Experimental Corticosterone Administration Induces Fluctuating Asymmetry and Bursal Atrophy in Broiler Chickens
Abstract
1. Introduction
2. Materials and Methods
2.1. Birds and Facilities
2.2. Gait Score
2.3. Immunological Indicators
2.4. Carcass and Bone Measurements
2.5. Statistical Analysis
3. Results
3.1. Gait Score
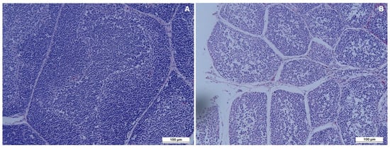
3.2. Immunological Indicators
3.3. Carcasses and Bone Measurements
3.4. Fluctuating Asymmetry
4. Discussion
5. Conclusions
Author Contributions
Funding
Institutional Review Board Statement
Informed Consent Statement
Data Availability Statement
Acknowledgments
Conflicts of Interest
References
- FAO. World Food and Agriculture—Statistical Yearbook 2024, 1st ed.; FAO: Rome, Italy, 2024; p. 384. [Google Scholar]
- Nicol, C.J.; Abeyesinghe, S.M.; Chang, Y.M. An analysis of the welfare of fast-growing and slower-growing strains of broiler chicken. Front. Anim. Sci. 2024, 5, 1374609. [Google Scholar] [CrossRef]
- Campbell, A.M.; Anderson, M.G.; Jacobs, L. Measuring Chronic Stress in Broiler Chickens: Effects of Environmental Complexity and Stocking Density on Immunoglobulin—A Levels. Animals 2023, 13, 2058. [Google Scholar] [CrossRef] [PubMed]
- Scanes, C.G. Biology of stress in poultry with emphasis on glucocorticoids and the heterophil to lymphocyte ratio. Poult. Sci. 2016, 95, 2208–2215. [Google Scholar] [CrossRef] [PubMed]
- Tachibana, T.; Okuyama, H.; Takahashi, M.; Khan, S.; Makino, R.; Cline, M.A. Possible role of corticosterone on behavioral, physiological, and immune responses in chicks. Physiol. Behav. 2023, 272, 114357. [Google Scholar] [CrossRef]
- Zhang, H.; Zhou, Z.; Luo, J.; Hou, J. Effects of corticosterone on the metabolic activity of cultured chicken chondrocytes. BMC Vet. 2015, 11, 86. [Google Scholar] [CrossRef][Green Version]
- Shini, S.; Huff, G.R.; Shini, A.; Kaiser, P. Understanding stress-induced immunosuppression: Exploration of cytokine and chemokine gene profiles in chicken peripheral leukocytes. Poult. Sci. 2010, 89, 841–851. [Google Scholar] [CrossRef]
- Palme, R.; Rettenbacher, S.; Touma, C.; El-Bahr, S.M.; Möstl, E. Stress hormones in mammals and birds: Comparative aspects regarding metabolism, excretion, and noninvasive measurement in fecal samples. Ann. N. Y. Acad. Sci. 2005, 1040, 162–171. [Google Scholar] [CrossRef]
- Zaytsoff, S.J.M.; Uwiera, R.R.E.; Inglis, G.D. Physiological stress mediated by corticosterone administration alters intestinal bacterial communities and increases the relative abundance of Clostridium perfringens in the small intestine of chickens. Microorganisms 2020, 8, 1518. [Google Scholar] [CrossRef]
- Yang, J.; Liu, L.; Sheikhahmadi, A.; Wang, Y.; Li, C.; Jiao, H.; Lin, H.; Song, Z. Effects of corticosterone and dietary energy on immune function of broiler chickens. PLoS ONE 2015, 10, e0119750. [Google Scholar] [CrossRef]
- Riber, A.B.; Würtz, K.E. Impact of growth rate on the welfare of broilers. Animals 2024, 14, 3330. [Google Scholar] [CrossRef]
