Effects of Increased Optic Nerve Sheath Diameter on Inadequate Emergence from Anesthesia in Patients Undergoing Robot-Assisted Laparoscopic Prostatectomy: A Prospective Observational Study
Abstract
1. Introduction
2. Materials and Methods
2.1. Study Population and Recruitment
2.2. Anesthesia Protocol
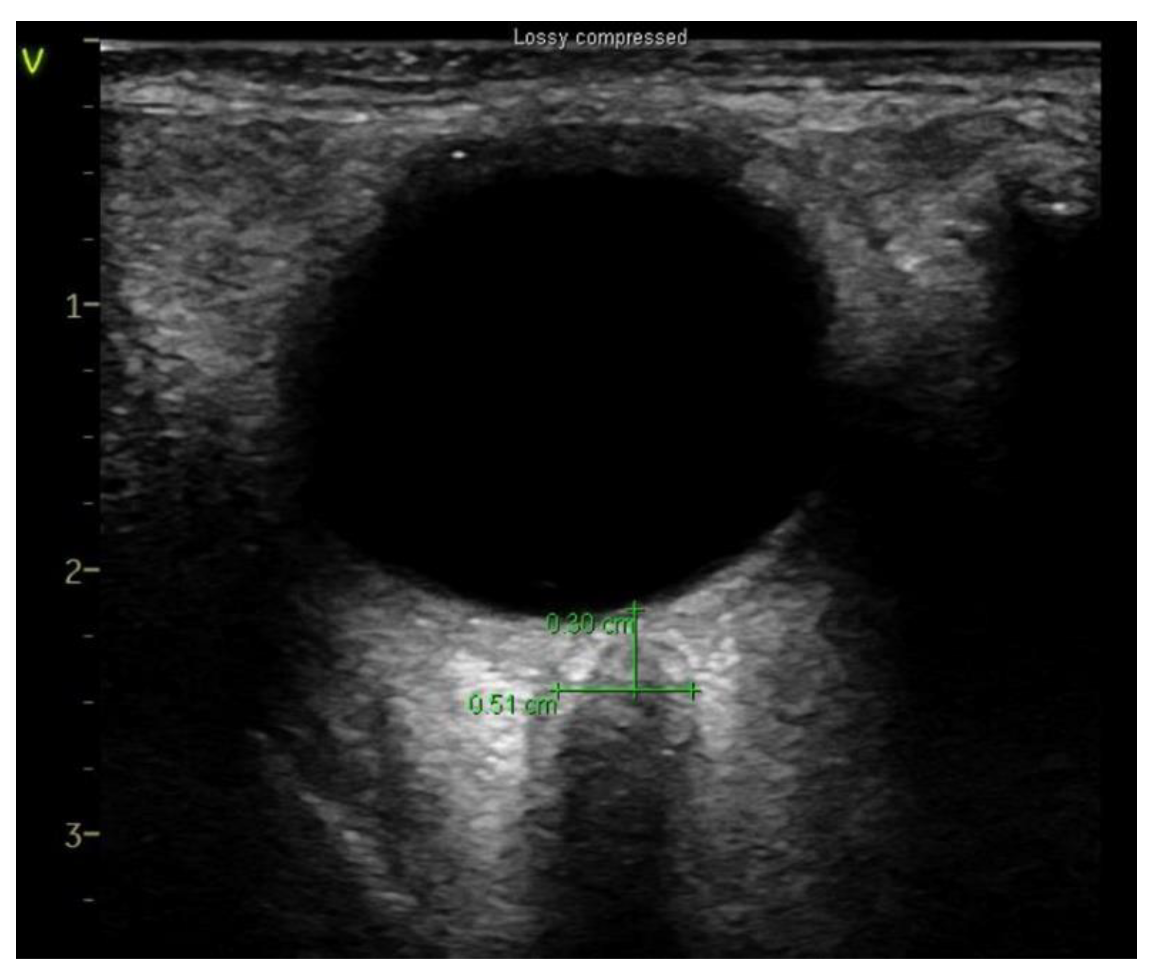
2.3. Ultrasonographic Measurement of Optic Nerve Sheath Diameter
2.4. Data Collection and Outcomes
2.5. Sample Size Calculation and Statistical Analysis
3. Results
4. Discussion
5. Conclusions
Author Contributions
Funding
Institutional Review Board Statement
Informed Consent Statement
Acknowledgments
Conflicts of Interest
References
- Chen, K.; Wang, L.; Wang, Q.; Liu, X.; Lu, Y.; Li, Y.; Wong, G.T.C. Effects of pneumoperitoneum and steep Trendelenburg position on cerebral hemodynamics during robotic-assisted laparoscopic radical prostatectomy: A randomized controlled study. Medicine 2019, 98, e15794. [Google Scholar] [CrossRef] [PubMed]
- Awad, H.; Bai, M.; Ramadan, M.E.; Shabsigh, A.; Backes, F.; Craven, M.A.; Abdel-Rasoul, M.; Bergese, S.D.; Slabaugh, M. The Effect of Increased Intraocular Pressure During Steep Trendelenburg Positioning in Robotic Prostatectomy and Hysterectomy on Structural and Functional Ocular Parameters. Anesth. Analg. 2020, 130, 975–982. [Google Scholar] [CrossRef]
- Robba, C.; Cardim, D.; Donnelly, J.; Bertuccio, A.; Bacigaluppi, S.; Bragazzi, N.; Cabella, B.; Liu, X.; Matta, B.; Lattuada, M.; et al. Effects of pneumoperitoneum and Trendelenburg position on intracranial pressure assessed using different non-invasive methods. Br. J. Anaesth. 2016, 117, 783–791. [Google Scholar] [CrossRef] [PubMed]
- Gainsburg, D.M. Anesthetic concerns for robotic-assisted laparoscopic radical prostatectomy. Minerva Anestesiol. 2012, 78, 596–604. [Google Scholar] [PubMed]
- Yilmaz, G.; Akca, A.; Kiyak, H.; Salihoglu, Z. Elevation in optic nerve sheath diameter due to the pneumoperitoneum and Trendelenburg is associated to postoperative nausea, vomiting and headache in patients undergoing laparoscopic hysterectomy. Minerva Anestesiol. 2020, 86, 270–276. [Google Scholar] [CrossRef] [PubMed]
- Weber, E.D.; Colyer, M.H.; Lesser, R.L.; Subramanian, P.S. Posterior ischemic optic neuropathy after minimally invasive prostatectomy. J. Neuroophthalmol. 2007, 27, 285–287. [Google Scholar] [CrossRef] [PubMed]
