Severe ARDS Complicated by Active Pulmonary Tuberculosis and Recurrent Nosocomial Infections: Therapeutic Challenges and Clinical Outcomes
Abstract
1. Introduction
2. Materials and Methods (Case Description)
2.1. Patient History and Initial Presentation
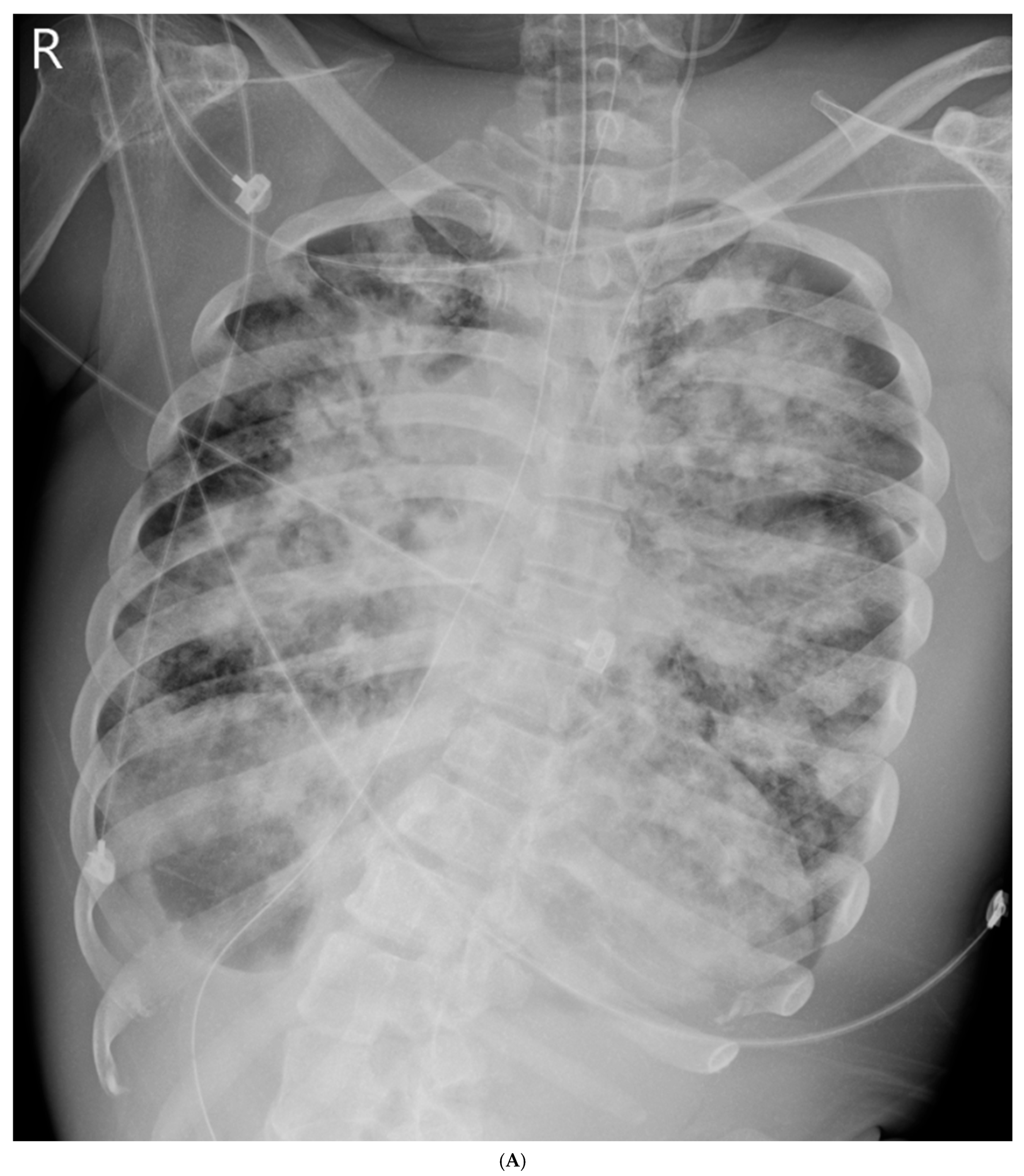
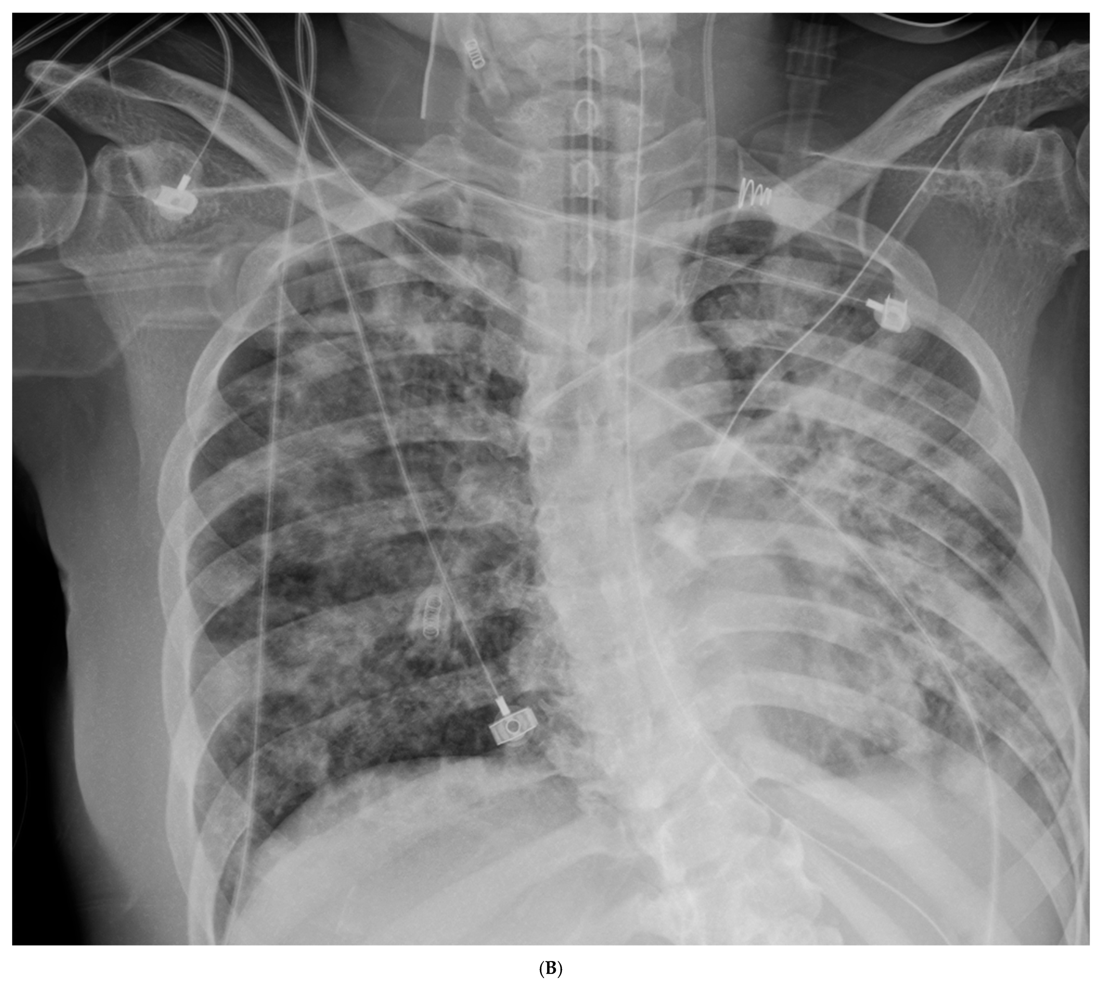
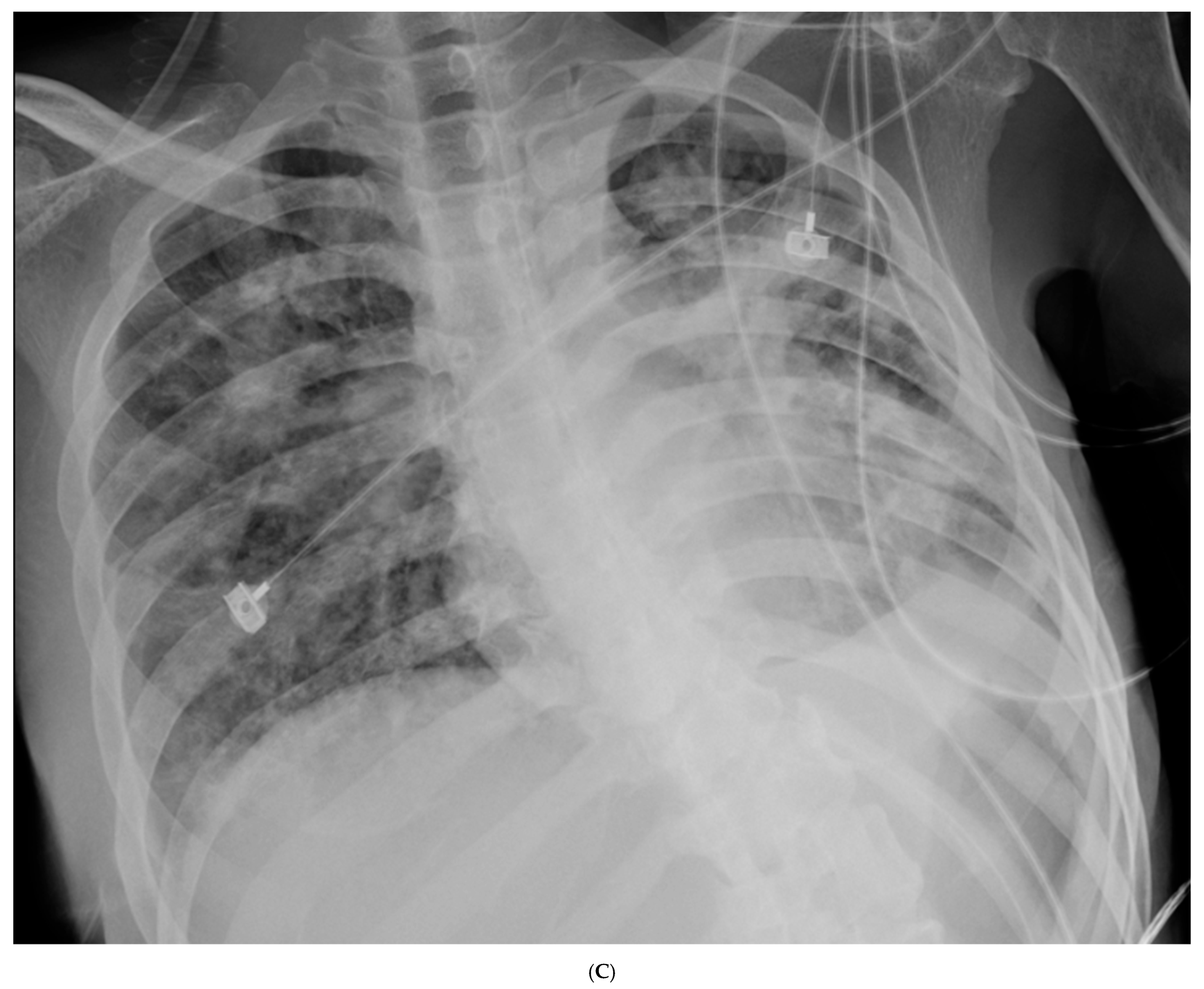
2.2. ICU Course and Interventions
3. Results
4. Discussion
5. Conclusions
Author Contributions
Funding
Institutional Review Board Statement
Informed Consent Statement
Data Availability Statement
Acknowledgments
Conflicts of Interest
References
- Bellani, G.; Laffey, J.G.; Pham, T.; Fan, E.; Brochard, L.; Esteban, A.; Gattinoni, L.; Van Haren, F.; Larsson, A.; McAuley, D.F.; et al. Epidemiology, patterns of care, and mortality for patients with acute respiratory distress syndrome in intensive care units in 50 countries. JAMA 2016, 315, 788–800. [Google Scholar] [CrossRef] [PubMed]
- Phua, J.; Weng, L.; Ling, L.; Egi, M.; Lim, C.M.; Divatia, J.V.; Shrestha, B.R.; Arabi, Y.M.; Ng, J.; Gomersall, C.D.; et al. Intensive care management of coronavirus disease 2019 (COVID-19): Challenges and recommendations. Lancet Respir. Med. 2020, 8, 239–240. [Google Scholar] [CrossRef]
