Antibody Screening and Binding Prediction Analysis Targeting Stx2
Abstract
1. Introduction
2. Results
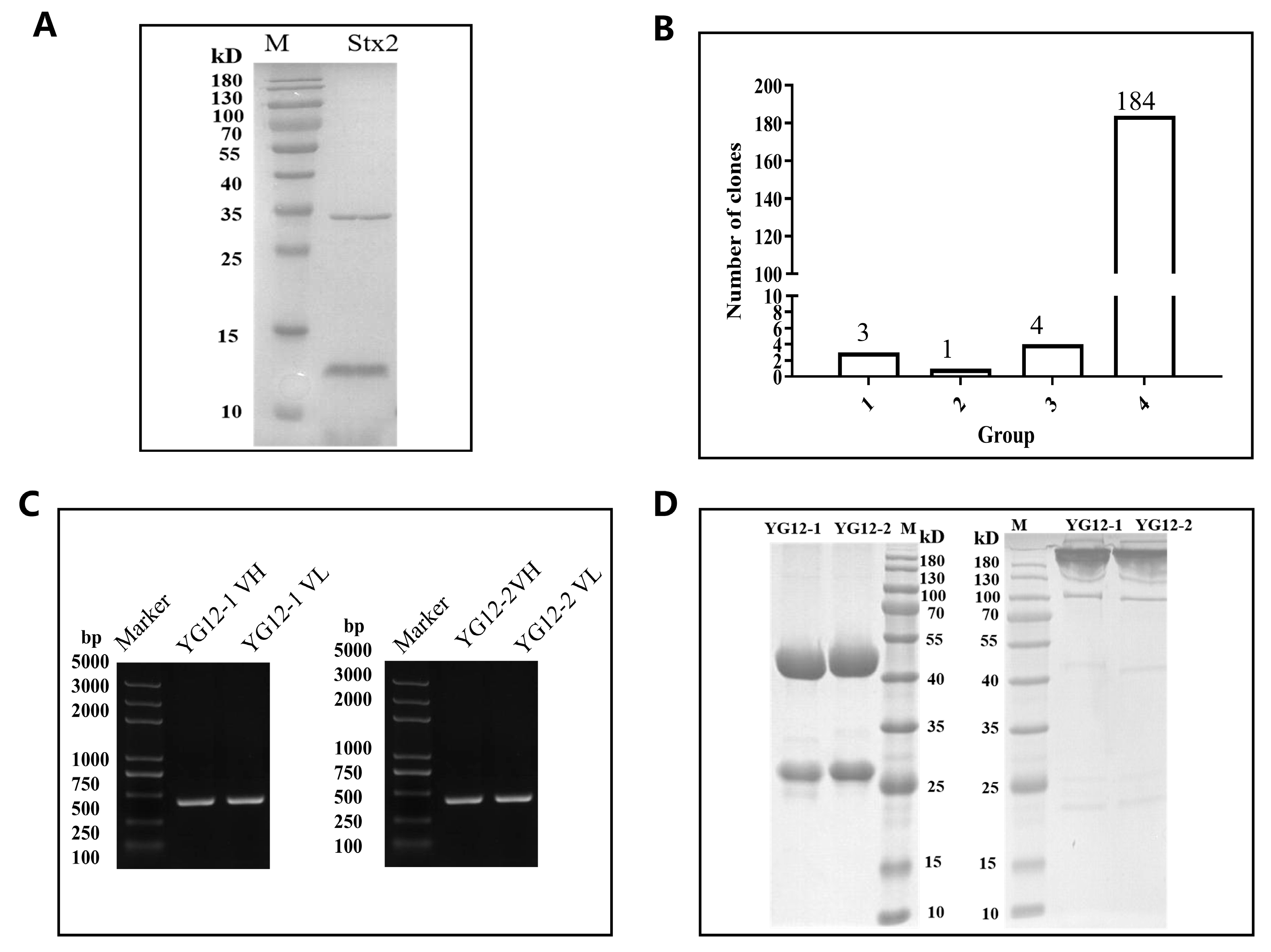
2.1. Screening of Human Antibodies Targeting Stx2
2.2. Evaluation of Anti-Stx2 Function Ex Vivo and In Vivo
2.3. Comparative Structural Analysis of YG12-1 and YG12-2 Antibodies
2.4. Prediction and Subsequent Validation of YG12-1 and YG12-2 Binding to Stx2 by Competitive ELISA
2.5. Validation of Docking-Predicted Epitopes by Mutational Analysis
2.6. Energy Scoring of YG12-1 and YG12-2 Antigen–Antibody Complexes
3. Discussion
4. Conclusions
5. Materials and Methods
5.1. Experimental Procedures
5.2. Cell Lines and Reagents
5.3. Selection of Hu-Anti-Stx2
5.4. Plasmid Construction and Anti-Stx2 Expression
5.5. Binding Affinity of Hu-Anti-Stx2 Antibody
5.6. Competitive ELISA
5.7. Acute Peritoneal Infection Murine Model
5.8. Multiple Sequence Alignment
5.9. Antibody Structure Prediction
5.10. Antigen–Antibody Docking Analysis
5.11. Binding Energy Scoring
5.12. Hydrogen Bond Analysis
5.13. SAAMBE-3D-Based ΔΔG Prediction for Epitope Mutations in YG12 Antibodies
5.14. Data Availability
- A: SDS-PAGE analysis of purified Stx2 protein.File: “Figure 2A SDS-PAGE of Stx2 Protein.png”
- B: ELISA screening of Stx2-binding clones after panning.File: “Figure 2B ELISA Screening.png”
- C: PCR amplification of VH and VL regions from YG12-1 and YG12-2.File: “Figure 2C PCR Amplification.png”
- D: SDS-PAGE analysis of YG12-1 and YG12-2 antibodies.File: “Figure 2D SDS-PAGE of YG12 Antibodies.png”
- A: Binding affinity analysis of YG12 to Stx2 using ELISA.File: “Figure 3A Original Figure of In Vivo Protective Activity of YG12.png”
- B & D: SPR analysis of YG12-1 (B) and YG12-2 (D) binding to Stx2.File: “Figure 3B Raw SPR Sensorgrams for YG12-1 Binding Analysis.png”File: “Figure 3D Raw SPR Sensorgrams for YG12-1 Binding Analysis.png”