- Yamamoto, T.; Komatsu, K.; Matsuura, T.; Shimada, H.; Kimura, S.; Koike, Y.; Sasaki, H.; Miki, J.; Yamada, H.; Kimura, T.; et al. Significant, transient visual disturbance after laparoscopic radical prostatectomy. Nihon Hinyokika Gakkai Zasshi 2018, 109, 156–159. [Google Scholar] [CrossRef] [PubMed]
- George, A. Steep Trendelenburg position, intracranial pressure, and dexamethasone. Br. J. Anaesth. 2010, 105, 548–549. [Google Scholar] [CrossRef][Green Version]
- Cooke, S.J.; Paterson-Brown, S. Association between laparoscopic abdominal surgery and postoperative symptoms of raised intracranial pressure. Surg. Endosc. 2001, 15, 723–725. [Google Scholar] [CrossRef]
- Jeon, J.P.; Lee, S.U.; Kim, S.E.; Kang, S.H.; Yang, J.S.; Choi, H.J.; Cho, Y.J.; Ban, S.P.; Byoun, H.S.; Kim, Y.S. Correlation of optic nerve sheath diameter with directly measured intracranial pressure in Korean adults using bedside ultrasonography. PLoS ONE 2017, 12, e0183170. [Google Scholar] [CrossRef] [PubMed]
- Chen, L.M.; Wang, L.J.; Hu, Y.; Jiang, X.H.; Wang, Y.Z.; Xing, Y.Q. Ultrasonic measurement of optic nerve sheath diameter: A non-invasive surrogate approach for dynamic, real-time evaluation of intracranial pressure. Br. J. Ophthalmol. 2019, 103, 437–441. [Google Scholar] [CrossRef] [PubMed]
- Maissan, I.M.; Dirven, P.J.; Haitsma, I.K.; Hoeks, S.E.; Gommers, D.; Stolker, R.J. Ultrasonographic measured optic nerve sheath diameter as an accurate and quick monitor for changes in intracranial pressure. J. Neurosurg. 2015, 123, 743–747. [Google Scholar] [CrossRef] [PubMed]
- Wang, J.; Li, K.; Li, H.; Ji, C.; Wu, Z.; Chen, H.; Chen, B. Ultrasonographic optic nerve sheath diameter correlation with ICP and accuracy as a tool for noninvasive surrogate ICP measurement in patients with decompressive craniotomy. J. Neurosurg. 2019, 133, 514–520. [Google Scholar] [CrossRef] [PubMed]
- Kim, M.S.; Bai, S.J.; Lee, J.R.; Choi, Y.D.; Kim, Y.J.; Choi, S.H. Increase in intracranial pressure during carbon dioxide pneumoperitoneum with steep trendelenburg positioning proven by ultrasonographic measurement of optic nerve sheath diameter. J. Endourol. 2014, 28, 801–806. [Google Scholar] [CrossRef]
