New Insights into Molecular Mechanisms and Radiomics in Non-Contrast CT for Aortic Dissection: A Case Report and Literature Review
Abstract
1. Introduction
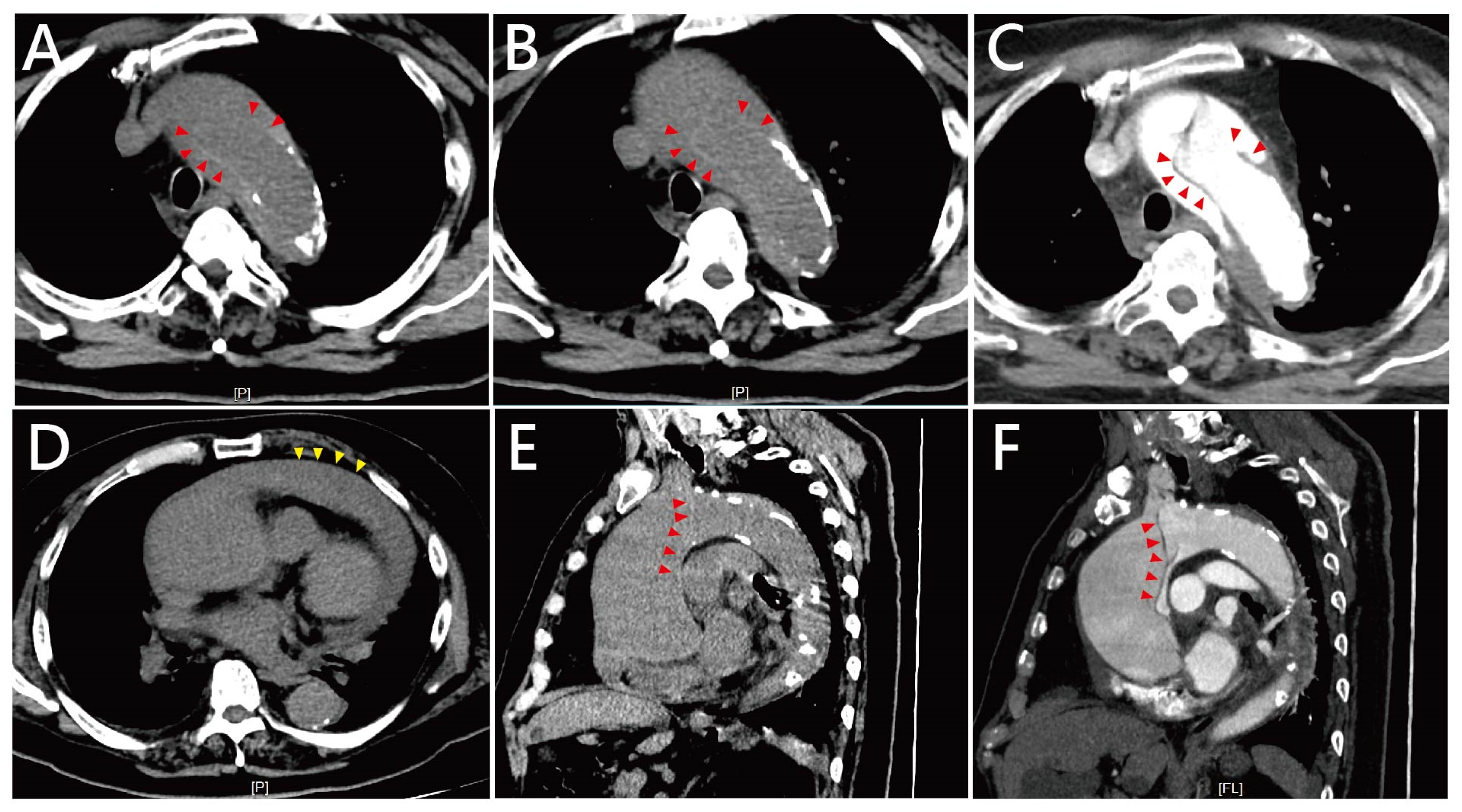
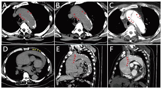
2. Case Presentation
3. Discussion
4. Conclusions
Author Contributions
Funding
Institutional Review Board Statement
Informed Consent Statement
Data Availability Statement
Conflicts of Interest
References
- Harris, K.M.; Nienaber, C.A.; Peterson, M.D.; Woznicki, E.M.; Braverman, A.C.; Trimarchi, S.; Myrmel, T.; Pyeritz, R.; Hutchison, S.; Strauss, C.; et al. Early Mortality in Type A Acute Aortic Dissection: Insights From the International Registry of Acute Aortic Dissection. JAMA Cardiol. 2022, 7, 1009–1015. [Google Scholar] [CrossRef]
- Obel, L.M.; Lindholt, J.S.; Lasota, A.N.; Jensen, H.K.; Benhassen, L.L.; Mørkved, A.L.; Srinanthalogen, R.; Christiansen, M.; Bundgaard, H.; Liisberg, M. Clinical Characteristics, Incidences, and Mortality Rates for Type A and B Aortic Dissections: A Nationwide Danish Population-Based Cohort Study From 1996 to 2016. Circulation 2022, 146, 1903–1917. [Google Scholar] [CrossRef]
- Howard, D.P.; Sideso, E.; Handa, A.; Rothwell, P.M. Incidence, risk factors, outcome and projected future burden of acute aortic dissection. Ann. Cardiothorac. Surg. 2014, 3, 278–284. [Google Scholar] [CrossRef] [PubMed]
- Spangenberg, A.; Rao, S.J.; Mackrell, J.; Rimm, S.; Haas, C.J. Type A Aortic Dissection and Non-Contrast Computed Tomography. J. Community Hosp. Intern. Med. Perspect. 2023, 13, 118–120. [Google Scholar] [CrossRef]
- Cheng, Z.; Zhao, L.; Yan, J.; Zhang, H.; Lin, S.; Yin, L.; Peng, C.; Ma, X.; Xie, G.; Sun, L. A deep learning algorithm for the detection of aortic dissection on non-contrast-enhanced computed tomography via the identification and segmentation of the true and false lumens of the aorta. Quant. Imaging Med. Surg. 2024, 14, 7365–7378. [Google Scholar] [CrossRef]
- Dillinger, D.; Weiss, M.; Kaatsch, H.L.; Bauer, C.; Hagen, A.; Froelich, M.F.; Waldeck, S.; Overhoff, D. Advancing Aortic Dissection Imaging: First Clinical Experience of Photon-Counting CT with Ultra-Fast Spectral Imaging. Diagnostics 2025, 15, 2655. [Google Scholar] [CrossRef]
- Dong, F.; Song, J.; Chen, B.; Xie, X.; Cheng, J.; Song, J.; Huang, Q. Improved detection of aortic dissection in non-contrast-enhanced chest CT using an attention-based deep learning model. Heliyon 2024, 10, e24547. [Google Scholar] [CrossRef]
