Diffuse Leptomeningeal Glioneuronal Tumour with 9-Year Follow-Up: Case Report and Review of the Literature
Abstract
:1. Introduction
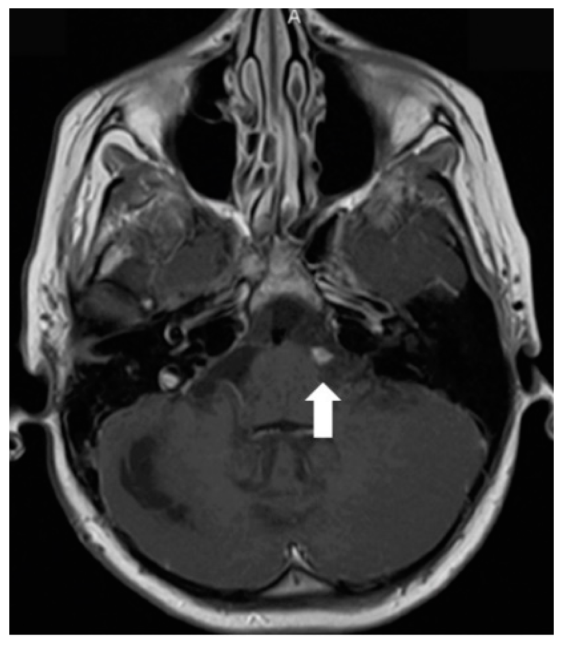
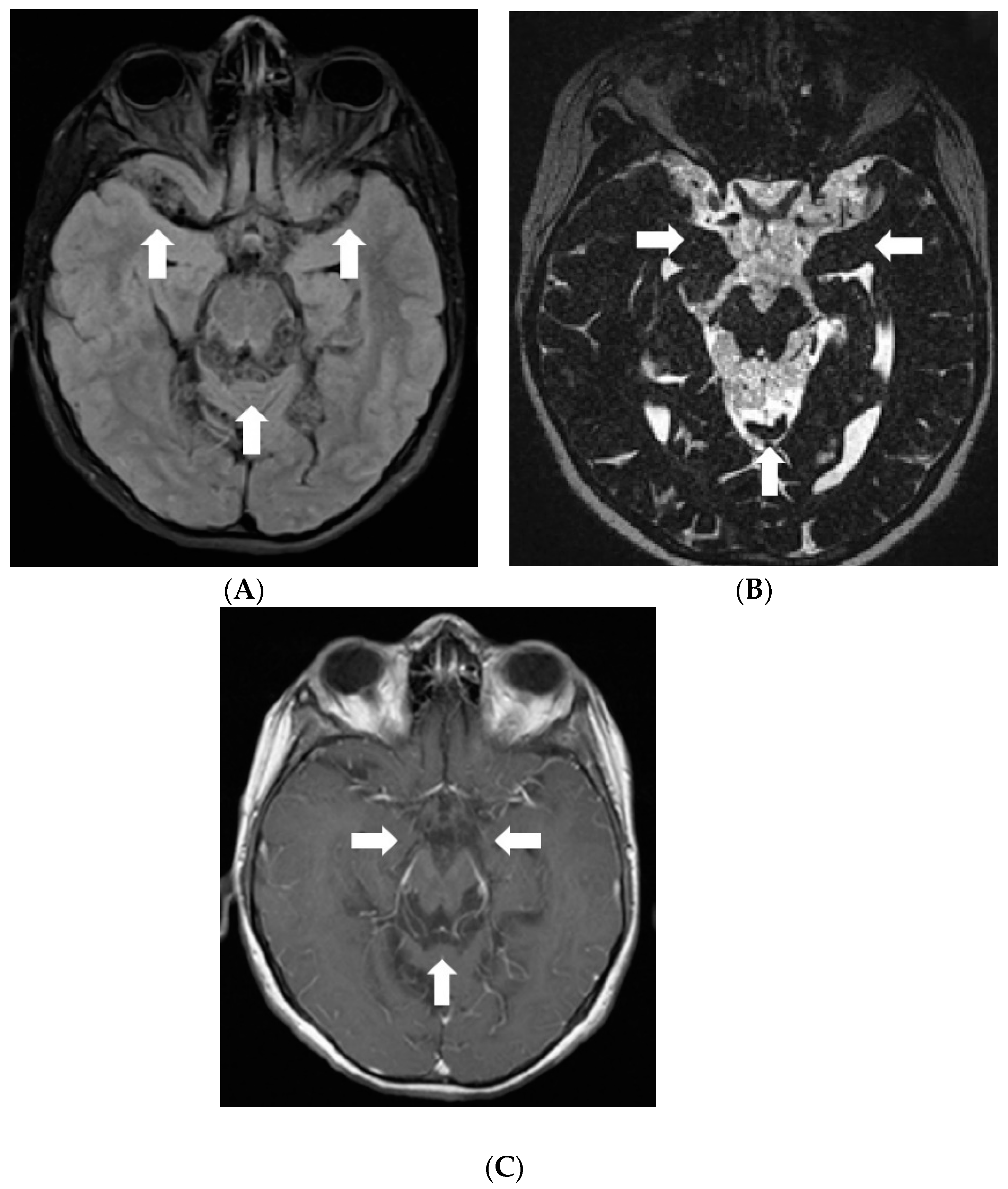
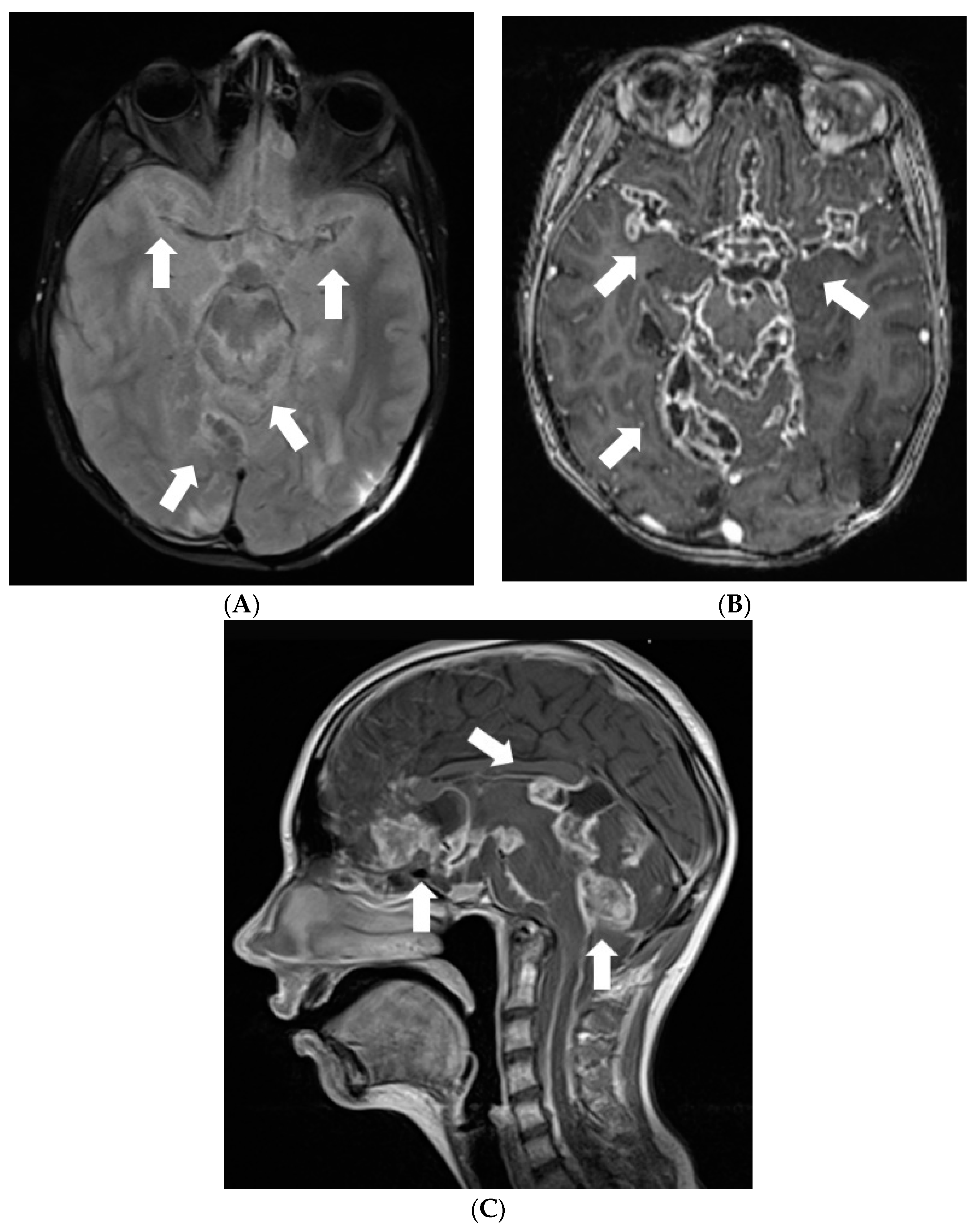
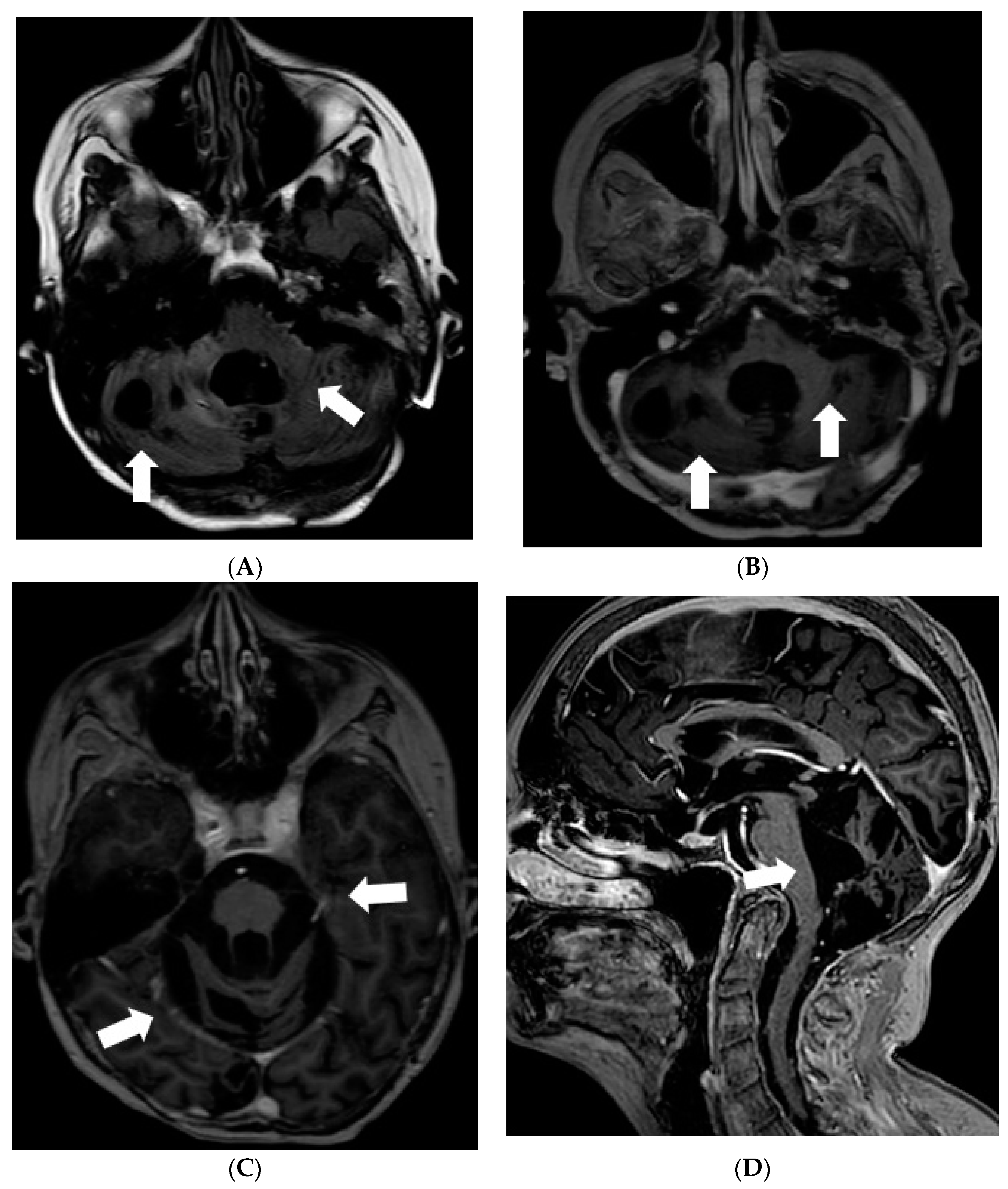
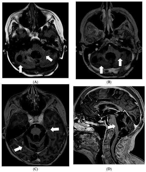
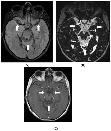
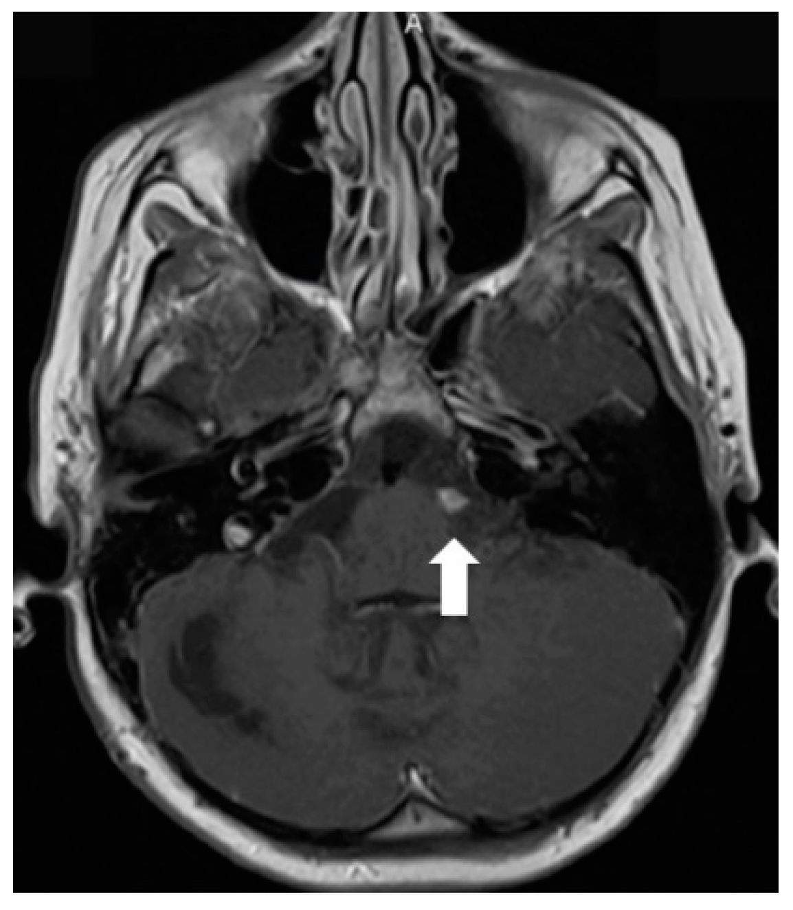
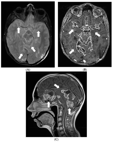
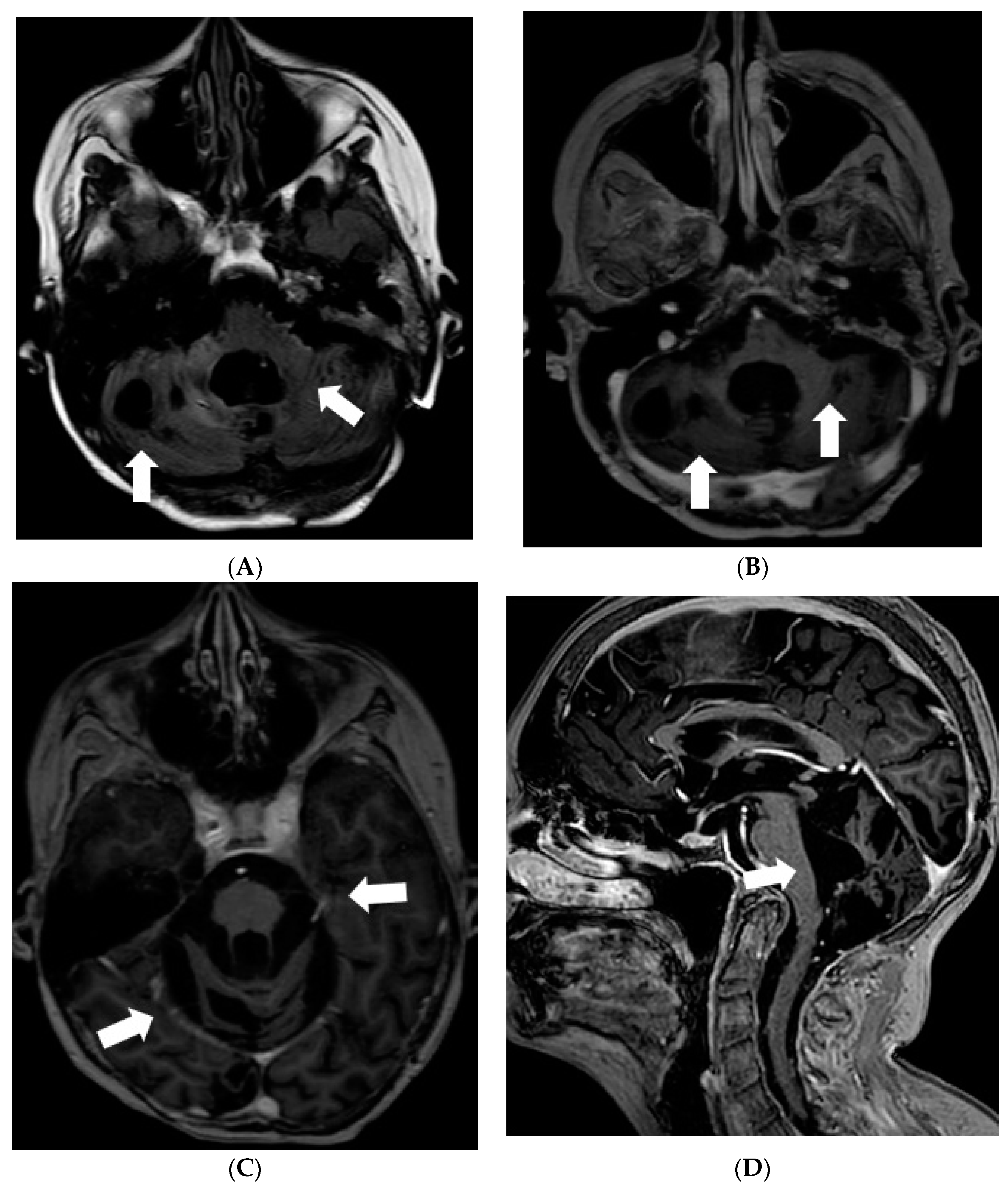
2. Case Presentation
3. Discussion
4. Conclusions
Author Contributions
Funding
Institutional Review Board Statement
Informed Consent Statement
Data Availability Statement
Conflicts of Interest
References
- Psarros, T.G.; Swift, D.; Mulne, A.F.; Burns, D.K. Neurocytoma-like neoplasm of the thoracic spine in a 15-month-old child presenting with diffuse leptomeningeal dissemination and communicating hydrocephalus. Case report. J. Neurosurg. 2005, 103, 184–190. [Google Scholar] [CrossRef] [PubMed]
- Komori, T. The 2016 WHO Classification of Tumours of the Central Nervous System: The Major Points of Revision. Neurol. Med. Chir. 2017, 57, 301–311. [Google Scholar] [CrossRef] [PubMed] [Green Version]
- Schniederjan, M.J.; Alghamdi, S.; Castellano-Sanchez, A.; Mazewski, C.; Brahma, B.; Brat, D.J.; Brathwaite, C.D.; Janss, A.J. Diffuse leptomeningeal neuroepithelial tumor: 9 pediatric cases with chromosome 1p/19q deletion status and IDH1 (R132H) immunohistochemistry. Am. J. Surg. Pathol. 2013, 37, 763–771. [Google Scholar] [CrossRef] [PubMed]
