Splenic Torsion in Heterotaxy Syndrome with Left Isomerism: A Case Report and Literature Review
Abstract
1. Introduction
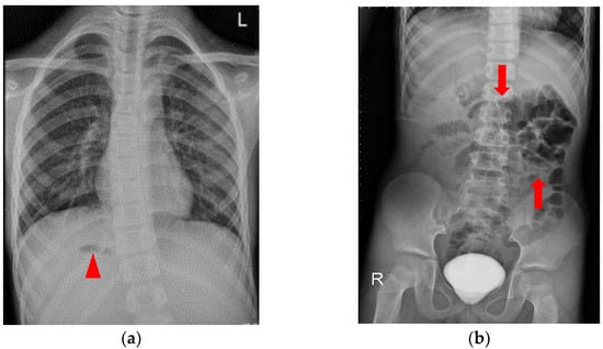
2. Detailed Case Description
3. Discussion
4. Conclusions
Supplementary Materials
Author Contributions
Funding
Institutional Review Board Statement
Informed Consent Statement
Data Availability Statement
Acknowledgments
Conflicts of Interest
References
- Varga, I.; Babala, J.; Kachlik, D. Anatomic variations of the spleen: Current state of terminology, classification, and embryological background. Surg. Radiol. Anat. 2018, 40, 21–29. [Google Scholar] [CrossRef] [PubMed]
- Anderson, R.H.; Spicer, D.E.; Loomba, R. Is an Appreciation of Isomerism the Key to Unlocking the Mysteries of the Cardiac Findings in Heterotaxy? J. Cardiovasc. Dev. Dis. 2018, 5, 11. [Google Scholar] [CrossRef] [PubMed]
- Lin, A.E.; Krikov, S.; Riehle-Colarusso, T.; Frías, J.L.; Belmont, J.; Anderka, M.; Geva, T.; Getz, K.D.; Botto, L.D.; the National Birth Defects Prevention Study. Laterality defects in the national birth defects prevention study (1998–2007): Birth prevalence and descriptive epidemiology. Am. J. Med. Genet. Part A 2014, 164, 2581–2591. [Google Scholar] [CrossRef] [PubMed]
- Mishra, S. Cardiac and Non-Cardiac Abnormalities in Heterotaxy Syndrome. Indian J. Pediatr. 2015, 82, 1135–1146. [Google Scholar] [CrossRef]
- Deng, H.; Xia, H.; Deng, S. Genetic basis of human left–right asymmetry disorders. Expert Rev. Mol. Med. 2015, 16, e19. [Google Scholar] [CrossRef]
- Kosaki, R.; Gebbia, M.; Kosaki, K.; Lewin, M.; Bowers, P.; Towbin, J.A.; Casey, B. Left-right axis malformations associated with mutations in ACVR2B, the gene for hu-man activin receptor type IIB. Am. J. Med. Genet. 1999, 82, 70–76. [Google Scholar] [CrossRef]
- Mohapatra, B.; Casey, B.; Li, H.; Ho-Dawson, T.; Smith, L.; Fernbach, S.D.; Molinari, L.; Niesh, S.R.; Jefferies, J.L.; Craigen, W.J.; et al. Identification and functional characterization of NODAL rare variants in heterotaxy and isolated cardiovascular malformations. Hum. Mol. Genet. 2009, 18, 861–871. [Google Scholar] [CrossRef]
- Bedard, J.E.J.; Haaning, A.M.; Ware, S.M. Identification of a Novel ZIC3 Isoform and Mutation Screening in Patients with Heterotaxy and Congenital Heart Disease. PLoS ONE 2011, 6, e23755. [Google Scholar] [CrossRef]
- Bellchambers, H.M.; Ware, S.M. ZIC3 in Heterotaxy. Adv. Exp. Med. Biol. 2018, 1046, 301–327. [Google Scholar] [CrossRef]
- Wu, M.-H.; Wang, J.-K.; Chiu, S.-N.; Tseng, W.-C.; Lu, C.-W.; Lin, H.-C.; Lin, M.-T.; Chen, C.-A. Twin atrioventricular nodes, arrhythmias, and survival in pediatric and adult patients with heterotaxy syndrome. Heart Rhythm 2021, 18, 605–612. [Google Scholar] [CrossRef]
- Buca, D.I.P.; Khalil, A.; Rizzo, G.; Familiari, A.; Di Giovanni, S.; Liberati, M.; Murgano, D.; Ricciardulli, A.; Fanfani, F.; Scambia, G.; et al. Outcome of prenatally diagnosed fetal heterotaxy: Systematic review and meta-analysis. Ultrasound Obstet. Gynecol. 2018, 51, 323–330. [Google Scholar] [CrossRef] [PubMed]
- Bartram, U.; Wirbelauer, J.; Speer, C.P. Heterotaxy Syndrome–Asplenia and Polysplenia as Indicators of Visceral Malposition and Complex Congenital Heart Disease. Neonatology 2005, 88, 278–290. [Google Scholar] [CrossRef] [PubMed]
