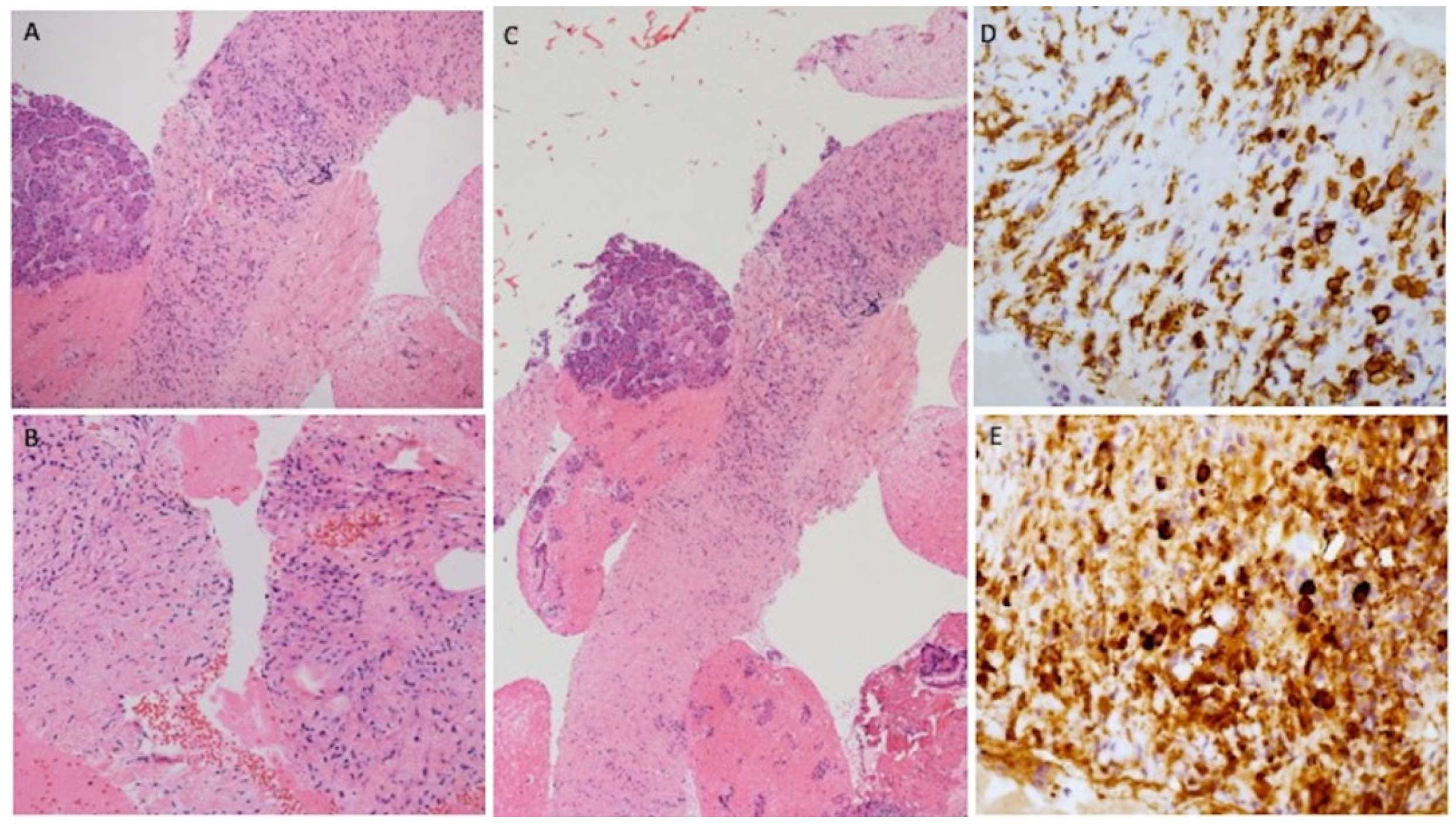
An Incidental Pancreatic Finding at 18F-Choline PET/CT: Chronic Mass-Forming Pancreatitis
Abstract


Funding
Institutional Review Board Statement
Informed Consent Statement
Conflicts of Interest
References
- Schillaci, O.; Calabria, F.; Tavolozza, M.; Carmelo, C.; Marco, C.; Caracciolo, C.R.; Roberta, D.; Antonio, O.; Giovanni, S. 18F-choline PET/CT physiological distribution and pitfalls in image interpretation: Experience in 80 patients with prostate cancer. Nucl. Med. Commun. 2010, 31, 39–45. [Google Scholar] [CrossRef] [PubMed]
- Siegel, R.; Naishadham, D.; Jemal, A. Cancer statistics, 2012. CA Cancer J. Clin. 2012, 62, 10–29. [Google Scholar] [CrossRef] [PubMed]
- Issa, Y.; Kempeneers, M.A.; van Santvoort, H.C.; Bollen, T.L.; Bipat, S.; Boermeester, M.A. Diagnostic performance of imaging modalities in chronic pancreatitis: A systematic review and meta-analysis. Eur. Radiol. 2017, 27, 3820–3844. [Google Scholar] [CrossRef] [PubMed]
- Gu, X.; Liu, R. Application of 18F-FDG PET/CT combined with carbohydrate antigen 19–9 for differentiating pancreatic carcinoma from chronic mass-forming pancreatitis in Chinese elderly. Clin. Interv. Aging 2016, 11, 1365–1370. [Google Scholar] [CrossRef] [PubMed]
- Razpotnik, M.; Bota, S.; Essler, G.; Weber-Eibel, J.; Peck-Radosavljevic, M. Endoscopic ultrasound (EUS) in pancreatic masses with inconclusive radiologic workup–a case series and short review of the literature. Med. Ultrason. 2021, 23, 107–110. [Google Scholar] [CrossRef] [PubMed]
- Volmar, K.E.; Vollmer, R.T.; Jowell, P.S.; Nelson, R.C.; Xie, H.B. Pancreatic FNA in 1000 cases: A comparison of imaging modalities. Gastrointest. Endosc. 2005, 61, 854–861. [Google Scholar] [CrossRef]
- Iglesias-Garcia, J.; Lindkvist, B.; Larino-Noia, J.; Abdulkader-Nallib, I.; Dominguez-Muñoz, J.E. Differential diagnosis of solid pancreatic masses: Contrast-enhanced harmonic (CEH-EUS), quantitative-elastography (QE-EUS), or both? United Eur. Gastroenterol. J. 2017, 5, 236–246. [Google Scholar] [CrossRef] [PubMed]
- Hirai, K.; Watanabe, S.; Nishijima, N.; Shibata, K.; Hase, A.; Yamanaka, T.; Inazu, M. Molecular and functional analysis of choline transporters and antitumor effects of choline transporter-like protein 1 inhibitors in human pancreatic cancer cells. Int. J. Mol. Sci. 2020, 21, 5190. [Google Scholar] [CrossRef] [PubMed]