- Czosnyka, M.; Balestreri, M.; Steiner, L.; Smielewski, P.; Hutchinson, P.J.; Matta, B.; Pickard, J.D. Age, intracranial pressure, autoregulation, and outcome after brain trauma. J. Neurosurg. 2005, 102, 450–454. [Google Scholar] [CrossRef]
- Agrawal, A.; Cheng, R.; Tang, J.; Madhok, D.Y. Comparison of Two Techniques to Measure Optic Nerve Sheath Diameter in Patients at Risk for Increased Intracranial Pressure. Crit. Care Med. 2019, 47, e495–e501. [Google Scholar] [CrossRef]
- Xara, D.; Silva, A.; Mendonca, J.; Abelha, F. Inadequate emergence after anesthesia: Emergence delirium and hypoactive emergence in the Postanesthesia Care Unit. J. Clin. Anesth. 2013, 25, 439–446. [Google Scholar] [CrossRef]
- Radtke, F.M.; Franck, M.; Hagemann, L.; Seeling, M.; Wernecke, K.D.; Spies, C.D. Risk factors for inadequate emergence after anesthesia: Emergence delirium and hypoactive emergence. Minerva Anestesiol. 2010, 76, 394–403. [Google Scholar]
- Kim, K.N.; Kim, C.H.; Kim, K.I.; Yoo, H.J.; Park, S.Y.; Park, Y.H. Development and validation of the Korean Nursing Delirium Scale. J. Korean Acad. Nurs. 2012, 42, 414–423. [Google Scholar] [CrossRef]
- Gong, G.L.; Liu, B.; Wu, J.X.; Li, J.Y.; Shu, B.Q.; You, Z.J. Postoperative Cognitive Dysfunction Induced by Different Surgical Methods and Its Risk Factors. Am. Surg. 2018, 84, 1531–1537. [Google Scholar] [CrossRef]
- Kim, D.; Kim, J.K.; Yeo, J. Translation and Validation of the Korean Version of the Postoperative Quality of Recovery Score QoR-15. Biomed Res. Int. 2020, 2020, 3456234. [Google Scholar] [CrossRef] [PubMed]
- Moretti, R.; Pizzi, B. Optic nerve ultrasound for detection of intracranial hypertension in intracranial hemorrhage patients: Confirmation of previous findings in a different patient population. J. Neurosurg. Anesthesiol. 2009, 21, 16–20. [Google Scholar] [CrossRef] [PubMed]
- Chin, J.H.; Kim, W.J.; Lee, J.; Han, Y.A.; Lim, J.; Hwang, J.H.; Cho, S.S.; Kim, Y.K. Effect of Positive End-Expiratory Pressure on the Sonographic Optic Nerve Sheath Diameter as a Surrogate for Intracranial Pressure during Robot-Assisted Laparoscopic Prostatectomy: A Randomized Controlled Trial. PLoS ONE 2017, 12, e0170369. [Google Scholar] [CrossRef] [PubMed]
