Brain Imaging in Epilepsy-Focus on Diffusion-Weighted Imaging
Abstract
1. Introduction
2. Scope of Review
3. DWI: Basic Concept
4. DWI and Epilepsy
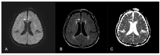
4.1. Cytotoxic, Ionic, and Vasogenic Edema
4.2. Peri-ictal or Postictal MRI Changes
4.3. SRMA
4.3.1. Duration
4.3.2. Frequency
4.3.3. Location
4.3.4. Localization
4.3.5. SE
4.3.6. Is DWI Necessary in Routine MRI in Epilepsy?
5. DWI and Epilepsy Surgery
5.1. Motor Function Evaluation
5.2. Visual Field Evaluation
5.3. Language Evaluation
5.4. Presurgical Differential Diagnosis
6. Clinical Aspects of DWI in Epilepsy
6.1. Differential Diagnosis
6.1.1. Acute Ischemic Stroke
6.1.2. Transient Epileptic Amnesia and Transient Global Amnesia
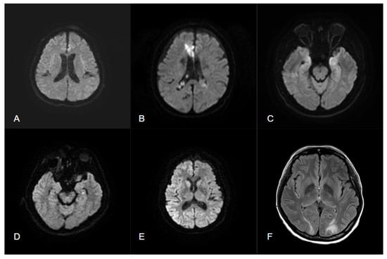
6.1.3. Limbic Encephalitis
| DWI Location | DWI Change in Time | T2 FLAIR | Other Features | |
|---|---|---|---|---|
| Epilepsy | - Commonly involves (1) cortex, (2) subcortical region, (3) hippocampus, (4) claustrum, (5) splenium (6) pulvinar - Nonvascular distribution | Hyperintensity can occur within hours and resolve within days to weeks depending on severity and etiologies | Hyperintensities may appear if structural lesions exist or irreversible cell death occurs | Absent vascular occlusion |
| Ischemic stroke | Distributed within vascular territories | Hyperintensities can occur within minutes and reach a peak after days before gradually reducing | Hyperintensities persist in the ischemia sites for years | DWI reversal may occur after early reperfusion with t-PA or endovascular therapy |
| limbic encephalitis | May involve uncus, amygdala, hippocampus | Nonspecific patterns (requires further research) | Autoimmune: bilateral mesial temporal lobe Infectious: unilateral temporal lobe, insular involvement, absence of basal ganglion. | Two patterns raise concerns regarding seizure: (A) gyriform hippocampal restriction and (B) diffuse hippocampal diffusion restriction that spares the most medial temporal lobe structures |
| Transient global amnesia | - Dot-like hyperintense lesions 1–2 mm in diameter - Commonly in the lateral aspect of the hippocampus (CA-1 region) | Hyperintensity appears with a delay of 24–48 h after onset | Hyperintensities highly detected 2–4 days after onset | |
| CJD | - Mainly affects striatum and cortex - Gyriform hyperintensity correlates to location of periodic sharp-wave complex on EEG | Hyperintensity appears 0.5–7 (mean: 1.6) months after symptoms onset, is progressive and persistent over months, then disappears in the end phase | Isointensity to mild hyperintensity (DWI > T2 FLAIR) | Pulvinar sign (symmetrical hyperintensity in the posterior thalamic nuclei on DWI or T2WI) or hockey stick sign (affecting the dorsomedial thalamic nuclei) specific in vCJD, sometimes in sCJD |
| PRES | Similar to T2WI | Hypointense to isointense | - Hyperintensities appear in the parieto-occipital, posterior frontal cortex, white matter - Less commonly in the brainstem, basal ganglia, and cerebellum | DWI and ADC hyperintensity indicate vasogenic edema |
6.1.4. Creutzfeldt–Jakob Disease
6.1.5. Posterior Reversible Encephalopathy Syndrome
6.2. As a Prognostic Marker
7. Conclusions
Author Contributions
Funding
Institutional Review Board Statement
Informed Consent Statement
Data Availability Statement
Conflicts of Interest
References