- Bradshaw, R.H.; Kirkden, R.D.; Broom, D.M. A review of the aetiology and pathology of leg weakness in broilers in relation to their welfare. Avian Poult. Biol. Rev. 2002, 13, 45–103. [Google Scholar] [CrossRef]
- Vahdatpour, T.; Nazer Adl, K.; Ebrahim Nezhad, Y.; Mahery Sis, N.; Riyazi, S.R.; Vahdatpour, S. Effects of corticosterone intake as stress-alternative hormone on broiler chickens: Performance and blood parameters. Asian J. Anim. Vet. Adv. 2009, 4, 16–21. [Google Scholar] [CrossRef]
- Bråthen, V.S.; Skomsø, D.B.; Bech, C. The Heterophil-to-Lymphocyte (H/L) Ratio Indicates Varying Physiological Characteristics in Nestlings Compared to Adults in a Long-Lived Seabird. Birds 2025, 6, 4. [Google Scholar] [CrossRef]
- Karaarslan, S.; Kaya, M.; Türkyılmaz, M.K. Effects of cooled perch and different floor types on animal and management-based welfare indicators, heterophil/lymphocyte ratio, and perching behavior in broiler chickens reared at high ambient temperature. Res. Vet. Sci. 2024, 180, 105433. [Google Scholar] [CrossRef] [PubMed]
- Nwaigwe, C.U.; Ihedioha, J.I.; Shoyinka, S.V.; Nwaigwe, C.O. Evaluation of the hematological and clinical biochemical markers of stress in broiler chickens. Vet. World. 2020, 13, 2294–2300. [Google Scholar] [CrossRef]
- Schat, K.A.; Skinner, M.A. Avian Immunosuppressive Diseases and Immunoevasion. In Avian Immunology; Academic Press: Cambridge, MA, USA, 2014; pp. 275–297. [Google Scholar]
- Knierim, U.; Van Dongen, S.; Forkman, B.; Tuyttens, F.A.M.; Špinka, M.; Campo, J.L.; Weissengruber, G.E. Fluctuating asymmetry as an animal welfare indicator—A review of methodology and validity. Physiol. Behav. 2007, 92, 398–421. [Google Scholar] [CrossRef]
- Van Nuffel, A.; Tuyttens, F.A.M.; Van Dongen, S.; Talloen, W.; Van Poucke, E.; Sonck, B.; Lens, L. Fluctuating Asymmetry in Broiler Chickens: A Decision Protocol for Trait Selection in Seven Measuring Methods. Poult. Sci. 2007, 86, 2555–2568. [Google Scholar] [CrossRef]
- Campo, J.L.; Prieto, M.T. Effects of moist litter, perches, and droppings pit on fluctuating asymmetry, tonic immobility duration, and heterophil-to-lymphocyte ratio of laying hens. Poult. Sci. 2009, 88, 708–713. [Google Scholar] [CrossRef]
- Ventura, B.A.; Weary, D.M.; Giovanetti, A.S.; von Keyserlingk, M.A.G. Effects of barrier perches and density on broiler leg health, fear, and performance. Poult. Sci. 2010, 89, 1574–1583. [Google Scholar] [CrossRef]
- Babacanoğlu, E.; Güler, H.C. High temperature and oxygen supplementation can mitigate the effects of hypoxia on developmental stability of bilateral traits during incubation of broiler breeder eggs. Animal 2018, 12, 1584–1593. [Google Scholar] [CrossRef]
- Mendes, M. Asymmetry measures and allometric growth parameter estimates for investigate effect of early feed restriction on deviation from bilateral symmetry in broiler chickens. Arch. Anim. Breed. 2008, 51, 611–619. [Google Scholar] [CrossRef]