- Wesseling, P.; Capper, D. WHO 2016 Classification of gliomas. Neuropathol. Appl. Neurobiol. 2018, 44, 139–150. [Google Scholar] [CrossRef]
- Rodriguez, F.J.; Perry, A.; Rosenblum, M.K.; Krawitz, S.; Cohen, K.J.; Lin, D.; Mosier, S.; Lin, M.T.; Eberhart, C.G.; Burger, P.C. Disseminated oligodendroglial-like leptomeningeal tumor of childhood: A distinctive clinicopathologic entity. Acta Neuropathol. 2012, 124, 627–641. [Google Scholar] [CrossRef]
- Rodriguez, F.J.; Schniederjan, M.J.; Nicolaides, T.; Tihan, T.; Burger, P.C.; Perry, A. High rate of concurrent BRAF-KIAA1549 gene fusion and 1p deletion in disseminated oligodendroglioma-like leptomeningeal neoplasms (DOLN). Acta Neuropathol. 2015, 129, 609–610. [Google Scholar] [CrossRef]
- Louis, D.N.; Ohgaki, H.; Wiestler, O.D.; Cavenee, W.K.; Burger, P.C.; Jouvet, A.; Scheithauer, B.W.; Kleihues, P. The 2007 WHO classification of tumours of the central nervous system. Acta Neuropathol. 2007, 114, 97–109. [Google Scholar] [CrossRef] [Green Version]
- Gardiman, M.P.; Fassan, M.; Orvieto, E.; D’Avella, D.; Denaro, L.; Calderone, M.; Severino, M.; Scarsello, G.; Viscardi, E.; Perilongo, G. Diffuse leptomeningeal glioneuronal tumors: A new entity? Brain. Pathol. 2010, 20, 361–366. [Google Scholar] [CrossRef]
- Johnson, D.R.; Guerin, J.B.; Giannini, C.; Morris, J.M.; Eckel, L.J.; Kaufmann, T.J. 2016 Updates to the WHO Brain Tumor Classification System: What the Radiologist Needs to Know. Radiographics 2017, 37, 2164–2180. [Google Scholar] [CrossRef] [Green Version]
