Predictive and Prognostic Impact of Blood-Based Inflammatory Biomarkers in Patients with Gastroenteropancreatic Neuroendocrine Tumors Commencing Peptide Receptor Radionuclide Therapy
Abstract
1. Introduction
2. Materials and Methods
2.1. Study Cohort
2.2. GMP-Compliant Preparation of the SSR-Targeting Ligands
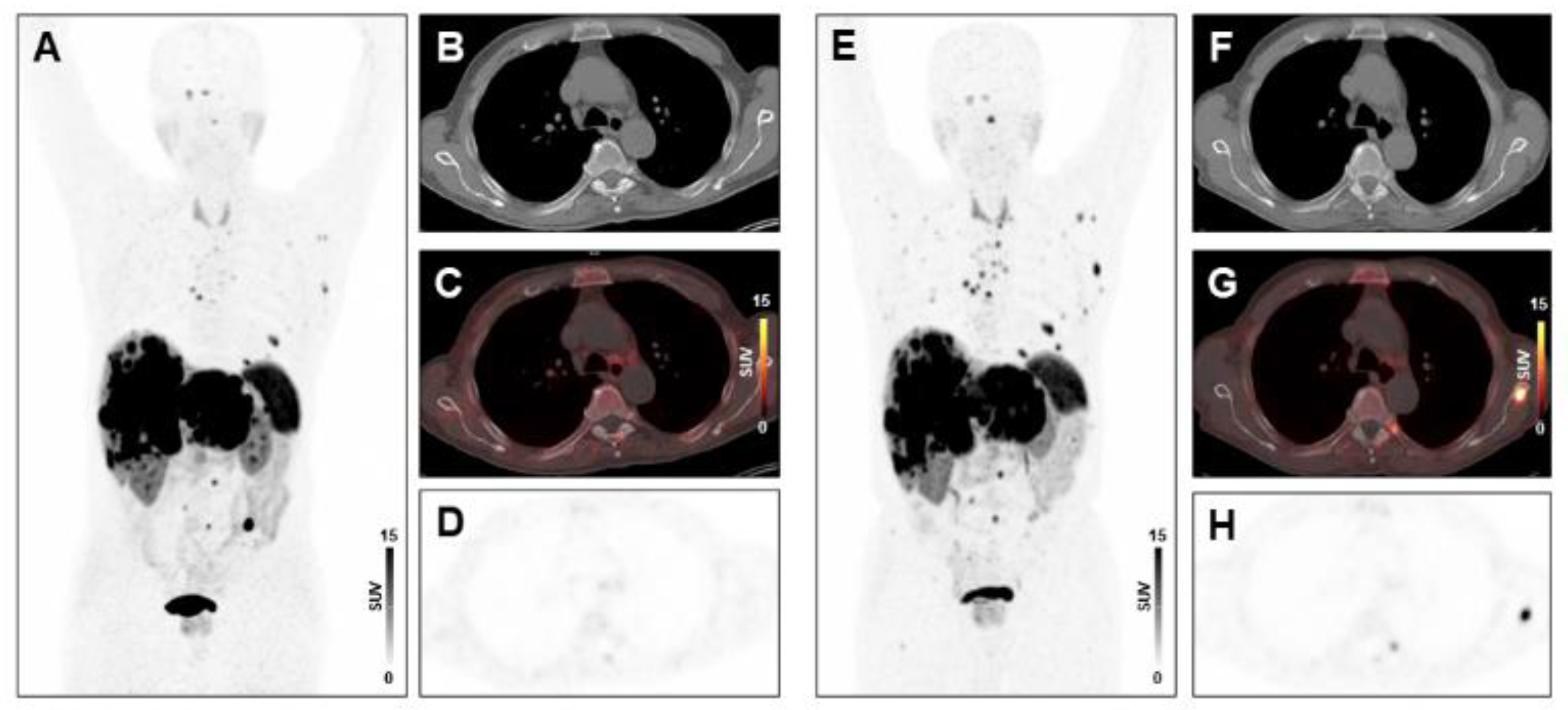
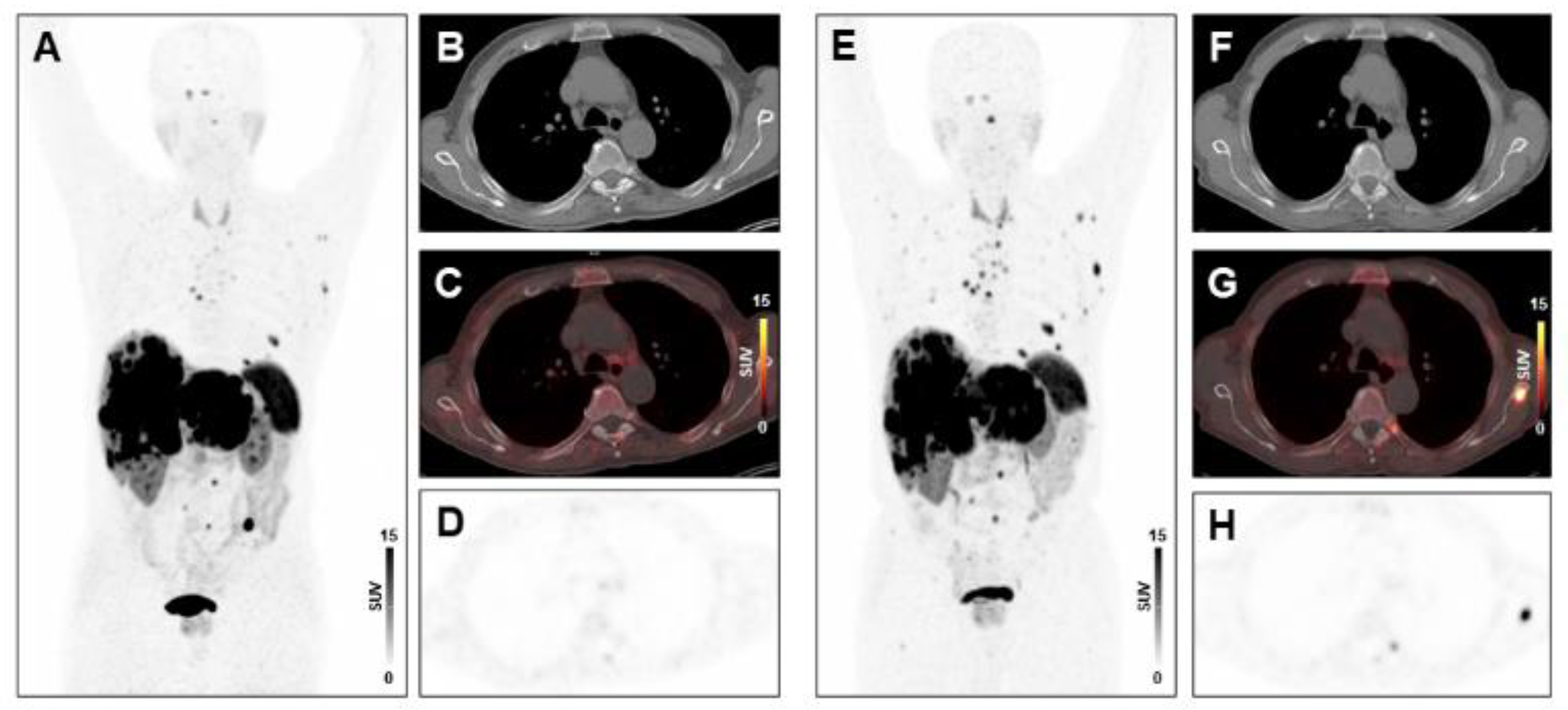
2.3. PET/CT Image Analysis
2.4. Assessment of Treatment Response and Clinical Endpoints
2.5. Statistical Analysis
3. Results
3.1. Patient Characteristics and Extent of Disease
3.2. Baseline Markers of Systemic Inflammation Are Elevated in Non-Responders to PRRT
3.3. Early Change in Tumor Burden Is Associated with Markers of Systemic Inflammation
3.4. Baseline Markers of Systemic Inflammation Are Associated with PFS
4. Discussion
5. Conclusions
Supplementary Materials
Author Contributions
Funding
Institutional Review Board Statement
Informed Consent Statement
Data Availability Statement
Conflicts of Interest
References
- Strosberg, J.; El-Haddad, G.; Wolin, E.; Hendifar, A.; Yao, J.; Chasen, B.; Mittra, E.; Kunz, P.L.; Kulke, M.H.; Jacene, H.; et al. Phase 3 Trial of 177Lu-Dotatate for Midgut Neuroendocrine Tumors. N. Engl. J. Med. 2017, 376, 125–135. [Google Scholar] [CrossRef]
- Kwekkeboom, D.J.; de Herder, W.W.; Kam, B.L.; van Eijck, C.H.; van Essen, M.; Kooij, P.P.; Feelders, R.A.; van Aken, M.O.; Krenning, E.P. Treatment with the radiolabeled somatostatin analog [177Lu-DOTA 0,Tyr3]octreotate: Toxicity, efficacy, and survival. J. Clin. Oncol. 2008, 26, 2124–2130. [Google Scholar] [CrossRef] [PubMed]
- Bodei, L.; Cremonesi, M.; Grana, C.M.; Fazio, N.; Iodice, S.; Baio, S.M.; Bartolomei, M.; Lombardo, D.; Ferrari, M.E.; Sansovini, M.; et al. Peptide receptor radionuclide therapy with ¹⁷⁷Lu-DOTATATE: The IEO phase I-II study. Eur. J. Nucl. Med. Mol. Imaging 2011, 38, 2125–2135. [Google Scholar] [CrossRef] [PubMed]
- Coussens, L.M.; Werb, Z. Inflammation and cancer. Nature 2002, 420, 860–867. [Google Scholar] [CrossRef] [PubMed]
- Chan, A.T.; Ogino, S.; Fuchs, C.S. Aspirin and the risk of colorectal cancer in relation to the expression of COX-2. N. Engl. J. Med. 2007, 356, 2131–2142. [Google Scholar] [CrossRef] [PubMed]
- Borrello, M.G.; Alberti, L.; Fischer, A.; Degl’innocenti, D.; Ferrario, C.; Gariboldi, M.; Marchesi, F.; Allavena, P.; Greco, A.; Collini, P.; et al. Induction of a proinflammatory program in normal human thyrocytes by the RET/PTC1 oncogene. Proc. Natl. Acad. Sci. USA 2005, 102, 14825–14830. [Google Scholar] [CrossRef]