- C: In vivo protection assessment of YG12 in a murine model.File: “Figure 3C Original Figure of YG12 Binding Affinity to Stx2.png”
- A: Sequence alignment of VH and VL regions of YG12-1 and YG12-2, showing framework regions (FR1–FR4) and complementarity-determining regions (CDR1–CDR3).File: “Figure 4A Original Image Alignment of the VL Chain of YG Antibody and Secondary Structure of YG12-1VL.png”File: “Figure 4A Original Image Alignment of the VL Chain of YG Antibody and Secondary Structure of YG12-2VL.png”File: “Figure 4 Sequence Alignment of the VH Region of YG Antibody.fas”File: “Figure 4 Sequence Alignment of the VL Region of YG Antibody.fas”
- B: Structural model of YG12-1File: “Figure 4B lm-YG12-1 Antibody.pdb”
- C: Structural model of YG12-2File: “Figure 4C lm-YG12-2 Antibody.pdb”
- A&C&D: Superimposed structures of YG12-1 and YG12-2 with STX2.File: “Figure 5A,C,D YG12-1 & YG12-2 Superimposed with STX2 Diagram.pse”
- B: The position where lm_YG12-1 binds to the antibody, marked with 9 hydrogen bonds.File: “Figure 5B The Position Where lm_YG12-1 Binds to the Antibody is Marked (9 Hydrogen Bonds).pse”
- E&G: The binding position of lm_YG12-2 with the antibody, marked with 16 hydrogen bonds.File: “Figure 5E,G The Binding Position of lm_YG12-2 with the Antibody is Marked (16 Hydrogen Bonds).pse”
- F: Original competitive ELISA figure for YG12-1 and YG12-2.File: “Figure 5F Original Competitive ELISA Figure for YG12-1 and YG12-2.png”
- Original docking resultsFile: “Figure 5. GRAMM Docking Results for YG12-1”File: “Figure 5. GRAMM Docking Results for YG12-2”
- A: This file contains the results from the epitope mutation analysis based on the SAAMBE tool.File: “Figure 6. Epitope Analysis Results Based on SAAMBE.txt”Each file is clearly labeled to correspond with the relevant content in the manuscript.
