Imaging of Bioprosthetic Valve Dysfunction after Transcatheter Aortic Valve Implantation
Abstract
1. Introduction
2. Structural Valve Deterioration (SVD)
3. Non-Structural Valve Deterioration (Non-SVD)
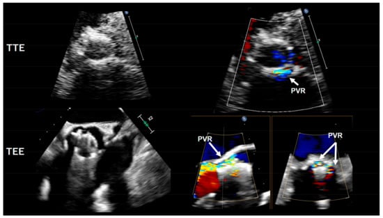
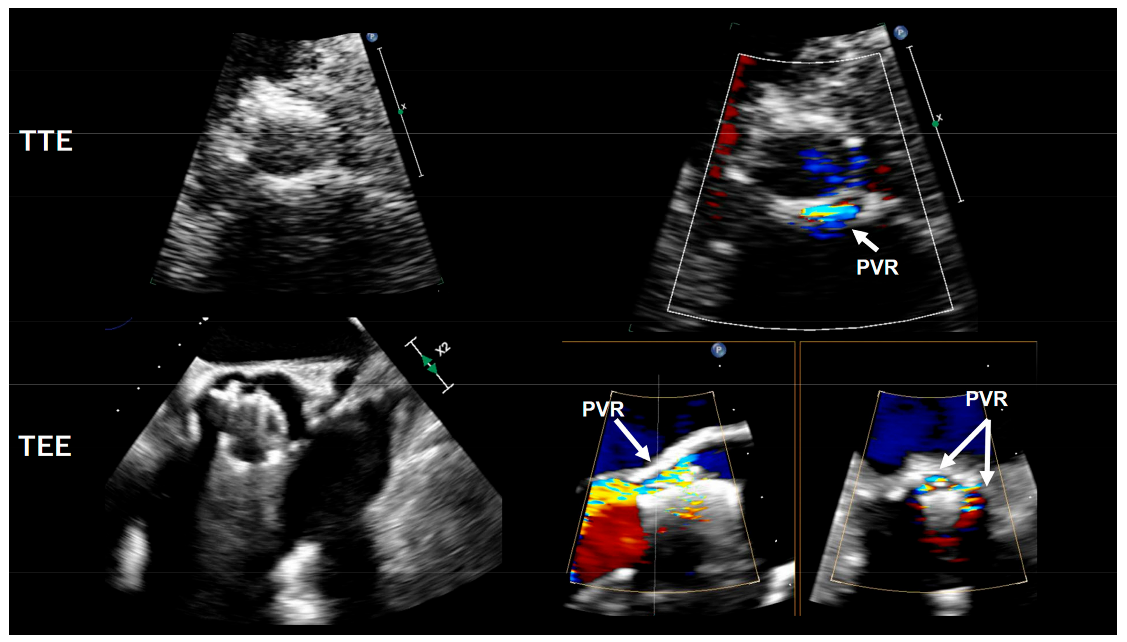
3.1. Paravalvular Regurgitation (PVR)
3.2. Patient–Prosthesis Mismatch (PPM)
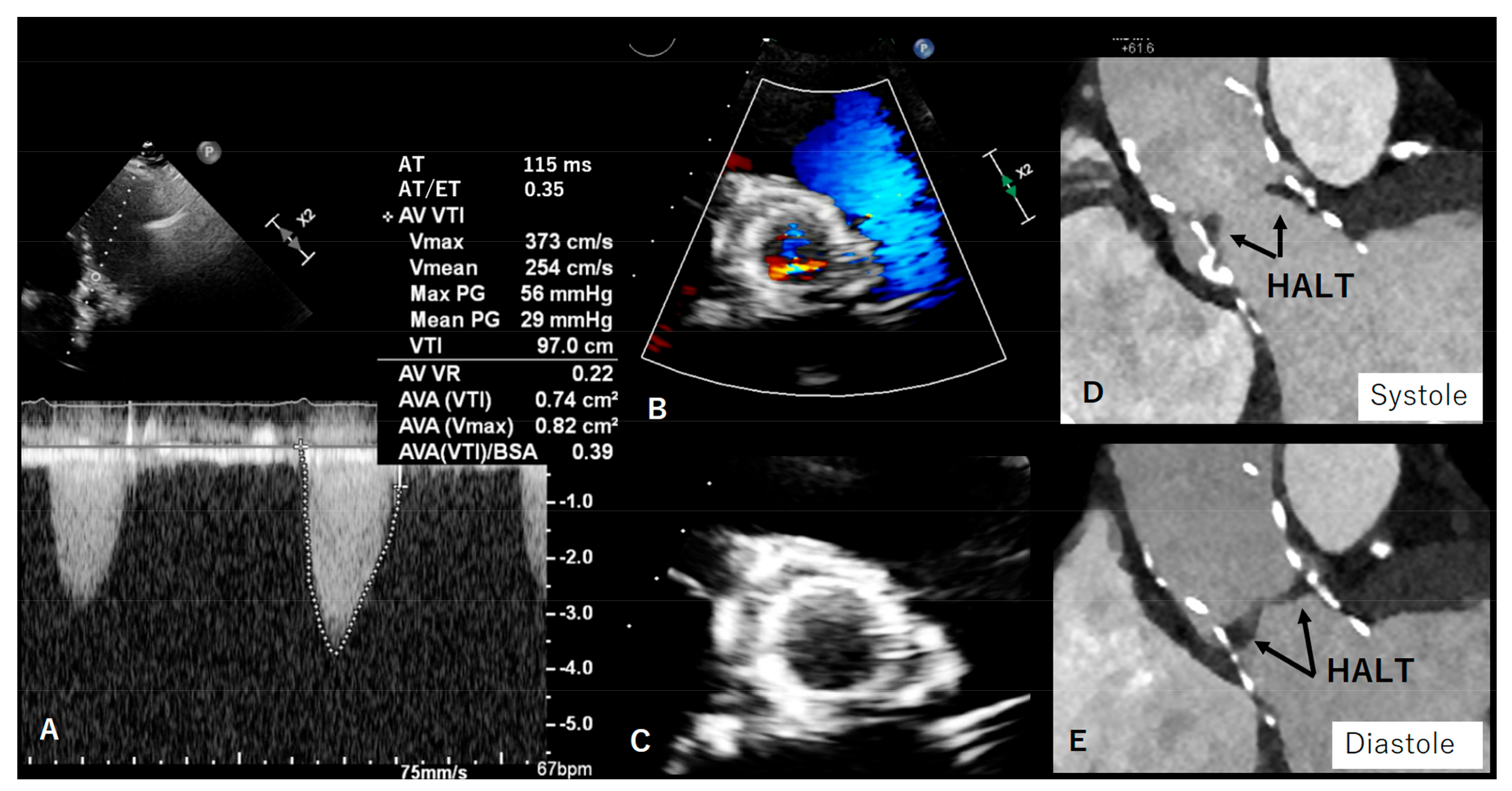
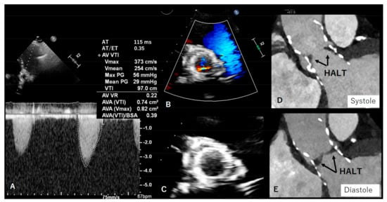
4. Valve Thrombosis/HALT/Pannus
5. Infective Endocarditis
6. Bioprosthetic Valve Failure (BVF)
7. Future Perspectives on the Early Diagnosis of Bioprosthetic Valve Degeneration
8. Conclusions
Author Contributions
Funding
Institutional Review Board Statement
Informed Consent Statement
Data Availability Statement
Conflicts of Interest
Disclosures
Abbreviations
| BVF | bioprosthetic valve failure |
| CCTA | cardiac computed tomography angiography |
| CMR | cardiac magnetic resonance |
| DVI | Doppler velocity index |
| EOA | effective orifice area |
| HALT | hypoattenuated leaflet thickening |
| LV/RV | left/right ventricle |
| PPM | prosthesis–patient mismatch |
| PET | positron emission tomography |
| RLM | restrictive leaflet movement |
| SVD | structural valve deterioration |
| TAVI | transcatheter aortic valve implantation |
| THV | transcatheter heart valve |
| TEE | transesophageal echocardiography |
| TTE | transthoracic echocardiography |
| VARC 2 | Valve Academic Research Consortium 2 |
References
- Leon, M.B.; Smith, C.R.; Mack, M.J.; Makkar, R.R.; Svensson, L.G.; Kodali, S.K.; Thourani, V.H.; Tuzcu, E.M.; Miller, D.C.; Herrmann, H.C. Transcatheter or surgical aortic-valve replacement in intermediate-risk patients. N. Engl. J. Med. 2016, 374, 1609–1620. [Google Scholar] [CrossRef]
- Popma, J.J.; Deeb, G.M.; Yakubov, S.J.; Mumtaz, M.; Gada, H.; O’Hair, D.; Bajwa, T.; Heiser, J.C.; Merhi, W.; Kleiman, N.S. Transcatheter aortic-valve replacement with a self-expanding valve in low-risk patients. N. Engl. J. Med. 2019, 380, 1706–1715. [Google Scholar] [CrossRef]
- Mack, M.J.; Leon, M.B.; Thourani, V.H.; Makkar, R.; Kodali, S.K.; Russo, M.; Kapadia, S.R.; Malaisrie, S.C.; Cohen, D.J.; Pibarot, P. Transcatheter aortic-valve replacement with a balloon-expandable valve in low-risk patients. N. Engl. J. Med. 2019, 380, 1695–1705. [Google Scholar] [CrossRef] [PubMed]
- Iung, B.; Vahanian, A. Epidemiology of valvular heart disease in the adult. Nat. Rev. Cardiol. 2011, 8, 162–172. [Google Scholar] [CrossRef] [PubMed]
- Brown, J.M.; O’Brien, S.M.; Wu, C.; Sikora, J.A.H.; Griffith, B.P.; Gammie, J.S. Isolated aortic valve replacement in North America comprising 108,687 patients in 10 years: Changes in risks, valve types, and outcomes in the Society of Thoracic Surgeons National Database. J. Thorac. Cardiovasc. Surg. 2009, 137, 82–90. [Google Scholar] [CrossRef] [PubMed]
- Brennan, J.M.; Thomas, L.; Cohen, D.J.; Shahian, D.; Wang, A.; Mack, M.J.; Holmes, D.R.; Edwards, F.H.; Frankel, N.Z.; Baron, S.J. Transcatheter versus surgical aortic valve replacement: Propensity-matched comparison. J. Am. Coll. Cardiol. 2017, 70, 439–450. [Google Scholar] [CrossRef]
- Reardon, M.J.; Van Mieghem, N.M.; Popma, J.J.; Kleiman, N.S.; Søndergaard, L.; Mumtaz, M.; Adams, D.H.; Deeb, G.M.; Maini, B.; Gada, H. Surgical or transcatheter aortic-valve replacement in intermediate-risk patients. N. Engl. J. Med. 2017, 376, 1321–1331. [Google Scholar] [CrossRef]