- Ranieri, V.M.; Rubenfeld, G.D.; Thompson, B.T.; Ferguson, N.D.; Caldwell, E.; Fan, E.; Camporota, L.; Slutsky, A.S. Acute respiratory distress syndrome: The Berlin Definition. JAMA 2012, 307, 2526–2533. [Google Scholar]
- Villar, J.; Blanco, J.; Añón, J.M.; Santos-Bouza, A.; Blanch, L.; Ambrós, A.; Gandía, F.; Carriedo, D.; Mosteiro, F.; Basaldúa, S.; et al. The ALIEN study: Incidence and outcome of acute respiratory distress syndrome in the era of lung protective ventilation. Intensive Care Med. 2011, 37, 1932–1941. [Google Scholar] [CrossRef] [PubMed]
- Laffey, J.G.; Bellani, G.; Pham, T.; Fan, E.; Madotto, F.; Bajwa, E.K.; Brochard, L.; Clarkson, K.; Esteban, A.; Gattinoni, L.; et al. Potentially modifiable factors contributing to outcome from acute respiratory distress syndrome: The LUNG SAFE study. JAMA 2017, 317, 788–800. [Google Scholar] [CrossRef][Green Version]
- Li, G.; Malinchoc, M.; Cartin-Ceba, R.; Venkata, C.V.; Kor, D.J.; Peters, S.G.; Hubmayr, R.D.; Gajic, O. Eight-year trend of acute respiratory distress syndrome: A population-based study in Olmsted County, Minnesota. Am. J. Respir. Crit. Care Med. 2011, 183, 59–66. [Google Scholar] [CrossRef]