Supplementary Materials
Author Contributions
Funding
Institutional Review Board Statement
Informed Consent Statement
Data Availability Statement
Conflicts of Interest
References
- Nichols, M.C.; Gacek, P.; Phan, Q.; Gambino-Shirley, K.J.; Gollarza, L.M.; Schroeder, M.N.; Mercante, A.; Mullins, J.; Blackstock, A.; Laughlin, M.E.; et al. Agritourism and Kidding Season: A Large Outbreak of Human Shiga Toxin-Producing Escherichia coli O157 (STEC O157) Infections Linked to a Goat Dairy Farm—Connecticut, 2016. Front. Vet. Sci. 2021, 8, 744055. [Google Scholar] [CrossRef]
- Liao, Y.-T.; Quintela, I.A.; Nguyen, K.; Salvador, A.; Cooley, M.B.; Wu, V.C.H. Investigation of prevalence of free Shiga toxin-producing Escherichia coli (STEC)-specific bacteriophages and its correlation with STEC bacterial hosts in a produce-growing area in Salinas, California. PLoS ONE 2018, 13, e0190534. [Google Scholar] [CrossRef] [PubMed]
- Jenkins, C.; Bird, P.K.; Wensley, A.; Wilkinson, J.; Aird, H.; Mackintosh, A.; Greig, D.R.; Simpson, A.; Byrne, L.; Wilkinson, R.; et al. Outbreak of STEC O157:H7 linked to a milk pasteurisation failure at a dairy farm in England, 2019. Epidemiol. Infect. 2022, 150, e114. [Google Scholar] [CrossRef]
- Ray, R.; Singh, P. Prevalence and Implications of Shiga Toxin-Producing E. coli in Farm and Wild Ruminants. Pathogens 2022, 11, 1332. [Google Scholar] [CrossRef]
- Kim, J.-S.; Lee, M.-S.; Kim, J.H. Recent Updates on Outbreaks of Shiga Toxin-Producing Escherichia coli and Its Potential Reservoirs. Front. Cell. Infect. Microbiol. 2020, 10, 273. [Google Scholar] [CrossRef]
- Sánchez, D.S.; Fischer Sigel, L.K.; Balestracci, A.; Ibarra, C.; Amaral, M.M.; Silberstein, C. Eliglustat prevents Shiga toxin 2 cytotoxic effects in human renal tubular epithelial cells. Pediatr. Res. 2022, 91, 1121–1129. [Google Scholar] [CrossRef]
- Shiga Toxin (Stx) Classification, Structure, and Function|Microbiology Spectrum. Available online: https://journals.asm.org/doi/10.1128/microbiolspec.ehec-0024-2013 (accessed on 16 April 2025).
- Joseph, A.; Cointe, A.; Mariani Kurkdjian, P.; Rafat, C.; Hertig, A. Shiga Toxin-Associated Hemolytic Uremic Syndrome: A Narrative Review. Toxins 2020, 12, 67. [Google Scholar] [CrossRef] [PubMed]
- Proulx, F.; Seidman, E.G.; Karpman, D. Pathogenesis of Shiga Toxin-Associated Hemolytic Uremic Syndrome. Pediatr. Res. 2001, 50, 163–171. [Google Scholar] [CrossRef]
- Harkins, V.J.; McAllister, D.A.; Reynolds, B.C. Shiga-Toxin E. coli Hemolytic Uremic Syndrome: Review of Management and Long-term Outcome. Curr. Pediatr. Rep. 2020, 8, 16–25. [Google Scholar] [CrossRef]
- Serum Shiga Toxin 2 Values in Patients During Acute Phase of Diarrhoea-Associated Haemolytic Uraemic Syndrome|Semantic Scholar. Available online: https://www.semanticscholar.org/paper/Serum-Shiga-toxin-2-values-in-patients-during-acute-He-Qui%C3%B1ones/67313583e89682f8466a899ef261331e50b78519 (accessed on 16 April 2025).