- Capodanno, D.; Petronio, A.S.; Prendergast, B.; Eltchaninoff, H.; Vahanian, A.; Modine, T.; Lancellotti, P.; Sondergaard, L.; Ludman, P.F.; Tamburino, C. Standardized definitions of structural deterioration and valve failure in assessing long-term durability of transcatheter and surgical aortic bioprosthetic valves: A consensus statement from the European Association of Percutaneous Cardiovascular Interventions (EAPCI) endorsed by the European Society of Cardiology (ESC) and the European Association for Cardio-Thoracic Surgery (EACTS). Eur. Heart J. 2017, 38, 3382–3390. [Google Scholar]
- Bourguignon, T.; Bouquiaux-Stablo, A.-L.; Candolfi, P.; Mirza, A.; Loardi, C.; May, M.-A.; El-Khoury, R.; Marchand, M.; Aupart, M. Very long-term outcomes of the Carpentier-Edwards Perimount valve in aortic position. Ann. Thorac. Surg. 2015, 99, 831–837. [Google Scholar] [CrossRef]
- Dvir, D.; Bourguignon, T.; Otto, C.M.; Hahn, R.T.; Rosenhek, R.; Webb, J.G.; Treede, H.; Sarano, M.E.; Feldman, T.; Wijeysundera, H.C. Standardized definition of structural valve degeneration for surgical and transcatheter bioprosthetic aortic valves. Circulation 2018, 137, 388–399. [Google Scholar] [CrossRef]
- Dvir, D.; Webb, J.G.; Bleiziffer, S.; Pasic, M.; Waksman, R.; Kodali, S.; Barbanti, M.; Latib, A.; Schaefer, U.; Rodés-Cabau, J. Transcatheter aortic valve implantation in failed bioprosthetic surgical valves. JAMA 2014, 312, 162–170. [Google Scholar] [CrossRef]
- Lancellotti, P.; Pibarot, P.; Chambers, J.; Edvardsen, T.; Delgado, V.; Dulgheru, R.; Pepi, M.; Cosyns, B.; Dweck, M.R.; Garbi, M. Recommendations for the imaging assessment of prosthetic heart valves: A report from the European Association of Cardiovascular Imaging endorsed by the Chinese Society of Echocardiography, the Inter-American Society of Echocardiography, and the Brazilian Department of Cardiovascular Imaging. Eur. Heart J. Cardiovasc. Imaging 2016, 17, 589–590. [Google Scholar]
- Nishimura, R.A.; Otto, C.M.; Bonow, R.O.; Carabello, B.A.; Erwin, J.P., III; Guyton, R.A.; O’Gara, P.T.; Ruiz, C.E.; Skubas, N.J.; Sorajja, P. 2014 AHA/ACC guideline for the management of patients with valvular heart disease: A report of the American College of Cardiology/American Heart Association Task Force on Practice Guidelines. Circulation 2014, 129, e521–e643. [Google Scholar] [CrossRef] [PubMed]
- Chenot, F.; Montant, P.; Goffinet, C.; Pasquet, A.; Vancraeynest, D.; Coche, E.; Vanoverschelde, J.-L.; Gerber, B.L. Evaluation of anatomic valve opening and leaflet morphology in aortic valve bioprosthesis by using multidetector CT: Comparison with transthoracic echocardiography. Radiology 2010, 255, 377–385. [Google Scholar] [CrossRef] [PubMed]
- Ribeiro, H.B.; Orwat, S.; Hayek, S.S.; Larose, É.; Babaliaros, V.; Dahou, A.; Le Ven, F.; Pasian, S.; Puri, R.; Abdul-Jawad Altisent, O. Cardiovascular magnetic resonance to evaluate aortic regurgitation after transcatheter aortic valve replacement. J. Am. Coll. Cardiol. 2016, 68, 577–585. [Google Scholar] [CrossRef] [PubMed]
- Tzolos, E.; Kwiecinski, J.; Berman, D.; Slomka, P.; Newby, D.E.; Dweck, M.R. Latest Advances in Multimodality Imaging of Aortic Stenosis. J. Nucl. Med. 2022, 63, 353–358. [Google Scholar] [CrossRef] [PubMed]