- Guo, Y.; Chen, X.; Lin, X.; Chen, L.; Shu, J.; Pang, P.; Cheng, J.; Xu, M.; Sun, Z. Non-contrast CT-based radiomic signature for screening thoracic aortic dissections: A multicenter study. Eur. Radiol. 2021, 31, 7067–7076. [Google Scholar] [CrossRef] [PubMed]
- Hata, A.; Yanagawa, M.; Yamagata, K.; Suzuki, Y.; Kido, S.; Kawata, A.; Doi, S.; Yoshida, Y.; Miyata, T.; Tsubamoto, M.; et al. Deep learning algorithm for detection of aortic dissection on non-contrast-enhanced CT. Eur. Radiol. 2021, 31, 1151–1159. [Google Scholar] [CrossRef]
- Kim, Y.S.; Kim, J.G.; Choi, H.Y.; Lee, D.; Kong, J.W.; Kang, G.H.; Jang, Y.S.; Kim, W.; Lee, Y.; Kim, J.; et al. Detection of Aortic Dissection and Intramural Hematoma in Non-Contrast Chest Computed Tomography Using a You Only Look Once-Based Deep Learning Model. J. Clin. Med. 2024, 13, 6868. [Google Scholar] [CrossRef]
- Li, Z.; Chen, L.; Zhang, S.; Zhang, X.; Zhang, J.; Ying, M.; Zhu, J.; Li, R.; Song, M.; Feng, Z.; et al. An innovative bimodal computed tomography data-driven deep learning model for predicting aortic dissection: A multi-center study. Quant. Imaging Med. Surg. 2025, 15, 8359–8371. [Google Scholar] [CrossRef] [PubMed]
- Raffort, J.; Guo, J.; Lareyre, F. Deep Learning for Automatic Detection of Aortic Dissection on Non-contrast Computed Tomography. Eur. J. Vasc. Endovasc. Surg. 2025. online ahead of print. [Google Scholar]
- Takeuchi, S.; Yamaguchi, Y.; Soejima, K.; Yoshino, H. Incidence and characteristics of acute aortic dissection in patients with out-of-hospital cardiopulmonary arrest evaluated by non-contrast computed tomography. Eur. Heart J. Acute Cardiovasc. Care 2020, 9, S48–S57. [Google Scholar] [CrossRef]
- Takeuchi, S.; Yamaguchi, Y.; Yoshino, H. Non-contrast computed tomography of type A acute aortic dissection in patients with out-of-hospital cardiopulmonary arrest: A case series. Eur. Heart J. Case Rep. 2019, 3, 1–5. [Google Scholar] [CrossRef]
- Tang, Z.; Huang, Y.; Hu, S.; Shen, T.; Meng, M.; Xue, T.; Jia, Z. Deep Learning Application of YOLOv8 for Aortic Dissection Screening Using Non-contrast Computed Tomography. Eur. J. Vasc. Endovasc. Surg. 2025, in press. [Google Scholar]
- Wang, Q.; Huang, S.; Pan, W.; Feng, Z.; Lv, L.; Guan, D.; Yang, Z.; Huang, Y.; Liu, W.; Shui, W.; et al. Segmentation-model-based framework to detect aortic dissection on non-contrast CT images: A retrospective study. Insights Imaging 2025, 16, 207. [Google Scholar] [CrossRef] [PubMed]
