The Role of Diffusion-Weighted Imaging Based on Maximum-Intensity Projection in Young Patients with Marked Background Parenchymal Enhancement on Contrast-Enhanced Breast MRI
Abstract
1. Introduction
2. Materials and Methods
2.1. Study Population
2.2. MRI Protocol
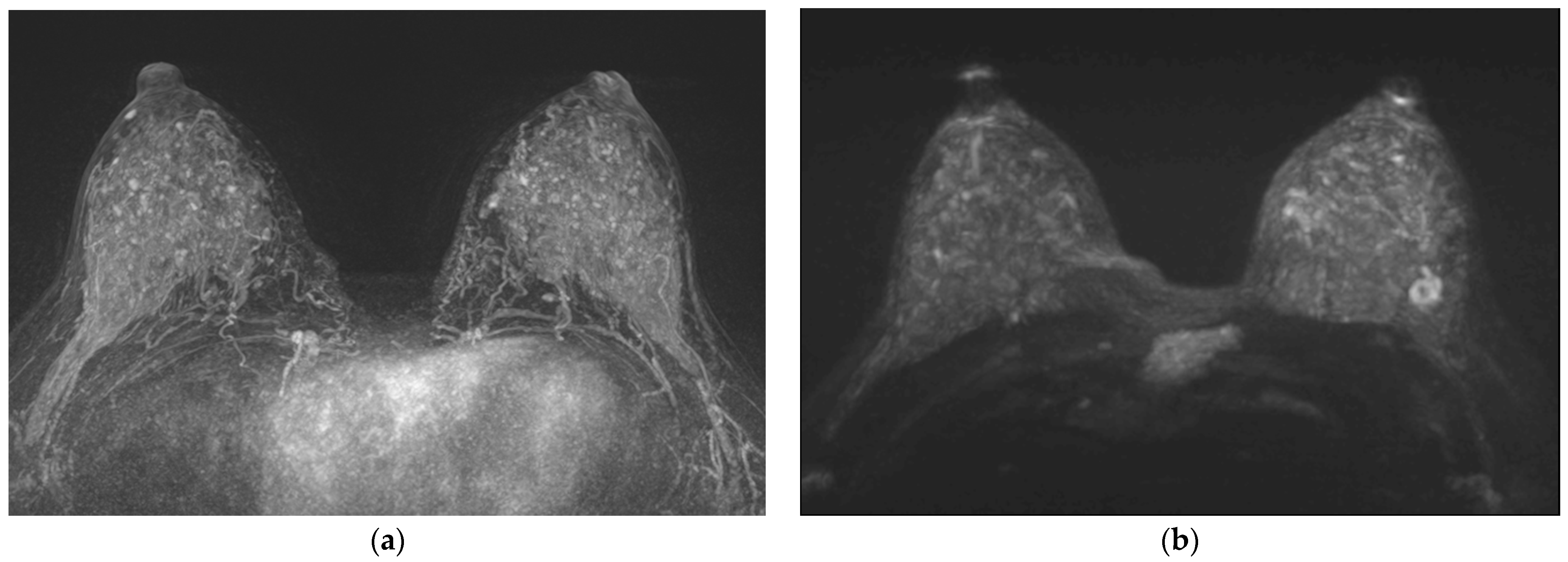
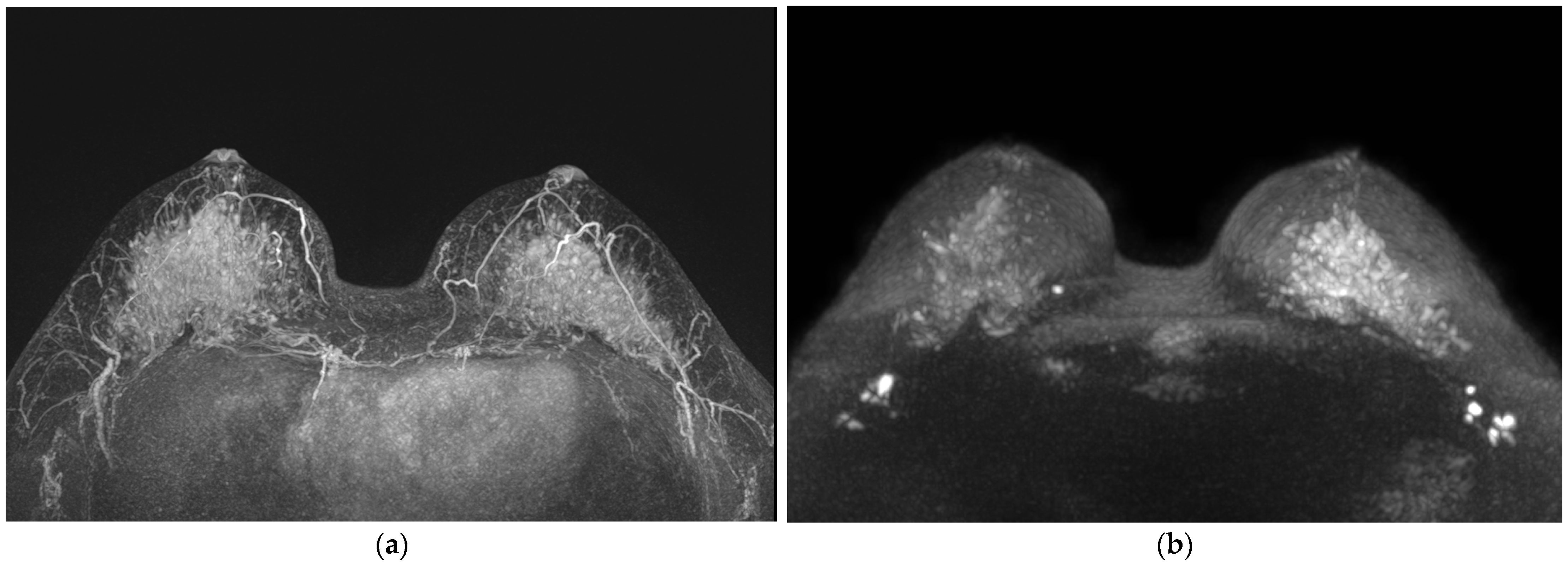
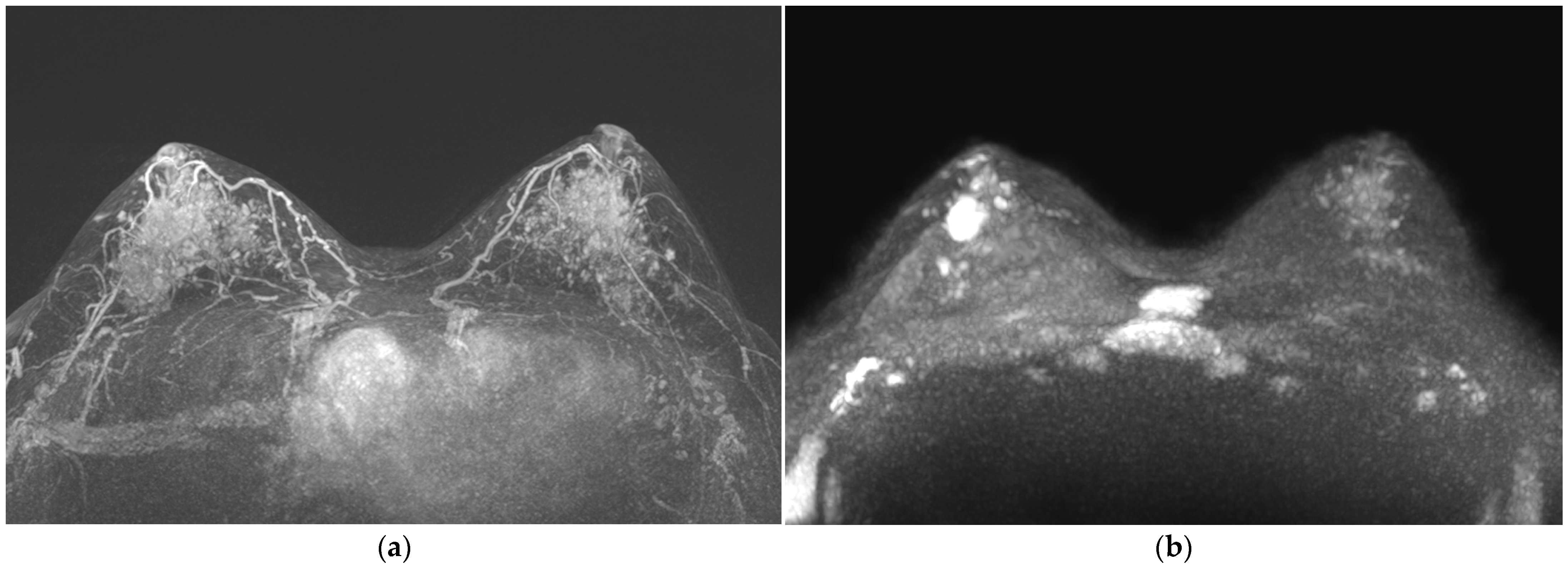
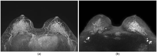
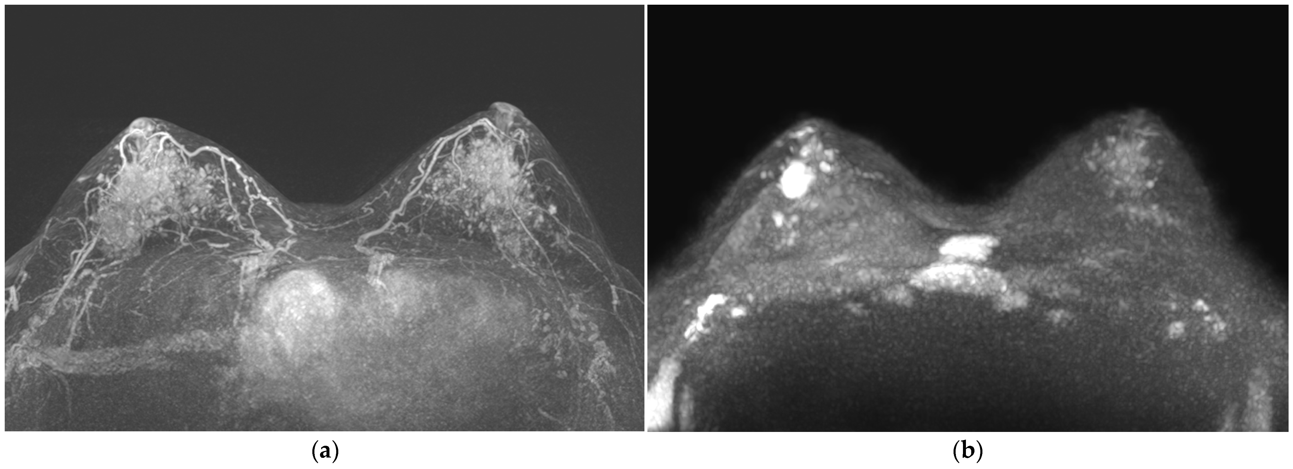
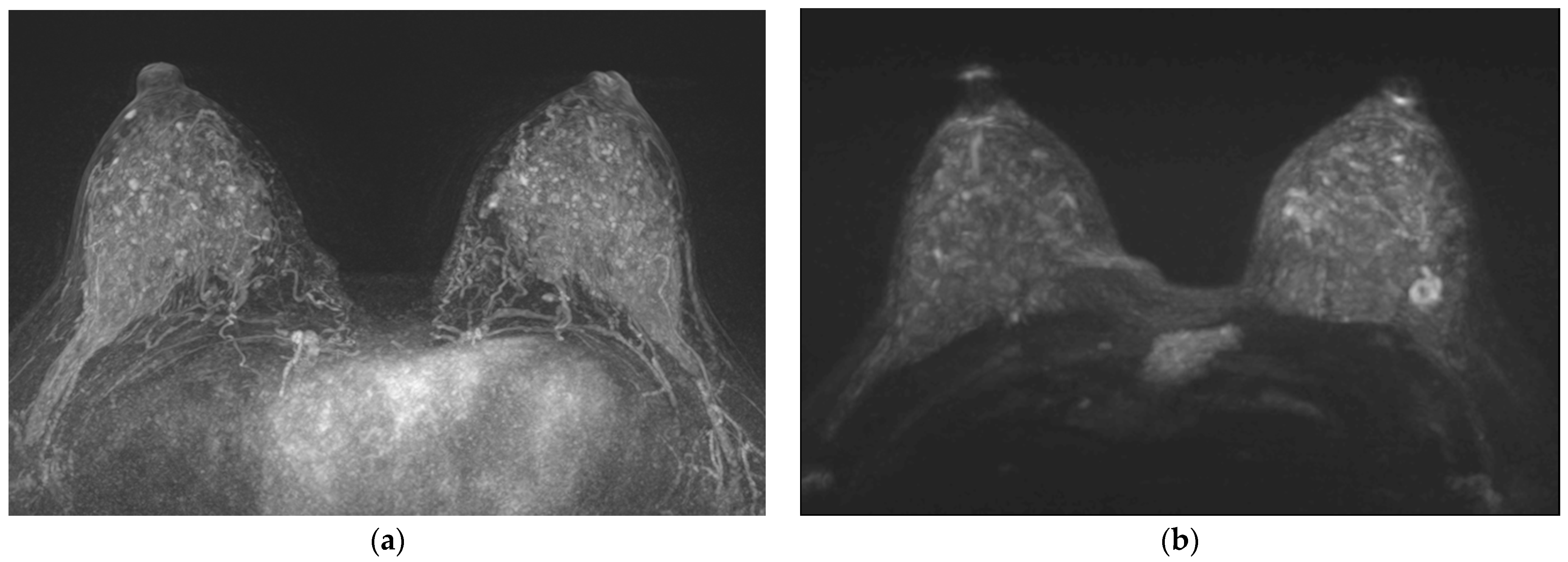
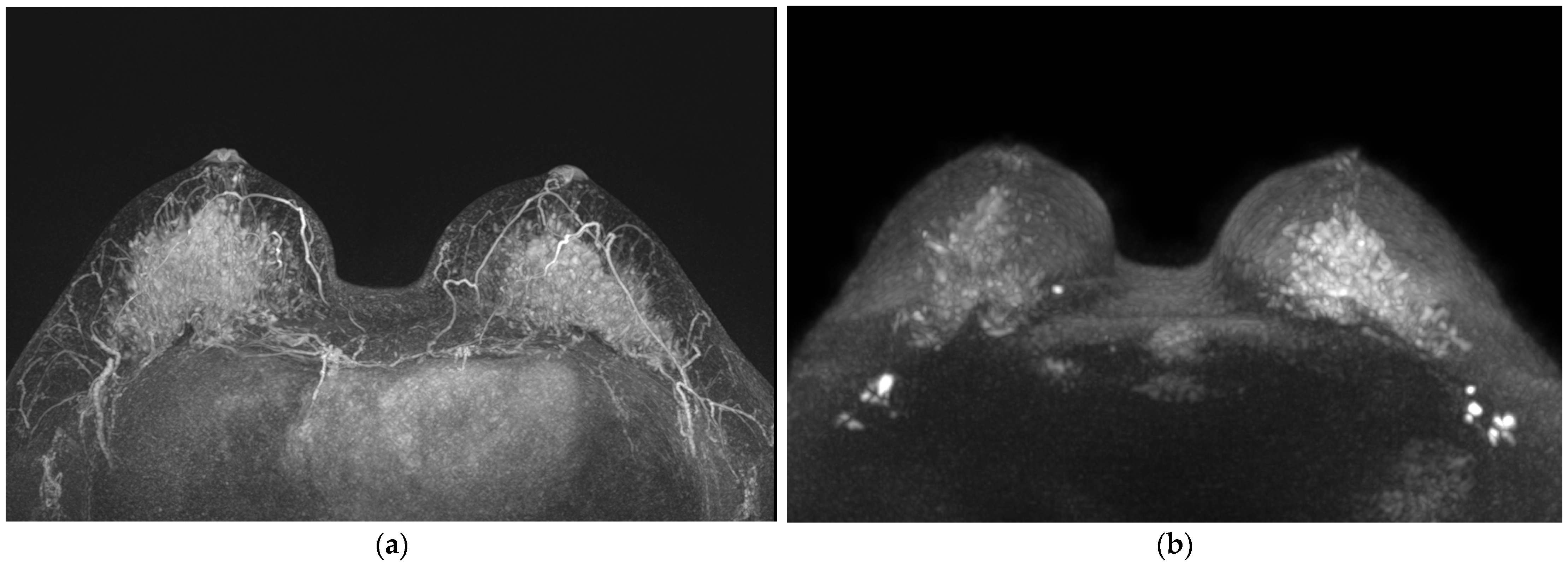
2.3. Image Analysis
2.4. Histopathology Review
2.5. Statistical Analysis
3. Results
4. Discussion
5. Conclusions
Author Contributions
Funding
Institutional Review Board Statement
Informed Consent Statement
Data Availability Statement
Acknowledgments
Conflicts of Interest
References
- Mann, R.M.; Kuhl, C.K.; Moy, L. Contrast-enhanced MRI for breast cancer screening. J. Magn. Reson. Imaging 2019, 50, 377–390. [Google Scholar] [CrossRef]
- Mann, R.M.; Cho, N.; Moy, L. Breast MRI: State of the art. Radiology 2019, 292, 520–536. [Google Scholar]
- Korhonen, K.E.; Zuckerman, S.P.; Weinstein, S.P.; Tobey, J.; Birnbaum, J.A.; McDonald, E.S.; Conant, E.F. Breast MRI: False-Negative Results and Missed Opportunities. RadioGraphics 2021, 41, 645–664. [Google Scholar]
- Song, D.; Kang, B.J.; Kim, S.H.; Lee, J.; Park, G.E. The Frequency and Causes of Not-Detected Breast Malignancy in Dynamic Contrast-Enhanced MRI. Diagnostics 2022, 12, 2575. [Google Scholar]
- Lee, S.H.; Jang, M.-j.; Yoen, H.; Lee, Y.; Kim, Y.S.; Park, A.R.; Ha, S.M.; Kim, S.-Y.; Chang, J.M.; Cho, N. Background parenchymal enhancement at postoperative surveillance breast MRI: Association with future second breast cancer risk. Radiology 2023, 306, 90–99. [Google Scholar] [CrossRef]
- Vreemann, S.; Dalmis, M.U.; Bult, P.; Karssemeijer, N.; Broeders, M.J.; Gubern-Mérida, A.; Mann, R.M. Amount of fibroglandular tissue FGT and background parenchymal enhancement BPE in relation to breast cancer risk and false positives in a breast MRI screening program: A retrospective cohort study. Eur. Radiol. 2019, 29, 4678–4690. [Google Scholar] [CrossRef]
