Reconstructive Orthopedic Surgery Using the Free Anterolateral Thigh Flap: Perspectives and Experience from a Single Trauma Center
Abstract
1. Introduction
2. Materials and Methods
2.1. Study Design
2.2. Inclusion and Exclusion Criteria
2.3. Data Collection and Patients Setting
2.4. Outcome and Statistical Analysis
3. Results
4. Cases
4.1. Case 1: Retracting Scars Following an Explosion Injury in a Pediatric Patient
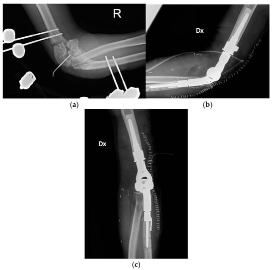
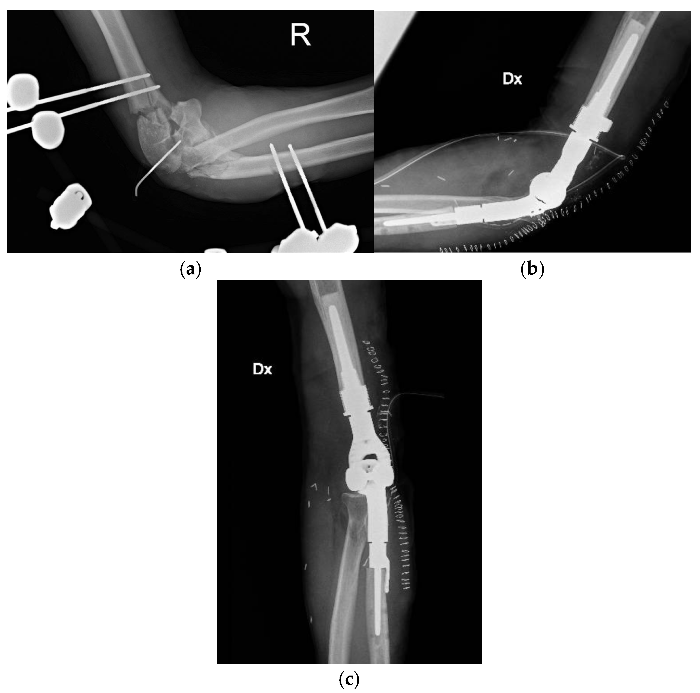
4.2. Case 2: Complex Open Fracture of the Elbow
4.3. Case 3: Solitary Fibrous Tumor of the Elbow
5. Discussion
6. Conclusions
Author Contributions
Funding
Institutional Review Board Statement
Informed Consent Statement
Data Availability Statement
Conflicts of Interest
Abbreviations
| ALT | Anterolateral thigh |
| CT | Computed Tomography |
| CTA | Computed Tomography Angiography |
| MRI | Magnetic Resonance Imaging |
| MRSA | Methicillin-resistant Staphylococcus aureus |
| ROM | Range of motion |
References
- Song, Y.; Chen, G.; Song, Y. The free thigh flap: A new free flap concept based on the septocutaneous artery. Br. J. Plast. Surg. 1984, 37, 149–159. [Google Scholar] [CrossRef]
- Koshima, I.; Kawada, S.; Etoh, H.; Kawamura, S.; Moriguchi, T.; Sonoh, H. Flow-through anterior thigh flaps for one-stage reconstruction of soft-tissue defects and revascularization of ischemic extremities. Plast. Reconstr. Surg. 1995, 95, 252–260. [Google Scholar] [CrossRef]
- Kimura, N.; Satoh, K.; Hasumi, T.; Ostuka, T. Clinical application of the free thin anterolateral thigh flap in 31 consecutive patients. Plast. Reconstr. Surg. 2001, 108, 1209–1210. [Google Scholar] [CrossRef]
- Wei, F.; Jain, V.; Celik, N.; Chen, H.; Chuang, D.C.-C.; Lin, C. Have we found an ideal soft-tissue flap? An experience with 672 anterolateral thigh flaps. Plast. Reconstr. Surg. 2002, 109, 2219–2226. [Google Scholar] [CrossRef] [PubMed]
- Kimata, Y.; Uchiyama, K.; Ebihara, S.; Sakuraba, M.; Iida, H.; Nakatsuka, T.; Harii, K. Anterolateral thigh flap donor-site complications and morbidity. Plast. Reconstr. Surg. 2000, 106, 584–589. [Google Scholar] [CrossRef] [PubMed]
- Ross, G.; Dunn, R.; Kirkpatrick, J.; Koshy, C.; Alkureishi, L.; Bennett, N.; Soutar, D.; Camilleri, I. To thin or not to thin: The use of the anterolateral thigh flap in the reconstruction of intraoral defects. Br. J. Plast. Surg. 2003, 56, 409–413. [Google Scholar] [CrossRef]
- Kimata, Y.; Uchiyama, K.; Ebihara, S.; Nakatsuka, T.; Harii, K. Anatomic variations and technical problems of the anterolateral thigh flap: A report of 74 cases. Plast. Reconstr. Surg. 1998, 102, 1517–1525. [Google Scholar] [CrossRef]
- Saracco, M.; Cerrone, M.G.; Vavalle, G.; Vitiello, R.; El Ezzo, O.; Maccauro, G.; Pataia, E. Orthoplastic approach to limb salvage surgery in oncology: Types of flaps and surgical timing. Folia Med. 2025, 67, e145385. [Google Scholar] [CrossRef]
- Smith, R.K.; Wykes, J.; Martin, D.T.; Niles, N. Perforator variability in the anterolateral thigh free flap: A systematic review. Surg. Radiol. Anat. 2017, 39, 779–789. [Google Scholar] [CrossRef]
- Ali, R.S.; Bluebond-Langner, R.; Rodriguez, E.D.; Cheng, M.-H. The Versatility of the Anterolateral Thigh Flap. Plast. Reconstr. Surg. 2009, 124, e395–e407. [Google Scholar] [CrossRef]