- Stub, C.; Vestergaard, K.S. Influence of zinc bacitracin, light regimen and dustbathing on the health and welfare of broiler chickens. Br. Poult. Sci. 2001, 42, 564–568. [Google Scholar] [CrossRef] [PubMed]
- Campo, J.L.; Gil, M.G.; Dávila, S.G.; Muñoz, I. Effect of lighting stress on fluctuating asymmetry, heterophil-to-lymphocyte ratio, and tonic immobility duration in eleven breeds of chickens. Poult. Sci. 2007, 86, 37–45. [Google Scholar] [CrossRef] [PubMed]
- Tuyttens, F.A.M. Measures of developmental instability as integrated, a posteriori indicators of farm animal welfare: A review. Anim. Welf. 2003, 12, 535–540. [Google Scholar] [CrossRef]
- Luo, J.W.; Zhou, Z.L.; Zhang, H.; Ma, R.S.; Hou, J.F. Bone Response of Broiler Chickens (Gallus gallus domesticus) Induced by Corticosterone. Comp. Biochem. Physiol. A Mol. Integr. Physiol. 2013, 164, 410–416. [Google Scholar] [CrossRef]
- Butterworth, A. Welfare Quality Assessment Protocol for Poultry; Welfare Quality Consortium: Lelystad, The Netherlands, 2009. [Google Scholar]
- Muskett, J.C.; Hopkins, I.G.; Edwards, K.R.; Thornton, D.H. Comparison of two infectious bursal disease vaccine strains: Efficacy and potential hazards in susceptible and maternally immune birds. Vet. Rec. 1979, 104, 332–334. [Google Scholar] [CrossRef]
- Keyes, A.C.; Giltrow, C.; Mahon, K.R. A comparison of maceration methods for the preparation of infant skeletal remains for forensic anthropological analysis. Int. J. Leg. Med. 2024, 138, 1085–1092. [Google Scholar] [CrossRef]
- Kundu, S.K.; Rocky, Z.H.; Al Maruf, A.T.; Chowdhory, M.A.; Sayeed, A. Preparation of quail (Coturnix coturnix) skeleton to promote the teaching facilities of avian anatomy laboratory. Int. J. Vet. Anim. Res. 2023, 6, 91–95. [Google Scholar]
- Klingenberg, C.P. A developmental perspective on developmental instability: Theory, models, and mechanisms. In Developmental Instability: Causes and Consequences; Polak, M., Ed.; Oxford University Press: Oxford, UK, 2003; pp. 14–34. [Google Scholar]
- Buijs, S.; Van Poucke, E.; Van Dongen, S.; Lens, L.; Tuyttens, F.A.M. Cage size and enrichment effects on the bone quality and fluctuating asymmetry of fattening rabbits. J. Anim. Sci. 2012, 90, 3568–3573. [Google Scholar] [CrossRef][Green Version]
- Palmer, R.A.; Strobeck, C. Fluctuating asymmetry as a measure of developmental stability: Implications of non-normal distributions and power of statistical test. Acta. Zool. Fennica 1992, 191, 57–72. [Google Scholar][Green Version]
- Kestin, S.C.; Gordon, S.; Su, G.; Sørensen, P. Relationships in broiler chickens between lameness, liveweight, growth rate and age. Vet. Rec. 2001, 148, 195–197. [Google Scholar] [CrossRef]
- Yang, X.; Zhao, Y.; Gan, H.; Hawkins, S.; Eckelkamp, L.; Prado, M.; Burns, R.; Purswell, J.; Tabler, T. Modeling gait score of broiler chicken via production and behavioral data. Animal 2023, 17, 100692. [Google Scholar] [CrossRef] [PubMed]