- Yabuuchi, H.; Matsuo, Y.; Okafuji, T.; Kamitani, T.; Soeda, H.; Setoguchi, T.; Sakai, S.; Hatakenaka, M.; Kubo, M.; Sadanaga, N. Enhanced mass on contrast-enhanced breast MR imaging: Lesion characterization using combination of dynamic contrast-enhanced and diffusion-weighted MR images. J. Magn. Reson. Imaging Off. J. Int. Soc. Magn. Reson. Med. 2008, 28, 1157–1165. [Google Scholar]
- Pinker, K.; Bogner, W.; Baltzer, P.; Gruber, S.; Bickel, H.; Brueck, B.; Trattnig, S.; Weber, M.; Dubsky, P.; Bago-Horvath, Z. Improved diagnostic accuracy with multiparametric magnetic resonance imaging of the breast using dynamic contrast-enhanced magnetic resonance imaging, diffusion-weighted imaging, and 3-dimensional proton magnetic resonance spectroscopic imaging. Investig. Radiol. 2014, 49, 421–430. [Google Scholar] [CrossRef]
- Baltzer, A.; Dietzel, M.; Kaiser, C.G.; Baltzer, P.A. Combined reading of contrast enhanced and diffusion weighted magnetic resonance imaging by using a simple sum score. Eur. Radiol. 2016, 26, 884–891. [Google Scholar]
- Iima, M.; Honda, M.; Sigmund, E.E.; Ohno Kishimoto, A.; Kataoka, M.; Togashi, K. Diffusion MRI of the breast: Current status and future directions. J. Magn. Reson. Imaging 2020, 52, 70–90. [Google Scholar]
- Kul, S.; Cansu, A.; Alhan, E.; Dinc, H.; Gunes, G.; Reis, A. Contribution of diffusion-weighted imaging to dynamic contrast-enhanced MRI in the characterization of breast tumors. Am. J. Roentgenol. 2011, 196, 210–217. [Google Scholar]
- Partridge, S.C.; DeMartini, W.B.; Kurland, B.F.; Eby, P.R.; White, S.W.; Lehman, C.D. Differential diagnosis of mammographically and clinically occult breast lesions on diffusion-weighted MRI. J. Magn. Reson. Imaging Off. J. Int. Soc. Magn. Reson. Med. 2010, 31, 562–570. [Google Scholar]
- Kim, S.H.; Shin, H.J.; Shin, K.C.; Chae, E.Y.; Choi, W.J.; Cha, J.H.; Kim, H.H. Diagnostic performance of fused diffusion-weighted imaging using t1-weighted imaging for axillary nodal staging in patients with early breast cancer. Clin. Breast Cancer 2017, 17, 154–163. [Google Scholar] [CrossRef]
