Characterization of PD-1/PD-L1 Immune Checkpoint Expression in Osteosarcoma
Abstract
1. Introduction
2. Materials and Methods
Statistical Analyses
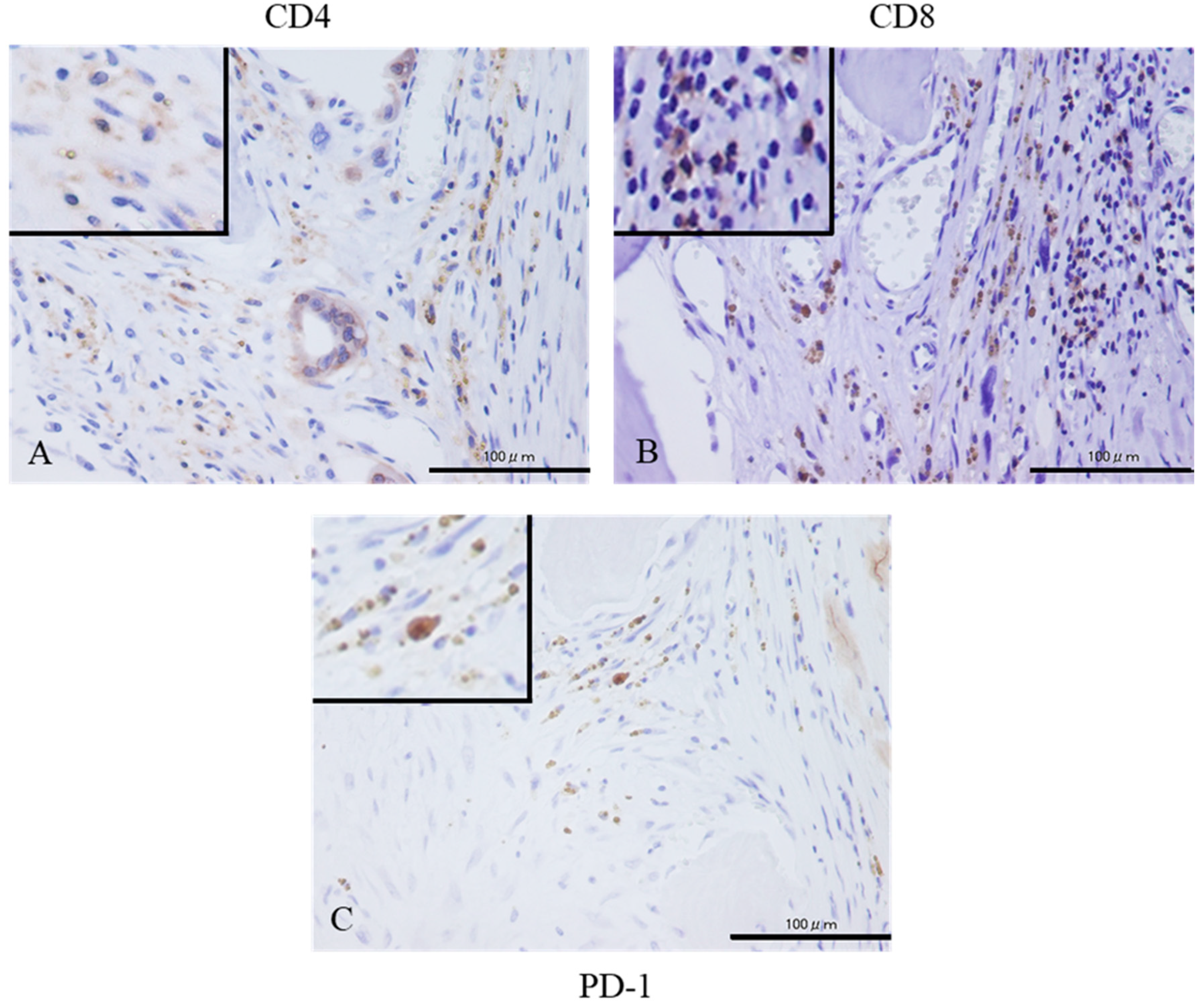
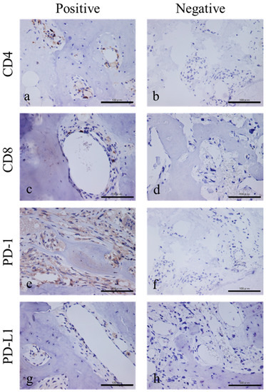
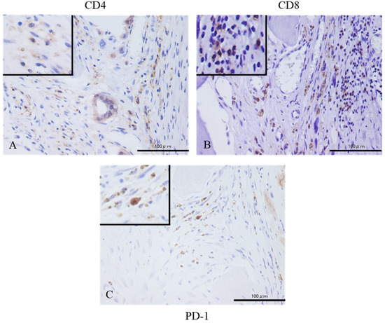
3. Results
4. Discussion
Author Contributions
Funding
Acknowledgments
Conflicts of Interest
Abbreviations
| PD-1 | programmed cell death 1 |
| PD-L1 | PD-ligand 1 |
| ALP | alkaline phosphatase |
| SUV | standardized uptake value |
References
- Ritter, J.; Bielack, S.S. Osteosarcoma. Ann. Oncol. 2010, 21 (Suppl. 7), 320–325. [Google Scholar]
- Link, M.P.; Goorin, A.M.; Miser, A.W.; Green, A.A.; Pratt, C.B.; Belasco, J.B.; Pritchard, J.; Malpas, J.S.; Baker, A.R.; Kirkpatrick, J.A. The effect of adjuvant chemotherapy on relapse-free survival in patients with osteosarcoma of the extremity. N. Engl. J. Med. 1986, 314, 1600–1606. [Google Scholar] [CrossRef]
- Lussier, D.M.; O’Neill, L.; Nieves, L.M.; McAfee, M.S.; Holecheck, S.A.; Collins, A.W.; Dickman, P.; Jacobsen, J.; Hingorani, P.; Blattman, J.N. Enhanced T-cell immunity to osteosarcoma through antibody blockade of PD-1/PD-L1 interactions. J. Immunother. 2015, 38, 96–106. [Google Scholar] [CrossRef] [PubMed]
- Zheng, B.; Ren, T.; Huang, Y.; Sun, K.; Wang, S.; Bao, X.; Liu, K.; Guo, W. PD-1 axis expression in musculoskeletal tumors and antitumor effect of nivolumab in osteosarcoma model of humanized mouse. J. Hematol. Oncol. 2018, 11, 16. [Google Scholar] [CrossRef] [PubMed]
- Wu, Y.; Chen, W.; Xu, X.P.; Gu, W. PD-L1 distribution and perspective for cancer immunotherapy—Blockade, knockdown, or inhibition. Front. Immunol. 2019, 10, 2022. [Google Scholar] [CrossRef] [PubMed]
- Huang, X.; Zhang, W.; Zhang, Z.; Shi, D.; Wu, F.; Zhong, B.; Shao, Z. Prognostic value of programmed cell death 1 ligand-1 (PD-L1) or PD-1 expression in patients with osteosarcoma: A meta-analysis. J. Cancer 2018, 9, 2525–2531. [Google Scholar] [CrossRef]
- Liu, Z.; Wen, J.; Wu, C.; Hu, C.; Wang, J.; Bao, Q.; Wang, H.; Wang, J.; Zhou, Q.; Wei, L.; et al. MicroRNA-200a induces immunosuppression by promoting PTEN-mediated PD-L1 upregulation in osteosarcoma. Aging 2020, 12, 1213–1236. [Google Scholar] [CrossRef]
- Merchant, M.S.; Melchionda, F.; Sinha, M.; Khanna, C.; Helman, L.; Mackall, C.L. Immune reconstitution prevents metastatic recurrence of murine osteosarcoma. Cancer Immunol. Immunother. 2007, 56, 1037–1046. [Google Scholar] [CrossRef]