- Sun, G.R.; Yan, L.I.; Kang, X.T.; Tian, Y.D.; Zhang, H.; Kui, L.I. Effect of beak trimming on the apoptosis and related protein expression of chicken Thymus. CJAVS 2011, 42, 1000–1006. [Google Scholar]
- Zhang, Y.; Zhou, Y.; Sun, G.; Li, K.; Li, Z.; Su, A.; Liu, X.; Li, G.; Jiang, R.; Han, R.; et al. Transcriptome profile in bursa of Fabricius reveals potential mode for stress-influenced immune function in chicken stress model. BMC Genom. 2018, 19, 918. [Google Scholar] [CrossRef] [PubMed]
- Zaytsoff, S.J.M.; Brown, C.L.J.; Montina, T.; Metz, G.A.S.; Abbot, D.W.; Uwiera, R.R.E.; Inglis, G.D. Corticosterone-mediated physiological stress modulates hepatic lipid metabolism, metabolite profiles, and systemic responses in chickens. Sci. Rep. 2019, 9, 19225. [Google Scholar] [CrossRef]
- Mehaisen, G.M.K.; Eshak, M.G.; Elkaiaty, A.M.; Atta, A.R.M.M.; Mashaly, M.M.; Abass, A.O. Comprehensive growth performance, immune function, plasma biochemistry, gene expressions and cell death morphology responses to a daily corticosterone injection course in broiler chickens. PLoS ONE 2017, 12, e0172684. [Google Scholar] [CrossRef]
- Thiam, M.; Wang, Q.; Barreto Sánchez, A.L.; Zhang, J.; Ding, J.; Wang, H.; Zhang, Q.; Zhang, N.; Wang, J.; Li, Q.; et al. Heterophil/Lymphocyte ratio level modulates salmonella resistance, cecal microbiota composition and functional capacity in infected chicken. Front. Immunol. 2022, 14, 816689. [Google Scholar] [CrossRef]
- Lui, J.C.; Baron, J. Effects of Glucocorticoids on the Growth Plate. Endocr. Dev. 2011, 20, 187–193. [Google Scholar]
- Han, J.C.; Qu, H.X.; Wang, J.G.; Chen, G.H.; Yan, Y.F.; Zhang, J.L.; Hu, F.M.; You, L.Y.; Cheng, Y.H. Comparison of the growth and mineralization of the femur, tibia, and metatarsus of broiler chicks. Rev. Bras. Cienc. Avic. 2015, 17, 333–339. [Google Scholar] [CrossRef]
- Klingenberg, C.P. Evolution and development of shape: Integrating quantitative approaches. Nat. Rev. Genet. 2010, 11, 623–635. [Google Scholar] [CrossRef]
- Eriksen, M.S.; Haug, A.; Torjesen, P.A.; Bakken, M. Prenatal exposure to corticosterone impairs embryonic development and increases fluctuating asymmetry in chickens (Gallus gallus domesticus). Br. Poult. Sci. 2003, 44, 690–697. [Google Scholar] [CrossRef]
- Helle, S.; Suorsa, P.; Huhta, E.; Hakkarainen, H. Fluctuating feather asymmetry in relation to corticosterone levels is sex-dependent in Eurasian treecreeper (Certhia familiaris) nestlings. Biol. Lett. 2010, 23, 521–524. [Google Scholar] [CrossRef]
- Benderlioglu, Z. Fluctuating Asymmetry and Steroid Hormones: A Review. Symmetry 2010, 2, 541–553. [Google Scholar] [CrossRef]

| Pen | Number of Birds | Treatment 1 |
|---|---|---|
| 1 | 10 | 0 |
| 1 | ||
| 2 | 10 | 1 |
| 2 | ||
| 3 | 10 | 2 |
| 3 | ||
| 4 | 10 | 3 |
| 4 | ||
| 5 | 10 | 4 |
| 5 | ||
| 6 | 10 | 5 |
| 0 |
| Gait Score | T0 | T1 | T2 | T3 | T4 | T5 | p-Value 1 |
|---|---|---|---|---|---|---|---|
| Day 11 | 0.05 ± 0.10 | 0.05 ± 0.05 | 0.12 ± 0.14 | 0.41 ± 0.16 | 0.20 ± 0.02 | 0.32 ± 0.16 | 0.232 |