- Irkle, A.; Vesey, A.T.; Lewis, D.Y.; Skepper, J.N.; Bird, J.L.; Dweck, M.R.; Joshi, F.R.; Gallagher, F.A.; Warburton, E.A.; Bennett, M.R. Identifying active vascular microcalcification by 18F-sodium fluoride positron emission tomography. Nat. Commun. 2015, 6, 7495. [Google Scholar] [CrossRef]
- Dweck, M.R.; Jenkins, W.S.; Vesey, A.T.; Pringle, M.A.; Chin, C.W.; Malley, T.S.; Cowie, W.J.; Tsampasian, V.; Richardson, H.; Fletcher, A. 18F-sodium fluoride uptake is a marker of active calcification and disease progression in patients with aortic stenosis. Circ. Cardiovasc. Imaging 2014, 7, 371–378. [Google Scholar] [CrossRef]
- Kataruka, A.; Otto, C.M. Valve durability after transcatheter aortic valve implantation. J. Thorac. Dis. 2018, 10, S3629. [Google Scholar] [CrossRef]
- Tamburino, C.; Ussia, G.P.; Capodanno, D.; Mule, M. Percutaneous Treatment of Left Side Cardiac Valves; Springer: Cham, Switzerland, 2010. [Google Scholar]
- Kapadia, S.R.; Leon, M.B.; Makkar, R.R.; Tuzcu, E.M.; Svensson, L.G.; Kodali, S.; Webb, J.G.; Mack, M.J.; Douglas, P.S.; Thourani, V.H. 5-year outcomes of transcatheter aortic valve replacement compared with standard treatment for patients with inoperable aortic stenosis (PARTNER 1): A randomised controlled trial. Lancet 2015, 385, 2485–2491. [Google Scholar] [CrossRef]
- Sinning, J.-M.; Vasa-Nicotera, M.; Chin, D.; Hammerstingl, C.; Ghanem, A.; Bence, J.; Kovac, J.; Grube, E.; Nickenig, G.; Werner, N. Evaluation and management of paravalvular aortic regurgitation after transcatheter aortic valve replacement. J. Am. Coll. Cardiol. 2013, 62, 11–20. [Google Scholar] [CrossRef] [PubMed]
- Zoghbi, W.A.; Chambers, J.B.; Dumesnil, J.G.; Foster, E.; Gottdiener, J.S.; Grayburn, P.A.; Khandheria, B.K.; Levine, R.A.; Marx, G.R.; Miller, F.A. Recommendations for evaluation of prosthetic valves with echocardiography and doppler ultrasound: A report from the American Society of Echocardiography’s Guidelines and Standards Committee and the Task Force on Prosthetic Valves, developed in conjunction with the American College of Cardiology Cardiovascular Imaging Committee, Cardiac Imaging Committee of the American Heart Association, the European Association of Echocardiography, a registered branch of the European Society of Cardiology, the Japanese Society of Echocardiography and the Canadian Society of Echocardiography, endorsed by the American College of Cardiology Foundation, American Heart Association, European Association of Echocardiography, a registered branch of the European Society of Cardiology, the Japanese Society of Echocardiography, and Canadian Society of Echocardiography. J. Am. Soc. Echocardiogr. 2009, 22, 975–1014. [Google Scholar] [PubMed]
- Lancellotti, P.; Moura, L.; Pierard, L.A.; Agricola, E.; Popescu, B.A.; Tribouilloy, C.; Hagendorff, A.; Monin, J.-L.; Badano, L.; Zamorano, J.L. European Association of Echocardiography recommendations for the assessment of valvular regurgitation. Part 2: Mitral and tricuspid regurgitation (native valve disease). Eur. J. Echocardiogr. 2010, 11, 307–332. [Google Scholar] [CrossRef]
- Kappetein, A.; Head, S.; Généreux, P.; Piazza, N.; van Mieghem, N.; Blackstone, E.; Brott, T.; Cohen, D.; Cutlip, D.; van Es, G. Updated standardized endpoint definitions for transcatheter aortic valve implantation: The Valvular Academic Research Consortium-2 concensens document. In An Appraisal of Developments in Surgical and Catheter-Based Cardiovascular Therapy; Optima Grafische Communicatie: Rotterdam, The Netherlands, 2013; Volume 60, p. 489. [Google Scholar]
