Axonemal Symmetry Break, a New Ultrastructural Diagnostic Tool for Primary Ciliary Dyskinesia?
Abstract
1. Introduction
2. Materials and Methods
2.1. Ethical Aspects
2.2. Preparation of Nasal Brushings for Analysis by Transmission Electron Microscopy
2.3. Diagnostic Assessment of the Ciliary Axonemes
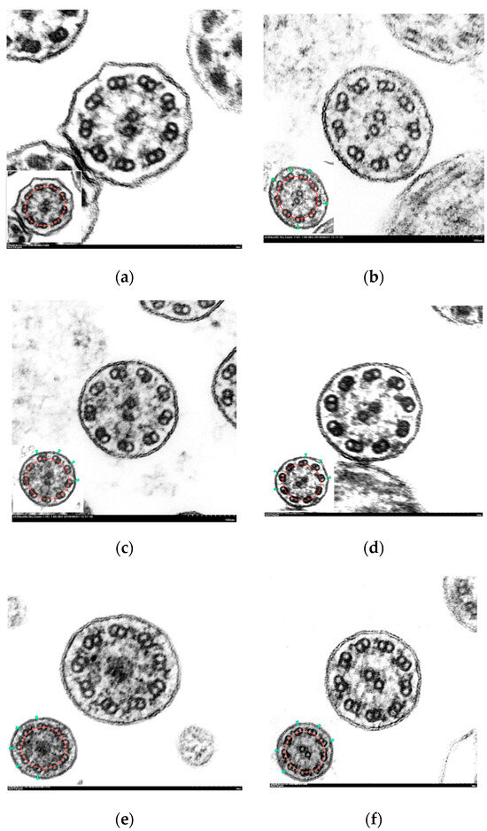
2.4. Axonemal Asymmetry Assessment
2.5. Statistical Analysis
3. Results
3.1. Symmetry Break Analysis
3.2. Statistical analysis
4. Discussion
Supplementary Materials
Author Contributions
Funding
Institutional Review Board Statement
Informed Consent Statement
Conflicts of Interest
Correction Statement
References
- Knowles, M.R.; Zariwala, M.; Leigh, M. Primary Ciliary Dyskinesia. Clin. Chest Med. 2016, 37, 449–461. [Google Scholar] [CrossRef] [PubMed]
- Lobo, J.; Zariwala, M.A.; Noone, P.G. Primary ciliary dyskinesia. Semin. Respir. Crit. Care Med. 2015, 36, 169–179. [Google Scholar] [CrossRef] [PubMed]
- Shapiro, A.J.; Davis, S.D.; Ferkol, T.; Dell, S.D.; Rosenfeld, M.; Olivier, K.N.; Sagel, S.D.; Milla, C.; Zariwala, M.A.; Wolf, W.; et al. Laterality defects other than situs inversus totalis in primary ciliary dyskinesia: Insights into situs ambiguus and heterotaxy. Chest 2014, 146, 1176–1186. [Google Scholar] [PubMed]
- Wallmeier, J.; Nielsen, K.G.; Kuehni, C.E.; Lucas, J.S.; Leigh, M.W.; Zariwala, M.A.; Omran, H. Motile ciliopathies. Nat. Rev. Dis. Primers 2020, 6, 77. [Google Scholar] [CrossRef]
- Lucas, J.S.; Barbato, A.; Collins, S.A.; Goutaki, M.; Behan, L.; Caudri, D.; Dell, S.; Eber, E.; Escudier, E.; Hirst, R.A.; et al. European Respiratory Society guidelines for the diagnosis of primary ciliary dyskinesia. Eur. Respir. J. 2017, 49, 1601090. [Google Scholar] [CrossRef]
- Shapiro, A.J.; Davis, S.D.; Polineni, D.; Manion, M.; Rosenfeld, M.; Dell, S.D.; Chilvers, M.A.; Ferkol, T.W.; Zariwala, M.A.; Sagel, S.D.; et al. Diagnosis of Primary Ciliary Dyskinesia. An Official American Thoracic Society Clinical Practice Guideline. Am. J. Respir. Crit. Care Med 2018, 197, e24–e39. [Google Scholar] [CrossRef]
- Afzelius, B.A. A human syndrome caused by immotile cilia. Science 1976, 193, 317–319. [Google Scholar] [CrossRef]
- Shapiro, A.J.; Leigh, M.W. Value of transmission electron microscopy for primary ciliary dyskinesia diagnosis in the era of molecular medicine: Genetic defects with normal and non-diagnostic ciliary ultrastructure. Ultrastruct. Pathol. 2017, 41, 373–385. [Google Scholar] [CrossRef]
- Shoemark, A.; Dixon, M.; Corrin, B.; Dewar, A. Twenty-year review of quantitative transmission electron microscopy for the diagnosis of primary ciliary dyskinesia. J. Clin. Pathol. 2012, 65, 267–271. [Google Scholar] [CrossRef]
- Knowles, M.R.; Leigh, M.W.; Carson, J.L.; Davis, S.D.; Dell, S.; Ferkol, T.W.; Olivier, K.N.; Sagel, S.D.; Rosenfeld, M.; A Burns, K.; et al. Mutations of DNAH11 in patients with primary ciliary dyskinesia with normal ciliary ultrastructure. Thorax 2012, 67, 433–441. [Google Scholar] [CrossRef]
- Lucas, J.S.; Davis, S.D.; Omran, H.; Shoemark, A. Primary ciliary dyskinesia in the genomics age. Lancet Respir. Med. 2020, 8, 202–216. [Google Scholar] [CrossRef]