| Day 42 | 2.53 ± 0.36 | 2.47 ± 0.27 | 2.46 ± 0.21 | 2.72 ± 0.19 | 2.89 ± 0.17 | 2.99 ± 0.07 | 0.112 |
| Immune Indicators | T0 | T1 | T2 | T3 | T4 | T5 | p-Value 1 |
|---|---|---|---|---|---|---|---|
| Bursa (µm) | 931.22 a ± 57.03 | 638.54 ab ± 15.86 | 521.67 bc ± 20.24 | 416.98 c ± 23.02 | 357.62 c ± 15.39 | 395.69 c ± 31.24 | 0.001 |
| Bursa follicle score | 0.00 a ± 0.00 | 2.0 ab ± 0.26 | 2.60 abc ± 0.16 | 3.30 bcd ± 0.21 | 4.00 cd ± 0.15 | 4.30 d ± 0.21 | 0.001 |
| H/L ratio 2 | 95.60 ± 23.37 | 153.25 ± 33.03 | 142.75 ± 32.55 | 95.75 ± 20.33 | 151.33 ± 12.35 | 166.00 ± 30.14 | 0.349 |
| Trait (mm) | T0 | T1 | T2 | T3 | T4 | T5 |
|---|---|---|---|---|---|---|
| Carcasses | ||||||
| Eye L 2 | 12.90 a ± 0.26 3 | 13.2 a ± 0.12 | 11.76 b ± 0.16 | 11.45 bc ± 0.21 | 10.14 c ± 0.36 | 12.15 bc ± 0.80 |
| Nostril L | 7.42 a ± 0.18 | 7.59 a ± 0.15 | 6.28 b ± 0.01 | 5.97 bc ± 0.13 | 6.38 bc ± 0.23 | 5.68 c ± 0.08 |
| Wattle L | 24.48 a ± 0.52 | 25.35 a ± 0.45 | 18.38 b ± 0.52 | 17.1 bc ± 0.53 | 16.24 bc ± 0.43 | 12.29 c ± 0.35 |
| Beak L | 32.51 a ± 0.24 | 30.49 b ± 0.16 | 29.7 b ± 0.19 | 27.62 c ± 0.16 | 27.59 c ± 0.34 | 26.3 c ± 0.22 |
| Radius | 70.52 a ± 1.17 | 66.88 ab ± 0.53 | 63.65 b ± 0.62 | 58.7 c ± 0.74 | 55.89 c ± 0.60 | 55.15 c ± 0.65 |
| Metatarsus L | 108.83 a ± 1.25 | 101.21 a ± 0.58 | 93.51 b ± 0.35 | 89.13 bc ± 0.79 | 86.16 cd ± 0.70 | 82.4 d ± 0.45 |
| Metatarsus W 4 | 13.87 a ± 0.21 | 12.13 ab ± 0.09 | 11.57 bc ± 0.01 | 11.98 cd ± 0.63 | 10.66 d ± 0.15 | 9.62 e ± 0.01 |
| Metatarsus L/W 5 | 7.89 a ± 0.08 | 8.36 bc ± 0.08 | 8.1 ab ± 0.06 | 7.90 bc ± 0.23 | 8.11 ab ± 0.11 | 8.59 c ± 0.08 |
| Middle toe L | 27.6 a ± 0.32 | 25.86 ab ± 0.22 | 23.88 b ± 0.57 | 22.13 c ± 0.44 | 21.9 cd ± 0.19 | 20.68 d ± 0.11 |
| Outer toe L | 16.42 a ± 0.26 | 15.6 a ± 0.09 | 14.46 b ± 0.11 | 13.96 bc ± 0.52 | 12.74 cd ± 0.16 | 12.07 d ± 0.11 |
| Back toe L | 25.52 a ± 0.34 | 23.79 a ± 0.16 | 22.32 b ± 0.08 | 21.05 c ± 0.20 | 20.23 cd ± 0.19 | 18.91 d ± 0.11 |
| Bones | ||||||
| Radius L | 63.23 a ± 0.89 3 | 61.56 a ± 0.20 | 58.10 b ± 0.33 | 56.50 b ± 0.32 | 55.16 bc ± 0.61 | 52.42 c ± 0.45 |
| Radius W | 6.61 a ± 0.20 | 5.85 ab ± 0.04 | 5.40 b ± 0.06 | 5.07 b ± 0.04 | 5.13 bc ± 0.07 | 4.51 c ± 0.07 |
| Radius L/W | 9.43 a ± 0.18 | 10.54 b ± 0.08 | 10.83 bc ± 0.10 | 11.16 cd ± 0.08 | 10.76 bc ± 0.03 | 11.64 d ± 0.08 |
| Ulna L | 60.88 a ± 0.92 | 59.11 a ± 0.24 | 54.19 b ± 0.33 | 53.46 bc ± 0.35 | 52.78 bc ± 0.88 | 50.35 c ± 0.53 |
| Ulna W | 3.23 a ± 0.09 | 2.88 ab ± 0.02 | 2.74 bc ± 0.03 | 2.45 d ± 0.03 | 2.51 cd ± 0.05 | 2.22 d ± 0.03 |
| Ulna L/W | 19.09 a ± 0.34 | 20.67 b ± 0.12 | 20.16 ab ± 0.19 | 21.96 c ± 0.18 | 21.23 bc ± 0.20 | 22.67 c ± 0.16 |
| Humerus L | 65.78 a ± 0.97 | 64.27 a ± 1.44 | 60.88 b ± 0.29 | 58.82 bc ± 0.27 | 58.41 bc ± 0.66 | 54.49 c ± 0.45 |
| Humerus W | 8.41 a ± 0.19 | 7.46 a ± 0.05 | 6.97 b ± 0.08 | 6.59 bc ± 0.06 | 6.82 b ± 0.08 | 6.05 c ± 0.05 |
