Cone-Beam CT-Guided Lung Biopsies: Results in 94 Patients
Abstract
1. Introduction
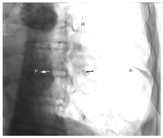
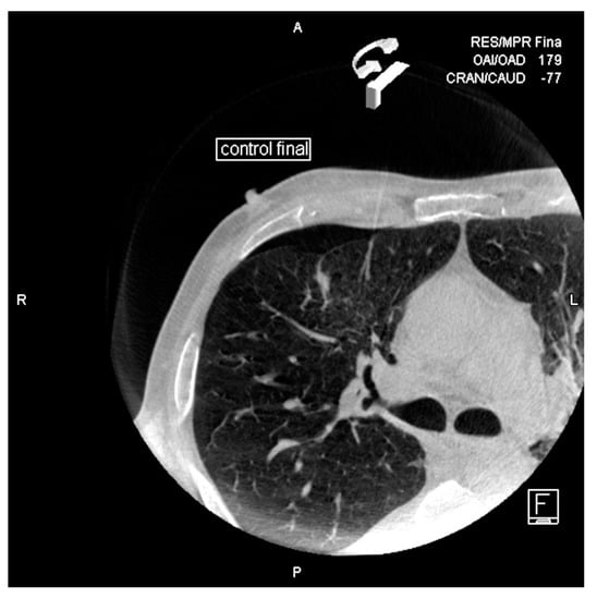
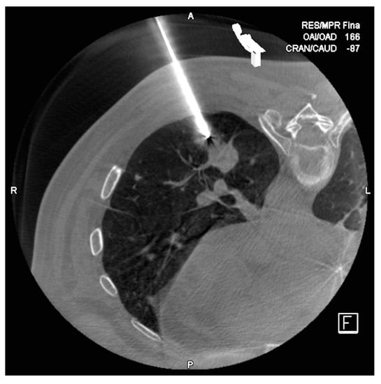
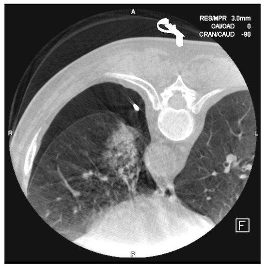
2. Materials and Methods
2.1. Ethics Committee
2.2. Statistical Analysis
3. Results
3.1. Diagnostic Accuracy
3.2. Complications Related to PTB and Its Influencing Factors
3.3. Radiation
4. Discussion
5. Conclusions
Highlight
- Cone-Beam CT-guided biopsy is a highly accurate and safe technique with a sensitivity of 91.5% and a specificity of 100%.
- Risk factors for pneumothorax are a deeper location of the nodule and prone position of the patient in the procedure.
- Alveolar hemorrhage and hemoptysis are the other usual complications and are more frequent in small and deeper lesions.