- Shoemark, A.; Boon, M.; Brochhausen, C.; Bukowy-Bieryllo, Z.; De Santi, M.M.; Goggin, P.; Griffin, P.; Hegele, R.G.; Hirst, R.A.; Leigh, M.W.; et al. International consensus guideline for reporting transmission electron microscopy results in the diagnosis of primary ciliary dyskinesia (BEAT PCD TEM Criteria). Eur. Respir. J. 2020, 55, 1900725. [Google Scholar] [CrossRef]
- Marshall, W.F. Basal bodies platforms for building cilia. Curr. Top. Dev. Biol. 2008, 85, 1–22. [Google Scholar]
- Hagiwara, H.; Ohwada, N.; Takata, K. Cell biology of normal and abnormal ciliogenesis in the ciliated epithelium. Int. Rev. Cytol. 2004, 234, 101–141. [Google Scholar]
- Greenan, G.A.; Vale, R.D.; Agard, D.A. Electron cryotomography of intact motile cilia defines the basal body to axoneme transition. J. Cell Biol. 2020, 219, e201907060. [Google Scholar] [CrossRef]
- Rautiainen, M.; Collan, Y.; Nuutinen, J.; Kärjä, J. Ultrastructure of human respiratory cilia: A study based on serial sections. Ultrastruct. Pathol. 1984, 6, 331–339. [Google Scholar]
- Lindemann, C.B.; Mitchell, D.R. Evidence for axonemal distortion during the flagellar beat of Chlamydomonas. Cell Motil. Cytoskelet. 2007, 64, 580–589. [Google Scholar] [CrossRef]
- Bower, R.; Tritschler, D.; VanderWaal, K.; Perrone, C.A.; Mueller, J.; Fox, L.; Sale, W.S.; Porter, M.E. The N-DRC forms a conserved biochemical complex that maintains outer doublet alignment and limits microtubule sliding in motile axonemes. Mol. Biol. Cell 2013, 24, 1134–1152. [Google Scholar] [CrossRef]
- Merveille, A.C.; Davis, E.E.; Becker-Heck, A.; Legendre, M.; Amirav, I.; Bataille, G.; Belmont, J.; Beydon, N.; Billen, F.; Clément, A.; et al. CCDC39 is required for assembly of inner dynein arms and the dynein regulatory complex and for normal ciliary motility in humans and dogs. Nat. Genet. 2011, 43, 72–78. [Google Scholar] [CrossRef]
- Austin-Tse, C.; Halbritter, J.; Zariwala, M.A.; Gilberti, R.M.; Gee, H.Y.; Hellman, N.; Pathak, N.; Liu, Y.; Panizzi, J.R.; Patel-King, R.S.; et al. Zebrafish Ciliopathy Screen Plus Human Mutational Analysis Identifies C21orf59 and CCDC65 Defects as Causing Primary Ciliary Dyskinesia. Am. J. Hum. Genet. 2013, 93, 672–686. [Google Scholar] [CrossRef]
- Olbrich, H.; Cremers, C.; Loges, N.T.; Werner, C.; Nielsen, K.G.; Marthin, J.K.; Philipsen, M.; Wallmeier, J.; Pennekamp, P.; Menchen, T.; et al. Loss-of-Function GAS8 Mutations Cause Primary Ciliary Dyskinesia and Disrupt the Nexin-Dynein Regulatory Complex. Am. J. Hum. Genet. 2015, 97, 546–554. [Google Scholar] [CrossRef]
- Bui, K.H.; Sakakibara, H.; Movassagh, T.; Oiwa, K.; Ishikawa, T. Asymmetry of inner dynein arms and inter-doublet links in Chlamydomonas flagella. J. Cell Biol. 2009, 186, 437–446. [Google Scholar] [CrossRef]
- Demarco, R.C.; Tamashiro, E.; Rossato, M.; Ferreira, M.D.; Valera, F.C.; Anselmo-Lima, W.T. Ciliary ultrastructure in patients with chronic rhinosinusitis and primary ciliary dyskinesia. Eur. Arch. Otorhinolaryngol. 2013, 270, 2065–2070. [Google Scholar] [CrossRef]
- Chilvers, M.A.; Rutman, A.; O’Callaghan, C. Functional analysis of cilia and ciliated epithelial ultrastructure in healthy children and young adults. Thorax 2003, 58, 333–338. [Google Scholar] [CrossRef]