- Fulchignoni, C.; Pietramala, S.; Lopez, I.; Mazzella, G.G.; Comisi, C.; Perisano, C.; Rocchi, L.; Greco, T. Surgical outcomes and complications of custom-made prostheses in upper limb oncological reconstruction: A systematic review. J. Funct. Morphol. Kinesiol. 2024, 9, 72. [Google Scholar] [CrossRef] [PubMed]
- Mathew, G.; Sohrabi, C.; Franchi, T.; Nicola, M.; Kerwan, A.; Agha, R.; PROCESS Group. Preferred Reporting Of Case Series in Surgery (PROCESS) 2023 guidelines. Int. J. Surg. 2023, 109, 3760–3769. [Google Scholar] [CrossRef] [PubMed]
- Comisi, C.; Greco, T.; Fulchignoni, C.; Mascio, A.; Farine, F.; Troiano, E.; Mondanelli, N.; Menichini, G.; Pataia, E.; Maccauro, G.; et al. A rare case of high-grade synovial sarcoma of the hindfoot. Med. Glas. 2025, 22, 344–349. [Google Scholar] [CrossRef] [PubMed]
- Lin, C.; Wang, C.; Ou, K.; Chang, S.; Dai, N.; Chen, S.; Chen, T.; Tzeng, Y. Clinical applications of the pedicled anterolateral thigh flap in reconstruction. ANZ J. Surg. 2017, 87, 499–504. [Google Scholar] [CrossRef]
- Wong, C.-H.; Ong, Y.S.; Wei, F.-C. The anterolateral thigh–vastus lateralis conjoint flap for complex defects of the lower limb. J. Plast. Reconstr. Aesthet. Surg. 2012, 65, 235–239. [Google Scholar] [CrossRef]
- Lee, S.H.; An, S.J.; Kim, N.R.; Kim, U.J.; Kim, J.I. Reconstruction of postburn contracture of the forefoot using the anterolateral thigh flap. Clin. Orthop. 2016, 8, 444–451. [Google Scholar] [CrossRef]
- Shi, Y.; Xu, Y.; Zhu, Y.; Yang, X.; Wang, T.; Cui, Y.; Zhang, X.; He, X. Microsurgical anterolateral thigh flap for reconstruction of extremity soft tissue defects in pediatric patients. Ann. Plast. Surg. 2022, 89, 185–190. [Google Scholar] [CrossRef]
- Mach, M.; Ostrowski, T.; Maciejewski, K.; Ostrowski, R.; Gałązka, Z. Solitary Fibrous Tumor of the Right Elbow: A Case Report. Cureus 2025, 17, e88175. [Google Scholar] [CrossRef]
- Qiao, J.; Mao, H.; Wen, L.; Xu, L.; Zhu, Z.; Qiu, Y.; Xiong, J.; Wang, S. Reconstruction of soft tissue defect with a free vascularized anterolateral thigh flap after resection of soft tissue sarcoma in extremities. Orthop. Surg. 2022, 14, 215–220. [Google Scholar] [CrossRef]
- Fulchignoni, C.; Cianni, L.; Matrangolo, M.R.; Cerrone, M.; Cavola, F.; Pataia, E.; Vitiello, R.; Maccauro, G.; Farsetti, P.; Rovere, G. A two-step approach to the surgical treatment of soft-tissue sarcomas. Curr. Oncol. 2024, 31, 2805–2816. [Google Scholar] [CrossRef]
- Miyamoto, S.; Fujiki, M.; Nakatani, F.; Sakisaka, M.; Sakuraba, M. Free flow-through anterolateral thigh flap for complex knee defect including the popliteal artery. Microsurgery 2015, 35, 485–488. [Google Scholar] [CrossRef] [PubMed]
- Wen, J.; Zhou, Z.; Boey, J.; Yu, L.; Marei, A.E.; Meng, F.; Xiao, Y.; Zeng, H.; Wan, S. Clinical evaluation of orthoplastic limb salvage protocol using anterolateral femoral free flap and kickstand fixation: A retrospective case-control study. Foot 2025, 63, 102176. [Google Scholar] [CrossRef] [PubMed]
- Atilgan, N.; Ipek, B.; Duman, N.; Orhan, O.; Yilmaz, M. Can anterolateral thigh flap be a rescuer in lower extremity injuries? Eur. Rev. Med. Pharmacol. Sci. 2023, 27, 7005–7011. [Google Scholar] [PubMed]
- Ricciardi, B.F.; Henderson, P.W.; McLawhorn, A.S.; Westrich, G.H.; Bostrom, M.P.; Gayle, L.B. Gluteus maximus advancement flap procedure for reconstruction of posterior soft tissue deficiency in revision total hip arthroplasty. Orthopedics 2017, 40, e495–e500. [Google Scholar] [CrossRef]
