Non-Infectious Pneumonitis and Acute Respiratory Distress Syndrome in a Patient on Ustekinumab Treatment: Case Report and Literature Review
Abstract
1. Introduction
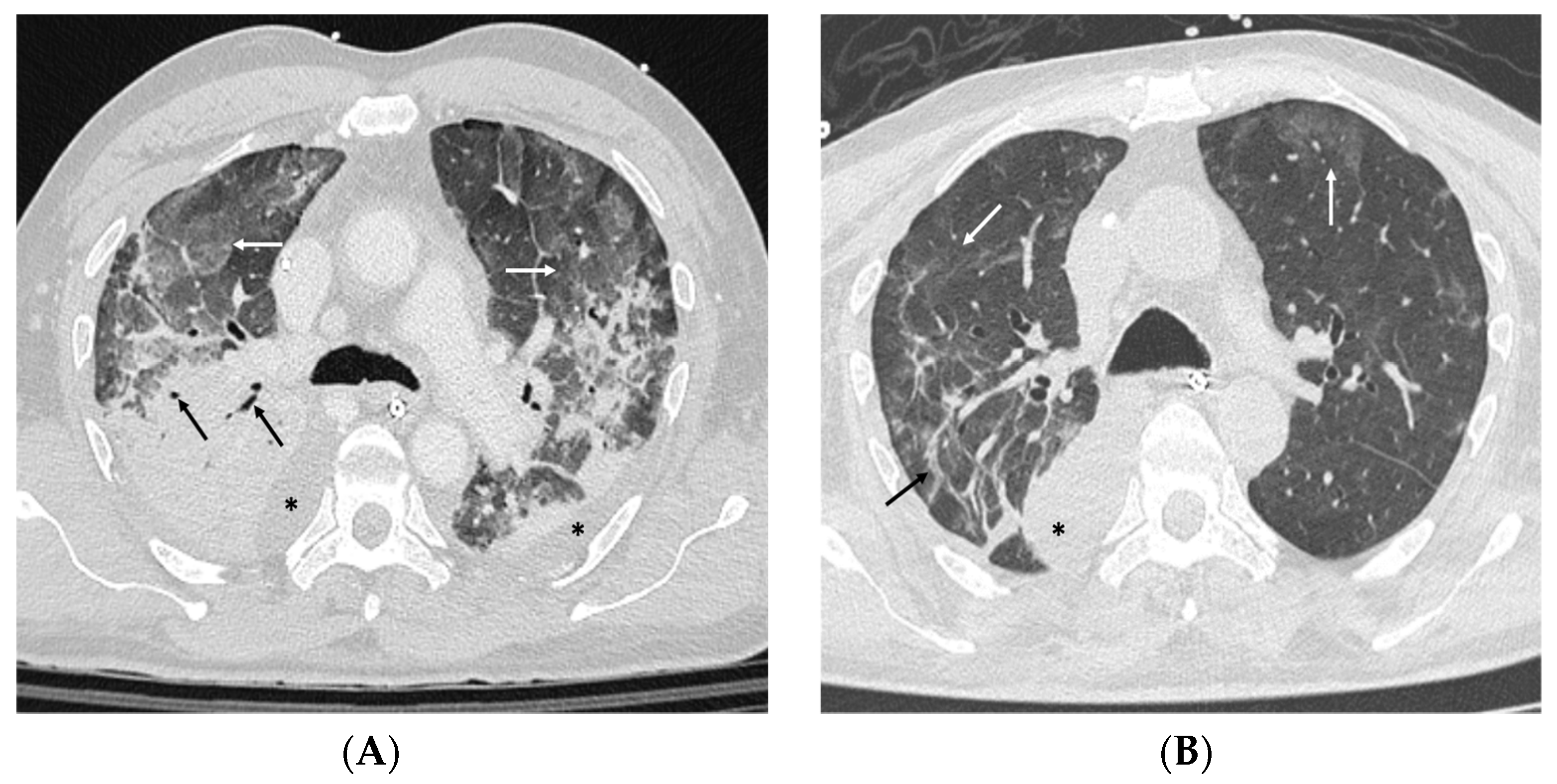
2. Case Report
3. Discussion
Author Contributions
Funding
Institutional Review Board Statement
Informed Consent Statement
Acknowledgments
Conflicts of Interest
References
- Lebwohl, M.; Emer, J.; Koutruba, N. Review of ustekinumab, an interleukin-12 and interleukin-23 inhibitor used for the treatment of plaque psoriasis. Ther. Clin. Risk Manag. 2010, 6, 123–141. [Google Scholar] [CrossRef] [PubMed]
- Kikuchi, S.; Umezawa, Y.; Hayashi, M.; Yanaba, K.; Fukuchi, O.; Ito, T.; Asahina, A.; Saeki, H.; Nakagawa, H. Interstitial pneumonia in two patients with psoriasis during ustekinumab treatment. J. Dermatol. 2015, 43, 712–713. [Google Scholar] [CrossRef]
- ARDS Definition of Task Force; Ranieri, V.M.; Rubenfeld, G.D.; Thompson, B.T.; Ferguson, N.D.; Caldwell, E.; Fan, E.; Camporota, L.; Slutsky, A.S. Acute Respiratory Distress Syndrome: The Berlin Definition. JAMA 2012, 307, 2526–2533. [Google Scholar] [CrossRef]
- Akiyama, S.; Yamada, A.; Micic, D.; Sakuraba, A. The risk of respiratory tract infections and interstitial lung disease with interleukin 12/23 and interleukin 23 antagonists in patients with autoimmune diseases: A systematic review and meta-analysis. J. Am. Acad. Dermatol. 2020, 84, 676–690. [Google Scholar] [CrossRef] [PubMed]
- Skeoch, S.; Weatherley, N.; Swift, A.J.; Oldroyd, A.; Johns, C.; Hayton, C.; Giollo, A.; Wild, J.M.; Waterton, J.C.; Buch, M.; et al. Drug-Induced Interstitial Lung Disease: A Systematic Review. J. Clin. Med. 2018, 7, 356. [Google Scholar] [CrossRef] [PubMed]
- Benson, J.M.; Peritt, D.; Scallon, B.J.; Heavner, G.A.; Shealy, D.J.; Giles-Komar, J.M.; Mascelli, M.A. Discovery and mechanism of ustekinumab: A human monoclonal antibody targeting interleukin-12 and interleukin-23 for treatment of immune-mediated disorders. mAbs 2011, 3, 535–545. [Google Scholar] [CrossRef] [PubMed]
- A Papp, K.; Langley, R.G.; Lebwohl, M.; Krueger, G.G.; Szapary, P.; Yeilding, N.; Guzzo, C.; Hsu, M.-C.; Wang, Y.; Li, S.; et al. Efficacy and safety of ustekinumab, a human interleukin-12/23 monoclonal antibody, in patients with psoriasis: 52-week results from a randomised, double-blind, placebo-controlled trial (PHOENIX 2). Lancet 2008, 371, 1675–1684. [Google Scholar] [CrossRef] [PubMed]