- Khalique, O.K.; Hahn, R.T.; Gada, H.; Nazif, T.M.; Vahl, T.P.; George, I.; Kalesan, B.; Forster, M.; Williams, M.B.; Leon, M.B. Quantity and location of aortic valve complex calcification predicts severity and location of paravalvular regurgitation and frequency of post-dilation after balloon-expandable transcatheter aortic valve replacement. JACC Cardiovasc. Interv. 2014, 7, 885–894. [Google Scholar] [CrossRef] [PubMed]
- Tuzcu, E.M.; Kapadia, S.R.; Svensson, L.G. Valve design and paravalvular aortic regurgitation: New insights from the French registry. Circulation 2014, 129, 1378–1380. [Google Scholar] [CrossRef] [PubMed]
- Pibarot, P.; Hahn, R.T.; Weissman, N.J.; Monaghan, M.J. Assessment of paravalvular regurgitation following TAVR: A proposal of unifying grading scheme. JACC Cardiovasc. Imaging 2015, 8, 340–360. [Google Scholar] [CrossRef]
- Gonçalves, A.; Almeria, C.; Marcos-Alberca, P.; Feltes, G.; Hernández-Antolín, R.; Rodríguez, E.; Cardoso, J.C.S.; Macaya, C.; Zamorano, J.L. Three-dimensional echocardiography in paravalvular aortic regurgitation assessment after transcatheter aortic valve implantation. J. Am. Soc. Echocardiogr. 2012, 25, 47–55. [Google Scholar] [CrossRef]
- Altiok, E.; Frick, M.; Meyer, C.G.; Al Ateah, G.; Napp, A.; Kirschfink, A.; Almalla, M.; Lotfi, S.; Becker, M.; Herich, L. Comparison of two-and three-dimensional transthoracic echocardiography to cardiac magnetic resonance imaging for assessment of paravalvular regurgitation after transcatheter aortic valve implantation. Am. J. Cardiol. 2014, 113, 1859–1866. [Google Scholar] [CrossRef]
- Thavendiranathan, P.; Liu, S.; Datta, S.; Walls, M.; Nitinunu, A.; Van Houten, T.; Tomson, N.A.; Vidmar, L.; Georgescu, B.; Wang, Y. Automated quantification of mitral inflow and aortic outflow stroke volumes by three-dimensional real-time volume color-flow Doppler transthoracic echocardiography: Comparison with pulsed-wave Doppler and cardiac magnetic resonance imaging. J. Am. Soc. Echocardiogr. 2012, 25, 56–65. [Google Scholar] [CrossRef]
- Orwat, S.; Diller, G.-P.; Kaleschke, G.; Kerckhoff, G.; Kempny, A.; Radke, R.M.; Buerke, B.; Burg, M.; Schülke, C.; Baumgartner, H. Aortic regurgitation severity after transcatheter aortic valve implantation is underestimated by echocardiography compared with MRI. Heart 2014, 100, 1933–1938. [Google Scholar] [CrossRef]
- Cawley, P.J.; Hamilton-Craig, C.; Owens, D.S.; Krieger, E.V.; Strugnell, W.E.; Mitsumori, L.; D’Jang, C.L.; Schwaegler, R.G.; Nguyen, K.Q.; Nguyen, B. Prospective comparison of valve regurgitation quantitation by cardiac magnetic resonance imaging and transthoracic echocardiography. Circ. Cardiovasc. Imaging 2013, 6, 48–57. [Google Scholar] [CrossRef] [PubMed]
- Rogers, T.; Waksman, R. Role of CMR in TAVR. JACC Cardiovasc. Imaging 2016, 9, 593–602. [Google Scholar] [CrossRef] [PubMed]
- Crouch, G.; Tully, P.J.; Bennetts, J.; Sinhal, A.; Bradbrook, C.; Penhall, A.L.; De Pasquale, C.G.; Baker, R.A.; Selvanayagam, J.B. Quantitative assessment of paravalvular regurgitation following transcatheter aortic valve replacement. J. Cardiovasc. Magn. Reson. 2015, 17, 32. [Google Scholar] [CrossRef] [PubMed]
