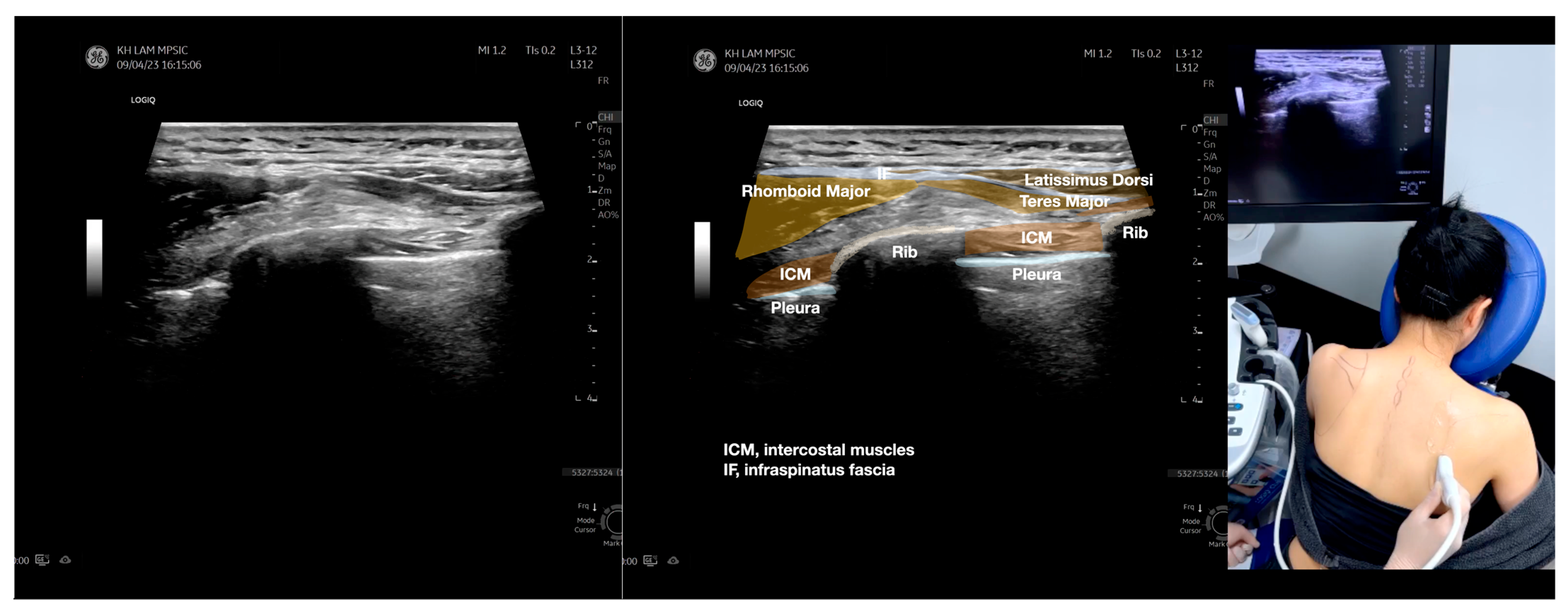
Infraspinatus Fascial Dysfunction as a Cause of Painful Anterior Shoulder Snapping: Its Visualization via Dynamic Ultrasound and Its Resolution via Diagnostic Ultrasound-Guided Injection
Abstract
























Supplementary Materials
Author Contributions
Funding
Institutional Review Board Statement
Informed Consent Statement
Data Availability Statement
Acknowledgments
Conflicts of Interest
References
- Funk, L. Painful Clicking, Snapping and Popping of the Shoulder. Available online: https://www.shoulderdoc.co.uk/article/1624 (accessed on 1 January 2023).