- Ross, D.A.; Gürlek, A.; Gheradini, G.; Miller, M.J. Transosseous transposition of a pedicled rectus abdominis flap to cover hip wounds. Eur. J. Surg. Oncol. EJSO 1998, 24, 610–611. [Google Scholar] [CrossRef]
- Rovere, G.; De Mauro, D.; D’oRio, M.; Fulchignoni, C.; Matrangolo, M.R.; Perisano, C.; Ziranu, A.; Pataia, E. Use of muscular flaps for the treatment of hip prosthetic joint infection: A systematic review. BMC Musculoskelet. Disord. 2021, 22 (Suppl. 2), 1059. [Google Scholar] [CrossRef]
- Rovere, G.; Smakaj, A.; Calori, S.; Barbaliscia, M.; Ziranu, A.; Pataia, E.; Maccauro, G.; De Mauro, D.; Liuzza, F. Use of muscular flaps for the treatment of knee prosthetic joint infection: A systematic review. Orthop. Rev. 2022, 14, 33943. [Google Scholar] [CrossRef]
- Demirtas, Y.; Kelahmetoglu, O.; Cifci, M.; Tayfur, V.; Demir, A.; Guneren, E. Comparison of free anterolateral thigh flaps and free muscle-musculocutaneous flaps in soft tissue reconstruction of lower extremity. Microsurgery 2010, 30, 24–31. [Google Scholar] [CrossRef]
- Philandrianos, C.; Moullot, P.; Gay, A.M.; Bertrand, B.; Legré, R.; Kerfant, N.; Casanova, D. Soft tissue coverage in distal lower extremity open fractures: Comparison of free anterolateral thigh and free latissimus dorsi flaps. J. Reconstr. Microsurg. 2018, 34, 121–129. [Google Scholar]
- Sofiadellis, F.; Liu, D.S.; Webb, A.; MacGill, K.; Rozen, W.M.; Ashton, M.W. Fasciocutaneous free flaps are more reliable than muscle free flaps in lower limb trauma reconstruction: Experience in a single trauma center. J. Reconstr. Microsurg. 2012, 28, 333–340. [Google Scholar] [CrossRef]
- Chang, N.-J.; Waughlock, N.; Kao, D.; Lin, C.-H.; Lin, C.-H.; Hsu, C.-C. Efficient design of split anterolateral thigh flap in extremity reconstruction. Plast. Reconstr. Surg. 2011, 128, 1242–1249. [Google Scholar] [CrossRef]
- Choi, K.; Cho, J.; Park, M.; Park, D.H.; Lee, I.J. Knee and ankle reconstruction with reverse anterolateral thigh and free anterolateral thigh flap from one donor site. Int. J. Low. Extrem. Wounds 2016, 15, 267–270. [Google Scholar] [CrossRef] [PubMed]
- Razzano, S.; Ramadan, S.; Figus, A.; Haywood, R.M. Tear drop-free anterolateral thigh flap, a versatile design for lower limb reconstruction after trauma. Microsurgery 2018, 38, 278–286. [Google Scholar] [CrossRef] [PubMed]
- Bota, O.; Meier, F.; Garzarolli, M.; Schaser, K.-D.; Dragu, A.; Taqatqeh, F.; Fritzsche, H. Lower leg reconstruction after resection of a squamous cell carcinoma on necrobiosis lipoidica with a pedicled fibula and an extended anterolateral thigh flap—A case report. World J. Surg. Oncol. 2023, 21, 38. [Google Scholar] [CrossRef] [PubMed]
- Lee, Y.-K.; Lee, M. Treatment of infected Achilles tendinitis and overlying soft tissue defect using an anterolateral thigh free flap in an elderly patient: A case report. Medicine 2018, 97, e11995. [Google Scholar] [CrossRef]
- Ikeguchi, R.; Noguchi, T.; Ando, M.; Yoshimoto, K.; Sakamoto, D.; Matsuda, S. Anterolateral thigh flap for upper extremity reconstruction in older patients. Microsurgery 2022, 42, 793–799. [Google Scholar] [CrossRef]
- Ellabban, M.A.; Gomaa, A.A.; Moghazy, A.M.; Elbadawy, M.A.; Adly, O.A. Aesthetic and functional outcomes of thinned anterolateral thigh flap in reconstruction of complex wounds of the upper limb. J. Hand Surg. Eur. 2021, 46, 857–864. [Google Scholar] [CrossRef]







