases in atherosclerotic plaques. Arterioscler. Thromb. Vasc. Biol. 1998, 18, 1707–1715. [Google Scholar] [CrossRef]
- Ribatti, D.; Ranieri, G.; Nico, B.; Benagiano, V.; Crivellato, E. Tryptase and chymase are angiogenic in vivo in the chorioallantoic membrane assay. Int. J. Dev. Biol. 2011, 55, 99–102. [Google Scholar] [CrossRef]
- Kim, J.S.; Yoon, Y.J.; Lee, E.J. Studies on distribution of α1-antitrypsin, lysozyme, lactoferrin, and mast cell enzymes in diseased middle ear mucosa. Acta Otolaryngol. 2014, 134, 791–795. [Google Scholar] [CrossRef]
- Folkman, J. Angiogenesis. Annu. Rev. Med. 2006, 57, 1–18. [Google Scholar] [CrossRef]
- Bujia, J.; Schilling, V.; Holly, A.; Stammberger, M.; Kastenbauer, E. Hyperproliferation-associated keratin expression in human middle ear cholesteatoma. Acta Oto-Laryngol. 1993, 113, 364–368. [Google Scholar] [CrossRef] [PubMed]
- Yetiser, S.; Satar, B.; Aydin, N. Expression of epidermal growth factor, tumor necrosis factor-α, and interleukin-1α in chronic otitis media with or without cholesteatoma. Otol. Neurotol. 2002, 23, 647–652. [Google Scholar] [CrossRef]
- Juhász, A.; Sziklai, I.; Rákosy, Z.; Ecsedi, S.; Ádány, R.; Balázs, M. Elevated level of tenascin and matrix metalloproteinase 9 correlates with the bone destruction capacity of cholesteatomas. Otol. Neurotol. 2009, 30, 559–565. [Google Scholar] [CrossRef]
- Hamed, M.A.; Nakata, S.; Sayed, R.H.; Ueda, H.; Badawy, B.S.; Nishimura, Y.; Kojima, T.; Iwata, N.; Ahmed, A.R.; Dahy, K. Pathogenesis and bone resorption in acquired cholesteatoma: Current knowledge and future prospectives. Clin. Exp. Otorhinolaryngol. 2016, 9, 298–308. [Google Scholar] [CrossRef] [PubMed]
- Aponte-López, A.; Muñoz-Cruz, S. Mast Cells in the Tumor Microenvironment. Adv. Exp. Med. Biol. 2020, 1273, 159–173. [Google Scholar] [CrossRef] [PubMed]
- Mukai, K.; Tsai, M.; Saito, H.; Galli, S.J. Mast cells as sources of cytokines, chemokines, and growth factors. Immunol. Rev. 2018, 282, 121–150. [Google Scholar] [CrossRef] [PubMed]







| Antibodies | Clone | Dilution | Incubation Time | Antigen Retrieval | Company |
|---|---|---|---|---|---|
| Kİ67 | SP6 | 1:100 | 15 Min | ER1/10 Min | Thermo Scientific |
| CD117 | Poliklonal | 1:50 | 15 Min | ER2/10 Min | Thermo Scientific |
| Tryptase | CC1 | 1:100 | 15 Min | ER2/30 Min | Thermo Scientific |
| Chymase | AA1 | 1:50 | 15 Min | ER2/20 Min | Thermo Scientific |
| CD34 | QBend/10 | 1:50 | 15 Min | ER2/20 Min | Thermo Scientific |
| Antibodies | Cholesteatoma | Control | p | ||
|---|---|---|---|---|---|
| Min–Max | AVERAGE ± SD | Min–Max | AVERAGE ± SD | ||
| Kİ-67 | 19.00–150.00 | 41.23 ± 23.19 | 12.00–18.00 | 14.43 ± 2.37 | <0.001 * |
| CD117 (/mm2) | 55.00–442.00 | 194.80 ± 92.54 | 50.00–110.00 | 71.43 ± 19.52 | <0.002 * |
| Tryptase (/mm2) | 28.00–204.00 | 91.89 ± 41.68 | 24.00–46.00 | 35.57 ± 6.68 | <0.003 * |