- Voronov, E.; Shouval, D.S.; Krelin, Y.; Cagnano, E.; Benharroch, D.; Iwakura, Y.; Dinarello, C.A.; Apte, R.N. IL-1 is required for tumor invasiveness and angiogenesis. Proc. Natl. Acad. Sci. USA 2003, 100, 2645–2650. [Google Scholar] [CrossRef]
- Mantovani, A.; Allavena, P.; Sica, A.; Balkwill, F. Cancer-related inflammation. Nature 2008, 454, 436–444. [Google Scholar] [CrossRef] [PubMed]
- Balkwill, F. Cancer and the chemokine network. Nat. Rev. Cancer 2004, 4, 540–550. [Google Scholar] [CrossRef]
- Colotta, F.; Allavena, P.; Sica, A.; Garlanda, C.; Mantovani, A. Cancer-related inflammation, the seventh hallmark of cancer: Links to genetic instability. Carcinogenesis 2009, 30, 1073–1081. [Google Scholar] [CrossRef]
- Pagès, F.; Galon, J.; Dieu-Nosjean, M.C.; Tartour, E.; Sautès-Fridman, C.; Fridman, W.H. Immune infiltration in human tumors: A prognostic factor that should not be ignored. Oncogene 2010, 29, 1093–1102. [Google Scholar] [CrossRef]
- Moghadamyeghaneh, Z.; Hanna, M.H.; Carmichael, J.C.; Mills, S.D.; Pigazzi, A.; Stamos, M.J. Preoperative Leukocytosis in Colorectal Cancer Patients. J. Am. Coll. Surg. 2015, 221, 207–214. [Google Scholar] [CrossRef]
- Worley, M.J., Jr.; Nitschmann, C.C.; Shoni, M.; Rauh-Hain, J.A.; Williams, K.A.; Feltmate, C.M. Preoperative leukocytosis imposes an increased risk of recurrence and death among patients with nonendometrioid endometrial carcinoma. Int. J. Gynecol. Cancer 2013, 23, 312–317. [Google Scholar] [CrossRef]
- Su, Z.; Mao, Y.P.; OuYang, P.Y.; Tang, J.; Xie, F.Y. Initial Hyperleukocytosis and Neutrophilia in Nasopharyngeal Carcinoma: Incidence and Prognostic Impact. PLoS ONE 2015, 10, e0136752. [Google Scholar] [CrossRef]
- Zou, J.; Li, Q.; Kou, F.; Zhu, Y.; Lu, M.; Li, J.; Lu, Z.; Shen, L. Prognostic value of inflammation-based markers in advanced or metastatic neuroendocrine tumours. Curr. Oncol. 2019, 26, e30–e38. [Google Scholar] [CrossRef]
- Cho, Y.; Kim, K.H.; Yoon, H.I.; Kim, G.E.; Kim, Y.B. Tumor-related leukocytosis is associated with poor radiation response and clinical outcome in uterine cervical cancer patients. Ann. Oncol. 2016, 27, 2067–2074. [Google Scholar] [CrossRef]
