Neurosarcoidosis: The Presentation, Diagnosis and Treatment Review of Two Cases
Abstract
1. Introduction
2. Cases Presentation
2.1. Case 1
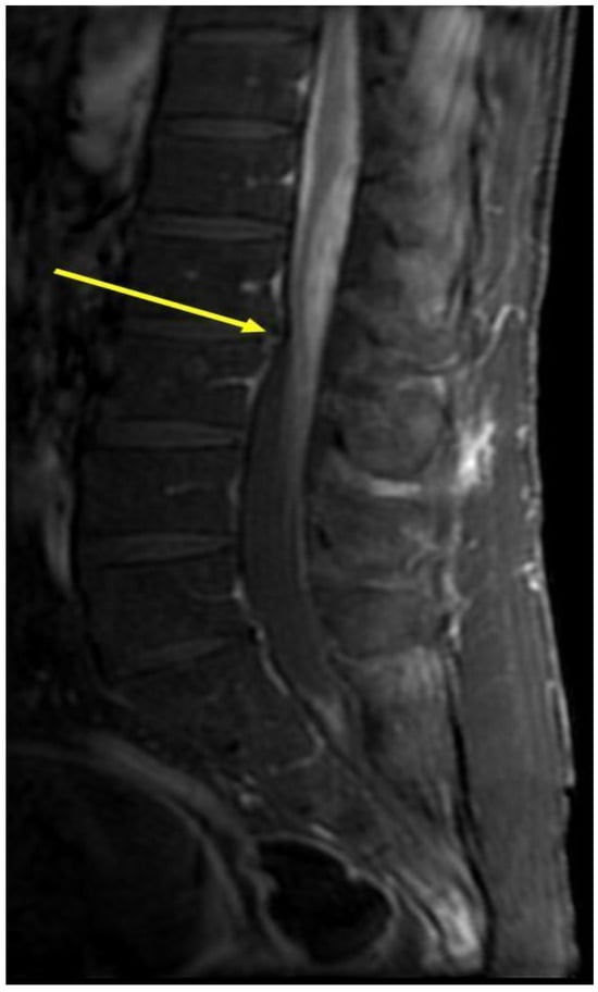
2.2. Case 2
3. Neurological Involvement in Sarcoidosis
3.1. Cranial Neuropathy
3.2. Peripheral Neuropathy
3.3. Pituitary and Hypothalamic Involvement
3.4. Pachymeningitis
3.5. Leptomeningitis
3.6. Vascular Involvement
4. Diagnosis of Neurosarcoidosis
4.1. Treatment
4.2. Prognosis
5. Summary
Author Contributions
Funding
Institutional Review Board Statement
Informed Consent Statement
Data Availability Statement
Conflicts of Interest
References
- Valeyre, D.; Prasse, A.; Nunes, H.; Uzunhan, Y.; Brillet, P.-Y.; Müller-Quernheim, J. Sarcoidosis. Lancet 2014, 383, 1155–1167. [Google Scholar] [CrossRef] [PubMed]
- Drent, M.; Strookappe, B.; Hoitsma, E.; De Vries, J. Consequences of sarcoidosis. Clin. Chest Med. 2015, 36, 727–737. [Google Scholar] [CrossRef] [PubMed]
- Baughman, R.P.; Teirstein, A.S.; Judson, M.A.; Rossman, M.D.; Yeager, H., Jr.; Bresnitz, E.A.; De Palo, L.; Hunninghake, G.; Iannuzzi, M.C.; Johns, C.J.; et al. Clinical characteristics of patients in a case control study of sarcoidosis. Am. J. Respir. Crit. Care Med. 2001, 164, 1885–1889. [Google Scholar] [CrossRef] [PubMed]
- Gosselin, J.; Roy-Hewitson, C.; Bullis, S.S.; DeWitt, J.C.; Soares, B.P.; Dasari, S.; Nevares, A. Neurosarcoidosis: Phenotypes, Approach to Diagnosis and Treatment. Curr. Rheumatol. Rep. 2022, 24, 371–382. [Google Scholar] [CrossRef]
- Pietinalho, A.; Ohmichi, M.; Hiraga, Y.; Löfroos, A.B.; Selroos, O. The mode of presentation of sarcoidosis in Finland and Hokkaido, Japan. A comparative analysis of 571 Finnish and 686 Japanese patients. Sarcoidosis Vasc. Diffuse Lung Dis. 1996, 13, 159–166. [Google Scholar] [PubMed]
- Fritz, D.; Voortman, M.; van de Beek, D.; Drent, M.; Brouwer, M.C. Many faces of neurosarcoidosis: From chronic meningitis to myelopathy. Curr. Opin. Pulm. Med. 2017, 23, 439–446. [Google Scholar] [CrossRef] [PubMed]
- Stern, B.J.; Royal, W., III; Gelfand, J.M.; Clifford, D.B.; Tavee, J.; Pawate, S.; Berger, J.R.; Aksamit, A.J.; Krumholz, A.; Pardo, C.A.; et al. Definition and Consensus Diagnostic Criteria for NeurosarcoidosisFrom the Neurosarcoidosis Consortium Consensus Group. JAMA Neurol. 2018, 75, 1546–1553. [Google Scholar] [CrossRef]
- Kidd, D.P. Sarcoidosis of the central nervous system: Clinical features, imaging and CSF results. J. Neurol. 2018, 265, 1906–1915. [Google Scholar] [CrossRef]
- Kidd, D.P.; Burton, B.J.; Graham, E.M.; Plant, G.T. Optic neuropathy associated with systemic sarcoidosis. Neurol. Neuroimmunol. Neuroinflamm. 2016, 3, e270. [Google Scholar] [CrossRef]
- Koczman, J.J.; Rouleau, J.; Gaunt, M.; Kardon, R.H.; Wall, M.; Lee, A.G. Neuro-Ophthalmic sarcoidosis: The University of Iowa experience. In Seminars in Ophthalmology; Taylor & Francis: Abingdon, UK, 2008; Volume 23, pp. 157–168. [Google Scholar]