- Chiang, C.H.; Lee, C.H.; Ho, C.H.; Harnod, D.; Liu, C.K.; Lin, H.J.; Sung, F.C.; Chung, C.H.; Kao, C.H.; Wu, T.C.; et al. Acute respiratory distress syndrome increases short-term mortality in patients with chronic obstructive pulmonary disease: A nationwide cohort study. J. Formos. Med. Assoc. 2019, 118, 930–938. [Google Scholar]
- Agarwal, R.; Nath, A.; Gupta, D. Noninvasive ventilation in patients with acute respiratory failure due to tuberculosis. Indian J. Med. Res. 2005, 122, 123–127. [Google Scholar] [PubMed]
- Mas, A.; Massip, J. Noninvasive ventilation in acute respiratory failure. Int. J. Chron. Obstruct. Pulmon. Dis. 2014, 9, 837–852. [Google Scholar] [CrossRef]
- Wu, Y.C.; Huang, C.C.; Wu, M.S.; Hsu, C.W.; Chen, L.C.; Fang, C.C. Acute respiratory distress syndrome due to pulmonary tuberculosis. Tzu Chi Med. J. 2021, 33, 187–190. [Google Scholar] [CrossRef]
- Ranzani, O.T.; Bastos, L.S.L.; Gelli, J.G.M.; Marchesi, J.F.; Baião, F.; Hamacher, S.; Bozza, F.A. Characterisation of the first 250,000 hospital admissions for COVID-19 in Brazil: A retrospective analysis of nationwide data. Lancet Respir. Med. 2021, 9, 407–418. [Google Scholar] [CrossRef] [PubMed]
