T2*-Weighted Imaging Performance in the Detection of Deep Endometriosis among Readers with Different Experience: Comparison with Conventional MRI Sequences
Abstract
:1. Introduction
2. Materials and Methods
2.1. Study Population
2.2. MRI Protocol
2.3. Image Analysis
2.4. Statistical Analysis
3. Results
3.1. Study Population
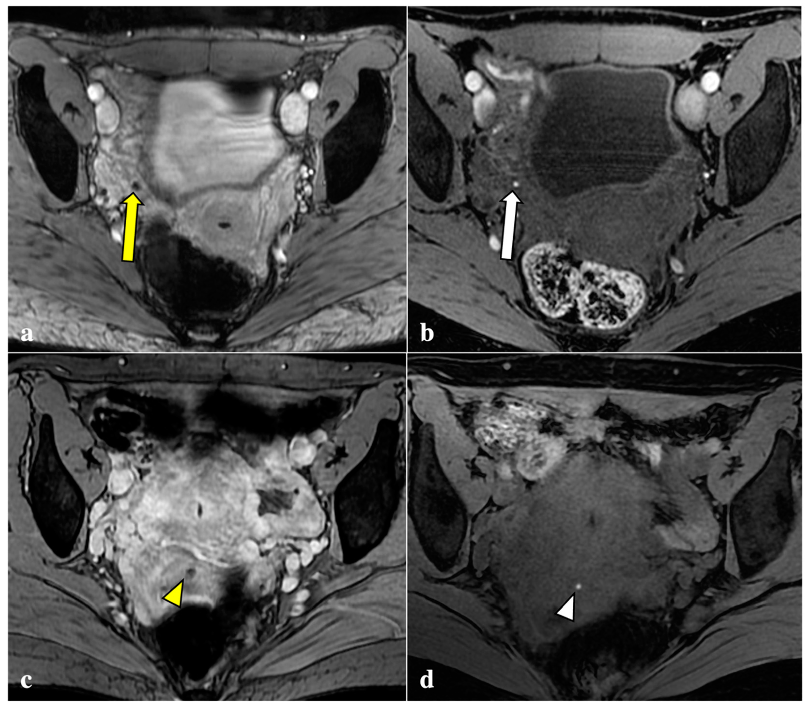
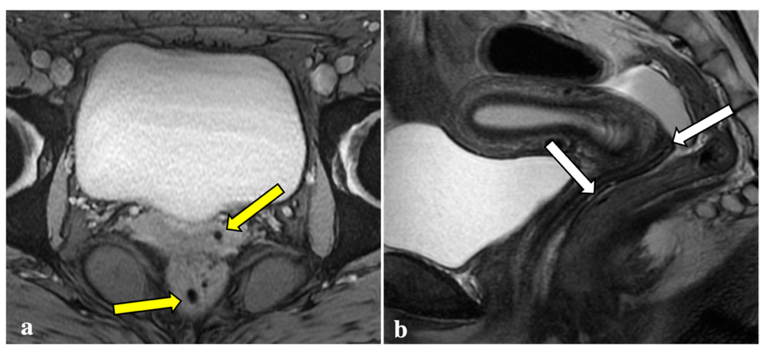
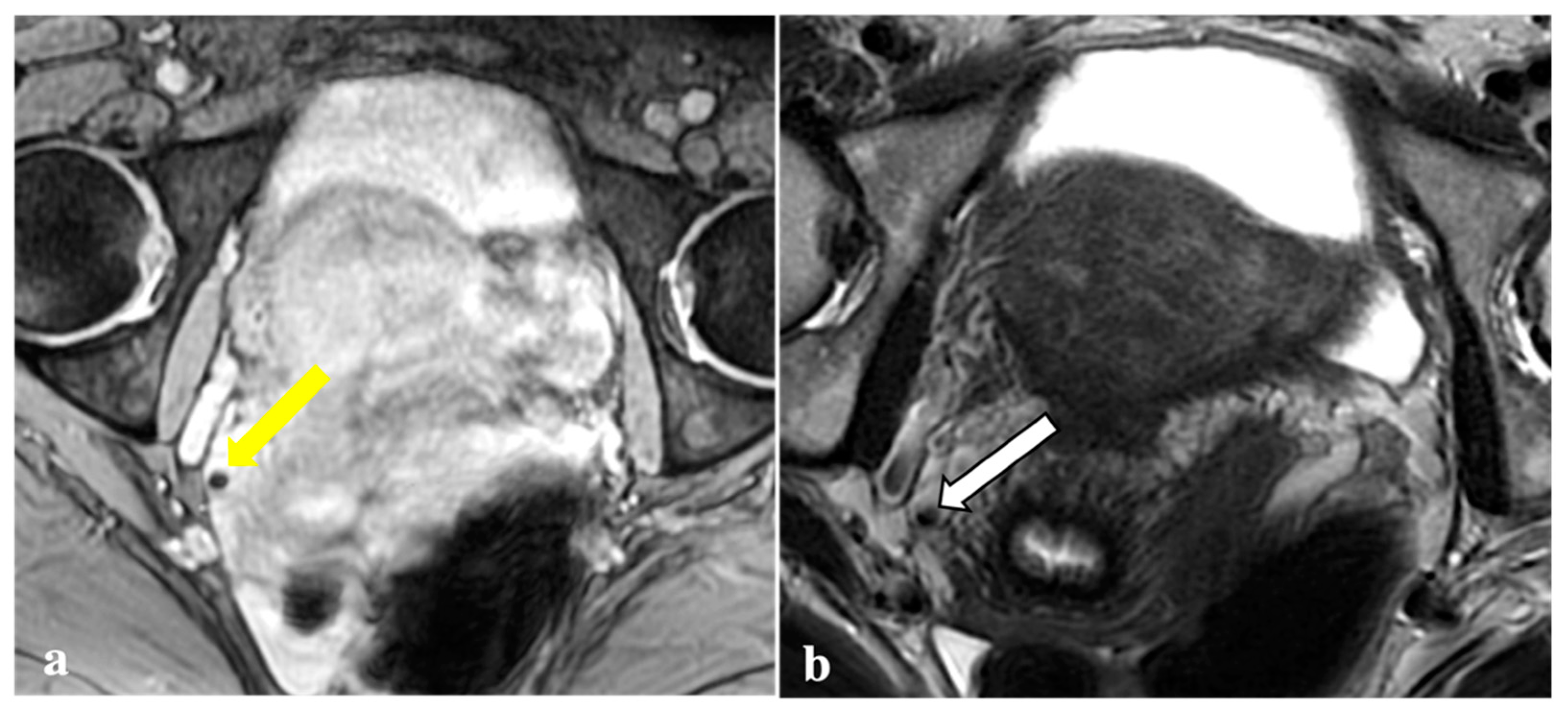
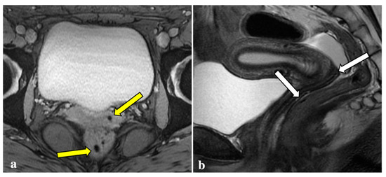
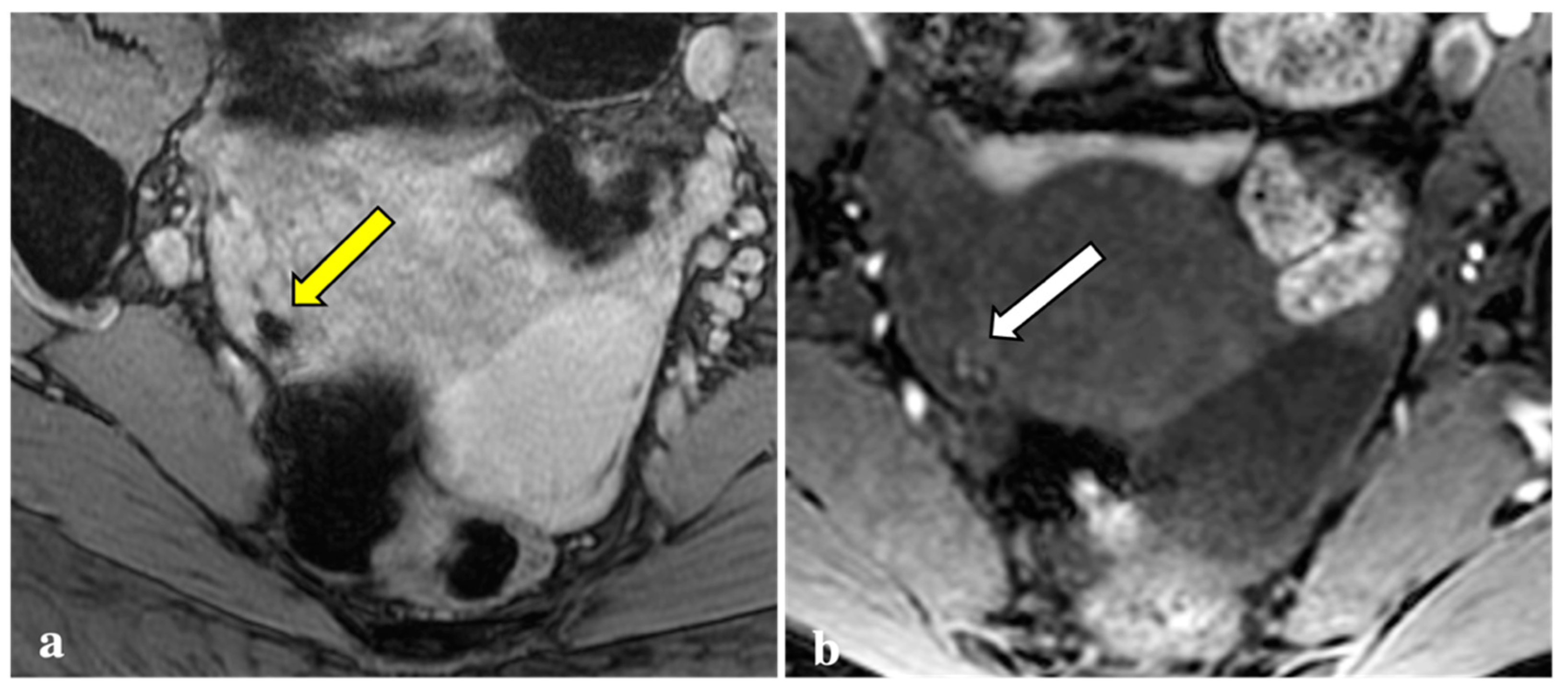
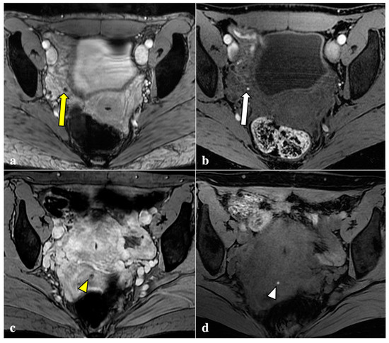
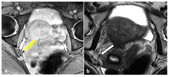
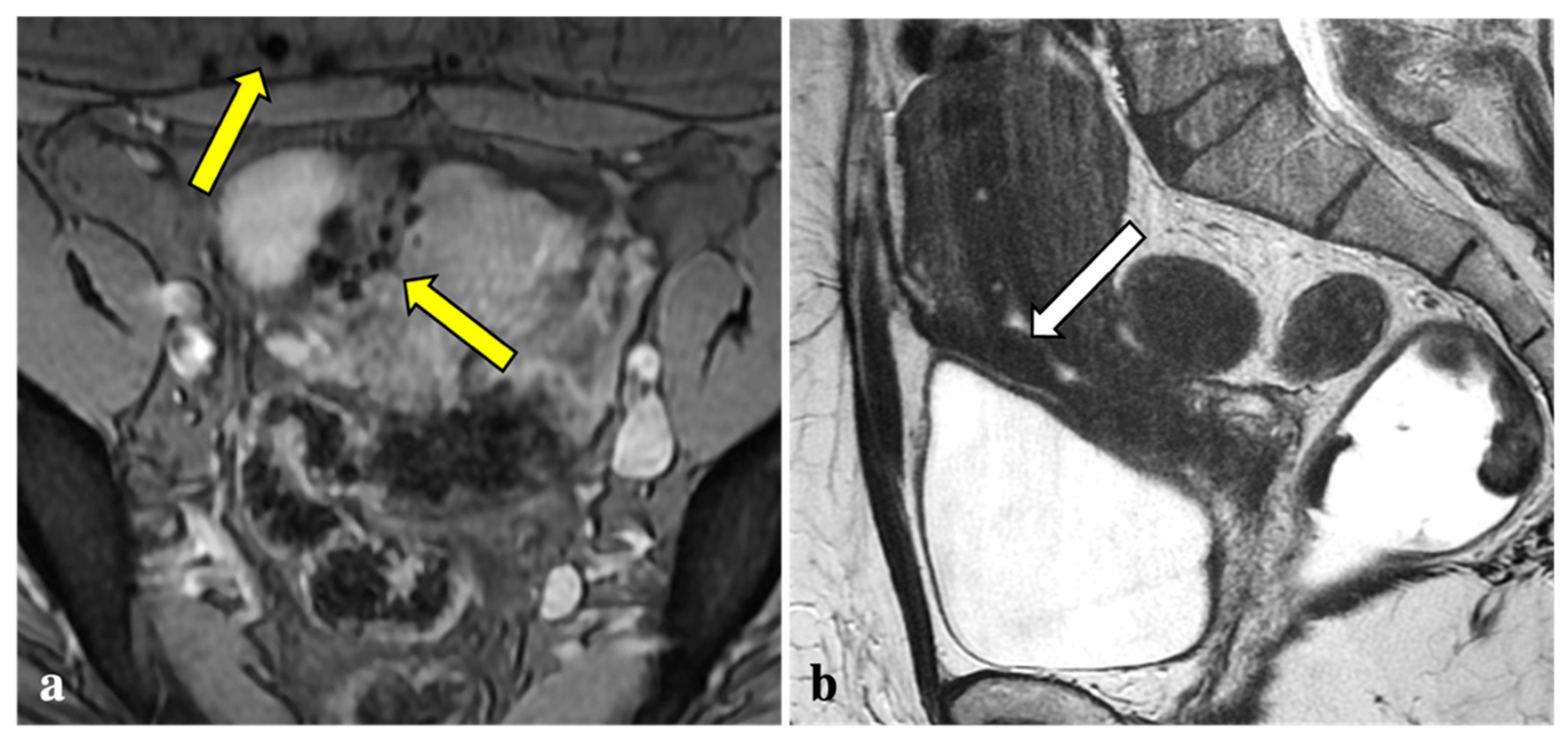
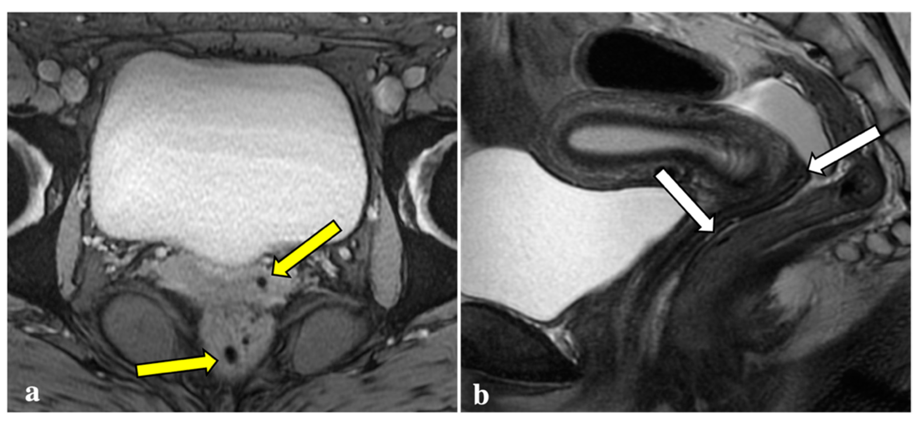
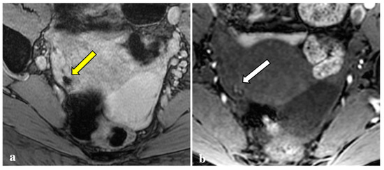
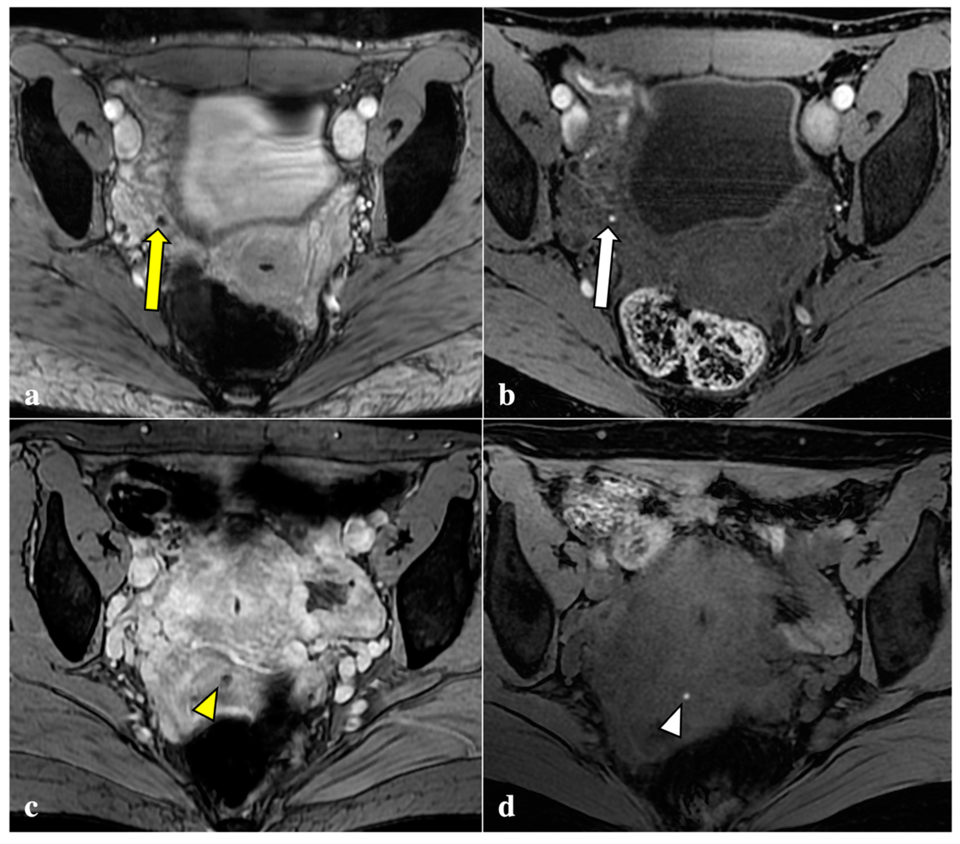
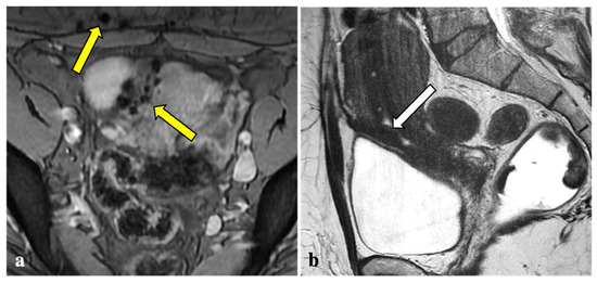
3.2. MRI Findings
3.3. Agreement between Readers with Different Experience
4. Discussion
5. Conclusions
Author Contributions