- Abdel Razek, A.A.K.; Elsebaie, N.A.; Zamora, C.; Castillo, M. Imaging of Neuronal and Mixed Glioneuronal Tumors. J. Comput. Assist. Tomogr. 2020, 44, 356–369. [Google Scholar] [CrossRef]
- Louis, D.N.; Perry, A.; Wesseling, P.; Brat, D.J.; Cree, I.A.; Figarella-Branger, D.; Hawkins, C.; Ng, H.K.; Pfister, S.M.; Reifenberger, G.; et al. The 2021 WHO Classification of Tumors of the Central Nervous System: A summary. Neuro Oncol. 2021, 23, 1231–1251. [Google Scholar] [CrossRef] [PubMed]
- Karlowee, V.; Kolakshyapati, M.; Amatya, V.J.; Takayasu, T.; Nosaka, R.; Sugiyama, K.; Kurisu, K.; Yamasaki, F. Diffuse leptomeningeal glioneuronal tumor (DLGNT) mimicking Whipple’s disease: A case report and literature review. Childs Nerv. Syst. 2017, 33, 1411–1414. [Google Scholar] [CrossRef] [PubMed]
- Lyle, M.R.; Dolia, J.N.; Fratkin, J.; Nichols, T.A.; Herrington, B.L. Newly Identified Characteristics and Suggestions for Diagnosis and Treatment of Diffuse Leptomeningeal Glioneuronal/Neuroepithelial Tumors: A Case Report and Review of the Literature. Child Neurol. Open 2015, 2, 2329048X14567531. [Google Scholar] [CrossRef] [PubMed]
- Pellerino, A.; Rudà, R.; Bertero, L.; Magistrello, M.; Franchino, F.; Cassoni, P.; Pasqualetti, F.; Pinessi, L.; Giangaspero, F.; Soffietti, R. Successful use of bevacizumab in an adult primary diffuse leptomeningeal glioneuronal tumor. J. Neurosurg. Sci. 2018, 62, 229–232. [Google Scholar] [CrossRef]