- Kuhl, C.K.; Schrading, S.; Strobel, K.; Schild, H.H.; Hilgers, R.-D.; Bieling, H.B. Abbreviated breast magnetic resonance imaging (MRI): First postcontrast subtracted images and maximum-intensity projection—A novel approach to breast cancer screening with MRI. J. Clin. Oncol. 2014, 32, 2304–2310. [Google Scholar] [CrossRef]
- Jeong, Y.S.; Kang, J.; Lee, J.; Yoo, T.K.; Kim, S.H.; Lee, A. Analysis of the molecular subtypes of preoperative core needle biopsy and surgical specimens in invasive breast cancer. J. Pathol. Transl. Med. 2020, 54, 87–94. [Google Scholar]
- Goldhirsch, A.; Winer, E.P.; Coates, A.S.; Gelber, R.D.; Piccart-Gebhart, M.; Thurlimann, B.; Senn, H.J.; Panel, M. Personalizing the treatment of women with early breast cancer: Highlights of the St Gallen International Expert Consensus on the Primary Therapy of Early Breast Cancer 2013. Ann. Oncol. 2013, 24, 2206–2223. [Google Scholar]
- Shin, H.J.; Chae, E.Y.; Choi, W.J.; Ha, S.M.; Park, J.Y.; Shin, K.C.; Cha, J.H.; Kim, H.H. Diagnostic performance of fused diffusion-weighted imaging using unenhanced or postcontrast T1-weighted MR imaging in patients with breast cancer. Medicine 2016, 95, e3502. [Google Scholar]
- Mann, R.M.; Kuhl, C.K.; Kinkel, K.; Boetes, C. Breast MRI: Guidelines from the European society of breast imaging. Eur. Radiol. 2008, 18, 1307–1318. [Google Scholar]
- Lehman, C.D. Screening MRI for Women at High Risk for Breast Cancer, Seminars in Ultrasound, CT and MRI; Elsevier: Amsterdam, The Netherlands, 2006; pp. 333–338. [Google Scholar]
- DeMartini, W.B.; Liu, F.; Peacock, S.; Eby, P.R.; Gutierrez, R.L.; Lehman, C.D. Background parenchymal enhancement on breast MRI: Impact on diagnostic performance. Am. J. Roentgenol. 2012, 198, W373–W380. [Google Scholar] [CrossRef]
- Telegrafo, M.; Rella, L.; Ianora, A.S.; Angelelli, G.; Moschetta, M. Effect of background parenchymal enhancement on breast cancer detection with magnetic resonance imaging. Diagn. Interv. Imaging 2016, 97, 315–320. [Google Scholar]
- McDonald, R.J.; McDonald, J.S.; Kallmes, D.F.; Jentoft, M.E.; Murray, D.L.; Thielen, K.R.; Williamson, E.E.; Eckel, L.J. Intracranial gadolinium deposition after contrast-enhanced MR imaging. Radiology 2015, 275, 772–782. [Google Scholar] [CrossRef]