- Snider, S.A.; Margison, K.D.; Ghorbani, P.; LeBlond, N.D.; O’Dwyer, C.; Nunes, J.R.C.; Nguyen, T.; Xu, H.; Bennett, S.A.L.; Fullerton, M.D. Choline transport links macrophage phospholipid metabolism and inflammation. J. Biol. Chem. 2018, 293, 11600–11611. [Google Scholar] [CrossRef] [PubMed]
- Van der Hiel, B.; Stokkel, M.P.M.L.; Buikhuisen, W.A.; Janssen, H.; van Velthuysen, M.-L.F.; Rhodius, R.J.; Vogel, W.V. 18F-Choline PET/CT as a new tool for functional imaging of non-proliferating secreting neuroendocrine tumors. J. Endocrinol. Metab. 2015, 5, 267–271. [Google Scholar] [CrossRef][Green Version]
- Chen, B.B.; Tien, Y.W.; Chang, M.C.; Cheng, M.F.; Chang, Y.T.; Wu, C.H.; Chen, X.J.; Kuo, T.C.; Yang, S.H.; Shih, I.L.; et al. PET/MRI in pancreatic and periampullary cancer: Correlating diffusion-weighted imaging, MR spectroscopy and glucose metabolic activity with clinical stage and prognosis. Eur. J. Nucl. Med. Mol. Imaging 2016, 43, 1753–1764. [Google Scholar] [CrossRef] [PubMed]
Publisher’s Note: MDPI stays neutral with regard to jurisdictional claims in published maps and institutional affiliations. |
© 2021 by the authors. Licensee MDPI, Basel, Switzerland. This article is an open access article distributed under the terms and conditions of the Creative Commons Attribution (CC BY) license (https://creativecommons.org/licenses/by/4.0/).
Share and Cite
Evangelista, L.; De Pellegrin, A.; Girometti, R.; Cassarino, G.; Giacomuzzi, F.; Rensi, M. An Incidental Pancreatic Finding at 18F-Choline PET/CT: Chronic Mass-Forming Pancreatitis. Diagnostics 2021, 11, 1490. https://doi.org/10.3390/diagnostics11081490
Evangelista L, De Pellegrin A, Girometti R, Cassarino G, Giacomuzzi F, Rensi M. An Incidental Pancreatic Finding at 18F-Choline PET/CT: Chronic Mass-Forming Pancreatitis. Diagnostics. 2021; 11(8):1490. https://doi.org/10.3390/diagnostics11081490
Chicago/Turabian StyleEvangelista, Laura, Alessandro De Pellegrin, Rossano Girometti, Gianluca Cassarino, Francesco Giacomuzzi, and Marco Rensi. 2021. "An Incidental Pancreatic Finding at 18F-Choline PET/CT: Chronic Mass-Forming Pancreatitis" Diagnostics 11, no. 8: 1490. https://doi.org/10.3390/diagnostics11081490
APA StyleEvangelista, L., De Pellegrin, A., Girometti, R., Cassarino, G., Giacomuzzi, F., & Rensi, M. (2021). An Incidental Pancreatic Finding at 18F-Choline PET/CT: Chronic Mass-Forming Pancreatitis. Diagnostics, 11(8), 1490. https://doi.org/10.3390/diagnostics11081490