- Sharma, M.S.; Guleserian, K.J.; Forbess, J.M. Ladd’s Procedure in Functional Single Ventricle and Heterotaxy Syndrome: Does Timing Affect Outcome? Ann. Thorac. Surg. 2013, 95, 1403–1408. [Google Scholar] [CrossRef] [PubMed]
- Tawfik, A.M.; Batouty, N.; Zaky, M.M.; Eladalany, M.A.; Elmokadem, A.H. Polysplenia syndrome: A review of the relationship with viscero-atrial situs and the spectrum of extra-cardiac anomalies. Surg. Radiol. Anat. 2013, 35, 647–653. [Google Scholar] [CrossRef]
- Hong, Y.K.; Park, Y.W.; Ryu, S.J.; Won, J.W.; Choi, J.Y.; Sul, J.H.; Lee, S.K.; Cho, B.K.; Choe, K.O. Efficacy of MRI in Complicated Congenital Heart Disease with Visceral Heterotaxy Syndrome. J. Comput. Assist. Tomogr. 2000, 24, 671–682. [Google Scholar] [CrossRef]
- Martin, A. A Successful Case of Splenotomy. BMJ 1878, 1, 191–192. [Google Scholar] [CrossRef][Green Version]
- Wang, Z.; Zhao, Q.; Huang, Y.; Mo, Z.; Tian, Z.; Yang, F.; Wang, Y.; Yao, L. Wandering spleen with splenic torsion in a toddler. Medicine 2020, 99, e22063. [Google Scholar] [CrossRef]
- Guglietta, P.M.; Moran, C.J.; Ryan, D.P.; Sagar, P.; Huck, A.E. Case 3-2016. N. Engl. J. Med. 2016, 374, 373–382. [Google Scholar] [CrossRef]
- Bough, G.M.; Gargan, K.E.; Cleeve, S.J.; Farrell, S. Diagnosis, management and outcome of splenic torsion; A systematic review of published studies. Surgeon 2021, 20, e296–e305. [Google Scholar] [CrossRef]
- Hosseini, A.S.A.; Streit, U.; Uhlig, J.; Biggemann, L.; Kahl, F.; Ahmed, S.; Markus, D. Splenic torsion with involvement of pancreas and descending colon in a 9-year-old boy. BJR Case Rep. 2018, 5, 20180051. [Google Scholar] [CrossRef]
- Wang, Z.; Peng, C.; Wu, D.; Wang, K.; Chen, Y. Diagnosis and treatment of splenic torsion in children: Preoperative thrombocytosis predicts splenic infarction. BMC Pediatr. 2022, 22, 440. [Google Scholar] [CrossRef] [PubMed]
- Palanivelu, C.; Rangarajan, M.; Senthilkumar, R.; Parthasarathi, R.; Kavalakat, A.J. Laparoscopic Mesh Splenopexy (Sandwich Technique) for Wandering Spleen. JSLS J. Soc. Laparoendosc. Surg. 2007, 11, 246–251. [Google Scholar]
- Thambidorai, C.R.; Imtiaz, A.; Nafiqudin, M. Torsion of a wandering spleen with whorled appearance of the splenic hilum in CT scan. Med. J. Malays. 2005, 60, 653–654. [Google Scholar]
- Fukuzawa, H.; Urushihara, N.; Ogura, K.; Miyazaki, E.; Matsuoka, T.; Fukumoto, K.; Kimura, S.; Mitsunaga, M.; Hasegawa, S. Laparoscopic splenopexy for wandering spleen: Extraperitoneal pocket splenopexy. Pediatr. Surg. Int. 2006, 22, 931–934. [Google Scholar] [CrossRef]
- Kyaw, M.H.; Holmes, E.M.; Toolis, F.; Wayne, B.; Chalmers, J.; Jones, I.G.; Campbell, H. Evaluation of Severe Infection and Survival After Splenectomy. Am. J. Med. 2006, 119, 276.e1–276.e7. [Google Scholar] [CrossRef]
- Kristinsson, S.Y.; Gridley, G.; Hoover, R.N.; Check, D.; Landgren, O. Long-term risks after splenectomy among 8149 cancer-free American veterans: A cohort study with up to 27 years follow-up. Haematologica 2013, 99, 392–398. [Google Scholar] [CrossRef]
- Fujiwara, M.; Abe, Y.; Kodera, A.; Kitada, K.; Araki, T. Splenic torsion and polysplenia syndrome in a 10-year-old girl. Pediatr. Int. 2019, 61, 192–193. [Google Scholar] [CrossRef]