- Mabuchi, S.; Matsumoto, Y.; Kawano, M.; Minami, K.; Seo, Y.; Sasano, T.; Takahashi, R.; Kuroda, H.; Hisamatsu, T.; Kakigano, A.; et al. Uterine cervical cancer displaying tumor-related leukocytosis: A distinct clinical entity with radioresistant feature. J. Natl. Cancer. Inst. 2014, 106, dju147. [Google Scholar] [CrossRef]
- Jensen, G.L.; Blanchard, P.; Gunn, G.B.; Garden, A.S.; David Fuller, C.; Sturgis, E.M.; Gillison, M.L.; Phan, J.; Morrison, W.H.; Rosenthal, D.I.; et al. Prognostic impact of leukocyte counts before and during radiotherapy for oropharyngeal cancer. Clin. Transl. Radiat. Oncol. 2017, 7, 28–35. [Google Scholar] [CrossRef]
- Campian, J.L.; Sarai, G.; Ye, X.; Marur, S.; Grossman, S.A. Association between severe treatment-related lymphopenia and progression-free survival in patients with newly diagnosed squamous cell head and neck cancer. Head Neck 2014, 36, 1747–1753. [Google Scholar] [CrossRef]
- Bodei, L.; Mueller-Brand, J.; Baum, R.P.; Pavel, M.E.; Hörsch, D.; O’Dorisio, M.S.; O’Dorisio, T.M.; Howe, J.R.; Cremonesi, M.; Kwekkeboom, D.J.; et al. The joint IAEA, EANM, and SNMMI practical guidance on peptide receptor radionuclide therapy (PRRNT) in neuroendocrine tumours. Eur. J. Nucl. Med. Mol. Imaging 2013, 40, 800–816. [Google Scholar] [CrossRef]
- Su, L.; Zhang, M.; Zhang, W.; Cai, C.; Hong, J. Pretreatment hematologic markers as prognostic factors in patients with nasopharyngeal carcinoma: A systematic review and meta-analysis. Medicine (Baltimore) 2017, 96, e6364. [Google Scholar] [CrossRef]
- Hörsch, D.; Ezziddin, S.; Haug, A.; Gratz, K.F.; Dunkelmann, S.; Miederer, M.; Schreckenberger, M.; Krause, B.J.; Bengel, F.M.; Bartenstein, P.; et al. Effectiveness and side-effects of peptide receptor radionuclide therapy for neuroendocrine neoplasms in Germany: A multi-institutional registry study with prospective follow-up. Eur. J. Cancer 2016, 58, 41–51. [Google Scholar] [CrossRef]
- Ruhwedel, T.; Rogasch, J.M.M.; Huang, K.; Jann, H.; Schatka, I.; Furth, C.; Amthauer, H.; Wetz, C. The Prognostic Value of the De Ritis Ratio for Progression-Free Survival in Patients with NET Undergoing [177Lu]Lu-DOTATOC-PRRT: A Retrospective Analysis. Cancers (Basel) 2021, 13, 635. [Google Scholar] [CrossRef]
- Ohlendorf, F.; Henkenberens, C.; Brunkhorst, T.; Ross, T.L.; Christiansen, H.; Bengel, F.M.; Derlin, T. Volumetric 68Ga-DOTA-TATE PET/CT for assessment of whole-body tumor burden as a quantitative imaging biomarker in patients with metastatic gastroenteropancreatic neuroendocrine tumors. Q. J. Nucl. Med. Mol. Imaging 2020. [Google Scholar] [CrossRef]