- Kimball, A.; Gordon, K.; Fakharzadeh, S.; Yeilding, N.; Szapary, P.; Schenkel, B.; Guzzo, C.; Li, S.; Papp, K. Long-term efficacy of ustekinumab in patients with moderate-to-severe psoriasis: Results from the PHOENIX 1 trial through up to 3 years. Br. J. Dermatol. 2012, 166, 861–872. [Google Scholar] [CrossRef] [PubMed]
- Gad, M.M.; Bazarbashi, N.; Kaur, M.; Gupta, A. Sarcoid-like Phenomenon—Ustekinumab induced granulomatous reaction mimicking diffuse metastatic disease: A case report and review of the literature. J. Med. Case Rep. 2019, 13, 257. [Google Scholar] [CrossRef] [PubMed]
- Keane, M.P.; Belperio, J.A.; Burdick, M.D.; Strieter, R.M. IL-12 attenuates bleomycin-induced pulmonary fibrosis. Am. J. Physiol. Lung Cell. Mol. Physiol. 2001, 281, L92–L97. [Google Scholar] [CrossRef] [PubMed]
- Huaux, F.; Arras, M.; Tomasi, D.; Barbarin, V.; Delos, M.; Coutelier, J.-P.; Vink, A.; Phan, S.H.; Renauld, J.-C.; Lison, D. A Profibrotic Function of IL-12p40 in Experimental Pulmonary Fibrosis. J. Immunol. 2002, 169, 2653–2661. [Google Scholar] [CrossRef] [PubMed]
- Herrinton, L.J.; Harrold, L.R.; Liu, L.; Raebel, M.A.; Taharka, A.; Winthrop, K.L.; Solomon, D.H.; Curtis, J.R.; Lewis, J.D.; Saag, K.G. Association between anti-TNF-α therapy and interstitial lung disease. Pharmacoepidemiol. Drug Saf. 2013, 22, 394–402. [Google Scholar] [CrossRef] [PubMed]
- Lee, S.; An, J.; Kim, D.; Yoon, M.; Lee, H. A Case of Interstitial Lung Disease and Autoimmune Thyroiditis Associated with Ustekinumab. Acta Derm.-Venereol. 2019, 99, 331–332. [Google Scholar] [CrossRef] [PubMed]
- Kobayashi, J.; Kitamura, S. KL-6: A Serum Marker for Interstitial Pneumonia. Chest 1995, 108, 311–315. [Google Scholar] [CrossRef] [PubMed]
- Brinker, A.; Cheng, C.; Chan, V. Association of Noninfectious Pneumonia with Ustekinumab Use. JAMA Dermatol. 2019, 155, 221–224. [Google Scholar] [CrossRef] [PubMed]
- Miyagawa, H.; Hara, H.; Araya, J.; Minagawa, S.; Numata, T.; Umezawa, Y.; Asahina, A.; Nakagawa, H.; Kuwano, K. Characteristics of anti-IL-17/23 biologics-induced interstitial pneumonia in patients with psoriasis. PLoS ONE 2021, 16, e0245284. [Google Scholar] [CrossRef] [PubMed]
- Marik, P.E.; Long, A. ARDS complicating pustular psoriasis: Treatment with low-dose corticosteroids, vitamin C and thiamine. BMJ Case Rep. 2018, 2018, bcr2017223475. [Google Scholar] [CrossRef] [PubMed]
- Despotes, K.A.; Vigeland, C.L. Stelara struck: A case of noninfectious pneumonitis secondary to ustekinumab. BMC Pulm. Med. 2022, 22, 280. [Google Scholar] [CrossRef] [PubMed]