- Lachmann, R.; Loff, S.; Düber, C.; Neff, K.W. Visceral heterotaxia with polysplenia syndrome and haemorrhagic splenic infarction as a rare cause of the acute paediatric abdomen. Pediatr. Radiol. 2006, 36, 572–573. [Google Scholar] [CrossRef]
- Ackerman, N.B.; Smith, M.D.; Strobel, C.T.; Wheller, J.J. Splenic Torsion in the Polysplenia Syndrome. South. Med. J. 1982, 75, 897–898. [Google Scholar] [CrossRef]
- Rasool, F.; Mirza, B. Polysplenia syndrome associated with situs inversus abdominus and type I jejunal atresia. APSP J. Case Rep. 2011, 2, 18. [Google Scholar] [PubMed]
- Dash, M.R.; Upasani, A.V.; Chandna, S.B.; Rathod, P.B.; Prajapati, K.K.; Patel, D.N. Splenic Torsion in a Child with Polysplenia and Situs Inversus: A Very Rare Presentation. Indian J. Surg. 2013, 75, 236–237. [Google Scholar] [CrossRef] [PubMed][Green Version]
- Sanders, S.P.; Geva, T. Classifying Heterotaxy Syndrome. Circ. Cardiovasc. Imaging 2018, 11, e007490. [Google Scholar] [CrossRef] [PubMed]
- Yim, D.; Nagata, H.; Lam, C.Z.; Grosse-Wortmann, L.; Seed, M.; Jaeggi, E.; Yoo, S.-J. Disharmonious Patterns of Heterotaxy and Isomerism. Circ. Cardiovasc. Imaging 2018, 11, e006917. [Google Scholar] [CrossRef] [PubMed]
- Kubo, H.; Yamaoka, N.; Tamai, M.; Kamiya, H.; Kamada, Y.; Nagata, T.; Fukuda, K.-I.; Otsuji, E. Laparoscopic splenectomy for polysplenia with splenic torsion: A case report. Surg. Case Rep. 2019, 5, 28. [Google Scholar] [CrossRef] [PubMed]
- Hill, S.J.; Heiss, K.F.; Mittal, R.; Clabby, M.L.; Durham, M.M.; Ricketts, R.; Wulkan, M.L. Heterotaxy syndrome and malrotation: Does isomerism influence risk and decision to treat. J. Pediatr. Surg. 2014, 49, 934–937. [Google Scholar] [CrossRef]
- Jacobs, J.P.; Anderson, R.H.; Weinberg, P.M.; Walters, H.L.; Tchervenkov, C.I.; Del Duca, D.; Franklin, R.C.G.; Aiello, V.D.; Béland, M.J.; Colan, S.D.; et al. The nomenclature, definition and classification of cardiac structures in the setting of heterotaxy. Cardiol. Young 2007, 17 (Suppl. S2), 1–28. [Google Scholar] [CrossRef]
- Van Praagh, R.; Van Praagh, S. Atrial isomerism in the heterotaxy syndromes with asplenia, or polysplenia, or normally formed spleen: An erroneous concept. Am. J. Cardiol. 1990, 66, 1504–1506. [Google Scholar] [CrossRef]
- Macartney, F.J.; Zuberbuhler, J.R.; Anderson, R.H. Morphological considerations pertaining to recognition of atrial isomerism. Consequences for sequential chamber localisation. Heart 1980, 44, 657–667. [Google Scholar] [CrossRef]
- Kim, S.-J. Heterotaxy Syndrome. Korean Circ. J. 2011, 41, 227–232. [Google Scholar] [CrossRef]
- Ware, A.L.; Miller, D.V.; Porter, C.-B.J.; Edwards, W.D. Characterization of atrial morphology and sinus node morphology in heterotaxy syndrome: An autopsy-based study of 41 cases (1950–2008). Cardiovasc. Pathol. 2012, 21, 421–427. [Google Scholar] [CrossRef]
- Swaminathan, S.; Parthiban, A. Progressive fetal atrioventricular block in heterotaxy syndrome. Cardiol. Young 2007, 17, 432–434. [Google Scholar] [CrossRef] [PubMed]
- Sivakumar, K.; Singhi, A.K.; Pradhan, P.; Agarwal, R. Juxtaposed atrial appendages: A curiosity with some clinical relevance. Ann. Pediatr. Cardiol. 2016, 9, 186–189. [Google Scholar] [CrossRef] [PubMed]