- Yabuuchi, H.; Matsuo, Y.; Sunami, S.; Kamitani, T.; Kawanami, S.; Setoguchi, T.; Sakai, S.; Hatakenaka, M.; Kubo, M.; Tokunaga, E. Detection of non-palpable breast cancer in asymptomatic women by using unenhanced diffusion-weighted and T2-weighted MR imaging: Comparison with mammography and dynamic contrast-enhanced MR imaging. Eur. Radiol. 2011, 21, 11–17. [Google Scholar]
- Baltzer, P.A.; Benndorf, M.; Dietzel, M.; Gajda, M.; Camara, O.; Kaiser, W.A. Sensitivity and specificity of unenhanced MR mammography (DWI combined with T2-weighted TSE imaging, ueMRM) for the differentiation of mass lesions. Eur. Radiol. 2010, 20, 1101–1110. [Google Scholar] [CrossRef]
- Chen, X.; Li, W.-l.; Zhang, Y.-l.; Wu, Q.; Guo, Y.-m.; Bai, Z.-L. Meta-analysis of quantitative diffusion-weighted MR imaging in the differential diagnosis of breast lesions. BMC Cancer 2010, 10, 693. [Google Scholar] [CrossRef]
- Kang, J.W.; Shin, H.J.; Shin, K.C.; Chae, E.Y.; Choi, W.J.; Cha, J.H.; Kim, H.H. Unenhanced magnetic resonance screening using fused diffusion-weighted imaging and maximum-intensity projection in patients with a personal history of breast cancer: Role of fused DWI for postoperative screening. Breast Cancer Res. Treat. 2017, 165, 119–128. [Google Scholar]
- Rella, R.; Contegiacomo, A.; Bufi, E.; Mercogliano, S.; Belli, P.; Manfredi, R. Background parenchymal enhancement and breast cancer: A review of the emerging evidences about its potential use as imaging biomarker. Br. J. Radiol. 2021, 94, 20200630. [Google Scholar]
- Ray, K.M.; Kerlikowske, K.; Lobach, I.V.; Hofmann, M.B.; Greenwood, H.I.; Arasu, V.A.; Hylton, N.M.; Joe, B.N. Effect of background parenchymal enhancement on breast MR imaging interpretive performance in community-based practices. Radiology 2018, 286, 822–829. [Google Scholar]
- Grimm, L.J.; Saha, A.; Ghate, S.V.; Kim, C.; Soo, M.S.; Yoon, S.C.; Mazurowski, M.A. Relationship between background parenchymal enhancement on high-risk screening MRI and future breast cancer risk. Acad. Radiol. 2019, 26, 69–75. [Google Scholar] [CrossRef]
- Brenner, R. Background parenchymal enhancement at breast MR imaging and breast cancer risk. Breast Dis. Year Book Q. 2012, 2, 145–147. [Google Scholar] [CrossRef]






| Group | Score | Definition |