Funding
Institutional Review Board Statement
Informed Consent Statement
Data Availability Statement
Conflicts of Interest
References
- Giudice, L.C.; Kao, L.C. Endometriosis. Lancet 2004, 364, 1789–1799. [Google Scholar] [CrossRef]
- Burney, R.O.; Giudice, L.C. Pathogenesis and pathophysiology of endometriosis. Fertil. Steril. 2012, 98, 511–519. [Google Scholar] [CrossRef] [Green Version]
- Coutinho, A.; Bittencourt, L.K.; Pires, C.E.; Junqueira, F.; de Oliveira Lima, C.M.A.; Coutinho, E.; Domingues, M.A.; Domingues, R.C.; Marchiori, E. MR Imaging in Deep Pelvic Endometriosis: A Pictorial Essay. Radiographics 2011, 31, 549–567. [Google Scholar] [CrossRef]
- Jha, P.A.; Sakala, M.; Chamie, L.P.; Feldman, M.; Hindman, N.; Huang, C.; Kilcoyne, A.; Laifer-Narin, S.; Nicola, R.; Poder, L.; et al. Endometriosis MRI Lexicon: Consensus Statement from the Society of Abdominal Radiology Endometriosis Disease-Focused Panel. Abdom. Radiol. 2020, 45, 1552–1568. [Google Scholar] [CrossRef]