- Said, G.; Lacroix, C.; Planté-Bordeneuve, V.; Le Page, L.; Pico, F.; Presles, O.; Senant, J.; Remy, P.; Rondepierre, P.; Mallecourt, J. Nerve granulomas and vasculitis in sarcoid peripheral neuropathy: A clinico pathological study of 11 patients. Brain 2002, 125, 264–675. [Google Scholar] [CrossRef]
- Burns, T.M.; Dyck, P.J.B.; Aksamit, A.J.; Dyck, P.J. The natural history and long-term outcome of 57 limb sarcoidosis neuropathy cases. J. Neurol. Sci. 2006, 244, 77–87. [Google Scholar] [CrossRef] [PubMed]
- Said, G. Sarcoidosis of the peripheral nervous system. Handb. Clin. Neurol. 2013, 115, 485–495. [Google Scholar]
- Zuniga, G.; Ropper, A.H.; Frank, J. Sarcoid peripheral neuropathy. Neurology 1991, 41, 1558–1561. [Google Scholar] [CrossRef] [PubMed]
- Langrand, C.; Bihan, H.; Raverot, G.; Varron, L.; Androdias, G.; Borson-Chazot, F.; Brue, T.; Cathebras, P.; Pinede, L.; Muller, G.; et al. Hypothalamo-Pituitary sarcoidosis: A multicenter study of 24 patients. QJM 2012, 105, 981–995. [Google Scholar] [CrossRef] [PubMed]
- Anthony, J.; Esper, G.J.; Ioachimescu, A. Hypothalamic–pituitary sarcoidosis with vision loss and hypopituitarism: Case series and literature review. Pituitary 2016, 19, 19–29. [Google Scholar] [CrossRef] [PubMed]
- Crouser, E.D.; Maier, L.A.; Wilson, K.C.; Bonham, C.A.; Morgenthau, A.S.; Patterson, K.C.; Abston, E.; Bernstein, R.C.; Blankstein, R.; Chen, E.S.; et al. Diagnosis and detection of sarcoidosis. An official American Thoracic Society Clinical Practice Guideline. Am. J. Respir. Crit. Care Med. 2020, 201, e26–e51. [Google Scholar] [CrossRef]
- Baughman, R.P.; Valeyre, D.; Korsten, P.; Mathioudakis, A.G.; Wuyts, W.A.; Wells, A.; Rottoli, P.; Nunes, H.; Lower, E.E.; Judson, M.A.; et al. ERS clinical practice guidelines on treatment of sarcoidosis. Eur. Respir. J. 2021, 58, 2004079. [Google Scholar] [CrossRef]
- Meyer, J.S.; Foley, J.M.; Campagna-Pinto, D. Granulomatous angiitis of the meninges in sarcoidosis. Arch. Neurol. Psych. 1952, 587–600. [Google Scholar] [CrossRef]
- Chazal, T.; Costopoulos, M.; Maillart, E.; Fleury, C.; Psimaras, D.; Legendre, P.; Pineton de Chambrun, M.; Haroche, J.; Lubetzki, C.; Amoura, Z.; et al. The cerebrospinal fluid CD4/CD8 ratio and interleukin-6 and -10 levels in neurosarcoidosis: A multicenter, pragmatic, comparative study. Eur. J. Neurol. 2019, 26, 1274–1280. [Google Scholar] [CrossRef]
- Scott, T.F.; Yandora, K.; Valeri, A.; Chieffe, C.; Schramke, C. Aggressive therapy for neurosarcoidosis: Long-term follow-up of 48 treated patients. Arch. Neurol. 2007, 64, 691–696. [Google Scholar] [CrossRef]
- Bradshaw, M.J.; Pawate, S.; Koth, L.L.; Cho, T.A.; Gelfand, J.M. Neurosarcoidosis Pathophysiology, Diagnosis, and Treatment. Neurology: Neuroimmunology & Neuroinflammation. Neurol. Neuroimmunol. Neuroinflamm. 2021, 8, e1084. [Google Scholar] [PubMed]
- Fritz, D.; van de Beek, D.; Brouwer, M.C. Clinical features, treatment and outcome in neurosarcoidosis: Systematic review and meta-analysis. BMC Neurol. 2016, 16, 220. [Google Scholar] [CrossRef] [PubMed]
- Allen, R.K.; Sellars, R.E.; Sandstrom, P.A. A prospective study of 32 patients with neurosarcoidosis. Sarcoidosis Vasc. Diffuse Lung Dis. 2003, 20, 118–125. [Google Scholar] [PubMed]