- Fiest, K.M.; Sauro, K.M.; Wiebe, S.; Patten, S.B.; Kwon, C.S.; Dykeman, J.; Pringsheim, T.; Lorenzetti, D.L.; Jetté, N. Prevalence and incidence of epilepsy: A systematic review and meta-analysis of international studies. Neurology 2017, 88, 296–303. [Google Scholar] [CrossRef] [PubMed]
- Sultana, B.; Panzini, M.A.; Veilleux, C.A.; Comtois, J.; Rioux, B.; Gore, G.; Bauer, P.R.; Kwon, C.S.; Jetté, N.; Josephson, C.B.; et al. Incidence and Prevalence of Drug-Resistant Epilepsy: A Systematic Review and Meta-analysis. Neurology 2021, 96, 805–817. [Google Scholar] [CrossRef] [PubMed]
- Guery, D.; Rheims, S. Clinical Management of Drug Resistant Epilepsy: A Review on Current Strategies. Neuropsychiatr. Dis. Treat. 2021, 17, 2229–2242. [Google Scholar] [CrossRef] [PubMed]
- Carr, H.Y.; Purcell, E.M. Effects of diffusion on free precession in nuclear magnetic resonance experiments. Phys. Rev. 1954, 94, 630–638. [Google Scholar] [CrossRef]
- Stejskal, E.O.; Tanner, J. Spin diffusion measurements: Spin echoes in the presence of a time-dependent field gradient. J. Chem. Phys. 1965, 42, 288. [Google Scholar] [CrossRef]
- Huisman, T.A. Diffusion-weighted and diffusion tensor imaging of the brain, made easy. Cancer Imaging 2010, 10, S163–S171. [Google Scholar] [CrossRef]
- Le Bihan, D.; Breton, E.; Lallemand, D.; Grenier, P.; Cabanis, E.; Laval, J.M. MR imaging of intravoxel incoherent motions: Application to diffusion and perfusion in neurologic disorders. Radiology 1986, 161, 401–407. [Google Scholar] [CrossRef]
- Crank, J. The Mathematics of Diffusion; Oxford University Press: New York, NY, USA, 1956. [Google Scholar]
- Le Bihan, D.; Turner, R. The capillary network: A link between IVIM and classical perfusion. Magn. Reson. Med. 1992, 27, 171–178. [Google Scholar] [CrossRef]
- Jeurissen, B.; Descoteaux, M.; Mori, S.; Leemans, A. Diffusion MRI fiber tractography of the brain. NMR Biomed. 2019, 32, e3785. [Google Scholar] [CrossRef]
- Wang, I.; Bernasconi, A.; Bernhardt, B.; Blumenfeld, H.; Cendes, F.; Chinvarun, Y.; Jackson, G.; Morgan, V.; Rampp, S.; Vaudano, A.E.; et al. MRI essentials in epileptology: A review from the ILAE Imaging Taskforce. Epileptic. Disord. 2020, 22, 421–437. [Google Scholar] [CrossRef]
- Gass, A.; Ay, H.; Szabo, K.; Koroshetz, W.J. Diffusion-weighted MRI for the ‘small stuff’: The details of acute cerebral ischaemia. Lancet Neurol. 2004, 3, 39–45. [Google Scholar] [CrossRef]
- Gass, A.; Niendorf, T.; Hirsch, J.G. Acute and chronic changes of the apparent diffusion coefficient in neurological disorders–biophysical mechanisms and possible underlying histopathology. J. Neurol. Sci. 2001, 186, S15–S23. [Google Scholar] [CrossRef]
- Hiwatashi, A.; Kinoshita, T.; Moritani, T.; Wang, H.Z.; Shrier, D.A.; Numaguchi, Y.; Ekholm, S.E.; Westesson, P.L. Hypointensity on diffusion-weighted MRI of the brain related to T2 shortening and susceptibility effects. AJR Am. J. Roentgenol. 2003, 181, 1705–1709. [Google Scholar] [CrossRef]
- Hjort, N.; Christensen, S.; Sølling, C.; Ashkanian, M.; Wu, O.; Røhl, L.; Gyldensted, C.; Andersen, G.; Østergaard, L. Ischemic injury detected by diffusion imaging 11 minutes after stroke. Ann. Neurol. 2005, 58, 462–465. [Google Scholar] [CrossRef]
- Lansberg, M.G.; Thijs, V.N.; O’Brien, M.W.; Ali, J.O.; de Crespigny, A.J.; Tong, D.C.; Moseley, M.E.; Albers, G.W. Evolution of apparent diffusion coefficient, diffusion-weighted, and T2-weighted signal intensity of acute stroke. Am. J. Neuroradiol. 2001, 22, 637–644. [Google Scholar]