- Rossman, C.M.; Lee, R.M.; Forrest, J.B.; Newhouse, M.T. Nasal ciliary ultrastructure and function in patients with primary ciliary dyskinesia compared with that in normal subjects and in subjects with various respiratory diseases. Am. Rev. Respir. Dis. 1984, 129, 161–167. [Google Scholar]
- Mierau, G.W.; Agostini, R.; Beals, T.F.; Carlén, B.; Dardick, I.; Henderson, D.W.; Pysher, T.J.; Weeks, D.A.; Yowell, R.L. The role of electron microscopy in evaluating ciliary dysfunction: Report of a workshop. Ultrastruct. Pathol. 1992, 16, 245–254. [Google Scholar] [CrossRef]
- Davis, S.D.; Rosenfeld, M.; Lee, H.S.; Ferkol, T.W.; Sagel, S.D.; Dell, S.D.; Milla, C.; Pittman, J.E.; Shapiro, A.J.; Sullivan, K.M.; et al. Primary Ciliary Dyskinesia: Longitudinal Study of Lung Disease by Ultrastructure Defect and Genotype. Am. J. Respir. Crit. Care Med. 2019, 199, 190–198. [Google Scholar] [CrossRef]
- Blanchon, S.; Legendre, M.; Bottier, M.; Tamalet, A.; Montantin, G.; Collot, N.; Faucon, C.; Dastot, F.; Copin, B.; Clement, A.; et al. Deep phenotyping, including quantitative ciliary beating parameters, and extensive genotyping in primary ciliary dyskinesia. J. Med. Genet. 2020, 57, 237–244. [Google Scholar] [CrossRef]
- Kouis, P.; Yiallouros, P.K.; Middleton, N.; Evans, J.S.; Kyriacou, K.; Papatheodorou, S.I. Prevalence of primary ciliary dyskinesia in consecutive referrals of suspect cases and the transmission electron microscopy detection rate: A systematic review and meta-analysis. Pediatr. Res. 2017, 81, 398–405. [Google Scholar] [CrossRef]



| Class 1 Defects 1 | Class 2 Defects 1 |
|---|---|
| Outer dynein arm defect (>50% cross sections) | Outer dynein arm absence from 25–50% cross sections |
| Outer and inner dynein arm defect (>50% cross sections) | Combined inner and outer dynein arm absence from 25–50% cross section |
| Central complex defect |
| ID | CCI (%) | Genetic Defect | HSVA | TEM Defect | AA (%) |
|---|---|---|---|---|---|
| 23 | 40 | Not identified | Dyskinetic | No | 38 |
| 62 | 60 | DNAH9 | Dyskinetic | C1 | 38 |
| 74 | 90 | DNAH5 | Dyskinetic | C1 | 40 |
| 83 | 50 | DNAH5 | Immotile | C1 | 40 |
| 27 | 40 | DNAH5 | Immotile | C1 | 42 |
| 44 | 60 | TTC25 | Immotile | C1 | 42 |
| 47 | 70 | DNAH5 | Immotile | C1 | 44 |
| 55 | 50 | DNAH9 | Immotile | No | 44 |
| 4 | 40 | DNAAF1 | Immotile | C1 | 46 |
| 51 | 60 | Not identified | Dyskinetic | No | 46 |
| 14 | 60 | RSPH1 | Dyskinetic | C2 | 48 |
| 32 | 70 | DYX1C1 | Immotile | C1 | 48 |
| 80 | 60 | Not identified | Dyskinetic | No | 48 |
| 91 | 60 | RSPH1 | Dyskinetic | No | 48 |
| 6 | 50 | RSPH1 | Normal | C2 | 50 |
| 81 | 70 | DNAH11 | Immotile | No | 50 |
| 22 | 40 | DNAH5 | Immotile | C1 | 56 |
| 16 | 30 | Not identified | Immotile | C1 | 58 |
| 92 | 60 | RSPH1 | Dyskinetic | No | 66 |
| 21 | 60 | DNAH5 | Immotile | C1 | 68 |
| ID | CCI (%) | Genetic Defect | HSVA | TEM Defect | AA (%) |
|---|---|---|---|---|---|
| 78 | 30 | * | N | No | 2 |
| 66 | 40 | * | N | No | 8 |
| 2 | 20 | * | N | No | 10 |
| 69 | 50 | * | N | No | 12 |
| 73 | 30 | * | N | No | 12 |