- Suzuki, C.; Jacobsson, H.; Hatschek, T.; Torkzad, M.R.; Bodén, K.; Eriksson-Alm, Y.; Berg, E.; Fujii, H.; Kubo, A.; Blomqvist, L. Radiologic measurements of tumor response to treatment: Practical approaches and limitations. Radiographics 2008, 28, 329–344. [Google Scholar] [CrossRef] [PubMed]
- An, Y.Y.; Kim, S.H.; Kang, B.J.; Lee, A.W.; Song, B.J. MRI volume measurements compared with the RECIST 1.1 for evaluating the response to neoadjuvant chemotherapy for mass-type lesions. Breast Cancer 2014, 21, 316–324. [Google Scholar] [CrossRef]
- Black, J.R.M.; Atkinson, S.R.; Singh, A.; Evans, J.; Sharma, R. The Inflammation-Based Index Can Predict Response and Improve Patient Selection in NETs Treated With PRRT: A Pilot Study. J. Clin. Endocrinol. Metab. 2019, 104, 285–292. [Google Scholar] [CrossRef] [PubMed]
- Kwekkeboom, D.J.; Kam, B.L.; van Essen, M.; Teunissen, J.J.; van Eijck, C.H.; Valkema, R.; de Jong, M.; de Herder, W.W.; Krenning, E.P. Somatostatin-receptor-based imaging and therapy of gastroenteropancreatic neuroendocrine tumors. Endocr. Relat. Cancer 2010, 17, R53–R73. [Google Scholar] [CrossRef]
- Oksuz, M.O.; Winter, L.; Pfannenberg, C.; Reischl, G.; Mussig, K.; Bares, R.; Dittmann, H. Peptide receptor radionuclide therapy of neuroendocrine tumors with (90)Y-DOTATOC: Is treatment response predictable by pre-therapeutic uptake of (68)Ga-DOTATOC? Diagnos. Interven. Imaging 2014, 95, 289–300. [Google Scholar] [CrossRef]
- Gabriel, M.; Oberauer, A.; Dobrozemsky, G.; Decristoforo, C.; Putzer, D.; Kendler, D.; Uprimny, C.; Kovacs, P.; Bale, R.; Virgolini, I.J. 68Ga-DOTA-Tyr3-octreotide PET for assessing response to somatostatin-receptor-mediated radionuclide therapy. J. Nucl. Med. 2009, 50, 1427–1434. [Google Scholar] [CrossRef] [PubMed]
- Werner, R.A.; Ilhan, H.; Lehner, S.; Papp, L.; Zsótér, N.; Schatka, I.; Muegge, D.O.; Javadi, M.S.; Higuchi, T.; Buck, A.K.; et al. Pre-therapy Somatostatin Receptor-Based Heterogeneity Predicts Overall Survival in Pancreatic Neuroendocrine Tumor Patients Undergoing Peptide Receptor Radionuclide Therapy. Mol. Imaging Biol. 2019, 21, 582–590. [Google Scholar] [CrossRef]
- Ezziddin, S.; Opitz, M.; Attassi, M.; Biermann, K.; Sabet, A.; Guhlke, S.; Brockmann, H.; Willinek, W.; Wardelmann, E.; Biersack, H.J.; et al. Impact of the Ki-67 proliferation index on response to peptide receptor radionuclide therapy. Eur. J. Nucl. Med. Mol. Imaging 2011, 38, 459–466. [Google Scholar] [CrossRef] [PubMed]