- Theron, G.; Peter, J.; van Zyl-Smit, R.; Mishra, H.; Streicher, E.; Murray, S.; Dawson, R.; Whitelaw, A.; Hoelscher, M.; Sharma, S.; et al. Evaluation of the Xpert MTB/RIF assay for the diagnosis of pulmonary tuberculosis in a high HIV prevalence setting. Am. J. Respir. Crit. Care Med. 2011, 184, 132–140. [Google Scholar] [CrossRef]
- Lee, P.L.; Lee, C.C.; Chen, W.L.; Chen, Y.H.; Chen, S.C.; Lee, N.Y.; Ko, W.C.; Lee, C.H.; Ko, P.C.; Chen, T.C. Tuberculous pneumonia presenting as ARDS: A case series and literature review. J. Infect. Chemother. 2018, 24, 438–443. [Google Scholar] [CrossRef]
- Sharma, S.K.; Mohan, A.; Banga, A.; Saha, P.K.; Guntupalli, K.K. Predictors of development and outcome in patients with acute respiratory distress syndrome due to tuberculosis. Int. J. Tuberc. Lung Dis. 2006, 10, 429–435. [Google Scholar] [PubMed]
- World Health Organization. Global Tuberculosis Report. 2023. Available online: https://www.who.int/teams/global-programme-on-tuberculosis-and-lung-health/tb-reports/global-tuberculosis-report-2023 (accessed on 21 May 2025).