| References | Age | Gender | Total Number of Spleens (Torsion Spleens) | Associating Anomalies |
|---|---|---|---|---|
| Ackerman et al., 1982 [29] | 7 | F | 3 (1) | VSD, Malrotation, |
| Lachmann et al., 2006 [28] | 9 | F | No description (1) | Right-sided IVC |
| Rasool 2011 [30] | 2 days | F | 7 (1) | Type I jejunal atesia, malrotation |
| Dash et al., 2013 [31] | 12 | M | 5 (1) | Dextrocardia |
| Fujiwara M et al., 2019 [27] | 10 | F | 2 (1) | AVSD |
| Morphological Features | Left Isomerism | Right Isomerism | |
|---|---|---|---|
| Cardiovascular and pulmonary anomalies | Heart position | Any position (Dextrocardia, Mesocardia, Levocardia) | Mesocardia is common; can be on either side (left or right) |
| Atrial appendage | Both atrial appendages are of left atrial morphology | Both atrial appendages are of right atrial morphology | |
| Atrial septum | From intact septum to common atrium | Usually large primum and secundum ASD | |
| Atrioventricular valve | Two valves or AVSD type | Single or atresia | |
| Ventricle position | D-looping | Inverted | |
| Great arteries position | Generally normal; TGA, DORV are occasional (50%) | TGA, DORV are common (>90%) | |
| Ventricular outflow obstruction |
|
| |
| Conduction system | Sinoatrial node may be absent (bradycardia/AV block) | Two sinoatrial nodes may be present (tachyarrhythmias) | |
| Pulmonary veins | Can be normal; PAPVC (> 50%), TAPVC (around 10%) | Obstructed TAPVC (>50%) | |
| Lung and bronchi | Bilateral bilobed lung with hyparterial bronchi (90%) | Bilateral trilobed lung with eparterial bronchi (90%) | |
| Systemic veins |
|
| |
| Anomalies in abdominal cavity | Spleen | Multiple (polysplenia) | Absent (asplenia) |
| Liver | Midline (asymmetrical) | Midline (symmetrical) | |
| Stomach | Usually right-sided | Near midline (right or left) | |
| Bowel malrotation | Common | More common |
Publisher’s Note: MDPI stays neutral with regard to jurisdictional claims in published maps and institutional affiliations. |
© 2022 by the authors. Licensee MDPI, Basel, Switzerland. This article is an open access article distributed under the terms and conditions of the Creative Commons Attribution (CC BY) license (https://creativecommons.org/licenses/by/4.0/).
Share and Cite
Cheang, I.N.; Fu, Y.-W.; Chin, T.-W.; Hsu, Y.-J.; Wu, C.-Y. Splenic Torsion in Heterotaxy Syndrome with Left Isomerism: A Case Report and Literature Review. Diagnostics 2022, 12, 2920. https://doi.org/10.3390/diagnostics12122920
Cheang IN, Fu Y-W, Chin T-W, Hsu Y-J, Wu C-Y. Splenic Torsion in Heterotaxy Syndrome with Left Isomerism: A Case Report and Literature Review. Diagnostics. 2022; 12(12):2920. https://doi.org/10.3390/diagnostics12122920
Chicago/Turabian StyleCheang, I Nok, Yu-Wei Fu, Tai-Wai Chin, Yao-Jen Hsu, and Chin-Yen Wu. 2022. "Splenic Torsion in Heterotaxy Syndrome with Left Isomerism: A Case Report and Literature Review" Diagnostics 12, no. 12: 2920. https://doi.org/10.3390/diagnostics12122920
APA StyleCheang, I. N., Fu, Y.-W., Chin, T.-W., Hsu, Y.-J., & Wu, C.-Y. (2022). Splenic Torsion in Heterotaxy Syndrome with Left Isomerism: A Case Report and Literature Review. Diagnostics, 12(12), 2920. https://doi.org/10.3390/diagnostics12122920