- Xiong, X.; Ding, Y.; Sun, C.; Zhang, Z.; Guan, X.; Zhang, T.; Chen, H.; Liu, H.; Cheng, Z.; Zhao, L.; et al. A Cascaded Multi-Task Generative Framework for Detecting Aortic Dissection on 3-D Non-Contrast-Enhanced Computed Tomography. IEEE J. Biomed. Health Inform. 2022, 26, 5177–5188. [Google Scholar] [CrossRef] [PubMed]
- Xiong, X.; Guan, X.; Sun, C.; Zhang, T.; Chen, H.; Ding, Y.; Cheng, Z.; Zhao, L.; Ma, X.; Xie, G. A Cascaded Deep Learning Framework for Detecting Aortic Dissection Using Non-contrast Enhanced Computed Tomography. Annu. Int. Conf. IEEE Eng. Med. Biol. Soc. 2021, 2021, 2914–2917. [Google Scholar] [CrossRef]
- Yi, Y.; Mao, L.; Wang, C.; Guo, Y.; Luo, X.; Jia, D.; Lei, Y.; Pan, J.; Li, J.; Li, S.; et al. Advanced Warning of Aortic Dissection on Non-Contrast CT: The Combination of Deep Learning and Morphological Characteristics. Front. Cardiovasc. Med. 2021, 8, 762958. [Google Scholar] [CrossRef]
- Yin, J.; Peng, J.; Li, X.; Ju, J.; Wang, J.; Tu, H. Multi-stage cascade GAN for synthesis of contrast enhancement CT aorta images from non-contrast CT. Sci. Rep. 2024, 14, 23251. [Google Scholar] [CrossRef] [PubMed]
- Zhou, Z.; Yang, J.; Wang, S.; Li, W.; Xie, L.; Li, Y.; Zhang, C. The diagnostic value of a non-contrast computed tomography scan-based radiomics model for acute aortic dissection. Medicine 2021, 100, e26212. [Google Scholar] [CrossRef] [PubMed]
- Del Porto, F.; Proietta, M.; Tritapepe, L.; Miraldi, F.; Koverech, A.; Cardelli, P.; Tabacco, F.; De Santis, V.; Vecchione, A.; Mitterhofer, A.P. Inflammation and immune response in acute aortic dissection. Ann. Med. 2010, 42, 622–629. [Google Scholar] [CrossRef] [PubMed]
- He, R.; Guo, D.-C.; Estrera, A.L.; Safi, H.J.; Huynh, T.T.; Yin, Z.; Cao, S.-N.; Lin, J.; Kurian, T.; Buja, L.M. Characterization of the inflammatory and apoptotic cells in the aortas of patients with ascending thoracic aortic aneurysms and dissections. J. Thorac. Cardiovasc. Surg. 2006, 131, 671–678.e2. [Google Scholar] [CrossRef]
- Galle, C.; Schandené, L.; Stordeur, P.; Peignois, Y.; Ferreira, J.; Wautrecht, J.-C.; Dereume, J.-P.; Goldman, M. Predominance of type 1 CD4+ T cells in human abdominal aortic aneurysm. Clin. Exp. Immunol. 2005, 142, 519–527. [Google Scholar] [CrossRef]
- Xiong, W.; Zhao, Y.; Prall, A.; Greiner, T.C.; Baxter, B.T. Key roles of CD4+ T cells and IFN-γ in the development of abdominal aortic aneurysms in a murine model. J. Immunol. 2004, 172, 2607–2612. [Google Scholar] [CrossRef]