- Yang, Z.; Tang, L.H.; Klimstra, D.S. Effect of tumor heterogeneity on the assessment of Ki67 labeling index in well-differentiated neuroendocrine tumors metastatic to the liver: Implications for prognostic stratification. Am. J. Surg. Pathol. 2011, 35, 853–860. [Google Scholar] [CrossRef]
- Gaitanidis, A.; Patel, D.; Nilubol, N.; Tirosh, A.; Sadowski, S.; Kebebew, E. Markers of Systemic Inflammatory Response are Prognostic Factors in Patients with Pancreatic Neuroendocrine Tumors (PNETs): A Prospective Analysis. Ann. Surg. Oncol. 2018, 25, 122–130. [Google Scholar] [CrossRef]
- Wiese, D.; Kampe, K.; Waldmann, J.; Heverhagen, A.E.; Bartsch, D.K.; Fendrich, V. C-Reactive Protein as a New Prognostic Factor for Survival in Patients with Pancreatic Neuroendocrine Neoplasia. J. Clin. Endocrinol. Metab. 2016, 101, 937–944. [Google Scholar] [CrossRef]
- Panni, R.Z.; Lopez-Aguiar, A.G.; Liu, J.; Poultsides, G.A.; Rocha, F.G.; Hawkins, W.G.; Strasberg, S.M.; Trikalinos, N.A.; Maithel, S.; Fields, R.C.; et al. Association of preoperative monocyte-to-lymphocyte and neutrophil-to-lymphocyte ratio with recurrence-free and overall survival after resection of pancreatic neuroendocrine tumors (US-NETSG). J. Surg. Oncol. 2019, 120, 632–638. [Google Scholar] [CrossRef]
- Pauwels, E.; Van Binnebeek, S.; Vandecaveye, V.; Baete, K.; Vanbilloen, H.; Koole, M.; Mottaghy, F.M.; Haustermans, K.; Clement, P.M.; Nackaerts, K.; et al. Inflammation-Based Index and 68Ga-DOTATOC PET-Derived Uptake and Volumetric Parameters Predict Outcome in Neuroendocrine Tumor Patients Treated with 90Y-DOTATOC. J. Nucl. Med. 2020, 61, 1014–1020. [Google Scholar] [CrossRef] [PubMed]
- Wu, Y.; Pfeifer, A.K.; Myschetzky, R.; Garbyal, R.S.; Rasmussen, P.; Knigge, U.; Bzorek, M.; Kristensen, M.H.; Kjaer, A. Induction of Anti-Tumor Immune Responses by Peptide Receptor Radionuclide Therapy with (177)Lu-DOTATATE in a Murine Model of a Human Neuroendocrine Tumor. Diagnostics (Basel) 2013, 3, 344–355. [Google Scholar] [CrossRef]
- Bodei, L.; Kidd, M.S.; Singh, A.; van der Zwan, W.A.; Severi, S.; Drozdov, I.A.; Cwikla, J.; Baum, R.P.; Kwekkeboom, D.J.; Paganelli, G.; et al. PRRT genomic signature in blood for prediction of 177Lu-octreotate efficacy. Eur. J. Nucl. Med. Mol. Imaging 2018, 45, 1155–1169. [Google Scholar] [CrossRef]