- Mody, R.K.; Luna-Gierke, R.E.; Jones, T.F.; Comstock, N.; Hurd, S.; Scheftel, J.; Lathrop, S.; Smith, G.; Palmer, A.; Strockbine, N.; et al. Infections in Pediatric Postdiarrheal Hemolytic Uremic Syndrome: Factors Associated With Identifying Shiga Toxin–Producing Escherichia coli. Arch. Pediatr. Adolesc. Med. 2012, 166, 902. [Google Scholar] [CrossRef] [PubMed]
- Rahal, E.A.; Fadlallah, S.M.; Nassar, F.J.; Kazzi, N.; Matar, G.M. Approaches to treatment of emerging Shiga toxin-producing Escherichia coli infections highlighting the O104:H4 serotype. Front. Cell. Infect. Microbiol. 2015, 5. [Google Scholar] [CrossRef]
- Mayer, C.L.; Leibowitz, C.S.; Kurosawa, S.; Stearns-Kurosawa, D.J. Shiga Toxins and the Pathophysiology of Hemolytic Uremic Syndrome in Humans and Animals. Toxins 2012, 4, 1261–1287. [Google Scholar] [CrossRef]
- Chai, P.R.; Boyer, E.W.; Al-Nahhas, H.; Erickson, T.B. Toxic chemical weapons of assassination and warfare: Nerve agents VX and sarin. Toxicol. Commun. 2017, 1, 21–23. [Google Scholar] [CrossRef]
- Liu, Y.-N.; Wang, S.; Li, T.; Wang, Q.; Tu, W.; Cai, K.; Hou, X.-J.; Tian, R.-M.; Gao, X.; Liu, H.; et al. Shiga toxin type 2 (Stx2), a potential agent of bioterrorism, has a short distribution and a long elimination half-life, and induces kidney and thymus lesions in rats. Arch. Toxicol. 2011, 85, 1133–1140. [Google Scholar] [CrossRef] [PubMed]
- Tesh, V.L.; Burris, J.A.; Owens, J.W.; Gordon, V.M.; Wadolkowski, E.A.; O’Brien, A.D.; Samuel, J.E. Comparison of the relative toxicities of Shiga-like toxins type I and type II for mice. Infect. Immun. 1993, 61, 3392–3402. [Google Scholar] [CrossRef] [PubMed]
- Bowen, E.E.; Hurcombe, J.A.; Barrington, F.; Keir, L.S.; Farmer, L.K.; Wherlock, M.D.; Ortiz-Sandoval, C.G.; Bruno, V.; Bohorquez-Hernandez, A.; Diatlov, D.; et al. Shiga toxin targets the podocyte causing hemolytic uremic syndrome through endothelial complement activation. Med 2023, 4, 761–777.e8. [Google Scholar] [CrossRef]
- Nolasco, L.H.; Turner, N.A.; Bernardo, A.; Tao, Z.; Cleary, T.G.; Dong, J.; Moake, J.L. Hemolytic uremic syndrome–associated Shiga toxins promote endothelial-cell secretion and impair ADAMTS13 cleavage of unusually large von Willebrand factor multimers. Blood 2005, 106, 4199–4209. [Google Scholar] [CrossRef]
- Brooks, J.T.; Sowers, E.G.; Wells, J.G.; Greene, K.D.; Griffin, P.M.; Hoekstra, R.M.; Strockbine, N.A. Non-O157 Shiga Toxin–Producing Escherichia coli Infections in the United States, 1983–2002. J. Infect. Dis. 2005, 192, 1422–1429. [Google Scholar] [CrossRef] [PubMed]
- Lu, M.; Zhu, Y.; Li, D.; Zhou, Z.; Lin, H.; Hong, H.; Shi, J.; Wu, Z. Gb3-Coated Bovine Milk Exosomes as a Practical Neutralizer for Shiga Toxin. ACS Appl. Bio Mater. 2023, 6, 5798–5808. [Google Scholar] [CrossRef]
- Scheutz, F.; Teel, L.D.; Beutin, L.; Piérard, D.; Buvens, G.; Karch, H.; Mellmann, A.; Caprioli, A.; Tozzoli, R.; Morabito, S.; et al. Multicenter Evaluation of a Sequence-Based Protocol for Subtyping Shiga Toxins and Standardizing Stx Nomenclature. J. Clin. Microbiol. 2012, 50, 2951–2963. [Google Scholar] [CrossRef]
- Donohue-Rolfe, A.; Jacewicz, M.; Keusch, G.T. Isolation and characterization of functional Shiga toxin subunits and renatured holotoxin. Mol. Microbiol. 1989, 3, 1231–1236. [Google Scholar] [CrossRef]