| Patient | Cause | Site | Sex | Age | Comorbidity (Excluding Diabetes) | Diabetes | BMI > 25 (kg/m2) | Smoke |
|---|---|---|---|---|---|---|---|---|
| 1 | Post-burn sequelae | Arm | M | 7 | No | No | No | No |
| 2 | Open fracture | Elbow | M | 32 | No | No | No | Yes |
| 3 | Oncologic | Elbow | M | 62 | Yes | No | No | No |
| 4 | Oncologic | Forearm | F | 72 | Yes | No | No | No |
| 5 | Oncologic | Hindfoot [13] | M | 54 | No | No | Yes | No |
| 6 | Consequences of osteomyelitis | Leg | M | 30 | No | No | No | Yes |
| Outcome | Number (N) | Percentage (%) |
|---|---|---|
| Flap Failure | 0 | 0% |
| Complete Flap Survival | 3 | 50% |
| Partial Flap Necrosis | 3 | 50% |
| Surgical Site Infection | 0 | 0% |
| Wound Dehiscence | 1 | 16.67% |
| Retractile scars | 1 | 16.67% |
| Reoperation Rate | 1 | 16.67% |
| Donor-Site Morbidity | 0 | 0% |
| Patient | Patient’s Functional Assessment | Patient’s Esthetic Assessment | Surgeon’s Functional Assessment | Surgeon’s Esthetic Assessment |
|---|---|---|---|---|
| 1 | Fair | Good | Fair | Fair |
| 2 | Good | Excellent | Fair | Excellent |
| 3 | Excellent | Excellent | Excellent | Good |
| 4 | Good | Good | Good | Good |
| 5 | Good | Excellent | Excellent | Good |
| 6 | Good | Good | Good | Good |
Disclaimer/Publisher’s Note: The statements, opinions and data contained in all publications are solely those of the individual author(s) and contributor(s) and not of MDPI and/or the editor(s). MDPI and/or the editor(s) disclaim responsibility for any injury to people or property resulting from any ideas, methods, instructions or products referred to in the content. |
© 2025 by the authors. Licensee MDPI, Basel, Switzerland. This article is an open access article distributed under the terms and conditions of the Creative Commons Attribution (CC BY) license (https://creativecommons.org/licenses/by/4.0/).
Share and Cite
Cerrone, M.; Cinelli, V.; Comisi, C.; Mascio, A.; Moretti, F.; Fulchignoni, C.; Pataia, E.; Greco, T.; Maccauro, G.; Perisano, C. Reconstructive Orthopedic Surgery Using the Free Anterolateral Thigh Flap: Perspectives and Experience from a Single Trauma Center. Life 2025, 15, 1857. https://doi.org/10.3390/life15121857
Cerrone M, Cinelli V, Comisi C, Mascio A, Moretti F, Fulchignoni C, Pataia E, Greco T, Maccauro G, Perisano C. Reconstructive Orthopedic Surgery Using the Free Anterolateral Thigh Flap: Perspectives and Experience from a Single Trauma Center. Life. 2025; 15(12):1857. https://doi.org/10.3390/life15121857
Chicago/Turabian StyleCerrone, Mariagrazia, Virginia Cinelli, Chiara Comisi, Antonio Mascio, Federico Moretti, Camillo Fulchignoni, Elisabetta Pataia, Tommaso Greco, Giulio Maccauro, and Carlo Perisano. 2025. "Reconstructive Orthopedic Surgery Using the Free Anterolateral Thigh Flap: Perspectives and Experience from a Single Trauma Center" Life 15, no. 12: 1857. https://doi.org/10.3390/life15121857
APA StyleCerrone, M., Cinelli, V., Comisi, C., Mascio, A., Moretti, F., Fulchignoni, C., Pataia, E., Greco, T., Maccauro, G., & Perisano, C. (2025). Reconstructive Orthopedic Surgery Using the Free Anterolateral Thigh Flap: Perspectives and Experience from a Single Trauma Center. Life, 15(12), 1857. https://doi.org/10.3390/life15121857