- Jun, I.J.; Kim, M.; Lee, J.; Park, S.U.; Hwang, J.H.; Hong, J.H.; Kim, Y.K. Effect of Mannitol on Ultrasonographically Measured Optic Nerve Sheath Diameter as a Surrogate for Intracranial Pressure During Robot-Assisted Laparoscopic Prostatectomy with Pneumoperitoneum and the Trendelenburg Position. J. Endourol. 2018, 32, 608–613. [Google Scholar] [CrossRef]
- Amini, A.; Kariman, H.; Arhami Dolatabadi, A.; Hatamabadi, H.R.; Derakhshanfar, H.; Mansouri, B.; Safari, S.; Eqtesadi, R. Use of the sonographic diameter of optic nerve sheath to estimate intracranial pressure. Am. J. Emerg. Med. 2013, 31, 236–239. [Google Scholar] [CrossRef]
- Colombo, R.; Agarossi, A.; Borghi, B.; Ottolina, D.; Bergomi, P.; Ballone, E.; Minari, C.; Della Porta, V.; Menozzi, E.; Figini, S.; et al. The effect of prolonged steep head-down laparoscopy on the optical nerve sheath diameter. J. Clin. Monit. Comput. 2020, 34, 1295–1302. [Google Scholar] [CrossRef] [PubMed]
- Robba, C.; Bacigaluppi, S.; Cardim, D.; Donnelly, J.; Sekhon, M.S.; Aries, M.J.; Mancardi, G.; Booth, A.; Bragazzi, N.L.; Czosnyka, M.; et al. Intraoperative non invasive intracranial pressure monitoring during pneumoperitoneum: A case report and a review of the published cases and case report series. J. Clin. Monit. Comput. 2016, 30, 527–538. [Google Scholar] [CrossRef]
- Lepousé, C.; Lautner, C.A.; Liu, L.; Gomis, P.; Leon, A. Emergence delirium in adults in the post-anaesthesia care unit. Br. J. Anaesth. 2006, 96, 747–753. [Google Scholar] [CrossRef]
- Kim, Y.; Choi, S.; Kang, S.; Park, B. Propofol Affects Optic Nerve Sheath Diameter less than Sevoflurane during Robotic Surgery in the Steep Trendelenburg Position. Biomed Res. Int. 2019, 2019, 5617815. [Google Scholar] [CrossRef]




| Parameter | All Patient (n = 67) | ΔONSD < 10% (n = 31) | ΔONSD ≥ 10% (n = 36) | p-Value |
|---|---|---|---|---|
| Age (years) | 68.0 ± 4.8 | 68.4 ± 5.0 | 67.8 ± 4.6 | 0.590 |
| Body mass index (kg/m2) | 25.1 ± 3.0 | 25.0 ± 3.6 | 25.2 ± 2.4 | 0.789 |
| ASA physical status (I/II/Ⅲ) | 10/43/14 | 5/19/7 | 5 / 24 /7 | 0.900 |
| Hypertension | 41/67 (61.2%) | 19/31 (61.3%) | 22/36 (61.1%) | 0.988 |
| Diabetes mellitus | 9/67 (13.4%) | 4/31 (12.9%) | 5/36 (13.9%) | >0.999 |
| Dyslipidemia | 18/67 (26.9%) | 9/31 (29.0%) | 9/36 (25.0%) | 0.710 |
| Renal dysfunction | 2/67 (3.0%) | 1/31 (3.2%) | 1/36 (2.8%) | >0.999 |