- Audebert, A.; Petousis, S.; Margioula-Siarkou, C.; Ravanos, K.; Prapas, N.; Prapas, Y. Anatomic Distribution of Endometriosis: A Reappraisal Based on Series of 1101 Patients. Eur. J. Obstet. Gynecol. Reprod. Biol. 2018, 230, 36–40. [Google Scholar] [CrossRef]
- Foti, P.V.; Farina, R.; Palmucci, S.; Vizzini, I.A.A.; Libertini, N.; Coronella, M.; Spadola, S.; Caltabiano, R.; Iraci, M.; Basile, A.; et al. Endometriosis: Clinical Features, MR Imaging Findings and Pathologic Correlation. Insights Imaging 2018, 9, 149–172. [Google Scholar] [CrossRef] [Green Version]
- The Members of the Endometriosis Guideline Core Group; Becker, C.M.; Bokor, A.; Heikinheimo, O.; Horne, A.; Jansen, F.; Kiesel, L.; King, K.; Kvaskoff, M.; Nap, A.; et al. ESHRE Guideline: Endometriosis. Hum. Reprod. Open 2022, 2022, hoac009. [Google Scholar] [CrossRef]
- Tavcar, J.; Loring, M.; Movilla, P.R.; Clark, N.V. Diagnosing Endometriosis before Laparoscopy: Radiologic Tools to Evaluate the Disease. Curr. Opin. Obstet. Gynecol. 2020, 32, 292–297. [Google Scholar] [CrossRef]
- Bazot, M.; Daraï, E. Diagnosis of Deep Endometriosis: Clinical Examination, Ultrasonography, Magnetic Resonance Imaging, and Other Techniques. Fertil. Steril. 2017, 108, 886–894. [Google Scholar] [CrossRef] [Green Version]
- Bazot, M.; Bharwani, N.; Huchon, C.; Kinkel, K.; Cunha, T.M.; Guerra, A.; Manganaro, L.; Buñesch, L.; Kido, A.; Togashi, K.; et al. European Society of Urogenital Radiology (ESUR) Guidelines: MR Imaging of Pelvic Endometriosis. Eur. Radiol. 2017, 27, 2765–2775. [Google Scholar] [CrossRef] [Green Version]
- Kinoshita, T.; Okudera, T.; Tamura, H.; Ogawa, T.; Hatazawa, J. Assessment of Lacunar Hemorrhage Associated with Hypertensive Stroke by Echo-Planar Gradient-Echo T2*-Weighted MRI. Stroke 2000, 31, 1646–1650. [Google Scholar] [CrossRef] [PubMed] [Green Version]
- Gasparotti, R.; Pinelli, L.; Liserre, R. New MR Sequences in Daily Practice: Susceptibility Weighted Imaging. A Pictorial Essay. Insights Imaging 2011, 2, 335–347. [Google Scholar] [CrossRef] [PubMed] [Green Version]
- Cimsit, C.; Yoldemir, T.; Guclu, M.; Akpinar, I.N. Susceptibility-Weighted Magnetic Resonance Imaging for the Evaluation of Deep Infiltrating Endometriosis: Preliminary Results. Acta Radiol. 2016, 57, 878–885. [Google Scholar] [CrossRef] [PubMed]
- Raafat, M.; Talaat, S.H.; Abdelghaffar, S.M.; Ali, E.A. Can Diffusion and T2 Star-Weighted Magnetic Resonance Imaging Aid in the Diagnosis of Ectopic Endometrium? Egypt J. Radiol. Nucl. Med. 2021, 52, 137. [Google Scholar] [CrossRef]
- ESUR Quick Guide to Female Pelvis Imaging. Available online: https://www.esur.org/fileadmin/content/2019/ESUR_2019_-_ESUR_Quick_Guide_to_Female_Pelvis_Imaging.pdf (accessed on 13 May 2022).