Author Contributions
Funding
Conflicts of Interest
References
- Ohno, Y.; Hatabu, H.; Takenaka, D.; Higashino, T.; Watanabe, H.; Ohbayashi, C.; Sugimura, K. CT-guided transthoracic needle aspiration biopsy of small (< or = 20 mm) solitary pulmonary nodules. Am. J. Roentgenol. 2003, 180, 1665–1669. [Google Scholar] [CrossRef]
- Geraghty, P.R.; Kee, S.T.; McFarlane, G.; Razavi, M.K.; Sze, D.Y.; Dake, M.D. CT-guided transthoracic needle aspiration biopsy of pulmonary nodules: Needle size and pneumothorax rate. Radiology 2003, 229, 475–481. [Google Scholar] [CrossRef]
- Hiraki, T.; Mimura, H.; Gobara, H.; Iguchi, T.; Fujiwara, H.; Sakurai, J.; Matsui, Y.; Inoue, D.; Toyooka, S.; Sano, Y.; et al. CT fluoroscopy-guided biopsy of 1000 pulmonary lesions performed with 20-gauge co-axial cutting needles: Diagnostic yield and risk factors for diagnostic failure. Chest 2009, 136, 1612–1617. [Google Scholar] [CrossRef]
- Wacker, F.K.; Meyer, B. Interventions using C-arm computed tomography. In CT- and MR-Guided Inter-Ventions in Radiology; Mahnken, A.H., Ricke, J., Eds.; Springer: Heidelberg, Germany, 2008; pp. 370–381. [Google Scholar]
- Kim, G.R.; Hur, J.; Lee, S.M.; Lee, H.-J.; Hong, Y.J.; Nam, J.E.; Kim, H.S.; Kim, Y.J.; Choi, B.W.; Kim, T.H.; et al. CT fluoroscopyguided lung biopsy versus conventional CT-guided lung biopsy: A prospective controlled study to assess radiation doses and diagnostic performance. Eur. Radiol. 2011, 21, 232–239. [Google Scholar] [CrossRef]
- Jin, K.N.; Park, C.M.; Goo, J.M.; Lee, H.J.; Lee, Y.; Kim, J.I.; Choi, S.Y.; Kim, H.-C. Initial experience of percutaneous transthoracic needle biopsy of lung nodules using C-arm cone-beam CT systems. Eur. Radiol. 2010, 20, 2108–2115. [Google Scholar] [CrossRef] [PubMed]
- Kalender, W.A.; Kyriakou, Y. Flat-detector computed tomography (FD-CT). Eur. Radiol. 2007, 17, 2767–2779. [Google Scholar] [CrossRef]
- Gupta, R.; Cheung, A.C.; Bartling, S.H.; Lisauskas, J.; Grasruck, M.; Leidecker, C.; Schmidt, B.; Flohr, T.; Brady, T.J. Flat-panel volume CT: Fundamental principles, technology, and applications. RadioGraphics 2008, 28, 2009–2022. [Google Scholar] [CrossRef] [PubMed]
- Wallace, M.J.; Kuo, M.D.; Glaiberman, C.; Binkert, C.A.; Orth, R.C.; Soulez, G.; Technology Assessment Committee of the Society of Interventional Radiology. Three-dimensional C-arm cone-beam CT: Applications in the interventional suite. J. Vasc. Interv. Radiol. 2009, 20 (Suppl. 7), S523–S537. [Google Scholar] [CrossRef] [PubMed]
- Abi-Jaoudeh, N.; Fisher, T.; Jacobus, J.; Skopec, M.; Radaelli, A.; van der Bom, I.M.; Wesley, R.; Wood, B.J. Prospective Randomized Trial for Image-Guided Biopsy Using Cone-Beam CT Navigation Compared with Conventional CT. J. Vasc. Interv. Radiol. 2016, 27, 1342–1349. [Google Scholar] [CrossRef] [PubMed]