| Hepatic dysfunction | 2/67 (0.3%) | 1/31 (3.23%) | 1/36 (2.8%) | >0.999 |
| PreOP hemoglobin | 13.4 (12.8, 14) | 13.4 (13, 14) | 13.5 (12.65, 14.05) | 0.910 |
| MMSE pre | 28 (27, 29) | 28 (27, 29) | 28 (27, 29) | 0.703 |
| Anesthetic time (min) | 203.0 ± 46.5 | 207.5 ± 57.2 | 199.2 ± 35.2 | 0.487 |
| Pneumoperitoneum time (min) | 140 (111, 168) | 140 (108, 171) | 142 (115.5, 162) | 0.945 |
| Crystalloid (mL) | 750 (700, 1000) | 700 (650, 1000) | 800 (700, 950) | 0.463 |
| EBL (mL) | 200 (100, 250) | 150 (100, 250) | 200 (150, 250) | 0.138 |
| Propofol (mg) | 1500 (1240, 1800) | 1540 (1260, 1840) | 1400 (1240, 1750) | 0.673 |
| Remifentanil (mg) | 0.9 (0.75, 1.1) | 0.95 (0.75, 1.15) | 0.9 (0.75, 1.08) | 0.583 |
| Rocuronium (mg) | 100 (91, 114) | 100 (95, 120) | 102.85 (90, 110) | 0.326 |
| Opioid-PACU * | 4.67 (3.33, 6.5) | 4 (3.33, 5.33) | 4.83 (3.67, 6.83) | 0.336 |
| Parameters | All Patients (n = 67) | ΔONSD < 10% (n = 31) | ΔONSD ≥ 10% (n = 36) | p-Value |
|---|---|---|---|---|
| BIS | ||||
| T0 | 43 (34, 50) | 41 (33, 48) | 45 (38.5, 50.5) | 0.256 |
| T1 | 39 (33, 43) | 37 (31, 40) | 40 (35, 44.5) | 0.048 * |
| T2 | 45 (40, 53) | 47 (40, 56) | 43.5 (40, 50) | 0.281 |
| T3 | 59 (52, 65) | 59 (49, 67) | 59 (52, 64.5) | 0.940 |
| Heart rate | ||||
| T0 | 74 (62, 85) | 78 (67, 86) | 70 (60.5, 84.5) | 0.176 |
| T1 | 62 (56, 69) | 63 (57, 69) | 62 (56, 71) | 0.584 |
| T2 | 59 (55, 67) | 59 (54, 64) | 59.5 (55, 69.5) | 0.567 |
| T3 | 62 (55, 72) | 62 (55, 76) | 61.5 (55, 71.5) | 0.443 |
| Mean blood pressure | ||||
| T0 | 79 (70.33, 88.33) | 78 (64.67, 87) | 79 (71.67, 89.83) | 0.980 |
| T1 | 87 (79, 98) | 87 (79, 98.33) | 89 (79.33, 95.33) | 0.692 |
| T2 | 83.33 (74.33, 92.33) | 83 (72.33, 92.33) | 83.33 (74.5, 92.17) | 0.871 |
| T3 | 89.33 (78, 98.33) | 91.67 (78, 102) | 88.33 (78.5, 96) | 0.389 |
| Peak inspiratory pressure | ||||
| T0 | 15 (13, 16) | 15 (13, 18) | 14 (12.5, 16) | 0.160 |
| T1 | 23 (20, 25) | 24 (21, 26) | 23 (19.5, 25) | 0.252 |
| T2 | 16 (14, 19) | 17 (14, 20) | 15.5 (13, 18) | 0.214 |
| T3 | 16 (14, 18) | 16 (14, 18) | 15 (13, 18) | 0.380 |
| Core body temperature | ||||
| T0 | 36 (35.8, 36.2) | 36.1 (35.9, 36.3) | 36 (35.75, 36.2) | 0.119 |
| T1 | 36 (35.8, 36.3) | 36 (35.8, 36.3) | 36 (35.75, 36.2) | 0.337 |