- Nnoaham, K.E.; Hummelshoj, L.; Webster, P.; d’Hooghe, T.; de Cicco Nardone, F.; de Cicco Nardone, C.; Jenkinson, C.; Kennedy, S.H.; Zondervan, K.T. Impact of Endometriosis on Quality of Life and Work Productivity: A Multicenter Study across Ten Countries. Fertil. Steril. 2011, 96, 366–373.e8. [Google Scholar] [CrossRef] [Green Version]
- Surrey, E.; Soliman, A.M.; Trenz, H.; Blauer-Peterson, C.; Sluis, A. Impact of Endometriosis Diagnostic Delays on Healthcare Resource Utilization and Costs. Adv. Ther. 2020, 37, 1087–1099. [Google Scholar] [CrossRef] [Green Version]
- Chen, H.; Wang, G.; Wang, X.; Gao, Y.; Liang, J.; Wang, J. Diagnostic Value of Susceptibility-Weighted Imaging for Endometrioma: Preliminary Results from a Retrospective Analysis. Acta Radiol. 2021, 63, 028418512110224. [Google Scholar] [CrossRef]
- Takeuchi, M.; Matsuzaki, K.; Nishitani, H. Susceptibility-Weighted MRI of Endometrioma: Preliminary Results. Am. J. Roentgenol. 2008, 191, 1366–1370. [Google Scholar] [CrossRef]
- Bulut, E.; Peker, M.; Kupeli, A.; Danisan, G.; Bulut, A.C. The Efficiency of Susceptibility-Weighted MRI in the Differentiation of Endometriomas from Haemorrhagic Ovarian Cysts. Abdom. Radiol. 2021, 46, 5337–5343. [Google Scholar] [CrossRef]
- Takeuchi, M.; Matsuzaki, K.; Harada, M. Susceptibility-Weighted MRI of Extra-Ovarian Endometriosis: Preliminary Results. Abdom. Imaging 2015, 40, 2512–2516. [Google Scholar] [CrossRef]
- Pin, L.; Monseau-Thiburce, A.-C.; Ziade-Coularis, C.; Benjamin, A.; Menut, F.; Brun, J.-L.; Merlot, B.; Chateil, J.-F. Exploratory Study of the Interest of MR Susceptibility-Weighted Imaging for the Preoperative Assessment of Pelvic Endometriosis Extent. Eur. J. Radiol. 2019, 118, 245–250. [Google Scholar] [CrossRef] [PubMed]
- Bazot, M.; Lafont, C.; Rouzier, R.; Roseau, G.; Thomassin-Naggara, I.; Daraï, E. Diagnostic Accuracy of Physical Examination, Transvaginal Sonography, Rectal Endoscopic Sonography, and Magnetic Resonance Imaging to Diagnose Deep Infiltrating Endometriosis. Fertil. Steril. 2009, 92, 1825–1833. [Google Scholar] [CrossRef] [PubMed]





| Sequence | Plane | TR/TE (ms) | FOV (mm) | Slice Thickness/Intersection Gap (mm) | Flip Angle | Nex |
|---|---|---|---|---|---|---|
| T2W SSFSE | axial | 3100/80 | 320 × 320 | 5/1 | 160° | 1 |
| T2W FRFSE | axial, sagittal and coronal of the uterus | 5554/102 | 256 × 256 | 3/0.3 | 140° | 6 |
| T1W FSPGR | axial | 7.9/2.2 | 340 × 260 | 3/0 | 12° | 4 |
| T2*W MERGE | axial | 400/5.6 | 320 × 320 | 4/0.4 | 20° | 2 |
| Endometriosis Sites |
|---|
| Anterior compartment |
| Prevescical space |
| Vescicouterine/vescicocervical space |
| Vescicovaginal space |
| Round ligaments |
| Bladder |
| Ureters |
| Middle compartment |
| Ovaries |
| Ovarian peritoneal surface |
| Uterine serosal |
| Broad ligaments |
| Parametrium/paracolpum |
| Tubes |
| Vaginal fornix |
| Posterior compartment |
| Torus uterinus and retrocervical space |
| Utero-sacral ligaments |
| Rectovaginal space |
| Rectouterine pouch |
| Rectum/rectosigmoid |
| Other sites |
| Small bowel |
| Surgical scars |
| Abdominal/pelvic wall |