- Louis, D.N.; Perry, A.; Reifenberger, G.; von Deimling, A.; Figarella-Branger, D.; Cavenee, W.K.; Ohgaki, H.; Wiestler, O.D.; Kleihues, P.; Ellison, D.W. The 2016 World Health Organization Classification of Tumors of the Central Nervous System: A summary. Acta Neuropathol. 2016, 131, 803–820. [Google Scholar] [CrossRef] [Green Version]
- Chen, W.; Kong, Z.; Fu, J.; Zhao, D.; Wang, R.; Ma, W.; Wang, Y. Diffuse leptomeningeal glioneuronal tumour (DLGNT) with hydrocephalus as an initial symptom: A case-based update. Childs Nerv. Syst. 2020, 36, 459–468. [Google Scholar] [CrossRef]
- Abongwa, C.; Cotter, J.; Tamrazi, B.; Dhall, G.; Davidson, T.; Margol, A. Primary diffuse leptomeningeal glioneuronal tumors of the central nervous system: Report of three cases and review of literature. Pediatr. Hematol. Oncol. 2020, 37, 248–258. [Google Scholar] [CrossRef]
- Schwetye, K.E.; Kansagra, A.P.; McEachern, J.; Schmidt, R.E.; Gauvain, K.; Dahiya, S. Unusual highgrade features in pediatric diffuse leptomeningeal glioneuronal tumor: Comparison with a typical low-grade example. Hum. Pathol. 2017, 70, 105–112. [Google Scholar] [CrossRef]
- Yamasaki, T.; Sakai, N.; Shinmura, K.; Kawaji, H.; Koizumi, S.; Samashima, T.; Namba, H. Anaplastic changes of diffuse leptomeningeal glioneuronal tumor with polar spongioblastoma pattern. Brain Tumor Pathol. 2018, 35, 209–216. [Google Scholar] [CrossRef]
- Preuss, M.; Christiansen, H.; Merkenschlager, A.; Hirsch, F.W.; Kiess, W.; Müller, W.; Kästner, S.; Henssler, A.; Pekrun, A.; Hauch, H.; et al. Disseminated oligodendroglial-like leptomeningeal tumors: Preliminary diagnostic and therapeutic results for a novel tumor entity. J. Neurooncol. 2015, 124, 65–74. [Google Scholar] [CrossRef]
