Geographic Mosaic of Extensive Genetic Variations in Subterranean Mole Voles Ellobius alaicus as a Consequence of Habitat Fragmentation and Hybridization
Abstract
:1. Introduction
2. Materials and Methods
2.1. Samples
2.2. Karyotyping
2.3. Sequencing
2.4. Molecular Evolutionary Analyses
3. Results
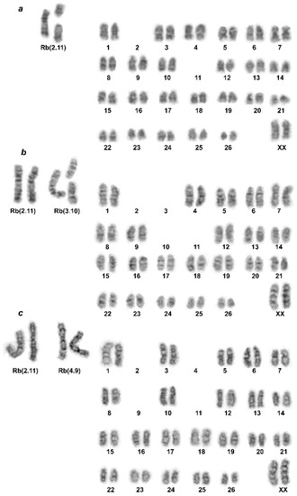
3.1. Chromosome Variability
3.2. Sequencing Results
3.2.1. Cytb Gene Variability
3.2.2. XIST Gene Variability
3.2.3. IRBP Gene Variability
3.2.4. Multigenic Haplowebs
4. Discussion
5. Conclusions
Supplementary Materials
Author Contributions
Funding
Institutional Review Board Statement
Informed Consent Statement
Data Availability Statement
Acknowledgments
Conflicts of Interest
References
- Davies, K.T.; Bennett, N.C.; Faulkes, C.G.; Rossiter, S.J. Limited evidence for parallel molecular adaptations associated with the subterranean niche in mammals: A comparative study of three superorders. Mol. Biol. Evol. 2018, 35, 2544–2559. [Google Scholar] [CrossRef] [PubMed] [Green Version]
- Du, K.; Yang, L.; He, S. Phylogenomic analyses reveal a molecular signature linked to subterranean adaptation in rodents. BMC Evol. Biol. 2015, 15, 287. [Google Scholar] [CrossRef] [PubMed] [Green Version]
- Nevo, E. Adaptive convergence and divergence of subterranean mammals. Annu. Rev. Ecol. Syst. 1979, 10, 269–308. [Google Scholar] [CrossRef]
- de Freitas, T.R.O.; Gonçalves, G.L.; Maestri, R. (Eds.) Tuco-Tucos: An Evolutionary Approach to the Diversity of a Neotropical Subterranean Rodent; Springer Nature: Berlin/Heidelberg, Germany, 2021. [Google Scholar] [CrossRef]
- Freitas, T.R.O.D. Speciation within the genus Ctenomys: An Attempt to Find Models. In Tuco-Tucos; Springer: Cham, Switzerland, 2021; pp. 43–66. [Google Scholar] [CrossRef]
- Moreira, C.D.N.; Percequillo, A.R.; Ferguson-Smith, M.A.; Yonenaga-Yassuda, Y.; Ventura, K. Chromosomal evolution of tribe Oryzomyini (Rodentia: Cricetidae: Sigmodontinae). Mamm. Biol. 2022, 102, 1–24. [Google Scholar] [CrossRef]
- Visser, J.H.; Bennett, N.C.; van Vuuren, B.J. Phylogeny and biogeography of the African Bathyergidae: A review of patterns and processes. PeerJ 2019, 7, e7730. [Google Scholar] [CrossRef] [Green Version]
- Lande, R. Effective deme sizes during long-term evolution estimated from rates of chromosomal rearrangement. Evolution 1979, 33, 234–251. [Google Scholar] [CrossRef]
- Visser, J.H.; Bennett, N.C.; Jansen van Vuuren, B. Spatial genetic diversity in the Cape mole-rat, Georychus capensis: Extreme isolation of populations in a subterranean environment. PLoS ONE 2018, 13, e0194165. [Google Scholar] [CrossRef]
- Wilson, A.C.; Bush, G.L.; Case, S.M.; King, M.C. Social structuring of mammalian populations and rate of chromosomal evolution. Proc. Natl. Acad. Sci. USA 1975, 72, 5061–5065. [Google Scholar] [CrossRef] [Green Version]
- Bush, G.L.; Case, S.M.; Wilson, A.C.; Patton, J.L. Rapid speciation and chromosomal evolution in mammals. Proc. Natl. Acad. Sci. USA 1977, 74, 3942–3946. [Google Scholar] [CrossRef] [Green Version]
- Woolfit, M. Effective population size and the rate and pattern of nucleotide substitutions. Biol. Lett. 2009, 5, 417–420. [Google Scholar] [CrossRef] [Green Version]
- Bogdanov, A.S.; Lebedev, V.S.; Zykov, A.E.; Bakloushinskaya, I.Y. Variability of cytochrome b gene and adjacent part of tRNA-Thr gene of mitochondrial DNA in the northern mole vole Ellobius talpinus (Mammalia, Rodentia). Russ. J. Genet. 2015, 51, 1243–1248. [Google Scholar] [CrossRef]
- Lebedev, V.; Bogdanov, A.; Brandler, O.; Melnikova, M.; Enkhbat, U.; Tukhbatullin, A.; Abramov, A.; Surov, A.; Bakloushinskaya, I.; Bannikova, A. Cryptic variation in mole voles Ellobius (Arvicolinae, Rodentia) of Mongolia. Zool. Scr. 2020, 49, 535–548. [Google Scholar] [CrossRef]