| T2 | 36 (35.6, 36.1) | 35.9 (35.5, 36.1) | 36 (35.6, 36.1) | 0.311 |
| T3 | 36 (35.6, 36.1) | 35.9 (35.5, 36.1) | 36 (35.6, 36.1) | 0.426 |
| End tidal CO2 | ||||
| T0 | 34 (33, 36) | 35 (33, 36) | 33.5 (32.5, 35.5) | 0.259 |
| T1 | 35 (34, 36) | 35 (34, 36) | 35 (34, 35) | 0.322 |
| T2 | 36 (35, 37) | 36 (34, 37) | 36 (35.5, 38) | 0.149 |
| T3 | 36 (35, 38) | 37 (35, 38) | 36 (34, 38) | 0.205 |
| Optic nerve sheath diameter (ONSD) | ||||
| T0 | 4.4 (4.15, 4.7) | 4.45 (4.15, 4.75) | 4.35 (4.05, 4.6) | 0.190 |
| T1 | 4.8 (4.4, 5.1) | 4.55 (4.2, 4.95) | 4.88 (4.58, 5.13) | 0.110 |
| T2 | 4.7 (4.3, 5.05) | 4.65 ( 4.25, 4.95) | 4.78 (4.45, 5.1) | 0.182 |
| T3 | 4.75 (4.3, 5.1) | 4.6 (4.15, 4.95) | 4.88 (4.45, 5.18) | 0.034 * |
| Δ ONSD (%) | ||||
| Δ ONSD T0–T1 | 7 (3, 13) | 4 (1, 7) | 12 (9, 16) | <0.001 * |
| Δ ONSD T0–T2 | −1 (−3, 2) | 0 (−3, 2) | −1 (−5, 3) | 0.567 |
| Δ ONSD T0–T3 | 5 (1, 14) | 2 (0, 5) | 14 (3, 19) | <0.001 * |
| Δ ONSD max | 10 (5, 16) | 5 (2, 7) | 16 (12, 21) | <0.001 * |
| Parameters | All Patients (n = 67) | ΔONSD < 10% (n = 31) | ΔONSD ≥ 10% (n = 36) | p-Value |
|---|---|---|---|---|
| Operating room | ||||
| Inadequate emergence | 21 (31.3%) | 4 (12.9%) | 17 (47.2%) | 0.003 * |
| Hypoactive emergence | 20 (29.9%) | 4 (12.9%) | 16 (44.4%) | 0.005 * |
| Agitated emergence | 1 (1.5%) | 0 (0%) | 1 (2.8%) | >0.999 |
| Time to eye opening (min) | 9 (5, 12) | 7 (4, 12) | 9 (5.5, 12) | 0.615 |
| Time to extubation (min) | 9 (6, 11) | 9 (6, 12) | 9.5 (7, 11) | 0.557 |
| PACU | ||||
| Inadequate emergence | 14 (20.9%) | 4 (12.9%) | 10 (27.8%) | 0.228 |
| Hypoactive emergence | 10 (14.9%) | 3 (9.7%) | 7 (19.4%) | 0.320 |
| Agitated emergence | 4 (6.0%) | 1 (3.2%) | 3 (8.3%) | 0.618 |
| Time to RASS 0 (min) | 35 (27, 47) | 34 (22, 47) | 37 (30, 46.5) | 0.379 |
| Neurologic deficits | 9 (13.4%) | 3 (9.7%) | 6 (16.8%) | 0.488 |
| Delirium | 4 (6.0%) | 1 (3.2%) | 3 (8.3%) | 0.618 |
| Headache | 2 (3.0%) | 0 (0%) | 2 (5.6%) | 0.495 |
| Dizziness | 3 (4.5%) | 2 (6.5%) | 1 (2.8%) | 0.592 |
| PONV | 2 (3.0%) | 2 (6.5%) | 0 (0%) | 0.210 |
| PACU stay (min) | 63 (57, 69) | 62 (58, 67) | 64 (56, 72) | 0.521 |
| Ward | ||||
| Neurologic deficits | 18 (26.9%) | 10 (32.3%) | 8 (22.2%) | 0.356 |
| POCD | 13 (19.4%) | 8 (25.8%) | 5 (14.0%) | 0.219 |
| Delirium | 4 (6.0%) | 2 (6.5%) | 2 (5.6%) | >0.999 |