- Rotolo, N.; Floridi, C.; Imperatori, A.; Fontana, F.; Ierardi, A.M.; Mangini, M.; Arlant, V.; de Marchi, G.; Novario, R.; Dominioni, L.; et al. Comparison of conebeam CT-guided and CT fluoroscopy-guided transthoracic needle biopsy of lung nodules. Eur. Radiol. 2016, 26, 381–389. [Google Scholar] [CrossRef]
- Hwang, H.S.; Chung, M.J.; Lee, J.W.; Shin, S.W.; Lee, K.S. C-arm cone-beam CT-guided percutaneous transthoracic lung biopsy: Usefulness in evaluation of small pulmonary nodules. Am. J. Roentgenol. 2010, 195, W400–W407. [Google Scholar] [CrossRef] [PubMed]
- Choi, J.W.; Park, C.M.; Goo, J.M.; Park, Y.-K.; Sung, W.; Lee, H.-J.; Lee, S.M.; Ko, J.Y.; Shim, M.-S. C-arm cone-beam CT-guided percutaneous transthoracic needle biopsy of small (20 mm) lung nodules: Diagnostic accuracy and complications in 161 patients. Am. J. Roentgenol. 2012, 199, W322–W330. [Google Scholar] [CrossRef] [PubMed]
- Choo, J.Y.; Park, C.M.; Lee, N.K.; Lee, S.M.; Lee, H.J.; Goo, J.M. Percutaneous transthoracic needle biopsy of small (1 cm) lung nodules under C-arm cone-beam CT virtual navigation guidance. Eur. Radiol. 2013, 23, 712–719. [Google Scholar] [CrossRef] [PubMed]
- Choi, M.J.; Kim, Y.; Hong, Y.S.; Shim, S.S.; Lim, S.M.; Lee, J.K. Transthoracic needle biopsy using a C-arm cone-beam CT system: Diagnostic accuracy and safety. Br. J. Radiol. 2012, 85, e182–e187. [Google Scholar] [CrossRef]
- Braak, S.J.; Herder, G.J.; van Heesewijk, J.P.; van Strijen, M.J. Pulmonary masses: Initial results of cone-beam CT guidance with needle planning software for percutaneous lung biopsy. Cardiovasc. Interv. Radiol. 2012, 35, 1414–1421. [Google Scholar] [CrossRef]
- Lee, W.J.; Chong, S.; Seo, J.S.; Shim, H.J. Trans-thoracic fine-needle aspiration biopsy of the lungs using a C-arm cone-beam CT system: Diagnostic accuracy and post-procedural complications. Br. J. Radiol. 2012, 85, e217–e222. [Google Scholar] [CrossRef]
- Lee, S.M.; Park, C.M.; Lee, K.H.; Bahn, Y.E.; Kim, J.I.; Goo, J.M. C-arm cone-beam CT-guided percutaneous transthoracic needle biopsy of lung nodules: Clinical experience in 1108 patients. Radiology 2014, 271, 291–300. [Google Scholar] [CrossRef]
- Wattanasatesiri, T.; Puntu, W.; Vithitsuvanakul, N. Influencing factors of pneumothorax and parenchymal haemorrhage after CT-guided transthoracic needle biopsy: Single-institution experience. Pol. J. Radiol. 2018, 83, e379–e388. [Google Scholar] [CrossRef]
- Fior, D.; Vacirca, F.; Leni, D.; Pagni, F.; Ippolito, D.; Riva, L.; Sironi, S.; Corso, R. Virtual Guidance of Percutaneous Transthoracic Needle Biopsy with C-Arm Cone-Beam CT: Diagnostic Accuracy, Risk Factors and Effective Radiation Dose. Cardiovasc. Interv. Radiol. 2019, 42, 712–719. [Google Scholar] [CrossRef]
- Hiraki, T.; Mimura, H.; Gobara, H.; Shibamoto, K.; Inoue, D.; Matsui, Y.; Kanazawa, S. Incidence of and risk factors for pneumothorax and chest tube placement after CT fluoroscopy-guided percutaneous lung biopsy: Retrospective analysis of the procedures conducted over a 9-year period. Am. J. Roentgenol. 2010, 194, 809–814. [Google Scholar] [CrossRef]