- Eastwood, J.D.; Engelter, S.T.; MacFall, J.F.; Delong, D.M.; Provenzale, J.M. Quantitative assessment of the time course of infarct signal intensity on diffusion-weighted images. Am. J. Neuroradiol. 2003, 24, 680–687. [Google Scholar]
- Liang, D.; Bhatta, S.; Gerzanich, V.; Simard, J.M. Cytotoxic edema: Mechanisms of pathological cell swelling. Neurosurg. Focus. 2007, 15, E2. [Google Scholar] [CrossRef]
- Kimelberg, H.K. Current concepts of brain edema. Review of laboratory investigations. J. Neurosurg. 1995, 83, 1051–1059. [Google Scholar] [CrossRef]
- Michinaga, S.; Koyama, Y. Pathogenesis of brain edema and investigation into anti-edema drugs. Int. J. Mol. Sci. 2015, 30, 9949–9975. [Google Scholar] [CrossRef]
- Heinemann, U.; Eder, C. Control of neuronal excitability. Epilepsy A Compr. Textb. 1998, 13, 237–250. [Google Scholar] [CrossRef]
- Parmar, H.; Lim, S.H.; Tan, N.C.; Lim, C.C. Acute symptomatic seizures and hippocampus damage: DWI and MRS findings. Neurology 2006, 13, 1732–1735. [Google Scholar] [CrossRef]
- Wieshmann, U.C.; Symms, M.R.; Shorvon, S.D. Diffusion changes in status epilepticus. Lancet 1997, 350, 493–494. [Google Scholar] [CrossRef]
- Salmenpera, T.M.; Symms, M.R.; Boulby, P.A.; Barker, G.J.; Duncan, J.S. Postictal diffusion weighted imaging. Epilepsy Res. 2006, 70, 133–143. [Google Scholar] [CrossRef]
- Hübers, A.; Thoma, K.; Schocke, M.; Fauser, S.; Ludolph, A.C.; Kassubek, J.; Pinkhardt, E.H. Acute DWI reductions in patients after single epileptic seizures–more common than assumed. Front. Neurol. 2018, 9, 550. [Google Scholar] [CrossRef]
- Williams, J.A.; Bede, P.; Doherty, C.P. An exploration of the spectrum of peri-ictal MRI change; a comprehensive literature review. Seizure 2017, 50, 19–32. [Google Scholar] [CrossRef] [PubMed]
- Mariajoseph, F.P.; Sagar, P.; Muthusamy, S.; Amukotuwa, S.; Seneviratne, U. Seizure-induced reversible MRI abnormalities in status epilepticus: A systematic review. Seizure 2021, 92, 166–173. [Google Scholar] [CrossRef] [PubMed]
- Hufnagel, A.; Weber, J.; Marks, S.; Ludwig, T.; De Greiff, A.; Leonhardt, G.; Widmann, G.; Stolke, D.; Forsting, M. Brain diffusion after single seizures. Epilepsia 2003, 44, 54–63. [Google Scholar] [CrossRef] [PubMed]
- Gelisse, P.; Crespel, A.; Genton, P.; Jallon, P.; Kaplan, P.W. Lateralized Periodic Discharges: Which patterns are interictal, ictal, or peri-ictal? Clin. Neurophysiol. 2021, 132, 1593–1603. [Google Scholar] [CrossRef]
- Kim, S.E.; Lee, B.I.; Shin, K.J.; Ha, S.Y.; Park, J.; Park, K.M.; Kim, H.C.; Lee, J.; Bae, S.Y.; Lee, D.; et al. Characteristics of seizure-induced signal changes on MRI in patients with first seizures. Seizure 2017, 48, 62–68. [Google Scholar] [CrossRef]
- Labate, A.; Gambardella, A.; Aguglia, U.; Condino, F.; Ventura, P.; Lanza, P.; Quattrone, A. Temporal lobe abnormalities on brain MRI in healthy volunteers: A prospective case-control study. Neurology 2010, 74, 553–557. [Google Scholar] [CrossRef]
- Huang, Y.C.; Weng, H.H.; Tsai, Y.T.; Huang, Y.C.; Hsiao, M.C.; Wu, C.Y.; Lin, Y.H.; Hsu, H.L.; Lee, J.D. Periictal magnetic resonance imaging in status epilepticus. Epilepsy Res. 2009, 86, 72–81. [Google Scholar] [CrossRef]
- Capecchi, F.; Mothersill, I.; Imbach, L.L. The medial pulvinar as a subcortical relay in temporal lobe status epilepticus. Seizure 2020, 81, 276–279. [Google Scholar] [CrossRef]