- Ezziddin, S.; Sabet, A.; Heinemann, F.; Yong-Hing, C.J.; Ahmadzadehfar, H.; Guhlke, S.; Höller, T.; Willinek, W.; Boy, C.; Biersack, H.J. Response and long-term control of bone metastases after peptide receptor radionuclide therapy with (177)Lu-octreotate. J. Nucl. Med. 2011, 52, 1197–1203. [Google Scholar] [CrossRef]
- Velikyan, I.; Sundin, A.; Sörensen, J.; Lubberink, M.; Sandström, M.; Garske-Román, U.; Lundqvist, H.; Granberg, D.; Eriksson, B. Quantitative and qualitative intrapatient comparison of 68Ga-DOTATOC and 68Ga-DOTATATE: Net uptake rate for accurate quantification. J. Nucl. Med. 2014, 55, 204–210. [Google Scholar] [CrossRef]




| Parameter | Total | Responders (n = 17) | Non-Responders (n = 16) | p Value |
|---|---|---|---|---|
| Sex no. (%) | 0.49 | |||
| Male | 14 (42.4) | 6 (35.3) | 8 (50) | |
| Female | 19 (57.6) | 11 (64.7) | 8 (50) | |
| Age (y) | 63.4 ± 11.6 | 64.1 ± 11.2 | 62.6 ± 12.2 | 0.73 |
| Body-mass index | 25.7 ± 5.4 | 26.2 ± 6.9 | 25.1 ± 3.1 | 0.85 |
| Previous therapies no. (%) | ||||
| Surgery | 21 (63.6) | 12 (70.6) | 9 (56.3) | 0.48 |
| Chemotherapy | 5(15.2) | 2 (11.8) | 3 (18.8) | 0.66 |
| Everolimus | 5 (15.2) | 2 (11.8) | 3 (18.8) | 0.66 |
| None | 8 (24.2) | 3 (17.9) | 5 (31.3) | 0.44 |
| Primary tumor site no. (%) | ||||
| Pancreas | 10 (30.3) | 4 (23.5) | 6 (37.5) | 0.46 |
| Ileum | 9 (27.3) | 8 (47.1) | 1 (6.3) | 0.02 |
| Small intestine, not otherwise specified | 6 (18.2) | 4 (23.5) | 2 (12.5) | 0.66 |
| Rectum | 2(6.1) | 0 | 2 (12.5) | 0.22 |
| Colon, not otherwise specified | 3 (9.1) | 1 (5.9) | 2 (12.5) | 0.6 |
| Unknown | 3 (9.1) | 0 | 3 (18.8) | 0.1 |
| Site of metastasis no. (%) | ||||
| Liver | 31 (93.9) | 17 (100) | 14 (87.5) | 0.23 |
| Lymph nodes | 24 (72.7) | 13 (76.5) | 11 (68.8) | 0.71 |
| Bone | 20 (60.6) | 9 (52.9) | 11 (68.8) | 0.48 |
| Other | 16 (48.5) | 8 (47.1) | 8 (50) | 1 |
| Ki-67 index no. (%) | ||||
| ≤2% (G1) | 7 (21.2) | 6 (35.3) | 1 (6.3) | 0.09 |
| 3–20% (G2) | 21 (63.6) | 11 (64.7) | 10 (62.5) | 1.00 |
| >20% (G3) | 1 (3) | 0 | 1 (6.3) | 0.48 |
| Unknown | 4 (12.1) | 0 | 4 (25.0) | 0.045 |
| Karnofsky index no. (%) | ||||
| ≤70% | 0 (0) | 0 | 0 | 1 |
| >70% | 33 (100) | 17 (100) | 16 (100) | |
| Krenning score no. (%) | ||||
| Grade 2 | 0 (0) | 0 (0) | 0 (0) | 1 |
| Grade 3 | 16 (48.5) | 8 (47.1) | 8 (50) | |
| Grade 4 | 17 (51.5) | 9 (52.9) | 8 (50) |