- De Fougerolles, A.R.; Koteliansky, V.E. Regulation of monocyte gene expression by the extracellular matrix and its functional implications. Immunol. Rev. 2002, 186, 208–220. [Google Scholar] [CrossRef]
- Liao, M.; Liu, Z.; Bao, J.; Zhao, Z.; Hu, J.; Feng, X.; Feng, R.; Lu, Q.; Mei, Z.; Liu, Y. A proteomic study of the aortic media in human thoracic aortic dissection: Implication for oxidative stress. J. Thorac. Cardiovasc. Surg. 2008, 136, 65–72. e63. [Google Scholar] [CrossRef]
- Kang, J.S.; Liu, C.; Derynck, R. New regulatory mechanisms of TGF-β receptor function. Trends Cell Biol. 2009, 19, 385–394. [Google Scholar] [CrossRef]
- Lee, M.K.; Pardoux, C.; Hall, M.C.; Lee, P.S.; Warburton, D.; Qing, J.; Smith, S.M.; Derynck, R. TGF-β activates Erk MAP kinase signalling through direct phosphorylation of ShcA. EMBO J. 2007, 26, 3957–3967. [Google Scholar] [CrossRef]
- Zhang, Y.E. Non-Smad pathways in TGF-β signaling. Cell Res. 2009, 19, 128–139. [Google Scholar] [CrossRef] [PubMed]
- Nishigami, K. Simultaneous examination of the aorta in echocardiography of patients with coronary artery disease. J. Echocardiogr. 2010, 8, 150–151. [Google Scholar] [CrossRef] [PubMed]
- Chen, C.W.; Tseng, Y.H.; Lin, C.C.; Kao, C.C.; Wong, M.Y.; Ting, H.; Huang, Y.K. Aortic dissection assessment by 4D phase-contrast MRI with hemodynamic parameters: The impact of stent type. Quant. Imaging Med. Surg. 2021, 11, 490–501. [Google Scholar] [CrossRef]
- Mortensen, K.H.; Hjerrild, B.E.; Stochholm, K.; Andersen, N.H.; Sørensen, K.E.; Lundorf, E.; Hørlyck, A.; Pedersen, E.M.; Christiansen, J.S.; Gravholt, C.H. Dilation of the ascending aorta in Turner syndrome—A prospective cardiovascular magnetic resonance study. J. Cardiovasc. Magn. Reson. 2011, 13, 24. [Google Scholar] [CrossRef]
- Shah, G.V.; Quint, D.J.; Trobe, J.D. Magnetic resonance imaging of suspected cervicocranial arterial dissections. J. Neuroophthalmol. 2004, 24, 315–318. [Google Scholar] [CrossRef][Green Version]
- Veldhoen, S.; Behzadi, C.; Lenz, A.; Henes, F.O.; Rybczynski, M.; von Kodolitsch, Y.; Bley, T.A.; Adam, G.; Bannas, P. Non-contrast MR angiography at 1.5 Tesla for aortic monitoring in Marfan patients after aortic root surgery. J. Cardiovasc. Magn. Reson. 2017, 19, 82. [Google Scholar] [CrossRef]
- Wambeek, N.D.; Cameron, D.C.; Holden, A. Intramural aortic dissection. Australas. Radiol. 1996, 40, 442–446. [Google Scholar] [CrossRef]
