Percutaneous CT-Guided Bone Lesion Biopsy for Confirmation of Bone Metastases in Patients with Breast Cancer
Abstract
:1. Introduction
2. Materials and Methods
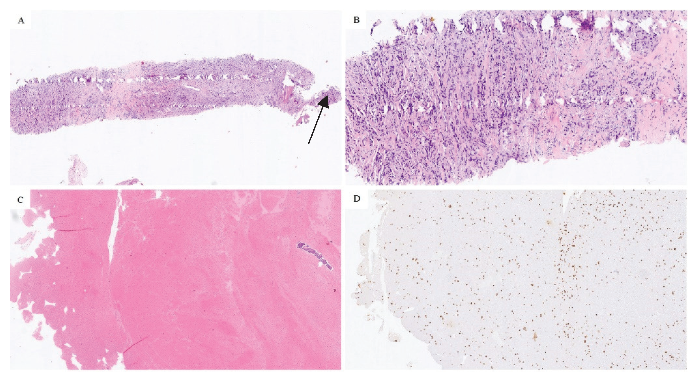
3. Results
4. Discussion
Author Contributions
Funding
Institutional Review Board Statement
Informed Consent Statement
Data Availability Statement
Conflicts of Interest
References
- Ahmad, A. (Ed.) Breast Cancer Metastasis and Drug Resistance: Challenges and Progress; Springer International Publishing: Cham, Switzerland, 2019; Volume 1152. [Google Scholar] [CrossRef]
- Dafni, U.; Tsourti, Z.; Alatsathianos, I. Breast Cancer Statistics in the European Union: Incidence and survival across European Countries. Breast Care 2019, 14, 344–353. [Google Scholar] [CrossRef] [PubMed]
- Riggio, A.I.; Varley, K.E.; Welm, A.L. The lingering mysteries of metastatic recurrence in breast cancer. Br. J. Cancer 2021, 124, 13–26. [Google Scholar] [CrossRef]
- Kozlow, W.; Guise, T.A. Breast cancer metastasis to bone: Mechanisms of osteolysis and implications for therapy. J. Mammary Gland Biol. Neoplasia 2005, 10, 169–180. [Google Scholar] [CrossRef]
- Conceição, F.; Sousa, D.M.; Paredes, J.; Lamghari, M. Sympathetic activity in breast cancer and metastasis: Partners in crime. Bone Res. 2021, 9, 9. [Google Scholar] [CrossRef] [PubMed]
- Malmgren, J.A.; Mayer, M.; Atwood, M.K.; Kaplan, H.G. Differential presentation and survival of de novo and recurrent metastatic breast cancer over time: 1990–2010. Breast Cancer Res. Treat. 2017, 167, 579–590. [Google Scholar] [CrossRef]
- Pagani, O.; Senkus, E.; Wood, W.; Colleoni, M.; Cufer, T.; Kyriakides, S.; Costa, A.; Winer, E.P.; Cardoso, F.; ESO-MBC Task Force. International Guidelines for Management of Metastatic Breast Cancer: Can Metastatic Breast Cancer Be Cured? J. Natl. Cancer Inst. 2010, 102, 456–463. [Google Scholar] [CrossRef]
- National Comprehensive Cancer Network. Breast Cancer (Version 5, 2020). Translational Cancer Research. Available online: https://www2.tri-kobe.org/nccn/guideline/breast/english/breast.pdf (accessed on 2 August 2021).