- Furutani, M.; Ito, K.; Oku, Y.; Takeda, Y.; Igarashi, K. Demonstration of RNA N-Glycosidase Activity of a Vero Toxin (VT2 Variant) Produced by Escherichia coli 091: H21 from a Patient with the Hemolytic Uremic Syndrome. Microbiol. Immunol. 1990, 34, 387–392. [Google Scholar] [CrossRef]
- Mühlen, S.; Dersch, P. Treatment Strategies for Infections With Shiga Toxin-Producing Escherichia coli. Front. Cell. Infect. Microbiol. 2020, 10, 169. [Google Scholar] [CrossRef]
- Liu, Y.; Thaker, H.; Wang, C.; Xu, Z.; Dong, M. Diagnosis and Treatment for Shiga Toxin-Producing Escherichia coli Associated Hemolytic Uremic Syndrome. Toxins 2022, 15, 10. [Google Scholar] [CrossRef] [PubMed]
- Menne, J.; Nitschke, M.; Stingele, R.; Abu-Tair, M.; Beneke, J.; Bramstedt, J.; Bremer, J.P.; Brunkhorst, R.; Busch, V.; Dengler, R.; et al. Validation of treatment strategies for enterohaemorrhagic Escherichia coli O104:H4 induced haemolytic uraemic syndrome: Case-control study. BMJ 2012, 345, e4565. [Google Scholar] [CrossRef] [PubMed]
- Shepard, H.M.; Phillips, G.L.; Thanos, C.D.; Feldmann, M. Developments in therapy with monoclonal antibodies and related proteins. Clin. Med. 2017, 17, 220–232. [Google Scholar] [CrossRef]
- Tzipori, S.; Sheoran, A.; Akiyoshi, D.; Donohue-Rolfe, A.; Trachtman, H. Antibody Therapy in the Management of Shiga Toxin-Induced Hemolytic Uremic Syndrome. Clin. Microbiol. Rev. 2004, 17, 926–941. [Google Scholar] [CrossRef] [PubMed]
- Taylor, P.C.; Adams, A.C.; Hufford, M.M.; De La Torre, I.; Winthrop, K.; Gottlieb, R.L. Neutralizing monoclonal antibodies for treatment of COVID-19. Nat. Rev. Immunol. 2021, 21, 382–393. [Google Scholar] [CrossRef]
- Fakhouri, F.; Hourmant, M.; Campistol, J.M.; Cataland, S.R.; Espinosa, M.; Gaber, A.O.; Menne, J.; Minetti, E.E.; Provôt, F.; Rondeau, E.; et al. Terminal Complement Inhibitor Eculizumab in Adult Patients With Atypical Hemolytic Uremic Syndrome: A Single-Arm, Open-Label Trial. Am. J. Kidney Dis. 2016, 68, 84–93. [Google Scholar] [CrossRef]
- Greenbaum, L.A.; Fila, M.; Ardissino, G.; Al-Akash, S.I.; Evans, J.; Henning, P.; Lieberman, K.V.; Maringhini, S.; Pape, L.; Rees, L.; et al. Eculizumab is a safe and effective treatment in pediatric patients with atypical hemolytic uremic syndrome. Kidney Int. 2016, 89, 701–711. [Google Scholar] [CrossRef]
- Loos, S.; Ahlenstiel, T.; Kranz, B.; Staude, H.; Pape, L.; Hartel, C.; Vester, U.; Buchtala, L.; Benz, K.; Hoppe, B.; et al. An Outbreak of Shiga Toxin-Producing Escherichia coli O104:H4 Hemolytic Uremic Syndrome in Germany: Presentation and Short-term Outcome in Children. Clin. Infect. Dis. 2012, 55, 753–759. [Google Scholar] [CrossRef]
- Kemper, M.J. Outbreak of hemolytic uremic syndrome caused by E. coli O104:H4 in Germany: A pediatric perspective. Pediatr. Nephrol. 2012, 27, 161–164. [Google Scholar] [CrossRef] [PubMed]
- Huppertz, H.-I.; Rutkowski, S.; Busch, D.H.; Eisebit, R.; Lissner, R.; Karch, H. Bovine Colostrum Ameliorates Diarrhea in Infection with Diarrheagenic Escherichia coli, Shiga Toxin-Producing E. coli, and E. coli Expressing Intimin and Hemolysin. J. Pediatr. Gastroenterol. Nutr. 1999, 29, 452–456. [Google Scholar] [CrossRef]
- Bitzan, M.; Poole, R.; Mehran, M.; Sicard, E.; Brockus, C.; Thuning-Roberson, C.; Rivière, M. Safety and Pharmacokinetics of Chimeric Anti-Shiga Toxin 1 and Anti-Shiga Toxin 2 Monoclonal Antibodies in Healthy Volunteers. Antimicrob. Agents Chemother. 2009, 53, 3081–3087. [Google Scholar] [CrossRef]