- Cho, H.J.; Myung, J.K.; Kim, H.; Park, C.K.; Kim, S.K.; Chung, C.K.; Choi, S.H.; Park, S.H. Primary diffuse leptomeningeal glioneuronal tumors. Brain Tumor Pathol. 2015, 32, 49–55. [Google Scholar] [CrossRef] [PubMed]
- Ruppert, B.; Welsh, C.T.; Hannah, J.; Giglio, P.; Rumboldt, Z.; Johnson, I.; Fortney, J.; Jenrette, J.M.; Patel, S.; Scheithauer, B.W. Glioneuronal tumor with neuropil-like islands of the spinal cord with diffuse leptomeningeal neuraxis dissemination. J. Neurooncol. 2011, 104, 529–533. [Google Scholar] [CrossRef] [PubMed]
- Jaunmuktane, Z.; Capper, D.; Jones, D.T.W.; Schrimpf, D.; Sill, M.; Dutt, M.; Suraweera, N.; Pfister, S.M.; von Deimling, A.; Brandner, S. Methylation array profiling of adult brain tumours: Diagnostic outcomes in a large, single centre. Acta Neuropathol. Commun. 2019, 7, 24. [Google Scholar] [CrossRef] [PubMed] [Green Version]
- Fiaschi, P.; Badaloni, F.; Cagetti, B.; Bruzzone, L.; Marucci, G.; Dellachà, A.; Pavanello, M.; Ganci, G.; Padolecchia, R.; Valsania, V. Disseminated Oligodendroglial-like Leptomeningeal Tumor in the Adult: Case Report and Review of the Literature. World Neurosurg. 2018, 114, 53–57. [Google Scholar] [CrossRef] [PubMed]