- Kethireddy, S.; Light, R.W. Acute respiratory failure and ARDS in tuberculosis. Int. J. Tuberc. Lung Dis. 2011, 15, 853–860. [Google Scholar] [CrossRef]
- Brodie, D.; Slutsky, A.S.; Combes, A. Extracorporeal Life Support for Adults with Respiratory Failure and Related Indications: A Review. JAMA 2019, 322, 557–568. [Google Scholar] [CrossRef] [PubMed]
- Cook, D.J.; Walter, S.D.; Cook, R.J.; Griffith, L.E.; Guyatt, G.H.; Leasa, D.; Jaeschke, R.Z.; Brun-Buisson, C. Incidence of and risk factors for ventilator-associated pneumonia in critically ill patients. N. Engl. J. Med. 1994, 330, 377–381. [Google Scholar] [CrossRef]
- Fan, E.; Brodie, D.; Slutsky, A.S. Acute Respiratory Distress Syndrome: Advances in Diagnosis and Treatment. JAMA 2018, 319, 698–710. [Google Scholar] [CrossRef]
- Bauer, T.T.; Ewig, S.; Rodloff, A.C.; Müller, E.E. Acute respiratory distress syndrome and pneumonia: A comprehensive review of clinical data. Clin. Infect. Dis. 2006, 43, 748–756. [Google Scholar] [CrossRef]
- Kollef, M.H. Ventilator-associated pneumonia: A multivariate analysis. Chest 1993, 104, 1702–1706. [Google Scholar] [CrossRef]
- Grudzinska, F.S.; Brodlie, M.; Scholefield, B.R.; Simpson, A.J.; Scott, A.; Corris, P.A.; Ward, C.; Rutherford, R.M.; Gould, K.; Lordan, J. Pulmonary infections in patients with ARDS. Clin. Infect. Dis. 2017, 65, 1039–1046. [Google Scholar] [CrossRef][Green Version]
- Slutsky, A.S.; Ranieri, V.M. Ventilator-Induced Lung Injury. N. Engl. J. Med. 2013, 369, 2126–2136. [Google Scholar] [CrossRef]
- Phua, J.; Badia, J.R.; Adhikari, N.K.; Friedrich, J.O.; Fowler, R.A.; Singh, J.M.; Scales, D.C.; Stather, D.R.; Li, A.; Jones, A.; et al. Has mortality from acute respiratory distress syndrome decreased over time?: A systematic review. Am. J. Respir. Crit. Care Med. 2009, 179, 220–227. [Google Scholar] [CrossRef]
- Hu, C.C.; Hsu, C.W.; Kang, S.P.; Hsiue, T.R.; Yu, C.J.; Tsai, T.H.; Chen, N.H.; Lin, M.C.; Tsai, C.L.; Perng, W.C.; et al. Factors associated with outcome of severe ARDS managed with prone positioning: Experience in a single center. J. Microbiol. Immunol. Infect. 2021, 54, 864–873. [Google Scholar] [CrossRef]
- MacLaren, G.; Fisher, D.; Brodie, D. Preparing for the Most Critically Ill Patients With COVID-19: The Potential Role of Extracorporeal Membrane Oxygenation. JAMA 2020, 323, 1245–1246. [Google Scholar] [CrossRef] [PubMed]
- Briel, M.; Meade, M.; Mercat, A.; Brower, R.G.; Talmor, D.; Walter, S.D.; Slutsky, A.S.; Pullenayegum, E.; Zhou, Q.; Cook, D.; et al. Higher vs lower positive end-expiratory pressure in patients with acute lung injury and acute respiratory distress syndrome: Systematic review and meta-analysis. JAMA 2010, 303, 777–786. [Google Scholar] [CrossRef]
- Rochwerg, B.; Brochard, L.; Elliott, M.W.; Hess, D.; Hill, N.S.; Nava, S.; Navalesi, P.; Antonelli, M.; Brozek, J.; Conti, G.; et al. Official ERS/ATS clinical practice guidelines: Noninvasive ventilation for acute respiratory failure. Eur. Respir. J. 2017, 50, 1602426. [Google Scholar] [CrossRef]