- Murdaca, G.; Spanò, F.; Contatore, M.; Guastalla, A.; Penza, E.; Magnani, O.; Puppo, F. Infection risk associated with anti-TNF-α agents: A review. Expert Opin. Drug Saf. 2015, 14, 571–582. [Google Scholar] [CrossRef] [PubMed]
- Marangoni, S.; Argentiero, V.; Tavolato, B. Neurosarcoidosis. Clinical description of 7 cases with a proposal for a new diagnostic strategy. J. Neurol. 2006, 253, 488–495. [Google Scholar] [CrossRef] [PubMed]
- Elkin, R.; Willcox, P.A. Neurosarcoidosis. A report of 5 cases. S. Afr. Med. J. 1985, 67, 943–946. [Google Scholar]
- Baughman, R.P.; Drent, M.; Kavuru, M.; Judson, M.A.; Costabel, U.; Du Bois, R.; Albera, C.; Brutsche, M.; Davis, G.; Donohue, J.F.; et al. Infliximab therapy in patients with chronic sarcoidosis and pulmonary involvement. Am. J. Respir. Crit. Care Med. 2006, 174, 795–802. [Google Scholar] [CrossRef]
- Gelfand, J.M.; Bradshaw, M.J.; Stern, B.J.; Clifford, D.B.; Wang, Y.; Cho, T.A.; Koth, L.L.; Hauser, S.L.; Dierkhising, J.; Vu, N.; et al. Infliximab for the treatment of CNS sarcoidosis: A multi-institutional series. Neurology 2017, 89, 2092–2100. [Google Scholar] [CrossRef]
- Hutto, S.K.; Kyle, K.; Cavanagh, J.J.; Reda, H.; Venna, N. Adalimumab for CNS sarcoidosis: Single-center experience and literature review. J. Neurol. 2022, 269, 2064–2072. [Google Scholar] [CrossRef]
- O’Reilly, M.W.; Sexton, D.J.; Dennedy, M.C.; Counihan, T.J.; Finucane, F.M.; O’Brien, T.; O’Regan, A.W. Radiological remission and recovery of thirst appreciation after infliximab therapy in adipsic diabetes insipidus secondary to neurosarcoidosis. QJM 2015, 108, 657–659. [Google Scholar] [CrossRef][Green Version]
- Arcot Jayagopal, L.; Shirani, A.; Cawcutt, K.; Chen, J.; Yuil-Valdes, A.; Zabad, R. Disseminated Aspergillosis in a Patient with Neurosarcoidosis: Persistent Contrast Enhancement in CNS Despite Prolonged Antifungal Treatment: A Case Report. J. Cent. Nerv. Syst. Dis. 2023, 15, 11795735231195756. [Google Scholar] [CrossRef] [PubMed]
- Cohen Aubart, F.; Bouvry, D.; Galanaud, D.; Dehais, C.; Mathey, G.; Psimaras, D.; Haroche, J.; Pottier, C.; Hie, M.; Mathian, A.; et al. Long-term outcomes of refractory neurosarcoidosis treated with infliximab. J. Neurol. 2017, 264, 891–897. [Google Scholar] [CrossRef] [PubMed]
- Riller, Q.; Cotteret, C.; Junot, H.; Benameur, N.; Haroche, J.; Mathian, A.; Hie, M.; Miyara, M.; Tilleul, P.; Amoura, Z.; et al. Infliximab biosimilar for treating neurosarcoidosis: Tolerance and efficacy in a retrospective study including switch from the originator and initiation of treatment. J. Neurol. 2019, 266, 1073–1078. [Google Scholar] [CrossRef] [PubMed]
- Lorentzen, A.O.; Sveberg, L.; Midtvedt, Ø.; Kerty, E.; Heuser, K. Overnight Response to Infliximab in Neurosarcoidosis: A Case Report and Review of Infliximab Treatment Practice. Clin. Neuropharmacol. 2014, 37, 142–148. [Google Scholar] [CrossRef]
- Fritz, D.; Timmermans, W.M.; van Laar, J.A.; van Hagen, P.M.; Siepman, T.A.; van de Beek, D.; Brouwer, M.C. Infliximab treatment in pathology-confirmed neurosarcoidosis. Neurol. Neuroimmunol. Neuroinflamm. 2020, 7, e847. [Google Scholar] [CrossRef]