- Deng, M.Y.; Sill, M.; Chiang, J.; Schittenhelm, J.; Ebinger, M.; Schuhmann, M.U.; Monoranu, C.M.; Milde, T.; Wittmann, A.; Hartmann, C.; et al. Molecularly defined diffuse leptomeningeal glioneuronal tumor (DLGNT) comprises two subgroups with distinct clinical and genetic features. Acta Neuropathol. 2018, 136, 239–253. [Google Scholar] [CrossRef] [PubMed] [Green Version]
- Chiang, J.C.H.; Harreld, J.H.; Orr, B.A.; Sharma, S.; Ismail, A.; Segura, A.D.; Ellison, D.W. Low-grade spinal glioneuronal tumors with BRAF gene fusion and 1p deletion but without leptomeningeal dissemination. Acta Neuropathol. 2017, 134, 159–162. [Google Scholar] [CrossRef] [PubMed]
- Ko, M.W.; Turkeltaub, P.E.; Lee, E.B.; Gonatas, N.K.; Volpe, N.J.; Moster, M.L.; Galetta, S.L. Primary diffuse leptomeningeal gliomatosis mimicking a chronic inflammatory meningitis. J. Neurol. Sci. 2009, 278, 127–131. [Google Scholar] [CrossRef]
- Gilmer-Hill, H.S.; Ellis, W.G.; Imbesi, S.G.; Boggan, J.E. Spinal oligodendroglioma with gliomatosis in a child. Case report. J. Neurosurg. 2000, 92, 109–113. [Google Scholar] [CrossRef]
- Mittelbronn, M.; Wolff, M.; Bültmann, E.; Nägele, T.; Capper, D.; Beck, R.; Meyermann, R.; Beschorner, R. Disseminating anaplastic brainstem oligodendroglioma associated with allelic loss in the tumor suppressor candidate region D19S246 of chromosome 19 mimicking an inflammatory central nervous system disease in a 9-year-old boy. Hum. Pathol. 2005, 36, 854–857. [Google Scholar] [CrossRef]
- Gajjar, A.; Bhargava, R.; Jenkins, J.J.; Heideman, R.; Sanford, R.A.; Langston, J.W.; Walter, A.W.; Kuttesch, J.F.; Muhlbauer, M.; Kun, L.E. Low-grade astrocytoma with neuraxis dissemination at diagnosis. J. Neurosurg. 1995, 83, 67–71. [Google Scholar] [CrossRef]