| Endometriosis Sites | Hypointense Lesions on T2W | Hyperintense Foci on T1W | Signal Voids on T2*W |
|---|---|---|---|
| Overall (n, %) | 279 (100) | 57 (100) | 43 (100) |
| Anterior compartment | |||
| Prevescical space | 3 (1.07) | 0 | 0 |
| Vescicouterine/ vescicocervical space | 13 (4.66) | 2 (3.51) | 1 (2.33) |
| Vescicovaginal space | 3 (1.07) | 0 | 0 |
| Round ligaments | 13 (4.66) | 0 | 0 |
| Bladder | 1 (0.36) | 0 | 0 |
| Ureters | 7 (2.51) | 0 | 0 |
| Urachal remnants | 1 (0.36) | 0 | 0 |
| Middle compartment | |||
| Ovaries | 21 (7.53) | 23 (40.36) | 19 (44.18) |
| Ovarian peritoneal surface | 26 (9.32) | 8 (14.03) | 5 (11.63) |
| Uterine serosal | 6 (2.15) | 0 | 0 |
| Broad ligaments | 13 (4.66) | 1 (1.75) | 0 |
| Parametrium/paracolpum | 3 (1.07) | 0 | 0 |
| Tubes | 17 (6.09) | 4 (7.02) | 3 (6.97) |
| Vaginal fornix | 11 (3.94) | 2 (3.51) | 2 (4.65) |
| Posterior compartment | |||
| Torus uterinus and retrocervical space | 35 (12.55) | 6 (10.53) | 6 (13.95) |
| Utero-sacral ligaments | 67 (24.01) | 8 (14.04) | 5 (11.63) |
| Rectovaginal space | 9 (3.23) | 1 (1.75) | 0 |
| Rectouterine pouch | 18 (6.45) | 1 (1.75) | 0 |
| Rectum/rectosigmoid | 7 (2.51) | 0 | 1 (2.33) |
| Other sites | |||
| Small bowel | 1 (0.36) | 0 | 0 |
| Surgical scars | 2 (0.72) | 1 (1.75) | 1 (2.33) |
| Abdominal/pelvic wall | 2 (0.72) | 0 | 0 |
| Endometriosis Sites | Reader 1 (Conventional Protocol + T2*W) | Reader 2 (Conventional Protocol) | Agreement (%) | Kappa |
|---|---|---|---|---|
| Overall (n, %) | 301 (100.00) | 295 (100.00) | 95.9 | 0.891 |
| Anterior compartment | ||||
| Prevescical space | 3 (1.00) | 3 (1.02) | 100 | 1.000 |
| Vescicouterine/vescicocervical space | 13 (4.32) | 15 (5.08) | 95.5 | 0.895 |
| Vescicovaginal space | 3 (1.00) | 3 (1.02) | 100 | 1.000 |
| Round ligaments | 13 (4.32) | 12 (4.07) | 98.9 | 0.953 |
| Bladder | 1 (0.33) | 1 (0.34) | 100 | 1.000 |
| Ureters | 7 (2.32) | 6 (2.03) | 97.7 | 0.910 |
| Urachal remnants | 1 (0.33) | 1 (0.34) | 100 | 1.000 |
| Middle compartment | ||||
| Ovaries | 38 (12.63) | 36 (12.2) | 97.7 | 0.953 |
| Ovarian peritoneal surface | 32 (10.63) | 28 (9.49) | 95.5 | 0.899 |
| Uterine serosal | 6 (1.99) | 7 (2.37) | 93.2 | 0.730 |
| Broad ligaments | 13 (4.32) | 15 (5.08) | 95.5 | 0.830 |
| Parametrium/paracolpum | 3 (1.00) | 3 (1.02) | 100 | 1.000 |
| Tubes | 17 (5.65) | 14 (4.75) | 96.6 | 0.888 |
| Vaginal fornix | 11 (3.65) | 13 (4.41) | 95.5 | 0.885 |
| Posterior compartment | ||||
| Torus uterinus and retrocervical space | 35 (11.63) | 34 (11.53) | 97.7 | 0.933 |
| Utero-sacral ligaments | 67 (22.26) | 65 (22.03) | 93.2 | 0.818 |
| Rectovaginal space | 8 (2.66) | 9 (3.05) | 97.7 | 0.927 |
| Rectouterine pouch | 18 (5.98) | 16 (5.42) | 95.5 | 0.904 |
| Rectum/rectosigmoid | 7 (2.32) | 10 (3.39) | 93.3 | 0.783 |
| Other sites | ||||
| Small bowel | 1 (0.33) | 0 | 100 | 1.000 |
| Surgical scars | 2 (0.66) | 1 (2.32) | 100 | 1.000 |
| Abdominal/pelvic wall | 2 (0.66) | 0 | 97.7 | 0.656 |
| Endometriosis Sites | Signal Voids Detected by Reader 1 | Signal Voids Detected by Reader 3 | Kappa | p-Value * |
|---|---|---|---|---|
| Overall (n, %) | 43 (100) | 77 (100) | 0.360 | <0.0001 |