- Anile, M.; Diso, D.; Russo, E.; Patella, M.; Carillo, C.; Pecoraro, Y.; Onorati, I.; Pugliese, F.; Ruberto, F.; De Giacomo, T.; et al. Extracorporeal Membrane Oxygenation as Bridge to Lung Transplantation. Transplant. Proc. 2013, 45, 2621–2623. [Google Scholar] [CrossRef] [PubMed]

| Day of Hospitalization | Respiratory Status | Pulmonary Changes | Lab Data | Medication Dosages | Other Clinical Data |
|---|---|---|---|---|---|
| 1 | Tachypnoeic in VMK, FiO2 50%. shifted to HFNC 60 lpm-100%, | Basal consolidation right lung. | pH 7.48, pCO2 27, pO2 75, lactate 3.6 WBC 4000 cells/mmc CRP: 516,600 mg/L | Merrem 1 g × 3, Linezolid 600 mg × 2, Azithromycin 500 mg. | Diarrhea, consolidation on chest X-ray, initiated oxygen therapy. |
| 2 | HFNC 60 lpm, FiO2 80%. | Bilateral opacities. | pH 7.45, pCO2 33, pO2 247, lactate 3.2, P/F 274 | Targosid (replaced Linezolid), Cancidas 50 mg/die Aerosol therapy (Fluibron + Broncovaleas). | PASI: 0. |
| 3 | HFNC 60 lpm, FiO2 80%. | Stable. | pH 7.43 pCO2 38, pO2 193, Lac 1.5, P/F 276 CRP: 345,000 mg/L | Levoxacin 750 mg/die. | H. Influentiae in blood cultures. |
| 5 | HFNC 60 lpm, FiO2 100%. | pH 7.42 pO2 177, pCO2 36, Lac 1.1 CRP 272,000 WBC 12.000 cells/mmc | Ongoing with same treatment. | ||
| 6 | HFNC 60 lpm, FiO2 90% Started NIV cycles (PS 10, PEEP 8, FiO2 90%). | pH 7.41 pO2 101, pCO2 34, Lac 1.1, P/F 112 WBC 16,200 cells/mmc | Sterile placement of CVC in the right internal jugular vein with Seldinger-guided ultrasound technique, smooth procedure. Chest X-ray for control. | ||
| 7 | HFNC 60 lpm, FiO2 90% Placed CPAP helmet PEEP 8 at 100% FiO2 for a two-hour cycle, twice a day. | Chest X-ray unchanged. | Ph 7.46 pO2 90, pCO2 38, Lac 1.6, P/F 100 | Blood cultures performed on febrile spike. | |
| 8 | Eupnoic in HFNC 60 lpm FiO2 95%. NIV initiated for the night (Ps 8 Peep 8 FiO2 90%). | Mild clearing of hypodiaphania in the right middle-basal area. | pH 7.48, pCO2 37, pO2 87, lactate 1.5, P/F 92 | Linezolid added after consulting infectious disease specialist. | Thoracentesis with aspiration of 1500 cc sierous fluid; microbiological tests performed. |
| 9 | Eupnoic in HFNC 60 lpm-100%. NIV-Helmet PS 12 PEEP 8 FiO2 100%. | Chest X-ray unchanged. | pH 7.48, pCO2 42, pO2 89, Lac 1.5 | Clexane 8000 UI sc a day. | |
| 10 | Tachypnoeic in NIV helmet (Ps 12 PEEP 8 FiO2 90%), increased Ps to 14. Switched to HFNC 60 L/min, FiO2 100%. NIV helmet applied (Ps 16 PEEP 8 FiO2 100%). | pH 7.42, pO2 191, pCO2 49, Lac 1.5, P/F 191 pH 7.42, pCO2 49, pO2 105, lactate 1.7 pH 7.40, pO2 69, pCO2 50, Lac 1.7 WBC and PCR slightly reduced | |||