- Paydas, S.; Bagir, E.K.; Deveci, M.A.; Gonlusen, G. Clinical and prognostic significance of PD-1 and PD-L1 expression in sarcomas. Med. Oncol. 2016, 33, 93. [Google Scholar] [CrossRef]
- Chen, S.; Guenther, L.M.; Aronhalt, A.; Cardillo, L.; Janeway, K.A.; Church, A.J. PD-1 and PD-L1 expression in osteosarcoma: Which specimen to evaluate? J. Pediatr. Hematol. Oncol. 2019. [Google Scholar] [CrossRef]
- Shen, J.K.; Cote, G.M.; Choy, E.; Yang, P.; Harmon, D.; Schwab, J.; Nielsen, G.P.; Chebib, I.; Ferrone, S.; Wang, X.; et al. Programmed cell death ligand 1 expression in osteosarcoma. Cancer Immunol. Res. 2014, 2, 690–698. [Google Scholar] [CrossRef] [PubMed]
- Zheng, W.; Xiao, H.; Liu, H.; Zhou, Y. Expression of programmed death 1 is correlated with progression of osteosarcoma. APMIS 2015, 123, 102–107. [Google Scholar] [CrossRef] [PubMed]
- Linton, P.J.; Dorshkind, K. Age-related changes in lymphocyte development and function. Nat. Immunol. 2004, 5, 133–139. [Google Scholar] [CrossRef]
- Sadighi Akha, A.A.; Miller, R.A. Signal transduction in the aging immune system. Curr. Opin. Immunol. 2005, 17, 486–491. [Google Scholar] [CrossRef] [PubMed]
- Shimada, Y.; Hayashi, M.; Nagasaka, Y.; Ohno-Iwashita, Y.; Inomata, M. Age-associated upregulation of a negative co-stimulatory receptor PD-1 in mouse CD4+ T cells. Exp. Gerontol. 2009, 44, 517–522. [Google Scholar]
- Que, Y.; Xiao, W.; Guan, Y.X.; Liang, Y.; Yan, S.M.; Chen, H.Y.; Li, Q.Q.; Xu, B.S.; Zhou, Z.W.; Zhang, X. PD-L1 expression is associated with FOXP3+ regulatory T-cell infiltration of soft tissue sarcoma and poor patient prognosis. J. Cancer 2017, 8, 2018–2025. [Google Scholar] [CrossRef]
- Harting, M.T.; Lally, K.P.; Andrassy, R.J.; Vaporciyan, A.A.; Cox, C.S.; Hayes-Jordan, A.; Blakley, M.L. Age as a prognostic factor for patients with osteosarcoma: An analysis of 438 patients. J. Cancer Res. Clin. Oncol. 2010, 136, 561–570. [Google Scholar] [CrossRef]
- Bieling, P.; Rehan, N.; Winkler, P.; Helmke, K.; Maas, R.; Fuchs, N.; Bielack, S.; Heise, U.; Jurgens, H.; Treuner, J.; et al. Tumor size and prognosis in aggressively treated osteosarcoma. J. Clin. Oncol. 1996, 14, 848–858. [Google Scholar] [CrossRef]
- Tsuda, Y.; Ogura, K.; Shinoda, Y.; Kobayashi, H.; Tanaka, S.; Kawai, A. The outcomes and prognostic factors in patients with osteosarcoma according to age: A Japanese nationwide study with focusing on the age differences. BMC Cancer 2018, 18, 614. [Google Scholar] [CrossRef]