| Humerus L/W | 7.87 a ± 0.09 | 8.63 b ± 0.05 | 8.76 b ± 0.09 | 8.93 bc ± 0.05 | 8.57 ab ± 0.03 | 9.06 c ± 0.03 |
| Humerus W (joint radius) | 15.80 a ± 0.25 | 15.11 a ± 0.07 | 14.51 b ± 0.04 | 14.10 b ± 0.17 | 13.76 bc ± 0.17 | 12.93 c ± 0.05 |
| Femur L | 71.11 a ± 1.03 | 69.58 a ± 0.30 | 65.48 b ± 0.34 | 64.03 b ± 0.36 | 62.72 bc ± 0.36 | 59.15 c ± 0.34 |
| Femur W | 9.36 a ± 0.21 | 8.09 ab ± 0.06 | 7.80 bc ± 0.08 | 7.42 cd ± 0.08 | 7.60 bcd ± 0.16 | 7.09 d ± 0.09 |
| Femur L/W | 7.65 a ± 0.09 | 8.61 b ± 0.06 | 8.42 b ± 0.08 | 8.68 b ± 0.11 | 8.28 b ± 0.09 | 8.36 b ± 0.08 |
| Tibia L | 94.80 a ± 1.59 | 91.65 a ± 0.47 | 86.48 b ± 0.37 | 83.46 b ± 0.49 | 81.95 bc ± 0.97 | 77.95 c ± 0.44 |
| Tibia W | 9.23 a ± 0.27 | 7.90 a ± 0.05 | 7.25 b ± 0.05 | 6.55 c ± 0.08 | 6.83 bc ± 0.13 | 6.27 c ± 0.06 |
| Tibia L/W | 10.47 a ± 0.23 | 11.62 ab ± 0.09 | 11.95 b ± 0.07 | 12.78 c ± 0.14 | 12.02 bc ± 0.09 | 12.44 c ± 0.09 |
| Metatarsus L | 70.77 a ± 1.22 | 67.54 a ± 0.27 | 63.46 b ± 0.27 | 61.09 bc ± 0.36 | 58.57 cd ± 0.51 | 56.32 d ± 0.57 |
| Metatarsus W | 11.48 a ± 0.30 | 9.77 ab ± 0.04 | 9.25 b ± 0.07 | 8.41 c ± 0.09 | 8.30 c ± 0.14 | 7.76 c ± 0.11 |
| Metatarsus L/W | 6.22 a ± 0.08 | 6.91 b ± 0.04 | 6.86 b ± 0.04 | 7.28 c ± 0.06 | 7.07 bc ± 0.07 | 7.26 c ± 0.06 |
| Metatarsophalangeal joint W | 21.54 a ± 0.30 | 20.37 a ± 0.08 | 19.23 b ± 0.08 | 18.55 b ± 0.25 | 18.05 bc ± 0.17 | 17.09 c ± 0.15 |
| Metatarsus Intertarsal joint W | 19.13 a ± 0.30 | 18.07 a ± 0.08 | 17.40 b ± 0.07 | 16.53 bc ± 0.25 | 16.12 c ± 0.21 | 15.96 c ± 0.22 |
| Trait | DA | FA | SNR 2 | Kurtosis 3 |
|---|---|---|---|---|
| Carcasses | ||||
| Eye L | F1,56 = 13.98 (p < 0.001) | LR = 27 (p < 0.001) | 11.11 | 2.6 |
| Nostril L | F1,56 = 1.66 (p = 0.203) | LR = 20 (p < 0.001) | 3.93 | 6.0 |
| Wattle L | F1,42 = 0.28 (p = 0.602) | LR = 112 (p < 0.001) | 4.51 | 4.1 |
| Beak L | F1,56 = 8.64 (p = 0.004) | LR = 25 (p < 0.001) | 12.26 | 2.5 |
| Radius L | F1,50 = 11.22 (p = 0.001) | LR = 60 (p < 0.001) | 7.57 | 3.5 |
| Metatarsus L 4 | F1,56 = 14.71 (p < 0.001) | LR = 49 (p < 0.001) | 48.41 | 3.4 |
| Metatarsus W 5 | F1,56 = 1.45 (p = 0.234) | LR = 3.13 (p < 0.001) | 203.25 | 6.4 |
| Middle toe L | F1,56 = 0 (p = 0.962) | LR = 0.74 (p = 0.380) | 38.68 | 85.0 |
| Outer toe L | F1,56 = 0.88 (p = 0.352) | LR = 0.05 (p = 0.808) | 128.74 | 61.2 |
| Back toe L | F1,56 = 0.27 (p < 0.001) | LR = 3.01 (p = 0.080) | 152.44 | 4.3 |
| Bones | ||||
| Radius L | F1,36 = 6.02 (p = 0.019) | LR 1 = 490 (p < 0.001) | 272.65 | 6.9 |
| Radius W | F1,36.1 = 4.29 (p = 0.045) | LR = 257 (p < 0.001) | 76.46 | 3.2 |
| Ulna L | F1,27 = 3.09 (p = 0.090) | LR = 366 (p < 0.001) | 720.08 | 1.8 |
| Ulna W | F1,30.2 = 0.90 (p = 0.351) | LR = 258 (p < 0.001) | 52.4 | 2.1 |
| Humerus L | F1,36 = 0.36 (p = 0.552) | LR = 454 (p < 0.001) | 158.87 | 3.2 |
| Humerus W | F1,37.1 = 0.10 (p = 0.749) | LR = 360 (p < 0.001) | 47.96 | 3.3 |
| Humerus W (joint radius) | F1,34.1 = 1.04 (p = 0.314) | LR = 346 (p < 0.001) | 100.14 | 4.2 |