- Smirniotopoulos, J.G.; Murphy, F.M.; Rushing, E.J.; Rees, J.H.; Schroeder, J.W. Patterns of contrast enhancement in the brain and meninges. Radiographics 2007, 27, 525–551. [Google Scholar] [CrossRef] [PubMed]
- Gaa, J.; Weidauer, S. Unusual differential diagnosis of leptomeningeal enhancement: Moyamoya disease. J. Neurol. Neurosurg. Psychiatry 2004, 75, 1170. [Google Scholar] [CrossRef] [PubMed] [Green Version]
- Ahmad, E.; Mohamed, M.; Vrettos, A. Primary diffuse leptomeningeal gliomatosis radiological/pathological features. Case Rep. Neurol. Med. 2016, 2016, 5016840–5016844. [Google Scholar] [CrossRef] [PubMed] [Green Version]
- Dodgshun, A.J.; SantaCruz, N.; Hwang, J.; Ramkissoon, S.H.; Malkin, H.; Bergthold, G.; Manley, P.; Chi, S.; MacGregor, D.; Goumnerova, L.; et al. Disseminated glioneuronal tumors occurring in childhood: Treatment outcomes and BRAF alterations including V600E mutation. J. Neurooncol. 2016, 128, 293–302. [Google Scholar] [CrossRef] [PubMed]
- Matsumura, N.; Yokoo, H.; Mao, Y.; Yin, W.; Nakazato, Y. Olig2-positive cells in glioneuronal tumors show both glial and neuronal characters: The implication of a common progenitor cell? Neuropathology 2013, 33, 246–255. [Google Scholar] [CrossRef] [PubMed]
- Aguilera, D.; Castellino, R.C.; Janss, A.; Schniederjan, M.; McNall, R.; MacDonald, T.; Mazewski, C. Clinical responses of patients with diffuse leptomeningeal glioneuronal tumors to chemotherapy. Childs Nerv. Syst. 2018, 34, 329–334. [Google Scholar] [CrossRef]