- Kim, S.H.; Shin, K.H.; Moon, S.H.; Jang, J.; Kim, H.S.; Suh, J.S.; Yang, W.I. Reassessment of alkaline phosphatase as serum tumor marker with high specificity in osteosarcoma. Cancer Med. 2017, 6, 1311–1322. [Google Scholar] [CrossRef]
- Rui, G.; Yifu, S. Does serum alkaline phosphatase level really indicate the prognosis in patients with osteosarcoma? A meta-analysis. J. Cancer Res. Ther. 2018, 14, 468–472. [Google Scholar]
- Costelloe, C.M.; Macapinlac, H.A.; Madewell, J.E.; Fitzgerald, N.E.; Mawlawi, O.R.; Rohren, E.M.; Raymond, A.K.; Lewis, V.O.; Anderson, P.M.; Bassett, R.L.; et al. 18F-FDG PET/CT as an indicator of progression-free and overall survival in osteosarcoma. J. Nucl. Med. 2009, 50, 340–347. [Google Scholar] [CrossRef] [PubMed]
- Hamada, K.; Tomita, Y.; Inoue, A.; Fujimoto, T.; Hashimoto, N.; Myoui, A.; Yoshikawa, H.; Hatazawa, A. Evaluation of chemotherapy response in osteosarcoma with FDG-PET. Ann. Nucl. Med. 2009, 23, 89–95. [Google Scholar] [CrossRef] [PubMed]
- Koirala, P.; Roth, M.; Gill, J.; Piperdi, S.; Chinai, J.M.; Geller, D.S.; Hoang, B.H.; Park, A.; Fremed, M.A.; Zang, X.; et al. Immune infiltration and PD-L1 expression in the tumor microenvironment are prognostic in osteosarcoma. Sci. Rep. 2016, 6, 30093. [Google Scholar] [CrossRef]
- Kim, J.R.; Moon, Y.J.; Kwon, K.S.; Bae, J.S.; Wagle, S.; Kim, K.M.; Park, H.S.; Lee, H.; Moon, W.S.; Chung, M.J.; et al. Tumor infiltrating PD-1-positive lymphocytes and the expression of PD-L1 predict poor prognosis of soft tissue sarcomas. PLoS ONE 2013, 8, e82870. [Google Scholar] [CrossRef] [PubMed]
- Yoshida, K.; Okamoto, M.; Sasaki, J.; Kuroda, C.; Ishida, H.; Ueda, K.; Okano, S.; Ideta, H.; Kamanaka, T.; Sobajima, A.; et al. Clinical outcome of osteosarcoma and its correlation with programmed death-ligand 1 and T cell activation markers. Onco Targets Ther. 2019, 12, 2513–2518. [Google Scholar] [CrossRef] [PubMed]



| Patient No. | Age (y)/Sex | Site | Stage | Treatment | Chemotherapy | Local Recurrence | Metastasis | Follow-Up (mo) | Outcome | CD4 | CD8 | PD-1 | PD-L1 |
|---|---|---|---|---|---|---|---|---|---|---|---|---|---|
| 1 | 17/M | Tibia | IVB | CT, WR | NECO-95J | + | + | 43 | DOD | + | + | - | + |
| 2 | 8/M | Humerus | III | CT, WR | NECO-95J | - | + | 29 | CDF | + | + | + | + |
| 3 | 52/M | Pelvis | IIB | CT, WR | NECO-95J | + | - | 32 | AWD | + | + | - | - |
| 4 | 14/M | Tibia | IIA | CT, WR | NECO-95J | - | - | 24 | CDF | + | - | - | + |