- Yeow, K.M.; Su, I.H.; Pan, K.T.; Tsay, P.K.; Lui, K.W.; Cheung, Y.C.; Chou, A.S.B. Risk factors of pneumothorax and bleeding: Multivariate analysis of 660 CT-guided coaxial cutting needle lung biopsies. Chest 2004, 126, 748–754. [Google Scholar] [CrossRef] [PubMed]
- Kazerooni, E.A.; Lim, F.T.; Mikhail, A.; Martinez, F.J. Risk of pneumothorax in CT-guided transthoracic needle aspiration biopsy of the lung. Radiology 1996, 198, 371–375. [Google Scholar] [CrossRef] [PubMed]
- Yeow, K.M.; See, L.C.; Lui, K.W.; Lin, M.C.; Tsao, T.C.; Ng, K.F.; Liu, H.P. Risk factors for pneumothorax and bleeding after CT-guided percutaneous coaxial cutting needle biopsy of lung lesions. J. Vasc. Interv. Radiol. 2001, 12, 1305–1312. [Google Scholar] [CrossRef]
- Shiekh, Y.; Haseeb, W.A.; Feroz, I.; Shaheen, F.A.; Gojwari, T.A.; Choh, N.A. Evaluation of various patient-, lesion-, and procedure-related factors on the occurrence of pneumothorax as a complication of CT-guided percutaneous transthoracic needle biopsy. Pol. J. Radiol. 2019, 84, e73–e79. [Google Scholar] [CrossRef]
- Heerink, W.J.; de Bock, G.H.; de Jonge, G.J.; Groen, H.J.; Vliegenthart, R.; Oudkerk, M. Complication rates of CT-guided transthoracic lung biopsy: Meta-analysis. Eur. Radiol. 2017, 27, 138–148. [Google Scholar] [CrossRef]
- Cox, J.E.; Chiles, C.; McManus, C.M.; Aquino, S.L.; Choplin, R.H. Transthoracic needle aspiration biopsy: Variables that affect risk of pneumothorax. Radiology 1999, 212, 165–168. [Google Scholar] [CrossRef]
- Chen, C.H.; Huang, W.M.; Liang, S.H.; Jhou, Z.Y.; Chen, C.W.; Chien, Y.C.; Lin, H.C.; Wang, C.H.; Huang, C.C.; Liao, W.N.; et al. Does biopsy needle traversing through central portion of lesion increase the risk of hemoptysis during percutaneous transthoracic needle biopsy? Jpn. J. Radiol. 2018, 36, 231–237. [Google Scholar] [CrossRef]
- Liew, C. The future of radiology augmented with Artificial Intelligence: A strategy for success. Eur. J. Radiol. 2018, 102, 152–156. [Google Scholar] [CrossRef]
- Hosny, A.; Parmar, C.; Quackenbush, J.; Schwartz, L.H.; Aerts, H.J.W.L. Artificial intelligence in radiology. Nat. Rev. Cancer 2018, 18, 500–510. [Google Scholar] [CrossRef]
- Kann, B.H.; Thompson, R.; Thomas, C.R., Jr.; Dicker, A.; Aneja, S. Artificial Intelligence in Oncology: Current Applications and Future Directions. Oncology 2019, 33, 46–53. [Google Scholar]








| Sample Description | n (%) | CI 95% | Mean ± SD | Median | Range |
|---|---|---|---|---|---|
| Gender | |||||
| Male | 72 (73.5) | 64.2–82.7 | |||
| Female | 26 (26.5) | 17.3–35.8 | |||
| Age | 98 | 68.6 ± 9.03 | 69.6 | 42.4–89.2 | |
| Lesion size (mm) | 98 | 35.6 ± 20.6 | 28.5 | 10–120 | |
| Distance from pleura to lesion (cm) | 98 | 1.3 ± 2.6 | 0 | 0–15 | |
| Area dose (microGy/m2) | 71 | 11,722.4 ± 6681.4 | 10,605 | 1534–33,503 | |