- Hartlage, G.R.; Babaliaros, V.C.; Thourani, V.H.; Hayek, S.; Chrysohoou, C.; Ghasemzadeh, N.; Stillman, A.E.; Clements, S.D.; Oshinski, J.N.; Lerakis, S. The role of cardiovascular magnetic resonance in stratifying paravalvular leak severity after transcatheter aortic valve replacement: An observational outcome study. J. Cardiovasc. Magn. Reson. 2014, 16, 93. [Google Scholar] [CrossRef] [PubMed]
- Pibarot, P.; Magne, J.; Leipsic, J.; Côté, N.; Blanke, P.; Thourani, V.H.; Hahn, R. Imaging for predicting and assessing prosthesis-patient mismatch after aortic valve replacement. JACC Cardiovasc. Imaging 2019, 12, 149–162. [Google Scholar] [CrossRef] [PubMed]
- Mylotte, D.; Andalib, A.; Theriault-Lauzier, P.; Dorfmeister, M.; Girgis, M.; Alharbi, W.; Chetrit, M.; Galatas, C.; Mamane, S.; Sebag, I. Transcatheter heart valve failure: A systematic review. Eur. Heart J. 2015, 36, 1306–1327. [Google Scholar] [CrossRef]
- Chakravarty, T.; Søndergaard, L.; Friedman, J.; De Backer, O.; Berman, D.; Kofoed, K.F.; Jilaihawi, H.; Shiota, T.; Abramowitz, Y.; Jørgensen, T.H. Subclinical leaflet thrombosis in surgical and transcatheter bioprosthetic aortic valves: An observational study. Lancet 2017, 389, 2383–2392. [Google Scholar] [CrossRef]
- Latib, A.; Naganuma, T.; Abdel-Wahab, M.; Danenberg, H.; Cota, L.; Barbanti, M.; Baumgartner, H.; Finkelstein, A.; Legrand, V.; De Lezo, J.S. Treatment and clinical outcomes of transcatheter heart valve thrombosis. Circ. Cardiovasc. Interv. 2015, 8, e001779. [Google Scholar] [CrossRef]
- Leetmaa, T.; Hansson, N.C.; Leipsic, J.; Jensen, K.; Poulsen, S.H.; Andersen, H.R.; Jensen, J.M.; Webb, J.; Blanke, P.; Tang, M. Early aortic transcatheter heart valve thrombosis: Diagnostic value of contrast-enhanced multidetector computed tomography. Circ. Cardiovasc. Interv. 2015, 8, e001596. [Google Scholar] [CrossRef]
- Makkar, R.R.; Fontana, G.; Jilaihawi, H.; Chakravarty, T.; Kofoed, K.F.; De Backer, O.; Asch, F.M.; Ruiz, C.E.; Olsen, N.T.; Trento, A. Possible subclinical leaflet thrombosis in bioprosthetic aortic valves. N. Engl. J. Med. 2015, 373, 2015–2024. [Google Scholar] [CrossRef]
- Yanagisawa, R.; Tanaka, M.; Yashima, F.; Arai, T.; Jinzaki, M.; Shimizu, H.; Fukuda, K.; Watanabe, Y.; Naganuma, T.; Higashimori, A. Early and late leaflet thrombosis after transcatheter aortic valve replacement: A multicenter initiative from the OCEAN-TAVI Registry. Circ. Cardiovasc. Interv. 2019, 12, e007349. [Google Scholar] [CrossRef] [PubMed]
- Jose, J.; Sulimov, D.S.; El-Mawardy, M.; Sato, T.; Allali, A.; Holy, E.W.; Becker, B.; Landt, M.; Kebernik, J.; Schwarz, B. Clinical bioprosthetic heart valve thrombosis after transcatheter aortic valve replacement: Incidence, characteristics, and treatment outcomes. JACC Cardiovasc. Interv. 2017, 10, 686–697. [Google Scholar] [CrossRef] [PubMed]
- Makkar, R.R.; Blanke, P.; Leipsic, J.; Thourani, V.; Chakravarty, T.; Brown, D.; Trento, A.; Guyton, R.; Babaliaros, V.; Williams, M. Subclinical leaflet thrombosis in transcatheter and surgical bioprosthetic valves: PARTNER 3 cardiac computed tomography substudy. J. Am. Coll. Cardiol. 2020, 75, 3003–3015. [Google Scholar] [CrossRef] [PubMed]
- Jilaihawi, H.; Asch, F.M.; Manasse, E.; Ruiz, C.E.; Jelnin, V.; Kashif, M.; Kawamori, H.; Maeno, Y.; Kazuno, Y.; Takahashi, N. Systematic CT methodology for the evaluation of subclinical leaflet thrombosis. JACC Cardiovasc. Imaging 2017, 10, 461–470. [Google Scholar] [CrossRef] [PubMed]