- Lyapunova, E.A.; Vorontsov, N.N.; Korobitsina, K.V.; Ivanitskaya, E.Y.; Borisov, Y.M.; Yakimenko, L.V.; Dovgal, V.Y. A Robertsonian fan in Ellobius talpinus. Genetica 1980, 52, 239–247. [Google Scholar] [CrossRef]
- Romanenko, S.A.; Lyapunova, E.A.; Saidov, A.S.; O’Brien, P.; Serdyukova, N.A.; Ferguson-Smith, M.A.; Graphodatsky, A.S.; Bakloushinskaya, I. Chromosome translocations as a driver of diversification in mole voles Ellobius (Rodentia, Mammalia). Int. J. Mol. Sci. 2019, 20, 4466. [Google Scholar] [CrossRef] [PubMed] [Green Version]
- Lyapunova, E.A.; Vorontsov, N.N. Genetics of Ellobius (Rodentia). I. Karyological characteristics of four Ellobius species. Genetika 1978, 1, 2012–2024. (In Russian) [Google Scholar]
- Bakloushinskaya, I.; Lyapunova, E.A.; Saidov, A.S.; Romanenko, S.A.; O’Brien, P.C.; Serdyukova, N.A.; Ferguson-Smith, M.A.; Matveevsky, S.; Bogdanov, A.S. Rapid chromosomal evolution in enigmatic mammal with XX in both sexes, the Alay mole vole Ellobius alaicus Vorontsov et al., 1969 (Mammalia, Rodentia). Comp. Cytogenet. 2019, 13, 147–177. [Google Scholar] [CrossRef] [Green Version]
- Matveevsky, S.; Kolomiets, O.; Bogdanov, A.; Alpeeva, E.; Bakloushinskaya, I. Meiotic chromosome contacts as a plausible prelude for Robertsonian translocations. Genes 2020, 11, 386. [Google Scholar] [CrossRef] [Green Version]
- Ford, C.E.; Hamerton, J.L. A colchicine, hypotonic citrate, squash sequence for mammalian chromosomes. Stain. Technol. 1956, 31, 247–251. [Google Scholar] [CrossRef]
- Seabright, M. A rapid banding technique for human chromosomes. Lancet 1971, 2, 971–972. [Google Scholar] [CrossRef]
- Sambrook, J.; Fritsch, E.F.; Maniatis, T. Molecular Cloning: A Laboratory Manual; Cold Spring Harbor Lab. Press: New York, NY, USA, 1989. [Google Scholar]
- Conroy, C.J.; Cook, J.A. MtDNA evidence for repeated pulses of speciation within arvicoline and murid rodents. J. Mamm. Evol. 1999, 6, 221–245. [Google Scholar] [CrossRef]
- Lebedev, V.S.; Bannikova, A.A.; Neumann, K.; Ushakova, M.V.; Ivanova, N.V.; Surov, A.V. Molecular phylogenetics and taxonomy of dwarf hamsters Cricetulus Milne-Edwards, 1867 (Cricetidae, Rodentia): Description of a new genus and reinstatement of another. Zootaxa 2018, 4387, 331–349. [Google Scholar] [CrossRef] [PubMed]
- Edgar, R.C. MUSCLE: Multiple sequence alignment with high accuracy and high throughput. Nucleic Acids Res. 2004, 32, 1792–1797. [Google Scholar] [CrossRef] [PubMed] [Green Version]
- Kumar, S.; Stecher, G.; Li, M.; Knyaz, C.; Tamura, K. MEGA X: Molecular Evolutionary Genetics Analysis across Computing Platforms. Mol. Biol. Evol. 2018, 35, 1547–1549. [Google Scholar] [CrossRef] [PubMed]
- Stanhope, M.J.; Czelusniak, J.; Si, J.S.; Nickerson, J.; Goodman, M. A molecular perspective on mammalian evolution from the gene encoding interphotoreceptor retinoid binding protein, with convincing evidence for bat monophyly. Mol. Phylogenetics Evol. 1992, 1, 148–160. [Google Scholar] [CrossRef]
- Bogdanov, A.S.; Khlyap, L.A.; Kefelioğlu, H.; Selçuk, A.Y.; Stakheev, V.V.; Baskevich, M.I. High molecular variability in three pine vole species of the subgenus Terricola (Microtus, Arvicolinae) and plausible source of polymorphism. J. Zool. Syst. Evol. Res. 2021, 59, 2519–2538. [Google Scholar] [CrossRef]
- Nguyen, L.; Schmidt, H.A.; von Haeseler, A.; Minh, B.Q. IQ-TREE: A fast and effective stochastic algorithm for estimating Maximum-Likelihood phylogenies. Mol. Biol. Evol. 2015, 32, 268–274. [Google Scholar] [CrossRef]
- Minh, B.Q.; Trifinopoulos, J.; Schrempf, D.; Schmidt, H.A. IQ-TREE Version 2.0: Tutorials and Manual Phylogenomic Software by Maximum Likelihood. 2019. Available online: http://www.iqtree.org (accessed on 15 August 2019).