- Bank, A.M.; Kuzniecky, R.; Knowlton, R.C.; Cascino, G.D.; Jackson, G.; Pardoe, H.R. Structural Neuroimaging in Adults and Adolescents With Newly Diagnosed Focal Epilepsy: The Human Epilepsy Project. Neurology 2022, 19. [Google Scholar] [CrossRef]
- Chatzikonstantinou, A.; Gass, A.; Förster, A.; Hennerici, M.G.; Szabo, K. Features of acute DWI abnormalities related to status epilepticus. Epilepsy Res. 2011, 97, 45–51. [Google Scholar] [CrossRef]
- Lansberg, M.G.; O’Brien, M.W.; Norbash, A.M.; Moseley, M.E.; Morrell, M.; Albers, G.W. MRI abnormalities associated with partial status epilepticus. Neurology 1999, 52, 1021–1027. [Google Scholar] [CrossRef]
- Diehl, B.; Najm, I.; Ruggieri, P.; Tkach, J.; Mohamed, A.; Morris, H.; Wyllie, E.; Fisher, E.; Duda, J.; Lieber, M.; et al. Postictal diffusion-weighted imaging for the localization of focal epileptic areas in temporal lobe epilepsy. Epilepsia 2001, 42, 21–28. [Google Scholar] [CrossRef]
- Raghavendra, S.; Ashalatha, R.; Krishnamoorthy, T.; Kesavadas, C.; Thomas, S.V.; Radhakrishnan, K. Reversible periictal MRI abnormalities: Clinical correlates and long-term outcome in 12 patients. Epilepsy Res. 2007, 73, 129–136. [Google Scholar] [CrossRef]
- Fountain, N.B. Status epilepticus: Risk factors and complications. Epilepsia 2000, 41, S23–S30. [Google Scholar] [CrossRef]
- Mariajoseph, F.P.; Muthusamy, S.; Amukotuwa, S.; Seneviratne, U. Seizure-induced reversible MRI abnormalities in patients with single seizures: A systematic review. Epileptic Disord. 2021, 1, 552–562. [Google Scholar] [CrossRef]
- Farquharson, S.; Tournier, J.D.; Calamante, F.; Fabinyi, G.; Schneider-Kolsky, M.; Jackson, G.D.; Connelly, A. White matter fiber tractography: Why we need to move beyond DTI. J. Neurosurg. 2013, 118, 1367–1377. [Google Scholar] [CrossRef]
- Jones, D.K.; Knösche, T.R.; Turner, R. White matter integrity, fiber count, and other fallacies: The do’s and don’ts of diffusion MRI. Neuroimage 2013, 73, 239–254. [Google Scholar] [CrossRef] [PubMed]
- Duncan, J.S.; Winston, G.P.; Koepp, M.J.; Ourselin, S. Brain imaging in the assessment for epilepsy surgery. Lancet Neurol. 2016, 15, 420–433. [Google Scholar] [CrossRef]
- Kumar, A.; Juhasz, C.; Asano, E.; Sundaram, S.K.; Makki, M.I.; Chugani, D.C.; Chugani, H.T. Diffusion tensor imaging study of the cortical origin and course of the corticospinal tract in healthy children. Am. J. Neuroradiol. 2009, 30, 1963–1970. [Google Scholar] [CrossRef] [PubMed]
- Jeong, J.W.; Asano, E.; Juhász, C.; Chugani, H.T. Quantification of primary motor pathways using diffusion MRI tractography and its application to predict postoperative motor deficits in children with focal epilepsy. Hum. Brain Mapp. 2014, 35, 3216–3226. [Google Scholar] [CrossRef] [PubMed]
- Pathak-Ray, V.; Ray, A.; Walters, R.; Hatfield, R. Detection of visual field defects in patients after anterior temporal lobectomy for mesial temporal sclerosis-establishing eligibility to drive. Eye 2002, 16, 744–748. [Google Scholar] [CrossRef]
- Winston, G.P. Epilepsy surgery, vision, and driving: What has surgery taught us and could modern imaging reduce the risk of visual deficits? Epilepsia 2013, 54, 1877–1888. [Google Scholar] [CrossRef]
- Brown, E.C.; Jeong, J.W.; Muzik, O.; Rothermel, R.; Matsuzaki, N.; Juhász, C.; Sood, S.; Asano, E. Evaluating the arcuate fasciculus with combined diffusion weighted MRI tractography and electrocorticography. Hum. Brain Mapp. 2014, 35, 2333–2347. [Google Scholar] [CrossRef][Green Version]