| Total Study Population | Responders (n = 17) | Non-Responders (n = 16) | p Value | ||||
|---|---|---|---|---|---|---|---|
| Mean ± SD | Range | Mean ± SD | Range | Mean ± SD | Range | ||
| Erythrocytes (1012/L) | 4.4 ± 0.6 | 3.1–5.4 | 4.6 ± 0.5 | 4–5.4 | 4.1 ± 0.6 | 3.1–5.2 | 0.05 |
| Hemoglobin (g/dL) | 12.4 ± 1.4 | 9–15.1 | 12.9 ± 0.9 | 11.7–15.1 | 11.9 ± 1.6 | 9–14.3 | 0.182 |
| White blood cell count (109/L) | 6.9 ± 1.8 | 3.9–10.3 | 6.5 ± 1.2 | 3.9–8.6 | 7.4 ± 2.2 | 4.2–10.3 | 0.28 |
| Absolute neutrophil count (109/L) | 4.6 ± 1.5 | 2.4–8.3 | 4.1 ± 0.8 | 2.4–5.3 | 7.3 ± 0.8 | 6.8–8.3 | 0.002 |
| Absolute lymphocytes count (109/L) | 1.7 ± 0.7 | 0.6–2.8 | 1.7 ± 0.6 | 0.6–2.8 | 1.6 ± 0.8 | 0.8–2.3 | 0.871 |
| Thrombocytes (109/L) | 264.4 ± 95.8 | 131–623 | 232.6 ± 45.7 | 142–298 | 483.8 ± 760.9 | 131–623 | 0.094 |
| Thrombocyte volume (fL) | 10.5 ± 0.8 | 9–12 | 10.6 ± 0.8 | 9.1–12 | 10.2 ± 0.9 | 9–12 | 0.169 |
| CRP (mg/L) | 10.3 ± 16.2 | 0.08–62.8 | 3 ± 4.4 | 0.08–15.4 | 18.1 ± 20.4 | 0.9–62.8 | <0.001 |
| ALP (U/L) | 143 ± 128.6 | 31–714 | 110.5 ± 82.8 | 53–368 | 177.6 ± 159.7 | 31–714 | 0.045 |
| PLR | 178 ± 89.4 | 75.7–375 | 158.6 ± 71.3 | 75.7–316.4 | 250.7 ± 123.6 | 79.6–375 | 0.262 |
| NLR | 3.4 ± 2.1 | 1–8.5 | 2.8 ± 1.1 | 1–4.7 | 6.6 ± 3.1 | 3–8.5 | 0.056 |
| PCM | 3799 ± 7650 | 18–39,124 | 776 ± 1241 | 18–4451 | 7011 ± 10,092 | 254–39,124 | <0.001 |
| CRP-Albumin ratio | 0.2 ± 0.5 | 0–2.1 | 0.079 ± 0.115 | 0–0.4 | 0.46 ± 0.63 | 0.02–2.1 | 0.01 |
| SSR-TV (cm3) | 170.2 ± 192.1 | 12.1–797.3 | 105.7 ± 123.7 | 12.1–495.8 | 238.6 ± 229.6 | 12.4–797.3 | 0.068 |
| TL-SSR (cm3) | 3283.3 ± 4065.2 | 60.8–15,868 | 2095.1 ± 2250.4 | 139.1–8372.2 | 4545.7 ± 5153.1 | 60.8–15,868 | 0.26 |
| Univariate Analysis | Multivariate Analysis | |||||
|---|---|---|---|---|---|---|
| Hazard Ratio | 95% CI | p Value | Hazard Ratio | 95% CI | p Value | |
| White blood cell count ≤ 6.5 × 109/L | 3.26 | 1.12; 9.44 | 0.03 | 20.26 | 1.91; 214.36 | 0.012 |
| Absolute lymphocytes count ≤ 1.6 × 109/L | 0.99 | 0.14; 7.09 | 0.998 | |||
| Thrombocytes ≤ 260 × 109/L | 2.64 | 0.89; 7.81 | 0.079 | |||
| Thrombocyte volume ≤ 10.4 fL | 1.05 | 0.32; 3.46 | 0.935 | |||
| C-reactive protein ≤ 2.5 mg/L | 4.52 | 1.27; 16.18 | 0.02 | 226.325 | 3.47; 14768.04 | 0.011 |
| CRP-Albumin ratio ≤ 0.0578 | 2.68 | 0.71; 10.17 | 0.146 | |||
| Platelet × CRP multiplier ≤ 910.45 | 3.98 | 1.25; 12.68 | 0.019 | 0.03 | 0.001; 1.3 | 0.068 |