| Femur L | F1,39 = 2.91 (p = 0.095) | LR = 472 (p < 0.001) | 291.21 | 6.3 |
| Femur W | F1,38.1 = 12.25 (p = 0.001) | LR = 375 (p < 0.001) | 49.07 | 2.3 |
| Tibia L | F1,38 = 0.03 (p = 0.860) | LR = 499 (p < 0.001) | 534.35 | 2.3 |
| Tibia W | F1,39 = 8.14 (p = 0.060) | LR = 421 (p < 0.001) | 76.37 | 4.5 |
| Metatarsus L | F1,33 = 0.79 (p = 0.381) | LR = 548 (p < 0.001) | 153.61 | 3.0 |
| Metatarsus W | F1,34.1 = 0.18 (p = 0.676) | LR = 369 (p < 0.001) | 117.61 | 2.6 |
| Metatarsophalangeal joint W | F1,31.1 = 7.89 (p = 0.008) | LR = 472 (p < 0.001) | 33.33 | 2.4 |
| Metatarsus Intertarsal joint W | F1,33.2 = 9.67 (p = 0.003) | LR = 443 (p < 0.001) | 39.36 | 4.8 |
| Trait | T0 | T1 | T2 | T3 | T4 | T5 | p-Value |
|---|---|---|---|---|---|---|---|
| Carcasses | |||||||
| Composite FA index 2 | −0.115 a ± 0.06 | −0.180 a ± 0.09 | −0.070 ab ± 0.07 | 0.053 ab ± 0.10 | 0.316 b ± 0.12 | −0.001 ab ± 0.08 | 0.026 |
| Eye L 3 | −0.297 ± 0.21 | −0.475± 0.31 | 0.428 ± 0.32 | −0.012 ± 0.21 | 0.449 ± 0.36 | 0.109 ± 0.47 | 0.197 |
| Nostril L | −0.063 ± 0.21 | −0.291 ± 0.26 | −0.319 ± 0.28 | 0.606 ± 0.23 | 0.209 ± 0.77 | −0.093 ± 0.12 | 0.089 |
| Wattle L | −0.340 ± 0.14 | −0.499 ± 0.14 | 0.544 ± 0.31 | 1.181 ± 0.60 | −0.836 ± 0.28 | −0.177 ± 0.34 | 0.018 |
| Beak L | 0.172 ± 0.34 | −0.401 ± 0.24 | 0.039 ± 0.31 | −0.367 ± 0.29 | 0.723 ± 0.31 | −0.042 ± 0.36 | 0.265 |
| Radius L | −0.231 ± 0.25 | 0.196 ± 0.30 | 0.447 ± 0.54 | −0.073 ± 0.28 | 0.091 ± 0.18 | −0.609 ± 0.20 | 0.448 |
| Metatarsus L | −0.396 a ± 0.25 | −0.100 ab ± 0.33 | −0.474 a ± 0.21 | −0.389 a ± 0.27 | 1.222 b ± 0.67 | 0.607 ab ± 0.29 | 0.005 |
| Metatarsus W 4 | −0.172 ± 0.17 | −0.159 ± 0.33 | −0.213 ± 0.12 | −0.012 ± 0.20 | 0.437 ± 0.38 | −0.095 ± 0.41 | 0.980 |
| Middle toe L | 0.026 ± 0.12 | −0.151 ± 0.08 | 0.524 ± 0.73 | −0.094 ± 0.09 | −0.211 ± 0.05 | −0.198 ± 0.04 | 0.561 |
| Outer toe L | 0.009 ± 0.10 | −0.182 ± 0.84 | −0.182 ± 0.10 | 0.481 ± 0.72 | −0.11 ± 0.11 | −0.157 ± 0.12 | 0.707 |
| Back toe L | 0.138 ± 0.39 | −0.065 ± 0.36 | 0.001 ± 0.21 | −0.470 ± 0.25 | 0.147 ± 0.17 | 0.389 ± 0.39 | 0.403 |
| Bones | |||||||
| Composite FA index | 0.119 ± 0.11 | −0.193 ± 0.11 | 0.069 ± 0.10 | 0.058 ± 0.13 | 0.098 ± 0.08 | −0.136 a ± 0.08 | 0.272 |
| Radius L | 0.872 ± 0.66 | 0.052 ± 0.27 | −0.053 ± 0.25 | −0.381 ± 0.14 | −0.459 ± 0.26 | −0.377 ± 0.22 | 0.559 |
| Radius W | −0.078± 0.25 | −0.429 ± 0.22 | 0.244 ± 0.31 | 0.687 ± 0.42 | −0.763 ± 0.12 | 0.128 ± 65 | 0.099 |
| Ulna L | −0.077 ± 0.39 | −0.200 ± 0.40 | 0.247 ± 0.24 | 0.091 ± 0.60 | 0.321 ± 0.52 | −0.199 ± 0.49 | 0.980 |
| Ulna W | −0.063 ± 0.33 | −0.146 ± 0.40 | −0.06 ± 0.39 | −0.312 ± 0.48 | 1.045 ± 0.50 | 0.388 ± 0.59 | 0.649 |
| Humerus L | 0.107 ± 0.14 | −0.065 ± 0.38 | −0.166 ± 0.24 | −0.029 ± 0.30 | −0.964 ± 0.25 | 0.833 ± 0.83 | 0.298 |
| Humerus W | 0.523 ± 0.43 | −0.692 ± 0.21 | 0.465 ± 0.44 | −0.224 ± 0.24 | −0.357 ± 0.39 | 0.096 ± 0.38 | 0.167 |
| Humerus W (joint radius) | −0.537 ± 0.15 | −0.193 ± 0.43 | 0.188 ± 0.25 | 0.167 ± 0.50 | 0.842 ± 0.91 | 0.115 ± 0.43 | 0.210 |