- Grist, T.M.; Rubin, G.D. IDKD Springer Series Imaging of Acute Aortic Syndromes. In Diseases of the Chest, Breast, Heart and Vessels 2019–2022: Diagnostic and Interventional Imaging; Hodler, J., Kubik-Huch, R.A., von Schulthess, G.K., Eds.; Springer: Cham, Switzerland, 2019; pp. 207–214. [Google Scholar]
- Baliga, R.R.; Nienaber, C.A.; Bossone, E.; Oh, J.K.; Isselbacher, E.M.; Sechtem, U.; Fattori, R.; Raman, S.V.; Eagle, K.A. The Role of Imaging in Aortic Dissection and Related Syndromes. JACC Cardiovasc. Imaging 2014, 7, 406–424. [Google Scholar] [CrossRef]
- Tan, Y.; Tan, L.; Xiang, X.; Tang, H.; Qin, J.; Pan, W. Automatic Detection of Aortic Dissection Based on Morphology and Deep Learning. Comput. Mater. Contin. 2020, 62, 1201. [Google Scholar] [CrossRef]
- He, H.; Xu, H.; Zhang, Y.; Gao, K.; Li, H.; Ma, L.; Li, J. Mask R-CNN based automated identification and extraction of oil well sites. Int. J. Appl. Earth Obs. Geoinf. 2022, 112, 102875. [Google Scholar] [CrossRef]
- Xu, X.; He, Z.; Niu, K.; Zhang, Y.; Tang, H.; Tan, L. An automatic detection scheme of acute Stanford type A aortic dissection based on DCNNs in CTA images. In Proceedings of the 2019 4th International Conference on Multimedia Systems and Signal Processing, Guangzhou, China, 10–12 May 2019. [Google Scholar]
- Peng, H.; Tan, Y.; Tang, H.; Tan, L.; Xiang, X.; Wang, Y.; Xiong, N.N. Aortic Dissection Diagnosis Based on Sequence Information and Deep Learning. Comput. Mater. Contin. 2022, 73, 2757–2771. [Google Scholar] [CrossRef]
- Lyu, J.; Fu, Y.; Yang, M.; Xiong, Y.; Duan, Q.; Duan, C.; Wang, X.; Xing, X.; Zhang, D.; Lin, J.; et al. Generative Adversarial Network–based Noncontrast CT Angiography for Aorta and Carotid Arteries. Radiology 2023, 309, e230681. [Google Scholar] [CrossRef] [PubMed]



| Variables | Patient Data | Reference Value | |
|---|---|---|---|
| White cell count | 9.27 | -- | 3.5–11 (×109/L) |
| Neutrophil | 82.9% | ↑ | 40–75% |
| Lymphocyte | 11.5 | ↓ | 40–45% |
| Monocyte | 5.2 | -- | 2–10% |
| Eosinophil | 0.2 | ↓ | 1–6% |
| Hemoglobin | 13.2 | -- | 12–16 g/dL |
| Platelet counts | 126 | ↓ | 150,000–400,000/uL |
| Creatinine | 1.85 | -- | 0.55–1.02 mg/dL |
| Sodium | 136 | ↓ | 136–145 mmole/L |
| Potassium | 3.6 | -- | 3.5–5.1 mmole/L |
| Glucose | 227 | ↑ | 70–100 mg/dL |
| Alanine aminotransferase | 21 | -- | 16–63 U/L |
| Total bilirubin level | 1.64 | ↑ | 0.3–1.0 mg/dL |
| Lipase | 15 | -- | 11–82 U/L |