| 11 | Tachypneic in NIV helmet (PS 16, PEEP 8, FiO2 100). Intubation performed with videolaryngoscope (8 mm tube); connected to ventilator in SIMV mode Vt 550 mL RR 16 PEEP 10 FiO2 80%. | Chest X-ray control. | pH 7.42, pCO2 52, pO2 164, LAC 1.6, P/F 164 pH 7.40, pO2 122, pCO2 37, Lac 1.2, P/F 244 | Sedation with propofol and disufen, noradrenaline (IC: 14 mL/h). | Deterioration of clinical status; performed FBS, sent BAL samples to microbiology and virology. |
| 12 | Critical condition. Intubated and ventilated in SIMV (Vt 500 RR 16 PEEP 10 FiO2 80%) ECMO VV started (2320 rpm, BF 3, FGF 4, FiDO2 100%). | Chest/abdomen CT scan performed. | pH 7.43 pCO2 53 pO2 79 LAC 2.4 P/F 99 pH 7.50 pCO2 42 pO2 88 lactate 2.9 pH 7.40, pCO2 53, pO2 158, lactates 2.2 | Hemodynamics supported by noradrenaline in IC at 10 mL/h (4 mg:50 mL SF). Bactrim added to therapy. | |
| 13 | Ventilated in SIMV (VT 330, RR 10, PEEP 8, FiO2 100) with vvECMO (BF 3, FGF 4, FiDO2 100). | Chest X-ray FBS control. | EGA: pH 7.47, PaCO2 54, PaO2 84, Lactate 2.9 | Propofol, sufentanil, midazolam, noradrenaline, Amiodarone, Furosemide, ATIII, Heparin, PFC. | Hemodynamically unstable. |
| 14 | Ventilated in SIMV (VT 330, RR 10, PEEP 8, FiO2 80) with vvECMO (BF 3, FGF 3, FiDO2 100). Increased BF to 3.5 L/min. | Chest X-ray shows persistent bilateral parenchymal opacities. | pH 7.47, pCO2 57, pO2 80, Lac 3.2. pH 7.52, pCO2 46, P/F 78, Lac 3.4, HCO3 35 | Hemodynamically supported with noradrenaline 0.35 mcg/kg/min (increased overnight 0.42 mcg/kg/min. Corrected antithrombin. Ongoing heparin infusion at 1.9 mL/h. | |
| 15 | Intubated and connected to VM in SIMV (VT 330, RR 10, PEEP 8, FiO2 80, Pplat 20, Cd 21) with vvECMO (BF 3, FGF 3.5, FiDO2 100). | pH 7.46, pO2 89, pCO2 57, Lac 3.3, | |||
| 16 | vvECMO continued (2465 RPM BF 3.25 FGF 3 FiDO2 100%). | FBS performed, abundant collose secretions aspirated from both hemispheres. Chest X-ray unchanged. | pH 7.41, paCO2 56, paO2 98, Lac 2.9, CRP 98,600, WBC 10,280 cells/mmc | Solumedrol 1 g/day for 3 days after immunological consult. Hemodynamically supported by noradrenaline in ICU at 3 mL/h of 4 mg in SF 50 mL mcg/kg/min. | sinus bradycardia at a medium frequency of 48 bpm. Immunological consult. |
| 20 | vvECMO continued (2465 RPM BF 3.25 FGF 3 FiDO2 100%). | Solumedrol 80 mg/day. | PASI: 7. | ||
| 24 | ECMO support removed; Ventilation modified: TV 600 mL, RR 12, PEEP 8, FiO2 60%. | pH 7.44, pCO2 61, pO2 94, lactate 1.7, P/F 157. pH 7.50, pCO2 50, pO2 107, lactate 1.7, P/F 214 | Noradrenaline in ICU at 5 mL/h (4 mg:50 mL SF). Solumedrol 60 mg/day. | ||