- Nischal, N.; Iyengar, K.P.; Botchu, R. Clicking shoulder due to snapping Subacromial subdeltoid (SASD) bursitis: A case report of an unusual presentation in clinical practice with imaging features. J. Ultrasound 2022. [Google Scholar] [CrossRef]
- Breckenridge, J.D.; McAuley, J.H. Shoulder Pain and Disability Index (SPADI). J. Physiother. 2011, 57, 197. [Google Scholar] [CrossRef] [PubMed]
- Escamilla, R.F.; Andrews, J.R. Shoulder muscle recruitment patterns and related biomechanics during upper extremity sports. Sports Med. 2009, 39, 569–590. [Google Scholar] [CrossRef] [PubMed]
- Neumann, D. Kinesiology of the Musculoskeletal System; Elsevier Health Sciences: Amsterdam, The Netherlands, 2016. [Google Scholar]
- Yoo, W.G. Effects of pulling direction on upper trapezius and rhomboid muscle activity. J. Phys. Ther. Sci. 2017, 29, 1043–1044. [Google Scholar] [CrossRef] [PubMed][Green Version]
- Gerling, M.E.; Brown, S.H. Architectural analysis and predicted functional capability of the human latissimus dorsi muscle. J. Anat. 2013, 223, 112–122. [Google Scholar] [CrossRef] [PubMed]
- Park, S.Y.; Yoo, W.G. Differential activation of parts of the latissimus dorsi with various isometric shoulder exercises. J. Electromyogr. Kinesiol. 2014, 24, 253–257. [Google Scholar] [CrossRef] [PubMed]
- Moccia, D.; Nackashi, A.A.; Schilling, R.; Ward, P.J. Fascial bundles of the infraspinatus fascia: Anatomy, function, and clinical considerations. J. Anat. 2016, 228, 176–183. [Google Scholar] [CrossRef] [PubMed]
- Stecco, C. (Ed.) Functional Atlas of the Human Fascial System, 1st ed.; Churchill Livingstone: London, UK, 2015. [Google Scholar]
- Pouliart, N.; Gagey, O. Significance of the latissimus dorsi for shoulder instability. I. Variations in its anatomy around the humerus and scapula. Clin. Anat. 2005, 18, 493–499. [Google Scholar] [CrossRef] [PubMed]
- Jeno, S.H.; Varacallo, M. Anatomy, Back, Latissimus Dorsi. In StatPearls; StatPearls Publishing LLC.: Treasure Island, FL, USA, 2022. [Google Scholar]
- Herrington, L.; Horsley, I. Effects of latissimus dorsi length on shoulder flexion in canoeists, swimmers, rugby players, and controls. J. Sport Health Sci. 2014, 3, 60–63. [Google Scholar] [CrossRef][Green Version]
- Fullerton, B.D. Prolotherapy for the Thoracolumbar Myofascial System. Phys. Med. Rehabil. Clin. N. Am. 2018, 29, 125–138. [Google Scholar] [CrossRef] [PubMed]
- Reeves, K.D.; Sit, R.W.; Rabago, D.P. Dextrose Prolotherapy: A Narrative Review of Basic Science, Clinical Research, and Best Treatment Recommendations. Phys. Med. Rehabil. Clin. N. Am. 2016, 27, 783–823. [Google Scholar] [CrossRef] [PubMed]
- Rabago, D.; Slattengren, A.; Zgierska, A. Prolotherapy in primary care practice. Prim. Care 2010, 37, 65–80. [Google Scholar] [CrossRef]
- Hauser, R.A.; Lackner, J.B.; Steilen-Matias, D.; Harris, D.K. A Systematic Review of Dextrose Prolotherapy for Chronic Musculoskeletal Pain. Clin. Med. Insights Arthritis Musculoskelet. Disord. 2016, 9, 139–159. [Google Scholar] [CrossRef]
Disclaimer/Publisher’s Note: The statements, opinions and data contained in all publications are solely those of the individual author(s) and contributor(s) and not of MDPI and/or the editor(s). MDPI and/or the editor(s) disclaim responsibility for any injury to people or property resulting from any ideas, methods, instructions or products referred to in the content. |
© 2023 by the authors. Licensee MDPI, Basel, Switzerland. This article is an open access article distributed under the terms and conditions of the Creative Commons Attribution (CC BY) license (https://creativecommons.org/licenses/by/4.0/).
Share and Cite
Lam, K.H.S.; Su, D.C.J.; Wu, Y.-T.; Fajardo Pérez, M.; Reeves, K.D.; Peng, P.; Fullerton, B. Infraspinatus Fascial Dysfunction as a Cause of Painful Anterior Shoulder Snapping: Its Visualization via Dynamic Ultrasound and Its Resolution via Diagnostic Ultrasound-Guided Injection. Diagnostics 2023, 13, 2601. https://doi.org/10.3390/diagnostics13152601
Lam KHS, Su DCJ, Wu Y-T, Fajardo Pérez M, Reeves KD, Peng P, Fullerton B. Infraspinatus Fascial Dysfunction as a Cause of Painful Anterior Shoulder Snapping: Its Visualization via Dynamic Ultrasound and Its Resolution via Diagnostic Ultrasound-Guided Injection. Diagnostics. 2023; 13(15):2601. https://doi.org/10.3390/diagnostics13152601
Chicago/Turabian StyleLam, King Hei Stanley, Daniel Chiung Jui Su, Yung-Tsan Wu, Mario Fajardo Pérez, Kenneth Dean Reeves, Philip Peng, and Bradley Fullerton. 2023. "Infraspinatus Fascial Dysfunction as a Cause of Painful Anterior Shoulder Snapping: Its Visualization via Dynamic Ultrasound and Its Resolution via Diagnostic Ultrasound-Guided Injection" Diagnostics 13, no. 15: 2601. https://doi.org/10.3390/diagnostics13152601
APA StyleLam, K. H. S., Su, D. C. J., Wu, Y.-T., Fajardo Pérez, M., Reeves, K. D., Peng, P., & Fullerton, B. (2023). Infraspinatus Fascial Dysfunction as a Cause of Painful Anterior Shoulder Snapping: Its Visualization via Dynamic Ultrasound and Its Resolution via Diagnostic Ultrasound-Guided Injection. Diagnostics, 13(15), 2601. https://doi.org/10.3390/diagnostics13152601