|---|---|---|
| Unseen | 1 | absolutely not seen |
| 2 | very subtle visibility | |
| Partially or retrospectively seen | 3 | partial visibility where the lesion was only visible when its location was known (less than 50% visibility) |
| 4 | partial visibility where the lesion was visible when its location was known (more than 50% visibility) | |
| 5 | signified complete visualization of the entire lesion when its location was known, retrospectively | |
| Definitely seen | 6 | visualization of the lesion similar to moderate BPE on CE-MRI, albeit with numerous false-positive lesions |
| 7 | complete confirmation of the lesion similar to moderate BPE on CE-MRI, along with a few false-positive lesions | |
| 8 | easily detected lesion, comparable to mild BPE on CE-MRI (main and daughter lesions) | |
| 9 | very easy identification of the lesion, resembling minimal BPE on CE-MRI | |
| 10 | very easy identification of the lesion, resembling minimal BPE on CE-MRI, with exceptionally clear main and daughter lesions |
| Clinical Characteristics | N (%) | |
|---|---|---|
| Age (years) | Mean ± SD | 44.6 ± 5.8 |
| Median (IQR) | 46.0 (42.0–48.0) | |
| MRI imaging characteristics | ||
| Size (mm) | Mean ± SD | 28.1 ± 19.3 |
| Median (IQR) | 21.5 (15.0–36.0) | |
| Mass/non-mass | Mass | 123 (66.1) |
| Non-mass | 51 (27.4) | |
| mass and non-mass | 12 (6.5) | |
| ADC value (10−3 mm2/s) | Mean ± SD | 0.9 ± 0.2 |
| Median (IQR) | 0.9 (0.8–1.0) | |
| CE-MRI score | Mean ± SD | 5.5 ± 2.0 |
| Median (IQR) | 6.0 (4.0–7.0) | |
| DWI score | Mean ± SD | 6.2 ± 2.3 |
| Median (IQR) | 7.0 (4.0–8.0) | |
| Combined score | Mean ± SD | 6.6 ± 2.1 |
| Median (IQR) | 7.0 (5.0–8.0) | |
| Pathologic characteristics | ||
| Pathology | DCIS | 44 (23.7) |
| IDC | 126 (67.7) | |
| ILC | 7 (3.8) | |
| Mucinous ca | 6 (3.2) | |
| Papillary ca | 1 (0.5) | |
| Tubular ca | 2 (1.1) | |
| Grade of invasive ca | Grade1 | 33 (23.2) |
| Grade2 | 73 (51.4) | |
| Grade3 | 36 (25.4) | |
| Grade of DCIS | Grade1 | 4 (9.1) |
| Grade2 | 27 (61.4) | |
| Grade3 | 13 (29.5) | |
| LN | Negative | 133 (71.5) |
| Positive | 53 (28.5) | |
| ER | Negative | 26 (14.0) |
| Positive | 160 (86.0) | |
| PR | Negative | 36 (19.4) |