| Anterior compartment | ||||
| Prevescical space | 0 | 0 | - | - |
| Vescicouterine/ vescicocervical space | 1 (2.33) | 1 (1.30) | - | - |
| Vescicovaginal space | 0 | 0 | - | - |
| Round ligaments | 0 | 0 | - | - |
| Bladder | 0 | 0 | - | - |
| Ureters | 0 | 0 | - | - |
| Urachal remnants | 0 | 0 | - | - |
| Middle compartment | ||||
| Ovaries | 19 (44.18) | 25 (32.47) | 0.761 | <0.0001 |
| Ovarian peritoneal surface | 5 (11.63) | 6 (7.79) | 0.896 | <0.0001 |
| Uterine serosal | 0 | 2 (2.60) | - | - |
| Broad ligaments | 0 | 2 (2.60) | - | - |
| Parametrium/paracolpum | 0 | 0 | - | - |
| Tubes | 3 (6.97) | 4 (5.19) | 0.788 | 0.003 |
| Vaginal fornix | 2 (4.65) | 12 (15.59) | 0.225 | 0.018 |
| Posterior compartment | ||||
| Torus uterinus and retrocervical space | 6 (13.95) | 7 (9.09) | 0.910 | <0.0001 |
| Utero-sacral ligaments | 5 (11.63) | 7 (9.09) | 0.614 | <0.0001 |
| Rectovaginal space | 0 | 0 | - | - |
| Rectouterine pouch | 0 | 0 | - | - |
| Rectum/rectosigmoid | 1 (2.33) | 7 (9.09) | 0.219 | 0.020 |
| Other sites | ||||
| Small bowel | 0 | 0 | - | - |
| Surgical scars | 1 (2.33) | 4 (5.19) | 0.377 | 0.001 |
| Abdominal/pelvic wall | 0 | 0 | - | - |
Publisher’s Note: MDPI stays neutral with regard to jurisdictional claims in published maps and institutional affiliations. |
© 2022 by the authors. Licensee MDPI, Basel, Switzerland. This article is an open access article distributed under the terms and conditions of the Creative Commons Attribution (CC BY) license (https://creativecommons.org/licenses/by/4.0/).
Share and Cite
Franco, P.N.; Annibali, S.; Viganò, S.; Cazzella, C.; Marra, C.; Smedile, A.; Bonaffini, P.A.; Marra, P.; Otero García, M.M.; Reinhold, C.; et al. T2*-Weighted Imaging Performance in the Detection of Deep Endometriosis among Readers with Different Experience: Comparison with Conventional MRI Sequences. Diagnostics 2022, 12, 1545. https://doi.org/10.3390/diagnostics12071545
Franco PN, Annibali S, Viganò S, Cazzella C, Marra C, Smedile A, Bonaffini PA, Marra P, Otero García MM, Reinhold C, et al. T2*-Weighted Imaging Performance in the Detection of Deep Endometriosis among Readers with Different Experience: Comparison with Conventional MRI Sequences. Diagnostics. 2022; 12(7):1545. https://doi.org/10.3390/diagnostics12071545
Chicago/Turabian StyleFranco, Paolo Niccolò, Simona Annibali, Sara Viganò, Caterina Cazzella, Chiara Marra, Antonella Smedile, Pietro Andrea Bonaffini, Paolo Marra, María Milagros Otero García, Caroline Reinhold, and et al. 2022. "T2*-Weighted Imaging Performance in the Detection of Deep Endometriosis among Readers with Different Experience: Comparison with Conventional MRI Sequences" Diagnostics 12, no. 7: 1545. https://doi.org/10.3390/diagnostics12071545
APA StyleFranco, P. N., Annibali, S., Viganò, S., Cazzella, C., Marra, C., Smedile, A., Bonaffini, P. A., Marra, P., Otero García, M. M., Reinhold, C., & Sironi, S. (2022). T2*-Weighted Imaging Performance in the Detection of Deep Endometriosis among Readers with Different Experience: Comparison with Conventional MRI Sequences. Diagnostics, 12(7), 1545. https://doi.org/10.3390/diagnostics12071545