- Kalyaanamoorthy, S.; Minh, B.Q.; Wong, T.K.F.; von Haeseler, A.; Jermiin, L.S. ModelFinder: Fast model selection for accurate phylogenetic estimates. Nat. Methods 2017, 14, 587–589. [Google Scholar] [CrossRef] [Green Version]
- Spöri, Y.; Flot, J.F. HaplowebMaker and CoMa: Two web tools to delimit species using haplowebs and conspecificity matrices. Methods Ecol. Evol. 2020, 11, 1434–1438. [Google Scholar] [CrossRef]
- Petzold, A.; Hassanin, A. A comparative approach for species delimitation based on multiple methods of multi-locus DNA sequence analysis: A case study of the genus Giraffa (Mammalia, Cetartiodactyla). PLoS ONE 2020, 15, e0217956. [Google Scholar] [CrossRef]
- Huang, J.; Bennett, J.; Flouri, T.; Leaché, A.D.; Yang, Z. Phase resolution of heterozygous sites in diploid genomes is important to phylogenomic analysis under the multispecies coalescent model. Syst. Biol. 2022, 71, 334–352. [Google Scholar] [CrossRef]
- Lyapunova, E.A.; Bakloushinskaya, I.Y.; Saidov, A.S.; Saidov, K.K. Dynamics of chromosome variation in mole voles Ellobius tancrei (Mammalia, Rodentia) in Pamiro-Alai in the Period from 1982 to 2008. Russ. J. Genet. 2010, 46, 645–651. [Google Scholar] [CrossRef]
- Bakloushinskaya, I.; Romanenko, S.; Serdukova, N.; Graphodatsky, A.; Lyapunova, E. A new form of the mole vole Ellobius tancrei Blasius, 1884 (Mammalia, Rodentia) with the lowest chromosome number. Comp. Cytogenet. 2013, 7, 163–169. [Google Scholar] [CrossRef] [PubMed] [Green Version]
- Bakloushinskaya, I.Y.; Lyapunova, E.A. History of study and evolutionary significance of wide Robertsonian variability in mole voles Ellobius tancrei s.l. (Mammalia, Rodentia). In Problems of Evolution; Kryukov, A.P., Ed.; Dalnauka: Vladivostok, Russia, 2003; Volume 5, pp. 114–126. [Google Scholar]
- Bogdanov, A.S.; Maltsev, A.N.; Kotenkova, E.V.; Malikov, V.G.; Lissovsky, A.A.; Stakheev, V.V.; Darvish, J.; Castiglia, R. Variability of fragments of nuclear Brca1 gene, exon 11, and mitochondrial Cox1 gene in house mice Mus musculus. Mol. Biol. 2020, 54, 185–195. [Google Scholar] [CrossRef]
- Nesterova, T.B.; Slobodyanyuk, S.Y.; Elisaphenko, E.A.; Shevchenko, A.I.; Johnston, C.; Pavlova, M.E.; Rogozin, I.B.; Kolesnikov, N.N.; Brockdorff, N.; Zakian, S.M. Characterization of the genomic Xist locus in rodents reveals conservation of overall gene structure and tandem repeats but rapid evolution of unique sequence. Genome Res. 2001, 11, 833–849. [Google Scholar] [CrossRef] [Green Version]
- Matveevsky, S.; Tretiakov, A.; Kashintsova, A.; Bakloushinskaya, I.; Kolomiets, O. Meiotic nuclear architecture in distinct mole vole hybrids with Robertsonian translocations: Chromosome chains, stretched centromeres, and distorted recombination. Int. J. Mol. Sci. 2020, 21, 7630. [Google Scholar] [CrossRef]
- Lyapunova, E.A.; Baklushinskaya, I.Y.; Kolomiets, O.L.; Mazurova, T.F. Analysis of fertility of hybrids of multi-chromosomal forms in mole-voles of the super-species Ellobius tancrei differing in a single pair of Robertsonian metacentrics. Proc. USSR Acad. Sci. 1990, 310, 26–29. (In Russian) [Google Scholar]
- Mayr, E. Populations, Species, and Evolution; The Belknap Press of Harvard Univ. Press: Cambridge, MA, USA, 1970. [Google Scholar]