| Positive | 150 (80.6) | |
| HER2 | Negative | 153 (82.3) |
| Positive | 33 (17.7) | |
| KI-67 | ≤20% | 108 (58.1) |
| >20% | 78 (41.9) | |
| IHC type | Luminal A | 93 (50.0) |
| Luminal B | 69 (37.1) | |
| Her2+ | 8 (4.3) | |
| Triple- | 16 (8.6) |
| Total (N = 186) | ||||||
|---|---|---|---|---|---|---|
| MIP of CE-MRI | MIP of DWI | |||||
| not seen (n = 21) | partially/definitely seen (n = 165) | p value | not seen (n = 16) | partially/definitely seen (n = 170) | p value | |
| Size | 0.002 | 0.157 | ||||
| Mean ± SD | 18.4 ± 12.7 | 29.4 ± 19.6 | 22.4 ± 15.9 | 28.7 ± 19.5 | ||
| Median (IQR) | 13.0 (10.0–25.0) | 23.0 (16.0–37.0) | 19.0 (9.5–32.0) | 22.0 (15.0–36.0) | ||
| Mass/non-mass | 0.092 | 0.146 | ||||
| mass, mass and non-mass | 12 (57.1) | 123 (74.5) | 9 (56.3) | 126 (74.1) | ||
| Non-mass | 9 (42.9) | 42 (25.5) | 7 (43.8) | 44 (25.9) | ||
| ADC value | 0.235 | 0.017 | ||||
| Mean ± SD | 0.9 ± 0.2 | 0.9 ± 0.3 | 1.1 ± 0.3 | 0.9 ± 0.2 | ||
| Median (IQR) | 0.9 (0.8–1.0) | 0.9 (0.8–1.0) | 1.0 (0.9–1.2) | 0.9 (0.8–1.0) | ||
| Score in CE-MRI | <0.001 | <0.001 | ||||
| Mean ± SD | 1.7 ± 0.5 | 5.9 ± 1.6 | 3.3 ± 2.0 | 5.7 ± 1.9 | ||
| Median (IQR) | 2.0 (1.0–2.0) | 6.0 (5.0–7.0) | 2.5 (2.0–4.5) | 6.0 (4.0–7.0) | ||
| Score in DWI | 0.002 | <0.001 | ||||
| Mean ± SD | 4.6 ± 2.7 | 6.5 ± 2.2 | 1.8 ± 0.4 | 6.7 ± 2.0 | ||
| Median (IQR) | 4.0 (2.0–7.0) | 7.0 (5.0–8.0) | 2.0 (2.0–2.0) | 7.0 (5.0–8.0) | ||
| Combined score | <0.001 | <0.001 | ||||
| Mean ± SD | 4.6 ± 2.6 | 6.9 ± 1.8 | 3.3 ± 2.0 | 6.9 ± 1.8 | ||
| Median (IQR) | 4.0 (2.0–7.0) | 7.0 (6.0–8.0) | 2.5 (2.0–4.5) | 7.0 (6.0–8.0) | ||
| Pathology | 0.012 | 0.216 | ||||
| DCIS | 10 (47.6) | 34 (20.6) | 6 (37.5) | 38 (22.4) | ||
| IDC + others | 11 (52.4) | 131 (79.4) | 10 (62.5) | 132 (77.6) | ||
| Higher DWI Scores | ||||||
|---|---|---|---|---|---|---|
| Yes (n= 85) | No (n = 101) | Univariate Odds Ratio (95% CI) | Univariate p | Multivariate Odds Ratio (95% CI) | Multivariate p | |
| BDS | ||||||
| Unmarked | 72 (58.5) | 51 (41.5) | reference | reference | ||
| Marked | 13 (20.6) | 50 (79.4) | 0.19 (0.09–0.38) | <0.001 | 0.18 (0.08–0.38) | <0.001 |
| Size | ||||||
| Mean ± SD | 26.7 ± 16.5 | 29.3 ± 21.3 | 0.99 (0.98–1.01) | 0.387 | ||