- Torres, A.; Niederman, M.S.; Chastre, J.; Ewig, S.; Fernandez-Vandellos, P.; Hanberger, H.; Kollef, M.; Li Bassi, G.; Luna, C.M.; Martin-Loeches, I.; et al. International ERS/ESICM/ESCMID/ALAT guidelines for the management of hospital-acquired pneumonia and ventilator-associated pneumonia: Guidelines for the management of hospital-acquired pneumonia (HAP)/ventilator-associated pneumonia (VAP) of the European Respiratory Society (ERS), European Society of Intensive Care Medicine (ESICM), European Society of Clinical Microbiology and Infectious Diseases (ESCMID) and Asociación Latinoamericana del Tórax (ALAT). Eur. Respir. J. 2017, 50, 1700582. [Google Scholar] [CrossRef] [PubMed]
- Ranzani, O.T.; Bastos, L.S.L.; Gelli, J.G.M.; Marchesi, J.F.; Baião, F.; Hamacher, S.; Bozza, F.A. Characterisation of the first 250,000 hospital admissions for COVID-19 in Brazil: A retrospective analysis of nationwide data. Crit. Care 2021, 25, 198. [Google Scholar] [CrossRef]
- Grasselli, G.; Zangrillo, A.; Zanella, A.; Antonelli, M.; Cabrini, L.; Castelli, A.; Cereda, D.; Coluccello, A.; Foti, G.; Fumagalli, R.; et al. Baseline characteristics and outcomes of 1591 patients infected with SARS-CoV-2 admitted to ICUs of the Lombardy Region, Italy. JAMA 2020, 323, 1574–1581. [Google Scholar] [CrossRef]
- Needham, D.M.; Colantuoni, E.; Mendez-Tellez, P.A.; Dinglas, V.D.; Sevransky, J.E.; Himmelfarb, C.R.; Desai, S.V.; Shanholtz, C.; Brower, R.G.; Pronovost, P.J. Lung protective mechanical ventilation and two-year survival in patients with acute lung injury: Prospective cohort study. Crit. Care Med. 2020, 48, 933–944. [Google Scholar] [CrossRef] [PubMed]
- Gong, M.N.; Martin, G.S. Acute respiratory distress syndrome: Clinical features, diagnosis, and management. Crit. Care Clin. 2022, 38, 539–554. [Google Scholar] [CrossRef]
- Krag, M.; Perner, A.; Wetterslev, J.; Wise, M.P.; Borthwick, M.; Bendel, S.; McArthur, C.; Cook, D.; Nielsen, N.; Pelosi, P.; et al. Stress ulcer prophylaxis in the intensive care unit: An international survey of 97 units in 11 countries. Acta Anaesthesiol. Scand. 2015, 59, 576–585. [Google Scholar] [CrossRef]
- Lim, J.; Lee, S.; Kim, Y.J.; Lee, Y.J.; Lee, J.; Lee, J.H.; Jung, H.B.; Kim, M.S.; Lim, S.Y.; Park, S. Outcomes of severe ARDS patients managed with high-frequency oscillatory ventilation. Crit. Care 2021, 25, 188. [Google Scholar] [CrossRef]
- Mokhlesi, B.; Tulaimat, A.; Evans, A.T.; Wang, Y. Association between IL-6 levels and outcome in ARDS. Chest 2002, 121, 1150–1158. [Google Scholar]
- Tobin, M.J. Basing Respiratory Management of COVID-19 on Physiological Principles. Am. J. Respir. Crit. Care Med. 2020, 201, 1319–1320. [Google Scholar] [CrossRef]
- Kuperminc, E.; Heming, N.; Carlos, M.; Annane, D. Corticosteroids in ARDS. J. Clin. Med. 2023, 12, 3340. [Google Scholar] [CrossRef]
- National TB Program Taiwan. Annual Report. 2023. Available online: https://www.cdc.gov.tw/En/File/Get/vM5svuwyGvbljFbKDPQlTw (accessed on 21 May 2025).