- Nowak, A.; Świerszcz, S.; Nowak, S.; Nobis, M. Classification of tall-forb vegetation in the Pamir-Alai and western Tian Shan Mountains (Tajikistan and Kyrgyzstan, Middle Asia). Veg. Classif. Surv. 2020, 1, 191–217. [Google Scholar] [CrossRef]
- Tomasco, I.H.; Lessa, E.P. Phylogeography of the tuco–tuco Ctenomys pearsoni: mtDNA variation and its implication for chromosomal differentiation. In The Quintessential Naturalist: Honoring the Life and Legacy of Oliver P. Pearson; Kelt, D.A., Lessa, E.P., Salazar-Bravo, J.A., Patton, J.L., Eds.; University of California Publications in Zoology: Berkeley, CA, USA, 2007; pp. 859–882. [Google Scholar]
- Reig, O.; Busch, C.; Contreras, J.; Ortells, M. An overview of evolution, systematic, population biology and molecular biology. In Biology of Subterranean Mammals; Nevo, E., Reig, O.A., Eds.; Wiley-Liss: New York, NY, USA, 1990; pp. 71–96. [Google Scholar]
- Fernandes, F.A.; Fornel, R.; Cordeiro-Estrela, P.; Freitas, T.R.O. Intra- and interespecific skull variation in two sister species of the subterranean rodent genus Ctenomys (Rodentia, Ctenomyidae): Coupling geometric morphometrics and chromosomal polymorphism. Zool. J. Linn. Soc. 2009, 155, 220–237. [Google Scholar] [CrossRef] [Green Version]
- Fornel, R.; Cordeiro-Estrela, P.; Freitas, T.R.O. Skull shape and size variation within and between mendocinus and torquatus groups in the genus Ctenomys (Rodentia: Ctenomyidae) in chromosomal polymorphism context. Genet. Mol. Biol. 2018, 41, 263–272. [Google Scholar] [CrossRef] [Green Version]
- Van Daele, P.A.; Verheyen, E.; Brunain, M.; Adriaens, D. Cytochrome b sequence analysis reveals differential molecular evolution in African mole-rats of the chromosomally hyperdiverse genus Fukomys (Bathyergidae, Rodentia) from the Zambezian region. Mol. Phylogenetics Evol. 2007, 45, 142–157. [Google Scholar] [CrossRef] [Green Version]







Publisher’s Note: MDPI stays neutral with regard to jurisdictional claims in published maps and institutional affiliations. |
© 2022 by the authors. Licensee MDPI, Basel, Switzerland. This article is an open access article distributed under the terms and conditions of the Creative Commons Attribution (CC BY) license (https://creativecommons.org/licenses/by/4.0/).
Share and Cite
Tambovtseva, V.; Bakloushinskaya, I.; Matveevsky, S.; Bogdanov, A. Geographic Mosaic of Extensive Genetic Variations in Subterranean Mole Voles Ellobius alaicus as a Consequence of Habitat Fragmentation and Hybridization. Life 2022, 12, 728. https://doi.org/10.3390/life12050728
Tambovtseva V, Bakloushinskaya I, Matveevsky S, Bogdanov A. Geographic Mosaic of Extensive Genetic Variations in Subterranean Mole Voles Ellobius alaicus as a Consequence of Habitat Fragmentation and Hybridization. Life. 2022; 12(5):728. https://doi.org/10.3390/life12050728
Chicago/Turabian StyleTambovtseva, Valentina, Irina Bakloushinskaya, Sergey Matveevsky, and Aleksey Bogdanov. 2022. "Geographic Mosaic of Extensive Genetic Variations in Subterranean Mole Voles Ellobius alaicus as a Consequence of Habitat Fragmentation and Hybridization" Life 12, no. 5: 728. https://doi.org/10.3390/life12050728
APA StyleTambovtseva, V., Bakloushinskaya, I., Matveevsky, S., & Bogdanov, A. (2022). Geographic Mosaic of Extensive Genetic Variations in Subterranean Mole Voles Ellobius alaicus as a Consequence of Habitat Fragmentation and Hybridization. Life, 12(5), 728. https://doi.org/10.3390/life12050728