| Median (IQR) | 22.0 (15.0–32.0) | 21.0 (14.0–38.0) | ||||
| Size > 20 mm | ||||||
| no | 38 (44.2) | 48 (55.8) | reference | |||
| yes | 47 (47.0) | 53 (53.0) | 1.12 (0.63–2.00) | 0.705 | ||
| Mass/non-mass | ||||||
| mass, mass and non-mass | 68 (50.4) | 67 (49.6) | reference | reference | ||
| non-mass | 17 (33.3) | 34 (66.7) | 0.50 (0.26–0.98) | 0.043 | 0.61 (0.28–1.29) | 0.196 |
| ADC value | ||||||
| Mean ± SD | 0.8 ± 0.2 | 1.0 ± 0.3 | 0.08 (0.02–0.36) | 0.001 | 0.13 (0.03–0.60) | 0.009 |
| Median (IQR) | 0.8 (0.7–0.9) | 0.9 (0.8–1.1) | ||||
| PATHOLOGY1 | 0.300 | |||||
| DCIS | 17 (38.6) | 27 (61.4) | reference | |||
| IDC | 63 (50.0) | 63 (50.0) | 1.57 (0.78–3.16) | 0.205 | ||
| ILC | 1 (14.3) | 6 (85.7) | 0.36 (0.05–2.66) | 0.318 | ||
| Mucinous ca | 1 (16.7) | 5 (83.3) | 0.43 (0.06–3.30) | 0.416 | ||
| Papillary ca | 1 (100.0) | 0 (0.0) | 5.96 (0.05–768.9) | 0.472 | ||
| Tubular ca | 2 (100.0) | 0 (0.0) | 7.86 (0.18–340.1) | 0.284 | ||
| PATHOLOGY2 | ||||||
| DCIS | 17 (38.6) | 27 (61.4) | reference | |||
| IDC + others | 68 (47.9) | 74 (52.1) | 1.44 (0.72–2.88) | 0.296 | ||
| Grade in IDC (n = 142) | 0.087 | |||||
| Grade1 | 11 (33.3) | 22 (66.7) | reference | |||
| Grade2 | 35 (47.9) | 38 (52.1) | 1.80 (0.77–4.24) | 0.176 | ||
| Grade3 | 22 (61.1) | 14 (38.9) | 3.04 (1.14–8.12) | 0.027 | ||
| Grade in DCIS (n = 44) | 0.778 | |||||
| low | 2 (50.0) | 2 (50.0) | reference | |||
| intermediate | 11 (40.7) | 16 (59.3) | 0.70 (0.08–5.72) | 0.737 | ||
| high | 4 (30.8) | 9 (69.2) | 0.47 (0.05–4.63) | 0.521 | ||
| LN | ||||||
| Negative | 58 (43.6) | 75 (56.4) | reference | |||
| Positive | 27 (50.9) | 26 (49.1) | 1.34 (0.71–2.54) | 0.370 | ||
| ER | ||||||
| Negative | 18 (69.2) | 8 (30.8) | reference | reference | ||
| Positive | 67 (41.9) | 93 (58.1) | 0.33 (0.14–0.80) | 0.015 | 0.25 (0.06–1.06) | 0.060 |
| PR | ||||||
| Negative | 23 (63.9) | 13 (36.1) | reference | reference | ||
| Positive | 62 (41.3) | 88 (58.7) | 0.41 (0.19–0.86) | 0.019 | 1.34 (0.39–4.56) | 0.644 |
| HER2 | ||||||
| Negative | 73 (47.7) | 80 (52.3) | reference | |||
| Positive | 12 (36.4) | 21 (63.6) | 0.64 (0.29–1.38) | 0.254 | ||
| KI-67 | ||||||
