Osteosarcoma Arising in Fibrous Dysplasia of the Long Bone: Characteristic Images and Molecular Profiles
Abstract
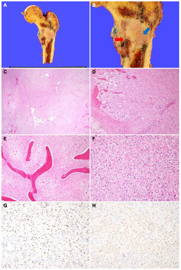
:

Author Contributions
Funding
Institutional Review Board Statement
Informed Consent Statement
Data Availability Statement
Conflicts of Interest
References
- Sugiura, Y.; Kanda, H.; Motoi, N.; Nomura, K.; Inamura, K.; Okada, E.; Matsumoto, H.; Shimoji, T.; Matsumoto, S.; Nakayama, J.; et al. Osteosarcoma arising in fibrous dysplasia, confirmed by mutational analysis of GNAS gene. Pathol. Res. Pract. 2018, 214, 318–324. [Google Scholar] [CrossRef] [PubMed]
- Board, W. Soft Tissue and Bone Tumours; International Agency for Research on Cancer: Lyon, France, 2020; pp. 472–474. [Google Scholar]
- Li, Z.; Raynald; Wang, Z.; Qian, H. Malignant transformation of craniofacial fibrous dysplasia: A systematic review of overall survival. Neurosurg. Rev. 2020, 43, 911–921. [Google Scholar] [CrossRef] [PubMed]
- Ruggieri, P.; Sim, F.H.; Bond, J.R.; Unni, K.K. Malignancies in fibrous dysplasia. Cancer 1994, 73, 1411–1424. [Google Scholar] [CrossRef]
- Shi, R.; Li, X.; Zhang, J.; Chen, F.; Ma, M.; Feng, Y.; Li, T. Clinicopathological and genetic study of a rare occurrence: Malignant transformation of fibrous dysplasia of the jaws. Mol. Genet. Genom. Med. 2022, 10, e1861. [Google Scholar] [CrossRef] [PubMed]
- Inwards, C.Y. Low-Grade Central Osteosarcoma versus Fibrous Dysplasia. Pathol. Case Rev. 2001, 6, 22–27. [Google Scholar] [CrossRef]
- Tabatabaei, S.H.; Jahanshahi, G.; Dehghan Marvasti, F. Diagnostic challenges of low-grade central osteosarcoma of jaw: A literature review. J. Dent. 2015, 16, 62–67. [Google Scholar]
- Tabareau-Delalande, F.; Collin, C.; Gomez-Brouchet, A.; Decouvelaere, A.V.; Bouvier, C.; Larousserie, F.; Marie, B.; Delfour, C.; Aubert, S.; Rosset, P.; et al. Diagnostic value of investigating GNAS mutations in fibro-osseous lesions: A retrospective study of 91 cases of fibrous dysplasia and 40 other fibro-osseous lesions. Mod. Pathol. 2013, 26, 911–921. [Google Scholar] [CrossRef] [PubMed] [Green Version]
- Salinas-Souza, C.; De Andrea, C.; Bihl, M.; Kovac, M.; Pillay, N.; Forshew, T.; Gutteridge, A.; Ye, H.; Amary, M.F.; Tirabosco, R.; et al. GNAS mutations are not detected in parosteal and low-grade central osteosarcomas. Mod. Pathol. 2015, 28, 1336–1342. [Google Scholar] [CrossRef] [PubMed] [Green Version]
- Sciot, R. MDM2 Amplified Sarcomas: A Literature Review. Diagnostics 2021, 11, 496. [Google Scholar] [CrossRef] [PubMed]
- Sayles, L.C.; Breese, M.R.; Koehne, A.L.; Leung, S.G.; Lee, A.G.; Liu, H.Y.; Spillinger, A.; Shah, A.T.; Tanasa, B.; Straessler, K.; et al. Genome-Informed Targeted Therapy for Osteosarcoma. Cancer Discov. 2019, 9, 46–63. [Google Scholar] [CrossRef] [PubMed] [Green Version]
Publisher’s Note: MDPI stays neutral with regard to jurisdictional claims in published maps and institutional affiliations. |
© 2022 by the authors. Licensee MDPI, Basel, Switzerland. This article is an open access article distributed under the terms and conditions of the Creative Commons Attribution (CC BY) license (https://creativecommons.org/licenses/by/4.0/).
Share and Cite
Kim, H.G.; Baek, J.H.; Na, K. Osteosarcoma Arising in Fibrous Dysplasia of the Long Bone: Characteristic Images and Molecular Profiles. Diagnostics 2022, 12, 1622. https://doi.org/10.3390/diagnostics12071622
Kim HG, Baek JH, Na K. Osteosarcoma Arising in Fibrous Dysplasia of the Long Bone: Characteristic Images and Molecular Profiles. Diagnostics. 2022; 12(7):1622. https://doi.org/10.3390/diagnostics12071622
Chicago/Turabian StyleKim, Han Gyeol, Jong Hun Baek, and Kiyong Na. 2022. "Osteosarcoma Arising in Fibrous Dysplasia of the Long Bone: Characteristic Images and Molecular Profiles" Diagnostics 12, no. 7: 1622. https://doi.org/10.3390/diagnostics12071622
APA StyleKim, H. G., Baek, J. H., & Na, K. (2022). Osteosarcoma Arising in Fibrous Dysplasia of the Long Bone: Characteristic Images and Molecular Profiles. Diagnostics, 12(7), 1622. https://doi.org/10.3390/diagnostics12071622