| 26 | After curarization, under fibrobronchoscopic view, percutaneous tracheostomy is performed using the Griggs technique, placing a size 8 cannula, FBS is performed: thick secretions are aspirated (right > left). | Chest CT performed. | pH 7.56; pCO2 48, pO2 105, lactate 1.3; Hb 9.7, P/F 210, WBC 20,620 cells/mmc | Sedation suspended. | |
| 30 | Tracheostomized and ventilated in PSV (PS 14, PEEP 5, FiO2 40%). Placement of HFOT started at 60 lpm, gradually reduced to 40%. | pH 7.51, pCO2 45, pO2 115, lactate 1.6, P/F 288. WBC 19,890 cells/mmc | Valsartan 160 mg reintroduced in therapy. | PASI 13. | |
| 44 | pH 7.45, paO2 97, paCO2 36, Lac 1.1 | PASI 16 Patient discharged. |
Disclaimer/Publisher’s Note: The statements, opinions and data contained in all publications are solely those of the individual author(s) and contributor(s) and not of MDPI and/or the editor(s). MDPI and/or the editor(s) disclaim responsibility for any injury to people or property resulting from any ideas, methods, instructions or products referred to in the content. |
© 2024 by the authors. Licensee MDPI, Basel, Switzerland. This article is an open access article distributed under the terms and conditions of the Creative Commons Attribution (CC BY) license (https://creativecommons.org/licenses/by/4.0/).
Share and Cite
Cioffi, V.; Di Napoli, G.; Tozzi, P.; Martelli, S.; Bruno, K.; Longo, A.; Buso, H.; Pugliese, F.; Milito, C. Non-Infectious Pneumonitis and Acute Respiratory Distress Syndrome in a Patient on Ustekinumab Treatment: Case Report and Literature Review. Life 2024, 14, 394. https://doi.org/10.3390/life14030394
Cioffi V, Di Napoli G, Tozzi P, Martelli S, Bruno K, Longo A, Buso H, Pugliese F, Milito C. Non-Infectious Pneumonitis and Acute Respiratory Distress Syndrome in a Patient on Ustekinumab Treatment: Case Report and Literature Review. Life. 2024; 14(3):394. https://doi.org/10.3390/life14030394
Chicago/Turabian StyleCioffi, Valentina, Giulia Di Napoli, Pierfrancesco Tozzi, Sabina Martelli, Katia Bruno, Andrea Longo, Helena Buso, Francesco Pugliese, and Cinzia Milito. 2024. "Non-Infectious Pneumonitis and Acute Respiratory Distress Syndrome in a Patient on Ustekinumab Treatment: Case Report and Literature Review" Life 14, no. 3: 394. https://doi.org/10.3390/life14030394
APA StyleCioffi, V., Di Napoli, G., Tozzi, P., Martelli, S., Bruno, K., Longo, A., Buso, H., Pugliese, F., & Milito, C. (2024). Non-Infectious Pneumonitis and Acute Respiratory Distress Syndrome in a Patient on Ustekinumab Treatment: Case Report and Literature Review. Life, 14(3), 394. https://doi.org/10.3390/life14030394