- Stecco, A.; Trisoglio, A.; Soligo, E.; Berardo, S.; Sukhovei, L.; Carriero, A. Whole-Body MRI with Diffusion-Weighted Imaging in Bone Metastases: A Narrative Review. Diagnostics 2018, 8, 45. [Google Scholar] [CrossRef]
- Amir, E.; Ooi, W.; Simmons, C.; Kahn, H.; Christakis, M.; Popovic, S.; Kalina, M.; Chesney, A.; Singh, G.; Clemons, M. Discordance between receptor status in primary and metastatic breast cancer: An exploratory study of bone and bone marrow biopsies. Clin. Oncol. 2008, 20, 763–768. [Google Scholar] [CrossRef]
- Thangarajah, F.; Vogel, C.; Pahmeyer, C.; Eichler, C.; Holtschmidt, J.; Ratiu, D.; Mallmann, P.; Malter, W. Profile and Outcome of Supraclavicular Metastases in Patients with Metastatic Breast Cancer: Discordance of Receptor Status Between Primary and Metastatic Site. Anticancer Res. 2018, 38, 6023–6026. [Google Scholar] [CrossRef]
- Criscitiello, C.; André, F.; Thompson, A.M.; De Laurentiis, M.; Esposito, A.; Gelao, L.; Fumagalli, L.; Locatelli, M.; Minchella, I.; Orsi, F.; et al. Biopsy confirmation of metastatic sites in breast cancer patients: Clinical impact and future perspectives. Breast Cancer Res. 2014, 16, 3384. [Google Scholar] [CrossRef]
- Gennari, A.; André, F.; Barrios, C.; Cortés, J.; de Azambuja, E.; DeMichele, A.; Dent, R.; Fenlon, D.; Gligorov, J.; Hurvitz, S.; et al. ESMO Clinical Practice Guideline for the diagnosis, staging and treatment of patients with metastatic breast cancer. Ann. Oncol. 2021, 32, 1475–1495. [Google Scholar] [CrossRef] [PubMed]
- Hilton, J.F.; Amir, E.; Hopkins, S.; Nabavi, M.; DiPrimio, G.; Sheikh, A.; Done, S.J.; Gianfelice, D.; Kanji, F.; Dent, S.; et al. Acquisition of metastatic tissue from patients with bone metastases from breast cancer. Breast Cancer Res. Treat. 2011, 129, 761–765. [Google Scholar] [CrossRef] [PubMed]
- Senkus, E.; Kyriakides, S.; Penault-Llorca, F.; Poortmans, P.; Thompson, A.; Zackrisson, S.; Cardoso, F. Primary breast cancer: ESMO Clinical Practice Guidelines for diagnosis, treatment and follow-up. Ann. Oncol. 2013, 24, vi7–vi23. [Google Scholar] [CrossRef] [PubMed]
- Bardia, A.; Hurvitz, S.A.; Tolaney, S.M.; Loirat, D.; Punie, K.; Oliveira, M.; Brufsky, A.; Sardesai, S.D.; Kalinsky, K.; Zelnak, A.B.; et al. Sacituzumab Govitecan in Metastatic Triple-Negative Breast Cancer. N. Engl. J. Med. 2021, 384, 1529–1541. [Google Scholar] [CrossRef]
- Ivanac, G.; Dominikovic, M.D.; Bojanic, K.; Kelava, T.; Dumic-Cule, I.; Canecki-Varzic, S.; Smolic, M.; Vcev, A.; Smolic, R.; Brkljacic, B. Imaging Features of Triple N Negative Breast Cancers—Mammography, Ultrasound and Magnetic Resonance Imaging. Coll. Antropol. 2021, 45, 111–120. [Google Scholar] [CrossRef]
- Rack, B.; Bock, C.; Andergassen, U.; Doisneau-Sixou, S. Hormone receptor status, erbB2 expression and cancer stem cell characteristics of circulating tumor cells in breast cancer patients. Histol. Histopathol. 2012, 27, 855–864. [Google Scholar]
- Li, B.D.L.; Byskosh, A.; Duda, R.B.; Molteni, A. Estrogen and progesterone receptor concordance between primary and recurrent breast cancer. J. Surg. Oncol. 1994, 57, 71–77. [Google Scholar] [CrossRef]
- Brennan, M.J.; Donegan, W.L.; Appleby, D.E. The variability of estrogen receptors in metastatic breast cancer. Am. J. Surg. 1979, 137, 260–262. [Google Scholar] [CrossRef]
- Holdaway, I.M.; Bowditch, J.V. Variation in receptor status between primary and metastatic breast cancer. Cancer 1983, 52, 479–485. [Google Scholar] [CrossRef]
- Amir, E.; Clemons, M. Should a biopsy be recommended to confirm metastatic disease in women with breast cancer? Lancet Oncol. 2009, 10, 933–935. [Google Scholar] [CrossRef]
- Amir, E.; Clemons, M.; Purdie, C.A.; Miller, N.; Quinlan, P.; Geddie, W.; Coleman, R.E.; Freedman, O.C.; Jordan, L.B.; Thompson, A.M. Tissue confirmation of disease recurrence in breast cancer patients: Pooled analysis of multi-centre, multi-disciplinary prospective studies. Cancer Treat. Rev. 2012, 38, 708–714. [Google Scholar] [CrossRef] [PubMed]