- López, E.L.; Contrini, M.M.; Glatstein, E.; González Ayala, S.; Santoro, R.; Allende, D.; Ezcurra, G.; Teplitz, E.; Koyama, T.; Matsumoto, Y.; et al. Safety and Pharmacokinetics of Urtoxazumab, a Humanized Monoclonal Antibody, against Shiga-Like Toxin 2 in Healthy Adults and in Pediatric Patients Infected with Shiga-Like Toxin-Producing Escherichia coli. Antimicrob. Agents Chemother. 2010, 54, 239–243. [Google Scholar] [CrossRef]
- Henrique, I.D.M.; Sacerdoti, F.; Ferreira, R.L.; Henrique, C.; Amaral, M.M.; Piazza, R.M.F.; Luz, D. Therapeutic Antibodies Against Shiga Toxins: Trends and Perspectives. Front. Cell. Infect. Microbiol. 2022, 12, 825856. [Google Scholar] [CrossRef]
- De Lauro, A.; Di Rienzo, L.; Miotto, M.; Olimpieri, P.P.; Milanetti, E.; Ruocco, G. Shape Complementarity Optimization of Antibody–Antigen Interfaces: The Application to SARS-CoV-2 Spike Protein. Front. Mol. Biosci. 2022, 9, 874296. [Google Scholar] [CrossRef]
- Herrera, C.; Tremblay, J.M.; Shoemaker, C.B.; Mantis, N.J. Mechanisms of Ricin Toxin Neutralization Revealed through Engineered Homodimeric and Heterodimeric Camelid Antibodies. J. Biol. Chem. 2015, 290, 27880–27889. [Google Scholar] [CrossRef]
- Svitel, J.; Balbo, A.; Mariuzza, R.A.; Gonzales, N.R.; Schuck, P. Combined Affinity and Rate Constant Distributions of Ligand Populations from Experimental Surface Binding Kinetics and Equilibria. Biophys. J. 2003, 84, 4062–4077. [Google Scholar] [CrossRef] [PubMed]
- Burnett, D.L.; Jackson, K.J.L.; Langley, D.B.; Aggarwal, A.; Stella, A.O.; Johansen, M.D.; Balachandran, H.; Lenthall, H.; Rouet, R.; Walker, G.; et al. Immunizations with diverse sarbecovirus receptor-binding domains elicit SARS-CoV-2 neutralizing antibodies against a conserved site of vulnerability. Immunity 2021, 54, 2908–2921.e6. [Google Scholar] [CrossRef] [PubMed]
- Ovacik, M.; Lin, K. Tutorial on Monoclonal Antibody Pharmacokinetics and Its Considerations in Early Development. Clin. Transl. Sci. 2018, 11, 540–552. [Google Scholar] [CrossRef] [PubMed]
- Robert, X.; Gouet, P. Deciphering key features in protein structures with the new ENDscript server. Nucleic Acids Res. 2014, 42, W320–W324. [Google Scholar] [CrossRef]
- Quast, N.P.; Abanades, B.; Guloglu, B.; Karuppiah, V.; Harper, S.; Raybould, M.I.J.; Deane, C.M. T-cell receptor structures and predictive models reveal comparable alpha and beta chain structural diversity despite differing genetic complexity. Commun. Biol. 2025, 8, 362. [Google Scholar] [CrossRef]
- Singh, A.; Copeland, M.M.; Kundrotas, P.J.; Vakser, I.A. GRAMM Web Server for Protein Docking. In Computational Drug Discovery and Design; Gore, M., Jagtap, U.B., Eds.; Springer: New York, NY, USA, 2024; pp. 101–112. [Google Scholar] [CrossRef]
- Le, K.H.; Adolf-Bryfogle, J.; Klima, J.C.; Lyskov, S.; Labonte, J.; Bertolani, S.; Burman, S.S.R.; Leaver-Fay, A.; Weitzner, B.; Maguire, J.; et al. PyRosetta Jupyter Notebooks Teach Biomolecular Structure Prediction and Design. Biophysicist 2021, 2, 108–122. [Google Scholar] [CrossRef]
- Delano, W. The PyMOL Molecular Graphics System. 2002. Available online: https://www.semanticscholar.org/paper/The-PyMOL-Molecular-Graphics-System-Delano/45b98fcf47aa90099d3c921f68c3404af98d7b56 (accessed on 15 April 2025).