| Total dose (milliGy) | 71 | 567.5 ± 329.9 | 538 | 94–1533 | |
| Radiation time (min) | 71 | 4.9 ± 2.4 | 4.6 | 1.5–12.8 |
| Sample | With Pneumothorax (n = 38) | Without Pneumothorax (n = 60) | p | OR (CI 95%) | ||
|---|---|---|---|---|---|---|
| n (%) | Mean ± SD | n (%) | Mean ± SD | |||
| Age | 38 | 67.3 ± 8.1 | 60 | 69.5 ± 9.5 | 0.277 | 0.9 (0.9–1.0) |
| Gender | ||||||
| Male | 31 (81.6) | 41 (68.3) | 2.1 (0.76–5.5) | |||
| Female | 7 (18.4) | 19 (31.7) | 1 | |||
| Smoker | 0.499 | 1.5 (0.5–4.6) | ||||
| Yes | 33 (86.8) | 5 (13.2) | ||||
| No | 49 (81.7) | 11 (18.3) | ||||
| Patient position | 0.020 | |||||
| Supine | 10 (26.3) | 30 (50.0) | ||||
| Prone | 28 (73.7) | 30 (50.0) | 2.8 (1.1–6.7) | |||
| Nodule location | 0.476 | |||||
| RUL | 9 (23.7) | 19 (31.7) | ||||
| ML | 1 (2.6) | 2 (3.3) | ||||
| RLL | 6 (15.8) | 8 (13.3) | ||||
| LUL | 10 (26.3) | 21 (35.0) | ||||
| LLL | 12 (31.6) | 10 (16.7) | ||||
| Paramediastinic | 5 (13.2) | 12 (20.0) | 0.383 | 0.6 (0.2–1.9) | ||
| Cisure | 9 (23.7) | 6 (10.0) | 0.067 | 2.8 (0.9–8.6) | ||
| Subpleural | 15 (39.5) | 41 (68.3) | 0.005 | 0.3 (0.1–0.7) | ||
| Nodule size (mm) | 38 | 30.0 ± 16.4 | 60 | 39.1 ± 22.4 | 0.030 | 0.9 (0.9–0.9) |
| Distance from pleura to nodule (cm) | 38 | 1.4 ± 1.7 | 60 | 1.3 ± 2.9 | 0.007 | 1.02 (0.8–1.1) |
| Number of tissue samplings | 38 | 2.1 ± 0.6 | 60 | 2.1 ± 0.4 | 0.955 | |
| Hemoptysis | ||||||
| Yes | 0 | 38 (100) | ||||
| No | 2 (3.3) | 58 (96.7) | ||||
Publisher’s Note: MDPI stays neutral with regard to jurisdictional claims in published maps and institutional affiliations. |
© 2020 by the authors. Licensee MDPI, Basel, Switzerland. This article is an open access article distributed under the terms and conditions of the Creative Commons Attribution (CC BY) license (http://creativecommons.org/licenses/by/4.0/).
Share and Cite
Gulias-Soidan, D.; Crus-Sanchez, N.M.; Fraga-Manteiga, D.; Cao-González, J.I.; Balboa-Barreiro, V.; González-Martín, C. Cone-Beam CT-Guided Lung Biopsies: Results in 94 Patients. Diagnostics 2020, 10, 1068. https://doi.org/10.3390/diagnostics10121068
Gulias-Soidan D, Crus-Sanchez NM, Fraga-Manteiga D, Cao-González JI, Balboa-Barreiro V, González-Martín C. Cone-Beam CT-Guided Lung Biopsies: Results in 94 Patients. Diagnostics. 2020; 10(12):1068. https://doi.org/10.3390/diagnostics10121068
Chicago/Turabian StyleGulias-Soidan, Daniel, Nilfa Milena Crus-Sanchez, Daniel Fraga-Manteiga, Juan Ignacio Cao-González, Vanesa Balboa-Barreiro, and Cristina González-Martín. 2020. "Cone-Beam CT-Guided Lung Biopsies: Results in 94 Patients" Diagnostics 10, no. 12: 1068. https://doi.org/10.3390/diagnostics10121068
APA StyleGulias-Soidan, D., Crus-Sanchez, N. M., Fraga-Manteiga, D., Cao-González, J. I., Balboa-Barreiro, V., & González-Martín, C. (2020). Cone-Beam CT-Guided Lung Biopsies: Results in 94 Patients. Diagnostics, 10(12), 1068. https://doi.org/10.3390/diagnostics10121068