- Foukakis, T.; Åström, G.; Lindström, L.S.; Hatschek, T.; Bergh, J. When to order a biopsy to characterise a metastatic relapse in breast cancer. Ann. Oncol. 2012, 23 (Suppl. 10), 349–353. [Google Scholar] [CrossRef] [PubMed]
- Lindström, L.S.; Karlsson, E.; Wilking, U.M.; Johansson, U.; Hartman, J.; Lidbrink, E.K.; Hatschek, T.; Skoog, L.; Bergh, J. Clinically used breast cancer markers such as estrogen receptor, progesterone receptor, and human epidermal growth factor receptor 2 are unstable throughout tumor progression. J. Clin. Oncol. 2012, 30, 2601–2608. [Google Scholar] [CrossRef] [PubMed]
- van Es, S.C.; van der Vegt, B.; Bensch, F.; Gerritse, S.; van Helden, E.J.; Boon, E.; Angus, L.; Overbosch, J.; Oordt, M.-V.D.H.V.; Verheul, H.; et al. Decalcification of Breast Cancer Bone Metastases with EDTA Does Not Affect ER, PR, and HER2 Results. Am. J. Surg. Pathol. 2019, 43, 1355–1360. [Google Scholar] [CrossRef] [PubMed]
- Aurilio, G.; Monfardini, L.; Rizzo, S.; Sciandivasci, A.; Preda, L.; Bagnardi, V.; Disalvatore, D.; Pruneri, G.; Munzone, E.; Della Vigna, P.; et al. Discordant hormone receptor and human epidermal growth factor receptor 2 status in bone metastases compared to primary breast cancer. Acta Oncol. 2013, 52, 1649–1656. [Google Scholar] [CrossRef] [PubMed]
- Filippiadis, D.; Mazioti, A.; Kelekis, A. Percutaneous, Imaging-Guided Biopsy of Bone Metastases. Diagnostics 2018, 8, 25. [Google Scholar] [CrossRef]
- Monfardini, L.; Preda, L.; Aurilio, G.; Rizzo, S.; Bagnardi, V.; Renne, G.; Maccagnoni, S.; Della Vigna, P.; Davide, D.; Bellomi, M. CT-guided bone biopsy in cancer patients with suspected bone metastases: Retrospective review of 308 procedures. Radiol. Med. 2014, 119, 852–860. [Google Scholar] [CrossRef]
- Roberts, C.C.; Morrison, W.B.; Leslie, K.O.; Carrino, J.A.; Lozevski, J.L.; Liu, P.T. Assessment of bone biopsy needles for sample size, specimen quality and ease of use. Skelet. Radiol. 2005, 34, 329–335. [Google Scholar] [CrossRef]
- Cawthorn, T.R.; Amir, E.; Broom, R.; Freedman, O.; Gianfelice, D.; Barth, D.; Wang, D.; Holen, I.; Done, S.J.; Clemons, M. Mechanisms and pathways of bone metastasis: Challenges and pitfalls of performing molecular research on patient samples. Clin. Exp. Metastasis 2009, 26, 935–943. [Google Scholar] [CrossRef]





| Mostly Bone | Mostly Soft Tissue | Mixed | |
|---|---|---|---|
| Optimal | 9 | 14 | 11 |
| Suboptimal | 11 | 12 | 1 |
Publisher’s Note: MDPI stays neutral with regard to jurisdictional claims in published maps and institutional affiliations. |
© 2022 by the authors. Licensee MDPI, Basel, Switzerland. This article is an open access article distributed under the terms and conditions of the Creative Commons Attribution (CC BY) license (https://creativecommons.org/licenses/by/4.0/).
Share and Cite
Kovacevic, L.; Cavka, M.; Marusic, Z.; Kresic, E.; Stajduhar, A.; Grbanovic, L.; Dumic-Cule, I.; Prutki, M. Percutaneous CT-Guided Bone Lesion Biopsy for Confirmation of Bone Metastases in Patients with Breast Cancer. Diagnostics 2022, 12, 2094. https://doi.org/10.3390/diagnostics12092094
Kovacevic L, Cavka M, Marusic Z, Kresic E, Stajduhar A, Grbanovic L, Dumic-Cule I, Prutki M. Percutaneous CT-Guided Bone Lesion Biopsy for Confirmation of Bone Metastases in Patients with Breast Cancer. Diagnostics. 2022; 12(9):2094. https://doi.org/10.3390/diagnostics12092094
Chicago/Turabian StyleKovacevic, Lucija, Mislav Cavka, Zlatko Marusic, Elvira Kresic, Andrija Stajduhar, Lora Grbanovic, Ivo Dumic-Cule, and Maja Prutki. 2022. "Percutaneous CT-Guided Bone Lesion Biopsy for Confirmation of Bone Metastases in Patients with Breast Cancer" Diagnostics 12, no. 9: 2094. https://doi.org/10.3390/diagnostics12092094
APA StyleKovacevic, L., Cavka, M., Marusic, Z., Kresic, E., Stajduhar, A., Grbanovic, L., Dumic-Cule, I., & Prutki, M. (2022). Percutaneous CT-Guided Bone Lesion Biopsy for Confirmation of Bone Metastases in Patients with Breast Cancer. Diagnostics, 12(9), 2094. https://doi.org/10.3390/diagnostics12092094