- Dangas, G.D.; Weitz, J.I.; Giustino, G.; Makkar, R.; Mehran, R. Prosthetic heart valve thrombosis. J. Am. Coll. Cardiol. 2016, 68, 2670–2689. [Google Scholar] [CrossRef]
- Rashid, H.N.; Brown, A.J.; McCormick, L.M.; Amiruddin, A.S.; Kim, K.B.; Cameron, J.D.; Nasis, A.; Gooley, R.P. Subclinical Leaflet Thrombosis in Transcatheter Aortic Valve Replacement Detected by Multidetector Computed Tomography—A Review of Current Evidence. Circ. J. 2018, 82, 1735–1742. [Google Scholar] [CrossRef]
- Otto, C.M.; Nishimura, R.A.; Bonow, R.O.; Carabello, B.A.; Erwin, J.P., III; Gentile, F.; Jneid, H.; Krieger, E.V.; Mack, M.; McLeod, C. 2020 ACC/AHA guideline for the management of patients with valvular heart disease: Executive summary: A report of the American College of Cardiology/American Heart Association Joint Committee on Clinical Practice Guidelines. J. Am. Coll. Cardiol. 2021, 77, 450–500. [Google Scholar] [CrossRef]
- Vahanian, A.; Beyersdorf, F.; Praz, F.; Milojevic, M.; Baldus, S.; Bauersachs, J.; Capodanno, D.; Conradi, L.; De Bonis, M.; De Paulis, R. 2021 ESC/EACTS Guidelines for the management of valvular heart disease: Developed by the Task Force for the management of valvular heart disease of the European Society of Cardiology (ESC) and the European Association for Cardio-Thoracic Surgery (EACTS). Eur. Heart J. 2022, 43, 561–632. [Google Scholar] [CrossRef]
- Butt, J.H.; Ihlemann, N.; De Backer, O.; Søndergaard, L.; Havers-Borgersen, E.; Gislason, G.H.; Torp-Pedersen, C.; Køber, L.; Fosbøl, E.L. Long-term risk of infective endocarditis after transcatheter aortic valve replacement. J. Am. Coll. Cardiol. 2019, 73, 1646–1655. [Google Scholar] [CrossRef]
- Olsen, N.T.; De Backer, O.; Thyregod, H.G.; Vejlstrup, N.; Bundgaard, H.; Søndergaard, L.; Ihlemann, N. Prosthetic valve endocarditis after transcatheter aortic valve implantation. Circ. Cardiovasc. Interv. 2015, 8, e001939. [Google Scholar] [CrossRef]
- Cahill, T.J.; Baddour, L.M.; Habib, G.; Hoen, B.; Salaun, E.; Pettersson, G.B.; Schäfers, H.J.; Prendergast, B.D. Challenges in infective endocarditis. J. Am. Coll. Cardiol. 2017, 69, 325–344. [Google Scholar] [CrossRef] [PubMed]
- Salaun, E.; Habib, G. Beyond standard echocardiography in infective endocarditis: Computed tomography, 3-dimensional imaging, and multi-imaging. Circ. Cardiovasc. Imaging 2018, 11, e007626. [Google Scholar] [CrossRef] [PubMed]
- Committee, V.-W.; Généreux, P.; Piazza, N.; Alu, M.C.; Nazif, T.; Hahn, R.T.; Pibarot, P.; Bax, J.J.; Leipsic, J.A.; Blanke, P. Valve Academic Research Consortium 3: Updated endpoint definitions for aortic valve clinical research. Eur. Heart J. 2021, 42, 1825–1857. [Google Scholar] [CrossRef]
- Rosenhek, R.; Binder, T.; Porenta, G.; Lang, I.; Christ, G.; Schemper, M.; Maurer, G.; Baumgartner, H. Predictors of outcome in severe, asymptomatic aortic stenosis. N. Engl. J. Med. 2000, 343, 611–617. [Google Scholar] [CrossRef] [PubMed]
- Dweck, M.R.; Chow, M.W.; Joshi, N.V.; Williams, M.C.; Jones, C.; Fletcher, A.M.; Richardson, H.; White, A.; McKillop, G.; van Beek, E.J. Coronary arterial 18F-sodium fluoride uptake: A novel marker of plaque biology. J. Am. Coll. Cardiol. 2012, 59, 1539–1548. [Google Scholar] [CrossRef] [PubMed]