- Bernal, B.; Ardila, A. The role of the arcuate fasciculus in conduction aphasia. Brain 2009, 132, 2309–2316. [Google Scholar] [CrossRef]
- Catani, M.; Jones, D.K.; ffytche, D.H. Perisylvian language networks of the human brain. Ann. Neurol. 2005, 57, 8–16. [Google Scholar] [CrossRef]
- Hamberger, M.J.; Cole, J. Language organization and reorganization in epilepsy. Neuropsychol. Rev. 2011, 21, 240–251. [Google Scholar] [CrossRef]
- Jeong, J.W.; Asano, E.; Juhász, C.; Chugani, H.T. Localization of specific language pathways using diffusion-weighted imaging tractography for presurgical planning of children with intractable epilepsy. Epilepsia 2015, 56, 49–57. [Google Scholar] [CrossRef]
- Fellah, S.; Callot, V.; Viout, P.; Confort-Gouny, S.; Scavarda, D.; Dory-Lautrec, P.; Figarella-Branger, D.; Cozzone, P.J.; Girard, N. Epileptogenic brain lesions in children: The added-value of combined diffusion imaging and proton MR spectroscopy to the presurgical differential diagnosis. Childs. Nerv. Syst. 2012, 28, 273–282. [Google Scholar] [CrossRef]
- Pohl, M.; Hesszenberger, D.; Kapus, K.; Meszaros, J.; Feher, A.; Varadi, I.; Pusch, G.; Fejes, E.; Tibold, A.; Feher, G. Ischemic stroke mimics: A comprehensive review. J. Clin. Neurosci. 2021, 93, 174–182. [Google Scholar] [CrossRef]
- Adam, C.; Rouleau, I.; Saint-Hilaire, J.M. Postictal aphasia and paresis: A clinical and intracerebral EEG study. Can. J. Neurol. Sci. 2000, 27, 49–54. [Google Scholar] [CrossRef]
- Feher, G.; Gurdan, Z.; Gombos, K.; Koltai, K.; Pusch, G.; Tibold, A.; Szapary, L. Early seizures after ischemic stroke: Focus on thrombolysis. CNS Spectr. 2020, 25, 101–113. [Google Scholar] [CrossRef]
- Polymeris, A.A.; Curtze, S.; Erdur, H.; Hametner, C.; Heldner, M.R.; Groot, A.E.; Zini, A.; Béjot, Y.; Dietrich, A.; Martinez-Majander, N.; et al. Intravenous thrombolysis for suspected ischemic stroke with seizure at onset. Ann. Neurol. 2019, 86, 770–779. [Google Scholar] [CrossRef]
- Tobin, W.O.; Hentz, J.G.; Bobrow, B.J.; Demaerschalk, B.M. Identification of stroke mimics in the emergency department setting. J. Brain. Dis. 2009, 1, 19–22. [Google Scholar] [CrossRef]
- Arena, J.E.; Rabinstein, A.A. Transient global amnesia. Mayo Clin. Proc. 2015, 90, 264–272. [Google Scholar] [CrossRef]
- Bartsch, T.; Deuschl, G. Transient global amnesia: Functional anatomy and clinical implications. Lancet Neurol. 2010, 9, 205–214. [Google Scholar] [CrossRef]
- You, S.H.; Kim, B.; Kim, B.K. Transient global amnesia: Signal alteration in 2D/3D T2-FLAIR sequences. Clin. Imaging 2021, 78, 154–159. [Google Scholar] [CrossRef]
- Chow, F.C.; Glaser, C.A.; Sheriff, H.; Xia, D.; Messenger, S.; Whitley, R.; Venkatesan, A. Use of clinical and neuroimaging characteristics to distinguish temporal lobe herpes simplex encephalitis from its mimics. Clin. Infect. Dis. 2015, 60, 1377–1383. [Google Scholar] [CrossRef] [PubMed]
- Förster, A.; Griebe, M.; Gass, A.; Kern, R.; Hennerici, M.G.; Szabo, K. Diffusion-weighted imaging for the differential diagnosis of disorders affecting the hippocampus. Cerebrovasc. Dis. 2012, 33, 104–115. [Google Scholar] [CrossRef] [PubMed]