- Villacis-Nunez, D.S.; Thakral, A. Pituitary Sarcoidosis in a Pediatric Patient Successfully Treated with Adalimumab and Methotrexate. J. Investig. Med. High. Impact Case Rep. 2021, 9, 23247096211012191. [Google Scholar] [CrossRef]
- Metyas, S.; Tawadrous, M.; Yeter, K.C.; Arkfeld, D.G. Neurosarcoidosis mimicking multiple sclerosis successfully treated with azate and adalimumab. Int. J. Rheum. Dis. 2014, 17, 214–216. [Google Scholar] [CrossRef]


| Nervous system pathology is consistent with neurosarcoidosis | Non-nervous system pathology is consistent with sarcoidosis | Clinical, MRI, CSF and EMG findings are compatible with granulomatous inflammation of the nervous system | |
| There is no pathologic confirmation of granulomatous disease | Yes (MRI, CSF and/or EMG/NCS findings are typical of granulomatous inflammation) | Possible | |
| Yes (pathologic confirmation of systemic granulomatous disease consistent with sarcoidosis) | Yes (MRI, CSF and/or EMG/NCS findings are typical of granulomatous inflammation) | Probable | |
| Yes | Yes or No (pathologic confirmation of systemic granulomatous disease consistent with sarcoidosis) | Yes (MRI, CSF and/or EMG/NCS findings are typical of granulomatous inflammation) | Definite |
| Reference | Age/Sex | Neuroanatomic Location | Extra-Neurological Effect | Biopsy Location | Anti-TNF-α Therapeutic Effect |
|---|---|---|---|---|---|
| M W O’Reilly et al., 2013 [31] | 22/Male | Hypothalamic infiltration | Adipsic diabetes insipidus | Excisional cervical lymph node biopsy | Infliximab: radiological disease remission and complete recovery of osmoregulated thirst appreciation |
| Lakshman Arcot Jayagopal et al., 2023 [32] | 56/Male | Multi-focal enhancing and longitudinally extensive lesion with dorsal subpial enhancement | Dysesthesia in bilateral arms and legs up to the buttocks and gait difficulties. | Biopsy of a pulmonary mass showed a granuloma | Infliximab: remission of neurosarcoidosis after immunosuppression |
| Fleur Cohen Aubart et al., 2017. [33] | 1 males (29–53) 7 females (34–51) | All had neurological involvement consisting of meningeal (n = 16), cerebral (n = 10), spinal cord (n = 6) and/or optic nerve (n = 5) involvement | All patients had histologically proven non-caseating granulomas. | At 6 months after the initiation of infliximab, six patients obtained complete remission (33%), ten attained partial remission (56%), and two had stable disease (11%) | |
| Quentin Riller et al., 2019 [34] | 11 males (33–51) 9 females (37–52) | Meningeal (n = 15), cerebral (n = 10), spinal cord (n = 9) and/or cranial nerves (n = 5); epilepsy (n = 3); and/or intracranial hypertension (n = 3) | Histological documentation of noncaseating granuloma | Infliximab biosimilar: six patients relapsed during biosimilar treatment | |
| Lorentzen, Anastasia Orlova et al., 2014 [35] | Spinal cord sarcoidosis | Biopsy-proven sarcoidosis | Immediate and dramatic response to infliximab | ||