- Joshi, N.V.; Vesey, A.T.; Williams, M.C.; Shah, A.S.; Calvert, P.A.; Craighead, F.H.; Yeoh, S.E.; Wallace, W.; Salter, D.; Fletcher, A.M. 18F-fluoride positron emission tomography for identification of ruptured and high-risk coronary atherosclerotic plaques: A prospective clinical trial. Lancet 2014, 383, 705–713. [Google Scholar] [CrossRef]
- Derlin, T.; Tóth, Z.; Papp, L.; Wisotzki, C.; Apostolova, I.; Habermann, C.R.; Mester, J.; Klutmann, S. Correlation of inflammation assessed by 18F-FDG PET, active mineral deposition assessed by 18F-fluoride PET, and vascular calcification in atherosclerotic plaque: A dual-tracer PET/CT study. J. Nucl. Med. 2011, 52, 1020–1027. [Google Scholar] [CrossRef]
- Derlin, T.; Richter, U.; Bannas, P.; Begemann, P.; Buchert, R.; Mester, J.; Klutmann, S. Feasibility of 18F-sodium fluoride PET/CT for imaging of atherosclerotic plaque. J. Nucl. Med. 2010, 51, 862–865. [Google Scholar] [CrossRef]
- Dweck, M.R.; Jones, C.; Joshi, N.V.; Fletcher, A.M.; Richardson, H.; White, A.; Marsden, M.; Pessotto, R.; Clark, J.C.; Wallace, W.A. Assessment of valvular calcification and inflammation by positron emission tomography in patients with aortic stenosis. Circulation 2012, 125, 76–86. [Google Scholar] [CrossRef]
- Kwiecinski, J.; Tzolos, E.; Cartlidge, T.R.; Fletcher, A.; Doris, M.K.; Bing, R.; Tarkin, J.M.; Seidman, M.A.; Gulsin, G.S.; Cruden, N.L. Native aortic valve disease progression and bioprosthetic valve degeneration in patients with transcatheter aortic valve implantation. Circulation 2021, 144, 1396. [Google Scholar] [CrossRef]
- Cartlidge, T.R.; Doris, M.K.; Sellers, S.L.; Pawade, T.A.; White, A.C.; Pessotto, R.; Kwiecinski, J.; Fletcher, A.; Alcaide, C.; Lucatelli, C. Detection and prediction of bioprosthetic aortic valve degeneration. J. Am. Coll. Cardiol. 2019, 73, 1107–1119. [Google Scholar] [CrossRef] [PubMed]
- Forsythe, R.O.; Dweck, M.R.; McBride, O.M.; Vesey, A.T.; Semple, S.I.; Shah, A.S.; Adamson, P.D.; Wallace, W.A.; Kaczynski, J.; Ho, W. 18F–Sodium fluoride uptake in abdominal aortic aneurysms: The SoFIA3 study. J. Am. Coll. Cardiol. 2018, 71, 513–523. [Google Scholar] [CrossRef] [PubMed]
- Kwiecinski, J.; Tzolos, E.; Meah, M.N.; Cadet, S.; Adamson, P.D.; Grodecki, K.; Joshi, N.V.; Moss, A.J.; Williams, M.C.; van Beek, E.J. Machine learning with 18F-sodium fluoride PET and quantitative plaque analysis on CT angiography for the future risk of myocardial infarction. J. Nucl. Med. 2022, 63, 158–165. [Google Scholar] [CrossRef] [PubMed]
- Brouwer, J.; Gheorghe, L.; Rensing, B.; Swaans, M.J. First use of 3D-TEE model-based fully automatic fusion of 3D-MSCT and fluoroscopy during transcatheter aortic valve implantation. EuroIntervention 2019, 15, 900–901. [Google Scholar] [CrossRef] [PubMed]
- Shellock, F.G. Biomedical implants and devices: Assessment of magnetic field interactions with a 3.0-Tesla MR system. J. Magn. Reson. Imaging Off. J. Int. Soc. Magn. Reson. Med. 2002, 16, 721–732. [Google Scholar] [CrossRef] [PubMed]
- Saeedi, M.; Thomas, A.; Shellock, F.G. Evaluation of MRI issues at 3-Tesla for a transcatheter aortic valve replacement (TAVR) bioprosthesis. Magn. Reson. Imaging 2015, 33, 497–501. [Google Scholar] [CrossRef]
- Maragiannis, D.; Jackson, M.S.; Flores-Arredondo, J.H.; Autry, K.; Schutt, R.C.; Alvarez, P.A.; Zoghbi, W.A.; Shah, D.J.; Little, S.H. Functional assessment of bioprosthetic aortic valves by CMR. JACC Cardiovasc. Imaging 2016, 9, 785–793. [Google Scholar] [CrossRef]