| Femur L | 0.290 ± 0.62 | −0.184 ± 0.31 | 0.051 ± 0.33 | 0.271 ± 0.33 | −0.062 ± 0.31 | −0.415 ± 0.23 | 0.669 |
| Femur W | −0.324 ± 0.21 | 0.030 ± 0.27 | 0.034 ± 0.33 | 0.545 ± 0.59 | −0.453 ± 0.70 | −0.117 ± 0.74 | 0.748 |
| Tibia L | 0.532 ± 0.47 | −0.102 ± 0.34 | −0.232 ± 0.28 | 0.456 ± 0.41 | 0.531 ± 0.19 | −0.867 ± 0.23 | 0.063 |
| Tibia W | 0.312 ± 0.46 | 0.546 ± 0.45 | −0.203 ± 0.24 | −0.081 ± 0.32 | −0.750 ± 0.19 | −0.443 ± 0.16 | 0.397 |
| Metatarsus L | 0.718 ± 0.40 | −0.107 ± 0.53 | −0.30 ± 0.23 | −0.197 ± 0.32 | 0.551 ± 0.58 | −0.633 ± 0.34 | 0.182 |
| Metatarsus W | −0.213 ± 0.28 | −0.663 ± 0.19 | 0.238 ± 0.27 | −0.447 ± 0.18 | 1.823 ± 0.82 | 0.306 ± 0.62 | 0.061 |
| Metatarsophalangeal joint W | −0.313± 0.25 | 0.399 ± 0.49 | 0.404 ± 0.56 | 0.197 ± 0.21 | 0.217 ± 0.27 | 0.121 ± 0.29 | 0.431 |
| Metatarsus Intertarsal joint W | 0.159± 0.34 | −0.566 ± 0.15 | 0.029 ± 0.42 | 0.793 ± 0.47 | −0.315 ± 0.32 | −0.882 ± 0.31 | 0.227 |
Disclaimer/Publisher’s Note: The statements, opinions and data contained in all publications are solely those of the individual author(s) and contributor(s) and not of MDPI and/or the editor(s). MDPI and/or the editor(s) disclaim responsibility for any injury to people or property resulting from any ideas, methods, instructions or products referred to in the content. |
© 2025 by the authors. Licensee MDPI, Basel, Switzerland. This article is an open access article distributed under the terms and conditions of the Creative Commons Attribution (CC BY) license (https://creativecommons.org/licenses/by/4.0/).
Share and Cite
Carvalho, C.L.; Soster, P.; Smets, R.; Cleiren, N.; Buyse, K.; Lammens, L.; Dedeurwaerder, A.; De Gussem, M.; Antonissen, G.; Tuyttens, F.A.M. Experimental Corticosterone Administration Induces Fluctuating Asymmetry and Bursal Atrophy in Broiler Chickens. Symmetry 2025, 17, 1983. https://doi.org/10.3390/sym17111983
Carvalho CL, Soster P, Smets R, Cleiren N, Buyse K, Lammens L, Dedeurwaerder A, De Gussem M, Antonissen G, Tuyttens FAM. Experimental Corticosterone Administration Induces Fluctuating Asymmetry and Bursal Atrophy in Broiler Chickens. Symmetry. 2025; 17(11):1983. https://doi.org/10.3390/sym17111983
Chicago/Turabian StyleCarvalho, Camila L., Patricia Soster, Rutger Smets, Niamh Cleiren, Kobe Buyse, Leni Lammens, Annelike Dedeurwaerder, Maarten De Gussem, Gunther Antonissen, and Frank A. M. Tuyttens. 2025. "Experimental Corticosterone Administration Induces Fluctuating Asymmetry and Bursal Atrophy in Broiler Chickens" Symmetry 17, no. 11: 1983. https://doi.org/10.3390/sym17111983
APA StyleCarvalho, C. L., Soster, P., Smets, R., Cleiren, N., Buyse, K., Lammens, L., Dedeurwaerder, A., De Gussem, M., Antonissen, G., & Tuyttens, F. A. M. (2025). Experimental Corticosterone Administration Induces Fluctuating Asymmetry and Bursal Atrophy in Broiler Chickens. Symmetry, 17(11), 1983. https://doi.org/10.3390/sym17111983