- Budhram, A.; Britton, J.W.; Liebo, G.B.; Dubey, D.; Zekeridou, A.; Flanagan, E.P.; McKeon, A.; Pittock, S.J.; Braksick, S.A.; Zalewski, N.L. Use of diffusion-weighted imaging to distinguish seizure-related change from limbic encephalitis. J. Neurol. 2020, 267, 3337–3342. [Google Scholar] [CrossRef] [PubMed]
- Ironside, J.W.; Ritchie, D.L.; Head, M.W. Prion diseases. Handb. Clin. Neurol. 2017, 145, 393–403. [Google Scholar] [CrossRef] [PubMed]
- Iwasaki, Y.; Mimuro, M.; Yoshida, M.; Sobue, G.; Hashizume, Y. Clinical diagnosis of Creutzfeldt-Jakob disease: Accuracy based on analysis of autopsy-confirmed cases. J. Neurol. Sci. 2009, 277, 119–123. [Google Scholar] [CrossRef] [PubMed]
- Iwasaki, Y.; Tatsumi, S.; Mimuro, M.; Kitamoto, T.; Hashizume, Y.; Yoshida, M. Relation between clinical findings and progression of cerebral cortical pathology in MM1-type sporadic Creutzfeldt-Jakob disease: Proposed staging of cerebral cortical pathology. J. Neurol. Sci. 2014, 341, 97–104. [Google Scholar] [CrossRef]
- Tetsuka, S.; Ogawa, T. Posterior reversible encephalopathy syndrome: A review with emphasis on neuroimaging characteristics. J. Neurol. Sci. 2019, 15, 72–79. [Google Scholar] [CrossRef]
- Ay, H.; Buonanno, F.S.; Schaefer, P.W.; Le, D.A.; Wang, B.; Gonzalez, R.G.; Koroshetz, W.J. Posterior leukoencephalopathy without severe hypertension: Utility of diffusion-weighted MRI. Neurology 1998, 51, 1369–1376. [Google Scholar] [CrossRef]
- Fischer, M.; Schmutzhard, E. Posterior reversible encephalopathy syndrome. J. Neurol. 2017, 264, 1608–1616. [Google Scholar] [CrossRef]
- Requena, M.; Sarria, E.S.; Santamarina, E.; Quintana, M.; Sueiras, M.; Rovira, A.; Toledo, M. Peri-ictal magnetic resonance imaging in status epilepticus: Temporal relationship and prognostic value in 60 patients. Seizure 2019, 71, 289–294. [Google Scholar] [CrossRef]
- Singh, T.D.; Fugate, J.E.; Hocker, S.; Wijdicks, E.F.M.; Aksamit, A.J.; Rabinstein, A.A. Predictors of outcome in HSV encephalitis. J. Neurol. 2016, 263, 277–289. [Google Scholar] [CrossRef]



| DWI | ADC | T2WI | Mechanism | |
|---|---|---|---|---|
| Cytotoxic edema (acute phase ischemic infarction), abscess, demyelination | ↑ | ↓ | ? | Diffusion restriction |
| CSF, chronic phase ischemic infarction | ↓ | ↑↑ | ↑ | Increased water diffusion |
| Vasogenic edema | ↑ | ↑ | ↑ | T2 shine through |
Publisher’s Note: MDPI stays neutral with regard to jurisdictional claims in published maps and institutional affiliations. |
© 2022 by the authors. Licensee MDPI, Basel, Switzerland. This article is an open access article distributed under the terms and conditions of the Creative Commons Attribution (CC BY) license (https://creativecommons.org/licenses/by/4.0/).
Share and Cite
Huang, T.-H.; Lai, M.-C.; Chen, Y.-S.; Huang, C.-W. Brain Imaging in Epilepsy-Focus on Diffusion-Weighted Imaging. Diagnostics 2022, 12, 2602. https://doi.org/10.3390/diagnostics12112602
Huang T-H, Lai M-C, Chen Y-S, Huang C-W. Brain Imaging in Epilepsy-Focus on Diffusion-Weighted Imaging. Diagnostics. 2022; 12(11):2602. https://doi.org/10.3390/diagnostics12112602
Chicago/Turabian StyleHuang, Tzu-Hsin, Ming-Chi Lai, Yu-Shiue Chen, and Chin-Wei Huang. 2022. "Brain Imaging in Epilepsy-Focus on Diffusion-Weighted Imaging" Diagnostics 12, no. 11: 2602. https://doi.org/10.3390/diagnostics12112602
APA StyleHuang, T.-H., Lai, M.-C., Chen, Y.-S., & Huang, C.-W. (2022). Brain Imaging in Epilepsy-Focus on Diffusion-Weighted Imaging. Diagnostics, 12(11), 2602. https://doi.org/10.3390/diagnostics12112602