| Headache | 4 (6.0%) | 3 (9.68%) | 1 (2.8%) | 0.329 |
| Dizziness | 14 (20.9%) | 7 (19.4%) | 7 (22.6%) | 0.753 |
| PONV | 18 (26.9) | 9 (29.0%) | 9 (25.0%) | 0.710 |
| Recue analgesics (No.) | 2/3/1 | 1//2/1 | 1/1/0 | 0.697 |
| QoR -15 | 129 (111, 134) | 130.5 (111, 136) | 129 (112, 132.5) | 0.634 |
| LOS (day) | 7 (6, 8) | 7 (6, 8) | 7 (6, 8) | 0.249 |
Publisher’s Note: MDPI stays neutral with regard to jurisdictional claims in published maps and institutional affiliations. |
© 2021 by the authors. Licensee MDPI, Basel, Switzerland. This article is an open access article distributed under the terms and conditions of the Creative Commons Attribution (CC BY) license (https://creativecommons.org/licenses/by/4.0/).
Share and Cite
Bang, Y.J.; Jeong, H.; Heo, B.Y.; Shin, B.S.; Sim, W.S.; Kim, D.-K.; Lee, S.H.; Kim, J.S.; Shin, Y.H. Effects of Increased Optic Nerve Sheath Diameter on Inadequate Emergence from Anesthesia in Patients Undergoing Robot-Assisted Laparoscopic Prostatectomy: A Prospective Observational Study. Diagnostics 2021, 11, 2260. https://doi.org/10.3390/diagnostics11122260
Bang YJ, Jeong H, Heo BY, Shin BS, Sim WS, Kim D-K, Lee SH, Kim JS, Shin YH. Effects of Increased Optic Nerve Sheath Diameter on Inadequate Emergence from Anesthesia in Patients Undergoing Robot-Assisted Laparoscopic Prostatectomy: A Prospective Observational Study. Diagnostics. 2021; 11(12):2260. https://doi.org/10.3390/diagnostics11122260
Chicago/Turabian StyleBang, Yu Jeong, Heejoon Jeong, Burn Young Heo, Byung Seop Shin, Woo Seog Sim, Duk-Kyung Kim, Sang Hyun Lee, Ji Su Kim, and Young Hee Shin. 2021. "Effects of Increased Optic Nerve Sheath Diameter on Inadequate Emergence from Anesthesia in Patients Undergoing Robot-Assisted Laparoscopic Prostatectomy: A Prospective Observational Study" Diagnostics 11, no. 12: 2260. https://doi.org/10.3390/diagnostics11122260
APA StyleBang, Y. J., Jeong, H., Heo, B. Y., Shin, B. S., Sim, W. S., Kim, D.-K., Lee, S. H., Kim, J. S., & Shin, Y. H. (2021). Effects of Increased Optic Nerve Sheath Diameter on Inadequate Emergence from Anesthesia in Patients Undergoing Robot-Assisted Laparoscopic Prostatectomy: A Prospective Observational Study. Diagnostics, 11(12), 2260. https://doi.org/10.3390/diagnostics11122260