| <20% | 49 (45.4) | 59 (54.6) | reference | |||
| ≥20% | 36 (46.2) | 42 (53.8) | 1.03 (0.58–1.85) | 0.915 | ||
| IHC type | 0.094 | |||||
| Luminal A | 41 (44.1) | 52 (55.9) | reference | |||
| Luminal B | 27 (39.1) | 42 (60.9) | 0.82 (0.43–1.54) | 0.535 | ||
| Her2+ | 5 (62.5) | 3 (37.5) | 1.99 (0.45–8.72) | 0.363 | ||
| Triple- | 12 (75.0) | 4 (25.0) | 3.51 (1.08–11.48) | 0.037 | ||
Disclaimer/Publisher’s Note: The statements, opinions and data contained in all publications are solely those of the individual author(s) and contributor(s) and not of MDPI and/or the editor(s). MDPI and/or the editor(s) disclaim responsibility for any injury to people or property resulting from any ideas, methods, instructions or products referred to in the content. |
© 2023 by the authors. Licensee MDPI, Basel, Switzerland. This article is an open access article distributed under the terms and conditions of the Creative Commons Attribution (CC BY) license (https://creativecommons.org/licenses/by/4.0/).
Share and Cite
Park, G.-E.; Kang, B.-J.; Kim, S.-h.; Jung, N.-Y. The Role of Diffusion-Weighted Imaging Based on Maximum-Intensity Projection in Young Patients with Marked Background Parenchymal Enhancement on Contrast-Enhanced Breast MRI. Life 2023, 13, 1744. https://doi.org/10.3390/life13081744
Park G-E, Kang B-J, Kim S-h, Jung N-Y. The Role of Diffusion-Weighted Imaging Based on Maximum-Intensity Projection in Young Patients with Marked Background Parenchymal Enhancement on Contrast-Enhanced Breast MRI. Life. 2023; 13(8):1744. https://doi.org/10.3390/life13081744
Chicago/Turabian StylePark, Ga-Eun, Bong-Joo Kang, Sung-hun Kim, and Na-Young Jung. 2023. "The Role of Diffusion-Weighted Imaging Based on Maximum-Intensity Projection in Young Patients with Marked Background Parenchymal Enhancement on Contrast-Enhanced Breast MRI" Life 13, no. 8: 1744. https://doi.org/10.3390/life13081744
APA StylePark, G.-E., Kang, B.-J., Kim, S.-h., & Jung, N.-Y. (2023). The Role of Diffusion-Weighted Imaging Based on Maximum-Intensity Projection in Young Patients with Marked Background Parenchymal Enhancement on Contrast-Enhanced Breast MRI. Life, 13(8), 1744. https://doi.org/10.3390/life13081744