| 5 | 13/F | Femur | IIB | CT, WR | NECO-95J | - | - | 65 | CDF | + | + | - | - |
| 6 | 15/F | Femur | IIA | CT, WR | NECO-95J | - | - | 84 | CDF | + | + | - | + |
| 7 | 36/F | Tibia | IIA | CT, WR | NECO-95J | - | - | 40 | CDF | + | + | - | + |
| 8 | 51/M | Humerus | IA | CT, MR | IA | - | - | 44 | CDF | + | + | - | + |
| 9 | 74/M | Radius | IIB | CT, WR | IA × 80% | - | - | 14 | CDF | + | + | + | + |
| 10 | 16/M | Tibia | IIB | CT, WR | NECO-95J | - | - | 39 | CDF | - | - | - | - |
| 11 | 36/F | Tibia | IIA | CT, MR | NECO-95J | + | - | 54 | NED | + | - | + | + |
| 12 | 24/M | Fibula | IIA | CT, WR | NECO-95J | - | - | 165 | CDF | - | - | - | - |
| 13 | 28/F | Humerus | IIA | CT, WR | NECO-95J | - | + | 15 | DOD | - | + | - | - |
| 14 | 32 | Pelvis | IIB | CT, HPR | - | - | 55 | AWD | + | + | - | - | |
| 15 | 28 | Pelvis | IIB | CT, HPR | NECO-95J | - | - | 10 | DOD | + | + | - | + |
| 16 | 63 | Femur | IIA | WR | None | + | + | 13 | DOD | - | + | - | + |
| Clinical Parameter | PD-1 | PD-L1 | p-Value (PD-1/PD-L1) | ||
|---|---|---|---|---|---|
| Positive | Negative | Positive | Negative | ||
| Age (y.o) | 36 ± 33.1 | 28 ± 16.4 | 32 ± 22.3 | 26 ± 13.9 | 0.53/0.56 |
| Size (cm) | 12 ± 15.5 | 15.5 ± 30.0 | 26.7 ± 35.3 | 58.5 ± 20.2 | 0.85/0.065 |
| ALP (U/L) | 273 ± 199.3 | 363.5 ± 294.5 | 266 ± 278.9 | 368 ± 274.7 | 0.63/0.53 |
| SUV-max value | 12.7 ± 6.56 | 10.5 ± 5.47 | 11.1 ± 5.51 | 11.3 ± 1.15 | 0.62/0.48 |
© 2020 by the authors. Licensee MDPI, Basel, Switzerland. This article is an open access article distributed under the terms and conditions of the Creative Commons Attribution (CC BY) license (http://creativecommons.org/licenses/by/4.0/).
Share and Cite
Hashimoto, K.; Nishimura, S.; Akagi, M. Characterization of PD-1/PD-L1 Immune Checkpoint Expression in Osteosarcoma. Diagnostics 2020, 10, 528. https://doi.org/10.3390/diagnostics10080528
Hashimoto K, Nishimura S, Akagi M. Characterization of PD-1/PD-L1 Immune Checkpoint Expression in Osteosarcoma. Diagnostics. 2020; 10(8):528. https://doi.org/10.3390/diagnostics10080528
Chicago/Turabian StyleHashimoto, Kazuhiko, Shunji Nishimura, and Masao Akagi. 2020. "Characterization of PD-1/PD-L1 Immune Checkpoint Expression in Osteosarcoma" Diagnostics 10, no. 8: 528. https://doi.org/10.3390/diagnostics10080528
APA StyleHashimoto, K., Nishimura, S., & Akagi, M. (2020). Characterization of PD-1/PD-L1 Immune Checkpoint Expression in Osteosarcoma. Diagnostics, 10(8), 528. https://doi.org/10.3390/diagnostics10080528