| 43 | 20 | * | N | No | 14 |
| 68 | 50 | Not identified | N | No | 14 |
| 70 | 40 | * | N | No | 14 |
| 99 | 30 | * | N | No | 14 |
| 28 | 30 | * | N | No | 18 |
| 36 | 20 | * | N | No | 18 |
| 67 | 40 | * | N | No | 18 |
| 85 | 40 | * | N | No | 18 |
| 86 | 40 | * | N | No | 18 |
| 58 | 40 | VUS RSPH4 | N | No | 22 |
| 34 | 20 | * | N | No | 24 |
| 40 | 40 | * | N | No | 34 |
| 98 | 30 | * | N | No | 36 |
| 25 | 40 | * | N | No | 44 |
| 59 | 60 | VUS CCDC103 | N | No | 63 |
| Class 1 Defect (n = 19) | Class 2 Defect (n = 5) | No Defect (n = 11) | |
|---|---|---|---|
| Age | 18.53 (15.9) | 22 (21.25) | 30.18 (23.17) |
| Median | 15 (8.5, 20) | 13 (6, 33) | 25 (8.5, 50.5) |
| Sex | |||
| Female | 9 (47.37%) | 2 (40%) | 7 (63.64%) |
| Male | 10 (52.63%) | 3 (60%) | 4 (36.36%) |
| CCI | 57.37 (15.93) | 56 (15.17) | 50 (16.12) |
| Median | 60 (45, 70) | 50 (50, 60) | 50 (45, 60) |
| HSVA | |||
| Dyskinetic | 5 (26.32%) | 2 (50%) | 6 (54.55%) |
| Immotile | 13 (68.42%) | 1 (25%) | 5 (45.45%) |
| Normal | 1 (5.26%) | 1 (25%) | 0 (0%) |
| AA | 48.27 (9.16) | 49.5 (6.61) | 50.29 (9.48) |
| Median | 46 (42, 52) | 49 (46.5, 52) | 48 (47, 54) |
| Dyskinetic (n = 13) | Immotile (n = 19) | Normal (n = 2) | |
|---|---|---|---|
| Age | 29.23 (23.34) | 16.53 (13.55) | 23 (24.04) |
| Median | 20 (10, 54) | 14 (6, 20) | 23 (14.5, 31.5) |
| Sex | |||
| Female | 5 (38.46%) | 12 (63.16%) | 1 (50%) |
| Male | 8 (61.54%) | 7 (36.84%) | 1 (50%) |
| CCI | 55.38 (21.06) | 54.74 (13.07) | 50 (0) |
| Median | 60 (40, 60) | 50 (45, 70) | 50 (50, 50) |
| TEM defect | |||
| Class 1 | 5 (38.46%) | 13 (68.42%) | 1 (50%) |
| Class 2 | 2 (15.38%) | 1 (5.26%) | 1 (50%) |
| No defect | 6 (46.15%) | 5 (26.32%) | 0 (0%) |
| AA | 48.55 (10.12) | 49.5 (8.7) | 49 (1.41) |
Publisher’s Note: MDPI stays neutral with regard to jurisdictional claims in published maps and institutional affiliations. |
© 2022 by the authors. Licensee MDPI, Basel, Switzerland. This article is an open access article distributed under the terms and conditions of the Creative Commons Attribution (CC BY) license (https://creativecommons.org/licenses/by/4.0/).
Share and Cite
Blanco-Máñez, R.; Armengot-Carceller, M.; Jaijo, T.; Vera-Sempere, F. Axonemal Symmetry Break, a New Ultrastructural Diagnostic Tool for Primary Ciliary Dyskinesia? Diagnostics 2022, 12, 129. https://doi.org/10.3390/diagnostics12010129
Blanco-Máñez R, Armengot-Carceller M, Jaijo T, Vera-Sempere F. Axonemal Symmetry Break, a New Ultrastructural Diagnostic Tool for Primary Ciliary Dyskinesia? Diagnostics. 2022; 12(1):129. https://doi.org/10.3390/diagnostics12010129
Chicago/Turabian StyleBlanco-Máñez, Rosana, Miguel Armengot-Carceller, Teresa Jaijo, and Francisco Vera-Sempere. 2022. "Axonemal Symmetry Break, a New Ultrastructural Diagnostic Tool for Primary Ciliary Dyskinesia?" Diagnostics 12, no. 1: 129. https://doi.org/10.3390/diagnostics12010129
APA StyleBlanco-Máñez, R., Armengot-Carceller, M., Jaijo, T., & Vera-Sempere, F. (2022). Axonemal Symmetry Break, a New Ultrastructural Diagnostic Tool for Primary Ciliary Dyskinesia? Diagnostics, 12(1), 129. https://doi.org/10.3390/diagnostics12010129