| Platelet-lymphocyte ratio ≤ 152.78 | 3.8 | 0.4; 36.58 | 0.248 | |||
| Neutrophil-lymphocyte ratio ≤ 2.87 | 0.86 | 0.29; 2.5 | 0.78 | |||
| Chromogranin A ≤ 386 μg/L | 9.99 | 1.22; 81.93 | 0.032 | 7.009 | 0.57; 86.89 | 0.13 |
| SSR-TV ≤ 78.87 cm3 | 5.12 | 1.41; 18.59 | 0.013 | 26.667 | 1.77; 401.25 | 0.018 |
| TL-SSR ≤ 1590.98 cm3 | 3.02 | 0.97; 9.36 | 0.056 | |||
| Tumor origin (ileum vs other) | 3.06 | 0.39; 24.11 | 0.29 | |||
| Tumor grading (G1-3 vs unknown) | 1.83 | 0.54; 6.17 | 0.33 | |||
Publisher’s Note: MDPI stays neutral with regard to jurisdictional claims in published maps and institutional affiliations. |
© 2021 by the authors. Licensee MDPI, Basel, Switzerland. This article is an open access article distributed under the terms and conditions of the Creative Commons Attribution (CC BY) license (http://creativecommons.org/licenses/by/4.0/).
Share and Cite
Ohlendorf, F.; Werner, R.A.; Henkenberens, C.; Ross, T.L.; Christiansen, H.; Bengel, F.M.; Derlin, T. Predictive and Prognostic Impact of Blood-Based Inflammatory Biomarkers in Patients with Gastroenteropancreatic Neuroendocrine Tumors Commencing Peptide Receptor Radionuclide Therapy. Diagnostics 2021, 11, 504. https://doi.org/10.3390/diagnostics11030504
Ohlendorf F, Werner RA, Henkenberens C, Ross TL, Christiansen H, Bengel FM, Derlin T. Predictive and Prognostic Impact of Blood-Based Inflammatory Biomarkers in Patients with Gastroenteropancreatic Neuroendocrine Tumors Commencing Peptide Receptor Radionuclide Therapy. Diagnostics. 2021; 11(3):504. https://doi.org/10.3390/diagnostics11030504
Chicago/Turabian StyleOhlendorf, Fiona, Rudolf A. Werner, Christoph Henkenberens, Tobias L. Ross, Hans Christiansen, Frank M. Bengel, and Thorsten Derlin. 2021. "Predictive and Prognostic Impact of Blood-Based Inflammatory Biomarkers in Patients with Gastroenteropancreatic Neuroendocrine Tumors Commencing Peptide Receptor Radionuclide Therapy" Diagnostics 11, no. 3: 504. https://doi.org/10.3390/diagnostics11030504
APA StyleOhlendorf, F., Werner, R. A., Henkenberens, C., Ross, T. L., Christiansen, H., Bengel, F. M., & Derlin, T. (2021). Predictive and Prognostic Impact of Blood-Based Inflammatory Biomarkers in Patients with Gastroenteropancreatic Neuroendocrine Tumors Commencing Peptide Receptor Radionuclide Therapy. Diagnostics, 11(3), 504. https://doi.org/10.3390/diagnostics11030504