| Daan Fritz et al., 2020 [36] | 16 males (33–49), 12 females (33–49) | Cerebral parenchymal localization in 16 (59%), pituitary gland/hypothalamic sarcoidosis in 15 (54%), peripheral nerve involvement in 12 (43%) and chronic meningitis in 11 patients (41%). | Biopsy-proven sarcoidosis | Infliximab led to complete remission in 6 (21%) and improvement in 14 (50%), whereas 7 patients had stable disease (25%), and 1 (4%) deteriorated and died | |
| D. Sofia Villacis-Nunez et al., 2021 [37] | 17/Female | Diffuse granulomatous involvement of the pituitary gland | Sarcoidosis of the lacrimal gland | Histology of the right lacrimal gland | Corticosteroids, methotrexate, and adalimumab, with complete radiologic resolution |
| Samy Metyas et al., 2014 [38] | 54/Female | Marrow edema and infiltrates and active demyelination | Lower back pain and bilateral lower extremity weakness with 6-month duration | Lung biopsy was performed | Adalimumab and methotrexate reduced headache completely and showed improvement in spinal mobility and range of motion |
| Spencer K Hutto et al., 2021 [32] | 4 males (42–59), 3 females (42–59) | Spinal cord (4), cerebral parenchyma (1), pituitary (1) and leptomeninges (1). The cauda equina was involved in 2 cases | Erythema nodosum, arthritis and uveitis | Pathologically proven sarcoidosis from mediastinal or hilar lymph node biopsy | 50% improved, remission was maintained in 30%, and 20% with active disease remained stable without further worsening |
Disclaimer/Publisher’s Note: The statements, opinions and data contained in all publications are solely those of the individual author(s) and contributor(s) and not of MDPI and/or the editor(s). MDPI and/or the editor(s) disclaim responsibility for any injury to people or property resulting from any ideas, methods, instructions or products referred to in the content. |
© 2023 by the authors. Licensee MDPI, Basel, Switzerland. This article is an open access article distributed under the terms and conditions of the Creative Commons Attribution (CC BY) license (https://creativecommons.org/licenses/by/4.0/).
Share and Cite
Basheer, M.; Waked, H.; Jeries, H.; Azrilin, O.; Paz, D.; Assy, N.; Naffaa, M.E.; Badarny, S. Neurosarcoidosis: The Presentation, Diagnosis and Treatment Review of Two Cases. Life 2024, 14, 69. https://doi.org/10.3390/life14010069
Basheer M, Waked H, Jeries H, Azrilin O, Paz D, Assy N, Naffaa ME, Badarny S. Neurosarcoidosis: The Presentation, Diagnosis and Treatment Review of Two Cases. Life. 2024; 14(1):69. https://doi.org/10.3390/life14010069
Chicago/Turabian StyleBasheer, Maamoun, Hamd Waked, Helana Jeries, Olga Azrilin, Dan Paz, Nimer Assy, Mohammad E. Naffaa, and Samih Badarny. 2024. "Neurosarcoidosis: The Presentation, Diagnosis and Treatment Review of Two Cases" Life 14, no. 1: 69. https://doi.org/10.3390/life14010069
APA StyleBasheer, M., Waked, H., Jeries, H., Azrilin, O., Paz, D., Assy, N., Naffaa, M. E., & Badarny, S. (2024). Neurosarcoidosis: The Presentation, Diagnosis and Treatment Review of Two Cases. Life, 14(1), 69. https://doi.org/10.3390/life14010069