- Faris, A.; Cacciatore, I.; Alnajjar, R.; Hanine, H.; Aouidate, A.; Mothana, R.A.; Alanzi, A.R.; Elhallaoui, M. Revealing innovative JAK1 and JAK3 inhibitors: A comprehensive study utilizing QSAR, 3D-Pharmacophore screening, molecular docking, molecular dynamics, and MM/GBSA analyses. Front. Mol. Biosci. 2024, 11, 1348277. [Google Scholar] [CrossRef]
- Pahari, S.; Li, G.; Murthy, A.K.; Liang, S.; Fragoza, R.; Yu, H.; Alexov, E. SAAMBE-3D: Predicting Effect of Mutations on Protein–Protein Interactions. Int. J. Mol. Sci. 2020, 21, 2563. [Google Scholar] [CrossRef] [PubMed]
- Wani, Z.A.; Bhat, A. Figshare: A One-Stop Shop for Research Data Management with Diverse Features and Services. SRELS J. Inf. Manag. 2022, 391–397. [Google Scholar] [CrossRef]






Disclaimer/Publisher’s Note: The statements, opinions and data contained in all publications are solely those of the individual author(s) and contributor(s) and not of MDPI and/or the editor(s). MDPI and/or the editor(s) disclaim responsibility for any injury to people or property resulting from any ideas, methods, instructions or products referred to in the content. |
© 2026 by the authors. Licensee MDPI, Basel, Switzerland. This article is an open access article distributed under the terms and conditions of the Creative Commons Attribution (CC BY) license.
Share and Cite
Wu, J.; Liu, C.; Peng, F.; Yu, Z.; Qiao, C.; Yang, G.; Luo, H.; Sun, K.; Ning, Z.; Wang, J.; et al. Antibody Screening and Binding Prediction Analysis Targeting Stx2. Antibodies 2026, 15, 11. https://doi.org/10.3390/antib15010011
Wu J, Liu C, Peng F, Yu Z, Qiao C, Yang G, Luo H, Sun K, Ning Z, Wang J, et al. Antibody Screening and Binding Prediction Analysis Targeting Stx2. Antibodies. 2026; 15(1):11. https://doi.org/10.3390/antib15010011
Chicago/Turabian StyleWu, Jilei, Chenghua Liu, Fenghao Peng, Zeyuan Yu, Chunxia Qiao, Guang Yang, Heng Luo, Keyi Sun, Ziyao Ning, Jing Wang, and et al. 2026. "Antibody Screening and Binding Prediction Analysis Targeting Stx2" Antibodies 15, no. 1: 11. https://doi.org/10.3390/antib15010011
APA StyleWu, J., Liu, C., Peng, F., Yu, Z., Qiao, C., Yang, G., Luo, H., Sun, K., Ning, Z., Wang, J., Wen, Y., & Yu, J. (2026). Antibody Screening and Binding Prediction Analysis Targeting Stx2. Antibodies, 15(1), 11. https://doi.org/10.3390/antib15010011