Publisher’s Note: MDPI stays neutral with regard to jurisdictional claims in published maps and institutional affiliations. |
© 2022 by the authors. Licensee MDPI, Basel, Switzerland. This article is an open access article distributed under the terms and conditions of the Creative Commons Attribution (CC BY) license (https://creativecommons.org/licenses/by/4.0/).
Share and Cite
Sarkinaite, M.; Devyziene, I.; Makstiene, J.; Matukevicius, A.; Gleizniene, R. Diffuse Leptomeningeal Glioneuronal Tumour with 9-Year Follow-Up: Case Report and Review of the Literature. Diagnostics 2022, 12, 342. https://doi.org/10.3390/diagnostics12020342
Sarkinaite M, Devyziene I, Makstiene J, Matukevicius A, Gleizniene R. Diffuse Leptomeningeal Glioneuronal Tumour with 9-Year Follow-Up: Case Report and Review of the Literature. Diagnostics. 2022; 12(2):342. https://doi.org/10.3390/diagnostics12020342
Chicago/Turabian StyleSarkinaite, Milda, Indre Devyziene, Jurgita Makstiene, Algimantas Matukevicius, and Rymante Gleizniene. 2022. "Diffuse Leptomeningeal Glioneuronal Tumour with 9-Year Follow-Up: Case Report and Review of the Literature" Diagnostics 12, no. 2: 342. https://doi.org/10.3390/diagnostics12020342
APA StyleSarkinaite, M., Devyziene, I., Makstiene, J., Matukevicius, A., & Gleizniene, R. (2022). Diffuse Leptomeningeal Glioneuronal Tumour with 9-Year Follow-Up: Case Report and Review of the Literature. Diagnostics, 12(2), 342. https://doi.org/10.3390/diagnostics12020342