| Chymase (/mm2) | 36.00–236.00 | 133.14 ± 59.62 | 35.00–70.00 | 48.57 ± 12.25 | <0.004 * |
| MVD-CD34 (/mm2) | 60.00–276.00 | 123.26 ± 50.32 | 6.00–17.00 | 10.71 ± 4.15 | <0.005 * |
| Antibodies | Score 1 and below | Score 2 and above | p | ||
|---|---|---|---|---|---|
| Min–Max | M ± SD | Min–Max | M ± SD | ||
| Ki-67 | 19.00–52.00 | 35.13 ± 10.43 | 20.00–150.00 | 43.92 ± 25.76 | 0.382 |
| CD117 (/mm2) | 140.00–236.00 | 179.50 ± 37.30 | 55.00–442.00 | 203.54 ± 103.27 | 0.626 |
| Tryptase (/mm2) | 65.00–120.00 | 89.75 ± 23.98 | 28.00–204.00 | 94.73 ± 45.41 | 0.951 |
| Chymase (/mm2) | 80.00–160.00 | 108.50 ± 27.87 | 36.00–236.00 | 143.23 ± 64.40 | 0.133 |
| MVD (CD34) (/mm2) | 60.00–160.00 | 100.00 ± 33.49 | 60.00–276.00 | 132.85 ± 51.98 | 0.095 |
| Antibodies | Ki-67 | CD117 | Tryptase | Chymase | CD34 | |
|---|---|---|---|---|---|---|
| Ki-67 | r | 1.000 | 0.149 | 0.206 | 0.096 | 0.159 |
| CD117 (/mm2) | r | 1.000 | 0.871* | 0.933 * | 0.775 * | |
| Tryptase (/mm2) | r | 1.000 | 0.837 * | 0.681 * | ||
| Chymase (/mm2) | r | 1.000 | 0.838 * | |||
| MVD (CD34) (/mm2) | r | 1.000 |
Disclaimer/Publisher’s Note: The statements, opinions and data contained in all publications are solely those of the individual author(s) and contributor(s) and not of MDPI and/or the editor(s). MDPI and/or the editor(s) disclaim responsibility for any injury to people or property resulting from any ideas, methods, instructions or products referred to in the content. |
© 2023 by the authors. Licensee MDPI, Basel, Switzerland. This article is an open access article distributed under the terms and conditions of the Creative Commons Attribution (CC BY) license (https://creativecommons.org/licenses/by/4.0/).
Share and Cite
Özdemir, Ç.; Kuzu, S.; Şenol, Y.; Yiğit, T.; Güldün, E.; Bucak, A.; Ulu, Ş.; Tokyol, Ç. A Role for Mast Cell-Mediated Antibodies in the Formation of Cholesteatoma and Cholesteatoma-Induced Bone Erosion. Diagnostics 2023, 13, 455. https://doi.org/10.3390/diagnostics13030455
Özdemir Ç, Kuzu S, Şenol Y, Yiğit T, Güldün E, Bucak A, Ulu Ş, Tokyol Ç. A Role for Mast Cell-Mediated Antibodies in the Formation of Cholesteatoma and Cholesteatoma-Induced Bone Erosion. Diagnostics. 2023; 13(3):455. https://doi.org/10.3390/diagnostics13030455
Chicago/Turabian StyleÖzdemir, Çiğdem, Selçuk Kuzu, Yiğit Şenol, Tuba Yiğit, Erol Güldün, Abdulkadir Bucak, Şahin Ulu, and Çiğdem Tokyol. 2023. "A Role for Mast Cell-Mediated Antibodies in the Formation of Cholesteatoma and Cholesteatoma-Induced Bone Erosion" Diagnostics 13, no. 3: 455. https://doi.org/10.3390/diagnostics13030455
APA StyleÖzdemir, Ç., Kuzu, S., Şenol, Y., Yiğit, T., Güldün, E., Bucak, A., Ulu, Ş., & Tokyol, Ç. (2023). A Role for Mast Cell-Mediated Antibodies in the Formation of Cholesteatoma and Cholesteatoma-Induced Bone Erosion. Diagnostics, 13(3), 455. https://doi.org/10.3390/diagnostics13030455