| Red Flags |
|---|
| Color-flow Doppler systolic restriction |
| Leaflet abnormality (reduced mobility, thickening, calcification) |
| Mean gradient ≥ 20 mm Hg (≥30 mm Hg) * |
| Increase in mean gradient ≥ 10 mm Hg (≥20 mm Hg) * during follow-up |
| EOA < 1.1 cm2 (<0.8 cm2) * |
| DVI < 0.35 (<0.25) * |
| AT/LVET > 0.32 (>0.37) * |
| New onset or worsening of intraprosthetic AR ≥ mild |
| Classification of Structural Valve Deterioration | |||
|---|---|---|---|
| EAPCI/ESC/EACTS (Capodanno et al., 2017 [8]) | VIVID (Dvir et al., 2018 [10]) | ||
| Class | Characteristics | Class | Characteristics |
| Not specifically defined | Stage 0 | No significant change from immediate post-implantation
| |
| Stage 1 | Morphological leaflet abnormality without significant hemodynamic changes
| ||
| Moderate hemodynamic SVD | Presence of any of the following:
| Stage 2S | Moderate stenosis
|
| Stage 2R | Moderate regurgitation
| ||
| Stage 2RS | Moderate stenosis AND moderate regurgitation
| ||
| Severe hemodynamic SVD | Presence of any of the following:
| Stage 3 | Severe stenosis and/or severe regurgitation
|
| Morphological SVD | Presence of any of the following:
| Not specifically defined, corresponds to class 1 to 3 | |
| SVD | Non-Structural BVD: PPM | Valve Thrombosis | Pannus | Valve Endocarditis | |
|---|---|---|---|---|---|
| TTE/TEE |
|
|
|
|
|
| CCTA | Leaflet calcificationHyperdense leaflet thickening RELM |
|
|
|
|
| CMR |
|
|
|
|
|
| Nuclear imaging | |||||
| 18-NaF PET/CT |
|
|
|
|
|
| 18F-FDG PET/CT |
|
|
|
|
|
Disclaimer/Publisher’s Note: The statements, opinions and data contained in all publications are solely those of the individual author(s) and contributor(s) and not of MDPI and/or the editor(s). MDPI and/or the editor(s) disclaim responsibility for any injury to people or property resulting from any ideas, methods, instructions or products referred to in the content. |
© 2023 by the authors. Licensee MDPI, Basel, Switzerland. This article is an open access article distributed under the terms and conditions of the Creative Commons Attribution (CC BY) license (https://creativecommons.org/licenses/by/4.0/).
Share and Cite
Alwan, L.; Bernhard, B.; Brugger, N.; de Marchi, S.F.; Praz, F.; Windecker, S.; Pilgrim, T.; Gräni, C. Imaging of Bioprosthetic Valve Dysfunction after Transcatheter Aortic Valve Implantation. Diagnostics 2023, 13, 1908. https://doi.org/10.3390/diagnostics13111908
Alwan L, Bernhard B, Brugger N, de Marchi SF, Praz F, Windecker S, Pilgrim T, Gräni C. Imaging of Bioprosthetic Valve Dysfunction after Transcatheter Aortic Valve Implantation. Diagnostics. 2023; 13(11):1908. https://doi.org/10.3390/diagnostics13111908
Chicago/Turabian StyleAlwan, Louhai, Benedikt Bernhard, Nicolas Brugger, Stefano F. de Marchi, Fabien Praz, Stephan Windecker, Thomas Pilgrim, and Christoph Gräni. 2023. "Imaging of Bioprosthetic Valve Dysfunction after Transcatheter Aortic Valve Implantation" Diagnostics 13, no. 11: 1908. https://doi.org/10.3390/diagnostics13111908
APA StyleAlwan, L., Bernhard, B., Brugger, N., de Marchi, S. F., Praz, F., Windecker, S., Pilgrim, T., & Gräni, C. (2023). Imaging of Bioprosthetic Valve Dysfunction after Transcatheter Aortic Valve Implantation. Diagnostics, 13(11), 1908. https://doi.org/10.3390/diagnostics13111908