| High-sensitive Troponin I | 154.6 | ↑ | 0–19 ng/L |
| Creatine Kinase | 359 | ↑ | 30–233 U/L |
| Creatine Kinase MB form | 1.2 | -- | 0.6–6.3 ng/mL |
| NT-proBNP | 8488 | ↑ | <450 pg/mL |
| Lactate | 5.8 | -- | 0.4–2.0 mmol/L |
| C-Reactive Protein | 13.9 | ↑ | 0–0.33 mg/dL |
| COVID test | negative | -- | negative |
| Influenza test | negative | -- | negative |
| Vein blood gas test | |||
| pH | 7.356 | 7.31–7.41 | |
| pCO2 | 41.3 | -- | 41–51 mmHg |
| pO2 | 22.3 | ↓ | 30–40 mmHg |
| HCO3− | 22.6 | -- | 22–26 mmol/L |
| ctCO2 | 23.8 | -- | 23–27 mmol/L |
| Base Excess | −4.5 | ↓ | −3.3–2.3 mmol/L |
| Bfecf | −2.9 | -- | mmol/L |
| SBC | 22 | -- | 22–26 mmol/L |
| O2 saturation | 34.1% | ↓ | |
Disclaimer/Publisher’s Note: The statements, opinions and data contained in all publications are solely those of the individual author(s) and contributor(s) and not of MDPI and/or the editor(s). MDPI and/or the editor(s) disclaim responsibility for any injury to people or property resulting from any ideas, methods, instructions or products referred to in the content. |
© 2025 by the authors. Licensee MDPI, Basel, Switzerland. This article is an open access article distributed under the terms and conditions of the Creative Commons Attribution (CC BY) license.
Share and Cite
Tian, J.-C.; Zhou, J.-H.; Chung, J.-Y.; Lin, P.-C.; Yiang, G.-T.; Yang, Y.-C.; Wu, M.-Y. New Insights into Molecular Mechanisms and Radiomics in Non-Contrast CT for Aortic Dissection: A Case Report and Literature Review. Life 2026, 16, 14. https://doi.org/10.3390/life16010014
Tian J-C, Zhou J-H, Chung J-Y, Lin P-C, Yiang G-T, Yang Y-C, Wu M-Y. New Insights into Molecular Mechanisms and Radiomics in Non-Contrast CT for Aortic Dissection: A Case Report and Literature Review. Life. 2026; 16(1):14. https://doi.org/10.3390/life16010014
Chicago/Turabian StyleTian, Jian-Cheng, Jia-Hao Zhou, Jui-Yuan Chung, Po-Chen Lin, Giou-Teng Yiang, Ya-Chih Yang, and Meng-Yu Wu. 2026. "New Insights into Molecular Mechanisms and Radiomics in Non-Contrast CT for Aortic Dissection: A Case Report and Literature Review" Life 16, no. 1: 14. https://doi.org/10.3390/life16010014
APA StyleTian, J.-C., Zhou, J.-H., Chung, J.-Y., Lin, P.-C., Yiang, G.-T., Yang, Y.-C., & Wu, M.-Y. (2026). New Insights into Molecular Mechanisms and Radiomics in Non-Contrast CT for Aortic Dissection: A Case Report and Literature Review. Life, 16(1), 14. https://doi.org/10.3390/life16010014