| ICU Day | Key Clinical Events | pH | PaO2/FiO2 (mmHg) | CRP (mg/dL) | Hb (g/dL) | Steroid (mg/d) | Anti-TB | Antibiotics | RRT |
|---|---|---|---|---|---|---|---|---|---|
| 0 | Intubation, prone, septic shock | 6.81 | 60 (FiO2 1.0) | 15.5 | 8.1 | None | None | CTX/AZI | No |
| 1 | 7.30 | 80 | 14.1 | 7.1 | None | None | CTX/AZI | No | |
| 3 | TB confirmed via PCR, HREZ start | 7.35 | 150 | 10.3 | 10.7 | None | HREZ | CTX/AZI | No |
| 6 | MPD 40 mg/d start (steroid) | 7.30 | 70 | 13.1 | 10.3 | MPD 40 | HREZ | CTX/AZI | No |
| 7 | Improved O2, start PT/rehab | 7.45 | 200 | 2.6 | 9.4 | MPD 40 | HREZ | CTX/AZI | No |
| 10 | VAP #1, change to TZP+Amikacin | 7.41 | 150 | 2.2 | 8.1 | MPD 40 | HREZ | TZP+Amikacin (inh) | No |
| 14 | GI bleeding, EGD, transfusion | 7.45 | 250 | 1.2 | 7.7 | MPD 40 | HREZ | TZP+Amikacin (inh) | No |
| 15 | Extubation fail, re-intubation | 7.10 | 120 | 1.5 | 10.7 | MPD 32 | HREZ | TZP | No |
| 21 | Tracheostomy | 7.38 | 300 | 0.8 | 8.5 | MPD 16 | HREZ | TZP | No |
| 28 | VAP #2 (AB), change to Colistin/TGC | 7.44 | 320 | 0.6 | 8.0 | MPD 8 | HREZ | Colistin/TGC | No |
| 45 | Weaning, off steroid/abx | 7.47 | 350 | 0.5 | 9.3 | Off | HREZ | Off | No |
| 54 | Transfer to ward, rehab | 7.45 | 400 (RA) | 0.5 | 11.0 | Off | HREZ | Off | No |
| ICU Day | Major Event | Interventions | Key Labs |
|---|---|---|---|
| 0 | Intubation, ACLS | MV, Empiric abx, fluid, vasopressor | pH 6.81, P/F 55 |
| 3 | TB PCR+, Anti-TB start | HREZ, continue MV, sedation | P/F 60, CRP 24 |
| 6 | Steroid started | MPD 40 mg/d, Prone position | P/F 70 |
| 10 | VAP #1, abx change | TZP+Amikacin | P/F 150, CRP 22 |
| 14 | GI bleeding | EGD, transfusion, PPI | Hb 7.0 |
| 21 | Tracheostomy | Decannulation protocol | P/F 180, Hb 8.8 |
| 28 | VAP #2, abx change | Colistin, Tigecycline | P/F 160, CRP 10 |
| 45 | Weaning, off abx/steroid | Rehab, spontaneous breathing trial | P/F 350 |
| 54 | Transfer to ward | Anti-TB, rehab | Hb 11.0 |
Disclaimer/Publisher’s Note: The statements, opinions and data contained in all publications are solely those of the individual author(s) and contributor(s) and not of MDPI and/or the editor(s). MDPI and/or the editor(s) disclaim responsibility for any injury to people or property resulting from any ideas, methods, instructions or products referred to in the content. |
© 2025 by the authors. Licensee MDPI, Basel, Switzerland. This article is an open access article distributed under the terms and conditions of the Creative Commons Attribution (CC BY) license (https://creativecommons.org/licenses/by/4.0/).
Share and Cite
Chang, W.-H.; Wang, Y.-T.; Hu, T.-Y.; Kuo, L.-K. Severe ARDS Complicated by Active Pulmonary Tuberculosis and Recurrent Nosocomial Infections: Therapeutic Challenges and Clinical Outcomes. Life 2025, 15, 1068. https://doi.org/10.3390/life15071068
Chang W-H, Wang Y-T, Hu T-Y, Kuo L-K. Severe ARDS Complicated by Active Pulmonary Tuberculosis and Recurrent Nosocomial Infections: Therapeutic Challenges and Clinical Outcomes. Life. 2025; 15(7):1068. https://doi.org/10.3390/life15071068
Chicago/Turabian StyleChang, Wei-Hung, Yi-Ting Wang, Ting-Yu Hu, and Li-Kuo Kuo. 2025. "Severe ARDS Complicated by Active Pulmonary Tuberculosis and Recurrent Nosocomial Infections: Therapeutic Challenges and Clinical Outcomes" Life 15, no. 7: 1068. https://doi.org/10.3390/life15071068
APA StyleChang, W.-H., Wang, Y.-T., Hu, T.-Y., & Kuo, L.-K. (2025). Severe ARDS Complicated by Active Pulmonary Tuberculosis and Recurrent Nosocomial Infections: Therapeutic Challenges and Clinical Outcomes. Life, 15(7), 1068. https://doi.org/10.3390/life15071068

